Ultrastructural Analysis of the Large Neuronal Perikarya in an Injured Dentate Nucleus Using an Experimental Model of Hyperthermia-Induced Convulsions: The First Qualitative and Quantitative Study
Abstract
1. Introduction
2. Materials and Methods
2.1. Animals
2.2. Model of Febrile Seizures
2.3. Preparation for Transmission Electron Microscopy (TEM)
2.4. Measurement and Quantitative Analysis of the Large Neuronal Perikarya in the Dentate Nucleus (DN)
2.5. Statistical Analysis
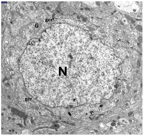
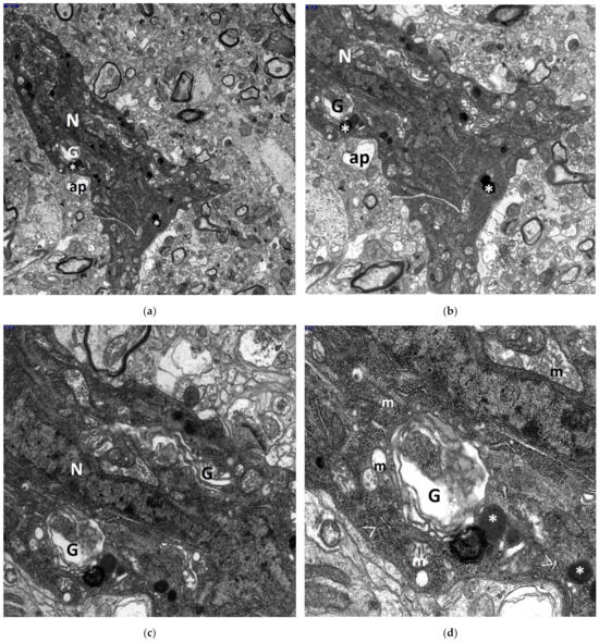
3. Results
4. Discussion
5. Conclusions
Author Contributions
Funding
Institutional Review Board Statement
Informed Consent Statement
Data Availability Statement
Acknowledgments
Conflicts of Interest
References
- Tiwari, A.; Meshram, R.J.; Singh, R.K. Febrile seizures in children: A review. Cureus 2022, 14, e31509. [Google Scholar] [CrossRef] [PubMed]
- Pavone, P.; Pappalardo, X.G.; Parano, E.; Falsaperla, R.; Marino, S.D.; Fink, J.K.; Ruggieri, M. Fever-associated seizures or epilepsy: An overview of old and recent literature acquisitions. Front. Pediatr. 2022, 10, 858945. [Google Scholar] [CrossRef] [PubMed]
- Patel, P.R.; De Jesus, O. Partial Epilepsy; StatPearls Publishing: Treasure Island, FL, USA, 2024. [Google Scholar]
- Leung, A.K.; Hon, K.L.; Leung, T.N. Febrile seizures: An overview. Drugs Context 2018, 7, 1–12. [Google Scholar] [CrossRef] [PubMed]
- Feng, B.; Chen, Z. Generation of febrile seizures and subsequent epileptogenesis. Neurosci. Bull. 2016, 32, 481–492. [Google Scholar] [CrossRef] [PubMed]
- Scott, R.C. Consequences of febrile seizures in childhood. Curr. Opin. Pediatr. 2014, 26, 662–667. [Google Scholar] [CrossRef]
- Dubé, C.M.; Brewster, A.L.; Richichi, C.; Zha, Q.; Baram, T.Z. Fever, febrile seizures and epilepsy. Trends Neurosci. 2007, 30, 490–496. [Google Scholar] [CrossRef]
- Xixis, K.L.; Samanta, D.; Smith, T.; Keenaghan, M. Febrile seizure. In StatPearls [Internet]; StatPearls Publishing: Treasure Island, FL, USA, 2024. [Google Scholar]
- Shinnar, S.; Glauser, T.A. Febrile seizures. J. Child Neurol. 2002, 17, S44–S52. [Google Scholar] [CrossRef]
- Stafstrom, C.E. The incidence and prevalence of febrile seizures. In Febrile Seizures; Elsevier: Amsterdam, The Netherlands, 2002; pp. 1–25. [Google Scholar]
- Hautala, M.K.; Helander, H.M.; Pokka, T.M.; Koskela, U.V.; Rantala, H.M.; Uhari, M.K.; Korkiamäki, T.J.; Glumoff, V.; Mikkonen, K.H. Recurrent febrile seizures and serum cytokines: A controlled follow-up study. Pediatr. Res. 2023, 93, 1574–1581. [Google Scholar] [CrossRef]
- Deng, H.; Zheng, W.; Song, Z. The genetics and molecular biology of fever-associated seizures or epilepsy. Expert Rev. Mol. Med. 2018, 20, e3. [Google Scholar] [CrossRef]
- Patterson, K.P.; Baram, T.Z.; Shinnar, S. Origins of temporal lobe epilepsy: Febrile seizures and febrile status epilepticus. Neurotherapeutics 2014, 11, 242–250. [Google Scholar] [CrossRef]
- de Nijs, L.; Choe, K.; Steinbusch, H.; Schijns, O.E.; Dings, J.; van den Hove, D.L.; Rutten, B.P.; Hoogland, G. DNA methyltransferase isoforms expression in the temporal lobe of epilepsy patients with a history of febrile seizures. Clin. Epigenetics 2019, 11, 1–14. [Google Scholar] [CrossRef] [PubMed]
- Mewasingh, L.D.; Chin, R.F.; Scott, R.C. Current understanding of febrile seizures and their long-term outcomes. Dev. Med. Child Neurol. 2020, 62, 1245–1249. [Google Scholar] [CrossRef] [PubMed]
- Millichap, J.J.; Millichap, J.G. Clinical Features and Evaluation of Febrile Seizures; UpToDate: Waltham, MA, USA, 2019. [Google Scholar]
- Sendrowski, K.; Sobaniec, W. Hippocampus, hippocampal sclerosis and epilepsy. Pharmacol. Rep. 2013, 65, 555–565. [Google Scholar] [CrossRef] [PubMed]
- Huang, C.-C.; Chang, Y.-C. The long-term effects of febrile seizures on the hippocampal neuronal plasticity–clinical and experimental evidence. Brain Dev. 2009, 31, 383–387. [Google Scholar] [CrossRef]
- Koeppen, A.H. The neuropathology of the adult cerebellum. Handb. Clin. Neurol. 2018, 154, 129–149. [Google Scholar]
- Rubio, C.; Custodio, V.; González, E.; Retana-Márquez, S.; López, M.; Paz, C. Effects of kainic acid lesions of the cerebellar interpositus and dentate nuclei on amygdaloid kindling in rats. Brain Res. Bull. 2011, 85, 64–67. [Google Scholar] [CrossRef]
- Stein, J.; Glickstein, M. Role of the cerebellum in visual guidance of movement. Physiol. Rev. 1992, 72, 967–1017. [Google Scholar] [CrossRef]
- Leiner, H.C.; Leiner, A.L.; Dow, R.S. Cognitive and language functions of the human cerebellum. Trends Neurosci. 1993, 16, 444–447. [Google Scholar] [CrossRef]
- Houk, J.C. On the role of the cerebellum and basal ganglia in cognitive signal processing. Prog. Brain Res. 1997, 114, 543–552. [Google Scholar]
- Baillieux, H.; De Smet, H.J.; Paquier, P.F.; De Deyn, P.P.; Mariën, P. Cerebellar neurocognition: Insights into the bottom of the brain. Clin. Neurol. Neurosurg. 2008, 110, 763–773. [Google Scholar] [CrossRef]
- Mossakowski, M.J. Nervous tissue and nervous system. In Histology, 2nd ed.; Ostrowski, K., Ed.; PZWL: Warszawa, Poland, 1995; pp. 349–442. [Google Scholar]
- Ristanović, D.; Milošević, N.T.; Marić, D.L. On the classification of normally distributed neurons: An application to human dentate nucleus. Biol. Cybern. 2011, 104, 175–183. [Google Scholar] [CrossRef] [PubMed]
- Grbatinić, I.; Milošević, N. Classification of adult human dentate nucleus border neurons: Artificial neural networks and multidimensional approach. J. Theor. Biol. 2016, 404, 273–284. [Google Scholar] [CrossRef] [PubMed]
- Sendrowski, K.; Sobaniec, W.; Sobaniec-Łotowska, M.; Artemowicz, B. Topiramate as a neuroprotectant in the experimental model of febrile seizures. Adv. Med. Sci. (De Gruyter Open) 2007, 52, 161–165. [Google Scholar]
- Jiang, W.; Duong, T.; Lanerolle, N.d. The neuropathology of hyperthermic seizures in the rat. Epilepsia 1999, 40, 5–19. [Google Scholar] [CrossRef]
- White, M.G.; Luca, L.E.; Nonner, D.; Saleh, O.; Hu, B.; Barrett, E.F.; Barrett, J.N. Cellular mechanisms of neuronal damage from hyperthermia. Prog. Brain Res. 2007, 162, 347–371. [Google Scholar]
- Zhou, J.; Wang, F.; Zhang, J.; Gao, H.; Yang, Y.; Fu, R. Repeated febrile convulsions impair hippocampal neurons and cause synaptic damage in immature rats: Neuroprotective effect of fructose-1, 6-diphosphate. Neural Regen. Res. 2014, 9, 937–942. [Google Scholar] [CrossRef]
- Sobaniec-Łotowska, M.E.; Łotowska, J.M. The neuroprotective effect of topiramate on the ultrastructure of pyramidal neurons of the hippocampal CA1 and CA3 sectors in an experimental model of febrile seizures in rats. Folia Neuropathol. 2011, 49, 230–236. [Google Scholar]
- Sobaniec, W.; Jankowicz, E.; Sobaniec-Lotowska, M. Effect of valproic acid on the morphology of the rat cerebellum and brain stem. Neuropatol. Pol. 1989, 27, 593–606. [Google Scholar]
- Sobaniec-Łotowska, M.E.; Łotowska, J.M. Ultrastructural study of cerebellar dentate nucleus astrocytes in chronic experimental model with valproate. Folia Neuropathol. 2005, 43, 166–171. [Google Scholar]
- Zhao, X.; Pan, Z.; Wu, J.; Zhou, G.; Zeng, Y. Automatic identification and morphometry of optic nerve fibers in electron microscopy images. Comput. Med. Imaging Graph. 2010, 34, 179–184. [Google Scholar] [CrossRef]
- Girardet, C.; Blanchard, M.P.; Ferracci, G.; Lévêque, C.; Moreno, M.; François-Bellan, A.M.; Becquet, D.; Bosler, O. Daily changes in synaptic innervation of VIP neurons in the rat suprachiasmatic nucleus: Contribution of glutamatergic afferents. Eur. J. Neurosci. 2010, 31, 359–370. [Google Scholar] [CrossRef] [PubMed]
- Łotowska, J.M.; Sobaniec-Łotowska, M.E.; Sendrowski, K.; Sobaniec, W.; Artemowicz, B. Ultrastructure of the blood-brain barrier of the gyrus hippocampal cortex in an experimental model of febrile seizures and with the use of a new generation antiepileptic drug–topiramate. Folia Neuropathol. 2008, 46, 57–68. [Google Scholar] [PubMed]
- Łotowska, J.M.; Sobaniec-Łotowska, M.E.; Sobaniec, W. Ultrastructural features of astrocytes in the cortex of the hippocampal gyrus and in the neocortex of the temporal lobe in an experimental model of febrile seizures and with the use of topiramate. Folia Neuropathol. 2009, 47, 268–277. [Google Scholar] [PubMed]
- Łotowska, J.; Sobaniec, P.; Sobaniec-Łotowska, M.; Szukiel, B.; Łukasik, M.; Łotowska, S. Effects of topiramate on the ultrastructure of synaptic endings in the hippocampal CA1 and CA3 sectors in the rat experimental model of febrile seizures: The first electron microscopy report. Folia Neuropathol. 2019, 57, 267–276. [Google Scholar] [CrossRef]
- Semple, B.D.; Blomgren, K.; Gimlin, K.; Ferriero, D.M.; Noble-Haeusslein, L.J. Brain development in rodents and humans: Identifying benchmarks of maturation and vulnerability to injury across species. Prog. Neurobiol. 2013, 106, 1–16. [Google Scholar] [CrossRef]
- Sloviter, R.S.; Dempster, D.W. “Epileptic” brain damage is replicated qualitatively in the rat hippocampus by central injection of glutamate or aspartate but not by GABA or acetylcholine. Brain Res. Bull. 1985, 15, 39–60. [Google Scholar] [CrossRef]
- Sharma, H.S.; Hoopes, P. Hyperthermia induced pathophysiology of the central nervous system. Int. J. Hyperth. 2003, 19, 325–354. [Google Scholar] [CrossRef]
- Han, Y.; Qin, J.; Chang, X.; Yang, Z.; Tang, X.; Du, J. Hydrogen sulfide may improve the hippocampal damage induced by recurrent febrile seizures in rats. Biochem. Biophys. Res. Commun. 2005, 327, 431–436. [Google Scholar] [CrossRef]
- Sobaniec, P.; Lotowska, J.M.; Sobaniec-Lotowska, M.E.; Zochowska-Sobaniec, M. Influence of topiramate on the synaptic endings of the temporal lobe neocortex in an experimental model of hyperthermia-induced seizures: An ultrastructural study. Brain Sci. 2021, 11, 1433. [Google Scholar] [CrossRef]








| Area (%) | Circularity (%) | MinFeretDiameter (%) | MinorAxisLength (%) | |
|---|---|---|---|---|
| Control | 2,441,706 ± 184,695 (100) | 0.818 ± 0.046 (100) | 1563 ± 99 (100) | 1553 ± 71 (100) |
| Dark Neuron in HS group | 1,099,657 ± 414,031 (45) | 0.245 ± 0.110 (44) | 961 ± 141 (30) | 885 ± 135 (30) |
| p | <0.001 | <0.001 | <0.001 | <0.001 |
| Area | Circularity | MinFeretDiameter | MinorAxisLength | |
|---|---|---|---|---|
| Area | 1.00 | 0.92 | 0.99 | 0.99 |
| Circularity | 0.92 | 1.00 | 0.92 | 0.95 |
| MinFeretDiameter | 0.99 | 0.92 | 1.00 | 0.99 |
| MinorAxisLength | 0.99 | 0.95 | 0.99 | 1.00 |
Disclaimer/Publisher’s Note: The statements, opinions and data contained in all publications are solely those of the individual author(s) and contributor(s) and not of MDPI and/or the editor(s). MDPI and/or the editor(s) disclaim responsibility for any injury to people or property resulting from any ideas, methods, instructions or products referred to in the content. |
© 2024 by the authors. Licensee MDPI, Basel, Switzerland. This article is an open access article distributed under the terms and conditions of the Creative Commons Attribution (CC BY) license (https://creativecommons.org/licenses/by/4.0/).
Share and Cite
Łotowska, J.M.; Borowska, M.; Żochowska-Sobaniec, M.; Sendrowski, K.; Sobaniec-Łotowska, M.E. Ultrastructural Analysis of the Large Neuronal Perikarya in an Injured Dentate Nucleus Using an Experimental Model of Hyperthermia-Induced Convulsions: The First Qualitative and Quantitative Study. J. Clin. Med. 2024, 13, 5501. https://doi.org/10.3390/jcm13185501
Łotowska JM, Borowska M, Żochowska-Sobaniec M, Sendrowski K, Sobaniec-Łotowska ME. Ultrastructural Analysis of the Large Neuronal Perikarya in an Injured Dentate Nucleus Using an Experimental Model of Hyperthermia-Induced Convulsions: The First Qualitative and Quantitative Study. Journal of Clinical Medicine. 2024; 13(18):5501. https://doi.org/10.3390/jcm13185501
Chicago/Turabian StyleŁotowska, Joanna Maria, Marta Borowska, Milena Żochowska-Sobaniec, Krzysztof Sendrowski, and Maria Elżbieta Sobaniec-Łotowska. 2024. "Ultrastructural Analysis of the Large Neuronal Perikarya in an Injured Dentate Nucleus Using an Experimental Model of Hyperthermia-Induced Convulsions: The First Qualitative and Quantitative Study" Journal of Clinical Medicine 13, no. 18: 5501. https://doi.org/10.3390/jcm13185501
APA StyleŁotowska, J. M., Borowska, M., Żochowska-Sobaniec, M., Sendrowski, K., & Sobaniec-Łotowska, M. E. (2024). Ultrastructural Analysis of the Large Neuronal Perikarya in an Injured Dentate Nucleus Using an Experimental Model of Hyperthermia-Induced Convulsions: The First Qualitative and Quantitative Study. Journal of Clinical Medicine, 13(18), 5501. https://doi.org/10.3390/jcm13185501

