The Fate of the Aorta after Coarctation Repair: Open Surgical Replacement of Descending Aorta in a High-Volume Unit
Abstract
1. Introduction
2. Methods
2.1. Preoperative Diagnostics and Indication for Surgery
2.2. Surgical Technique
2.3. Data Curation and Follow-Up
2.4. Study Definitions
2.5. Statistical Analysis
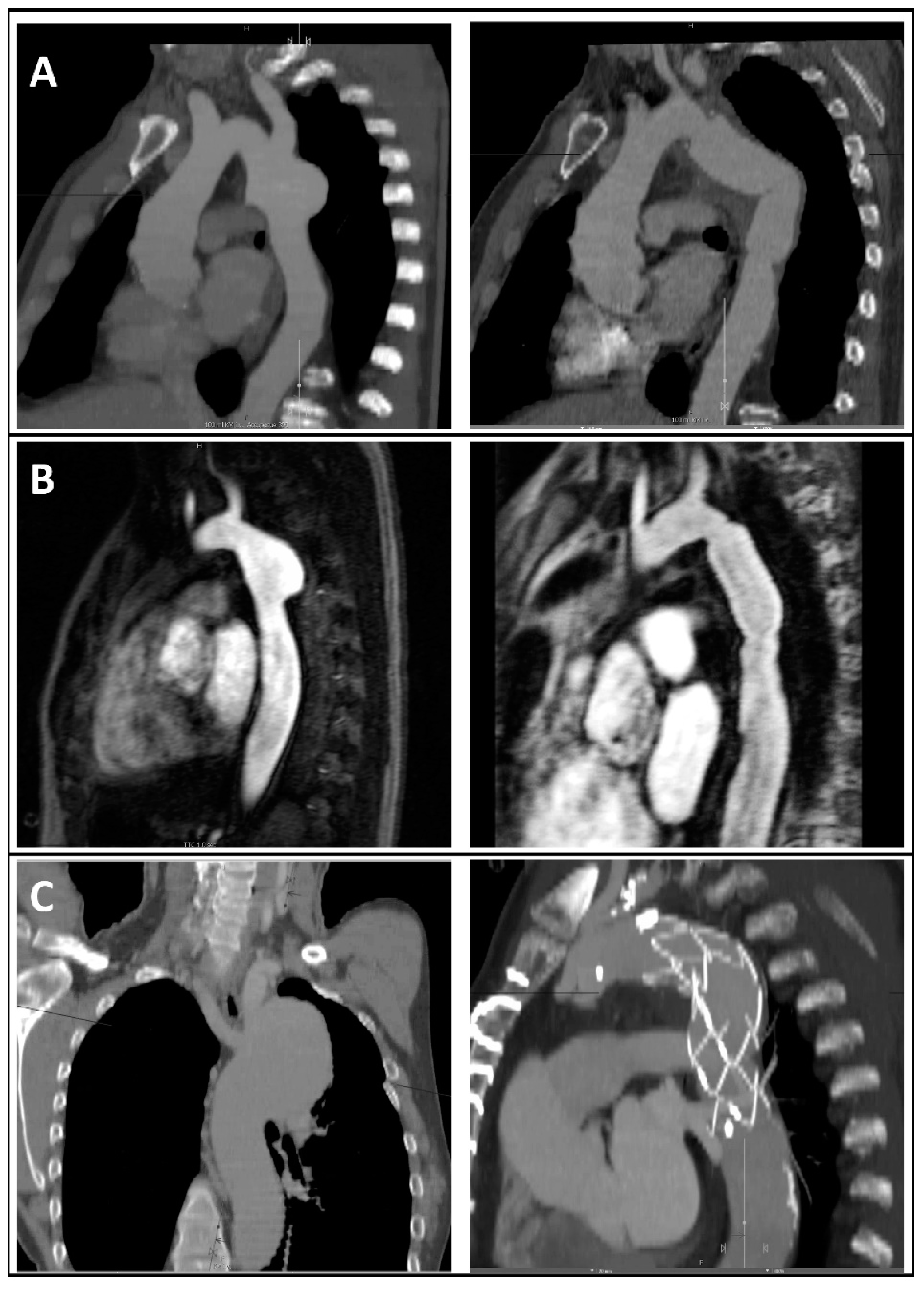
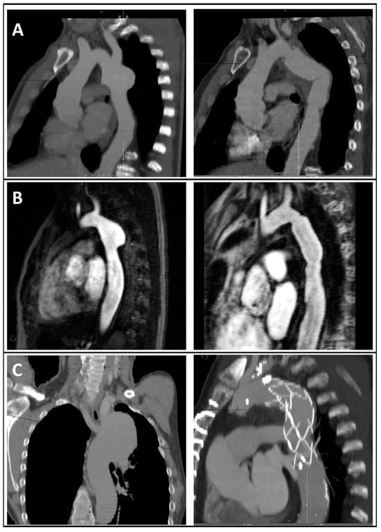
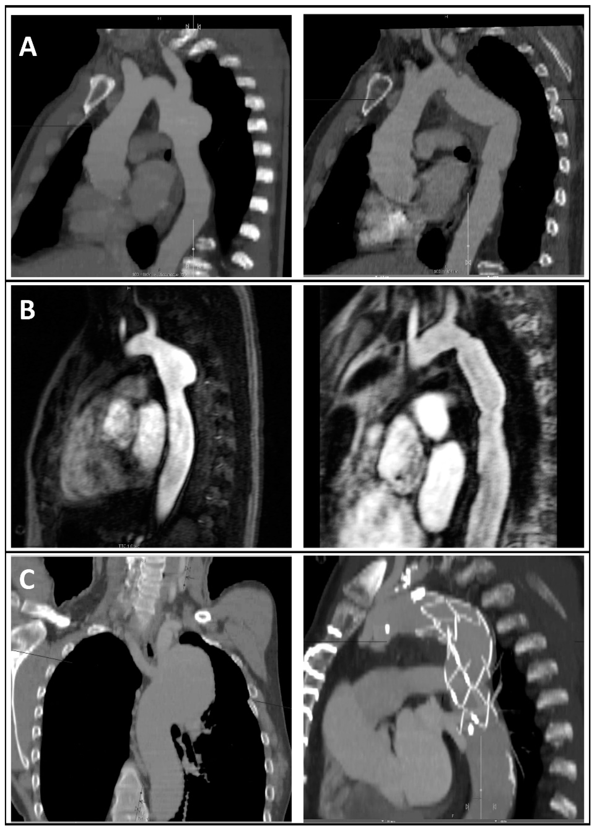
3. Results
4. Discussion
5. Limitations
6. Conclusions
Supplementary Materials
Author Contributions
Funding
Institutional Review Board Statement
Informed Consent Statement
Data Availability Statement
Conflicts of Interest
References
- Dijkema, E.J.; Leiner, T.; Grotenhuis, H.B. Diagnosis, imaging and clinical management of aortic coarctation. Heart 2017, 103, 1148–1155. [Google Scholar] [CrossRef] [PubMed]
- Singh, S.; Hakim, F.A.; Sharma, A.; Roy, R.R.; Panse, P.M.; Chandrasekaran, K.; Alegria, J.R.; Mookadam, F. Hypoplasia, pseudocoarctation and coarctation of the aorta—A systematic review. Heart Lung Circ. 2015, 24, 110–118. [Google Scholar] [CrossRef]
- Venturini, A.; Papalia, U.; Chiarotti, F.; Caretta, Q. Primary repair of coarctation of the thoracic aorta by patch graft aortoplasty. A three-decade experience and follow-up in 60 patients. Eur. J. Cardiothorac. Surg. 1996, 10, 890–896. [Google Scholar] [CrossRef] [PubMed]
- Vossschulte, K. [Plastic surgery of the isthmus in aortic isthmus stenosis]. Thoraxchirurgie 1957, 4, 443–450. [Google Scholar] [PubMed]
- Yousif, A.; Kloppenburg, G.; Morshuis, W.J.; Heijmen, R. Repair of adult aortic coarctation by resection and interposition grafting. Interact. Cardiovasc. Thorac. Surg. 2016, 23, 526–530. [Google Scholar] [CrossRef] [PubMed]
- Beckmann, E.; Jassar, A.S. Coarctation repair—Redo challenges in the adults: What to do? J. Vis. Surg. 2018, 4, 76. [Google Scholar] [CrossRef]
- Knyshov, G.V.; Sitar, L.L.; Glagola, M.D.; Atamanyuk, M.Y. Aortic aneurysms at the site of the repair of coarctation of the aorta: A review of 48 patients. Ann. Thorac. Surg. 1996, 61, 935–939. [Google Scholar] [CrossRef]
- Bobylev, D.; Boethig, D.; Breymann, T.; Mathoni, A.; Horke, A.; Ono, M. Surgical Treatment of Thoracic Aortic Aneurysms in Patients with Congenital Heart Disease. Thorac. Cardiovasc. Surg. 2015, 63, 388–396. [Google Scholar]
- Marcheix, B.; Lamarche, Y.; Perrault, P.; Cartier, R.; Bouchard, D.; Carrier, M.; Perrault, L.P.; Demers, P. Endovascular management of pseudo-aneurysms after previous surgical repair of congenital aortic coarctation. Eur. J. Cardiothorac. Surg. 2007, 31, 1004–1007. [Google Scholar] [CrossRef]
- Botta, L.; Russo, V.; Oppido, G.; Rosati, M.; Massi, F.; Lovato, L.; Di Bartolomeo, R.; Fattori, R. Role of endovascular repair in the management of late pseudo-aneurysms following open surgery for aortic coarctation. Eur. J. Cardiothorac. Surg. 2009, 36, 670–674. [Google Scholar] [CrossRef]
- Baumgartner, H.; De Backer, J.; Babu-Narayan, S.V.; Budts, W.; Chessa, M.; Diller, G.; Diller, G.-P.; Iung, B.; Kluin, J.; Lang, I.M.; et al. 2020 ESC Guidelines for the management of adult congenital heart disease. Eur Heart J. 2021, 42, 563–645. [Google Scholar] [CrossRef] [PubMed]
- Helms, F.; Poyanmehr, R.; Krüger, H.; Schmack, B.; Weymann, A.; Popov, A.; Ruhparwar, A.; Martens, A.; Natanov, R. Impact of Intercostal Artery Reinsertion on Neurological Outcome after Thoracoabdominal Aortic Replacement: A 25-Year Single-Center Experience. J. Clin. Med. 2024, 13, 832. [Google Scholar] [CrossRef] [PubMed]
- Shrestha, M.; Bachet, J.; Bavaria, J.; Carrel, T.P.; De Paulis, R.; Di Bartolomeo, R.; Etz, C.D.; Grabenwöger, M.; Grimm, M.; Haverich, A.; et al. Current status recommendations for use of the frozen elephant trunk technique: A position paper by the Vascular Domain of EACTS. Eur. J. Cardiothorac. Surg. 2015, 47, 759–769. [Google Scholar] [CrossRef]
- Shrestha, M.; Kaufeld, T.; Beckmann, E.; Fleissner, F.; Umminger, J.; Alhadi, F.A.; Boethig, D.; Krueger, H.; Haverich, A.; Martens, A. Total aortic arch replacement with a novel 4-branched frozen elephant trunk prosthesis: Single-center results of the first 100 patients. J. Thorac. Cardiovasc. Surg. 2016, 152, 148, 159. [Google Scholar] [CrossRef]
- Seymour, C.W.; Liu, V.X.; Iwashyna, T.J.; Brunkhorst, F.M.; Rea, T.D.; Scherag, A.; Rubenfeld, G.; Kahn, J.M.; Shankar-Hari, M.; Singer, M.; et al. Assessment of Clinical Criteria for Sepsis: For the Third International Consensus Definitions for Sepsis and Septic Shock (Sepsis-3). JAMA 2016, 315, 762–774. [Google Scholar] [CrossRef] [PubMed]
- Hilton, R. Defining acute renal failure. Can. Med Assoc. J. 2011, 183, 1167–1169. [Google Scholar] [CrossRef]
- von Kodolitsch, Y.; Aydin, M.A.; Koschyk, D.H.; Loose, R.; Schalwat, I.; Karck, M.; Cremer, J.; Haverich, A.; Berger, J.; Meinertz, T.; et al. Predictors of aneurysmal formation after surgical correction of aortic coarctation. J. Am. Coll. Cardiol. 2002, 39, 617–624. [Google Scholar] [CrossRef]
- Aebert, H.; Laas, J.; Bednarski, P.; Koch, U.; Prokop, M.; Borst, H.G. High incidence of aneurysm formation following patch plasty repair of coarctation. Eur. J. Cardiothorac. Surg. 1993, 7, 200–205. [Google Scholar] [CrossRef]
- Kron, I.L.; Flanagan, T.L.; Rheuban, K.S.; Carpenter, M.A.; Gutgesell, H.P.; Blackbourne, L.H.; Nolan, S.P. Incidence and risk of reintervention after coarctation repair. Ann. Thorac. Surg. 1990, 49, 920–926. [Google Scholar] [CrossRef]
- Gawenda, M.; Aleksic, M.; Heckenkamp, J.; Krüger, K.; Brunkwall, J. Endovascular repair of aneurysm after previous surgical coarctation repair. J. Thorac. Cardiovasc. Surg. 2005, 130, 1039–1043. [Google Scholar] [CrossRef]
- Zhao, Z.; Pan, Z.; Wu, C.; Tian, J.; Qin, J.; Zhang, Y.; Jin, X. Risk factors for recurrence after surgical repair of coarctation of the aorta in children: A single-center experience based on 51 children. Front. Cardiovasc. Med. 2023, 10, 1144755. [Google Scholar] [CrossRef] [PubMed]
- Lehnert, A.; Villemain, O.; Gaudin, R.; Méot, M.; Raisky, O.; Bonnet, D. Risk factors of mortality and recoarctation after coarctation repair in infancy. Interact. Cardiovasc. Thorac. Surg. 2019, 29, 469–475. [Google Scholar] [CrossRef] [PubMed]
- Ala-Kulju, K.; Heikkinen, L. Aneurysms after patch graft aortoplasty for coarctation of the aorta: Long-term results of surgical management. Ann. Thorac. Surg. 1989, 47, 853–856. [Google Scholar] [CrossRef]
- Bisdas, T.; Wilhelmi, M.; Haverich, A.; Teebken, O.E. Cryopreserved arterial homografts vs silver-coated Dacron grafts for abdominal aortic infections with intraoperative evidence of microorganisms. J. Vasc. Surg. 2011, 53, 1274–1281. [Google Scholar] [CrossRef] [PubMed]



| Characteristics | N = 25 |
|---|---|
| Sex (male) | 17 (68%) |
| Age at operation (years) | 45.4 ± 12.8 |
| BMI (kg/m²) | 25.6 ± 3.9 |
| Marfan | 1 (4%) |
| Arterial hypertension | 13 (52%) |
| Hyperlipidemia | 2 (8%) |
| Diabetes | 1 (4%) |
| Coronary artery disease | 0 (0%) |
| Chronic renal insufficiency | 1 (4%) |
| Patient No. | Cardiovas. Comorbidities | Primary Preoperation [Age] | Secondary Preoperation [Age] | Tertiary Preoperation [Age] | Descending Replacement [Age] | Following Cardiovascular Operations |
|---|---|---|---|---|---|---|
| 1 | BAV, asc. aneurysm | CoA repair (interposition graft) [19 y] | Aortic valve replacement [30 y] | 35 y | Composite replacement of the aortic valve an ascending aorta [37 y] | |
| 2 | None | CoA repair (patch plasty) [22 y] | 36 y | None | ||
| 3 | VSD, PDA | CoA repair (patch plasty), PDA ligation, pulmonary artery banding [0 y] | VSD closure (patch) + pulmonary debanding [2 y] | Futile balloon dilatation [18 y] | 18 y | None |
| 4 | None | CoA repair (interposition graft) [23 y] | 54 y | None | ||
| 5 | BAV | CoA repair (patch plasty [14 y] | 40 y | None | ||
| 6 | BAV | CoA repair (interposition graft) [22 y] | Aortic valve replacement [31 y] | 45 y | ||
| 7 | BAV, anomalous pulmonary venous connection, PDA | CoA repair (patch plasty), PDA ligation [10 y] | 38 y | None | ||
| 8 | None | CoA repair (patch plasty) [0 y] | 20 y | None | ||
| 9 | None | CoA repair (patch plasty) [26 y] | Aortic valve replacement [61 y] | Axillo-femoral bypass [63 y] | 63 y | None |
| 10 | BAV | CoA repair (patch plasty [19 y] | 36 y | None | ||
| 11 | None | CoA repair (patch plasty) [35 y] | 62 y | None | ||
| 12 | None | CoA repair (patch plasty) [14 y] | Aortic valve replacement [35 y] | 40 y | None | |
| 13 | None | CoA repair (patch plasty) [23 y] | 50 y | None | ||
| 14 | None | CoA repair (patch plasty) [13 y] | 42 y | None | ||
| 15 | Arteria lusoria dextra | CoA repair (patch plasty) [25 y] | Lusoria artery transposition [42 y] | 42 y | None | |
| 16 | None | CoA repair (patch plasty) [30 y] | 47 y | None | ||
| 17 | None | CoA repair (patch plasty) [45 y] | 71 y | None | ||
| 18 | BAV, aortic arch hypoplasia | CoA repair (patch plasty) [16 y] | David Procedure, ascending aorta replacement [40 y] | 40 y | None | |
| 19 | None | CoA repair (patch plasty) [20 y] | 75 y | LICA replacement (vein graft) [69 y] | ||
| 20 | None | CoA repair (patch plasty) [16 y] | 44 y | None | ||
| 21 | None | CoA repair (interposition graft) [23 y] | 55 y | Carotido-subclavian bypass, TEVAR | ||
| 22 | BAV, PDA | CoA repair (patch plasty) [20 y] | Aortic valve replacement [29 y] | 57 y | None | |
| 23 | None | CoA repair (interposition graft) [12 y] | 63 y | None | ||
| 24 | None | CoA repair (patch plasty) [21 y] | 44 y | None | ||
| 25 | BAV, Arteria lusoria dextra | CoA repair (patch plasty) [34 y] | 47 y | None |
| Characteristics | N = 25 |
|---|---|
| Elective | 22 (88%) |
| Urgent | 2 (8%) |
| Emergent | 1 (4%) |
| Characteristics | N = 25 |
|---|---|
| Operation time (minutes) | 249.2 ± 54.35 |
| Bypass time (minutes) | 88.2 ± 40.5 |
| Cross-clamp time (minutes) | 50.5 ± 20.5 |
| Ventilation time (hours) | 12.4 (10.2–19.5) |
| Clamping proximal to left subclavian artery | 16 (64%) |
| Intercostal artery reinsertion | 1 (4%) |
| Characteristics | N = 25 |
|---|---|
| Respiratory failure | 3 (12%) |
| Tracheostomy | 2 (5%) |
| Left vocal cord paraparesis | 6 (24%) |
| Sepsis | 0 (0%) |
| Wound infection | 0 (0%) |
| Bleeding requiring rethoracotomy | 5 (20%) |
| Stroke | 0 (0%) |
| Temporary paraplegia/paraparesis | 1 (4%) |
| Permanent paraplegia/paraparesis | 0 (0%) |
| Acute kidney injury | 1 (4%) |
| Dialysis | 0 (0%) |
Disclaimer/Publisher’s Note: The statements, opinions and data contained in all publications are solely those of the individual author(s) and contributor(s) and not of MDPI and/or the editor(s). MDPI and/or the editor(s) disclaim responsibility for any injury to people or property resulting from any ideas, methods, instructions or products referred to in the content. |
© 2024 by the authors. Licensee MDPI, Basel, Switzerland. This article is an open access article distributed under the terms and conditions of the Creative Commons Attribution (CC BY) license (https://creativecommons.org/licenses/by/4.0/).
Share and Cite
Deniz, E.; Bobylev, D.; Krüger, H.; Salman, J.; Zubarevich, A.; Martens, A.; Kaufeld, T.; Schmack, B.; Weymann, A.; Ruhparwar, A.; et al. The Fate of the Aorta after Coarctation Repair: Open Surgical Replacement of Descending Aorta in a High-Volume Unit. J. Clin. Med. 2024, 13, 5345. https://doi.org/10.3390/jcm13185345
Deniz E, Bobylev D, Krüger H, Salman J, Zubarevich A, Martens A, Kaufeld T, Schmack B, Weymann A, Ruhparwar A, et al. The Fate of the Aorta after Coarctation Repair: Open Surgical Replacement of Descending Aorta in a High-Volume Unit. Journal of Clinical Medicine. 2024; 13(18):5345. https://doi.org/10.3390/jcm13185345
Chicago/Turabian StyleDeniz, Ezin, Dmitry Bobylev, Heike Krüger, Jawad Salman, Alina Zubarevich, Andreas Martens, Tim Kaufeld, Bastian Schmack, Alexander Weymann, Arjang Ruhparwar, and et al. 2024. "The Fate of the Aorta after Coarctation Repair: Open Surgical Replacement of Descending Aorta in a High-Volume Unit" Journal of Clinical Medicine 13, no. 18: 5345. https://doi.org/10.3390/jcm13185345
APA StyleDeniz, E., Bobylev, D., Krüger, H., Salman, J., Zubarevich, A., Martens, A., Kaufeld, T., Schmack, B., Weymann, A., Ruhparwar, A., Popov, A.-F., & Helms, F. (2024). The Fate of the Aorta after Coarctation Repair: Open Surgical Replacement of Descending Aorta in a High-Volume Unit. Journal of Clinical Medicine, 13(18), 5345. https://doi.org/10.3390/jcm13185345

