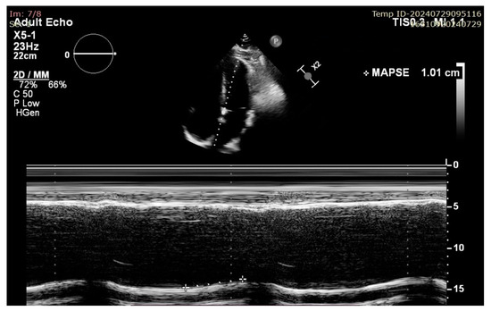
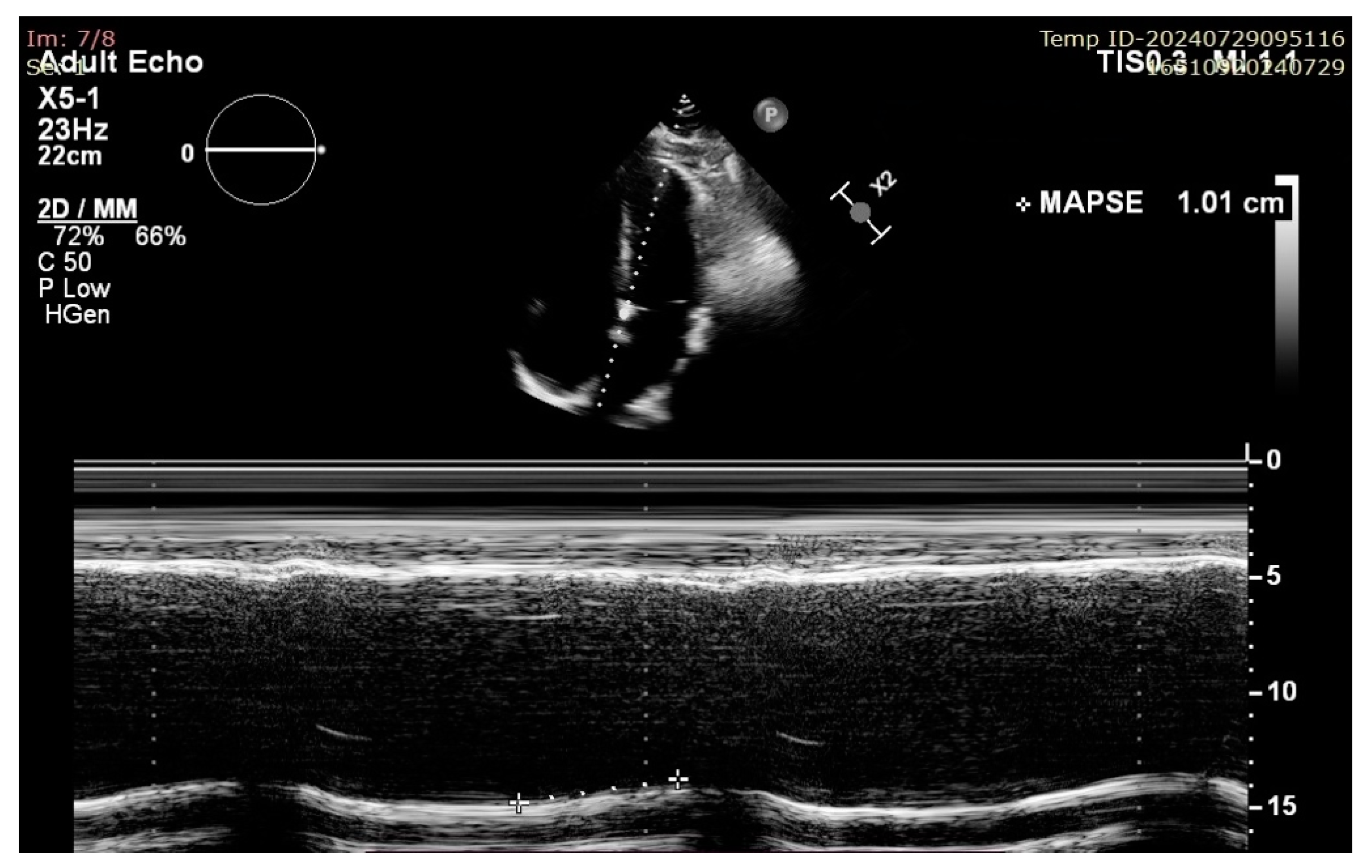
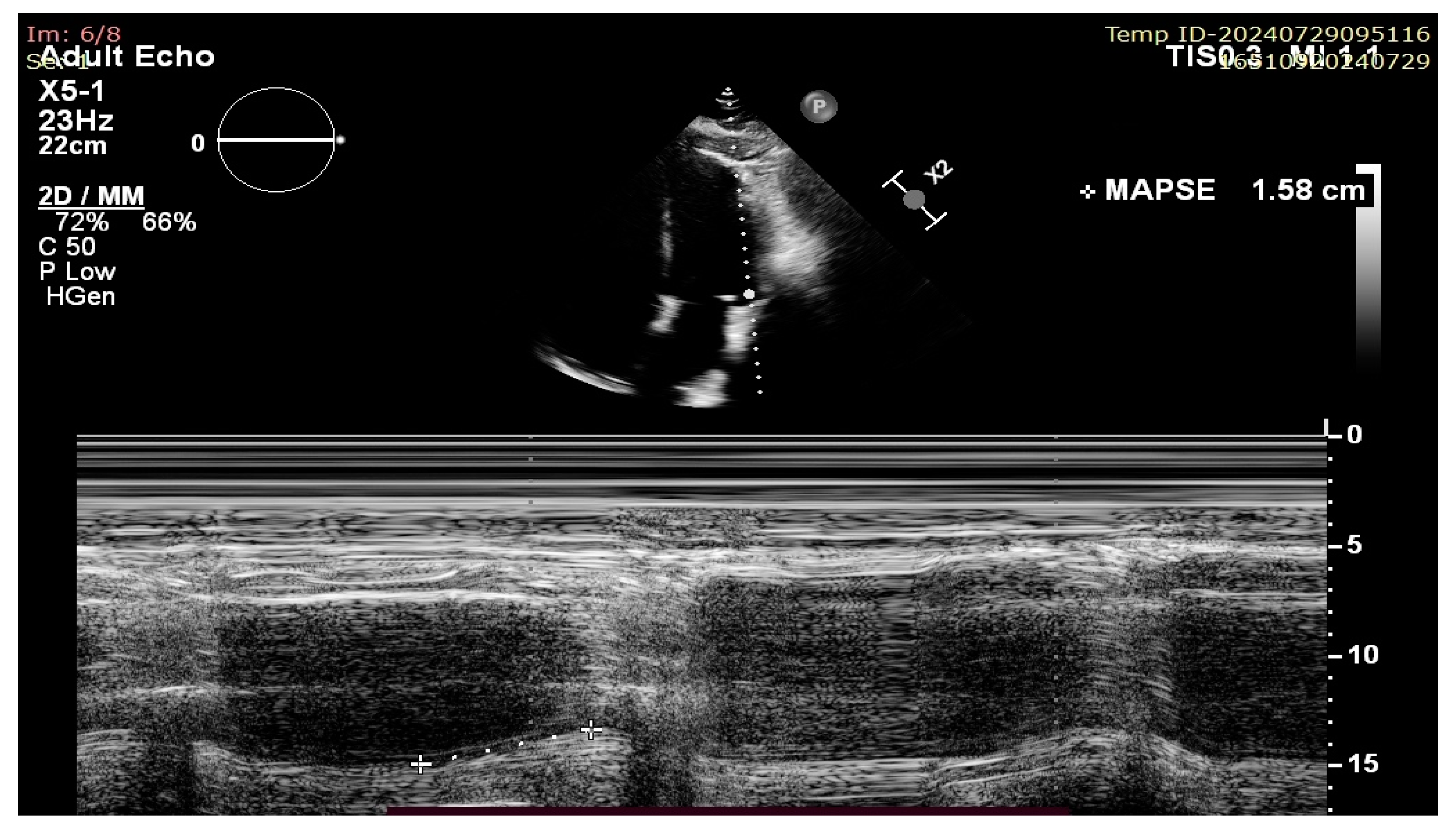
Mitral Annular Plane Systolic Excursion (MAPSE): A Review of a Simple and Forgotten Parameter for Assessing Left Ventricle Function
Abstract
1. Introduction
2. Materials and Methods
3. Results
3.1. Heart Failure
3.2. Hypertensive Heart Disease
3.3. Ischemic Heart Disease
3.4. Aortic Stenosis
3.5. Intensive Care Unit
3.6. Arrhythmias
3.7. Pediatric
3.8. Oncology
3.9. COVID-19
4. Discussion
Gaps in Evidence and Future Perspectives
5. Conclusions
Author Contributions
Funding
Informed Consent Statement
Data Availability Statement
Conflicts of Interest
References
- Gottdiener, J.S.; Bednarz, J.; Devereux, R.; Gardin, J.; Klein, A.; Manning, W.J.; Morehead, A.; Kitzman, D.; Oh, J.; Quinones, M.; et al. American Society of Echocardiography recommendations for use of echocardiography in clinical trials. J. Am. Soc. Echocardiogr. 2004, 17, 1086–1119. [Google Scholar] [CrossRef]
- Savage, R.M.; Aronson, S.; Shernan, S.K. Comprehensive Textbook of Perioperative Transesophageal Echocardiography, 2nd ed.; Lippincott Williams and Wilkins: Philadelphia, PA, USA, 2013. [Google Scholar]
- Smith, M.D.; MacPhail, B.; Harrison, M.R.; Lenhoff, S.J.; DeMaria, A.N. Value and limitations of transesophageal echocardiography in determination of left ventricular volumes and ejection fraction. J. Am. Coll. Cardiol. 1992, 19, 1213–1222. [Google Scholar] [CrossRef] [PubMed]
- Chengode, S. Left ventricular global systolic function assessment by echocardiography. Ann. Card. Anaesth. 2016, 19, S26–S34. [Google Scholar] [CrossRef] [PubMed] [PubMed Central]
- Lancellotti, P.; Cosyns, B. (Eds.) The EACVI Echo Handbook; ESC Publications: Oxford, UK, 2015. [Google Scholar] [CrossRef]
- Hensel, K.O.; Roskopf, M.; Wilke, L.; Heusch, A. Intraobserver and interobserver reproducibility of M-mode and B-mode acquired mitral annular plane systolic excursion (MAPSE) and its dependency on echocardiographic image quality in children. PLoS ONE 2018, 13, e0196614. [Google Scholar] [CrossRef] [PubMed] [PubMed Central]
- Brault, C.; Zerbib, Y.; Mercado, P.; Diouf, M.; Michaud, A.; Tribouilloy, C.; Maizel, J.; Slama, M. Mitral annular plane systolic excursion for assessing left ventricular systolic dysfunction in patients with septic shock. BJA Open 2023, 7, 100220. [Google Scholar] [CrossRef] [PubMed] [PubMed Central]
- Habibian, M.; Lyon, A.R. Monitoring the heart during cancer therapy. Eur. Heart J. Suppl. 2019, 21, M44–M49. [Google Scholar] [CrossRef] [PubMed] [PubMed Central]
- Berger, S.G.; Witczak, B.N.; Reiseter, S.; Schwartz, T.; Andersson, H.; Hetlevik, S.O.; Berntsen, K.S.; Sanner, H.; Lilleby, V.; Gunnarsson, R.; et al. Cardiac Dysfunction in Mixed Connective Tissue Disease: A Nationwide Observational Study. Rheumatol. Int. 2023, 43, 1055–1065. [Google Scholar] [CrossRef]
- Åström Malm, I.; De Basso, R.; Engvall, J.; Blomstrand, P. Males with Abdominal Aortic Aneurysm Have Reduced Left Ventricular Systolic and Diastolic Function. Clin. Physiol. Funct. Imaging 2022, 42, 1–7. [Google Scholar] [CrossRef]
- Chen, M.; Liu, D.; Weidemann, F.; Lengenfelder, B.D.; Ertl, G.; Hu, K.; Frantz, S.; Nordbeck, P. Echocardiographic Risk Factors of Left Ventricular Thrombus in Patients with Acute Anterior Myocardial Infarction. ESC Heart Fail. 2021, 8, 5248–5258. [Google Scholar] [CrossRef]
- Jarori, U.; Maatman, T.K.; Maatman, B.; Mastouri, R.; Sawada, S.G.; Khemka, A. Mitral Annular Plane Systolic Excursion: An Early Marker of Mortality in Severe COVID-19. J. Am. Soc. Echocardiogr. 2020, 33, 1411–1413. [Google Scholar] [CrossRef]
- Zou, T.; Yin, W.; Li, Y.; Deng, L.; Zhou, R.; Wang, X.; Chao, Y.; Zhang, L.; Kang, Y. Hemodynamics in Shock Patients Assessed by Critical Care Ultrasound and Its Relationship to Outcome: A Prospective Study. Biomed. Res. Int. 2020, 2020, 5175393. [Google Scholar] [CrossRef] [PubMed]
- Tafarshiku, R.; Henein, M.Y.; Berisha-Muharremi, V.; Bytyçi, I.; Ibrahimi, P.; Poniku, A.; Elezi, S.; Bajraktari, G. Left Ventricular Diastolic and Systolic Functions in Patients with Hypothyroidism. Medicina (Kaunas) 2020, 56, 524. [Google Scholar] [CrossRef] [PubMed]
- Magdy, G.; Hamdy, E.; Elzawawy, T.; Ragab, M. Value of mitral annular plane systolic excursion in the assessment of contractile reserve in patients with ischemic cardiomyopathy before cardiac revascularization. Indian Heart J. 2018, 70, 373–378. [Google Scholar] [CrossRef] [PubMed] [PubMed Central]
- Havaldar, A.A. Evaluation of Sepsis Induced Cardiac Dysfunction as a Predictor of Mortality. Cardiovasc. Ultrasound 2018, 16, 31. [Google Scholar] [CrossRef]
- Mincu, R.I.; Magda, S.L.; Mihaila, S.; Florescu, M.; Mihalcea, D.J.; Velcea, A.; Chiru, A.; Tiu, C.; Popescu, B.O.; Cinteza, M.; et al. Impaired Cardiac Function in Patients with Multiple Sclerosis by Comparison with Normal Subjects. Sci. Rep. 2018, 8, 3300. [Google Scholar] [CrossRef]
- Zhang, H.-M.; Wang, X.-T.; Zhang, L.-N.; He, W.; Zhang, Q.; Liu, D.-W.; Chinese Critical Ultrasound Study Group. Left Ventricular Longitudinal Systolic Function in Septic Shock Patients with Normal Ejection Fraction: A Case-Control Study. Chin. Med. J. (Engl.) 2017, 130, 1169–1174. [Google Scholar] [CrossRef]
- Yin, W.; Li, Y.; Zeng, X.; Qin, Y.; Wang, D.; Zou, T.; Su, L.; Kang, Y. The utilization of critical care ultrasound to assess hemodynamics and lung pathology on ICU admission and the potential for predicting outcome. PLoS ONE 2017, 12, e0182881. [Google Scholar] [CrossRef] [PubMed] [PubMed Central]
- Bytyçi, I.; Haliti, E.; Berisha, G.; Tishukaj, A.; Shatri, F.; Bajraktari, G. Left ventricular longitudinal systolic dysfunction is associated with right atrial dyssynchrony in heart failure with preserved ejection fraction. Rev. Port. Cardiol. 2016, 35, 207–214. [Google Scholar] [CrossRef] [PubMed]
- Taşolar, H.; Mete, T.; Çetin, M.; Altun, B.; Ballı, M.; Bayramoğlu, A.; Otlu, Y.Ö. Mitral Annular Plane Systolic Excursion in the Assessment of Left Ventricular Diastolic Dysfunction in Obese Adults. Anatol. J. Cardiol. 2015, 15, 558–564. [Google Scholar] [CrossRef][Green Version]
- Amado, J.; Islas, F.; de Isla, I.L.P.; de Diego, J.J.G.; de Agustín, A.; García-Fernandez, M.A. M-Mode Apical Systolic Excursion: A New and Simple Method to Evaluate Global Left Ventricular Longitudinal Strain. Rev. Port. Cardiol. 2015, 34, 551–554. [Google Scholar] [CrossRef]
- Lund, M.; Alexandersson von Döbeln, G.; Nilsson, M.; Winter, R.; Lundell, L.; Tsai, J.A.; Kalman, S. Effects on heart function of neoadjuvant chemotherapy and chemoradiotherapy in patients with cancer in the esophagus or gastroesophageal junction—A prospective cohort pilot study within a randomized clinical trial. Radiat. Oncol. 2015, 10, 16. [Google Scholar] [CrossRef] [PubMed] [PubMed Central]
- Kristen, A.V.; Scherer, K.; Buss, S.; aus dem Siepen, F.; Haufe, S.; Bauer, R.; Hinderhofer, K.; Giannitsis, E.; Hardt, S.; Haberkorn, U.; et al. Noninvasive Risk Stratification of Patients with Transthyretin Amyloidosis. JACC Cardiovasc. Imaging 2014, 7, 502–510. [Google Scholar] [CrossRef] [PubMed]
- Hu, K.; Liu, D.; Herrmann, S.; Niemann, M.; Gaudron, P.D.; Voelker, W.; Ertl, G.; Bijnens, B.; Weidemann, F. Clinical implication of mitral annular plane systolic excursion for patients with cardiovascular disease. Eur. Heart J. Cardiovasc. Imaging 2013, 14, 205–212. [Google Scholar] [CrossRef] [PubMed]
- Sveälv, B.G.; Olofsson, E.L.; Andersson, B. Ventricular long-axis function is of major importance for long-term survival in patients with heart failure. Heart 2008, 94, 284–289. [Google Scholar] [CrossRef] [PubMed]
- Wenzelburger, F.W.; Tan, Y.T.; Choudhary, F.J.; Lee, E.S.; Leyva, F.; Sanderson, J.E. Mitral annular plane systolic excursion on exercise: A simple diagnostic tool for heart failure with preserved ejection fraction. Eur. J. Heart Fail. 2011, 13, 953–960. [Google Scholar] [CrossRef] [PubMed]
- Elnoamany, M.F.; Abdelhameed, A.K. Mitral annular motion as a surrogate for left ventricular function: Correlation with brain natriuretic peptide levels. Eur. J. Echocardiogr. 2006, 7, 187–198. [Google Scholar] [CrossRef] [PubMed]
- Willenheimer, R.; Israelsson, B.; Cline, C.; Rydberg, E.; Broms, K.; Erhardt, L. Left atrioventricular plane displacement is related to both systolic and diastolic left ventricular performance in patients with chronic heart failure. Eur. Heart J. 1999, 20, 612–618. [Google Scholar] [CrossRef] [PubMed]
- Mizuguchi, Y.; Oishi, Y.; Miyoshi, H.; Iuchi, A.; Nagase, N.; Oki, T. Concentric left ventricular hypertrophy brings deterioration of systolic longitudinal, circumferential, and radial myocardial deformation in hypertensive patients with preserved left ventricular pump function. J. Cardiol. 2010, 55, 23–33. [Google Scholar] [CrossRef] [PubMed]
- Ballo, P.; Barone, D.; Bocelli, A.; Motto, A.; Mondillo, S. Left Ventricular Longitudinal Systolic Dysfunction Is an Independent Marker of Cardiovascular Risk in Patients with Hypertension. Am. J. Hypertens. 2008, 21, 1047–1054. [Google Scholar] [CrossRef]
- Ballo, P.; Quatrini, I.; Giacomin, E.; Motto, A.; Mondillo, S. Circumferential versus longitudinal systolic function in patients with hypertension: A nonlinear relation. J. Am. Soc. Echocardiogr. 2007, 20, 298–306. [Google Scholar] [CrossRef]
- Rydberg, E.; Willenheimer, R.; Erhardt, L. Left atrioventricular plane displacement at rest is reduced in relation to severity of coronary artery disease irrespective of prior myocardial infarction. Int. J. Cardiol. 1999, 69, 201–207. [Google Scholar] [CrossRef]
- Schick, A.L.; Kaine, J.C.; Al-Sadhan, N.A.; Lin, T.; Baird, J.; Bahit, K.; Dwyer, K.H. Focused cardiac ultrasound with mitral annular plane systolic excursion (MAPSE) detection of left ventricular dysfunction. Am. J. Emerg. Med. 2023, 68, 52–58. [Google Scholar] [CrossRef] [PubMed]
- Takeda, S.; Rimington, H.; Smeeton, N.; Chambers, J. Long axis excursion in aortic stenosis. Heart 2001, 86, 52–56. [Google Scholar] [CrossRef] [PubMed] [PubMed Central]
- Bergenzaun, L.; Ohlin, H.; Gudmundsson, P.; Willenheimer, R.; Chew, M.S. Mitral annular plane systolic excursion (MAPSE) in shock: A valuable echocardiographic parameter in intensive care patients. Cardiovasc. Ultrasound 2013, 11, 16. [Google Scholar] [CrossRef] [PubMed] [PubMed Central]
- Alatic, J.; Suran, D.; Vokac, D.; Naji, F.H. Mitral Annular Plane Systolic Excursion (MAPSE) as a Predictor of Atrial Fibrillation Recurrence in Patients after Pulmonary Vein Isolation. Cardiol. Res. Pract. 2022, 2022, 2746304. [Google Scholar] [CrossRef] [PubMed] [PubMed Central]
- Terada, T.; Mori, K.; Inoue, M.; Yasunobu, H. Mitral annular plane systolic excursion/left ventricular length (MAPSE/L) as a simple index for assessing left ventricular longitudinal function in children. Echocardiography 2016, 33, 1703–1709. [Google Scholar] [CrossRef] [PubMed]
- Lang, R.M.; Badano, L.P.; Mor-Avi, V.; Afilalo, J.; Armstrong, A.; Ernande, L.; Flachskampf, F.A.; Foster, E.; Goldstein, S.A.; Kuznetsova, T.; et al. Recommendations for cardiac chamber quantification by echocardiography: An update from the American Society of Echocardiography and the European Association of Echocardiography. J. Am. Soc. Echocardiogr. 2015, 28, 1–39. [Google Scholar] [CrossRef] [PubMed]
- Romano, S.; Judd, R.M.; Kim, R.J.; Kim, H.W.; Heitner, J.F.; Shah, D.J.; Devereux, R.B.; Salazar, P.; Trybula, M.; Chia, R.C.; et al. Prognostic Implications of Mitral Annular Plane Systolic Excursion in Patients with Hypertension and a Clinical Indication for Cardiac Magnetic Resonance Imaging: A Multicenter Study. JACC Cardiovasc. Imaging 2019, 12, 1769–1779. [Google Scholar] [CrossRef]
- Mayr, A.; Pamminger, M.; Reindl, M.; Greulich, S.; Reinstadler, S.J.; Tiller, C.; Holzknecht, M.; Nalbach, T.; Plappert, D.; Kranewitter, C.; et al. Mitral annular plane systolic excursion by cardiac MR is an easy tool for optimized prognosis assessment in ST-elevation myocardial infarction. Eur. Radiol. 2020, 30, 620–629. [Google Scholar] [CrossRef] [PubMed] [PubMed Central]




| Title | Authors | Year | Pts No | Study Type | Conclusion |
|---|---|---|---|---|---|
| Cardiac dysfunction in mixed connective tissue disease: a nationwide observational study | Berger S.G. et al. [9] | 2023 | 136 | Observational | MAPSE was affected in patients with mixed connective tissue disease. |
| Males with abdominal aortic aneurysm have reduced left ventricular systolic and diastolic function | Åström Malm I et al. [10] | 2021 | 307 | Observational | MAPSE was reduced in subjects with abdominal aortic aneurysm. |
| Echocardiographic risk factors of left ventricular thrombus in patients with acute anterior myocardial infarction | Chen M et al. [11] | 2021 | 110 | Case–control | Septal MAPSE was significantly lower in the LVT group than in the control group. |
| Mitral Annular Plane Systolic Excursion: An Early Marker of Mortality in Severe COVID-19 | Jarori U et al. [12] | 2020 | 68 | Multi-center study | MAPSE emerged as the only left heart parameter independently associated with increased mortality. |
| Hemodynamics in Shock Patients Assessed by Critical Care Ultrasound and Its Relationship to Outcome: A Prospective Study | Zou T et al. [13] | 2020 | 181 | Prospective | MAPSE, S′-MV, TAPSE, LUSS, APACHE II, lactate, and PaO2/FiO2 were independently related to 28-day mortality, with MAPSE and S′-MV responding best for left heart function. |
| Left Ventricular Diastolic and Systolic Functions in Patients with Hypothyroidism | Tafarshiku R et al. [14] | 2020 | 81 | Observational | In patients with hypothyroidism and a reduced waste/hip ratio, there was significant evidence for compromised LV longitudinal systolic function in the form of long-axis amplitude of motion (MAPSE) and its systolic velocity. |
| Intraobserver and interobserver reproducibility of M-mode and B-mode acquired mitral annular plane systolic excursion (MAPSE) and its dependency on echocardiographic image quality in children | Hensel K O et al. [6] | 2018 | 284 | Observational | Echocardiographic image quality essentially has a negligible effect on MAPSE reproducibility and measurements. MAPSE is a robust echocardiographic parameter with convincing reproducibility for the assessment of LV function in children—even in patients with substandard imaging conditions. |
| Value of mitral annular plane systolic excursion in the assessment of contractile reserve in patients with ischemic cardiomyopathy before cardiac revascularization | G. Magdy et al. [15] | 2018 | 50 | Retrospective | MAPSE is a rapid, simple quantitative echocardiographic method that can assess contractile reserve in patients with ischemic cardiomyopathy before cardiac revascularization. |
| Evaluation of sepsis induced cardiac dysfunction as a predictor of mortality | Havaldar A.A. [16] | 2018 | 58 | Prospective | Sepsis-induced cardiac dysfunction assessed by echocardiography showed that the measurement of MAPSE when combined with APACHE II was a good predictor of mortality. Among the echocardiographic parameters, MAPSE alone was a good predictor of mortality. |
| Impaired Cardiac Function in Patients with Multiple Sclerosis by Comparison with Normal Subjects | Mincu R.I. et al. [17] | 2018 | 103 | Prospective | Patients with MS had decreased LV systolic function compared to the control subjects, as seen by lower 2D left ventricular ejection fraction (LVEF), lower 3D LVEF, MAPSE, lower “online” longitudinal myocardial systolic velocity (S’), lower global longitudinal strain (LS), and lower 3D LS. |
| Left Ventricular Longitudinal Systolic Function in Septic Shock Patients with Normal Ejection Fraction: A Case-control Study | Zhang H.M. et al. [18] | 2017 | 90 | Case–control | In the heart function appraisal of septic shock patients with a normal ejection fraction, more attention should be given to longitudinal function parameters such as MAPSE. |
| The utilization of critical care ultrasound to assess hemody-namics and lung pathology on ICU admission and the potential for predicting outcome | Yin W et al. [19] | 2017 | 451 | Retrospective | The TAPSE, ejection fraction (EF), MAPSE, and lung ultrasound score (LUS score) were significantly related to ICU mortality. |
| Left ventricular longitudinal systolic dysfunction is associated with right atrial dyssynchrony in heart failure with preserved ejection fraction. | Bytyçi I et al. [20] | 2016 | 85 | Observational | In patients with HFpEF and impaired MAPSE, RA dyssynchrony increased, compared to those with normal MAPSE. |
| Mitral annular plane systolic excursion in the assessment of left ventricular diastolic dysfunction in obese adults | Taşolar H et al. [21] | 2015 | 80 | Prospective | MAPSE may be useful in the stratification of left ventricle diastolic dysfunction in obese adults. |
| M-mode apical systolic excursion: A new and simple method to evaluate global left ventricular longitudinal strain | Amado J et al. [22] | 2015 | 31 | Observational | MAPSE and especially MMASE appear to be related to global LVLS. |
| Effects on heart function of neoadjuvant chemotherapy and chemoradiotherapy in patients with cancer in the esophagus or gastroesophageal junction—a prospective cohort pilot study within a randomized clinical trial | Lund M et al. [23] | 2015 | 40 | Prospective multi-center | Septal MAPSE decreased significantly in the chemoradiotherapy group. |
| Noninvasive Risk Stratification of Patients With Transthyretin Amyloidosis | Kristen A.V. et al. [24] | 2014 | 70 | Retrospective | NT-proBNP, troponin T, MAPSE, and the LV hypertrophy index were useful as predictors of outcome. MAPSE was predictive of survival. |
Disclaimer/Publisher’s Note: The statements, opinions and data contained in all publications are solely those of the individual author(s) and contributor(s) and not of MDPI and/or the editor(s). MDPI and/or the editor(s) disclaim responsibility for any injury to people or property resulting from any ideas, methods, instructions or products referred to in the content. |
© 2024 by the authors. Licensee MDPI, Basel, Switzerland. This article is an open access article distributed under the terms and conditions of the Creative Commons Attribution (CC BY) license (https://creativecommons.org/licenses/by/4.0/).
Share and Cite
Cirin, L.; Crișan, S.; Luca, C.-T.; Buzaș, R.; Lighezan, D.F.; Văcărescu, C.; Cozgarea, A.; Tudoran, C.; Cozma, D. Mitral Annular Plane Systolic Excursion (MAPSE): A Review of a Simple and Forgotten Parameter for Assessing Left Ventricle Function. J. Clin. Med. 2024, 13, 5265. https://doi.org/10.3390/jcm13175265
Cirin L, Crișan S, Luca C-T, Buzaș R, Lighezan DF, Văcărescu C, Cozgarea A, Tudoran C, Cozma D. Mitral Annular Plane Systolic Excursion (MAPSE): A Review of a Simple and Forgotten Parameter for Assessing Left Ventricle Function. Journal of Clinical Medicine. 2024; 13(17):5265. https://doi.org/10.3390/jcm13175265
Chicago/Turabian StyleCirin, Liviu, Simina Crișan, Constantin-Tudor Luca, Roxana Buzaș, Daniel Florin Lighezan, Cristina Văcărescu, Andreea Cozgarea, Cristina Tudoran, and Dragoș Cozma. 2024. "Mitral Annular Plane Systolic Excursion (MAPSE): A Review of a Simple and Forgotten Parameter for Assessing Left Ventricle Function" Journal of Clinical Medicine 13, no. 17: 5265. https://doi.org/10.3390/jcm13175265
APA StyleCirin, L., Crișan, S., Luca, C.-T., Buzaș, R., Lighezan, D. F., Văcărescu, C., Cozgarea, A., Tudoran, C., & Cozma, D. (2024). Mitral Annular Plane Systolic Excursion (MAPSE): A Review of a Simple and Forgotten Parameter for Assessing Left Ventricle Function. Journal of Clinical Medicine, 13(17), 5265. https://doi.org/10.3390/jcm13175265

