EUS-Guided Vascular Interventions: Recent Advances
Abstract
1. Introduction
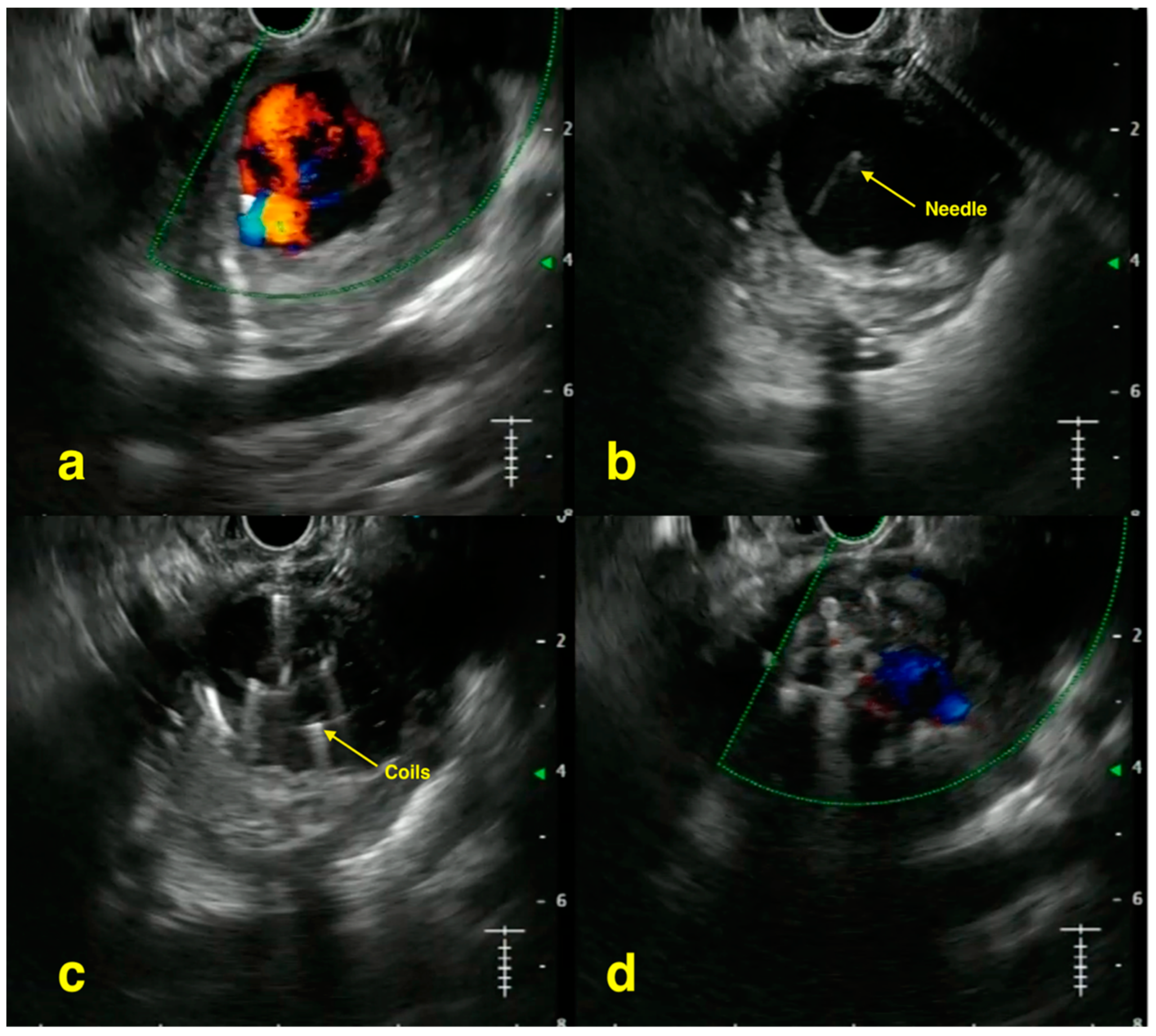
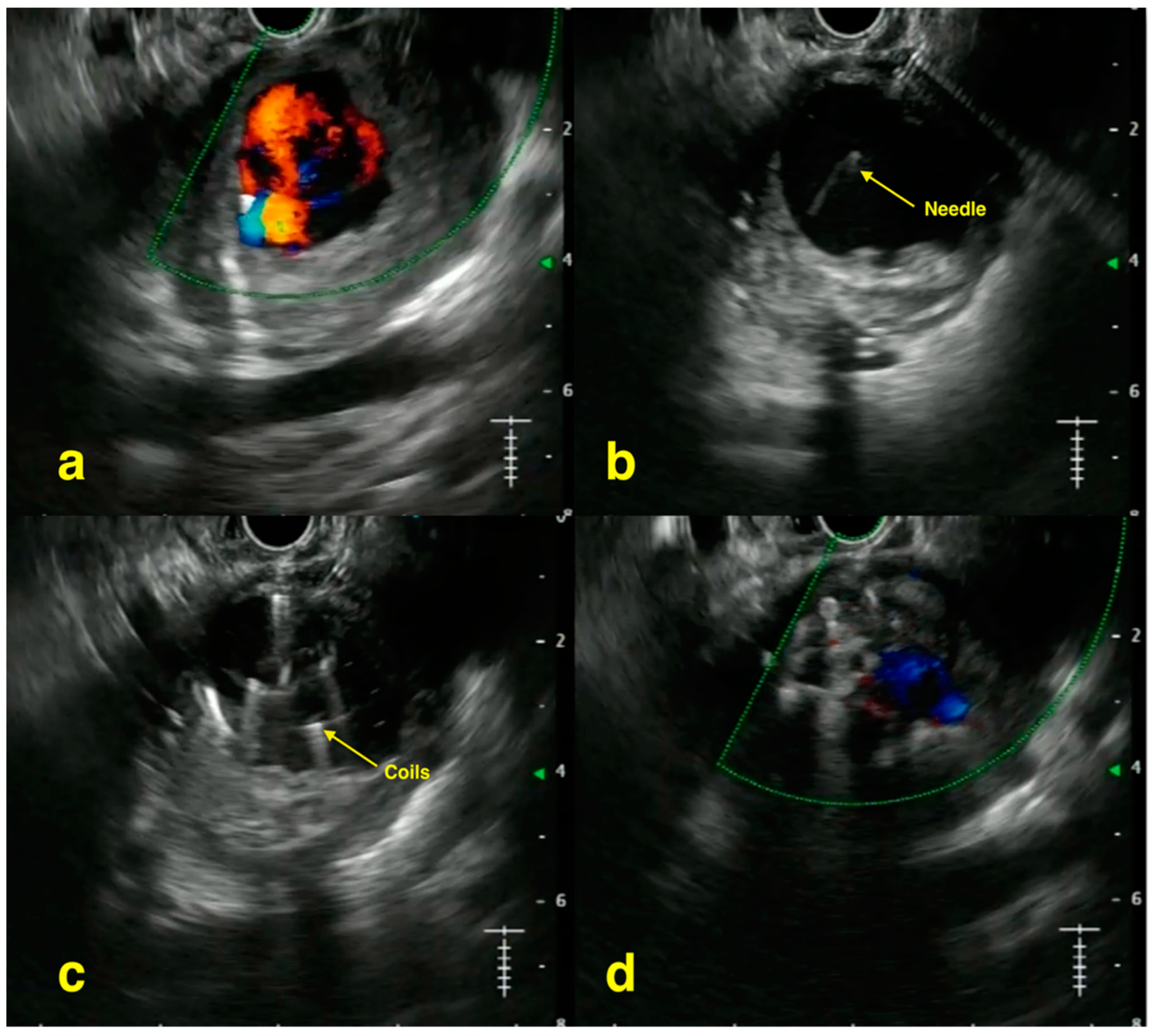
2. EUS-Guided Treatment of Gastric Varices
2.1. Primary Prophylaxis
2.2. Secondary Prophylaxis
2.3. Primary vs. Secondary Prophylaxis
2.4. Cumulative Evidence
2.5. Guidelines
2.6. Other EUS Uses
3. EUS-Guided Measurement of Portosystemic Pressure Gradient (PPG)
4. EUS-Guided Treatment of Pseudoaneurysms
5. EUS-Guided Embolization of Splenic Artery
6. EUS-Guided Treatment of Other Varices
7. EUS-Guided Management of Non-Variceal Bleeding
8. Miscellaneous Applications
9. Status as per Guidelines
10. Conclusions
Author Contributions
Funding
Institutional Review Board Statement
Informed Consent Statement
Data Availability Statement
Conflicts of Interest
Abbreviations
| EUS | endoscopic ultrasound |
| GI | gastrointestinal |
| CYA | cyanoacrylate |
| AASLD | American Association for the Study of Liver Diseases |
| RCT | randomized controlled trial |
| BRTO | balloon occlusion with retrograde transvenous obliteration |
| SPSS | spontaneous portosystemic shunts |
| NBC | N-butyl-2-cyanoacrylate |
| IR | interventional radiology |
| SUCRA | surface under the cumulative ranking curve |
| PPG | portosystemic pressure gradient |
| HVPG | hepatic venous pressure gradient |
| CT | computed tomography |
| PSE | partial splenic artery embolization |
| ETSO | EUS-guided transgastric shunt obliteration |
| EPSS | EUS-guided porto-splenic split |
| PCC | portal cavernoma cholangiopathy |
| ESGE | European Society of Gastrointestinal Endoscopy |
| AGA | American Gastroenterological Association |
References
- Baliss, M.; Patel, D.; Madi, M.Y.; Bazarbashi, A.N. EUS-Guided Vascular Interventions. J. Clin. Med. 2023, 12, 2165. [Google Scholar] [CrossRef] [PubMed] [PubMed Central]
- Mann, R.; Goyal, H.; Perisetti, A.; Chandan, S.; Inamdar, S.; Tharian, B. Endoscopic ultrasound-guided vascular interventions: Current insights and emerging techniques. World J. Gastroenterol. 2021, 27, 6874–6887. [Google Scholar] [CrossRef] [PubMed] [PubMed Central]
- Dhar, J.; Samanta, J. Endoscopic ultrasound-guided vascular interventions: An expanding paradigm. World J. Gastrointest. Endosc. 2023, 15, 216–239. [Google Scholar] [CrossRef] [PubMed] [PubMed Central]
- Lahoti, S.; Catalano, M.F.; Alcocer, E.; Hogan, W.J.; Geenen, J.E. Obliteration of esophageal varices using EUS-guided sclerotherapy with color Doppler. Gastrointest. Endosc. 2000, 51, 331–333. [Google Scholar] [CrossRef] [PubMed]
- Radlinski, M.J.; Strand, D.S.; Shami, V.M. Evolution of interventional endoscopic ultrasound. Gastroenterol. Rep. 2023, 11, goad038. [Google Scholar] [CrossRef] [PubMed] [PubMed Central]
- Gralnek, I.M.; Camus Duboc, M.; Garcia-Pagan, J.C.; Fuccio, L.; Karstensen, J.G.; Hucl, T.; Jovanovic, I.; Awadie, H.; Hernandez-Gea, V.; Tantau, M.; et al. Endoscopic diagnosis and management of esophagogastric variceal hemorrhage: European Society of Gastrointestinal Endoscopy (ESGE) Guideline. Endoscopy 2022, 54, 1094–1120. [Google Scholar] [CrossRef] [PubMed]
- Ryou, M.; DeWitt, J.M.; Das, K.K.; Shami, V.M. AGA Clinical Practice Update on Interventional EUS for Vascular Investigation and Therapy: Commentary. Clin. Gastroenterol. Hepatol. 2023, 21, 1699–1705.e2. [Google Scholar] [CrossRef] [PubMed]
- Kaplan, D.E.; Ripoll, C.; Thiele, M.; Fortune, B.E.; Simonetto, D.A.; Garcia-Tsao, G.; Bosch, J. AASLD Practice Guidance on risk stratification and management of portal hypertension and varices in cirrhosis. Hepatology 2024, 79, 1180–1211. [Google Scholar] [CrossRef] [PubMed]
- Sabry, F.; Seif, S.; Eldesoky, A.; Hakim, H.; Altonbary, A.Y. EUS-guided cyanoacrylate injection into the perforating vein versus direct endoscopic injection in the treatment of gastric varices. Endosc. Int. Open 2023, 11, E202–E210. [Google Scholar] [CrossRef] [PubMed] [PubMed Central]
- Samanta, J.; Nabi, Z.; Facciorusso, A.; Dhar, J.; Akbar, W.; Das, A.; Birda, C.L.; Mangiavillano, B.; Auriemma, F.; Crino, S.F.; et al. EUS-guided coil and glue injection versus endoscopic glue injection for gastric varices: International multicentre propensity-matched analysis. Liver Int. 2023, 43, 1783–1792. [Google Scholar] [CrossRef] [PubMed]
- Bazarbashi, A.N.; Aby, E.S.; Mallery, J.S.; El Chafic, A.H.; Wang, T.J.; Kouanda, A.; Arain, M.; Lew, D.; Gaddam, S.; Mulki, R.; et al. EUS-guided coil injection therapy in the management of gastric varices: The first U.S. multicenter experience (with video). Gastrointest. Endosc. 2024, 99, 31–37. [Google Scholar] [CrossRef] [PubMed]
- Wang, Z.; Zeng, Z.; Chen, L.; Shi, C.; Jin, J.; Zhang, F.; Zhang, Q.; Mei, X.; Kong, D. Endoscopic ultrasonography-guided injection of cyanoacrylate in the treatment of gastroesophageal varices type 1: A single-center randomized study. Surg. Endosc. 2023, 37, 8277–8284. [Google Scholar] [CrossRef] [PubMed]
- Chandan, S.; Nguyen, A.K.; Mohan, B.P.; Deliwala, S.; Ramai, D.; Kassab, L.L.; Muthusamy, A.; Facciorusso, A.; Kamal, F.; Bilal, M.; et al. EUS-guided therapies for primary and secondary prophylaxis in gastric varices-An updated systematic review and meta-analysis. Endosc. Ultrasound 2023, 12, 351–361. [Google Scholar] [CrossRef] [PubMed] [PubMed Central]
- Dhindsa, B.S.; Tun, K.M.; Fiedler, A.; Deliwala, S.; Saghir, S.M.; Scholten, K.; Ramai, D.; Girotra, M.; Chandan, S.; Dhaliwal, A.; et al. Endoscopic ultrasound-guided portal pressure gradient measurement: A systematic review and meta-analysis. Ann. Gastroenterol. 2024, 37, 356–361. [Google Scholar] [CrossRef] [PubMed] [PubMed Central]
- Jhajharia, A.; Singh, S.; Chaudhary, M.; Ameta, M.; Ashdhir, P.; Nijhawan, S. Efficacy and Rationale of Endoscopic Ultrasound-Guided Thrombin Injection in Visceral Artery Pseudoaneurysm Not Amenable to Angioembolization. Pancreas 2024, 53, e330–e337. [Google Scholar] [CrossRef] [PubMed]
- Mohan, B.P.; Chandan, S.; Khan, S.R.; Kassab, L.L.; Trakroo, S.; Ponnada, S.; Asokkumar, R.; Adler, D.G. Efficacy and safety of endoscopic ultrasound-guided therapy versus direct endoscopic glue injection therapy for gastric varices: Systematic review and meta-analysis. Endoscopy 2020, 52, 259–267. [Google Scholar] [CrossRef] [PubMed]
- Jamwal, K.D.; Padhan, R.K.; Sharma, A.; Sharma, M.K. Endoscopic ultrasound-guided coiling and glue is safe and superior to endoscopic glue injection in gastric varices with severe liver disease: A retrospective case control study. Clin. Endosc. 2023, 56, 65–74. [Google Scholar] [CrossRef] [PubMed] [PubMed Central]
- Chen, D.; Fu, S.; Shen, R. Efficacy and safety of EUS-guided coil embolization in combination with cyanoacrylate injection versus conventional endoscopic cyanoacrylate injection in the treatment of gastric varices with spontaneous portosystemic shunts. Gastroenterol. Rep. 2024, 12, goae026. [Google Scholar] [CrossRef] [PubMed] [PubMed Central]
- Zeng, Y.; Yang, J.; Zhang, J.W. Safety and efficacy of modified endoscopic ultrasound-guided selective N-butyl-2-cyanoacrylate injections for gastric variceal hemorrhage in left-sided portal hypertension. World J. Gastrointest. Endosc. 2024, 16, 29–36. [Google Scholar] [CrossRef] [PubMed] [PubMed Central]
- Huang, Z.; Zhang, W.; Lv, F.; Ma, L.; Xiao, Y.; Gao, S.; Zhang, M.; Wang, Y.; Li, P.; Zhao, H.; et al. Efficacy and safety of EUS-guided coil embolization combined with endoscopic cyanoacrylate injection versus balloon-occluded retrograde transvenous obliteration for gastric varices with high-risk ectopic embolism: A multicenter and retrospective cohort study. Endosc. Ultrasound 2023, 12, 74–83. [Google Scholar] [CrossRef] [PubMed] [PubMed Central]
- Tang, L.; Li, X.; Cui, J.; Huang, L.Y. EUS-guided coil placement and cyanoacrylate glue injection for gastric variceal bleeding with obvious spontaneous portosystemic shunts. Endosc. Ultrasound 2023, 12, 84–89. [Google Scholar] [CrossRef] [PubMed] [PubMed Central]
- Xiao, Y.; Huang, Z.; Cao, J.; Wang, Z.; Zhang, F.; Wang, Y.; Ke, G.; Liu, J.; Chen, M. Balloon-occluded retrograde transvenous obliteration combined with EUS-guided coil embolization and endoscopic cyanoacrylate injection therapy of gastric varices with huge gastrorenal shunt (with videos). Endosc. Ultrasound 2023, 12, 157–159. [Google Scholar] [CrossRef] [PubMed] [PubMed Central]
- O’Rourke, J.; Todd, A.; Shekhar, C.; Forde, C.; Pallan, A.; Wadhwani, S.; Tripathi, D.; Mahon, B.S. EUS-Guided Thrombin Injection and Coil Implantation for Gastric Varices: Feasibility, Safety, and Outcomes. Gastrointest. Endosc. 2024. ahead of print. [Google Scholar] [CrossRef] [PubMed]
- Nagashima, K.; Kashima, K.; Kunogi, Y.; Sakuma, F.; Fukushi, K.; Yamamiya, A.; Abe, Y.; Tominaga, K.; Iijima, M.; Goda, K.; et al. Treatment of endoscopic ultrasound-guided coil deployment for isolated gastric varices using 0.035-inch hydrocoil: Experience of three cases. DEN Open 2023, 4, e252. [Google Scholar] [CrossRef] [PubMed] [PubMed Central]
- Sarkis, Y.; Masuoka, H.; Ghabril, M.; Gutta, A.; Al-Haddad, M.A.; Stainko, S.; Cohen, L.; Perkins, A.; DeWitt, J.M. Comparison of endoscopic ultrasound-guided primary and secondary prophylaxis for gastric variceal bleeding. Dig. Endosc. 2023, 36, 710–718. [Google Scholar] [CrossRef] [PubMed]
- Gadour, E.; Awad, A.; Hassan, Z.; Shrwani, K.J.; Miutescu, B.; Okasha, H.H. Diagnostic and therapeutic role of endoscopic ultrasound in liver diseases: A systematic review and meta-analysis. World J. Gastroenterol. 2024, 30, 742–758. [Google Scholar] [CrossRef] [PubMed] [PubMed Central]
- Giri, S.; Jearth, V.; Seth, V.; Darak, H.; Sundaram, S. Comparison of efficacy and safety of endoscopic and radiological interventions for gastric varices: A systematic review and network meta-analysis. Clin. Exp. Hepatol. 2023, 9, 57–70. [Google Scholar] [CrossRef] [PubMed] [PubMed Central]
- Chavan, R.; Baraldo, S.; Patel, N.; Gandhi, C.; Rajput, S. Technical tips for EUS-guided embolization of varices and pseudoaneurysms. VideoGIE 2023, 9, 211–219. [Google Scholar] [CrossRef] [PubMed] [PubMed Central]
- Laleman, W.; Peiffer, K.H.; Tischendorf, M.; Ullerich, H.J.; Praktiknjo, M.; Trebicka, J. Role of endoscopy in hepatology. Dig. Liver Dis. 2023, 56, 1185–1195. [Google Scholar] [CrossRef] [PubMed]
- de Franchis, R.; Bosch, J.; Garcia-Tsao, G.; Reiberger, T.; Ripoll, C.; Baveno VII Faculty. Baveno VII—Renewing consensus in portal hypertension. J. Hepatol. 2022, 76, 959–974, Erratum in J. Hepatol. 2022, 77, 271. [Google Scholar] [CrossRef] [PubMed] [PubMed Central]
- Wang, Z.; Zhang, F.; Zeng, Z.; Bai, Y.; Chen, L.; Shi, C.; Jin, J.; Zhang, Q.; Mei, X.; Kong, D. Application of Indian ink markers for locating gastric varices under endoscopic ultrasonography. Surg. Endosc. 2024, 38, 633–639. [Google Scholar] [CrossRef] [PubMed]
- Vanderschueren, E.; Trebicka, J.; Laleman, W. Endoscopic Advances in Hepatology. Semin. Liver Dis. 2023, 43, 176–188. [Google Scholar] [CrossRef] [PubMed]
- Romero-Castro, R.; Carmona-Soria, I.; Jiménez-García, V.A.; Fernández-Álvarez, P.; Caunedo-Álvarez, Á.; Giovannini, M.; Irisawa, A. Endoscopic ultrasound-guided portal pressure gradient measurement: Improving safety and overcoming technical difficulties. Endoscopy 2023, 55 (Suppl. S1), E878–E880. [Google Scholar] [CrossRef] [PubMed] [PubMed Central]
- Sun, J.H.; Zhao, H.; Zhang, H.; Li, L.; Örmeci, N.; Yu, Z.N.; Li, X.; Li, S.; Yang, X.; Wei, H.; et al. Tolerance and acceptance of hepatic venous pressure gradient measurement in cirrhosis (CHESS1904): An international multicenter study. Port. Hypertens. Cirrhos. 2022, 1, 7–14. [Google Scholar] [CrossRef]
- Lesmana, C.R.A. Endoscopic ultrasound-guided portal pressure gradient measurement in managing portal hypertension. World J. Gastrointest. Surg. 2023, 15, 1033–1039. [Google Scholar] [CrossRef] [PubMed] [PubMed Central]
- Laleman, W.; Mertens, J.; Vanderschueren, E.; Praktiknjo, M.; Trebicka, J. Advances in Endohepatology. Am. J. Gastroenterol. 2023, 118, 1756–1767. [Google Scholar] [CrossRef] [PubMed]
- Laleman, W.; Vanderschueren, E.; Mehdi, Z.S.; Wiest, R.; Cardenas, A.; Trebicka, J. Endoscopic procedures in hepatology: Current trends and new developments. J. Hepatol. 2024, 80, 124–139. [Google Scholar] [CrossRef] [PubMed]
- Madir, A.; Grgurevic, I.; Tsochatzis, E.A.; Pinzani, M. Portal hypertension in patients with nonalcoholic fatty liver disease: Current knowledge and challenges. World J. Gastroenterol. 2024, 30, 290–307. [Google Scholar] [CrossRef] [PubMed] [PubMed Central]
- Bouvette, C.A.; Nasir, A.B.; Rumman, A. Diagnosis of gastroduodenal artery pseudoaneurysm on endoscopic Doppler ultrasonography. Gastrointest. Endosc. 2024, 99, 122–124. [Google Scholar] [CrossRef] [PubMed]
- Rai, P.; Kumar, P.; Verma, P.K.; Agarwal, K.; Singh, A.K. Endoscopic Ultrasound-Guided Glue Embolization for Left Gastric Artery Pseudoaneurysm Presenting as Hemosuccus Pancreaticus After Failed Radiological Intervention. ACG Case Rep. J. 2024, 11, e01271. [Google Scholar] [CrossRef] [PubMed] [PubMed Central]
- Samanta, J.; Dhar, J.; Bhowmick, M.; Ishan, A.; Kumar, A.; Gupta, P.; Sinha, S.K. Bleeding giant pseudoaneurysm non-visualized on arterial phase imaging: Endoscopic ultrasound-guided angioembolization to the rescue. Endoscopy 2023, 55 (Suppl. S1), E739–E740. [Google Scholar] [CrossRef] [PubMed] [PubMed Central]
- Samanta, J.; Dhar, J.; Mangipudi, U.K.; Siddharda, B.V.; Gupta, P.; Gupta, V. “Hunting” for the pseudoaneurysm in a vascular maze: Endoscopic ultrasound solving the puzzle. Endoscopy 2023, 55 (Suppl. S1), E839–E840. [Google Scholar] [CrossRef] [PubMed] [PubMed Central]
- Ogura, T.; Bessho, K.; Hattori, N.; Matsuno, J.; Nishikawa, H. Splenic artery aneurysm masquerading as an intraductal tubulopapillary neoplasm diagnosed by contrast-enhanced endoscopic ultrasound. Endoscopy 2024, 56 (Suppl. S1), E496–E497. [Google Scholar] [CrossRef] [PubMed] [PubMed Central]
- Liu, P.; Zhu, S.S.; Cao, X.G.; Kongkam, P.; Ullah, S.; Guo, C.Q. Endoscopic ultrasound-guided partial splenic embolization for hypersplenism: A novel alternative. Endoscopy 2024, 56 (Suppl. S1), E144–E145. [Google Scholar] [CrossRef] [PubMed] [PubMed Central]
- Sachdeva, S.; Vaithiyam, V.S.; Srivastava, S.; Dalal, A. Endoscopic ultrasound related partial splenic artery embolization: A gifted outcome. Indian. J. Gastroenterol. 2023, 42, 734–735. [Google Scholar] [CrossRef] [PubMed]
- Wu, W.; Wang, Q.; Gu, Y.; Sun, Y.; Wang, D.; Zou, D.; Wu, Z. Endoscopic ultrasound-guided super-selective partial splenic embolization: New embolic material and multiple safety precautions. Endoscopy 2023, 55 (Suppl. S1), E1003–E1004. [Google Scholar] [CrossRef] [PubMed] [PubMed Central]
- Tominaga, S.; Kobayashi, M.; Kato, H. Endoscopic ultrasound sclerotherapy for refractory hepatic encephalopathy associated with rectal varices. Dig. Endosc. 2024, 36, 382–383. [Google Scholar] [CrossRef] [PubMed]
- Okuno, N.; Hara, K.; Haba, S.; Kuwahara, T.; Urata, M.; Kondo, T.; Yamamoto, Y. Endoscopic ultrasound-guided vascular intervention for pancreaticojejunal variceal bleeding. Endoscopy 2024, 56 (Suppl. S1), E329–E330. [Google Scholar] [CrossRef] [PubMed] [PubMed Central]
- Dhar, J.; Bharath, N.P.; Mahajan, G.; Bhujade, H.; Gupta, P.; Facciorusso, A.; Samanta, J. Bleeding parastomal varices in a case of decompensated cirrhosis with tubercular abdominal cocoon: Endoscopic ultrasound-guided angioembolization with coil and glue to the rescue. Endoscopy 2024, 56 (Suppl. S1), E439–E440. [Google Scholar] [CrossRef] [PubMed] [PubMed Central]
- Todd, A.; Shekhar, C.; O’Rourke, J.; Forde, C.; Pallan, A.; Wadhwani, S.S.; Tripathi, D.; Mahon, B.S. Technical and clinical outcomes following EUS-guided thrombin injection and coil implantation for parastomal varices. BMJ Open Gastroenterol. 2023, 10, e000819. [Google Scholar] [CrossRef] [PubMed] [PubMed Central]
- Lesmana, C.R.A. Role of endoscopic ultrasound in non-variceal upper gastrointestinal bleeding management. Artif. Intell. Gastrointest. Endosc. 2023, 4, 12–17. [Google Scholar] [CrossRef]
- Han, C.; Ling, X.; Liu, J.; Lin, R.; Ding, Z. Management of non-variceal upper gastrointestinal bleeding: Role of endoscopic ultrasound-guided treatments. Therap Adv. Gastroenterol. 2022, 15, 17562848211056148. [Google Scholar] [CrossRef] [PubMed] [PubMed Central]
- Law, R.; Fujii-Lau, L.; Wong Kee Song, L.M.; Gostout, C.J.; Kamath, P.S.; Abu Dayyeh, B.K.; Gleeson, F.C.; Rajan, E.; Topazian, M.D.; Levy, M.J. Efficacy of endoscopic ultrasound-guided hemostatic interventions for resistant nonvariceal bleeding. Clin. Gastroenterol. Hepatol. 2015, 13, 808–812.e1. [Google Scholar] [CrossRef] [PubMed]
- Uribarri-González, L.; Pérez-Aguado, G.; Arrubla Gamboa, A.; Vila, J.J. EUS-guided therapy of nonvariceal refractory bleeding: A prospective observational study. Endosc. Ultrasound 2022, 11, 336–337. [Google Scholar] [CrossRef] [PubMed] [PubMed Central]
- Rathi, S.; Kalantri, A.; Shastri, A.; Shree, R.; Mahesh, K.V.; Taneja, S.; Chaluvasetty, S.B.; Bhujade, H.; Verma, N.; Premkumar, M.; et al. Endoscopic Ultrasound-Guided Transgastric Shunt Obliteration for Recurrent Hepatic Encephalopathy. Am. J. Gastroenterol. 2023, 118, 1895–1898. [Google Scholar] [CrossRef] [PubMed]
- Rathi, S.; Shastri, A.; Kalantri, A.; Shree, R.; Chaluvasetty, S.B.; Taneja, S.; Duseja, A. 796: Endoscopic Ultrasound Guided Porto-Splenic Split(EPSS) for Refractory Hepatic Encephalopathy: New Frontiers for Endohepatology. Available online: https://www.videogie.org/pb-assets/Health%20Advance/journals/vgie/VGIE_2024_DDW_Abstracts_RV-1716396662690.pdf (accessed on 1 August 2024).
- Kotinda, A.P.S.T.; Poujol-Robert, A.; Payance, A.; Leenhardt, R.; Camus Duboc, M.; Dray, X.; Chaput, U. Endoscopic ultrasound evaluation of portal cavernoma cholangiopathy and endoscopic management of choledochal variceal rupture during ERCP. Endoscopy 2024, 56 (Suppl. S1), E39–E40. [Google Scholar] [CrossRef] [PubMed] [PubMed Central]
- Feng, X.; Li, H. Endoscopic Ultrasound-Guided Sclerotherapy With Lauromacrogol: A Novel Therapy for A Giant Esophageal Hemangioma. Am. J. Gastroenterol. 2024, 119, 24. [Google Scholar] [CrossRef] [PubMed]
- Ko, S.W.; Yoon, S.B. Clinical implications and perspectives of portal venous circulating tumor cells in pancreatic cancer. World J. Gastrointest. Oncol. 2023, 15, 632–643. [Google Scholar] [CrossRef] [PubMed] [PubMed Central]
- Facciorusso, A.; Straus Takahashi, M.; Eyileten Postula, C.; Buccino, V.R.; Muscatiello, N. Efficacy of hemostatic powders in upper gastrointestinal bleeding: A systematic review and meta-analysis. Dig. Liver Dis. 2019, 51, 1633–1640. [Google Scholar] [CrossRef] [PubMed]
- Facciorusso, A.; Kovacevic, B.; Yang, D.; Vilas-Boas, F.; Martínez-Moreno, B.; Stigliano, S.; Rizzatti, G.; Sacco, M.; Arevalo-Mora, M.; Villarreal-Sanchez, L.; et al. Predictors of adverse events after endoscopic ultrasound-guided through-the-needle biopsy of pancreatic cysts: A recursive partitioning analysis. Endoscopy 2022, 54, 1158–1168. [Google Scholar] [CrossRef] [PubMed]
- Mangiavillano, B.; Moon, J.H.; Crinò, S.F.; Larghi, A.; Pham, K.D.; Teoh, A.Y.B.; Paduano, D.; Lee, Y.N.; Yoo, H.W.; Shin, I.S.; et al. Safety and efficacy of a novel electrocautery-enhanced lumen-apposing metal stent in interventional EUS procedures (with video). Gastrointest. Endosc. 2022, 95, 115–122. [Google Scholar] [CrossRef] [PubMed]
- Duarte-Chavez, R.; Mehta, S.; Bahirwani, J.; Modi, R.; Stawicki, S. The Use of Biomaterials in Gastrointestinal Endoscopy; IntechOpen: London, UK, 2020. [Google Scholar] [CrossRef]
- Cheung, D.Y.; Jang, B.I.; Kim, S.W.; Kim, J.H.; Kim, H.K.; Shin, J.E.; Yoon, W.J.; Lee, Y.K.; Chung, K.H.; Cho, S.J.; et al. Multidisciplinary and Multisociety Practice Guideline on Reprocessing Flexible Gastrointestinal Endoscopes and Endoscopic Accessories. Clin. Endosc. 2020, 53, 276–285. [Google Scholar] [CrossRef] [PubMed] [PubMed Central]
- Poiraud, M.; Gkolfakis, P.; Arvanitakis, M. Recent Developments in the Field of Endoscopic Ultrasound for Diagnosis, Staging, and Treatment of Pancreatic Lesions. Cancers 2023, 15, 2547. [Google Scholar] [CrossRef] [PubMed] [PubMed Central]
- Fabbri, C.; Scalvini, D.; Paolo, G.; Binda, C.; Mauro, A.; Coluccio, C.; Mazza, S.; Trebbi, M.; Torello Viera, F.; Anderloni, A. Complications and management of interventional endoscopic ultrasound: A critical review. Best. Pract. Res. Clin. Gastroenterol. 2024, 69, 101888. [Google Scholar] [CrossRef] [PubMed]
- Canakis, A.; Baron, T.H. Therapeutic Endoscopic Ultrasound: Current Indications and Future Perspectives. GE Port. J. Gastroenterol. 2023, 30 (Suppl. S1), 4–18. [Google Scholar] [CrossRef] [PubMed] [PubMed Central]
- Rizzatti, G.; Larghi, A. Ecoendoscopia terapeutica: Indicazioni attuali e sviluppi futuri [Therapeutic endoscopic ultrasound: Current indications and future perspectives]. Recenti Prog. Med. 2021, 112, 54–57. (In Italian) [Google Scholar] [CrossRef] [PubMed]
- Venkatachalapathy, S.; Nayar, M.K. Therapeutic endoscopic ultrasound. Frontline Gastroenterol. 2017, 8, 119–123. [Google Scholar] [CrossRef] [PubMed] [PubMed Central]
- van Wanrooij, R.L.J.; Bronswijk, M.; Kunda, R.; Everett, S.M.; Lakhtakia, S.; Rimbas, M.; Hucl, T.; Badaoui, A.; Law, R.; Arcidiacono, P.G.; et al. Therapeutic endoscopic ultrasound: European Society of Gastrointestinal Endoscopy (ESGE) Technical Review. Endoscopy 2022, 54, 310–332. [Google Scholar] [CrossRef] [PubMed]
- van der Merwe, S.W.; van Wanrooij, R.L.J.; Bronswijk, M.; Everett, S.; Lakhtakia, S.; Rimbas, M.; Hucl, T.; Kunda, R.; Badaoui, A.; Law, R.; et al. Therapeutic endoscopic ultrasound: European Society of Gastrointestinal Endoscopy (ESGE) Guideline. Endoscopy 2022, 54, 185–205. [Google Scholar] [CrossRef] [PubMed]
- Johnson, G.; Webster, G.; Boškoski, I.; Campos, S.; Gölder, S.K.; Schlag, C.; Anderloni, A.; Arnelo, U.; Badaoui, A.; Bekkali, N.; et al. Curriculum for ERCP and endoscopic ultrasound training in Europe: European Society of Gastrointestinal Endoscopy (ESGE) Position Statement. Endoscopy 2021, 53, 1071–1087. [Google Scholar] [CrossRef] [PubMed]
- Badaoui, A.; Teles de Campos, S.; Fusaroli, P.; Gincul, R.; Kahaleh, M.; Poley, J.W.; Sosa Valencia, L.; Czako, L.; Gines, A.; Hucl, T.; et al. Curriculum for diagnostic endoscopic ultrasound training in Europe: European Society of Gastrointestinal Endoscopy (ESGE) Position Statement. Endoscopy 2024, 56, 222–240. [Google Scholar] [CrossRef] [PubMed]
- Miutescu, B.; Dhir, V. Training and quality indicators in interventional endoscopic ultrasound. Dig. Endosc. 2024. ahead of print. [Google Scholar] [CrossRef] [PubMed]
- Chantarojanasiri, T.; Siripun, A.; Pinyotheppratarn, R.; Kongkam, P.; Pausawasdi, N.; Ratanachu-Ek, T. Revolution of hands-on model for interventional EUS: How to make a training model. Endosc. Ultrasound 2024, 13, 76–82. [Google Scholar] [CrossRef] [PubMed] [PubMed Central]
- Gheorghiu, M.I.; Seicean, A.; Pojoga, C.; Hagiu, C.; Seicean, R.; Sparchez, Z. Contrast-enhanced guided endoscopic ultrasound procedures. World J. Gastroenterol. 2024, 30, 2311–2320. [Google Scholar] [CrossRef] [PubMed] [PubMed Central]


| Year | EUS-Guided Intervention |
|---|---|
| 2000 | EUS-guided sclerotherapy of esophageal varices |
| 2000 | EUS-guided treatment of bleeding gastric varices via injection of cyanoacrylate |
| 2008 | EUS-guided treatment of non-variceal bleeding (hemosuccus pancreaticus, dieulafoy lesion, duodenal ulcer, gastrointestinal stromal tumor) |
| 2010 | EUS-guided treatment of ectopic (rectal) varices |
| 2015 | EUS-guided portal vein sampling for tumor cells |
| 2017 | EUS-guided measurement of portal pressure gradient |
| Study | Type | Outcome |
|---|---|---|
| Sabry 2023 [9] | Randomized trial | EUS-guided cyanoacrylate (CYA) injection into the perforating veins vs. direct endoscopic injection of gastric varices:
|
| Samanta 2023 [10] | Propensity-matched analysis | EUS-guided therapy (coils and CYA glue, n = 58) vs. 118 cases of endoscopic CYA injection in patients with gastric varices:
|
| Bazarbashi 2024 [11] | Retrospective analysis | EUS-guided coil injection of gastric varices (with adjunctive glue or absorbable gelatin sponge in 82% patients):
|
| Wang 2023 [12] | Randomized trial | EUS-guided CYA injection of type 1-isolated gastric varices vs. direct endoscopic injection of CYA:
|
| Chandan 2023 [13] | Meta-analysis | EUS-guided management for primary and secondary prophylaxis of gastric varices (18 studies, 604 patients):
|
| Dhindsa 2024 [14] | Meta-analysis | EUS-guided measurement of portosystemic pressure gradient (8 cohort studies, 178 patients):
|
| Jhajharia 2024 [15] | Prospective study | EUS-guided thrombin injection for pseudoaneurysm management (20 patients):
|
Disclaimer/Publisher’s Note: The statements, opinions and data contained in all publications are solely those of the individual author(s) and contributor(s) and not of MDPI and/or the editor(s). MDPI and/or the editor(s) disclaim responsibility for any injury to people or property resulting from any ideas, methods, instructions or products referred to in the content. |
© 2024 by the authors. Licensee MDPI, Basel, Switzerland. This article is an open access article distributed under the terms and conditions of the Creative Commons Attribution (CC BY) license (https://creativecommons.org/licenses/by/4.0/).
Share and Cite
Singh, S.; Chandan, S.; Inamdar, S.; Kadkhodayan, K.S.; Dhar, J.; Samanta, J.; Facciorusso, A. EUS-Guided Vascular Interventions: Recent Advances. J. Clin. Med. 2024, 13, 4835. https://doi.org/10.3390/jcm13164835
Singh S, Chandan S, Inamdar S, Kadkhodayan KS, Dhar J, Samanta J, Facciorusso A. EUS-Guided Vascular Interventions: Recent Advances. Journal of Clinical Medicine. 2024; 13(16):4835. https://doi.org/10.3390/jcm13164835
Chicago/Turabian StyleSingh, Sahib, Saurabh Chandan, Sumant Inamdar, Kambiz S. Kadkhodayan, Jahnvi Dhar, Jayanta Samanta, and Antonio Facciorusso. 2024. "EUS-Guided Vascular Interventions: Recent Advances" Journal of Clinical Medicine 13, no. 16: 4835. https://doi.org/10.3390/jcm13164835
APA StyleSingh, S., Chandan, S., Inamdar, S., Kadkhodayan, K. S., Dhar, J., Samanta, J., & Facciorusso, A. (2024). EUS-Guided Vascular Interventions: Recent Advances. Journal of Clinical Medicine, 13(16), 4835. https://doi.org/10.3390/jcm13164835

