Infratubercle Anterior Closing Wedge Osteotomy Corrects Sagittal Alignment without Affecting Coronal Alignment or Patellar Height
Abstract
1. Introduction
2. Methods
2.1. Study Population and Design
2.2. Surgical Options and Procedures
2.3. Postoperative Rehabilitation
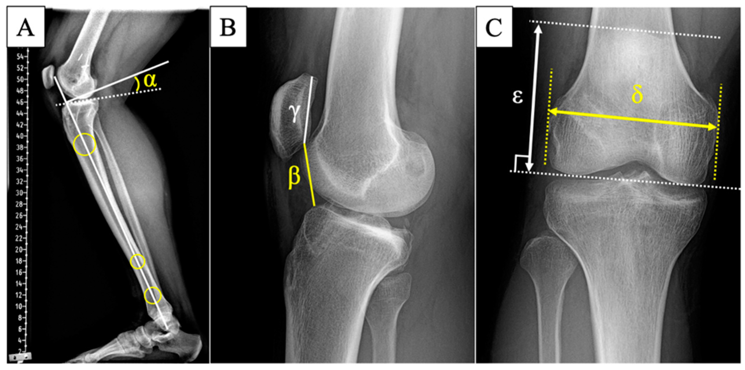
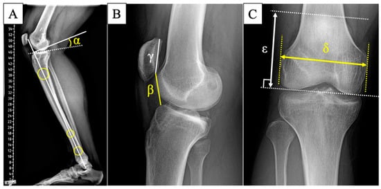
2.4. Radiographic Measurements and Clinical Outcomes
2.5. Statistical Analysis
3. Results
4. Discussion
5. Limitations
6. Conclusions
Author Contributions
Funding
Institutional Review Board Statement
Informed Consent Statement
Data Availability Statement
Conflicts of Interest
References
- Diquattro, E.; Jahnke, S.; Traina, F.; Perdisa, F.; Becker, R.; Kopf, S. ACL surgery: Reasons for failure and management. EFORT Open Rev. 2023, 8, 319–330. [Google Scholar] [CrossRef] [PubMed]
- Webster, K.E.; Feller, J.A. Exploring the High Reinjury Rate in Younger Patients Undergoing Anterior Cruciate Ligament Reconstruction. Am. J. Sports Med. 2016, 44, 2827–2832. [Google Scholar] [CrossRef]
- Della Villa, F.; Hagglund, M.; Della Villa, S.; Ekstrand, J.; Walden, M. High rate of second ACL injury following ACL reconstruction in male professional footballers: An updated longitudinal analysis from 118 players in the UEFA Elite Club Injury Study. Br. J. Sports Med. 2021, 55, 1350–1356. [Google Scholar] [CrossRef]
- Barber-Westin, S.; Noyes, F.R. One in 5 Athletes Sustain Reinjury Upon Return to High-Risk Sports After ACL Reconstruction: A Systematic Review in 1239 Athletes Younger Than 20 Years. Sports Health 2020, 12, 587–597. [Google Scholar] [CrossRef]
- Salmon, L.J.; Heath, E.; Akrawi, H.; Roe, J.P.; Linklater, J.; Pinczewski, L.A. 20-Year Outcomes of Anterior Cruciate Ligament Reconstruction with Hamstring Tendon Autograft: The Catastrophic Effect of Age and Posterior Tibial Slope. Am. J. Sports Med. 2018, 46, 531–543. [Google Scholar] [CrossRef]
- Sanders, T.L.; Pareek, A.; Hewett, T.E.; Levy, B.A.; Dahm, D.L.; Stuart, M.J.; Krych, A.J. Long-term rate of graft failure after ACL reconstruction: A geographic population cohort analysis. Knee Surg Sports Traumatol. Arthrosc. 2017, 25, 222–228. [Google Scholar] [CrossRef]
- Maletis, G.B.; Inacio, M.C.; Funahashi, T.T. Risk factors associated with revision and contralateral anterior cruciate ligament reconstructions in the Kaiser Permanente ACLR registry. Am. J. Sports Med. 2015, 43, 641–647. [Google Scholar] [CrossRef] [PubMed]
- Cruz, A.I., Jr.; Beck, J.J.; Ellington, M.D.; Mayer, S.W.; Pennock, A.T.; Stinson, Z.S.; VandenBerg, C.D.; Barrow, B.; Gao, B.; Ellis, H.B., Jr. Failure Rates of Autograft and Allograft ACL Reconstruction in Patients 19 Years of Age and Younger: A Systematic Review and Meta-Analysis. JBJS Open Access 2020, 5, e20.00042. [Google Scholar] [CrossRef] [PubMed]
- Webb, J.M.; Salmon, L.J.; Leclerc, E.; Pinczewski, L.A.; Roe, J.P. Posterior tibial slope and further anterior cruciate ligament injuries in the anterior cruciate ligament-reconstructed patient. Am. J. Sports Med. 2013, 41, 2800–2804. [Google Scholar] [CrossRef]
- Shelbourne, K.D.; Benner, R.W.; Jones, J.A.; Gray, T. Posterior Tibial Slope in Patients Undergoing Anterior Cruciate Ligament Reconstruction with Patellar Tendon Autograft: Analysis of Subsequent ACL Graft Tear or Contralateral ACL Tear. Am. J. Sports Med. 2021, 49, 620–625. [Google Scholar] [CrossRef]
- Lee, C.C.; Youm, Y.S.; Cho, S.D.; Jung, S.H.; Bae, M.H.; Park, S.J.; Kim, H.W. Does Posterior Tibial Slope Affect Graft Rupture following Anterior Cruciate Ligament Reconstruction? Arthroscopy 2018, 34, 2152–2155. [Google Scholar] [CrossRef]
- Giffin, J.R.; Vogrin, T.M.; Zantop, T.; Woo, S.L.; Harner, C.D. Effects of increasing tibial slope on the biomechanics of the knee. Am. J. Sports Med. 2004, 32, 376–382. [Google Scholar] [CrossRef]
- Imhoff, F.B.; Mehl, J.; Comer, B.J.; Obopilwe, E.; Cote, M.P.; Feucht, M.J.; Wylie, J.D.; Imhoff, A.B.; Arciero, R.A.; Beitzel, K. Slope-reducing tibial osteotomy decreases ACL-graft forces and anterior tibial translation under axial load. Knee Surg. Sports Traumatol. Arthrosc. 2019, 27, 3381–3389. [Google Scholar] [CrossRef] [PubMed]
- Yamaguchi, K.T.; Cheung, E.C.; Markolf, K.L.; Boguszewski, D.V.; Mathew, J.; Lama, C.J.; McAllister, D.R.; Petrigliano, F.A. Effects of Anterior Closing Wedge Tibial Osteotomy on Anterior Cruciate Ligament Force and Knee Kinematics. Am. J. Sports Med. 2018, 46, 370–377. [Google Scholar] [CrossRef] [PubMed]
- Dejour, D.; Saffarini, M.; Demey, G.; Baverel, L. Tibial slope correction combined with second revision ACL produces good knee stability and prevents graft rupture. Knee Surg. Sports Traumatol. Arthrosc. 2015, 23, 2846–2852. [Google Scholar] [CrossRef]
- Mabrouk, A.; Kley, K.; Jacquet, C.; Fayard, J.M.; An, J.S.; Ollivier, M. Outcomes of Slope-Reducing Proximal Tibial Osteotomy Combined with a Third Anterior Cruciate Ligament Reconstruction Procedure with a Focus on Return to Impact Sports. Am. J. Sports Med. 2023, 51, 3454–3463. [Google Scholar] [CrossRef]
- Song, G.Y.; Ni, Q.K.; Zheng, T.; Zhang, Z.J.; Feng, H.; Zhang, H. Slope-Reducing Tibial Osteotomy Combined with Primary Anterior Cruciate Ligament Reconstruction Produces Improved Knee Stability in Patients with Steep Posterior Tibial Slope, Excessive Anterior Tibial Subluxation in Extension, and Chronic Meniscal Posterior Horn Tears. Am. J. Sports Med. 2020, 48, 3486–3494. [Google Scholar] [CrossRef]
- Baldwin, P.; Li, D.J.; Auston, D.A.; Mir, H.S.; Yoon, R.S.; Koval, K.J. Autograft, Allograft, and Bone Graft Substitutes: Clinical Evidence and Indications for Use in the Setting of Orthopaedic Trauma Surgery. J. Orthop. Trauma 2019, 33, 203–213. [Google Scholar] [CrossRef]
- Mayer, P.; Schuster, P.; Schlumberger, M.; Michalski, S.; Gesslein, M.; Beel, W.; Immendorfer, M.; Richter, J. Effect of Anterior Tibial Closing Wedge Osteotomy on Coronal Tibial Alignment in Relation to Preoperative Medial Proximal Tibial Angle and Wedge Height. Am. J. Sports Med. 2023, 51, 2567–2573. [Google Scholar] [CrossRef]
- Weiler, A.; Gwinner, C.; Wagner, M.; Ferner, F.; Strobel, M.J.; Dickschas, J. Significant slope reduction in ACL deficiency can be achieved both by anterior closing-wedge and medial open-wedge high tibial osteotomies: Early experiences in 76 cases. Knee Surg. Sports Traumatol. Arthrosc. 2022, 30, 1967–1975. [Google Scholar] [CrossRef]
- Luyckx, T.; Didden, K.; Vandenneucker, H.; Labey, L.; Innocenti, B.; Bellemans, J. Is there a biomechanical explanation for anterior knee pain in patients with patella alta?: Influence of patellar height on patellofemoral contact force, contact area and contact pressure. J. Bone Jt. Surg. Br. Vol. 2009, 91, 344–350. [Google Scholar] [CrossRef]
- Ambra, L.F.; Hinckel, B.B.; Arendt, E.A.; Farr, J.; Gomoll, A.H. Anatomic Risk Factors for Focal Cartilage Lesions in the Patella and Trochlea: A Case-Control Study. Am. J. Sports Med. 2019, 47, 2444–2453. [Google Scholar] [CrossRef] [PubMed]
- Fitzpatrick, C.K.; Steensen, R.N.; Tumuluri, A.; Trinh, T.; Bentley, J.; Rullkoetter, P.J. Computational analysis of factors contributing to patellar dislocation. J. Orthop. Res. 2016, 34, 444–453. [Google Scholar] [CrossRef] [PubMed]
- Vives-Barquiel, M.A.; Torrents, A.; Lozano, L.; Martinez-Pastor, J.C.; Macule, F.; Segur, J.M.; Popescu, D. Proximalize osteotomy of tibial tuberosity (POTT) as a treatment for stiffness secondary to patella baja in total knee arthroplasty (TKA). Arch. Orthop. Trauma Surg. 2015, 135, 1445–1451. [Google Scholar] [CrossRef] [PubMed]
- Stefanik, J.J.; Guermazi, A.; Zhu, Y.; Zumwalt, A.C.; Gross, K.D.; Clancy, M.; Lynch, J.A.; Segal, N.A.; Lewis, C.E.; Roemer, F.W.; et al. Quadriceps weakness, patella alta, and structural features of patellofemoral osteoarthritis. Arthritis Care Res. 2011, 63, 1391–1397. [Google Scholar] [CrossRef] [PubMed]
- Haj-Mirzaian, A.; Guermazi, A.; Pishgar, F.; Pourvaziri, A.; Roemer, F.W.; Sereni, C.; Hakky, M.; Zikria, B.; Stefanik, J.J.; Demehri, S. Association of patella alta with worsening of patellofemoral osteoarthritis-related structural damage: Data from the Osteoarthritis Initiative. Osteoarthr. Cartil. 2019, 27, 278–285. [Google Scholar] [CrossRef] [PubMed]
- Dan, M.J.; Cance, N.; Pineda, T.; Demey, G.; Dejour, D.H. Four to 6° Is the Target Posterior Tibial Slope After Tibial Deflection Osteotomy According to the Knee Static Anterior Tibial Translation. Arthroscopy 2024, 40, 846–854. [Google Scholar] [CrossRef] [PubMed]
- Guy, S.; Saithna, A.; Ferreira, A.; Carrozzo, A.; Vieira, T.D.; Ollivier, M.P.; Sonnery-Cottet, B. The Influence of Tibial Tubercle-Sparing Slope-Reducing Osteotomy on Patellar Height in Patients Undergoing Revision ACL Reconstruction. Am. J. Sports Med. 2024, 52, 919–927. [Google Scholar] [CrossRef] [PubMed]
- Floyd, E.R.; Carlson, G.B.; Monson, J.; LaPrade, R.F. Tibial Tubercle Preserving Anterior Closing Wedge Proximal Tibial Osteotomy and ACL Tunnel Bone Grafting for Increased Posterior Tibial Slope in Failed ACL Reconstructions. Arthrosc. Tech. 2021, 10, e2221–e2228. [Google Scholar] [CrossRef]
- Akoto, R.; Alm, L.; Drenck, T.C.; Frings, J.; Krause, M.; Frosch, K.H. Slope-Correction Osteotomy with Lateral Extra-articular Tenodesis and Revision Anterior Cruciate Ligament Reconstruction Is Highly Effective in Treating High-Grade Anterior Knee Laxity. Am. J. Sports Med. 2020, 48, 3478–3485. [Google Scholar] [CrossRef]
- Dickschas, J.; Strobel, M.J.; Weiler, A.; Lobenhoffer, P.; Simon, M. Tibial Slope Correction as an Infratuberosity Closing-Wedge Extension Osteotomy in ACL-Deficient Knees. Z. Orthop. Unf. 2020, 158, 532–533. [Google Scholar] [CrossRef] [PubMed]
- Demey, G.; Mesnard, G.; Giovannetti de Sanctis, E.; Dejour, D. A Supratuberosity Anterior Closing-Wedge Proximal Tibial Osteotomy Increases Patellar Height: A Simulated Time Zero Uniplanar Radiographic Study. Arthroscopy 2024, 40, 1544–1554.e1. [Google Scholar] [CrossRef] [PubMed]
- Luceri, F.; Basilico, M.; Batailler, C.; Randelli, P.S.; Peretti, G.M.; Servien, E.; Lustig, S. Effects of sagittal tibial osteotomy on frontal alignment of the knee and patellar height. Int. Orthop. 2020, 44, 2291–2298. [Google Scholar] [CrossRef] [PubMed]
- Tollefson, L.V.; Kennedy, N.I.; Banovetz, M.T.; Homan, M.D.; Engebretsen, L.; Moatshe, G.; Wulf, C.A.; Larson, C.M.; LaPrade, R.F. Supratubercle Anterior Closing Wedge Osteotomy: No Changes in Patellar Height and Significant Decreases in Anterior Tibial Translation at 6 Months Postoperatively. Am J Sports Med 2024, 3635465241252982. [Google Scholar] [CrossRef] [PubMed]
- Christel, P.; Djian, P. Anterio-lateral extra-articular tenodesis of the knee using a short strip of fascia lata. Rev. Chir. Orthop. Reparatrice Appar. Mot. 2002, 88, 508–513. [Google Scholar] [PubMed]
- Sonnery-Cottet, B.; Hopper, G.P.; Gousopoulos, L.; Pioger, C.; Vieira, T.D.; Thaunat, M.; Fayard, J.M.; Freychet, B.; Cavaignac, E.; Saithna, A. Incidence of and Risk Factors for Arthrogenic Muscle Inhibition in Acute Anterior Cruciate Ligament Injuries: A Cross-Sectional Study and Analysis of Associated Factors From the SANTI Study Group. Am. J. Sports Med. 2024, 52, 60–68. [Google Scholar] [CrossRef]
- Sonnery-Cottet, B.; Ripoll, T.; Cavaignac, E. Prevention of knee stiffness following ligament reconstruction: Understanding the role of Arthrogenic Muscle Inhibition (AMI). Orthop. Traumatol. Surg. Res. 2024, 110, 103784. [Google Scholar] [CrossRef]
- Ho, J.P.Y.; Merican, A.M.; Hashim, M.S.; Abbas, A.A.; Chan, C.K.; Mohamad, J.A. Three-Dimensional Computed Tomography Analysis of the Posterior Tibial Slope in 100 Knees. J. Arthroplast. 2017, 32, 3176–3183. [Google Scholar] [CrossRef]
- Naendrup, J.H.; Drouven, S.F.; Shaikh, H.S.; Jaecker, V.; Offerhaus, C.; Shafizadeh, S.T.; Pfeiffer, T.R. High variability of tibial slope measurement methods in daily clinical practice: Comparisons between measurements on lateral radiograph, magnetic resonance imaging, and computed tomography. Knee 2020, 27, 923–929. [Google Scholar] [CrossRef]
- Lipps, D.B.; Wilson, A.M.; Ashton-Miller, J.A.; Wojtys, E.M. Evaluation of different methods for measuring lateral tibial slope using magnetic resonance imaging. Am. J. Sports Med. 2012, 40, 2731–2736. [Google Scholar] [CrossRef]
- Ihle, C.; Ahrend, M.; Grunwald, L.; Ateschrang, A.; Stockle, U.; Schroter, S. No change in patellar height following open wedge high tibial osteotomy using a novel femur-referenced measurement method. Knee 2017, 24, 1118–1128. [Google Scholar] [CrossRef] [PubMed]
- Caton, J.; Deschamps, G.; Chambat, P.; Lerat, J.L.; Dejour, H. Patella infera. Apropos of 128 cases. Rev. Chir. Orthop. Reparatrice Appar. Mot. 1982, 68, 317–325. [Google Scholar] [PubMed]
- Seil, R.; Muller, B.; Georg, T.; Kohn, D.; Rupp, S. Reliability and interobserver variability in radiological patellar height ratios. Knee Surg. Sports Traumatol. Arthrosc. 2000, 8, 231–236. [Google Scholar] [CrossRef] [PubMed]
- Carissimi, M.; Sautet, P.; Charre, D.; Hanak, L.; Ollivier, M.; Micicoi, G. Patellar height is not modified after isolated open-wedge high tibial osteotomy without change in posterior tibial slope. Orthop. Traumatol. Surg. Res. 2021, 107, 103032. [Google Scholar] [CrossRef] [PubMed]
- Rodner, C.M.; Adams, D.J.; Diaz-Doran, V.; Tate, J.P.; Santangelo, S.A.; Mazzocca, A.D.; Arciero, R.A. Medial opening wedge tibial osteotomy and the sagittal plane: The effect of increasing tibial slope on tibiofemoral contact pressure. Am. J. Sports Med. 2006, 34, 1431–1441. [Google Scholar] [CrossRef] [PubMed]
- Rozinthe, A.; van Rooij, F.; Demey, G.; Saffarini, M.; Dejour, D. Tibial slope correction combined with second revision ACLR grants good clinical outcomes and prevents graft rupture at 7-15-year follow-up. Knee Surg. Sports Traumatol. Arthrosc. 2022, 30, 2336–2341. [Google Scholar] [CrossRef] [PubMed]
- Chen, J.L.; Allen, C.R.; Stephens, T.E.; Haas, A.K.; Huston, L.J.; Wright, R.W.; Feeley, B.T.; Multicenter, A.C.L.R.S.G. Differences in mechanisms of failure, intraoperative findings, and surgical characteristics between single- and multiple-revision ACL reconstructions: A MARS cohort study. Am. J. Sports Med. 2013, 41, 1571–1578. [Google Scholar] [CrossRef] [PubMed]
- Cho, J.H.; Nam, H.S.; Ho, J.P.Y.; Tu, N.T.; Lee, Y.S. Retro-tubercular Biplanar Medial Opening-Wedge High Tibial Osteotomy Results in Superior Patellofemoral Alignment Versus Supra-tubercular Osteotomy. Arthroscopy 2024, 40, 1206–1219. [Google Scholar] [CrossRef]
- Mabrouk, A.; An, J.S.; Fernandes, L.R.; Kley, K.; Jacquet, C.; Ollivier, M. Maintaining Posterior Tibial Slope and Patellar Height During Medial Opening Wedge High Tibial Osteotomy. Orthop. J. Sports Med. 2023, 11, 23259671231213595. [Google Scholar] [CrossRef]
- Ferner, F.; Lutter, C.; Dickschas, J.; Strecker, W. Medial open wedge vs. lateral closed wedge high tibial osteotomy—Indications based on the findings of patellar height, leg length, torsional correction and clinical outcome in one hundred cases. Int. Orthop. 2019, 43, 1379–1386. [Google Scholar] [CrossRef]
- Bin, S.I.; Kim, H.J.; Ahn, H.S.; Rim, D.S.; Lee, D.H. Changes in Patellar Height After Opening Wedge and Closing Wedge High Tibial Osteotomy: A Meta-analysis. Arthroscopy 2016, 32, 2393–2400. [Google Scholar] [CrossRef]
- Cance, N.; Dan, M.J.; Pineda, T.; Demey, G.; DeJour, D.H. Radiographic Investigation of Coronal Plane and Patellar Height and Changes following Tibial Deflection Osteotomy for Correction of Tibial Slope in Combination with ACL Reconstruction. Am. J. Sports Med. 2024, 52, 691–697. [Google Scholar] [CrossRef]
- Luceri, F.; Basilico, M.; Batailler, C.; Randelli, P.S.; Lustig, S.; Servien, E. The Dynamic Effect of Anterior Cruciate Ligament Deficiency on Patellar Height. Indian J. Orthop. 2022, 56, 1403–1409. [Google Scholar] [CrossRef]
- Trojani, C.; Micicoi, G.; Boileau, P. High tibial flexion osteotomy for symptomatic ligamentous genu recurvatum. Orthop. Traumatol. Surg. Res. 2021, 107, 103025. [Google Scholar] [CrossRef]
- Moroni, A.; Pezzuto, V.; Pompili, M.; Zinghi, G. Proximal osteotomy of the tibia for the treatment of genu recurvatum in adults. J. Bone Jt. Surg. 1992, 74, 577–586. [Google Scholar] [CrossRef]
- Dierick, F.; Schreiber, C.; Lavallee, P.; Buisseret, F. Asymptomatic Genu Recurvatum reshapes lower limb sagittal joint and elevation angles during gait at different speeds. Knee 2021, 29, 457–468. [Google Scholar] [CrossRef]
- Group, M.; Cooper, D.E.; Dunn, W.R.; Huston, L.J.; Haas, A.K.; Spindler, K.P.; Allen, C.R.; Anderson, A.F.; DeBerardino, T.M.; Lantz, B.B.A.; et al. Physiologic Preoperative Knee Hyperextension Is a Predictor of Failure in an Anterior Cruciate Ligament Revision Cohort: A Report From the MARS Group. Am. J. Sports Med. 2018, 46, 2836–2841. [Google Scholar] [CrossRef]
- Guimaraes, T.M.; Giglio, P.N.; Sobrado, M.F.; Bonadio, M.B.; Gobbi, R.G.; Pecora, J.R.; Helito, C.P. Knee Hyperextension Greater Than 5 degrees Is a Risk Factor for Failure in ACL Reconstruction Using Hamstring Graft. Orthop. J. Sports Med. 2021, 9, 23259671211056325. [Google Scholar] [CrossRef]





| Overall (n = 21) | |
|---|---|
| Age (years) | 21.6 ± 3.0 (16–31) |
| Male/Female (Female, %) | 7/14 (66.7%) |
| BMI (kg/m2) | 22.8 ± 2.5 (19–28) |
| Side (Right/Left) | 11/10 |
| Follow-up period (month) | 9.9 ± 3.0 (3–14) |
| Number of ACL reconstruction (1/2/3, %) | 1/13/7 (4.8/61.9/33.3) |
| Autograft/Allograft (autograft, %) | 16/5 (76.2%) |
| Overall (n = 21) | ||
|---|---|---|
| HKA (degree) | Preoperative | 178.3 ± 2.6 |
| Postoperative | 179.2 ± 1.1 | |
| p value * | 0.147 | |
| PTS (degree) | Preoperative | 14.5 ± 1.6 |
| Postoperative | 5.7 ± 1.0 | |
| p value * | <0.001 | |
| FPHI | Preoperative | 1.33 ± 0.11 |
| Postoperative | 1.30 ± 0.09 | |
| p value * | 0.103 |
| Overall (n = 21) | ||
|---|---|---|
| Knee recurvatum (degree) | Preoperative | 4.9 ± 2.9 |
| Postoperative | 7.8 ± 3.1 | |
| p value * | <0.001 | |
| Knee recurvatum (degree) | Contralateral side | 3.6 ± 2.9 |
Disclaimer/Publisher’s Note: The statements, opinions and data contained in all publications are solely those of the individual author(s) and contributor(s) and not of MDPI and/or the editor(s). MDPI and/or the editor(s) disclaim responsibility for any injury to people or property resulting from any ideas, methods, instructions or products referred to in the content. |
© 2024 by the authors. Licensee MDPI, Basel, Switzerland. This article is an open access article distributed under the terms and conditions of the Creative Commons Attribution (CC BY) license (https://creativecommons.org/licenses/by/4.0/).
Share and Cite
Onishi, S.; Kim, Y.; Nakayama, H.; Mansour, A.A., III; Lowe, W.R.; Ollivier, M. Infratubercle Anterior Closing Wedge Osteotomy Corrects Sagittal Alignment without Affecting Coronal Alignment or Patellar Height. J. Clin. Med. 2024, 13, 4715. https://doi.org/10.3390/jcm13164715
Onishi S, Kim Y, Nakayama H, Mansour AA III, Lowe WR, Ollivier M. Infratubercle Anterior Closing Wedge Osteotomy Corrects Sagittal Alignment without Affecting Coronal Alignment or Patellar Height. Journal of Clinical Medicine. 2024; 13(16):4715. https://doi.org/10.3390/jcm13164715
Chicago/Turabian StyleOnishi, Shintaro, Youngji Kim, Hiroshi Nakayama, Alfred A. Mansour, III, Walter R. Lowe, and Matthieu Ollivier. 2024. "Infratubercle Anterior Closing Wedge Osteotomy Corrects Sagittal Alignment without Affecting Coronal Alignment or Patellar Height" Journal of Clinical Medicine 13, no. 16: 4715. https://doi.org/10.3390/jcm13164715
APA StyleOnishi, S., Kim, Y., Nakayama, H., Mansour, A. A., III, Lowe, W. R., & Ollivier, M. (2024). Infratubercle Anterior Closing Wedge Osteotomy Corrects Sagittal Alignment without Affecting Coronal Alignment or Patellar Height. Journal of Clinical Medicine, 13(16), 4715. https://doi.org/10.3390/jcm13164715

