The Relationship between the Length/Width of the Face and the Length/Width of the Crown of the Permanent Upper Central Incisors
Abstract
1. Introduction
2. Materials and Methods
2.1. Facial Measurement
2.2. Dental Measurements
- -
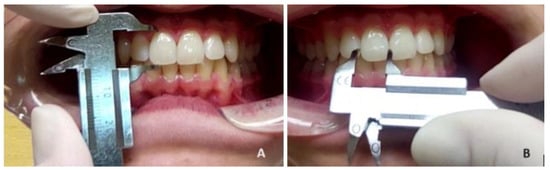
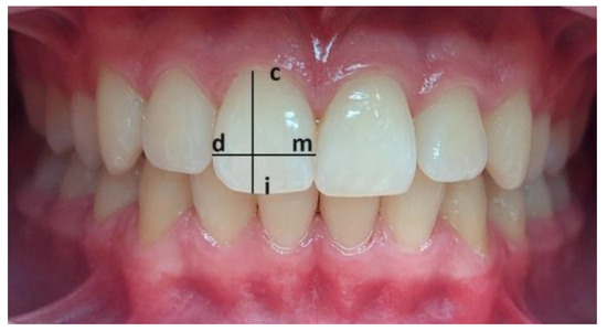
- The clinical crown length was measured as the greatest vertical distance between the most apical point of the cervical line of the marginal gingiva and the incisal edge (Figure 3A).
- -
- The clinical crown width was measured as the widest distance between the mesial and distal contact points on the interproximal surfaces of the tooth crown (Figure 3B).
2.3. Facial Index
2.4. Tooth Index
Statistical Analysis
3. Results
4. Discussion
5. Conclusions
Author Contributions
Funding
Institutional Review Board Statement
Informed Consent Statement
Data Availability Statement
Conflicts of Interest
References
- Davis, N.C. Smile design. Dent. Clin. N. Am. 2007, 51, 299–318. [Google Scholar] [CrossRef]
- Magne, P.; Salem, P.; Magne, M. Influence of symmetry and balance on visual perception of a white female smile. J. Prosthet. Dent. 2018, 120, 573–582. [Google Scholar] [CrossRef]
- Nelson, S.J. Wheeler’s Dental Anatomy, Physiology and Occlusion, 11th ed.; Elsevier: St. Louis, MO, USA, 2019. [Google Scholar]
- Rosenstiel, S.F.; Land, M.F.; Fujimoto, J. Contemporary Fixed Prosthodontics, 3rd ed.; CV Mosby: St. Louis, MO, USA, 2001. [Google Scholar]
- Van der Geld, P.; Oosterveld, P.; Heck, G.V.; Kuijpers-Jagtman, A.M. Smile Attractiveness. Angle Orthod. 2007, 77, 759–765. [Google Scholar] [CrossRef]
- Frindel, F. The unattractive smile or 17 keys to the smile. Orthod. Fr. 2008, 79, 273–281. [Google Scholar] [CrossRef]
- Fekonja, A. Comparison of mesiodistal crown dimension and arch width in subjects with and without hypodontia. J. Esthet. Restor. Dent. 2013, 25, 203–210. [Google Scholar] [CrossRef]
- Harris, E.F.; Hicks, J.D. A radiographic assessment of enamel thickness in human maxillary lateral incisors. Arch. Oral Biol. 1998, 43, 825–831. [Google Scholar] [CrossRef]
- Elias, A.C.; Sheiham, A. The relationship between satisfaction with mouth and number and position of teeth. J. Oral Rehabil. 1998, 25, 649–661. [Google Scholar] [CrossRef]
- Cabello, M.A.; Alvarado, S. Relationship between the shape of the upper central incisors and the facial contour in dental students. J. Oral Res. 2015, 4, 189–196. [Google Scholar] [CrossRef][Green Version]
- Hasanreisoglu, U.; Berksun, S.; Aras, K.; Arslan, I. An analysis of maxillary anterior teeth: Facial and dental proportions. J. Prosthet. Dent. 2005, 94, 530–538. [Google Scholar] [CrossRef]
- Condon, M.; Bready, M.; Quinn, F.; O’Connell, B.C.; Houston, F.J.; O’Sullivan, M. Maxillary anterior tooth dimensions and proportions in an Irish young adult population. J. Oral Rehabil. 2011, 38, 501–508. [Google Scholar] [CrossRef]
- Sah, S.K.; Zhang, H.D.; Chang, T.; Dhungana, M.; Acharya, L.; Chen, L.L. Maxillary anterior teeth dimensions and proportions in an Irish young adult population. Chin. J. Dent. Res. 2014, 17, 117–124. [Google Scholar] [PubMed]
- Kyaw, T.; Hlaing, S. Evaluation of dimensional (width-to-length) ratio for the aesthetic replacement of maxillary anterior teeth. Myanmar Dent. J. 2019, 26, 47–52. [Google Scholar]
- Mohammed, I.; Mohkarti, T.; Ijaz, S.; Omotosho, A.; Ngaski, A.A.; Milanifard, M.; Hassanzadeh, G. Anthropometric study of nasal index in Hausa ethnic population of northwestern Nigeria. Med. Sci. 2018, 4, 26–29. [Google Scholar] [CrossRef]
- Bayat, M.; Shariati, M.; Rajaeriad, F.; Yekaninejad, M.S.; Momen-Heravi, F.; Davoudmanesh, Z. Facial anthropometric norms of the young Iranian population. J. Maxillofac. Oral Surg. 2018, 17, 150–157. [Google Scholar] [CrossRef] [PubMed]
- Abu, A.; Ngo, C.G.; Abu-Hassan, N.I.A.; Othman, S.A. Automated craniofacial landmarks detection on 3D image using geometry characteristics information. BMC Bioinform. 2019, 19, 65–80. [Google Scholar] [CrossRef] [PubMed]
- Verdenik, M.; Ihan Hren, N. Three-dimensional facial changes correlated with sagittal jaw movements in patients with class III skeletal deformities. Br. J. Oral Maxillofac. Surg. 2017, 55, 517–523. [Google Scholar] [CrossRef] [PubMed]
- Masniari, N. Facial, upper facial, and orbital index in Batak, Klaten, and Flores students of Jember University. Dent. J. 2006, 39, 116–119. [Google Scholar]
- Arslan, S.G.; Genç, C.; Odabas, B.; Kama, J.D. Comparison of Facial Proportions and Anthropometric Norms Among Turkish Young Adults With Different Face Types. Aesthetic Plast. Surg. 2008, 32, 234–242. [Google Scholar] [CrossRef]
- Omotoso, D.R.; Oludiran, O.O.; Sakpa, C.L. Nasofacial Anthropometry of Adult Bini Tribe In Nigeria. Afr. J. Biomed. Res. 2011, 14, 219–221. [Google Scholar]
- Al-Isheakli, I. Evaluation of Golden Proportion of Maxillary Anterior Teeth in Different Morphological Facial Types in A Sample of Class I Normal Occlusion (Photographic, Cross Sectionak Study). J. Dent. Med. Sci. 2017, 16, 48–52. [Google Scholar]
- Wadud, A.; Kitisubkanchana, J.; Santiwong, P.; Srithavaj, M.L.T. Face Proportions, and Analysis of Maxillary Anterior Teeth and Facial Proportions in a Thai Population. Open Dent. J. 2021, 15, 398–404. [Google Scholar] [CrossRef]
- Kassab, N.H. The selection of maxillary anterior teeth width in relation to facial measurements at different types of face form. Al–Rafidain Dent. J. 2004, 5, 15–23. [Google Scholar] [CrossRef]
- Rokaya, D.; Kitisubkanchana, J.; Wonglamsam, A.; Santiwong, P.; Srithavaj, T.; Humagain, M. Nepalese esthetic dental (NED) proportion in Nepalese population. Kathmandu Univ. Med. J. 2015, 13, 244–249. [Google Scholar] [CrossRef] [PubMed]
- Kanan, U.; Gandotra, A.; Desai, A.; Andani, R. Variation in Facial index of Gujarati Males-A Photometric study. Int. J. Med. Health Sci. 2012, 1, 27–31. [Google Scholar]
- Alqahtani, A.S.; Habib, S.R.; Ali, M.; Alshahrani, A.S.; Alotaibi, N.M.; Alahaidib, F.A. Maxillary anterior teeth dimension and relative width proportion in a Saudi subpopulation. J. Taibah Univ. Med. Sci. 2021, 16, 209–216. [Google Scholar] [CrossRef] [PubMed]
- Sarver, D.M. The importance of incisor positioning in the esthetic smile: The smile arc. Am. J. Orthod. Dentofac. Orthop. 2001, 120, 98–111. [Google Scholar] [CrossRef] [PubMed]
- Verdenik, M.; Ihan Hren, N.; Kadivnik Žiga; Drstvenšek, I. A new method of determing facial size for three-dimensional photogrammetry quantification. Mater. Technol. 2021, 55, 25–31. [Google Scholar]
- Bozic, M.; Kau, C.H.; Richmond, S.; Ihan Hren, N.; Zhurov, A.; Udovic, M.; Melink, S.; Ovsenik, M. Facial morphology of Slovenian and Welsh white populations using 3-dimensional imaging. Angle Orthod. 2009, 79, 640–645. [Google Scholar] [CrossRef] [PubMed]
- Skomina, Z.; Kočevar, D.; Verdenik, M.; Ihan Hren, N. Older adults’ facial characteristics compared to young adults’ in correlation with edentulism: A cross sectional study. BMC Geriatr. 2022, 22, 503. [Google Scholar] [CrossRef]
- Brodbelt, R.H.; Walker, G.F.; Nelson, D.; Seluk, L.W. Comparison of face shape with tooth form. J. Prosthet. Dent. 1984, 52, 588–592. [Google Scholar] [CrossRef]
- Owens, E.G.; Goodacre, C.J.; Loh, P.L.; Hanke, G.; Okamura, M.; Jo, K.; Muñoz, C.A.; Naylor, W.P. A multicenter interracial study of facial appearance. Part 2: A comparison of intraoral parameters. Int. J. Prosthodont. 2002, 15, 283–288. [Google Scholar] [PubMed]
- Orozco-Varo, A.; Arroyo-Cruz, G.; Martínez-de-Fuentes, R.; Jiménez-Castellanos, E. Biometric analysis of the clinical crown and the width/length ratio in the maxillary anterior region. J. Prosthet. Dent. 2015, 113, 565–570. [Google Scholar] [CrossRef] [PubMed]
- Tsukiyama, T.; Marcushamer, E.; Griffin, T.J.; Arguello, E.; Magne, P.; Gallucci, G.O. Comparison of the anatomic crown width/length ratios of unworn and worn maxillary teeth in Asian and white subjects. J. Prosthet. Dent. 2012, 107, 11–16. [Google Scholar] [CrossRef] [PubMed]
- Cinelli, F.; Piva, F.; Bertini, F.; Russo, D.S.; Giachetti, L. Maxillary Anterior Teeth Dimensions and Relative Width Proportions: A Narrative Literature Review. Dent. J. 2024, 12, 3. [Google Scholar] [CrossRef] [PubMed]
- Sellen, P.N.; Jagger, D.C.; Harrison, A. Computer-generated study of the correlation between tooth, face, arch forms, and palatal contour. J. Prosthet. Dent. 1998, 80, 163–168. [Google Scholar] [CrossRef]
- Kostić, M.; Đorđević, N.S.; Gligorijević, N.; Jovanović, M.; Đerlek, E.; Todorović, K.; Jovanović, G.; Todić, J.; Igić, M. Correlation Theory of the Maxillary Central Incisor, Face and Dental Arch Shape in the Serbian Population. Medicina 2023, 59, 2142. [Google Scholar] [CrossRef]





| Face Type | Facial Index |
|---|---|
| Euryprosopic (broad face) | ≤84.9 |
| Mesoprosopic (round face) | 85.0–89.9 |
| Leptoprosopic (long face) | ≥90.0 |
| Variables Gender | N (%) | Age (Mean ± SD) |
|---|---|---|
| male | 43 (43) | 16.7 (1.3) |
| female | 57 (57) | 17.9 (4.2) |
| Total | 100 (100) | 17.5 (3.4) |
| Variables | Gender | N | Mean ± SD | 95% CI Lower–Upper | p Value |
|---|---|---|---|---|---|
| Face length (cm) | male | 43 | 11.6 ± 0.8 | −0.0–0.7 | 0.071 |
| female | 57 | 11.2 ± 1.1 | |||
| Face width (cm) | male | 43 | 11.7 ± 0.8 | −0.3–0.9 | <0.05 |
| female | 57 | 11.1 ± 0.6 | |||
| Facial index | male | 43 | 99.1 ± 8.4 | −6.3–2.1 | 0.323 |
| female | 57 | 101.2 ± 11.9 |
| Variables Gender | Euryprosopic Face N (%) | Mesoprosopic Face N (%) | Leptoprosopic Face N (%) | Total N (%) |
|---|---|---|---|---|
| male | 2 (2) | 3 (3) | 38 (28) | 43 (43) |
| female | 3 (3) | 6 (6) | 48 (48) | 57 (57) |
| Total | 5 (5) | 9 (9) | 86 (86) | 100 (100) |
| Face Types | Gender | N | Value | df | p Value |
|---|---|---|---|---|---|
| Euryprosopic face | male | 2 | 0.411 | 2 | 0.814 |
| female | 3 | ||||
| Mesoprosopic face | male | 3 | |||
| female | 6 | ||||
| Leptoprosopic face | male | 38 | |||
| female | 48 |
| Variables | Gender | N | Mean ± SD | 95% CI Lower–Upper | p Value |
|---|---|---|---|---|---|
| Tooth length, left (mm) | male | 43 | 10.2 ± 1.1 | −0.2–0.7 | 0.290 |
| female | 57 | 9.9 ± 1.0 | |||
| Tooth width, left (mm) | male | 43 | 9.0 ± 0.7 | −0.1–0.4 | 0.363 |
| female | 57 | 8.8 ± 0.7 | |||
| Tooth length, right (mm) | male | 43 | 10.1 ± 1.2 | −0.2–0.7 | 0.216 |
| female | 57 | 9.8 ± 0.7 | |||
| Tooth width, right (mm) | male | 43 | 8.9 ± 0.6 | −0.1–0.4 | 0.380 |
| female | 57 | 8.8 ± 0.7 | |||
| Tooth index, left | male | 43 | 88.9 ± 11.8 | −5.5–3.5 | 0.661 |
| female | 57 | 89.9 ± 10.9 | |||
| Tooth index, right | male | 43 | 89.7 ± 11.7 | −5.1–3.8 | 0.767 |
| female | 57 | 90.3 ± 10.8 |
| Variables | Gender | N | Mean ± SD | 95% CI Lower–Upper | p Value |
|---|---|---|---|---|---|
| Tooth index vs. facial index | male | 43 | −9.8 ± 14.0 | −12.8–(−6.8) | <0.001 |
| female | 57 | −11.3 ± 16.0 | −14.2–(−8.3) | <0.001 |
Disclaimer/Publisher’s Note: The statements, opinions and data contained in all publications are solely those of the individual author(s) and contributor(s) and not of MDPI and/or the editor(s). MDPI and/or the editor(s) disclaim responsibility for any injury to people or property resulting from any ideas, methods, instructions or products referred to in the content. |
© 2024 by the authors. Licensee MDPI, Basel, Switzerland. This article is an open access article distributed under the terms and conditions of the Creative Commons Attribution (CC BY) license (https://creativecommons.org/licenses/by/4.0/).
Share and Cite
Dervarič, T.; Fekonja, A. The Relationship between the Length/Width of the Face and the Length/Width of the Crown of the Permanent Upper Central Incisors. J. Clin. Med. 2024, 13, 4698. https://doi.org/10.3390/jcm13164698
Dervarič T, Fekonja A. The Relationship between the Length/Width of the Face and the Length/Width of the Crown of the Permanent Upper Central Incisors. Journal of Clinical Medicine. 2024; 13(16):4698. https://doi.org/10.3390/jcm13164698
Chicago/Turabian StyleDervarič, Tilen, and Anita Fekonja. 2024. "The Relationship between the Length/Width of the Face and the Length/Width of the Crown of the Permanent Upper Central Incisors" Journal of Clinical Medicine 13, no. 16: 4698. https://doi.org/10.3390/jcm13164698
APA StyleDervarič, T., & Fekonja, A. (2024). The Relationship between the Length/Width of the Face and the Length/Width of the Crown of the Permanent Upper Central Incisors. Journal of Clinical Medicine, 13(16), 4698. https://doi.org/10.3390/jcm13164698

