Effects of SGLT2 Inhibitors on Cardiac Mechanics in Hispanic and Black Diabetic Patients
Abstract
1. Introduction
2. Methods
2.1. Study Population
2.2. Search Strategy, Inclusion, and Exclusion Criteria
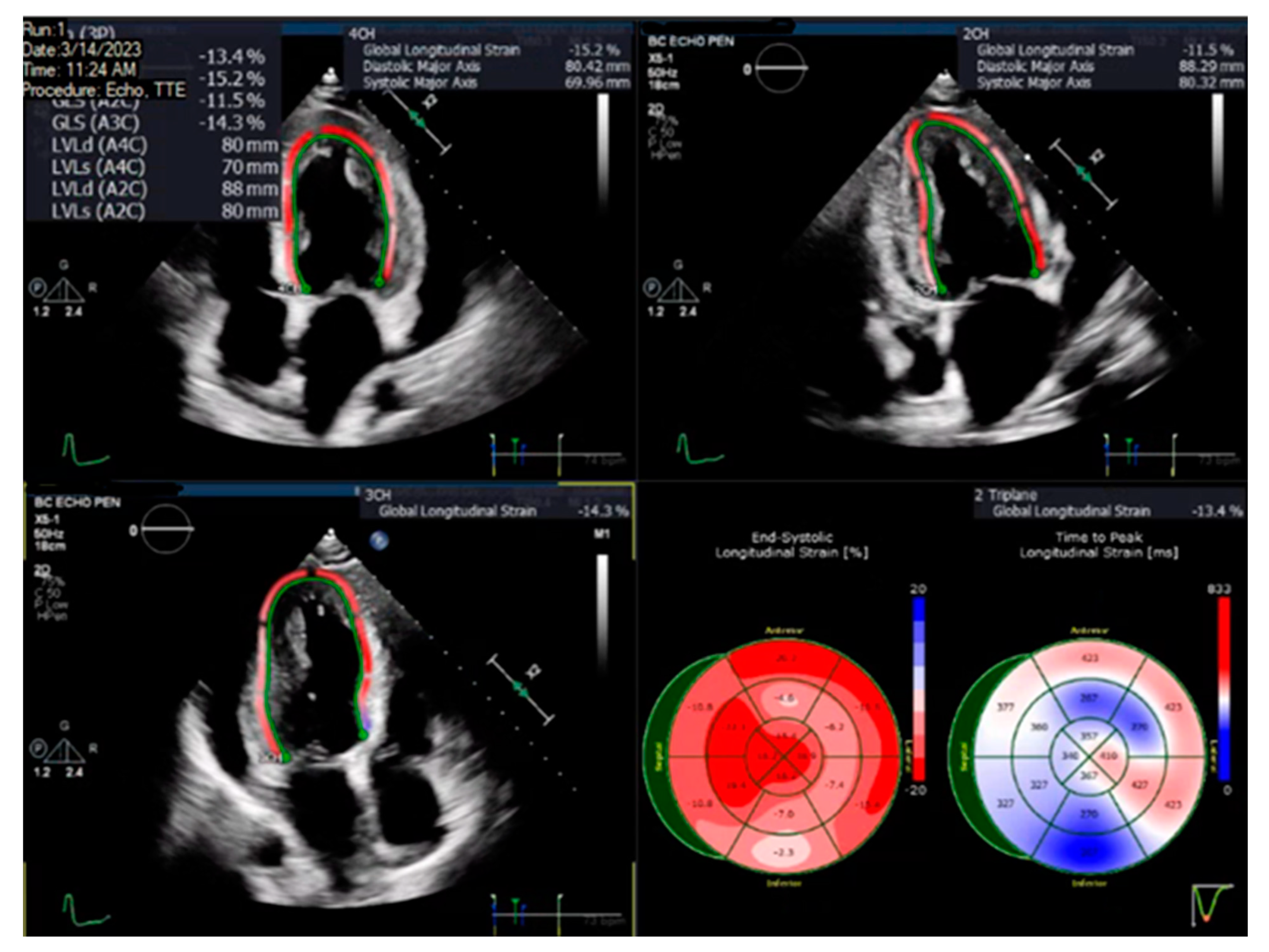
2.3. Echocardiographic Data
2.4. Statistical Analysis
3. Results
4. Discussion
Study Limitations
5. Conclusions
Author Contributions
Funding
Institutional Review Board Statement
Informed Consent Statement
Data Availability Statement
Conflicts of Interest
References
- American Diabetes Association. Economic Costs of Diabetes in the, U.S. in 2017. Diabetes Care 2018, 41, 917–928. [Google Scholar] [CrossRef] [PubMed]
- Cheng, Y.J.; Kanaya, A.M.; Araneta, M.R.G.; Saydah, S.H.; Kahn, H.S.; Gregg, E.W.; Fujimoto, W.Y.; Imperatore, G. Prevalence of Diabetes by Race and Ethnicity in the United States, 2011–2016. JAMA 2019, 322, 2389–2398. [Google Scholar] [CrossRef] [PubMed]
- Hummel, C.S.; Lu, C.; Loo, D.D.F.; Hirayama, B.A.; Voss, A.A.; Wright, E.M. Glucose transport by human renal Na+/d-glucose cotransporters SGLT1 and SGLT2. Am. J. Physiol.-Cell Physiol. 2011, 300, C14–C21. [Google Scholar] [CrossRef] [PubMed]
- Neal, B.; Perkovic, V.; Mahaffey, K.W.; de Zeeuw, D.; Fulcher, G.; Erondu, N.; Shaw, W.; Law, G.; Desai, M.; Matthews, D.R.; et al. Canagliflozin and Cardiovascular and Renal Events in Type 2 Diabetes. N. Engl. J. Med. 2017, 377, 644–657. [Google Scholar] [CrossRef] [PubMed]
- Wiviott, S.D.; Raz, I.; Bonaca, M.P.; Mosenzon, O.; Kato, E.T.; Cahn, A.; Silverman, M.G.; Zelniker, T.A.; Kuder, J.F.; Murphy, S.A.; et al. Dapagliflozin and Cardiovascular Outcomes in Type 2 Diabetes. N. Engl. J. Med. 2019, 380, 347–357. [Google Scholar] [CrossRef] [PubMed]
- Zinman, B.; Wanner, C.; Lachin, J.M.; Fitchett, D.; Bluhmki, E.; Hantel, S.; Mattheus, M.; Devins, T.; Johansen, O.E.; Woerle, H.J.; et al. Empagliflozin, Cardiovascular Outcomes, and Mortality in Type 2 Diabetes. N. Engl. J. Med. 2015, 373, 2117–2128. [Google Scholar] [CrossRef]
- McMurray, J.J.V.; Solomon, S.D.; Inzucchi, S.E.; Køber, L.; Kosiborod, M.N.; Martinez, F.A.; Ponikowski, P.; Sabatine, M.S.; Anand, I.S.; Bělohlávek, J.; et al. Dapagliflozin in Patients with Heart Failure and Reduced Ejection Fraction. N. Engl. J. Med. 2019, 381, 1995–2008. [Google Scholar] [CrossRef] [PubMed]
- Packer, M.; Anker, S.D.; Butler, J.; Filippatos, G.; Pocock, S.J.; Carson, P.; Januzzi, J.; Verma, S.; Tsutsui, H.; Brueckmann, M.; et al. Cardiovascular and Renal Outcomes with Empagliflozin in Heart Failure. N. Engl. J. Med. 2020, 383, 1413–1424. [Google Scholar] [CrossRef]
- Bhatt, D.L.; Szarek, M.; Steg, P.G.; Cannon, C.P.; Leiter, L.A.; McGuire, D.K.; Lewis, J.B.; Riddle, M.C.; Voors, A.A.; Metra, M.; et al. Sotagliflozin in Patients with Diabetes and Recent Worsening Heart Failure. N. Engl. J. Med. 2021, 384, 117–128. [Google Scholar] [CrossRef]
- Solomon, S.D.; McMurray, J.J.V.; Claggett, B.; de Boer, R.A.; DeMets, D.; Hernandez, A.F.; Inzucchi, S.E.; Kosiborod, M.N.; Lam, C.S.; Martinez, F.; et al. Dapagliflozin in Heart Failure with Mildly Reduced or Preserved Ejection Fraction. N. Engl. J. Med. 2022, 387, 1089–1098. [Google Scholar] [CrossRef]
- Anker, S.D.; Butler, J.; Filippatos, G.; Ferreira, J.P.; Bocchi, E.; Böhm, M.; Brunner–La Rocca, H.-P.; Choi, D.-J.; Chopra, V.; Chuquiure-Valenzuela, E.; et al. Empagliflozin in Heart Failure with a Preserved Ejection Fraction. N. Engl. J. Med. 2021, 385, 1451–1461. [Google Scholar] [CrossRef] [PubMed]
- Kotit, S. Lessons from a pre-specified meta-analysis of sodium-glucose cotransporter-2 (SGLT2) inhibitors in heart failure: Time for new clinical recommendations. Glob. Cardiol. Sci. Pract. 2023, 2023, e202314. [Google Scholar] [CrossRef] [PubMed]
- Heidenreich, P.A.; Bozkurt, B.; Aguilar, D.; Allen, L.A.; Byun, J.J.; Colvin, M.M.; Deswal, A.; Drazner, M.H.; Dunlay, S.M.; Evers, L.R.; et al. 2022 AHA/ACC/HFSA Guideline for the Management of Heart Failure: A Report of the American College of Cardiology/American Heart Association Joint Committee on Clinical Practice Guidelines. Circulation 2022, 145, e895–e1032. [Google Scholar] [CrossRef] [PubMed]
- Spence, J.D.; Rayner, B.L. Hypertension in Blacks: Individualized Therapy Based on Renin/Aldosterone Phenotyping. Hypertension 2018, 72, 263–269. [Google Scholar] [CrossRef] [PubMed]
- Wang, J.; Zuckerman, I.H.; Miller, N.A.; Shaya, F.T.; Noel, J.M.; Mullins, C.D. Utilizing New Prescription Drugs: Disparities among Non-Hispanic Whites, Non-Hispanic Blacks, and Hispanic Whites. Health Serv. Res. 2007, 42, 1499–1519. [Google Scholar] [CrossRef]
- Stanton, T.; Leano, R.; Marwick, T.H. Prediction of All-Cause Mortality From Global Longitudinal Speckle Strain. Circ. Cardiovasc. Imaging 2009, 2, 356–364. [Google Scholar] [CrossRef] [PubMed]
- Gherbesi, E.; Gianstefani, S.; Angeli, F.; Ryabenko, K.; Bergamaschi, L.; Armillotta, M.; Guerra, E.; Tuttolomondo, D.; Gaibazzi, N.; Squeri, A.; et al. Myocardial strain of the left ventricle by speckle tracking echocardiography: From physics to clinical practice. Echocardiography 2024, 41, e15753. [Google Scholar] [CrossRef] [PubMed]
- Rau, M.; Thiele, K.; Hartmann, N.U.K.; Schuh, A.; Altiok, E.; Möllmann, J.; Keszei, A.P.; Böhm, M.; Marx, N.; Lehrke, M. Empagliflozin does not change cardiac index nor systemic vascular resistance but rapidly improves left ventricular filling pressure in patients with type 2 diabetes: A randomized controlled study. Cardiovasc. Diabetol. 2021, 20, 6. [Google Scholar] [CrossRef] [PubMed]
- Yu, Y.W.; Zhao, X.M.; Wang, Y.H.; Zhou, Q.; Huang, Y.; Zhai, M.; Zhang, J. Effect of sodium-glucose cotransporter 2 inhibitors on cardiac structure and function in type 2 diabetes mellitus patients with or without chronic heart failure: A meta-analysis. Cardiovasc. Diabetol. 2021, 20, 25. [Google Scholar] [CrossRef]
- Osborn, C.Y.; de Groot, M.; Wagner, J.A. Racial and ethnic disparities in diabetes complications in the northeastern United States: The role of socioeconomic status. J. Natl. Med. Assoc. 2013, 105, 51–58. [Google Scholar] [CrossRef]
- Lang, R.M.; Badano, L.P.; Mor-Avi, V.; Afilalo, J.; Armstrong, A.; Ernande, L.; Flachskampf, F.A.; Foster, E.; Goldstein, S.A.; Kuznetsova, T.; et al. Recommendations for cardiac chamber quantification by echocardiography in adults: An update from the American Society of Echocardiography and the European Association of Cardiovascular Imaging. J. Am. Soc. Echocardiogr. Off. Publ. Am. Soc. Echocardiogr. 2015, 28, 1–39.e14. [Google Scholar] [CrossRef]
- Joshi, S.S.; Singh, T.; Newby, D.E.; Singh, J. Sodium-glucose co-transporter 2 inhibitor therapy: Mechanisms of action in heart failure. Heart 2021, 107, 1032–1038. [Google Scholar] [CrossRef] [PubMed]
- Cesaro, A.; Gragnano, F.; Paolisso, P.; Bergamaschi, L.; Gallinoro, E.; Sardu, C.; Mileva, N.; Foa, A.; Armillotta, M.; Sansonetti, A.; et al. In-Hospital arrhythmic burden reduction in diabetic patients with acute myocardial infarction treated with SGLT2-inhibitors: Insights from the SGLT2-I AMI PROTECT study. Front. Cardiovasc. Med. 2022, 9, 1012220. Available online: https://www.frontiersin.org/journals/cardiovascular-medicine/articles/10.3389/fcvm.2022.1012220/full (accessed on 28 July 2024). [CrossRef] [PubMed]
- Morris, A.A.; Testani, J.M.; Butler, J. Sodium-Glucose Cotransporter-2 Inhibitors in Heart Failure: Racial Differences and a Potential for Reducing Disparities. Circulation 2021, 143, 2329–2331. [Google Scholar] [CrossRef] [PubMed]
- Glynn, P.; Lloyd-Jones, D.M.; Feinstein, M.J.; Carnethon, M.; Khan, S.S. Disparities in Cardiovascular Mortality Related to Heart Failure in the United States. J. Am. Coll. Cardiol. 2019, 73, 2354–2355. [Google Scholar] [CrossRef]
- Gillespie, C.D.; Wigington, C.; Hong, Y.; Centers for Disease Control and Prevention (CDC). Coronary heart disease and stroke deaths—United States, 2009. MMWR Morb. Mortal. Wkly. Rep. 2013, 62, 157–160. [Google Scholar]
- McCoy, R.G.; Dykhoff, H.J.; Sangaralingham, L.; Ross, J.S.; Karaca-Mandic, P.; Montori, V.M.; Shah, N.D. Adoption of New Glucose-Lowering Medications in the, U.S.—The Case of SGLT2 Inhibitors: Nationwide Cohort Study. Diabetes Technol. Ther. 2019, 21, 702–712. [Google Scholar] [CrossRef] [PubMed]
- Levy, D.; Garrison, R.J.; Savage, D.D.; Kannel, W.B.; Castelli, W.P. Prognostic implications of echocardiographically determined left ventricular mass in the Framingham Heart Study. N. Engl. J. Med. 1990, 322, 1561–1566. [Google Scholar] [CrossRef] [PubMed]
- Verma, A.; Meris, A.; Skali, H.; Ghali, J.K.; Arnold, J.M.O.; Bourgoun, M.; Velazquez, E.J.; McMurray, J.J.; Kober, L.; Pfeffer, M.A.; et al. Prognostic implications of left ventricular mass and geometry following myocardial infarction: The VALIANT (VALsartan In Acute myocardial iNfarcTion) Echocardiographic Study. JACC Cardiovasc. Imaging 2008, 1, 582–591. [Google Scholar] [CrossRef]
- Cioffi, G.; Rossi, A.; Zoppini, G.; Targher, G.; de Simone, G.; Devereux, R.B.; Vassanelli, C.; Bonora, E. Inappropriate left ventricular mass independently predicts cardiovascular mortality in patients with type 2 diabetes. Int. J. Cardiol. 2013, 168, 4953–4956. [Google Scholar] [CrossRef]
- Voigt, J.U.; Pedrizzetti, G.; Lysyansky, P.; Marwick, T.H.; Houle, H.; Baumann, R.; Pedri, S.; Ito, Y.; Abe, Y.; Metz, S.; et al. Definitions for a Common Standard for 2D Speckle Tracking Echocardiography: Consensus Document of the EACVI/ASE/Industry Task Force to Standardize Deformation Imaging. J. Am. Soc. Echocardiogr. 2015, 28, 183–193. [Google Scholar] [CrossRef] [PubMed]
- Kalam, K.; Otahal, P.; Marwick, T.H. Prognostic implications of global LV dysfunction: A systematic review and meta-analysis of global longitudinal strain and ejection fraction. Heart 2014, 100, 1673–1680. [Google Scholar] [CrossRef] [PubMed]
- Kosugi, D.; Inaba, H.; Kaido, Y.; Ito, S.; Hirobata, T.; Toyofuku, M.; Matsuoka, T.; Inoue, G. Beneficial effects of sodium glucose cotransporter 2 inhibitors on left ventricular mass in patients with diabetes mellitus. J. Diabetes 2021, 13, 847–856. [Google Scholar] [CrossRef] [PubMed]
- Gamaza-Chulián, S.; Díaz-Retamino, E.; González-Testón, F.; Gaitero, J.C.; Castillo, M.J.; Alfaro, R.; Rodríguez, E.; González-Caballero, E.; Martín-Santana, A. Effect of sodium-glucose cotransporter 2 (SGLT2) inhibitors on left ventricular remodelling and longitudinal strain: A prospective observational study. BMC Cardiovasc. Disord. 2021, 21, 456. [Google Scholar] [CrossRef]
- Leung, M.; Wong, V.W.; Hudson, M.; Leung, D.Y. Impact of Improved Glycemic Control on Cardiac Function in Type 2 Diabetes Mellitus. Circ. Cardiovasc. Imaging 2016, 9, e003643. [Google Scholar] [CrossRef] [PubMed]
- Verma, S.; Garg, A.; Yan, A.T.; Gupta, A.K.; Al-Omran, M.; Sabongui, A.; Teoh, H.; Mazer, C.D.; Connelly, K.A. Effect of Empagliflozin on Left Ventricular Mass and Diastolic Function in Individuals with Diabetes: An Important Clue to the EMPA-REG OUTCOME Trial? Diabetes Care 2016, 39, e212–e213. [Google Scholar] [CrossRef]
- Nesti, L.; Pugliese, N.R.; Sciuto, P.; Trico, D.; Dardano, A.; Baldi, S.; Pinnola, S.; Fabiani, I.; Di Bello, V.; Natali, A. Effect of empagliflozin on left ventricular contractility and peak oxygen uptake in subjects with type 2 diabetes without heart disease: Results of the EMPA-HEART trial. Cardiovasc. Diabetol. 2022, 21, 181. [Google Scholar] [CrossRef] [PubMed]
- Nakai, H.; Takeuchi, M.; Nishikage, T.; Lang, R.M.; Otsuji, Y. Subclinical left ventricular dysfunction in asymptomatic diabetic patients assessed by two-dimensional speckle tracking echocardiography: Correlation with diabetic duration. Eur. J. Echocardiogr. J. Work. Group Echocardiogr. Eur. Soc. Cardiol. 2009, 10, 926–932. [Google Scholar] [CrossRef]
- Ng, A.C.T.; Delgado, V.; Bertini, M.; van der Meer, R.W.; Rijzewijk, L.J.; Shanks, M.; Nucifora, G.; Smit, J.W.; Diamant, M.; Romijn, J.A.; et al. Findings from left ventricular strain and strain rate imaging in asymptomatic patients with type 2 diabetes mellitus. Am. J. Cardiol. 2009, 104, 1398–1401. [Google Scholar] [CrossRef]
- Tanaka, H.; Soga, F.; Tatsumi, K.; Mochizuki, Y.; Sano, H.; Toki, H.; Matsumoto, K.; Shite, J.; Takaoka, H.; Doi, T.; et al. Positive effect of dapagliflozin on left ventricular longitudinal function for type 2 diabetic mellitus patients with chronic heart failure. Cardiovasc. Diabetol. 2020, 19, 6. [Google Scholar] [CrossRef]
- Wang, Q.; Tan, K.; Xia, H.; Gao, Y. Left ventricular metabolic remodeling and accompanied dysfunction in type 2 diabetic patients: A 3D speckle tracking analysis. Echocardiography 2019, 36, 486–494. [Google Scholar] [CrossRef] [PubMed]
- Anan, R.; Imoto, T.; Onizuka, K.; Watanabe, H.; Mori, W.; Murakoso, M. Concentric hypertrophy geometry is a significant determinant of impaired global longitudinal strain in patients with normal cardiac structure and function. Heliyon 2023, 9, e16252. [Google Scholar] [CrossRef] [PubMed]
- Soga, F.; Tanaka, H.; Tatsumi, K.; Mochizuki, Y.; Sano, H.; Toki, H.; Matsumoto, K.; Shite, J.; Takaoka, H.; Doi, T.; et al. Impact of dapagliflozin on left ventricular diastolic function of patients with type 2 diabetic mellitus with chronic heart failure. Cardiovasc. Diabetol. 2018, 17, 132. [Google Scholar] [CrossRef] [PubMed]
- Shim, C.Y.; Seo, J.; Cho, I.; Lee, C.J.; Cho, I.J.; Lhagvasuren, P.; Kang, S.M.; Ha, J.W.; Han, G.; Jang, Y.; et al. Randomized, Controlled Trial to Evaluate the Effect of Dapagliflozin on Left Ventricular Diastolic Function in Patients with Type 2 Diabetes Mellitus: The IDDIA Trial. Circulation 2021, 143, 510–512. [Google Scholar] [CrossRef] [PubMed]
- Santos-Gallego, C.G.; Vargas-Delgado, A.P.; Requena-Ibanez, J.A.; Garcia-Ropero, A.; Mancini, D.; Pinney, S.; Macaluso, F.; Sartori, S.; Roque, M.; Sabatel-Perez, F.; et al. Randomized Trial of Empagliflozin in Nondiabetic Patients with Heart Failure and Reduced Ejection Fraction. J. Am. Coll. Cardiol. 2021, 77, 243–255. [Google Scholar] [CrossRef] [PubMed]
- Docherty, K.F.; Ogunniyi, M.O.; Anand, I.S.; Desai, A.S.; Diez, M.; Howlett, J.G.; Nicolau, J.C.; O’meara, E.; Verma, S.; Inzucchi, S.E.; et al. Efficacy of Dapagliflozin in Black Versus White Patients with Heart Failure and Reduced Ejection Fraction. JACC Heart Fail. 2022, 10, 52–64. [Google Scholar] [CrossRef] [PubMed]




| Characteristics | Total N = 94 (%) | Non-White Hispanics N = 64 (%) | African American N = 21 (%) | p-Value |
| Age, mean (SD) (years) | 60.7 ± 9 | 62.1 ± 9.7 | 58.4 ± 8.6 | 0.13 |
| Females | 73 (77.7) | |||
| Age Group (years) | ||||
| <50 | 10 (10.6) | 6 (9.4) | 2 (9.5) | |
| 51–60 | 35 (37.2) | 21 (32.8) | 11 (52.4) | |
| 61–70 | 34 (36.2) | 25 (39.1) | 5 (23.8) | |
| >70 | 15 (16) | 12 (18.7) | 3 (14.3) | |
| Ethnicity | ||||
| Hispanics | 64 (68.1) | |||
| African American | 21 (22.3) | |||
| Non-Hispanic Whites | 4 (4.3) | |||
| Others | 5 (5.3) | |||
| SBP, mean (SD) (mm Hg) | 131.1 ± 18.7 | 130.3 ± 19.7 | 136.7 ± 15.8 | 0.13 |
| DBP, mean (SD) (mm Hg) | 77.4 ± 8.1 | 78.5 ± 7.3 | 80.2 ± 7.8 | 0.56 |
| Body mass index, mean (SD) (kg/m2) | 34.9 ± 7.6 | 34.1 ± 7.2 | 37.5 ± 8.3 | 0.11 |
| HbA1c, mean (SD) (%) | 8.3 ± 1.7 | 8.2 ± 1.6 | 8.8 ± 1.9 | 0.21 |
| Follow-up HbA1c, mean (SD) (%) | 7.9 ± 1.5 | 7.9 ± 1.4 | 0.89 | |
| Pro-BNP (pg/mL), mean (SD) | 105.4 ± 106.2 | 86.3 ± 101.9 | 0.26 | |
| Follow up period, mean (SD) (months) | 6.1 ± 7.2 | 7.5 ± 4.2 | 0.19 | |
| Age <75 years | 86.65 (78.9) | |||
| Hypertension | 88 (93.6) | 61 (95.3) | 19 (90.5) | 0.59 |
| Hyperlipidemia | 88 (93.6) | 58 (90.6) | 18 (85.8) | |
| Obesity | 63 (67.0) | 36 (56.3) | 12 (57.1) | |
| Active Smoking | 35 (37.2) | 22 (34.4) | 9 (42.8) | 0.14 |
| Substance use | 15 (16.0) | |||
| Cocaine/Amphetamine | 7 (7.4) | 5 (7.2) | 2 (9.5) | 0.53 |
| Opioid/Methadone | 4 (4.2) | |||
| Cannabis | 4 (4.2) | |||
| Medications at the time of initiation of SGLT2 inhibitor therapy | ||||
| Metformin | 71 (75.5) | 50 (78.1) | 14 (66.7) | 0.38 |
| Insulin | 46 (48.9) | 29 (45.3) | 12 (57.1) | 0.86 |
| DPP-4 inhibitors | 28 (29.7) | 20 (31.2) | 5 (23.8) | 0.51 |
| GLP-1 agonists | 18 (19.1) | 11 (17.2) | 5 (23.9) | 0.52 |
| Sulfonylureas | 12 (12.7) | 7 (10.9) | 4 (19.0) | 0.33 |
| Beta blockers | 42 (44.7) | 34 (53.1) | 12 (57.1) | 0.11 |
| ACE inhibitors | 50 (53.2) | 36 (56.2) | 11 (52.4) | 0.75 |
| ARB | 16 (17.0) | 11 (17.2) | 4 (19.0) | 0.84 |
| CCB | 42 (44.6) | 32 (50.0) | 10 (47.7) | 0.83 |
| Statins | 81 (86.1) | |||
| SGLT2 inhibitors | ||||
| Empagliflozin | 46 (48.9) | |||
| Canagliflozin | 43 (45.8) | |||
| Dapagliflozin | 5 (5.3) | |||
| Medications added during follow-up | ||||
| Beta blockers | 16 (17.0) | 10 (15.6) | 3 (14.3) | 0.58 |
| ACE inhibitors | 5 (5.4) | 4 (6.2) | 1 (4.7) | 0.80 |
| ARB | 19 (20.2) | 3 (4.7) | 1 (4.7) | 0.98 |
| CCB | 20 (21.3) | 12 (18.7) | 5 (23.8) | 0.61 |
| Overall | Non-White Hispanics | African American | |||||||
| Parameter | Baseline | Follow-Up | p-Value | Baseline | Follow Up | p-Value | Baseline | Follow-Up | p-Value |
| LVEF, mean (SD) (%) | 65.8 ± 5.9 | 64.5 ± 8.2 | 0.56 | 66.4 ± 5.8 | 64.3 ± 8.5 | 0.07 | 63.4 ± 8.2 | 64.1 ± 9.3 | 0.72 |
| LVM, mean (SD) (g) | 198.4 ± 59.6 | 187.05 ± 50.6 | 0.04 | 196.0 ± 60.3 | 186.0 ± 45.6 | 0.21 | 202.8 ± 57.8 | 191.6 ± 66.7 | 0.02 |
| LVMI, mean (SD) (g/m2) | 100.6 ± 26.6 | 94.3 ± 25.4 | 0.03 | 100.4 ± 26.6 | 98.6 ± 24.3 | 0.61 | 100.2 ± 28.9 | 93.0 ± 30.5 | 0.04 |
| MV E/E’, mean (SD) | 12.5 ± 5.7 | 12.7 ± 4.8 | 0.38 | 12.9 ± 6.5 | 13.1 ± 5.3 | 0.81 | 11.8 ± 3.4 | 12.4 ± 3.8 | 0.60 |
| LV GLS (%), mean (SD) | −15.3 ± 3.1 | −16.5 ± 3.1 | 0.01 | −15.1 ± 3.0 | −16.0 ± 5.4 | 0.21 | −15.4 ± 3.5 | −17.7 ± 2.7 | <0.01 |
| Independent Variable | Change in Left Ventricular Global Longitudinal Strain (ΔLV GLS) | Change in Left Ventricular Mass (ΔLVM). | ||||||
| Coefficient | Standard Error | T-Value | p-Value | Coefficient | Standard Error | T-Value | p-Value | |
| Age | 0.081 | 0.069 | 1.167 | 0.247 | −0.116 | 0.742 | −0.157 | 0.876 |
| Gender | −0.946 | 1.374 | −0.688 | 0.493 | -18.247 | 14.734 | −1.238 | 0.219 |
| BMI | 0.012 | 0.085 | −0.146 | 0.884 | −1.222 | 0.917 | −1.333 | 0.186 |
| SBP | 0.003 | 0.043 | −0.077 | 0.939 | −0.131 | 0.457 | −0.288 | 0.774 |
| DBP | 0.106 | 0.094 | −1.124 | 0.264 | 0.107 | 1.012 | 0.106 | 0.916 |
| HTN | 0.862 | 2.681 | −0.322 | 0.749 | 20.223 | 28.759 | 0.703 | 0.484 |
| Smoking | 0.428 | 1.211 | −0.353 | 0.725 | 3.005 | 12.986 | −0.231 | 0.818 |
| Pro-BNP | 0.006 | 0.006 | 0.936 | 0.352 | 0.014 | 0.051 | 0.271 | 0.787 |
| Change in HbA1c | 0.828 | 0.364 | 2.273 | 0.026 | 0.020 | 2.816 | 0.007 | 0.994 |
| Beta-blockers | −0.066 | 1.195 | −0.055 | 0.956 | −8.805 | 10.037 | 0.877 | 0.383 |
| ACE inhibitor | −0.189 | 1.395 | 0.136 | 0.892 | −14.048 | 11.669 | −1.204 | 0.232 |
| ARB | −0.558 | 1.768 | −0.315 | 0.753 | −0.246 | 14.881 | 0.017 | 0.987 |
| Metformin | −0.165 | 1.405 | −0.118 | 0.907 | −3.650 | 15.064 | −0.242 | 0.809 |
| Insulin | −0.714 | 1.355 | 0.527 | 0.600 | −4.318 | 14.536 | −0.297 | 0.767 |
| GLP-1 agonist | −0.996 | 1.625 | 0.613 | 0.542 | −0.885 | 17.429 | 0.051 | 0.960 |
| LVEF | 0.107 | 0.091 | 1.176 | 0.243 | −0.424 | 0.770 | −0.550 | 0.584 |
| LVM | 0.205 | 0.022 | 0.955 | 0.041 | ||||
| LVMI | 0.337 | 0.050 | 0.550 | 0.020 | ||||
| MV E/E’ ratio | 0.018 | 0.109 | 0.167 | 0.868 | 0.185 | 0.914 | 0.202 | 0.841 |
| LV GLS | 1.345 | 1.571 | 0.856 | 0.037 | ||||
Disclaimer/Publisher’s Note: The statements, opinions and data contained in all publications are solely those of the individual author(s) and contributor(s) and not of MDPI and/or the editor(s). MDPI and/or the editor(s) disclaim responsibility for any injury to people or property resulting from any ideas, methods, instructions or products referred to in the content. |
© 2024 by the authors. Licensee MDPI, Basel, Switzerland. This article is an open access article distributed under the terms and conditions of the Creative Commons Attribution (CC BY) license (https://creativecommons.org/licenses/by/4.0/).
Share and Cite
Moras, E.; Shrivastav, R.; Gandhi, K.D.; Bandyopadhyay, D.; Isath, A.; Goel, A.; Bella, J.N.; Contreras, J. Effects of SGLT2 Inhibitors on Cardiac Mechanics in Hispanic and Black Diabetic Patients. J. Clin. Med. 2024, 13, 4555. https://doi.org/10.3390/jcm13154555
Moras E, Shrivastav R, Gandhi KD, Bandyopadhyay D, Isath A, Goel A, Bella JN, Contreras J. Effects of SGLT2 Inhibitors on Cardiac Mechanics in Hispanic and Black Diabetic Patients. Journal of Clinical Medicine. 2024; 13(15):4555. https://doi.org/10.3390/jcm13154555
Chicago/Turabian StyleMoras, Errol, Rishi Shrivastav, Kruti D. Gandhi, Dhrubajyoti Bandyopadhyay, Ameesh Isath, Akshay Goel, Jonathan N. Bella, and Johanna Contreras. 2024. "Effects of SGLT2 Inhibitors on Cardiac Mechanics in Hispanic and Black Diabetic Patients" Journal of Clinical Medicine 13, no. 15: 4555. https://doi.org/10.3390/jcm13154555
APA StyleMoras, E., Shrivastav, R., Gandhi, K. D., Bandyopadhyay, D., Isath, A., Goel, A., Bella, J. N., & Contreras, J. (2024). Effects of SGLT2 Inhibitors on Cardiac Mechanics in Hispanic and Black Diabetic Patients. Journal of Clinical Medicine, 13(15), 4555. https://doi.org/10.3390/jcm13154555

