Rare Complications Following Laparoscopic Sleeve Gastrectomy
Abstract
1. Introduction
2. Sleeve Gastrectomy Surgical Procedure
3. Splenic Complications
4. Esophageal Perforation
5. Staple Line Malformation
6. Stapling the Orogastric Tube or the Temperature Probe
7. Phytobezoar Formation
8. Pancreatic Leak and Fistula
9. Gastro-Colonic (GC) Fistula
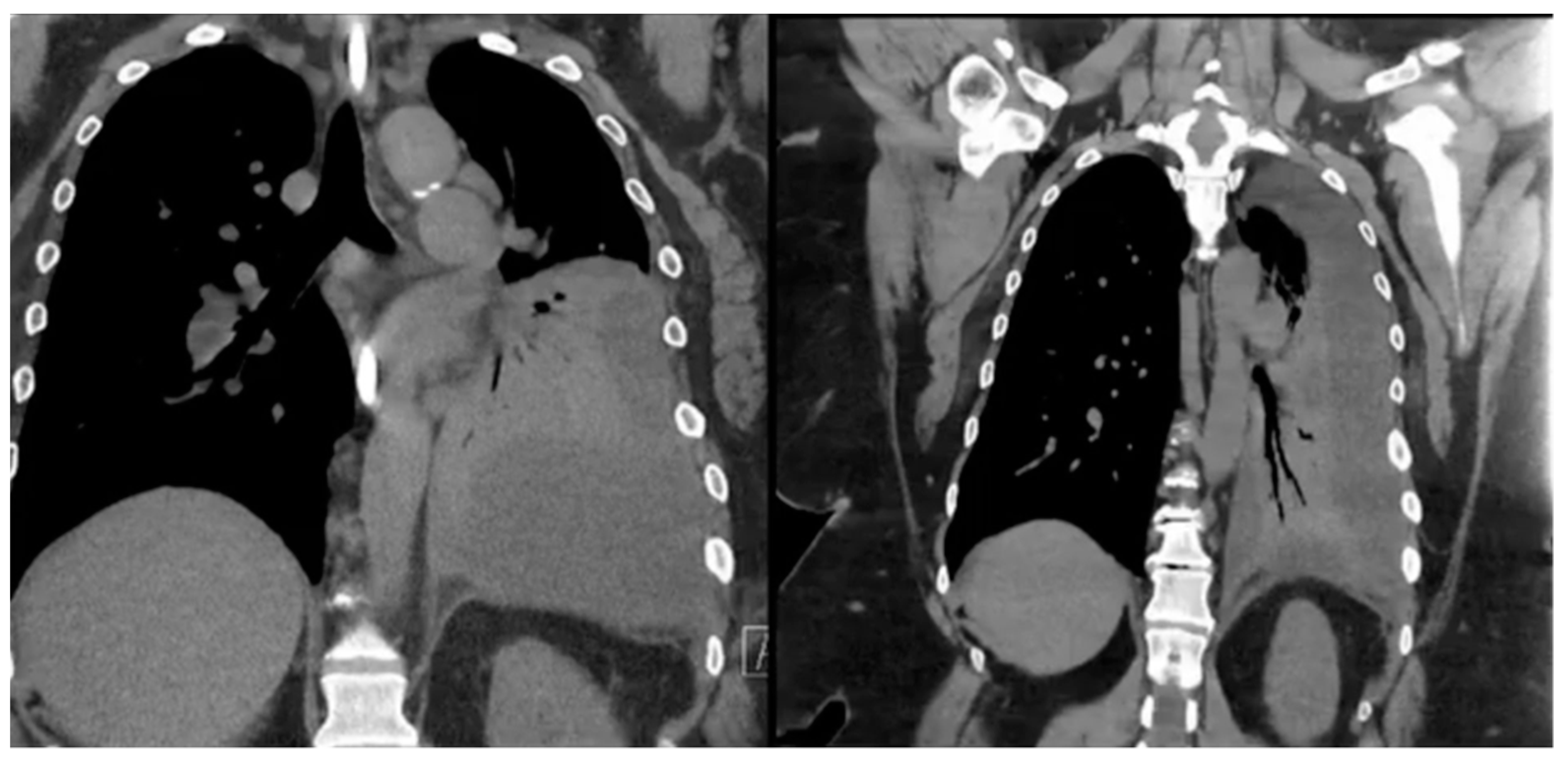
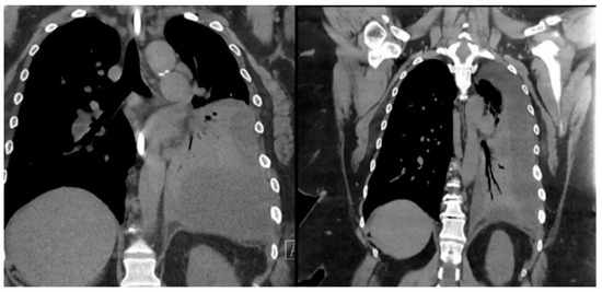
10. Gastro-Pleural (GP) and Gastro-Bronchial (GB) Fistula
11. Portomesenteric Venous Thrombosis (PMVT)
- Independent risk factors: These factors include smoking, oral contraceptive use, genetic predisposing conditions for thrombophilia, male sex, baseline BMI, previous history of VTE, history of cancer [97].
- Intraoperative or surgical-procedure related risk factors: Prolongedprolonged liver retraction may cause liver congestion and clot formation. The mechanical or thermal effect when ligating the right gastroepiploic and short gastric vessels may cause reflux in close proximity to the splenic vein, promoting thrombus formation. Moreover, CO2 insufflation with hypercapnia-induced vasoconstriction, reverse Trendelenburg position, and increased intraabdominal pressure, especially above 14 mmHg, may predispose to vasospasm and decrease portal blood flow, leading to thrombosis. Eventually, the endothelial damage-induced inflammatory response, especially during the manipulation of the splenic vasculature and pancreatic tissue while opening the lesser sac, can enhance t thrombus formation and alter the coagulation pathway [96,98,99,100].
Author Contributions
Funding
Institutional Review Board Statement
Informed Consent Statement
Data Availability Statement
Conflicts of Interest
References
- Kaplan, L.M.; Apovian, C.M.; Ard, J.D.; Allison, D.B.; Aronne, L.J.; Batterham, R.L.; Busetto, L.; Dicker, D.; Horn, D.B.; Kelly, A.S.; et al. Assessing the State of Obesity Care Writing Group. Assessing the state of obesity care: Quality, access, guidelines, and standards. Obes. Sci. Pract. 2024, 10, e765. [Google Scholar] [CrossRef] [PubMed]
- Nagi, M.A.; Ahmed, H.; Rezq, M.A.A.; Sangroongruangsri, S.; Chaikledkaew, U.; Almalki, Z.; Thavorncharoensap, M. Economic costs of obesity: A systematic review. Int. J. Obes. 2024, 48, 33–43. [Google Scholar] [CrossRef] [PubMed]
- Parmar, C.; Abi Mosleh, K.; Aeschbacher, P.; Halfdanarson, T.R.; McKenzie, T.J.; Rosenthal, R.J.; Ghanem, O.M.; BRIDGE Study Group. The feasibility and outcomes of metabolic and bariatric surgery prior to neoplastic therapy. Surg. Obes. Relat. Dis. 2024. [Google Scholar] [CrossRef] [PubMed]
- Eisenberg, D.; Shikora, S.A.; Aarts, E.; Aminian, A.; Angrisani, L.; Cohen, R.V.; de Luca, M.; Faria, S.L.; Goodpaster, K.P.S.; Haddad, A.; et al. 2022 American Society of Metabolic and Bariatric Surgery (ASMBS) and International Federation for the Surgery of Obesity and Metabolic Disorders (IFSO) Indications for Metabolic and Bariatric Surgery. Obes Surg. 2023, 33, 3–14. [Google Scholar] [CrossRef] [PubMed]
- Clapp, B.; Ponce, J.; Corbett, J.; Ghanem, O.M.; Kurian, M.; Rogers, A.M.; Peterson, R.M.; LaMasters, T.; English, W.J. American Society for Metabolic and Bariatric Surgery 2022 estimate of metabolic and bariatric procedures performed in the United States. Surg. Obes. Relat Dis. 2024, 20, 425–431. [Google Scholar] [CrossRef] [PubMed]
- Clapp, B.; Abi Mosleh, K.; Glasgow, A.E.; Habermann, E.B.; Abu Dayyeh, B.K.; Spaniolas, K.; Aminian, A.; Ghanem, O.M. Bariatric surgery is as safe as other common operations: An analysis of the ACS-NSQIP. Surg. Obes. Relat. Dis. 2024, 20, 515–525. [Google Scholar] [CrossRef] [PubMed]
- Clapp, B.; Corbett, J.; Ahmad, M.; Vivar, A.; Sharma, I.; Hage, K.; Ghanem, O.M. When do leaks occur? An analysis of the metabolic and bariatric surgery accreditation and quality improvement program. Surg. Obes. Relat. Dis. 2023, 19, 1128–1133. [Google Scholar] [CrossRef] [PubMed]
- Ghusn, W.; Ikemiya, K.; Al Annan, K.; Acosta, A.; Dayyeh, B.K.A.; Lee, E.; Spaniolas, K.; Kendrick, M.; Higa, K.; Ma, P.; et al. Diabetes Mellitus Remission in Patients with BMI > 50 kg/m2 after Bariatric Surgeries: A Real-World Multi-Centered Study. Obes. Surg. 2023, 33, 1838–1845. [Google Scholar] [CrossRef]
- Woźniewska, P.; Diemieszczyk, I.; Hady, H.R. Complications associated with laparoscopic sleeve gastrectomy—A review. Prz. Gastroenterol. 2021, 16, 5–9. [Google Scholar] [CrossRef]
- Ramos, A.C.; Bastos, E.L.; Ramos, M.G.; Bertin, N.T.; Galvão, T.D.; de Lucena, R.T.; Campos, J.M. Technical aspects of laparoscopic sleeve gastrectomy. Arq. Bras. Cir. Dig. 2015, 28 (Suppl. S1), 65–68. [Google Scholar] [CrossRef][Green Version]
- Jiang, G.Q.; Bai, D.S.; Chen, P.; Qian, J.J.; Jin, S.J. Laparoscopic Splenectomy and Azygoportal Disconnection: A Systematic Review. JSLS 2015, 19, e2015.00091. [Google Scholar] [CrossRef]
- Kim, M.C.; Kim, W.; Kim, H.H.; Ryu, S.W.; Ryu, S.Y.; Song, K.Y.; Lee, H.J.; Cho, G.S.; Han, S.U.; Hyung, W.J.; et al. Risk Factors Associated with Complication Following Laparoscopy-Assisted Gastrectomy for Gastric Cancer: A Large-Scale Korean Multicenter Study. Ann. Surg. Oncol. 2008, 15, 2692–2700. [Google Scholar] [CrossRef]
- Dominguez, E.P.; Choi, Y.U.; Scott, B.G.; Yahanda, A.M.; Graviss, E.A.; Sweeney, J.F. Impact of morbid obesity on outcome of laparoscopic splenectomy. Surg. Endosc. 2007, 21, 422–426. [Google Scholar] [CrossRef]
- Rubin, L.G.; Schaffner, W. Clinical practice. Care of the asplenic patient. N. Engl. J. Med. 2014, 371, 349–356. [Google Scholar] [CrossRef]
- Dhanasopon, A.P.; Lewis, C.E.; Folek, J.M.; Dutson, E.P.; Mehran, A. Splenic infarct as complication of sleeve gastrectomy. Surg. Obes. Relat. Dis. 2009, 5, 626–629. [Google Scholar] [CrossRef] [PubMed]
- Brett, A.S.; Azizzadeh, N.; Miller, E.M.; Collins, R.J.; Seegars, M.B.; Marcus, M.A. Assessment of Clinical Conditions Associated with Splenic Infarction in Adult Patients. JAMA Intern. Med. 2020, 180, 1125–1128. [Google Scholar] [CrossRef] [PubMed]
- Ertuğrul, İ.; Yaylak, F.; Şenkul, M.; Atlı, E.; Tardu, A. Splenic infarction after laparoscopic sleeve gastrectomy. Laparosc. Endosc. Surg. Sci. 2018, 25, 67–69. [Google Scholar] [CrossRef][Green Version]
- Mousavimaleki, A.; Amr, B.; Taherzadeh, M.; Rokhgireh, S.; Setaredan, S.A.; Kermansaravi, M. Post-Bariatric Splenic Complications; Diagnosis and Treatment. A Systematic Review. Obes. Surg. 2022, 32, 3125–3137. [Google Scholar] [CrossRef] [PubMed]
- Sakran, N.; Zakeri, R.; Madhok, B.; Graham, Y.; Parmar, C.; Mahawar, K.; Arhi, C.; Shah, K.; Pouwels, S.; Global Bariatric Research Collaborative. Splenic Abscess Following Sleeve Gastrectomy: A Systematic Review of Clinical Presentation and Management Methods. Obes. Surg. 2021, 31, 2753–2761. [Google Scholar] [CrossRef]
- Ferraioli, G.; Brunetti, E.; Gulizia, R.; Mariani, G.; Marone, P.; Filice, C. Management of splenic abscess: Report on 16 cases from a single center. Int. J. Infect. Dis. 2009, 13, 524–530. [Google Scholar] [CrossRef]
- Buksh, M.; Durrani, N.; Shah, S.; Farooq, A. Splenic Abscess Complicating Bariatric Surgery: A Systematic Review. Obes. Surg. J. 2021, 31, 1234–1240. [Google Scholar] [CrossRef]
- Sakran, N.; Iliviitzki, A.; Zeina, A.R.; Assalia, A. Splenic abscess after sleeve gastrectomy: A report of two cases. Obes. Facts 2012, 5, 635–639. [Google Scholar] [CrossRef] [PubMed]
- Zerem, E.; Bergsland, J. Ultrasound guided percutaneous treatment for splenic abscesses: The significance in treatment of critically ill patients. World J. Gastroenterol. 2006, 12, 7341–7345. [Google Scholar] [CrossRef]
- Frattini, F.; Savio, G.; Bo, P.; Giani, A.; Colombo, M. Splenic Injury after Sleeve Gastrectomy: A Narrative Review. J. Obes. Surg. 2023, 30, 567–573. [Google Scholar] [CrossRef]
- Hawasli, A.; Jacquish, B.; Almahmeed, T.; Vavra, J.; Roberts, N.; Meguid, A.; Szpunar, S. Splenic infarction, rare cause of acute abdomen, only seldom requires splenectomy. Case report and literature review. Ann. Ital. Chir. 2007, 78, 529–532. [Google Scholar]
- Schiavo, L.; Scalera, G.; De Sena, G.; Ciorra, F.R.; Pagliano, P.; Barbarisi, A. Nonsurgical management of multiple splenic abscesses in an obese patient that underwent laparoscopic sleeve gastrectomy: Case report and review of literature. Clin. Case Rep. 2015, 3, 870–874. [Google Scholar] [CrossRef] [PubMed]
- Sarr, M.G.; Zuidema, G.D. Splenic abscess–presentation, diagnosis, and treatment. Surgery 1982, 92, 480–485. [Google Scholar]
- Khuri, S.; Abboud, W.; Abofoul, S.; Kluger, Y.; Bishara, B. Emergency Presentation of Spleen Associated Complication After Laparoscopic Sleeve Gastrectomy. J. Surg. 2017, 4, JSUR-146. [Google Scholar] [CrossRef]
- Safi, M.; Hussein, M.; Mustafa, Y.; Qureshi, M. Emergency Splenectomy Following Laparoscopic Sleeve Gastrectomy: Case Reports and Literature Review. Surg. Case Rep. 2020, 10, 245–250. [Google Scholar]
- Kanneganti, T.D.; Dixit, V.D. Immunological complications of obesity. Nat. Immunol. 2012, 13, 707–712. [Google Scholar] [CrossRef]
- Andersen, C.J.; Murphy, K.E.; Fernandez, M.L. Impact of obesity and metabolic syndrome on immunity. Adv. Nutr. 2016, 7, 66–75. [Google Scholar] [CrossRef] [PubMed]
- Aiolfi, A.; Ferrari, D.; Riva, C.G.; Toti, F.; Bonitta, G.; Bonavina, L. Esophageal foreign bodies in adults: Systematic review of the literature. Scand. J. Gastroenterol. 2018, 53, 1171–1178. [Google Scholar] [CrossRef] [PubMed]
- Wang, Y.; Guo, X.; Lu, X.; Mattar, S.; Kassab, G. Mechanisms of Weight Loss After Sleeve Gastrectomy and Adjustable Gastric Banding: Far More Than Just Restriction. Obesity 2019, 27, 1776–1783. [Google Scholar] [CrossRef] [PubMed]
- Hawasli, A.; Jacquish, B.; Almahmeed, T.; Vavra, J.; Roberts, N.; Meguid, A.; Szpunar, S. Early effects of bougie size on sleeve gastrectomy outcome. Am. J. Surg. 2015, 209, 473–477. [Google Scholar] [CrossRef]
- Nandra, K.; Ing, R. Safety of orogastric tubes in foregut and bariatric surgery [published correction appears in Surg Endosc. 2019 Apr 12]. Surg. Endosc. 2018, 32, 4068–4070. [Google Scholar] [CrossRef] [PubMed]
- Zhang, L.P.; Chang, R.; Matthews, B.D.; Awad, M.; Meyers, B.; Eagon, J.C.; Brunt, L.M. Incidence, mechanisms, and outcomes of esophageal and gastric perforation during laparoscopic foregut surgery: A retrospective review of 1,223 foregut cases. Surg. Endosc. 2014, 28, 85–90. [Google Scholar] [CrossRef] [PubMed]
- Ruiz-Tovar, J.; Sola-Vera, J.; Miranda, E.; Muñoz, J.L.; Perez-Rabasco, E.; Arroyo, A.; Calpena, R.; OBELCHE Group. Laparoscopic sleeve gastrectomy with endoscopic versus bougie calibration: Results of a prospective study. J. Laparoendosc. Adv. Surg. Tech. A 2014, 24, 671–675. [Google Scholar] [CrossRef] [PubMed]
- Soliman, A. Thoracic esophageal rupture during sleeve gastrectomy: A case report with successful laparoscopic transhiatal repair. Surg. Obes. Relat. Dis. 2020, 16, 2129–2131. [Google Scholar] [CrossRef]
- Lovece, A.; Rouvelas, I.; Hayami, M.; Lindblad, M.; Tsekrekos, A. Cervical esophageal perforation caused by the use of bougie during laparoscopic sleeve gastrectomy: A case report and review of the literature. BMC Surg. 2020, 20, 9. [Google Scholar] [CrossRef]
- Tadayon, S.M.K.; Moeinvaziri, N.; Amini, M.; Setoodeh, M.; Haghighat, N. Esophageal perforation during laparoscopic sleeve gastrectomy: Complication of bougie insertion. Int. J. Surg. Case Rep. 2021, 81, 105793. [Google Scholar] [CrossRef]
- Signorini, F.J.; Verónica, G.; Marcos, M.; German, V.; Federico, M. Iatrogenic injury of the intrathoracic oesophagus with bougie during sleeve gastrectomy. J. Minim. Access Surg. 2018, 14, 79–82. [Google Scholar] [CrossRef] [PubMed]
- Aljehani, Y.; AlQattan, A.S.; Alkuwaiti, F.A.; Alsaif, F.; Aldossari, I.; Elbawab, H. Thoracic Complications of Bariatric Surgeries: Overlooked Entities. Obes. Surg. 2019, 29, 2485–2491. [Google Scholar] [CrossRef]
- Gagner, M.; Huang, R.Y. Comparison between orogastric tube/bougie and a suction calibration system for effects on operative duration, staple-line corkscrewing, and esophageal perforation during laparoscopic sleeve gastrectomy. Surg. Endosc. 2016, 30, 1648–1655. [Google Scholar] [CrossRef] [PubMed][Green Version]
- Younes, Z.; Johnson, D.A. The spectrum of spontaneous and iatrogenic esophageal injury: Perforations, Mallory-Weiss tears, and hematomas. J. Clin. Gastroenterol. 1999, 29, 306–317. [Google Scholar] [CrossRef] [PubMed]
- Kassem, M.M.; Wallen, J.M. Esophageal Perforation and Tears. In StatPearls; StatPearls Publishing: Treasure Island, FL, USA, 2023. [Google Scholar]
- Shaheem, S.; Panikkaveettil, H. Aetiology, Clinical Manifestations, Diagnosis, and Treatment of Oesophageal Perforation: A Review. Cureus 2024, 16, e55041. [Google Scholar] [CrossRef] [PubMed]
- Draeger, T.B.; Tedesco, S.; Takahashi, H.; Andaz, S.K.; Gibson, V.R. Esophageal Pulmonary-splenopancreatic Fistula: A Serious Complication of Sleeve Gastrectomy. Ann. Thorac. Surg. 2022, 114, e419–e422. [Google Scholar] [CrossRef] [PubMed]
- Clapp, B.; Schrodt, A.; Ahmad, M.; Wicker, E.; Sharma, N.; Vivar, A.; Davis, B. Stapler Malfunctions in Bariatric Surgery: An Analysis of the MAUDE Database. JSLS 2022, 26, e2021.00074. [Google Scholar] [CrossRef] [PubMed]
- Kwazneski, D., 2nd; Six, C.; Stahlfeld, K. The unacknowledged incidence of laparoscopic stapler malfunction. Surg. Endosc. 2013, 27, 86–89. [Google Scholar] [CrossRef] [PubMed]
- Makanyengo, S.O.; Thiruchelvam, D. Literature Review on the Incidence of Primary Stapler Malfunction. Surg. Innov. 2020, 27, 229–234. [Google Scholar] [CrossRef]
- Salyer, C.; Spuzzillo, A.; Wakefield, D.; Gomaa, D.; Thompson, J.; Goodman, M. Assessment of a novel stapler performance for laparoscopic sleeve gastrectomy. Surg. Endosc. 2021, 35, 4016–4021. [Google Scholar] [CrossRef]
- Abu-Gazala, S.; Donchin, Y.; Keidar, A. Nasogastric tube, temperature probe, and bougie stapling during bariatric surgery: A multicenter survey. Surg. Obes. Relat. Dis. 2012, 8, 595–600, discussion 600–601. [Google Scholar] [CrossRef] [PubMed]
- Çalikoğlu, İ.; Özgen, G.; Yerdel, M.A. Inadvertent stapling of the orogastric tube during bariatric surgery: Report of 3 cases and a systematic review. Medicine 2021, 100, e24144. [Google Scholar] [CrossRef] [PubMed]
- Péquignot, A.; Dhahri, A.; Mensah, E.; Verhaeghe, P.; Badaoui, R.; Sabbagh, C.; Regimbeau, J.M. Stapling and Section of the Nasogastric Tube during Sleeve Gastrectomy: How to Prevent and Recover. Case Rep. Gastroenterol. 2011, 5, 350–354. [Google Scholar] [CrossRef] [PubMed]
- Aryannezhad, S.; Sadeghian, Y.; Shapoori, P.; Valizadeh, M.; Barzin, M. A rare case report of late-onset phytobezoar formation following laparoscopic sleeve gastrectomy: Delayed redo bariatric surgery. BMC Surg. 2021, 21, 254. [Google Scholar] [CrossRef] [PubMed]
- Ben-Porat, T.; Sherf Dagan, S.; Goldenshluger, A.; Yuval, J.B.; Elazary, R. Gastrointestinal phytobezoar following bariatric surgery: Systematic review. Surg. Obes. Relat. Dis. 2016, 12, 1747–1754. [Google Scholar] [CrossRef] [PubMed]
- Ben-Porat, T.; Elazary, R.; Goldenshluger, A.; Sherf-Dagan, S.; Grinbaum, R.; Beglaibter, N. Phytobezoar: A rare late complication following laparoscopic sleeve gastrectomy surgery. Int. Surg. J. 2017, 4, 1803–1805. [Google Scholar] [CrossRef][Green Version]
- Arsalan, O.; Hussein, A.; El Malik, S. A case of antroduodenal phytobezoar following laparoscopic sleeve gastrectomy. Hamdan Med. J. 2014, 7, 117–120. [Google Scholar] [CrossRef]
- Martines, G.; Musa, N.; Aquilino, F.; Picciariello, A.; Altomare, D.F. Sleeve gastrectomy combined with Nissen fundoplication as a single surgical procedure, is it really safe? A case report. Am. J. Case Rep. 2020, 21, e923543. [Google Scholar] [CrossRef]
- Portela, R.; Dayyeh, B.A.; Vahibe, A.; Ghanem, O.M. Pancreatic Leak after a Laparoscopic Sleeve Gastrectomy. Obes. Surg. 2022, 32, 2825–2827. [Google Scholar] [CrossRef]
- Özbalcı, G.S.; Polat, A.K.; Tarım, İ.A.; Derebey, M.; Nural, M.S.; Tümentemur, V.; Karabacak, U. A Pancreatic Fistula after the Laparoscopic Sleeve Gastrectomy. Case Rep. Surg. 2015, 2015, 910583. [Google Scholar] [CrossRef][Green Version]
- Nguyen, D.; Dip, F.; Hendricks, L.; Lo Menzo, E.; Szomstein, S.; Rosenthal, R. The Surgical Management of Complex Fistulas After Sleeve Gastrectomy. Obes. Surg. 2016, 26, 245–250. [Google Scholar] [CrossRef] [PubMed]
- Dugan, N.; Nimeri, A. Surgical Management of a Chronic Sleeve Gastrocolic Fistula with Near Total Gastrectomy and Roux-en-Y Reconstruction. Obes. Surg. 2020, 30, 3640–3641. [Google Scholar] [CrossRef] [PubMed]
- D’Alessandro, A.; Galasso, G.; Zito, F.P.; Giardiello, C.; Cereatti, F.; Arienzo, R.; Pacini, F.; Chevallier, J.M.; Donatelli, G. Role of Endoscopic Internal Drainage in Treating Gastro-Bronchial and Gastro-Colic Fistula After Sleeve Gastrectomy. Obes. Surg. 2022, 32, 342–348. [Google Scholar] [CrossRef] [PubMed]
- Khuri, S. Endoscopic management of gastro-colic fistula following leak from laparoscopic sleeve gastrectomy. J. Clin. Rev. Case Rep. 2017, 1, 1–3. [Google Scholar]
- El Sayegh, J.S.; Nicolas, G.; Yammine, K.; Tayar, C. Resolution of late-onset gastro-colic fistula after laparoscopic sleeve gastrectomy by conservative management: A case report. Clin. Case Rep. 2018, 6, 1342–1346. [Google Scholar] [CrossRef] [PubMed]
- Bhasker, A.G.; Khalifa, H.; Sood, A.; Lakdawala, M. Management of gastro-colic fistula after laparoscopic sleeve gastrectomy. Asian J. Endosc. Surg. 2014, 7, 314–316. [Google Scholar] [CrossRef] [PubMed]
- Parmar, C.D.; Khalil, H.; Lakdawala, M.; Bhan, C.; Sufi, P. Gastro-Colic Fistula After Sleeve Gastrectomy Leak: Our Experience with this Rare Complication. Obes. Surg. 2019, 29, 3771–3772. [Google Scholar] [CrossRef] [PubMed]
- Garofalo, F.; Atlas, H.; Pescarus, R. Laparoscopic treatment of gastrocolic fistula: A rare complication post-sleeve gastrectomy. Surg. Obes. Relat. Dis. 2016, 12, 1761–1763. [Google Scholar] [CrossRef]
- Mirza Gari, M.K.; Foula, M.S.; Eldamati, A.; Alshomimi, S.; Zakaria, H. Gastrocolic fistula after laparoscopic sleeve gastrectomy: Case report and literature review. Int. J. Surg. Case Rep. 2020, 66, 201–203. [Google Scholar] [CrossRef]
- Mancini, A.; Vangelder, V.; Caiazzo, R.; Marciniak, C.; Daoud, N.O.; Patel, N.; Pattou, F.; Baud, G. Salvage Robotic Roux-en-Y Fistulojejunostomy for Chronic Gastro-Colic Fistula After Laparoscopic Sleeve Gastrectomy. Obes. Surg. 2021, 31, 1899–1900. [Google Scholar] [CrossRef]
- Shin, T.H.; Nimeri, A.A.; Tavakkoli, A.; Sheu, E.G. Laparoscopic Gastro-bronchial and Gastro-colonic Fistulae Takedown with Roux-en-Y Fistulojejunostomy after Proximal Gastric Sleeve Leak. Obes. Surg. 2024, 34, 1058. [Google Scholar] [CrossRef] [PubMed]
- Badaoui, J.N.; Kellogg, T.A.; Dayyeh, B.A.; Ghanem, O.M. Sleeve to Colon Fistula: Laparoscopic Conversion to Roux-en-Y Gastric Bypass. Obes. Surg. 2021, 31, 2837–2838. [Google Scholar] [CrossRef] [PubMed]
- Iqbal, S.M.; Zhi, C.; Masud, M.; Aslam, H.M.; Qadir, M.A. Gastropleural fistula: A rare complication of a common procedure. Cureus 2019, 11, e4136. [Google Scholar] [CrossRef] [PubMed]
- Galloro, G. Staple-line leak after sleve gastrectomy in obese patients: A hot topic in bariatric surgery. World J. Gastrointest. Endosc. 2015, 7, 843–846. [Google Scholar] [CrossRef] [PubMed]
- Papavramidis, T.S.; Mantzoukis, K.; Michalopoulos, N. Confronting gastrocutaneous fistulas. Ann. Gastroenterol. 2011, 24, 16–19. [Google Scholar] [PubMed]
- Marie, L.; Robert, M.; Montana, L.; De Dominicis, F.; Ezzedine, W.; Caiazzo, R.; Fournel, L.; Mancini, A.; Kassir, R.; Boullu, S.; et al. A French national study on gastropleural and gastrobronchial fistulas after bariatric surgery: The impact of therapeutic strategy on healing. Obes. Surg. 2020, 30, 3111–3118. [Google Scholar] [CrossRef]
- Markowitz, A.M.; Herter, F.P. Gastro-pleural fistula as a complication of esophageal hiatal hernia. Ann. Surg. 1960, 152, 129–134. [Google Scholar] [CrossRef]
- Silva, L.B.; Moon, R.C.; Teixeira, A.F.; Jawad, M.A.; Ferraz, Á.A.; Neto, M.G.; Ramos, A.C.; Campos, J.M. Gastrobronchial Fistula in Sleeve Gastrectomy and Roux-en-Y Gastric Bypass--A Systematic Review. Obes. Surg. 2015, 25, 1959–1965. [Google Scholar] [CrossRef]
- Guillaud, A.; Moszkowicz, D.; Nedelcu, M.; Caballero-Caballero, A.; Rebibo, L.; Reche, F.; Abba, J.; Arvieux, C. Gastrobronchial Fistula: A Serious Complication of Sleeve Gastrectomy. Results of a French Multicentric Study. Obes. Surg. 2015, 25, 2352–2359. [Google Scholar] [CrossRef]
- Al-Shurafa, H.; Alghamdi, S.; Albenmousa, A.; Alolayan, H.; Al-Shurafa, Z. Gastropleural fistula after single anastomosis gastric bypass. A case report and review of the literature. Int. J. Surg. Case Rep. 2017, 35, 82–86. [Google Scholar] [CrossRef]
- Sobhani, Z.; Hosseini, B.; MoeinVaziri, N.; Kheradmand, E.; Amini, M.; Setoodeh, M. Empyema Caused by Gastropleural Fistula Post Complicated Laparoscopic Sleeve Gastrectomy. Obes. Surg. 2021, 31, 895–898. [Google Scholar] [CrossRef] [PubMed]
- Campos, J.M.; Pereira, E.F.; Evangelista, L.F.; Siqueira, L.; Neto, M.G.; Dib, V.; Falcão, M.; Arantes, V.; Awruch, D.; Albuquerque, W.; et al. Gastrobronchial fistula after sleeve gastrectomy and gastric bypass: Endoscopic management and prevention. Obes. Surg. 2011, 21, 1520–1529. [Google Scholar] [CrossRef] [PubMed]
- Fuks, D.; Dumont, F.; Berna, P.; Verhaeghe, P.; Sinna, R.; Sabbagh, C.; Demuynck, F.; Yzet, T.; Delcenserie, R.; Bartoli, E.; et al. Case report-complex management of a postoperative bronchogastric fistula after laparoscopic sleeve gastrectomy. Obes. Surg. 2009, 19, 261–264. [Google Scholar] [CrossRef] [PubMed]
- Sakran, N.; Assalia, A.; Keidar, A.; Goitein, D. Gastrobronchial fistula as a complication of bariatric surgery: A series of 6 cases. Obes. Facts. 2012, 5, 538–545. [Google Scholar] [CrossRef] [PubMed]
- Alharbi, S.R. Gastrobronchial fistula a rare complication post laparoscopic sleeve gastrectomy. Ann. Thorac. Med. 2013, 8, 179–180. [Google Scholar] [CrossRef] [PubMed]
- Ishtiaq, J.; Sutton, J.; Ahmed, W. A novel management of postoesophagectomy gastro-pleural fistula. J. Gastrointest. Oncol. 2016, 7, E93–E97. [Google Scholar] [CrossRef] [PubMed]
- Negm, S.; Mousa, B.; Shafiq, A.; Abozaid, M.; Allah, E.A.; Attia, A.; AbdelKader, T.; Farag, A. Endoscopic management of refractory leak and gastrocutaneous fistula after laparoscopic sleeve gastrectomy: A randomized controlled trial. Surg. Endosc. 2022, 37, 2173. [Google Scholar] [CrossRef] [PubMed]
- Parkash, O.; Sohail, Z.; Khalid, N. Endoscopic stent placement for the management of gastro-pleural and gastro-cutaneous fistula post laparoscopic sleeve gastrectomy: A case report. J. Med. Case Rep. 2023, 17, 461. [Google Scholar] [CrossRef] [PubMed]
- Tsai, Y.; Wang, H.; Huang, C.; Chang, P.; Lin, I.; Tai, C. Endoluminal stenting for the management of leak following sleeve gastrectomy and loop duodenojejunal bypass with sleeve gastrectomy. Kaohsiung J. Med. Sci. 2018, 34, 43–48. [Google Scholar] [CrossRef] [PubMed]
- Galloro, G.; Magno, L.; Musella, M.; Manta, R.; Zullo, A.; Forestieri, P. A novel dedicated endoscopic stent for staple-line leaks after laparoscopic sleeve gastrectomy: A case series. Surg. Obes. Relat. Dis. 2014, 10, 607–611. [Google Scholar] [CrossRef]
- Basha, J.; Appasani, S.; Sinha, S.K.; Siddappa, P.; Dhaliwal, H.S.; Verma, G.R.; Kochhar, R. Mega stents: A new option for management of leaks following laparoscopic sleeve gastrectomy. Endoscopy 2014, 46 (Suppl. S1), E49–E50. [Google Scholar] [CrossRef] [PubMed]
- Southwell, T.; Lim, T.H.; Ogra, R. Endoscopic therapy for treatment of staple line leaks post-laparoscopic sleeve gastrectomy (LSG): Experience from a large bariatric surgery centre in New Zealand. Obes. Surg. 2016, 26, 1155–1162. [Google Scholar] [CrossRef] [PubMed]
- Ghanem, O.M.; Abu Dayyeh, B.K.; Kellogg, T.A. Management of Gastropleural Fistula after Revisional Bariatric Surgery: A Hybrid Laparoendoscopic Approach. Obes. Surg. 2017, 27, 2773–2777. [Google Scholar] [CrossRef] [PubMed]
- Tan, S.B.M.; Greenslade, J.; Martin, D.; Talbot, M.; Loi, K.; Hopkins, G. Portomesenteric vein thrombosis in sleeve gastrectomy: A 10-year review. Surg. Obes. Relat. Dis. 2018, 14, 271–275. [Google Scholar] [CrossRef] [PubMed]
- Giannis, D.; Geropoulos, G.; Kakos, C.D.; Lu, W.; El Hadwe, S.; Fornasiero, M.; Robertson, A.; Parmar, C. Portomesenteric Vein Thrombosis in Patients Undergoing Sleeve Gastrectomy: An Updated Systematic Review and Meta-Analysis of 101,914 Patients. Obes. Surg. 2023, 33, 2991–3007. [Google Scholar] [CrossRef] [PubMed]
- O’Connor, K.; Whitlock, A.E.G.; Tewksbury, C.; Williams, N.N.; Dumon, K.R. Risk factors for postdischarge venous thromboembolism among bariatric surgery patients and the evolving approach to extended thromboprophylaxis with enoxaparin. Surg. Obes. Relat. Dis. Off. J. Am. Soc. Bariatr. Surg. 2021, 17, 1218–1225. [Google Scholar] [CrossRef] [PubMed]
- Salinas, J.; Barros, D.; Salgado, N.; Viscido, G.; Funke, R.; Pérez, G.; Pimentel, F.; Boza, C. Portomesenteric vein thrombosis after laparoscopic sleeve gastrectomy. Surg. Endosc. 2014, 28, 1083–1089. [Google Scholar] [CrossRef] [PubMed]
- Karaman, K.; Aziret, M.; Bal, A. Porto-mesenteric venous thrombosis after laparoscopic sleeve gastrectomy: A case report and systematic review of the 104 cases. Obes. Res. Clin. Pract. 2018, 12, 317–325. [Google Scholar] [CrossRef]
- Villagrán, R.; Smith, G.; Rodriguez, W.; Flores, C.; Cariaga, M.; Araya, S.; Yañez, M.; Fuentes, P.; Linares, J.; Zapata, A. Portomesenteric vein thrombosis after laparoscopic sleeve gastrectomy: Incidence, analysis and follow-up in 1236 consecutive cases. Obes. Surg. 2016, 26, 2555–2561. [Google Scholar] [CrossRef]
- Godoroja-Diarto, D.; Copaescu, C.; Rusu, E.; Constantin, A. The Role of Thromboprophylaxis in Patients with Portal Vein Thrombosis: A Life-Threatening Complication after Laparoscopic Sleeve Gastrectomy Following 8 Years of Experience in a Bariatric Center of Excellence. Diagnostics 2022, 13, 43. [Google Scholar] [CrossRef]
- Shaheen, O.; Siejka, J.; Thatigotla, B.; Pham, D.T. A systematic review of portomesenteric vein thrombosis after sleeve gastrectomy. Surg. Obes. Relat. Dis. 2017, 13, 1422–1431. [Google Scholar] [CrossRef] [PubMed]
- Sebastian, R.; Ghanem, O.; DiRoma, F.; Milner, S.M.; Price, L.A. Pulmonary embolism in burns, is there an evidence based prophylactic recommendation? Case report and review of literature. Burns 2015, 41, e4–e7. [Google Scholar] [CrossRef] [PubMed]
- Giannopoulos, S.; Kalantar Motamedi, S.M.; Athanasiadis, D.I.; Clapp, B.; Lyo, V.; Ghanem, O.; Edwards, M.; Puzziferri, N.; Stefanidis, D.; ASMBS Research Committee. Venous thromboembolism (VTE) prophylaxis after bariatric surgery: A national survey of MBSAQIP director practices. Surg. Obes. Relat. Dis. 2023, 19, 799–807. [Google Scholar] [CrossRef] [PubMed]
- Di Lorenzo, N.; Antoniou, S.A.; Rachel, L.; Batterham Busetto, L.; Godoroja, D.; Iossa, A.; Carrano, F.M.; Agresta, F.; Alarçon, I.; Azran, C.; et al. Clinical practice guidelines of the European Association for Endoscopic Surgery (EAES) on bariatric surgery: Update 2020 endorsed by IFSO-EC, EASO and ESPCOP. Sur-Gical Endosc. 2020, 34, 2332–2358. [Google Scholar] [CrossRef] [PubMed]
- Carlin, A.M.; Varban, O.A.; Ehlers, A.P.; Bonham, A.J.; Ghaferi, A.A.; Finks, J.F. Independent predictors and timing of portomesenteric vein thrombosis after bariatric surgery. Surg. Obes. Relat. Dis. 2022, 18, 1385–1391. [Google Scholar] [CrossRef] [PubMed]
- Cuva, D.; Somoza, E.; Alade, M.; Saunders, J.K.; Park, J.; Lipman, J.; Einersen, P.; Chui, P.; Parikh, M. Routine extended (30 days) chemoprophylaxis for patients undergoing laparoscopic sleeve gastrectomy may reduce Portomesenteric vein thrombosis rates. Surg. Obes. Relat. Dis. 2024, 20, 527–531. [Google Scholar] [CrossRef]
- Aminian, A.; Andalib, A.; Khorgami, Z.; Cetin, D.; Burguera, B.; Bartholomew, J.; Brethauer, S.; Schauer, P. Who should get extended thromboprophylaxis after bariatric surgery? A risk assessment tool to guide indications for post-discharge pharmacoprophylaxis. Ann. Surg. 2017, 265, 143–150. [Google Scholar] [CrossRef]



Disclaimer/Publisher’s Note: The statements, opinions and data contained in all publications are solely those of the individual author(s) and contributor(s) and not of MDPI and/or the editor(s). MDPI and/or the editor(s) disclaim responsibility for any injury to people or property resulting from any ideas, methods, instructions or products referred to in the content. |
© 2024 by the authors. Licensee MDPI, Basel, Switzerland. This article is an open access article distributed under the terms and conditions of the Creative Commons Attribution (CC BY) license (https://creativecommons.org/licenses/by/4.0/).
Share and Cite
Belluzzi, A.; Sample, J.W.; Marrero, K.; Tomey, D.; Puvvadi, S.; Sharma, I.; Ghanem, O.M. Rare Complications Following Laparoscopic Sleeve Gastrectomy. J. Clin. Med. 2024, 13, 4456. https://doi.org/10.3390/jcm13154456
Belluzzi A, Sample JW, Marrero K, Tomey D, Puvvadi S, Sharma I, Ghanem OM. Rare Complications Following Laparoscopic Sleeve Gastrectomy. Journal of Clinical Medicine. 2024; 13(15):4456. https://doi.org/10.3390/jcm13154456
Chicago/Turabian StyleBelluzzi, Amanda, Jack W. Sample, Katie Marrero, Daniel Tomey, Suraj Puvvadi, Ishna Sharma, and Omar M. Ghanem. 2024. "Rare Complications Following Laparoscopic Sleeve Gastrectomy" Journal of Clinical Medicine 13, no. 15: 4456. https://doi.org/10.3390/jcm13154456
APA StyleBelluzzi, A., Sample, J. W., Marrero, K., Tomey, D., Puvvadi, S., Sharma, I., & Ghanem, O. M. (2024). Rare Complications Following Laparoscopic Sleeve Gastrectomy. Journal of Clinical Medicine, 13(15), 4456. https://doi.org/10.3390/jcm13154456

