Medullary Thyroid Carcinoma in Patients with Graves’ Disease—A Case Series and Literature Review
Abstract
1. Introduction
2. Materials and Methods
3. Case Series Presentation
3.1. Case 1
3.1.1. Case Presentation
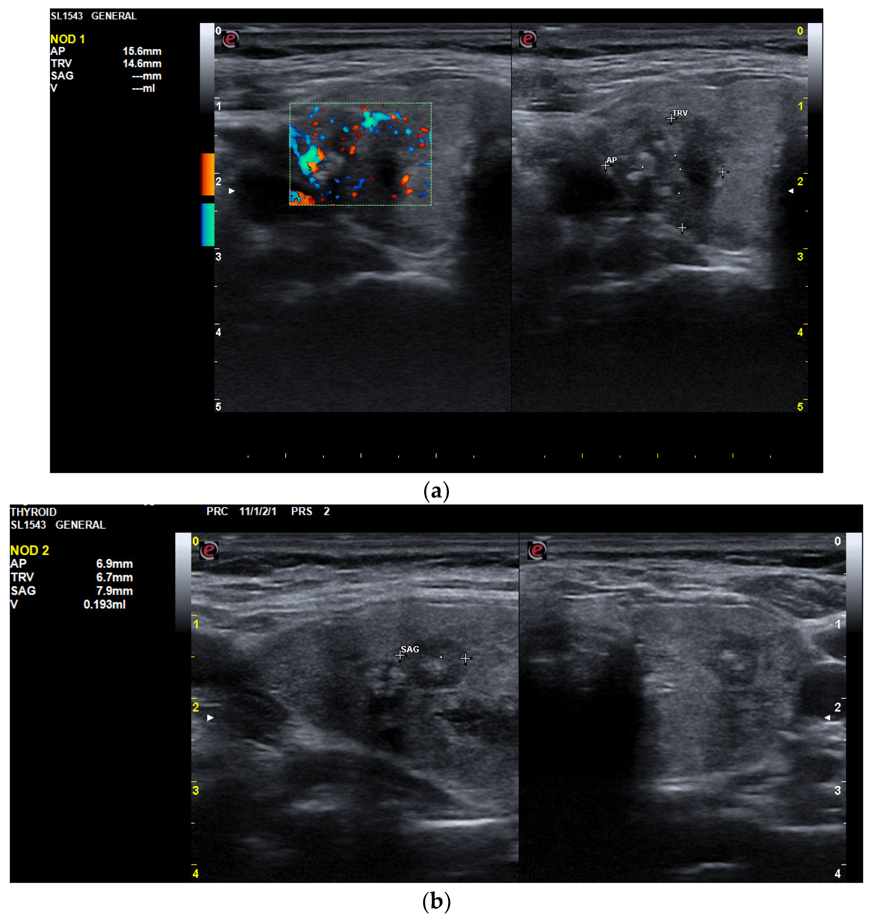
3.1.2. Thyroid Ultrasound
3.1.3. Pre-Operative Laboratory Tests and Treatment
3.1.4. Histological Examination
3.1.5. Post-Operative Evaluation and Management
3.2. Case 2
3.2.1. Case Presentation
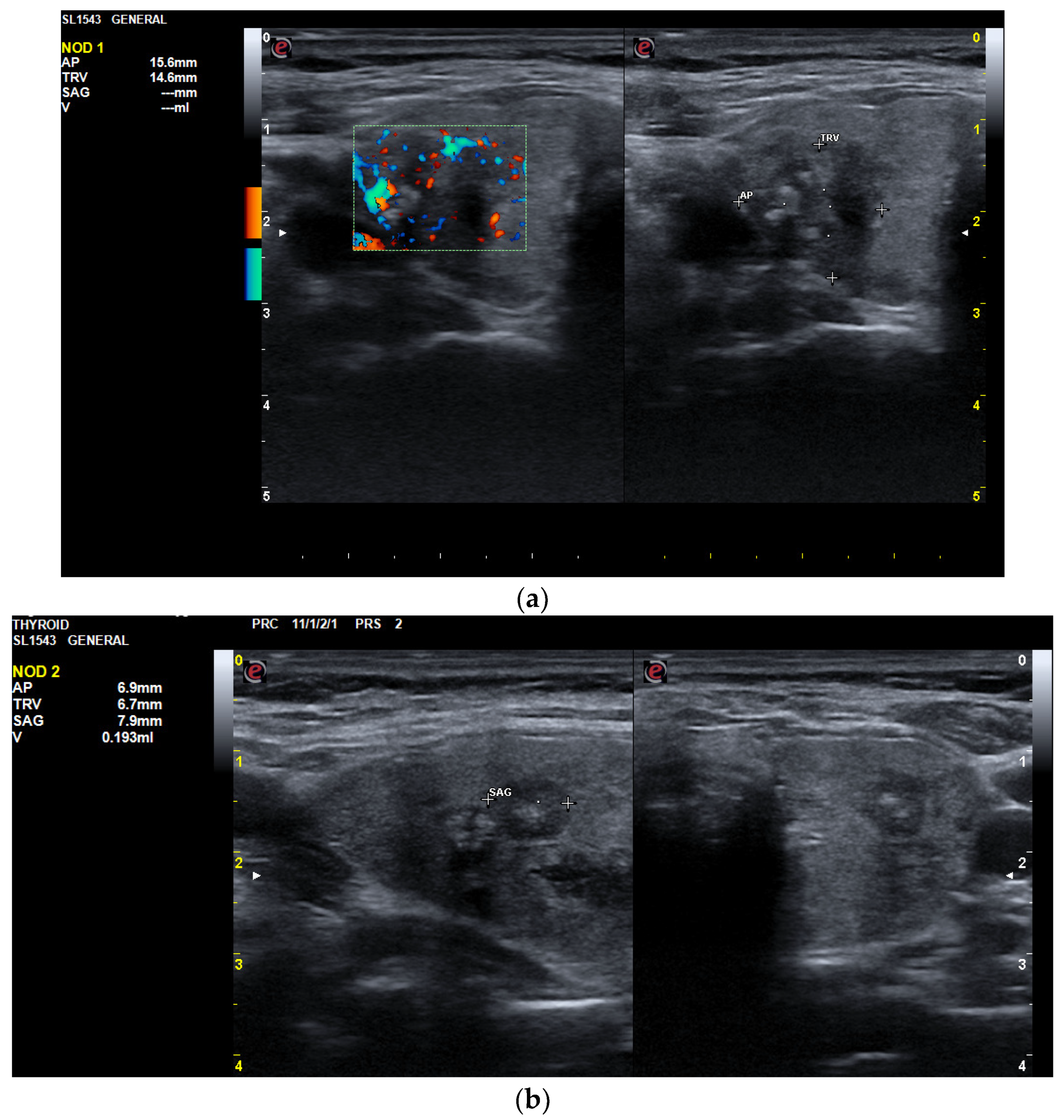
3.2.2. Thyroid Ultrasound
3.2.3. Pre-Operative Investigations
3.2.4. Histological Examination
3.2.5. Post-Operative Evaluation and Management
3.3. Case 3
3.3.1. Case Presentation
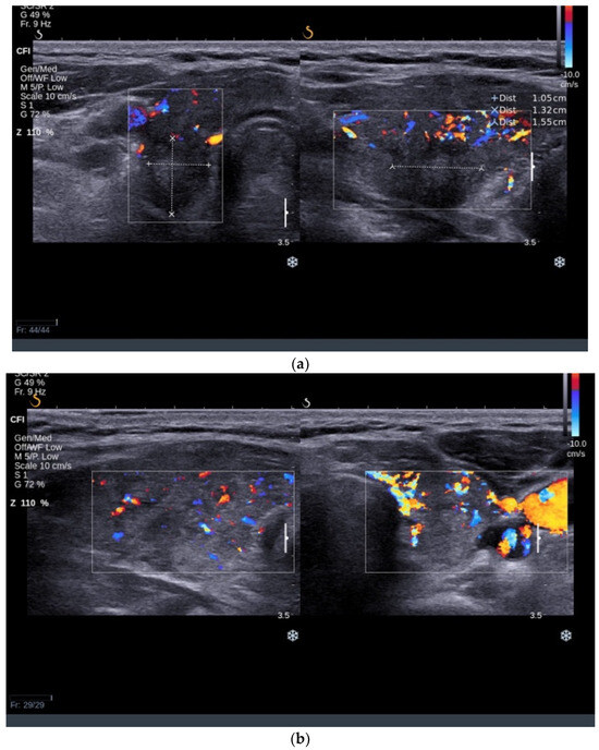
3.3.2. Thyroid Ultrasound
3.3.3. Pre-Operative Investigations
3.3.4. Histological Examination
3.3.5. Post-Operative Evaluation and Management
4. Discussion
5. Conclusions
Author Contributions
Funding
Institutional Review Board Statement
Informed Consent Statement
Data Availability Statement
Acknowledgments
Conflicts of Interest
References
- Pokhrel, B.; Bhusal, K. Graves Disease. In StatPearls [Internet]; StatPearls Publishing: Treasure Island, FL, USA, 2024. Available online: https://www.ncbi.nlm.nih.gov/books/NBK448195/ (accessed on 20 June 2023).
- Muñoz-Ortiz, J.; Sierra-Cote, M.C.; Zapata-Bravo, E.; Valenzuela-Vallejo, L.; Marin-Noriega, M.A.; Uribe-Reina, P.; Terreros-Dorado, J.P.; Gómez-Suarez, M.; Arteaga-Rivera, K.; De-La-Torre, A. Prevalence of hyperthyroidism, hypothyroidism, and euthyroidism in thyroid eye disease: A systematic review of the literature. Syst. Rev. 2020, 9, 201. [Google Scholar] [CrossRef] [PubMed] [PubMed Central]
- Taylor, P.N.; Albrecht, D.; Scholz, A.; Gutierrez-Buey, G.; Lazarus, J.H.; Dayan, C.M.; Okosieme, O.E. Global epidemiology of hyperthyroidism and hypothyroidism. Nat. Rev. Endocrinol. 2018, 14, 301–316. [Google Scholar] [CrossRef] [PubMed]
- Hussain, Y.S.; Hookham, J.C.; Allahabadia, A.; Balasubramanian, S.P. Epidemiology, management and outcomes of Graves’ disease—Real life data. Endocrine 2017, 56, 568–578. [Google Scholar] [CrossRef] [PubMed] [PubMed Central]
- Smith, T.J.; Hegedüs, L. Graves’ Disease. N. Engl. J. Med. 2016, 375, 1552–1565. [Google Scholar] [CrossRef] [PubMed]
- Semėnienė, K.; Daukša, A.; Makštienė, J.; Šarauskas, V.; Veličkienė, D. Sporadic Medullary Thyroid Carcinoma in Graves’ Disease. Acta Endocrinol. 2022, 18, 368–374. [Google Scholar] [CrossRef] [PubMed] [PubMed Central]
- Antonelli, A.; Ferrari, S.M.; Ragusa, F.; Elia, G.; Paparo, S.R.; Ruffilli, I.; Patrizio, A.; Giusti, C.; Gonnella, D.; Cristaudo, A.; et al. Graves’ disease: Epidemiology, genetic and environmental risk factors and viruses. Best Pract. Res. Clin. Endocrinol. Metab. 2020, 34, 101387. [Google Scholar] [CrossRef] [PubMed]
- Bonati, E.; Bettoni, S.; Loderer, T.; Del Rio, P. Can we still consider thyroid hyperfunction a protective condition for the onset of thyroid cancer? Gland Surg. 2021, 10, 1359–1367. [Google Scholar] [CrossRef] [PubMed] [PubMed Central]
- Sapalidis, K.; Papanastasiou, A.; Michalopoulos, N.; Mantalovas, S.; Giannakidis, D.; Koimtzis, G.D.; Florou, M.; Poulios, C.; Mantha, N.; Kesisoglou, I.I. A Rare Coexistence of Medullary Thyroid Cancer with Graves Disease: A Case Report and Systematic Review of the Literature. Am. J. Case Rep. 2019, 20, 1398–1401. [Google Scholar] [CrossRef] [PubMed] [PubMed Central]
- Broecker-Preuss, M.; Simon, D.; Fries, M.; Kornely, E.; Weber, M.; Vardarli, I.; Gilman, E.; Herrmann, K.; Görges, R. Update on Calcitonin Screening for Medullary Thyroid Carcinoma and the Results of a Retrospective Analysis of 12,984 Patients with Thyroid Nodules. Cancers 2023, 15, 2333. [Google Scholar] [CrossRef] [PubMed] [PubMed Central]
- Pemberton, J.D.; Black, B.M. The association of carcinoma of the thyroid gland and exophthalmic goiter. Surg. Clin. N. Am. 1948, 28, 935–952. [Google Scholar] [CrossRef] [PubMed]
- Shapiro, S.J.; Friedman, N.B.; Perzik, S.L.; Catz, B. Incidence of thyroid carcinoma in Graves’ disease. Cancer 1970, 26, 1261–1270. [Google Scholar] [CrossRef] [PubMed]
- Pellegriti, G.; Belfiore, A.; Giuffrida, D.; Lupo, L.; Vigneri, R. Outcome of Differentiated Thyroid Cancer in Graves’ Patients1. J. Clin. Endocrinol. Metab. 1998, 83, 2805–2809. [Google Scholar] [CrossRef] [PubMed]
- Ain, K.B. Papillary thyroid carcinoma. Etiology, assessment, and therapy. Endocrinol. Metab. Clin. N. Am. 1995, 24, 711–760. [Google Scholar] [CrossRef] [PubMed]
- Pazaitou-Panayiotou, K.; Michalakis, K.; Paschke, R. Thyroid Cancer in Patients with Hyperthyroidism. Horm. Metab. Res. 2012, 44, 255–262. [Google Scholar] [CrossRef] [PubMed]
- Belfiore, A.; Garofalo, M.R.; Giuffrida, D.; Runello, F.; Filetti, S.; Fiumara, A.; Ippolito, O.; Vigneri, R. Increased Aggressiveness of Thyroid Cancer in Patients with Graves’ Disease*. J. Clin. Endocrinol. Metab. 1990, 70, 830–835. [Google Scholar] [CrossRef] [PubMed]
- Belfiore, A.; Russo, D.; Vigneri, R.; Filetti, S. Graves’ disease, thyroid nodules and thyroid cancer. Clin. Endocrinol. 2001, 55, 711–718. [Google Scholar] [CrossRef] [PubMed]
- Soares, M.N.; Borges-Canha, M.; Neves, C.; Neves, J.S.; Carvalho, D. The role of Graves’ disease in the development of thyroid nodules and thyroid cancer. Eur. Thyroid J. 2023, 12, e230055. [Google Scholar] [CrossRef] [PubMed]
- Staniforth, J.U.; Erdirimanne, S.; Eslick, G.D. Thyroid carcinoma in Graves’ disease: A meta-analysis. Int. J. Surg. 2016, 27, 118–125. [Google Scholar] [CrossRef] [PubMed]
- Master, S.R.; Mathias, P.M.; Burns, B. Medullary Thyroid Cancer. In StatPearls [Internet]; StatPearls Publishing: Treasure Island, FL, USA, 2024. Available online: https://www.ncbi.nlm.nih.gov/books/NBK459354/ (accessed on 15 February 2023).
- Sahli, Z.T.; Canner, J.K.; Zeiger, M.A.; Mathur, A. Association between age and disease specific mortality in medullary thyroid cancer. Am. J. Surg. 2021, 221, 478–484. [Google Scholar] [CrossRef] [PubMed] [PubMed Central]
- Kaliszewski, K.; Ludwig, M.; Ludwig, B.; Mikuła, A.; Greniuk, M.; Rudnicki, J. Update on the Diagnosis and Management of Medullary Thyroid Cancer: What Has Changed in Recent Years? Cancers 2022, 14, 3643. [Google Scholar] [CrossRef] [PubMed] [PubMed Central]
- Andrade, F.; Rondeau, G.; Boucai, L.; Zeuren, R.; Shaha, A.R.; Ganly, I.; Vaisman, F.; Corbo, R.; Tuttle, M. Serum calcitonin nadirs to undetectable levels within 1 month of curative surgery in medullary thyroid cancer. Arq. Bras. Endocrinol. Metabol. 2019, 63, 137–141. [Google Scholar] [CrossRef] [PubMed] [PubMed Central]
- Donckier, J.E.; Fervaille, C.; Bertrand, C. Occurrence of sporadic medullary thyroid carcinoma in Graves’ disease in association with a RET proto-oncogene mutation. Acta Clin. Belg. 2022, 77, 596–599. [Google Scholar] [CrossRef] [PubMed]
- Kim, B.H.; Kim, I.J. Recent Updates on the Management of Medullary Thyroid Carcinoma. Endocrinol. Metab. 2016, 31, 392–399. [Google Scholar] [CrossRef] [PubMed] [PubMed Central]
- Grozinsky-Glasberg, S.; Benbassat, C.A.; Tsvetov, G.; Feinmesser, R.; Peretz, H.; Shimon, I.; Lapidot, M. Medullary Thyroid Cancer: A Retrospective Analysis of a Cohort Treated at a Single Tertiary Care Center Between 1970 and 2005. Thyroid 2007, 17, 549–556. [Google Scholar] [CrossRef] [PubMed]
- Medas, F.; Erdas, E.; Canu, G.L.; Longheu, A.; Pisano, G.; Tuveri, M.; Calò, P.G. Does hyperthyroidism worsen prognosis of thyroid carcinoma? A retrospective analysis on 2820 consecutive thyroidectomies. J. Otolaryngol. Head Neck Surg. 2018, 47, 6. [Google Scholar] [CrossRef] [PubMed] [PubMed Central]






| Test | Value | Reference Range |
|---|---|---|
| At admission | ||
| TSH | 0.002 mUI/L | 0.55–4.78 mUI/L |
| FT3 | 16.56 pmol/L | 3.54–6.47 pmol/L |
| FT4 | 86.49 pmol/L | 11.50–22.7 pmol/L |
| TRAB | 11.7 U/L | <1.75 U/L |
| ATPO | >1300 U/L | 0–60 U/L |
| Calcitonin | 49.10 pg/mL | <5 pg/mL |
| CEA | 1.93 ng/mL | <5 pg/mL |
| After treatment with Thiamazole | ||
| TSH | 0.9 mUI/L | 0.55–4.78 mUI/L |
| FT3 | 4.7 pmol/L | 3.54–6.47 pmol/L |
| FT4 | 15.6 pmol/L | 11.50–22.7 pmol/L |
| Test | Value | Reference Range |
|---|---|---|
| TSH | 5.76 mUI/L | 0.55–4.78 mUI/L |
| FT3 | 4.55 pmol/L | 3.54–6.47 pmol/L |
| FT4 | 13.4 pmol/L | 11.50–22.7 pmol/L |
| TRAB | 4.49 U/L | <1.75 U/L |
| AFP | 0 ng/mL | 0.0–1.8 ng/mL |
| Calcitonin | 832 pg/mL | <5 pg/mL |
| CEA | 12.69 ng/mL | <5 ng/mL |
| Test | Value | Reference Range |
|---|---|---|
| TSH | 1.7 mUI/L | 0.55–4.78 mUI/L |
| FT3 | 4.3 pmol/L | 3.54–6.47 pmol/L |
| FT4 | 15.7 pmol/L | 11.50–22.7 pmol/L |
| ATPO | >1300 U/L | 0–60 U/L |
| ATG | 3 ng/mL | 0–45 U/mL |
| Calcitonin | 2032 pg/mL | <5 pg/mL |
Disclaimer/Publisher’s Note: The statements, opinions and data contained in all publications are solely those of the individual author(s) and contributor(s) and not of MDPI and/or the editor(s). MDPI and/or the editor(s) disclaim responsibility for any injury to people or property resulting from any ideas, methods, instructions or products referred to in the content. |
© 2024 by the authors. Licensee MDPI, Basel, Switzerland. This article is an open access article distributed under the terms and conditions of the Creative Commons Attribution (CC BY) license (https://creativecommons.org/licenses/by/4.0/).
Share and Cite
Popa, O.; Balaș, M.; Golu, I.; Amzăr, D.; Varcuș, F.; Cornianu, M.; Iacob, M.; Popa, V.-T.; Vlad, M. Medullary Thyroid Carcinoma in Patients with Graves’ Disease—A Case Series and Literature Review. J. Clin. Med. 2024, 13, 4391. https://doi.org/10.3390/jcm13154391
Popa O, Balaș M, Golu I, Amzăr D, Varcuș F, Cornianu M, Iacob M, Popa V-T, Vlad M. Medullary Thyroid Carcinoma in Patients with Graves’ Disease—A Case Series and Literature Review. Journal of Clinical Medicine. 2024; 13(15):4391. https://doi.org/10.3390/jcm13154391
Chicago/Turabian StylePopa, Oana, Melania Balaș, Ioana Golu, Daniela Amzăr, Flore Varcuș, Mărioara Cornianu, Mihaela Iacob, Valentin-Tudor Popa, and Mihaela Vlad. 2024. "Medullary Thyroid Carcinoma in Patients with Graves’ Disease—A Case Series and Literature Review" Journal of Clinical Medicine 13, no. 15: 4391. https://doi.org/10.3390/jcm13154391
APA StylePopa, O., Balaș, M., Golu, I., Amzăr, D., Varcuș, F., Cornianu, M., Iacob, M., Popa, V.-T., & Vlad, M. (2024). Medullary Thyroid Carcinoma in Patients with Graves’ Disease—A Case Series and Literature Review. Journal of Clinical Medicine, 13(15), 4391. https://doi.org/10.3390/jcm13154391

