Anterior Spinal Fusion for Thoraco-Lumbar Idiopathic Scoliosis Comparing Less Invasive Concave versus Traditional Convex Approach: A Pilot Study
Abstract
1. Introduction
2. Materials and Methods
2.1. Study Cohort Description
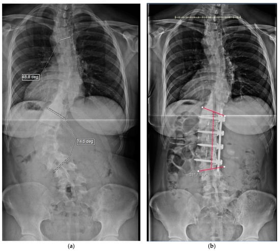
2.2. Radiographic Analysis
2.3. Surgical Technique
2.4. Clinical Analysis
2.5. Statistical Methods
3. Results
3.1. Demographic Findings
3.2. Radiographic Findings
3.3. Clinical Findings
3.4. Perioperative Findings
4. Discussion
5. Conclusions
Funding
Institutional Review Board Statement
Informed Consent Statement
Data Availability Statement
Conflicts of Interest
References
- Tannoury, C.; Das, A.; Saade, A.; Bhale, R.; Chen, K.; Tannoury, T. The Antepsoas (ATP) Surgical Corridor for Lumbar and Lumbosacral Arthrodesis: A Radiographic, Anatomic, and Surgical Investigation. Spine 2022, 47, 1084–1092. [Google Scholar] [CrossRef] [PubMed]
- Chen, K.; Chen, Y.; Shao, J.; Zhoutian, J.; Wang, F.; Chen, Z.; Li, M. Long-Term Follow-up of Posterior Selective Thoracolumbar/Lumbar Fusion in Patients With Lenke 5C Adolescent Idiopathic Scoliosis: An Analysis of 10-Year Outcomes. Glob. Spine J. 2022, 12, 840–850. [Google Scholar] [CrossRef] [PubMed]
- Lim, J.L.; Hey, H.W.D.; Kumar, N.; Teo, A.Q.A.; Lau, L.L.; Hee, H.T.; Ruiz, J.N.; Kumar, N.S.; Thambiah, J.S.; Liu, G.K.; et al. A 10-Year Radiographic Study Comparing Anterior Versus Posterior Instrumented Spinal Fusion in Patients with Lenke Type 5 Adolescent Idiopathic Scoliosis. Spine 2020, 45, 612–620. [Google Scholar] [CrossRef] [PubMed]
- Tao, F.; Wang, Z.; Li, M.; Pan, F.; Shi, Z.; Zhang, Y.; Wu, Y.; Xie, Y. A comparison of anterior and posterior instrumentation for restoring and retaining sagittal balance in patients with idiopathic adolescent scoliosis. J. Spinal Disord. Tech. 2012, 25, 303–308. [Google Scholar] [CrossRef] [PubMed]
- Hirase, T.; Ling, J.F.; Haghshenas, V.; Thirumavalavan, J.; Dong, D.; Hanson, D.S.; Marco, R.A.W. Anterior versus posterior spinal fusion for Lenke type 5 adolescent idiopathic scoliosis: A systematic review and meta-analysis of comparative studies. Spine Deform. 2022, 10, 267–281. [Google Scholar] [CrossRef] [PubMed]
- Koller, H.; Zenner, J.; Hitzl, W.; Meier, O.; Ferraris, L.; Acosta, F.; Hempfing, A. The morbidity of open transthoracic approach for anterior scoliosis correction. Spine 2010, 35, E1586–E1592. [Google Scholar] [CrossRef] [PubMed]
- Luo, M.; Wang, W.; Shen, M.; Xia, L. Anterior versus posterior approach in Lenke 5C adolescent idiopathic scoliosis: A meta-analysis of fusion segments and radiological outcomes. J. Orthop. Surg. Res. 2016, 11, 77. [Google Scholar] [CrossRef] [PubMed]
- Miyanji, F.; Nasto, L.A.; Bastrom, T.; Samdani, A.F.; Yaszay, B.; Clements, D.; Shah, S.A.; Lonner, B.; Betz, R.R.; Shufflebarger, H.L.; et al. A Detailed Comparative Analysis of Anterior Versus Posterior Approach to Lenke 5C Curves. Spine 2018, 43, E285–E291. [Google Scholar] [CrossRef] [PubMed]
- O’Donnell, C.; Michael, N.; Pan, X.; Emans, J.; Garg, S.; Erickson, M. Anterior Spinal Fusion and Posterior Spinal Fusion Both Effectively Treat Lenke Type 5 Curves in Adolescent Idiopathic Scoliosis: A Multicenter Study. Spine Deform. 2018, 6, 231–240. [Google Scholar] [CrossRef]
- Yoshihara, H. Surgical Treatment of Lenke Type 5 Adolescent Idiopathic Scoliosis: A Systematic Review. Spine 2019, 44, E788–E799. [Google Scholar] [CrossRef]
- Burgos, J.; Hevia, E.; Sanpera, I.; García, V.; de Santos Moreno, M.T.; Mariscal, G.; Barrios, C. Incidence and risk factors of distal adjacent disc degeneration in adolescent idiopathic scoliosis patients undergoing fusion surgery: A systematic review and meta-analysis. Eur. Spine J. 2024, 33, 1624–1636. [Google Scholar] [CrossRef] [PubMed]
- Lonner, B.S.; Ren, Y.; Upasani, V.V.; Marks, M.M.; Newton, P.O.; Samdani, A.F.; Chen, K.; Shufflebarger, H.L.; Shah, S.A.; Lefton, D.R.; et al. Disc Degeneration in Unfused Caudal Motion Segments Ten Years Following Surgery for Adolescent Idiopathic Scoliosis. Spine Deform. 2018, 6, 684–690. [Google Scholar] [CrossRef]
- Fabricant, P.D.; Admoni, S.; Green, D.W.; Ipp, L.S.; Widmann, R.F. Return to athletic activity after posterior spinal fusion for adolescent idiopathic scoliosis: Analysis of independent predictors. J. Pediatr. Orthop. 2012, 32, 259–265. [Google Scholar] [CrossRef] [PubMed]
- Scheer, J.K.; Khanna, R.; Lopez, A.J.; Fessler, R.G.; Koski, T.R.; Smith, Z.A.; Dahdaleh, N.S. The concave versus convex approach for minimally invasive lateral lumbar interbody fusion for thoracolumbar degenerative scoliosis. J. Clin. Neurosci. 2015, 22, 1588–1593. [Google Scholar] [CrossRef] [PubMed]
- Kanter, A.S.; Tempel, Z.J.; Agarwal, N.; Hamilton, D.K.; Zavatsky, J.M.; Mundis, G.M.; Tran, S.; Chou, D.; Park, P.; Uribe, J.S.; et al. Curve Laterality for Lateral Lumbar Interbody Fusion in Adult Scoliosis Surgery: The Concave Versus Convex Controversy. Neurosurgery 2018, 83, 1219–1225. [Google Scholar] [CrossRef] [PubMed]
- Caputo, A.M.; Michael, K.W.; Chapman, T.M.; Jennings, J.M.; Hubbard, E.W.; Isaacs, R.E.; Brown, C.R. Extreme lateral interbody fusion for the treatment of adult degenerative scoliosis. J. Clin. Neurosci. 2013, 20, 1558–1563. [Google Scholar] [CrossRef] [PubMed]
- Katz, A.D.; Singh, H.; Greenwood, M.; Cote, M.; Moss, I.L. Clinical and Radiographic Evaluation of Multilevel Lateral Lumbar Interbody Fusion in Adult Degenerative Scoliosis. Clin. Spine Surg. 2019, 32, E386–E396. [Google Scholar] [CrossRef] [PubMed]
- Canbolat, N.; Basaran, I.; Altun, D.; Akgul, T.; Buget, M.I. Postoperative Pain in Adolescent Idiopathic Scoliosis Surgery: A Randomized Controlled Trial. Pain Physician 2022, 25, E589–E596. [Google Scholar] [PubMed]
- Farshad, M.; Götschi, T.; Bauer, D.E.; Böni, T.; Laux, C.J.; Kabelitz, M. Long-term outcome of patients with adolescent idiopathic scoliosis seeking nonoperative treatment after a mean follow-up of 42 years. Spine Deform. 2022, 10, 1331–1338. [Google Scholar] [CrossRef]
- Okubo, T.; Konomi, T.; Yanai, Y.; Furukawa, M.; Fujiyoshi, K.; Yamane, J.; Asazuma, T.; Yato, Y. Selective Anterior Fusion Surgery Does Not Influence Global Spinal Sagittal Alignment in Lenke Type 5 Adolescent Idiopathic Scoliosis Patients. Spine 2022, 47, 234–241. [Google Scholar] [CrossRef]
- Pratt, R.K.; Burwell, R.G.; Cole, A.A.; Webb, J.K. Patient and parental perception of adolescent idiopathic scoliosis before and after surgery in comparison with surface and radiographic measurements. Spine 2002, 27, 1543–1550. [Google Scholar] [CrossRef] [PubMed]
- Zapata, K.A.; Carreon, L.Y.; Jo, C.H.; Ramo, B.A. The Oswestry Disability Index is reflective of pain interference and mobility in children. Spine Deform. 2024, 12, 329–334. [Google Scholar] [CrossRef] [PubMed]
- Kim, T.K. Practical statistics in pain research. Korean J. Pain. 2017, 30, 243–249. [Google Scholar] [CrossRef] [PubMed]
- Direito-Santos, B.; Queirós, C.M.; Serrano, P.; Encarnação, Â.; Campos, A.; Oliveira, A. Long-Term Follow-Up of Anterior Spinal Fusion for Thoracolumbar/Lumbar Curves in Adolescent Idiopathic Scoliosis. Spine 2019, 44, 1137–1143. [Google Scholar] [CrossRef] [PubMed]
- Fletcher, N.D.; Bastrom, T.P.; Larson, N.A.; Parent, S.; Lonner, B.A.; Yaszay, B.; Kelly, M.P.; Erickson, M.A. Ten-year follow-up of Lenke 5 curves treated with spinal fusion. Spine Deform. 2022, 10, 1107–1115. [Google Scholar] [CrossRef] [PubMed]
- Delfino, R.; Pizones, J.; Ruiz-Juretschke, C.; Sánchez-Mariscal, F.; Zúñiga, L.; Izquierdo, E. Selective Anterior Thoracolumbar Fusion in Adolescent Idiopathic Scoliosis: Long-Term Results After 17-Year Follow-Up. Spine 2017, 42, E788–E794. [Google Scholar] [CrossRef] [PubMed]
- Bitan, F.D.; Neuwirth, M.G.; Kuflik, P.L.; Casden, A.; Bloom, N.; Siddiqui, S. The use of short and rigid anterior instrumentation in the reatment of idiopathic thoracolumbar scoliosis: A retrospective review of 24 cases. Spine 2002, 27, 1553–1557. [Google Scholar] [CrossRef] [PubMed]
- Buttermann, G.R.; Beaubien, B.P. In vitro disc pressure profiles below scoliosis fusion constructs. Spine 2008, 33, 2134–2142. [Google Scholar] [CrossRef] [PubMed]
- Chung, A.S.; Copay, A.G.; Olmscheid, N.; Campbell, D.; Walker, J.B.; Chutkan, N. Minimum Clinically Important Difference: Current Trends in the Spine Literature. Spine 2017, 42, 1096–1105. [Google Scholar] [CrossRef]
- Tsirikos, A.I.; García-Martínez, S. Long-Term Health-Related Quality of Life (QOL) after Paediatric Spinal Deformity Surgery and Comparison with the General Population. J. Clin. Med. 2023, 12, 7142. [Google Scholar] [CrossRef]
- Sweet, F.A.; Lenke, L.G.; Bridwell, K.H.; Blanke, K.M.; Whorton, J. Prospective radiographic and clinical outcomes and complications of single solid rod instrumented anterior spinal fusion in adolescent idiopathic scoliosis. Spine 2001, 26, 1956–1965. [Google Scholar] [CrossRef] [PubMed]
- Berjano, P.; Lamartina, C. Far lateral approaches (XLIF) in adult scoliosis. Eur. Spine J. 2013, 22 (Suppl. S2), S242–S253. [Google Scholar] [CrossRef] [PubMed]
- Alasadi, H.; Rajjoub, R.; Alasadi, Y.; Wilczek, A.; Lonner, B.S. Vertebral body tethering for adolescent idiopathic scoliosis: A review. Spine Deform. 2024, 12, 561–575. [Google Scholar] [CrossRef] [PubMed]






| Concave (n = 11) | Convex (n = 8) | Significance | |||||
|---|---|---|---|---|---|---|---|
| Median Age (years) | 21.8 | ± | 16.3 | 17.0 | ± | 12.7 | NS |
| Female (%) | 91 | 88 | NS | ||||
| # Motion Segments Fused | 3.4 | ± | 0.5 | 4.0 | ± | 0.0 | p < 0.001 |
| Estimated Blood Loss (ml) | 325.0 | ± | 378.2 | 462.5 | ± | 143.3 | NS |
| Length of Stay (days) | 4.3 | ± | 1.8 | 3.9 | ± | 0.6 | NS |
| Lowest Level Fused (LIV) | 5 × L2 | 2 × L2 | |||||
| 4 × L3 | 5 × L3 | ||||||
| 2 × L4 | 0 × L4 | ||||||
| 0 × L5 | 1 × L5 | ||||||
| Coronal Radiographic Results (Mean ± SD) | |||||||
| Preop TL/L Curve (degrees) | 53.1 | ± | 11.2 | 52.5 | ± | 9.6 | NS |
| Preop Bending (degrees) | 13.9 | ± | 14.5 | 19.5 | ± | 12.4 | NS |
| Post-op Curve (degrees) | 18.4 | ± | 10.9 | 18.6 | ± | 12.4 | NS |
| Scoliosis Change (degrees) | −34.7 | ± | 9.3 | −33.9 | ± | 11.3 | NS |
| Scoliosis Improvement | 65% | ± | 19% | 65% | ± | 68% | NS |
| Preop T Curve (degrees) | 26.5 | ± | 9.9 | 32.0 | ± | 11.9 | NS |
| Post-op Curve (degrees) | 16.8 | ± | 9.6 | 18.1 | ± | 12.4 | NS |
| Scoliosis Improvement | 37% | ± | 21% | 52% | ± | 36% | NS |
| Preop LS Curve (degrees) | 26.5 | ± | 6.3 | 27.4 | ± | 9.3 | NS |
| Post-op Curve (degrees) | 7.5 | ± | 3.1 | 7.6 | ± | 5.1 | NS |
| Scoliosis Improvement | 72% | ± | 11% | 71% | ± | 15% | NS |
| Preop Coronal Decomp (cm) | 2.4 | ± | 1.4 | 2.7 | ± | 1.4 | NS |
| Post-op Coronal Decomp (cm) | 0.5 | ± | 0.6 | 1.2 | ± | 1.0 | NS |
| Sagittal Radiographic Results (Mean ± SD) | |||||||
| Preop T4-12 Kyphosis (degrees) | 38.1 | ± | 9.0 | 27.6 | ± | 18.8 | NS |
| Post-op Curve (degrees) | 37.2 | ± | 5.7 | 29.1 | ± | 15.0 | NS |
| Kyphosis Change (degrees) | −0.9 | ± | 6.8 | 1.6 | ± | 7.3 | NS |
| Preop T12-S1 Lordosis (degrees) | 45.6 | ± | 17.7 | 39.5 | ± | 10.1 | NS |
| Post-op Curve (degrees) | 48.8 | ± | 14.2 | 38.0 | ± | 10.7 | NS |
| Lordosis Change (degrees) | 3.2 | ± | 10.7 | −1.5 | ± | 2.4 | NS |
| Preop T10-L2 Kyphosis (degrees) | 13.6 | ± | 13.4 | 4.4 | ± | 7.4 | NS |
| Post-op Curve (degrees) | 8.7 | ± | 9.5 | 3.3 | ± | 3.4 | NS |
| Kyphosis Change (degrees) | −4.9 | ± | 10.3 | −1.1 | ± | 7.0 | NS |
| Preop Sagittal Decomp (cm) | −1.4 | ± | 1.5 | −1.6 | ± | 1.5 | NS |
| Post-op Sagittal Decomp (cm) | −1.3 | ± | 1.9 | −1.1 | ± | 1.6 | NS |
| Concave (n = 11) | Convex (n = 8) | Significance | |
|---|---|---|---|
| Preop Back Pain VAS | 6.1 ± 3.1 | 4.2 ± 2.1 | p = 0.024 |
| 7–12-month Post-op Pain VAS | 2.4 ± 2.3 | 2.0 ± 2.0 | NS |
| 1–2 yr Post-op Pain VAS | 1.1 ± 1.4 | 2.9 ± 2.3 | p = 0.024 |
| 2–3 yr Post-op Pain VAS | 1.9 ± 1.7 | 3.0 ± 2.4 | NS |
| 4–6 yr Post-op Pain VAS | 1.4 ± 1.1 | 3.0 ± 2.4 | NS |
| Leg Pain VAS | 2.0 ± 3.5 | 1.4 ± 2.0 | NS |
| 7–12-month Post-op Pain VAS | 0.5 ± 0.9 | 0.5 ± 0.7 | NS |
| 1–2 yr Post-op Pain VAS | 0.0 ± 0.0 | 1.3 ± 2.7 | NS |
| 2–3 yr Post-op Pain VAS | 1.1 ± 1.8 | 0.9 ± 1.0 | NS |
| 4–6 yr Post-op Pain VAS | 0.1 ± 0.3 | 0.1 ± 0.4 | NS |
| Preop ODI | 34.3 ± 18.5 | 16.3 ± 13.9 | p = 0.034 |
| 7–12-month Post-op ODI | 18.5 ± 19.1 | 10.6 ± 10.0 | NS |
| 1–2 yr Post-op ODI | 13.0 ± 8.4 | 10.0 ± 16.9 | NS |
| 2–3 yr Post-op ODI | 10.7 ± 9.9 | 10.6 ± 10.0 | NS |
| 4–6 yr Post-op ODI | 6.0 ± 7.7 | 8.0 ± 13.4 | NS |
| Preop Deformity VAS | 7.0 ± 2.1 | 5.7 ± 1.1 | NS |
| 7–12-month post-op Deformity VAS | 1.7 ± 2.0 | 1.4 ± 1.3 | NS |
| 1–2 yr post-op Deformity VAS | 1.3 ± 0.9 | 1.5 ± 1.7 | NS |
| 2–3 yr post-op Deformity VAS | 1.2 ± 0.8 | 0.5 ± 2.3 | NS |
| 4–6 yr post-op Deformity VAS | 1.0 ± 1.3 | 1.6 ± 2.1 | NS |
| Self-assessment of Success at 1 and 5 yrs | 100%, 100% | 100%, 100% | NS |
| Would Have the Procedure Again | 80%, 100% | 88%, 63% | NS |
| Would Recommend the Procedure to Others | 100%, 100% | 100%, 100% | NS |
| Additional surgery | 1 | 1 |
Disclaimer/Publisher’s Note: The statements, opinions and data contained in all publications are solely those of the individual author(s) and contributor(s) and not of MDPI and/or the editor(s). MDPI and/or the editor(s) disclaim responsibility for any injury to people or property resulting from any ideas, methods, instructions or products referred to in the content. |
© 2024 by the author. Licensee MDPI, Basel, Switzerland. This article is an open access article distributed under the terms and conditions of the Creative Commons Attribution (CC BY) license (https://creativecommons.org/licenses/by/4.0/).
Share and Cite
Buttermann, G. Anterior Spinal Fusion for Thoraco-Lumbar Idiopathic Scoliosis Comparing Less Invasive Concave versus Traditional Convex Approach: A Pilot Study. J. Clin. Med. 2024, 13, 4383. https://doi.org/10.3390/jcm13154383
Buttermann G. Anterior Spinal Fusion for Thoraco-Lumbar Idiopathic Scoliosis Comparing Less Invasive Concave versus Traditional Convex Approach: A Pilot Study. Journal of Clinical Medicine. 2024; 13(15):4383. https://doi.org/10.3390/jcm13154383
Chicago/Turabian StyleButtermann, Glenn. 2024. "Anterior Spinal Fusion for Thoraco-Lumbar Idiopathic Scoliosis Comparing Less Invasive Concave versus Traditional Convex Approach: A Pilot Study" Journal of Clinical Medicine 13, no. 15: 4383. https://doi.org/10.3390/jcm13154383
APA StyleButtermann, G. (2024). Anterior Spinal Fusion for Thoraco-Lumbar Idiopathic Scoliosis Comparing Less Invasive Concave versus Traditional Convex Approach: A Pilot Study. Journal of Clinical Medicine, 13(15), 4383. https://doi.org/10.3390/jcm13154383
