Spontaneous Non-Aneurysmal Convexity Subarachnoid Hemorrhage: A Scoping Review of Different Etiologies beyond Cerebral Amyloid Angiopathy
Abstract
1. Introduction
2. Epidemiology and Clinical Presentation
3. Main Causes and Examples
3.1. CAA
3.2. Hemodynamic Arterial Stenosis
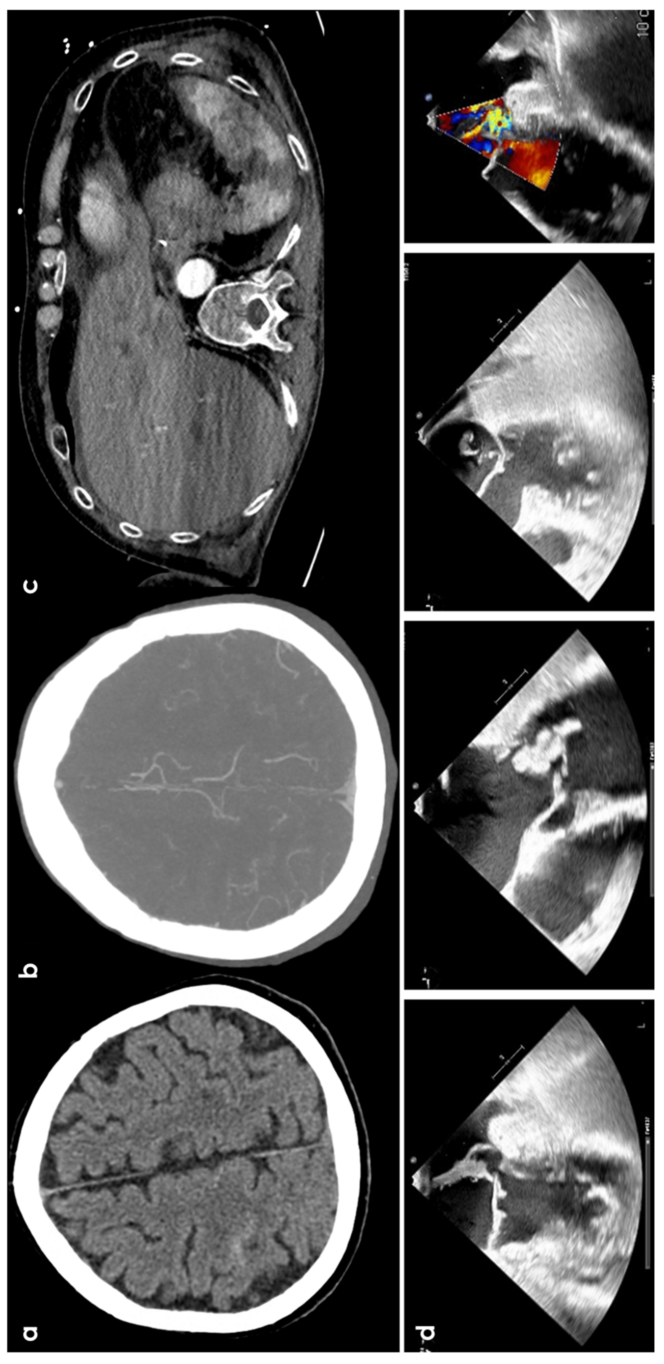
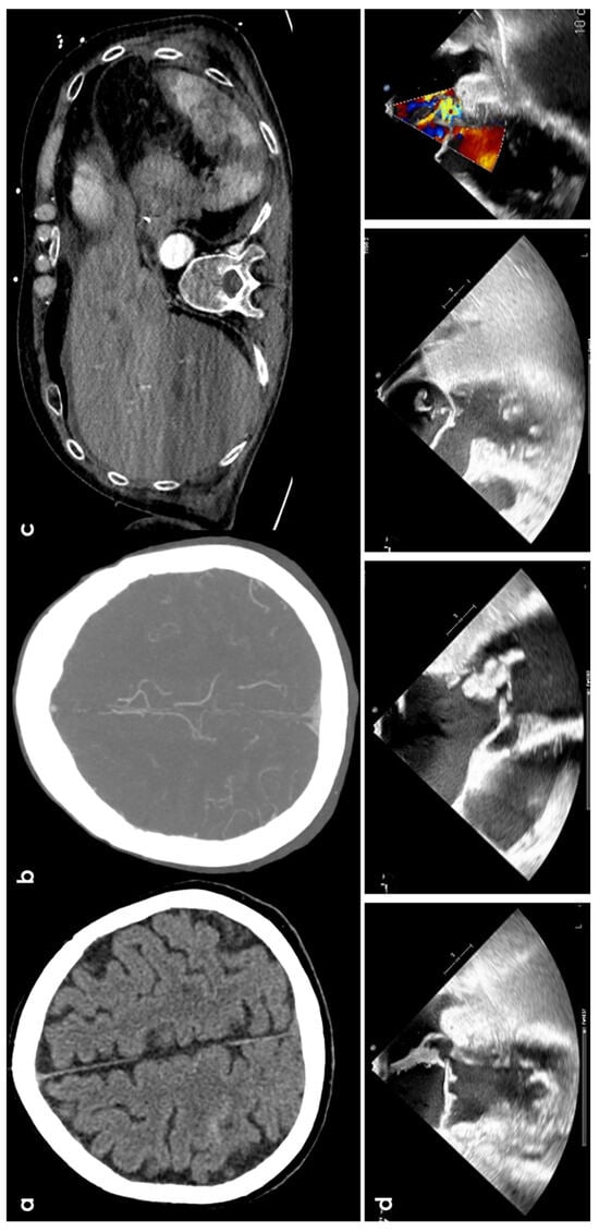
3.3. Infective Endocarditis
3.4. Cerebral Venous Thrombosis
3.5. Primary Central Nervous System Angiitis
3.6. PRES/RCVS
- -
- Parietal or occipital regions: 98%.
- -
- Frontal lobes: 68%.
- -
- Inferior temporal lobes: 40%.
- -
- Cerebellar hemispheres: 30%.
- -
- Basal ganglia: 14%.
- -
- Brainstem: 13%.
- -
- Deep white matter, including the splenium: 18%.
3.7. Vascular Malformations
4. Diagnostic Pathway
5. Conclusions
Author Contributions
Funding
Institutional Review Board Statement
Informed Consent Statement
Data Availability Statement
Conflicts of Interest
References
- Khurram, A.; Kleinig, T.; Leyden, J. Clinical associations and causes of convexity subarachnoid hemorrhage. Stroke 2014, 45, 1151–1153. [Google Scholar] [CrossRef]
- Beitzke, M.; Gattringer, T.; Enzinger, C.; Wagner, G.; Niederkorn, K.; Fazekas, F. Clinical presentation, etiology, and long-term prognosis in patients with nontraumatic convexal subarachnoid hemorrhage. Stroke 2011, 42, 3055–3060. [Google Scholar] [CrossRef] [PubMed]
- Kumar, S.; Goddeau, R.P.; Selim, M.H., Jr.; Thomas, A.; Schlaug, G.; Alhazzani, A.; Searls, D.E. Atraumatic convexal subarachnoid hemorrhage: Clinical presentation, imaging patterns, and etiologies. Neurology 2010, 74, 893–899. [Google Scholar] [CrossRef]
- Greenberg, S.M.; Vonsattel, J.P.; Stakes, J.W.; Gruber, M.; Finklestein, S.P. The clinical spectrum of cerebral amyloid angiopathy: Presentations without lobar hemorrhage. Neurology 1993, 43, 2073–2079. [Google Scholar] [CrossRef]
- Hostettler, I.C.; Wilson, D.; Fiebelkorn, C.A.; Aum, D.; Ameriso, S.F.; Eberbach, F.; Beitzkeet, M.; Kleinig, T.; Phan, T.; Marchina, S.; et al. Risk of intracranial haemorrhage and ischaemic stroke after convexity subarachnoid haemorrhage in cerebral amyloid angiopathy: International individual patient data pooled analysis. J. Neurol. 2022, 269, 1427–1438. [Google Scholar] [CrossRef] [PubMed]
- Calviere, L.; Viguier, A.; Patsoura, S.; Rousseau, V.; Albucher, J.-F.; Planton, M.; Pariente, J.; Cognard, C.; Olivot, J.-M.; Bonneville, F.; et al. Risk of intracerebral hemorrhage and mortality after convexity subarachnoid hemorrhage in cerebral amyloid angiopathy. Stroke 2019, 50, 2562–2564. [Google Scholar] [CrossRef]
- Regenhardt, R.W.; Thon, J.M.; Das, A.S.; Thon, O.R.; Charidimou, A.; Viswanathan, A.; Gurol, M.E.; Chwalisz, B.K.; Frosch, M.P.; Cho, T.A.; et al. Association between immunosuppressive treatment and outcomes of cerebral amyloid angiopathy-related inflammation. JAMA Neurol. 2020, 77, 1261–1269. [Google Scholar] [CrossRef]
- Antolini, L.; DiFrancesco, J.C.; Zedde, M.; Basso, G.; Arighi, A.; Shima, A.; Cagnin, A.; Caulo, M.; Carare, R.O.; Charidimou, A.; et al. Spontaneous ARIA-like Events in Cerebral Amyloid Angiopathy-Related Inflammation: A Multicenter Prospective Longitudinal Cohort Study. Neurology 2021, 97, e1809–e1822. [Google Scholar] [CrossRef] [PubMed]
- Gregoire, S.M.; Charidimou, A.; Gadapa, N.; Dolan, E.; Antoun, N.; Peeters, A.; Vandermeeren, Y.; Laloux, P.; Baron, J.-C.; Jäger, H.R.; et al. Acute ischaemic brain lesions in intracerebral haemorrhage: Multicenter cross-sectional magnetic resonance imaging study. Brain 2011, 134, 2376–2386. [Google Scholar] [CrossRef]
- Corovic, A.; Kelly, S.; Markus, H.S. Cerebral amyloid angiopathy associated with inflammation: A systematic review of clinical and imaging features and outcome. Int. J. Stroke 2018, 13, 257–267. [Google Scholar] [CrossRef]
- Scolding, N.J.; Joseph, F.; Kirby, P.A.; Mazanti, I.; Gray, F.; Mikol, J.; Ellison, D.; Hilton, D.A.; Williams, T.L.; MacKenzie, J.M.; et al. Abeta-related angiitis: Primary angiitis of the central nervous system associated with cerebral amyloid angiopathy. Brain 2005, 128, 500–515. [Google Scholar] [CrossRef] [PubMed]
- Charidimou, A.; Boulouis, G.; Frosch, M.P.; Baron, J.-C.; Pasi, M.; Albucher, J.F.; Banerjee, G.; Barbato, C.; Bonneville, F.; Brandner, S.; et al. The Boston criteria version 2.0 for cerebral amyloid angiopathy: A multicentre, retrospective, MRI-neuropathology diagnostic accuracy study. Lancet Neurol. 2022, 21, 714–725. [Google Scholar] [CrossRef] [PubMed]
- Charidimou, A.; Peeters, A.; Fox, Z.; Gregoire, S.M.; Vandermeeren, Y.; Laloux, P.; Jäger, H.R.; Baron, J.C.; Werring, D.J. Spectrum of transient focal neurological episodes in cerebral amyloid angiopathy: Multicentre magnetic resonance imaging cohort study and meta-analysis. Stroke 2012, 43, 2324–2330. [Google Scholar] [CrossRef] [PubMed]
- Smith, E.E.; Charidimou, A.; Ayata, C.; Werring, D.J.; Greenberg, S.M. Cerebral Amyloid Angiopathy-Related Transient Focal Neurologic Episodes. Neurology 2021, 97, 231–238. [Google Scholar] [CrossRef] [PubMed]
- Switzer, A.R.; Charidimou, A.; McCarter, S.; Vemuri, P.; Nguyen, A.T.; Przybelski, S.A.; Lesnick, T.G.; Rabinstein, A.A.; Brown, R.D.; Knopman, D.S.; et al. Boston Criteria v2.0 for Cerebral Amyloid Angiopathy without Hemorrhage: An MRI-Neuropathologic Validation Study. Neurology 2024, 102, e209386. [Google Scholar] [CrossRef] [PubMed]
- Ni, J.; Auriel, E.; Jindal, J.; Ayres, A.; Schwab, K.M.; Martinez-Ramirez, S.; Gurol, E.M.; Greenberg, S.M.; Viswanathan, A. The characteristics of superficial siderosis and convexity subarachnoid hemorrhage and clinical relevance in suspected cerebral amyloid angiopathy. Cerebrovasc. Dis. 2015, 39, 278–286. [Google Scholar] [CrossRef] [PubMed]
- Auriel, E.; Charidimou, A.; Gurol, M.E.; Ni, J.; Van Etten, E.S.; Martinez-Ramirez, S.; Boulouis, G.; Piazza, F.; DiFrancesco, J.C.; Frosch, M.P.; et al. Validation of Clinicoradiological Criteria for the Diagnosis of Cerebral Amyloid Angiopathy-Related Inflammation. JAMA Neurol. 2016, 73, 197–202. [Google Scholar] [CrossRef] [PubMed]
- Cogswell, P.; Barakos, J.; Barkhof, F.; Benzinger, T.; Jack, C.; Poussaint, T.; Raji, C.; Ramanan, V.; Whitlow, C. Amyloid-Related Imaging Abnormalities with Emerging Alzheimer Disease Therapeutics: Detection and Reporting Recommendations for Clinical Practice. AJNR Am. J. Neuroradiol. 2022, 43, E19–E35. [Google Scholar] [CrossRef] [PubMed]
- Barakos, J.; Sperling, R.; Salloway, S.; Jack, C.; Gass, A.; Fiebach, J.; Tampieri, D.; Melançon, D.; Miaux, Y.; Rippon, G.; et al. MR imaging features of amyloid-related imaging abnormalities. AJNR Am. J. Neuroradiol. 2013, 34, 1958–1965. [Google Scholar] [CrossRef]
- Piazza, F.; Greenberg, S.M.; Savoiardo, M.; Gardinetti, M.; Chiapparini, L.; Raicher, I.; Nitrini, R.; Sakaguchi, H.; Brioschi, M.; Billo, G.; et al. Anti-amyloid β autoantibodies in cerebral amyloid angiopathy-related inflammation: Implications for amyloid-modifying therapies. Ann. Neurol. 2013, 73, 449–458. [Google Scholar] [CrossRef]
- Piazza, F.; Caminiti, S.P.; Zedde, M.; Presotto, L.; DiFrancesco, J.C.; Pascarella, R.; Giossi, A.; Sessa, M.; Poli, L.; Basso, G.; et al. Association of Microglial Activation with Spontaneous ARIA-E and CSF Levels of Anti-Aβ Autoantibodies. Neurology 2022, 99, e1265–e1277. [Google Scholar] [CrossRef] [PubMed]
- Kelly, L.; Brown, C.; Michalik, D.; Hawkes, C.A.; Aldea, R.; Agarwal, N.; Salib, R.; Alzetani, A.; Ethell, D.W.; Counts, S.E.; et al. Clearance of interstitial fluid (ISF) and CSF (CLIC) group-part of Vascular Professional Interest Area (PIA), updates in 2022–2023. Cerebrovascular disease and the failure of elimination of Amyloid-β from the brain and retina with age and Alzheimer’s disease: Opportunities for therapy. Alzheimers Dement. 2024, 20, 1421–1435. [Google Scholar] [CrossRef] [PubMed]
- Larrosa, D.; Ramon, C.; Benavente, L.; Calleja, S. Convexity subarachnoid haemorrhage secondary to internal carotid stenosis: An indication for revascularisation. BMJ Case Rep. 2016, 2016, bcr2016214661. [Google Scholar] [CrossRef] [PubMed]
- Cho, E.; Kang, M.; Kim, S. Isolated acute nontraumatic cortical subarachnoid hemorrhage: Etiologies based on MRI findings. J. Korean Soc. Radiol. 2016, 74, 380–388. [Google Scholar] [CrossRef]
- Iwama, T.; Morimoto, M.; Hashimoto, N.; Goto, Y.; Todaka, T.; Sawada, M. Mechanism of intracranial rebleeding in moyamoya disease. Clin. Neurol. Neurosurg. 1997, 99 (Suppl. 2), S187–S190. [Google Scholar] [CrossRef]
- Kleinig, T.J.; Kimber, T.E.; Thompson, P.D. Convexity subarachnoid haemorrhage associated with bilateral internal carotid artery stenoses. J. Neurol. 2009, 256, 669–671. [Google Scholar] [CrossRef]
- Geraldes, R.; Santos, C.; Canhão, P. Atraumatic localized convexity subarachnoid hemorrhage associated with acute carotid artery occlusion. Eur. J. Neurol. 2011, 18, e28–e29. [Google Scholar] [CrossRef] [PubMed]
- Chandra, R.V.; Leslie-Mazwi, T.M.; Oh, D.; Mehta, B.; Yoo, A.J. Extracranial internal carotid artery stenosis as a cause of cortical subarachnoid hemorrhage. AJNR. Am. J. Neuroradiol. 2011, 32, E51–E52. [Google Scholar] [CrossRef] [PubMed]
- Introna, A.; Mezzapesa, D.M.; Petruzzellis, M.; Savarese, M.; Chiumarulo, L.; Zimatore, D.S.; Dicuonzo, F.; Simon, I.L. Convexal subarachnoid hemorrhage and acute ischemic stroke: A border zone matter? Neurol. Sci. 2019, 40, 1419–1424. [Google Scholar] [CrossRef]
- Sato, T.; Sakai, K.; Mimori, M.; Komatsu, T.; Sakuta, K.; Terasawa, Y.; Umehara, T.; Omoto, S.; Mitsumura, H.; Murakami, H.; et al. Convexity subarachnoid hemorrhage accompanied by hyperacute ischemic stroke. Cerebrovasc. Dis. 2020, 49, 70–78. [Google Scholar] [CrossRef]
- Takamiya, S.; Yoshimoto, T.; Maruichi, K. Subarachnoid hemorrhage with progressive cerebral steno—Occlusive disease: Report of 2 cases. J. Stroke. Cerebrovasc. Dis. 2019, 28, e14–e16. [Google Scholar] [CrossRef]
- Boukobza, M.; Ilic-Habensus, E.; Duval, X.; Laissy, J.-P. Acute convexity subarachnoid hemorrhage (cSAH) in infectious endocarditis (IE): Imaging features and follow-up. J. Neurol. 2020, 267, 2971–2982. [Google Scholar] [CrossRef]
- Graff-Radford, J.; Fugate, J.E.; Klaas, J.; Flemming, K.D.; Brown, R.D.; Rabinstein, A.A. Distinguishing clinical and radiological features of non-traumatic convexal subarachnoid hemorrhage. Eur. J. Neurol. 2016, 23, 839–846. [Google Scholar] [CrossRef] [PubMed]
- Ducruet, A.F.; Hickman, Z.L.; Zacharia, B.E.; Narula, R.; Grobelny, B.T.; Gorski, J.; Connolly, S.E., Jr. Intracranial infectious aneurysms: A comprehensive review. Neurosurg. Rev. 2010, 33, 37–46. [Google Scholar] [CrossRef]
- Chukwudelunzu, F.E.; Brown, R.D., Jr.; Wijdicks, E.F.; Steckelberg, J.M. Subarachnoid haemorrhage associated with infectious endocarditis: Case report and literature review. Eur. J. Neurol. 2002, 9, 423–427. [Google Scholar] [CrossRef] [PubMed]
- Verma, R.K.; Kottke, R.; Andereggen, L.; Weisstanner, C.; Zubler, C.; Gralla, J.; Kiefer, C.; Slotboom, J.; Wiest, R.; Schroth, G.; et al. Detecting subarachnoid hemorrhage: Comparison of combined FLAIR/SWI versus CT. Eur. J. Radiol. 2013, 82, 1539–1545. [Google Scholar] [CrossRef]
- Tha, K.K.; Terae, S.; Kudo, K.; Miyasaka, K. Differential diagnosis of hyperintense cerebrospinal fluid on fluid-attenuated inversion recovery images of the brain. Part I: Pathological conditions. Br. J. Radiol. 2009, 82, 426–434. [Google Scholar] [CrossRef]
- Dakay, K.; Mahta, A.; Rao, S.; Reznik, M.E.; Wendell, L.C.; Thompson, B.B.; Potter, S.; Saad, A.; Gandhi, C.D.; Santarelli, J.; et al. Yield of diagnostic imaging in atraumatic convexity subarachnoid hemorrhage. J. Neurointerv. Surg. 2019, 11, 1222–1226. [Google Scholar] [CrossRef] [PubMed]
- Shinkawa, T.; Ramakrishnaiah, R.H.; Eble, B.K. Subarachnoid haemorrhage from undiagnosed mycotic aortic aneurysm in a child. Cardiol Young 2019, 28, 461–463. [Google Scholar] [CrossRef]
- Malhotra, A.; Schindler, J.; Mac Grory, B.; Chu, S.Y.; Youn, T.S.; Matouk, C.; Greer, D.M.; Schrag, M. Cerebral microhemorrhages and meningeal siderosis in infective endocarditis. Cerebrovasc. Dis. 2017, 43, 59–67. [Google Scholar] [CrossRef]
- Lummel, N.; Bernau, C.; Thon, N.; Bochmann, K.; Linn, J. Prevalence of superficial siderosis following singular, acute aneurysmal subarachnoid hemorrhage. Neuroradiology 2015, 57, 349–356. [Google Scholar] [CrossRef] [PubMed]
- Zhao, H.; Wang, J.; Lu, Z.; Wu, Q.; Lv, H.; Liu, H.; Gong, X. Superficial siderosis of the central nervous system induced by a single-episode of traumatic subarachnoid hemorrhage: A study using MRI-enhanced gradient echo T2 star-weighted angiography. PLoS ONE 2015, 10, e0116632. [Google Scholar] [CrossRef] [PubMed]
- Charidimou, A.; Linn, J.; Vernooij, M.W.; Opherk, C.; Akoudad, S.; Baron, J.-C.; Greenberg, S.M.; Jäger, H.R.; Werring, D.J. Cortical superficial siderosis: Detection and clinical significance in cerebral amyloid angiopathy and related conditions. Brain 2015, 138 Pt 8, 2126–2139. [Google Scholar] [CrossRef] [PubMed]
- Lummel, N.; Wollenweber, F.A.; Demaerel, P.; Bochmann, K.; Malik, R.; Opherk, C.; Linn, J. Clinical Clinical spectrum, underlying etiologies and radiological characteristics of cortical superficial siderosis. J. Neurol. 2015, 262, 1455–1462. [Google Scholar] [CrossRef] [PubMed]
- Rhode, V.; van Oosterhout, A.; Mull, M.; Gilsbach, J.M. Subarachnoid haemorrhage as initial symptom of multiple brain abscesses. Acta Neurochir. 2000, 142, 205–208. [Google Scholar] [CrossRef]
- Park, W.; Ahn, J.S.; Park, J.C.; Kwun, B.D.; Lee, D.H. Treatment strategy based on experience of treating intracranial infectious aneurysms. World Neurosurg. 2017, 97, 351–359. [Google Scholar] [CrossRef] [PubMed]
- Boukobza, M.; Crassard, I.; Bousser, M.G.; Chabriat, H. Radiological findings in cerebral venous thrombosis presenting as subarachnoid hemorrhage: A series of 22 cases. Neuroradiology 2016, 58, 11–16. [Google Scholar] [CrossRef] [PubMed]
- Sztajzel, R.; Coeytaux, A.; Dehdashati, A.R.; Delavelle, J.; Sinnreich, M. Subarachnoid hemorrhage: A rare presentation of cerebral venous thrombosis. Headache 2001, 41, 899–901. [Google Scholar] [CrossRef]
- Chang, R.; Friedman, D.P. Isolated cortical venous thrombosis presenting as subarachnoid hemorrhage: A report of three cases. AJNR Am. J. Neuroradiol. 2004, 25, 1676–1679. [Google Scholar]
- Oppenheim, C.; Domingo, V.; Gauvrit, J.-Y.; Lamy, C.; Mackowiak-Cordoliani, M.-A.; Pruvo, J.-P.; Meder, J.-F. Subarachnoid hemorrhage as the initial presentation of dural sinus thrombosis. AJNR Am. J. Neuroradio. 2005, 26, 614–617. [Google Scholar]
- Spitzer, C.; Mull, M.; Rohde, V.; Kosinski, C.M. Non-traumatic cortical subarachnoid haemorrhage: Diagnostic work-up and aetiological background. Neuroradiology 2005, 47, 525–531. [Google Scholar] [CrossRef] [PubMed]
- Adaletti, I.; Sirikei, A.; Kara, B.; Kurugoglu, S.; Ozer, H.; Bayram, M. Cerebral venous sinus thrombosis presenting with excessive subarchnoid hemorrhage in a 14-year-old boy. Emerg. Radiol. 2005, 12, 575–579. [Google Scholar]
- Rice, H.; Tang, Y.M. Acute subarchnoid hemorrhage: A rare presentation of cerebral dural sinus thrombosis. Austr. Radiol. 2006, 50, 241–245. [Google Scholar] [CrossRef] [PubMed]
- Lin, J.H.; Kwan, S.Y.; Wu, D. Cerebral venous thrombosis initially presenting with acute subarachnoid hemorrhage. J. Chin. Med. Assoc. 2006, 69, 282–285. [Google Scholar] [CrossRef] [PubMed]
- Pradhan, S.; Yadav, R.; Diwakar, H.; Phadke, R.V. Subarachnoid hemorrhage following chronic dural venous sinus thrombosis. Angiology 2007, 58, 498–501. [Google Scholar] [CrossRef] [PubMed]
- Wang, Y.F.; Fuh, J.L.; Lirng, J.F.; Chang, F.C.; Wang, S.J. Spontaneous intracranial hypotension with isolated cortical vein thrombosis and subarachnoid haemorrhage. Cephalalgia 2007, 27, 1413–1417. [Google Scholar] [CrossRef]
- Jaiser, S.R.; Raman, A.; Maddison, P. Cerebral venous sinus thrombosis as a rare cause of thunderclap headache and nonaneurysmal subarachnoid haemorrhage. J. Neurol. 2008, 255, 448–449. [Google Scholar] [CrossRef]
- Lai, N.K.; Hui, J.W.; Wong, G.K.; Yu, S.C.; Sun, D.T.; Poon, W.S. Cerebral venous thrombosis presenting as subarachnoid haemorrhage. Hong Kong Med. J. 2008, 14, 499–500. [Google Scholar]
- Benabu, Y.; Mark, L.; Daniel, S.; Glikstein, R. Cerebral venous thrombosis presenting with subarachnoid hemorrhage. Case report and review. Am. J. Emerg. Med. 2009, 27, 96–106. [Google Scholar] [CrossRef]
- Kato, Y.; Takeda, H.; Furuya, D.; Nagoya, H.; Deguchi, I.; Fukuoka, T.; Tanahashi, N. Subarachnoid hemorrhage as the initial presentation of cerebral venous thrombosis. Intern. Med. 2010, 49, 467–470. [Google Scholar] [CrossRef]
- Morris, J.G.; Fisher, M.; Carandang, R.A. Cortical vein thrombosis as a mimic for isolated cortical subarachnoid hemorrhage and transient ischemic attack. Case Rep. Neurol. 2010, 2, 63–68. [Google Scholar] [CrossRef]
- Panda, S.; Prashantha, D.K.; Shankar, S.R.; Nagaraja, D. Localized convexity subarachnoid haemorrhage—A sign of early cerebral venous sinus thrombosis. Eur. J. Neurol. 2010, 17, 1249–1258. [Google Scholar] [CrossRef] [PubMed]
- Oda, S.; Shimoda, M.; Hoshikawa, K.; Osada, T.; Yoshiyama, M.; Matsumae, M. Cortical subarachnoid hemorrhage caused by cerebral venous thrombosis. Neurol. Med. Chir. 2011, 51, 30–36. [Google Scholar] [CrossRef] [PubMed][Green Version]
- Sayadnasiri, M.; Taheraghdam, A.A.; Talebi, M. Cerebral venous thrombosis presenting as subarachnoid hemorrhage: Report of two cases. Clin. Neurol. Neurosurg. 2012, 114, 1099–1101. [Google Scholar] [CrossRef] [PubMed]
- Sahin, N.; Solak, A.; Genc, B.; Bilgic, N. Cerebral venous thrombosis as a rare cause of subarachnoid hemorrhage: Case report and literature review. Clin. Imaging. 2014, 38, 373–379. [Google Scholar] [CrossRef] [PubMed]
- Idbaih, A.; Boukobza, M.; Crassard, I.; Porcher, R.; Bousser, M.G.; Chabriat, H. MRI of clot in cerebral venous thrombosis: High diagnostic value of susceptibility-weighted images. Stroke 2006, 37, 991–995. [Google Scholar] [CrossRef]
- Leach, J.L.; Strub, W.M.; Gaskill-Shipley, M.F. Cerebral venous thrombus signal intensity and susceptibility effects on gradient recalled-echo MR imaging. AJNR Am. J. Neuroradiol. 2007, 28, 940–945. [Google Scholar]
- Boukobza, M.; Crassard, I.; Bousser, M.G.; Chabriat, H. MRI features of isolated cortical vein thrombosis: Diagnosis and follow-up. AJNR Am. J. Neuroradiol. 2009, 30, 344–348. [Google Scholar] [CrossRef] [PubMed]
- Nakase, H.; Heimann, A.; Kempski, O. Local cerebral blood flow in a rat cortical vein occlusion model. J. Cereb. Blood Flow Metab. 1996, 16, 720–728. [Google Scholar] [CrossRef]
- Nakase, H.; Takeshima, T.; Sakaki, T.; Heimann, A.; Kempski, O. Superior sagittal sinus thrombosis: A clinical and experimental study. Skull Base Surg. 1998, 8, 169–174. [Google Scholar] [CrossRef]
- Stracke, C.P.; Spuentrup, E.; Katoh, M.; Günther, R.W.; Spangenberg, P. New experimental model of sinus and cortical vein thrombosis in pigs for MR imaging studies. Neuroradiology 2006, 48, 721–729. [Google Scholar] [CrossRef] [PubMed]
- Calabrese, L.H.; Mallek, J.A. Primary angiitis of the central nervous system: Report of 8 new cases, review of the literature, and proposal for diagnostic criteria. Medicine 1988, 67, 20–39. [Google Scholar] [CrossRef] [PubMed]
- Birnbaum, J.; Hellmann, D.B. Primary Angiitis of the Central Nervous System. Arch. Neurol. 2009, 66, 704–709. [Google Scholar] [CrossRef] [PubMed]
- Pascarella, R.; Antonenko, K.; Boulouis, G.; De Boysson, H.; Giannini, C.; Heldner, M.R.; Kargiotis, O.; Nguyen, T.N.; Rice, C.M.; Salvarani, C.; et al. European Stroke Organisation (ESO) guidelines on Primary Angiitis of the Central Nervous System (PACNS). Eur. Stroke J. 2023, 8, 842–879. [Google Scholar] [CrossRef]
- Zedde, M.; Napoli, M.; Moratti, C.; Pezzella, F.R.; Seiffge, D.J.; Tsivgoulis, G.; Caputi, L.; Salvarani, C.; Toni, D.; Valzania, F.; et al. The Hemorrhagic Side of Primary Angiitis of the Central Nervous System (PACNS). Biomedicines 2024, 12, 459. [Google Scholar] [CrossRef] [PubMed]
- Hinchey, J.; Chaves, C.; Appignani, B.; Breen, J.; Pao, L.; Wang, A.; Pessin, M.S.; Lamy, C.; Mas, J.L.; Caplan, L.R. A reversible posterior leukoencephalopathy syndrome. N. Engl. J. Med. 1996, 334, 494–500. [Google Scholar] [CrossRef] [PubMed]
- Hinduja, A. Posterior Reversible Encephalopathy Syndrome: Clinical Features and Outcome. Front. Neurol. 2020, 11, 71. [Google Scholar] [CrossRef]
- Saad, A.F.; Chaudhari, R.; Wintermark, M. Imaging of Atypical and Complicated Posterior Reversible Encephalopathy Syndrome. Front. Neurol. 2019, 10, 964. [Google Scholar] [CrossRef]
- Largeau, B.; Le Tilly, O.; Sautenet, B.; Gandonnière, C.S.; Guellec, C.B.-L.; Ehrmann, S. Arginine Vasopressin and Posterior Reversible Encephalopathy Syndrome Pathophysiology: The Missing Link? Mol. Neurobiol. 2019, 56, 6792–6806. [Google Scholar] [CrossRef]
- Largeau, B.; Boels, D.; Victorri-Vigneau, C.; Cohen, C.; Gandonnière, C.S.; Ehrmann, S. Posterior Reversible Encephalopathy Syndrome in Clinical Toxicology: A Systematic Review of Published Case Reports. Front. Neurol. 2020, 10, 1420. [Google Scholar] [CrossRef]
- Tetsuka, S.; Ogawa, T. Posterior reversible encephalopathy syndrome: A review with emphasis on neuroimaging characteristics. J. Neurol. Sci. 2019, 404, 72–79. [Google Scholar] [CrossRef] [PubMed]
- Lamy, C.; Oppenheim, C.; Mas, J.L. Posterior reversible encephalopathy syndrome. Handb. Clin. Neurol. 2014, 121, 1687–1701. [Google Scholar] [CrossRef] [PubMed]
- Bartynski, W.S.; Boardman, J.F. Distinct imaging patterns and lesion distribution in posterior reversible encephalopathy syndrome. AJNR Am. J. Neuroradiol. 2007, 28, 1320–1327. [Google Scholar] [CrossRef] [PubMed]
- Casey, S.O.; Sampaio, R.C.; Michel, E.; Truwit, C.L. Posterior reversible encephalopathy syndrome: Utility of fluid-attenuated inversion recovery MR imaging in the detection of cortical and subcortical lesions. AJNR Am. J. Neuroradiol. 2000, 21, 1199–1206. [Google Scholar] [PubMed]
- Kaufmann, J.; Buecke, P.; Meinel, T.; Beyeler, M.; Scutelnic, A.; Kaesmacher, J.; Mujanović, A.; Dobrocky, T.; Arsany, H.; Peters, N.; et al. Frequency of ischaemic stroke and intracranial haemorrhage in patients with reversible cerebral vasoconstriction syndrome (RCVS) and posterior reversible encephalopathy syndrome (PRES)—A systematic review. Eur. J. Neurol. 2024, 31, e16246. [Google Scholar] [CrossRef] [PubMed]
- Zedde, M.; Grisendi, I.; Assenza, F.; Vandelli, G.; Napoli, M.; Moratti, C.; Valzania, F.; Pascarella, R. Posterior reversible encephalopathy syndrome and acute ischemic stroke: An underreported association. Neurol. Sci. 2024, 45, 1249–1254. [Google Scholar] [CrossRef] [PubMed]
- Ollivier, M.; Bertrand, A.; Clarençon, F.; Gerber, S.; Deltour, S.; Domont, F.; Trunet, S.; Dormont, D.; Leclercq, D. Neuroimaging features in posterior reversible encephalopathy syndrome: A pictorial review. J. Neurol. Sci. 2017, 373, 188–200. [Google Scholar] [CrossRef] [PubMed]
- Singhal, A.B.; Hajj-Ali, R.A.; Topcuoglu, M.A.; Fok, J.; Bena, J.; Yang, D.; Calabrese, L.H. Reversible cerebral vasoconstriction syndromes: Analysis of 139 cases. Arch. Neurol. 2011, 68, 1005–1012. [Google Scholar] [CrossRef] [PubMed]
- Perillo, T.; Paolella, C.; Perrotta, G.; Serino, A.; Caranci, F.; Manto, A. Reversible cerebral vasoconstriction syndrome: Review of neuroimaging findings. Radiol. Med. 2022, 127, 981–990. [Google Scholar] [CrossRef]
- Rocha, E.A.; Topcuoglu, M.A.; Silva, G.S.; Singhal, A.B. RCVS2 score and diagnostic approach for reversible cerebral vasoconstriction syndrome. Neurology 2019, 92, e639–e647. [Google Scholar] [CrossRef]
- Singhal, A.B.; Topcuoglu, M.A.; Fok, J.W.; Kursun, O.; Nogueira, R.G.; Frosch, M.P.; Caviness, V.S. Reversible cerebral vasoconstriction syndromes and primary angiitis of the central nervous system: Clinical, imaging, and angiographic comparison. Ann. Neurol. 2016, 79, 882–894. [Google Scholar] [CrossRef] [PubMed]
- Yue, H.; Ling, W.; Ou, Y.; Chen, H.; Po, Z.; Wang, B.; Yu, J.; Guo, D. Intracranial subarachnoid hemorrhage resulting from non-cervical spinal arteriovenous lesions: Analysis of possible cause of bleeding and literature review. Clin. Neurol. Neurosurg. 2019, 184, 105371. [Google Scholar] [CrossRef] [PubMed]
- Nelson, S.E.; Sair, H.I.; Stevens, R.D. Magnetic Resonance Imaging in Aneurysmal Subarachnoid Hemorrhage: Current Evidence and Future Directions. Neurocrit. Care. 2018, 29, 241–252. [Google Scholar] [CrossRef] [PubMed]
- Backes, D.; Rinkel, G.J.; Kemperman, H.; Linn, F.H.; Vergouwen, M.D. Time-dependent test characteristics of head computed tomography in patients suspected of nontraumatic subarachnoid hemorrhage. Stroke 2012, 43, 2115–2119. [Google Scholar] [CrossRef]
- Mitchell, P.; Wilkinson, I.D.; Hoggard, N.; Paley, M.N.J.; Jellinek, D.A.; Powell, T.; Romanowski, C.; Hodgson, T.; Griffiths, P.D. Detection of subarachnoid haemorrhage with magnetic resonance imaging. J. Neurol. Neurosurg. Psychiatry 2001, 70, 205–211. [Google Scholar] [CrossRef] [PubMed]
- Noguchi, K.; Ogawa, T.; Inugami, A.; Toyoshima, H.; Sugawara, S.; Hatazawa, J.; Fujita, H.; Shimosegawa, E.; Kanno, I.; Okudera, T.; et al. Acute subarachnoid hemorrhage: MR imaging with fuid-attenuated inversion recovery pulse sequences. Radiology 1995, 196, 773–777. [Google Scholar] [CrossRef] [PubMed]
- da Rocha, A.J.; da Silva, C.J.; Gama, H.P.P.; Baccin, C.E.; Braga, F.T.; de Araújo Cesare, F.; Veiga, J.C. Comparison of magnetic resonance imaging sequences with computed tomography to detect low-grade subarachnoid hemorrhage. J. Comput. Assist. Tomogr. 2006, 30, 295–303. [Google Scholar] [CrossRef] [PubMed]
- Mulé, S.; Soize, S.; Benaissa, A.; Portefaix, C.; Pierot, L. Detection of aneurysmal subarachnoid hemorrhage 3 months after initial bleeding: Evaluation of T2* and FLAIR MR sequences at 3 T in comparison with initial non-enhanced CT as a gold standard. J. Neurointerv. Surg. 2016, 8, 813–818. [Google Scholar] [CrossRef] [PubMed]
- Inoue, T.; Takada, S.; Shimizu, H.; Niizuma, K.; Fujimura, M.; Sato, K.; Endo, H.; Tominaga, T. Signal changes on T2*-weighted magnetic resonance imaging from the acute to chronic phases in patients with subarachnoid hemorrhage. Cerebrovasc. Dis. 2013, 36, 421–429. [Google Scholar] [CrossRef]
- Hodel, J.; Aboukais, R.; Dutouquet, B.; Kalsoum, E.; Benadjaoud, M.; Chechin, D.; Zins, M.; Rahmouni, A.; Luciani, A.; Pruvo, J.-P.; et al. Double inversion recovery MR sequence for the detection of subacute subarachnoid hemorrhage. AJNR Am. J. Neuroradiol. 2015, 36, 251–258. [Google Scholar] [CrossRef]
- Mintun, M.A.; Lo, A.C.; Duggan Evans, C.; Wessels, A.M.; Ardayfio, P.A.; Andersen, S.W.; Shcherbin, S.; Sparks, J.; Sims, J.R.; Brys, M.; et al. Donanemab in early Alzheimer’s disease. N. Engl. J. Med. 2021, 384, 1691–1704. [Google Scholar] [CrossRef] [PubMed]
- Beitzke, M.; Enzinger, C.; Wünsch, G.; Asslaber, M.; Gattringer, T.; Fazekas, F. Contribution of convexal subarachnoid hemorrhage to disease progression in cerebral amyloid angiopathy. Stroke 2015, 46, 1533–1540. [Google Scholar] [CrossRef] [PubMed]
- Ly, J.V.; Donnan, G.A.; Villemagne, V.L.; Zavala, J.A.; Ma, H.; O’Keefe, G.; Gong, S.J.; Gunawan, R.M.; Saunder, T.; Ackerman, U.; et al. 11C-PIB binding is increased in patients with cerebral amyloid angiopathy-related hemorrhage. Neurology 2010, 74, 487–493. [Google Scholar] [CrossRef] [PubMed]
- Sakai, K.; Noguchi-Shinohara, M.; Tanaka, H.; Ikeda, T.; Hamaguchi, T.; Kakita, A.; Yamada, M.; Ono, K. Cerebrospinal Fluid Biomarkers and Amyloid-β Elimination from the Brain in Cerebral Amyloid Angiopathy-Related Inflammation. J. Alzheimers. Dis. 2023, 91, 1173–1183. [Google Scholar] [CrossRef] [PubMed]
- Catak, C.; Zedde, M.; Malik, R.; Janowitz, D.; Soric, V.; Seegerer, A.; Krebs, A.; Düring, M.; Opherk, C.; Linn, J.; et al. Decreased CSF Levels of ß-Amyloid in Patients with Cortical Superficial Siderosis. Front. Neurol. 2019, 26, 439. [Google Scholar] [CrossRef]





Disclaimer/Publisher’s Note: The statements, opinions and data contained in all publications are solely those of the individual author(s) and contributor(s) and not of MDPI and/or the editor(s). MDPI and/or the editor(s) disclaim responsibility for any injury to people or property resulting from any ideas, methods, instructions or products referred to in the content. |
© 2024 by the authors. Licensee MDPI, Basel, Switzerland. This article is an open access article distributed under the terms and conditions of the Creative Commons Attribution (CC BY) license (https://creativecommons.org/licenses/by/4.0/).
Share and Cite
Zedde, M.; Grisendi, I.; Assenza, F.; Napoli, M.; Moratti, C.; Pavone, C.; Bonacini, L.; Cecco, G.D.; D’Aniello, S.; Pezzella, F.R.; et al. Spontaneous Non-Aneurysmal Convexity Subarachnoid Hemorrhage: A Scoping Review of Different Etiologies beyond Cerebral Amyloid Angiopathy. J. Clin. Med. 2024, 13, 4382. https://doi.org/10.3390/jcm13154382
Zedde M, Grisendi I, Assenza F, Napoli M, Moratti C, Pavone C, Bonacini L, Cecco GD, D’Aniello S, Pezzella FR, et al. Spontaneous Non-Aneurysmal Convexity Subarachnoid Hemorrhage: A Scoping Review of Different Etiologies beyond Cerebral Amyloid Angiopathy. Journal of Clinical Medicine. 2024; 13(15):4382. https://doi.org/10.3390/jcm13154382
Chicago/Turabian StyleZedde, Marialuisa, Ilaria Grisendi, Federica Assenza, Manuela Napoli, Claudio Moratti, Claudio Pavone, Lara Bonacini, Giovanna Di Cecco, Serena D’Aniello, Francesca Romana Pezzella, and et al. 2024. "Spontaneous Non-Aneurysmal Convexity Subarachnoid Hemorrhage: A Scoping Review of Different Etiologies beyond Cerebral Amyloid Angiopathy" Journal of Clinical Medicine 13, no. 15: 4382. https://doi.org/10.3390/jcm13154382
APA StyleZedde, M., Grisendi, I., Assenza, F., Napoli, M., Moratti, C., Pavone, C., Bonacini, L., Cecco, G. D., D’Aniello, S., Pezzella, F. R., Merlino, G., Piazza, F., Pezzini, A., Morotti, A., Fainardi, E., Toni, D., Valzania, F., & Pascarella, R. (2024). Spontaneous Non-Aneurysmal Convexity Subarachnoid Hemorrhage: A Scoping Review of Different Etiologies beyond Cerebral Amyloid Angiopathy. Journal of Clinical Medicine, 13(15), 4382. https://doi.org/10.3390/jcm13154382

