Identification of Catecholamine and Drug Target α2A-Adrenoceptor in Human Testis and Human Testicular Peritubular Cells
Abstract
1. Introduction
2. Materials and Methods
2.1. Human Samples, Cell Culture, Reagents and Treatments
2.2. Isolation of RNA, Reverse Transcription (RT-PCR), and Quantitative Real-Time PCR (qPCR)
2.3. Immunohisto- and Immunocytochemistry
2.4. IL6 ELISA Measurements
2.5. Cell Contractility Assay
2.6. Nano LC-MS/MS-Based Proteomic Analysis
2.7. Statistical Analysis
3. Results
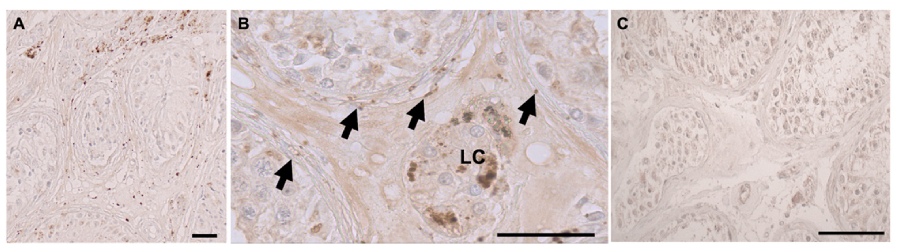
3.1. ADRA2A Expression in Human Testicular Biopsies of Adult Men
3.2. ADRA2A Expression in Cultured Human Testicular Peritubular Cells (HTPCs)
3.3. Dose Response of Clonidine on Cell Viability and IL6 mRNA Expression of HTPCs
3.4. Effect of 10 µM Clonidine on Typical HTPCs Transcripts and IL6 Secretion
3.5. Relaxing Actions of 10 µM Clonidine on HTPCs
3.6. No Significant Alterations of the Cellular Proteome in HTPCs after Clonidine Exposure
4. Discussion
5. Conclusions
Supplementary Materials
Author Contributions
Funding
Institutional Review Board Statement
Informed Consent Statement
Data Availability Statement
Acknowledgments
Conflicts of Interest
References
- Weiss, R.J. Effects of antihypertensive agents on sexual function. Am. Fam. Physician 1991, 44, 2075–2082. [Google Scholar] [PubMed]
- Hogan, M.J.; Wallin, J.D.; Baer, R.M. Antihypertensive therapy and male sexual dysfunction. Psychosomatics 1980, 234, 236–237. [Google Scholar] [CrossRef] [PubMed]
- MacDougall, A.I.; Addis, G.J.; MacKay, N.; Dymock, I.W.; Turpie, A.G.; Ballingall, D.L.; MacLennan, W.J.; Whiting, B.; MacArthur, J.G. Treatment of hypertension with clonidine. Br. Med. J. 1970, 3, 440–442. [Google Scholar] [CrossRef] [PubMed]
- Posner, J.; Polanczyk, G.V.; Sonuga-Barke, E. Attention-deficit hyperactivity disorder. Lancet 2020, 395, 450–462. [Google Scholar] [CrossRef] [PubMed]
- Strosberg, A.D. Structure, function, and regulation of adrenergic receptors. Protein Sci. 1993, 2, 1198–1209. [Google Scholar] [CrossRef] [PubMed]
- Graham, R.M. Adrenergic receptors: Structure and function. Clevel. Clin. J. Med. 1990, 57, 481–491. [Google Scholar]
- Shaw, J.; Hunyor, S.N.; Korner, P.I. The peripheral circulatory effects of clonidine and their role in the production of arterial hypotension. Eur. J. Pharmacol. 1971, 14, 101–111. [Google Scholar] [CrossRef] [PubMed]
- Bousquet, P.; Hudson, A.; García-Sevilla, J.A.; Li, J.X. Imidazoline Receptor System: The Past, the Present, and the Future. Pharmacol. Rev. 2020, 72, 50–79. [Google Scholar] [CrossRef]
- Laganà, A.S.; Vitale, S.G.; Iaconianni, P.; Gatti, S.; Padula, F. Male Infertility during Antihypertensive Therapy: Are We Addressing Correctly The Problem? Int. J. Fertil. Steril. 2016, 10, 267–269. [Google Scholar]
- Stadler, T.; Bader, M.; Uckert, S.; Staehler, M.; Becker, A.; Stief, C.G. Adverse effects of drug therapies on male and female sexual function. World J. Urol. 2006, 24, 623–629. [Google Scholar] [CrossRef]
- Danborg, P.B.; Simonsen, A.L.; Gøtzsche, P.C. Impaired reproduction after exposure to ADHD drugs: Systematic review of animal studies. Int. J. Risk Saf. Med. 2017, 29, 107–124. [Google Scholar] [CrossRef] [PubMed]
- Jurkiewicz, N.H.; Caricati-Neto, A.; Verde, L.F.; Avellar, M.C.; Reuter, H.R.; Jurkiewicz, A. Sympathetic neurotransmission in the rat testicular capsule: Functional characterization and identification of mRNA encoding alpha1-adrenoceptor subtypes. Eur. J. Pharmacol. 2006, 543, 141–150. [Google Scholar] [CrossRef]
- Dantas da Silva Júnior, E.; Palmieri de Souza, B.; Rodrigues, J.Q.; Caricati-Neto, A.; Jurkiewicz, A.; Jurkiewicz, N.H. Effects of clonidine in the isolated rat testicular capsule. Eur. J. Pharmacol. 2014, 726, 16–26. [Google Scholar] [CrossRef] [PubMed]
- Harding, S.D.; Armstrong, J.F.; Faccenda, E.; Southan, C.; Alexander, S.P.H.; Davenport, A.P.; Spedding, M.; Davies, J.A. The IUPHAR/BPS Guide to PHARMACOLOGY in 2024. Nucl. Acids Res. 2024, 52, D1438–D1449. [Google Scholar] [CrossRef] [PubMed]
- Albrecht, M.; Ramsch, R.; Kohn, F.M.; Schwarzer, J.U.; Mayerhofer, A. Isolation and cultivation of human testicular peritubular cells: A new model for the investigation of fibrotic processes in the human testis and male infertility. J. Clin. Endocrinol. Metab. 2006, 91, 1956–1960. [Google Scholar] [CrossRef] [PubMed]
- Mayerhofer, A. Human testicular peritubular cells: More than meets the eye. Reproduction 2013, 145, R107–R116. [Google Scholar] [CrossRef] [PubMed]
- Liebich, A.; Schmid, N.; Koupourtidou, C.; Herrmann, C.; Dietrich, K.G.; Welter, H.; Ninkovic, J.; Mayerhofer, A. The Molecular Signature of Human Testicular Peritubular Cells Revealed by Single-Cell Analysis. Cells 2022, 11, 3685. [Google Scholar] [CrossRef] [PubMed] [PubMed Central]
- Rossi, S.P.; Walenta, L.; Rey-Ares, V.; Köhn, F.M.; Schwarzer, J.U.; Welter, H.; Calandra, R.S.; Frungieri, M.B.; Mayerhofer, A. Alpha 1 adrenergic receptor-mediated inflammatory responses in human testicular peritubular cells. Mol. Cell. Endocrinol. 2018, 474, 1–9. [Google Scholar] [CrossRef]
- Eubler, K.; Rantakari, P.; Gerke, H.; Herrmann, C.; Missel, A.; Schmid, N.; Walenta, L.; Lahiri, S.; Imhof, A.; Strauss, L.; et al. Exploring the Ion Channel TRPV2 and Testicular Macrophages in Mouse Testis. Int J Mol Sci. 2021, 22, 4727. [Google Scholar] [CrossRef] [PubMed] [PubMed Central]
- Archer, M.; Dogra, N.; Dovey, Z.; Ganta, T.; Jang, H.S.; Khusid, J.A.; Lantz, A.; Mihalopoulos, M.; Stockert, J.A.; Zahalka, A.; et al. Role of α- and β-adrenergic signaling in phenotypic targeting: Significance in benign and malignant urologic disease. Cell Commun. Signal 2021, 19, 78. [Google Scholar] [CrossRef]
- Frungieri, M.B.; Mayerhofer, A. Biogenic amines in the testis: Sources, receptors and actions. Front. Endocrinol. 2024, 20, 1392917. [Google Scholar] [CrossRef] [PubMed] [PubMed Central]
- Welter, H.; Herrmann, C.; Dellweg, N.; Missel, A.; Thanisch, C.; Urbanski, H.F.; Köhn, F.M.; Schwarzer, J.U.; Müller-Taubenberger, A.; Mayerhofer, A. The Glucocorticoid Receptor NR3C1 in Testicular Peritubular Cells is Developmentally Regulated and Linked to the Smooth Muscle-Like Cellular Phenotype. J. Clin. Med. 2020, 9, 961. [Google Scholar] [CrossRef] [PubMed] [PubMed Central]
- Schell, C.; Albrecht, M.; Mayer, C.; Schwarzer, J.U.; Frungieri, M.B.; Mayerhofer, A. Exploring human testicular peritubular cells: Identification of secretory products and regulation by tumor necrosis factor-alpha. Endocrinology 2008, 149, 1678–1686. [Google Scholar] [CrossRef] [PubMed]
- da Silva Júnior, E.D.; de Souza, B.P.; Vilela, V.V.; Rodrigues, J.Q.; Nichi, M.; de Agostini Losano, J.D.; Dalmazzo, A.; Barnabe, V.H.; Jurkiewicz, A.; Jurkiewicz, N.H. Epididymal contraction and sperm parameters are affected by clonidine. Andrology 2014, 2, 955–966. [Google Scholar] [CrossRef] [PubMed]
- Pfaffl, M.W. A new mathematical model for relative quantification in real-time RT-PCR. Nucleic Acids Res. 2001, 29, e45. [Google Scholar] [CrossRef] [PubMed]
- Welter, H.; Huber, A.; Lauf, S.; Einwang, D.; Mayer, C.; Schwarzer, J.U.; Kohn, F.M.; Mayerhofer, A. Angiotensin II regulates testicular peritubular cell function via AT1 receptor: A specific situation in male infertility. Mol. Cell. Endocrinol. 2014, 393, 171–178. [Google Scholar] [CrossRef]
- Schindelin, J.; Arganda-Carreras, I.; Frise, E.; Kaynig, V.; Longair, M.; Pietzsch, T.; Preibisch, S.; Rueden, C.; Saalfeld, S.; Schmid, B.; et al. Fiji: An open-source platform for biological-image analysis. Nat. Methods 2012, 9, 676–682. [Google Scholar] [CrossRef] [PubMed]
- Stepanov, Y.K.; Speidel, J.D.; Herrmann, C.; Schmid, N.; Behr, R.; Köhn, F.M.; Stöckl, J.B.; Pickl, U.; Trottmann, M.; Fröhlich, T.; et al. Profound Effects of Dexamethasone on the Immunological State, Synthesis and Secretion Capacity of Human Testicular Peritubular Cells. Cells 2022, 11, 3164. [Google Scholar] [CrossRef] [PubMed] [PubMed Central]
- Stepanov, Y.K.; Herrmann, C.; Stöckl, J.B.; Köhn, F.M.; Pickl, U.; Trottmann, M.; Fröhlich, T.; Mayerhofer, A.; Welter, H. Prolonged exposure to dexamethasone alters the proteome and cellular phenotype of human testicular peritubular cells. Proteomics 2024, e2300616. [Google Scholar] [CrossRef] [PubMed]
- Tyanova, S.; Cox, J. Perseus: A Bioinformatics Platform for Integrative Analysis of Proteomics Data in Cancer Research. Methods Mol. Biol. 2018, 1711, 133–148. [Google Scholar]
- Perez-Riverol, Y.; Bai, J.; Bandla, C.; García-Seisdedos, D.; Hewapathirana, S.; Kamatchinathan, S.; Kundu, D.J.; Prakash, A.; Frericks-Zipper, A.; Eisenacher, M.; et al. The PRIDE database resources in 2022: A hub for mass spectrometry-based proteomics evidences. Nucleic Acids Res. 2022, 50, D543–D552. [Google Scholar] [CrossRef]
- Yu, Z.; Liao, J.; Chen, Y.; Zou, C.; Zhang, H.; Cheng, J.; Liu, D.; Li, T.; Zhang, Q.; Li, J.; et al. Single-Cell Transcriptomic Map of the Human and Mouse Bladders. J. Am. Soc. Nephrol. JASN 2019, 30, 2159–2176. [Google Scholar] [CrossRef] [PubMed]
- Fleck, D.; Kenzler, L.; Mundt, N.; Strauch, M.; Uesaka, N.; Moosmann, R.; Bruentgens, F.; Missel, A.; Mayerhofer, A.; Merhof, D.; et al. ATP activation of peritubular cells drives testicular sperm transport. Elife 2021, 10, e62885. [Google Scholar] [CrossRef] [PubMed] [PubMed Central]
- Arimitsu, M.; Mitsui-Saito, M.; Sato, K.; Ozaki, H.; Koga, Y.; Karaki, H. Mechanism of relaxant effect of clonidine in isolated bovine tracheal smooth muscle. J. Pharmacol. Exp. Ther. 1998, 286, 681–687. [Google Scholar]
- Mitsui, R.; Hashitani, H.; Lang, R.J.; van Helden, D.F. Mechanisms underlying spontaneous phasic contractions and sympathetic control of smooth muscle in the rat caudal epididymis. Pflugers Arch. 2021, 473, 1925–1938. [Google Scholar] [CrossRef] [PubMed]
- Spinnler, K.; Kohn, F.M.; Schwarzer, U.; Mayerhofer, A. Glial cell line-derived neurotrophic factor is constitutively produced by human testicular peritubular cells and may contribute to the spermatogonial stem cell niche in man. Hum. Reprod. 2010, 25, 2181–2187. [Google Scholar] [CrossRef] [PubMed]
- Rey-Ares, V.; Rossi, S.P.; Dietrich, K.G.; Kohn, F.M.; Schwarzer, J.U.; Welter, H.; Frungieri, M.B.; Mayerhofer, A. Prostaglandin E2 (PGE2) is a testicular peritubular cell-derived factor involved in human testicular homeostasis. Mol. Cell. Endocrinol. 2018, 473, 217–224. [Google Scholar] [CrossRef]
- Landreh, L.; Spinnler, K.; Schubert, K.; Hakkinen, M.R.; Auriola, S.; Poutanen, M.; Soder, O.; Svechnikov, K.; Mayerhofer, A. Human testicular peritubular cells host putative stem Leydig cells with steroidogenic capacity. J. Clin. Endocrinol. Metab. 2014, 99, E1227–E1235. [Google Scholar] [CrossRef]
- Mayer, C.; Adam, M.; Walenta, L.; Schmid, N.; Heikela, H.; Schubert, K.; Flenkenthaler, F.; Dietrich, K.G.; Gruschka, S.; Arnold, G.J.; et al. Insights into the role of androgen receptor in human testicular peritubular cells. Andrology 2018, 6, 756–765. [Google Scholar] [CrossRef]
- Alves-Silva, T.; Freitas, G.A.; Húngaro, T.G.R.; Arruda, A.C.; Oyama, L.M.; Avellar, M.C.W.; Araujo, R.C. Interleukin-6 deficiency modulates testicular function by increasing the expression of suppressor of cytokine signaling 3 (SOCS3) in mice. Sci. Rep. 2021, 11, 11456. [Google Scholar] [CrossRef]
- Morales-Montor, J.; Baig, S.; Mitchell, R.; Deway, K.; Hallal-Calleros, C.; Damian, R.T. Immunoendocrine interactions during chronic cysticercosis determine male mouse feminization: Role of IL-6. J. Immunol. 2001, 167, 4527–4533. [Google Scholar] [CrossRef]
- Masubuchi, Y.; Akaike, M.; Kumai, T.; Tanaka, M.; Watanabe, M.; Hirai, M. Disturbance or relatively important actions of antihypertensives, antifungal agent and opiate antagonist to the testicular steroidogenesis in rat. J. Toxicol. Sci. 1992, 17, 41–50. [Google Scholar] [CrossRef] [PubMed][Green Version]
- Wang, Y.; Chen, L.; Xie, L.; Li, L.; Li, X.; Li, H.; Liu, J.; Chen, X.; Mao, B.; Song, T.; et al. Interleukin 6 inhibits the differentiation of rat stem Leydig cells. Mol. Cell. Endocrinol. 2018, 472, 26–39. [Google Scholar] [CrossRef] [PubMed]
- Tsigos, C.; Papanicolaou, D.A.; Kyrou, I.; Raptis, S.A.; Chrousos, G.P. Dose-dependent effects of recombinant human interleukin-6 on the pituitary-testicular axis. J. Interferon Cytokine Res. 1999, 19, 1271–1276. [Google Scholar] [CrossRef] [PubMed]
- Gilsbach, R.; Schneider, J.; Lother, A.; Schickinger, S.; Leemhuis, J.; Hein, L. Sympathetic alpha(2)-adrenoceptors prevent cardiac hypertrophy and fibrosis in mice at baseline but not after chronic pressure overload. Cardiovasc. Res. 2010, 86, 432–442. [Google Scholar] [CrossRef] [PubMed]
- Lu, R.; Li, Y.; Zhang, Y.; Chen, Y.; Shields, A.D.; Winder, D.G.; Angelotti, T.; Jiao, K.; Limbird, L.E.; Zhou, Y.; et al. Epitope-tagged receptor knock-in mice reveal that differential desensitization of alpha2-adrenergic responses is because of ligand-selective internalization. J. Biol. Chem. 2009, 284, 13233–13243. [Google Scholar] [CrossRef] [PubMed]
- Taipale, H.; Bergström, J.; Gèmes, K.; Tanskanen, A.; Ekselius, L.; Mittendorfer-Rutz, E.; Helgesson, M. Attention-Deficit/Hyperactivity Disorder Medications and Work Disability and Mental Health Outcomes. JAMA Netw. Open 2024, 7, e242859. [Google Scholar] [CrossRef] [PubMed]
- Zeng, K.D.; Wang, G.L.; Yuan, Y.; Zhang, W.; Huang, X.H.; Hu, B. Efficacy of clonidine in the treatment of children with tic disorder co-morbid with attention deficit hyperactivity disorder. Eur. Rev. Med. Pharmacol. Sci. 2023, 27, 4232–4238. [Google Scholar]
- Marsidi, A.M.; Kipling, L.M.; Kawwass, J.F.; Mehta, A. Influence of paternal age on assisted reproductive technology cycles and perinatal outcomes. Fertil. Steril. 2021, 116, 380–387. [Google Scholar] [CrossRef]
- Chan, P.T.K.; Robaire, B. Advanced Paternal Age and Future Generations. Front. Endocrinol. 2022, 13, 897101. [Google Scholar] [CrossRef]
- Friedman, J.; Montero, F.; Bourgois, P.; Wahbi, R.; Dye, D.; Goodman-Meza, D.; Shover, C. Xylazine spreads across the US: A growing component of the increasingly synthetic and polysubstance overdose crisis. Drug Alcohol. Depend. 2022, 233, 109380. [Google Scholar] [CrossRef] [PubMed]
- Gupta, R.; Holtgrave, D.R.; Ashburn, M.A. Xylazine—Medical and Public Health Imperatives. N. Engl. J. Med. 2023, 388, 2209–2212. [Google Scholar] [CrossRef] [PubMed]





Disclaimer/Publisher’s Note: The statements, opinions and data contained in all publications are solely those of the individual author(s) and contributor(s) and not of MDPI and/or the editor(s). MDPI and/or the editor(s) disclaim responsibility for any injury to people or property resulting from any ideas, methods, instructions or products referred to in the content. |
© 2024 by the authors. Licensee MDPI, Basel, Switzerland. This article is an open access article distributed under the terms and conditions of the Creative Commons Attribution (CC BY) license (https://creativecommons.org/licenses/by/4.0/).
Share and Cite
Harald, W.; Nicole, K.; Michaela, S.; Carola, H.; Nina, S.; Youli, S.; Thomas, F.; Frank-Michael, K.; Ulrich, P.; Matthias, T.; et al. Identification of Catecholamine and Drug Target α2A-Adrenoceptor in Human Testis and Human Testicular Peritubular Cells. J. Clin. Med. 2024, 13, 4357. https://doi.org/10.3390/jcm13154357
Harald W, Nicole K, Michaela S, Carola H, Nina S, Youli S, Thomas F, Frank-Michael K, Ulrich P, Matthias T, et al. Identification of Catecholamine and Drug Target α2A-Adrenoceptor in Human Testis and Human Testicular Peritubular Cells. Journal of Clinical Medicine. 2024; 13(15):4357. https://doi.org/10.3390/jcm13154357
Chicago/Turabian StyleHarald, Welter, Kreitmair Nicole, Schneider Michaela, Herrmann Carola, Schmid Nina, Stepanov Youli, Fröhlich Thomas, Köhn Frank-Michael, Pickl Ulrich, Trottmann Matthias, and et al. 2024. "Identification of Catecholamine and Drug Target α2A-Adrenoceptor in Human Testis and Human Testicular Peritubular Cells" Journal of Clinical Medicine 13, no. 15: 4357. https://doi.org/10.3390/jcm13154357
APA StyleHarald, W., Nicole, K., Michaela, S., Carola, H., Nina, S., Youli, S., Thomas, F., Frank-Michael, K., Ulrich, P., Matthias, T., & Artur, M. (2024). Identification of Catecholamine and Drug Target α2A-Adrenoceptor in Human Testis and Human Testicular Peritubular Cells. Journal of Clinical Medicine, 13(15), 4357. https://doi.org/10.3390/jcm13154357

