Retro Mode Imaging for Detection and Quantification of Sub-RPE Drusen and Subretinal Drusenoid Deposits in Age-Related Macular Degeneration †
Abstract
1. Introduction
2. Methods
2.1. Subjects
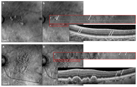
2.2. Retinal Imaging Protocol
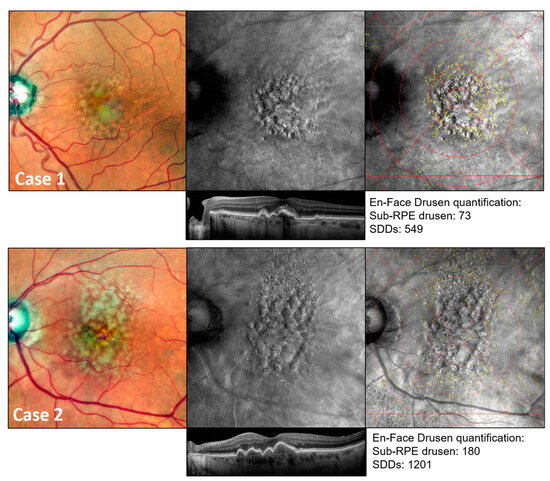
2.3. Multimodal Retinal Imaging Analysis of the En-Face Drusen Area
2.4. Determination of Topographical Distribution of Sub-RPE and SDD Drusen
2.5. Statistical Analysis
3. Results
3.1. Patient Demographics
3.2. Quantification of En-Face Drusen Areas
3.3. Inter-Reader Agreement for SDD Area Determination in the En-Face Mode
3.4. Topographical Distribution of Drusen Phenotypes Using a Modified ETDRS (mETDRS) Grid
3.5. Retro Mode Detects Early Stages of SDDs
4. Discussion
Supplementary Materials
Author Contributions
Funding
Institutional Review Board Statement
Informed Consent Statement
Data Availability Statement
Acknowledgments
Conflicts of Interest
References
- Lim, L.S.; Mitchell, P.; Seddon, J.M.; Holz, F.G.; Wong, T.Y. Age-related macular degeneration. Lancet 2012, 379, 1728–1738. [Google Scholar] [CrossRef] [PubMed]
- Ferris, F.L.; Wilkinson, C.P.; Bird, A.; Chakravarthy, U.; Chew, E.; Csaky, K.; Sadda, S.R. Clinical classification of age-related macular degeneration. Ophthalmology 2013, 120, 844–851. [Google Scholar] [CrossRef] [PubMed]
- García-Layana, A.; Cabrera-López, F.; García-Arumí, J.; Arias-Barquet, L.; Ruiz-Moreno, J.M. Early and intermediate age-related macular degeneration: Update and clinical review. Clin. Interv. Aging 2017, 12, 1579–1587. [Google Scholar] [CrossRef] [PubMed]
- VanDenLangenberg, A.M.; Carson, M.P. Drusen Bodies. In StatPearls; StatPearls Publishing: Treasure Island, FL, USA, 2023. [Google Scholar]
- Hageman, G.S.; Luthert, P.J.; Victor Chong, N.H.; Johnson, L.V.; Anderson, D.H.; Mullins, R.F. An integrated hypothesis that considers drusen as biomarkers of immune-mediated processes at the RPE-Bruch’s membrane interface in aging and age-related macular degeneration. Prog. Retin. Eye Res. 2001, 20, 705–732. [Google Scholar] [CrossRef] [PubMed]
- Arnold, J.J.; Sarks, S.H.; Killingsworth, M.C.; Sarks, J.P. Reticular pseudodrusen. A risk factor in age-related maculopathy. Retina (Philadelphia, Pa.) 1995, 15, 183–191. [Google Scholar] [CrossRef] [PubMed]
- Zweifel, S.A.; Spaide, R.F.; Curcio, C.A.; Maklek, G.; Imamura, Y. Reticular Pseudodrusen are Subretinal Drusenoid Deposits. Ophthalmology 2010, 117, 303–312. [Google Scholar] [CrossRef] [PubMed]
- Mimoun, G.; Soubrane, G.; Coscas, G. Les drusen maculaires. J. Fr. D’ophtalmologie 1990, 13, 511–530. [Google Scholar]
- Querques, G.; Querques, L.; Forte, R.; Massamba, N.; Coscas, F.; Souied, E.H. Choroideal Changes Associated with Reticular Pseudodrusen. Investig. Ophthalmol. Vis. Sci. 2012, 53, 1258–1263. [Google Scholar] [CrossRef]
- Ueda-Arakawa, N.; Ooto, S.; Nakata, I.; Yamashiro, K.; Tsujikawa, A.; Oishi, A.; Yoshimura, N. Prevalence and genomic association of reticular pseudodrusen in age-related macular degeneration. Am. J. Ophthalmol. 2013, 155, 260–269.e2. [Google Scholar] [CrossRef]
- Zhou, Q.; Daniel, E.; Maguire, M.G.; Grunwald, J.E.; Martin, E.R.; Martin, D.F.; Ying, G.S. Pseudodrusen and Incidence of Late Age-Related Macular Degeneration in Fellow Eyes in the Comparison of Age-Related Macular Degeneration Treatments Trials. Ophthalmology 2016, 123, 1530–1540. [Google Scholar] [CrossRef]
- Domalpally, A.; Agrón, E.; Pak, J.W.; Keenan, T.D.; Ferris, I.I.I.; Clemons, T.E.; Chew, E.Y. Prevalence, Risk, and Genetic Association of Reticular Pseudodrusen in Age-related Macular Degeneration: Age-Related Eye Disease Study 2 Report 21. Ophthalmology 2019, 126, 1659–1666. [Google Scholar] [CrossRef] [PubMed]
- Agrón, E.; Domalpally, A.; Cukras, C.A.; Clemons, T.E.; Chen, Q.; Lu, Z.; Chew, E.Y.; Keenan, T.D. Reticular Pseudodrusen: The Third Macular Risk Feature for Progression to Late Age-Related Macular Degeneration: Age-Related Eye Disease Study 2 Report 30. Ophthalmology 2022, 129, 1107–1119. [Google Scholar] [CrossRef] [PubMed]
- Voichanski, S.; Bousquet, E.; Abraham, N.; Santina, A.; Mafi, M.; Fossataro, C.; Sadda, S.; Sarraf, D. En-face Optical Coherence Tomography Illustrates the Trizonal Distribution of Drusen and Subretinal Drusenoid Deposits in the Macula. Am. J. Ophthalmol. 2024, 261, 187–198. [Google Scholar] [CrossRef] [PubMed]
- Rudolf, M.; Malek, G.; Messinger, J.D.; Clark, M.E.; Wang, L.; Curcio, C.A. Sub-retinal drusenoid deposits in human retina: Organization and composition. Exp. Eye Res. 2008, 87, 402–408. [Google Scholar] [CrossRef] [PubMed]
- Spaide, R.F.; Curcio, C.A. Drusen characterization with multimodal imaging. Retina 2010, 30, 1441–1454. [Google Scholar] [CrossRef] [PubMed]
- Cozzi, M.; Monteduro, D.; Parrulli, S.; Corvi, F.; Zicarelli, F.; Corradetti, G.; Sadda, S.R.; Staurenghi, G. Sensitivity and Specificity of Multimodal Imaging in Characterizing Drusen. Ophthalmol. Retin. 2020, 4, 987–995. [Google Scholar] [CrossRef]
- Sukkarieh, G.; Issa, M.; Bruneau, S.; Couturier, A.; Tadayoni, R. Retromode imaging in retinal diseases: A systematic review of the literature. Surv. Ophthalmol. 2023, 68, 1027–1037. [Google Scholar] [CrossRef]
- Corradetti, G.; Byon, I.; Corvi, F.; Cozzi, M.; Staurenghi, G.; Sadda, S.R. Retro mode illumination for detecting and quantifying the area of geographic atrophy in non-neovascular age-related macular degeneration. Eye 2022, 36, 1560–1566. [Google Scholar] [CrossRef]
- Maltsev, D.S.; Kulikov, A.N.; Burnasheva, M.A.; Chhablani, J. Retro-mode scanning laser ophthalmoscopy in evaluation of peripheral retinal lesions. Graefe’s Arch. Clin. Exp. Ophthalmol. 2021, 259, 301–306. [Google Scholar] [CrossRef]
- Cozzi, M.; Monteduro, D.; Airaldi, M.; Parrulli, S.; Cinus, F.; Trinco, A.; Staurenghi, G.; Invernizzi, A. Retromode Imaging Technology for Detecting Drusen-Like Deposits in Healthy Adults. Ophthalmol. Retin. 2023, 7, 1051–1058. [Google Scholar] [CrossRef]
- Maurizio, B.P.; Pierluigi, I.; Stelios, K.; Stefano, V.; Marialucia, C.; Ilaria, Z.; Francesco, B. Retro-mode imaging and fundus autofluorescence with scanning laser ophthalmoscope of retinal dystrophies. BMC Ophthalmol. 2012, 12, 8. [Google Scholar] [CrossRef] [PubMed]
- Romano, F.; Cozzi, M.; Staurenghi, G.; Salvetti, A.P. Multimodal retinal imaging of m.3243AG associated retinopathy. Am. J. Ophthalmol. Case Rep. 2022, 26, 101411. [Google Scholar] [CrossRef] [PubMed]
- Pollreisz, A.; Reiter, G.S.; Bogunovic, H.; Baumann, L.; Jakob, A.; Schlanitz, F.G.; Sacu, S.; Owsley, C.; Sloan, K.R.; Curcio, C.A. Topographic Distribution and Progression of Soft Drusen Volume in Age-Related Macular Degeneration Implicate Neurobiology of Fovea. Investig. Ophthalmol. Vis. Sci. 2021, 62, 26. [Google Scholar] [CrossRef] [PubMed]
- Abdelfattah, N.S.; Zhang, H.; Boyer, D.S.; Rosenfeld, P.J.; Feuer, W.J.; Gregori, G.; Sadda, S.R. Drusen Volume as a Predictor of Disease Progression in Patients With Late Age-Related Macular Degeneration in the Fellow Eye. Investig. Ophthalmol. Vis. Sci. 2016, 57, 1839. [Google Scholar] [CrossRef] [PubMed]
- Curcio, C.A.; Kar, D.; Owsley, C.; Sloan, K.R.; Ach, T. Age-Related Macular Degeneration, a Mathematically Tractable Disease. Investig. Ophthalmol. Vis. Sci. 2024, 65, 4. [Google Scholar] [CrossRef] [PubMed]
- Ranetti, A.-E.; Stanca, H.T.; Tăbăcaru, B.; Teodoru, A.; Munteanu, M.; Stanca, S. Retromode Imaging in Age-Related Macular Degeneration. Medicina 2023, 59, 647. [Google Scholar] [CrossRef]
- Landis, J.R.; Koch, G.G. The Measurement of Observer Agreement for Categorical Data. Biometrics 1977, 33, 159–174. [Google Scholar] [CrossRef] [PubMed]
- Wu, Z.; Fletcher, E.L.; Kumar, H.; Greferath, U.; Guymer, R.H. Reticular pseudodrusen: A critical phenotype in age-related macular degeneration. Prog. Retin. Eye Res. 2022, 88, 101017. [Google Scholar] [CrossRef]
- Curcio, C.A.; Sloan, K.R.; Kalina, R.E.; Hendrickson, A.E. Human photoreceptor topography. J. Comp. Neurol. 1990, 292, 497–523. [Google Scholar] [CrossRef] [PubMed]
- Zhou, Q.; Shaffer, J.; Ying, G. Pseudodrusen in the Fellow Eye of Patients with Unilateral Neovascular Age-Related Macular Degeneration: A Meta-Analysis. PLoS ONE 2016, 11, e0149030. [Google Scholar] [CrossRef]
- Chen, L.; Messinger, J.D.; Zhang, Y.; Spaide, R.F.; Freund, K.B.; Curcio, C.A. Subretinal Drusenoid Deposit in Age-Related Macular Degeneration: Histologic Insights Into Initiation, Progression to Atrophy, and Imaging. Retina 2020, 40, 618–631. [Google Scholar] [CrossRef] [PubMed]
- Lee, S.C.S.; Martin, P.R.; Grünert, U. Topography of Neurons in the Rod Pathway of Human Retina. Investig. Ophthalmol. Vis. Sci. 2019, 60, 2848–2859. [Google Scholar] [CrossRef] [PubMed]
- Klein, R.; Meuer, S.M.; Knudtson, M.D.; Iyengar, S.K.; Klein, B.E.K. The epidemiology of retinal reticular drusen. Am. J. Ophthalmol. 2008, 145, 317–326. [Google Scholar] [CrossRef] [PubMed]
- Schmitz-Valckenberg, S.; Steinberg, J.S.; Fleckenstein, M.; Visvalingam, S.; Brinkmann, C.K.; Holz, F.G. Combined confocal scanning laser ophthalmoscopy and spectral-domain optical coherence tomography imaging of reticular drusen associated with age-related macular degeneration. Ophthalmology 2010, 117, 1169–1176. [Google Scholar] [CrossRef] [PubMed]
- Finger, R.P.; Chong, E.; McGuinness, M.B.; Robman, L.D.; Aung, K.Z.; Giles, G.; Baird, P.N.; Guymer, R.H. Reticular Pseudodrusen and Their Association with Age-Related Macular Degeneration: The Melbourne Collaborative Cohort Study. Ophthalmology 2016, 123, 599–608. [Google Scholar] [CrossRef] [PubMed]
- Zweifel, S.A.; Imamura, Y.; Spaide, T.C.; Fujiwara, T.; Spaide, R.F. Prevalence and significance of subretinal drusenoid deposits (reticular pseudodrusen) in age-related macular degeneration. Ophthalmology 2010, 117, 1775–1781. [Google Scholar] [CrossRef] [PubMed]
- Davis, M.D.; Gangnon, R.E.; Lee, L.-Y.; Hubbard, L.D.; Klein, B.E.; Klein, R.; Ferris, F.L.; Bressler, S.B.; Milton, R.C. The Age-Related Eye Disease Study Severity Scale for for Age-Related Macular Degeneration: AREDS Report No. 17. Arch. Ophthalmol. 2005, 123, 1484–1498. [Google Scholar] [PubMed]
- Yamamoto, M.; Mizukami, S.; Tsujikawa, A.; Miyoshi, N.; Yoshimura, N. Visualization of cystoid macular oedema using a scanning laser ophthalmoscope in the retro-mode. Clin. Exp. Ophthalmol. 2010, 38, 27–36. [Google Scholar] [CrossRef]
- Tanaka, Y.; Shimada, N.; Ohno-Matsui, K.; Hayashi, W.; Hayashi, K.; Moriyama, M.; Yoshida, T.; Tokoro, T.; Mochizuki, M. Retromode retinal imaging of macular retinoschisis in highly myopic eyes. Am. J. Ophthalmol. 2010, 149, 635–640.e1. [Google Scholar] [CrossRef]
- Schaal, K.B.; Legarreta, A.D.; Gregori, G.; Legarreta, J.E.; Cheng, Q.; Stetson, P.F.; Cai, M.; Laron, M.; Durbin, M.; Rosenfeld, P.J. Widefield En-face Optical Coherence Tomography Imaging of Subretinal Drusenoid Deposits. Ophthalmic Surg. Lasers Imaging Retin. 2015, 46, 550–559. [Google Scholar] [CrossRef]
- Gregori, G.; Wang, F.; Rosenfeld, P.J.; Yehoshua, Z.; Gregori, N.Z.; Lujan, B.J.; Puliafito, C.A.; Feuer, W.J. Spectral domain optical coherence tomography imaging of drusen in nonexudative age-related macular degeneration. Ophthalmology 2011, 118, 1373–1379. [Google Scholar] [CrossRef] [PubMed]
- Tan, T.F.; Yap, C.L.; Peterson, C.L.; Wong, D.; Wong, T.Y.; Cheung, C.M.G.; Schmetterer, L.; Tan, A.C.S. Defining the structure-function relationship of specific lesions in early and advanced age-related macular degeneration. Sci. Rep. 2024, 14, 8724. [Google Scholar] [CrossRef] [PubMed]
- Saßmannshausen, M.; Döngelci, S.; Vaisband, M.; von der Emde, L.; Sloan, K.R.; Hasenauer, J.; Holz, F.G.; Schmitz-Valckenberg, S.; Ach, T. Spatially Resolved Association of Structural Biomarkers on Retinal Function in Non-Exudative Age-Related Macular Degeneration Over 4 Years. Invest. Ophthalmol. Vis. Sci. 2024, 65, 45. [Google Scholar] [CrossRef] [PubMed]
- Thiele, S.; Nadal, J.; Fleckenstein, M.; Fang, P.P.; Pfau, M.; Schmid, M.; Hua, R.; Holz, F.G.; Schmitz-Valckenberg, S.; MODIAMD-Study Group. Longitudinal Analysis of Drusen Volume in Intermediate Age-Related Macular Degeneration Using Two Spectral-Domain Optical Coherence Tomography Scan Patterns. Ophthalmol. J. Int. D’ophtalmol. Int. J. Ophthalmol. Z. Fur Augenheilkd. 2018, 239, 110–120. [Google Scholar] [CrossRef]






| Participants | Study Cohort En-Face Drusen Area Quantification | Study Cohort Single Drusen Quantification |
| Number of study eyes | 120 | 30 |
| Number of patients | 90 | 25 |
| Mean age (years ± SD) [range] | 74.6 ± 8.6 [55–91] | 72.2 ± 5.7 [59–85] |
| Gender (male) | 39 | 9 |
| BCVA [logMAR] (±SD) | 0.2 ± 0.3 | 0.2 ± 0.2 |
| Pseudophakic | 50 | 11 |
Disclaimer/Publisher’s Note: The statements, opinions and data contained in all publications are solely those of the individual author(s) and contributor(s) and not of MDPI and/or the editor(s). MDPI and/or the editor(s) disclaim responsibility for any injury to people or property resulting from any ideas, methods, instructions or products referred to in the content. |
© 2024 by the authors. Licensee MDPI, Basel, Switzerland. This article is an open access article distributed under the terms and conditions of the Creative Commons Attribution (CC BY) license (https://creativecommons.org/licenses/by/4.0/).
Share and Cite
Saßmannshausen, M.; Sautbaeva, L.; von der Emde, L.A.; Vaisband, M.; Sloan, K.R.; Hasenauer, J.; Holz, F.G.; Ach, T. Retro Mode Imaging for Detection and Quantification of Sub-RPE Drusen and Subretinal Drusenoid Deposits in Age-Related Macular Degeneration. J. Clin. Med. 2024, 13, 4131. https://doi.org/10.3390/jcm13144131
Saßmannshausen M, Sautbaeva L, von der Emde LA, Vaisband M, Sloan KR, Hasenauer J, Holz FG, Ach T. Retro Mode Imaging for Detection and Quantification of Sub-RPE Drusen and Subretinal Drusenoid Deposits in Age-Related Macular Degeneration. Journal of Clinical Medicine. 2024; 13(14):4131. https://doi.org/10.3390/jcm13144131
Chicago/Turabian StyleSaßmannshausen, Marlene, Leyla Sautbaeva, Leon Alexander von der Emde, Marc Vaisband, Kenneth R. Sloan, Jan Hasenauer, Frank G. Holz, and Thomas Ach. 2024. "Retro Mode Imaging for Detection and Quantification of Sub-RPE Drusen and Subretinal Drusenoid Deposits in Age-Related Macular Degeneration" Journal of Clinical Medicine 13, no. 14: 4131. https://doi.org/10.3390/jcm13144131
APA StyleSaßmannshausen, M., Sautbaeva, L., von der Emde, L. A., Vaisband, M., Sloan, K. R., Hasenauer, J., Holz, F. G., & Ach, T. (2024). Retro Mode Imaging for Detection and Quantification of Sub-RPE Drusen and Subretinal Drusenoid Deposits in Age-Related Macular Degeneration. Journal of Clinical Medicine, 13(14), 4131. https://doi.org/10.3390/jcm13144131

