Progress of Ossification after Mandibular Reconstruction by Free Fibula Flap Depending on Different Timing of Radiotherapy: A Retrospective 3D Analysis by CT Scans
Abstract
1. Introduction
2. Materials and Methods
2.1. Patients
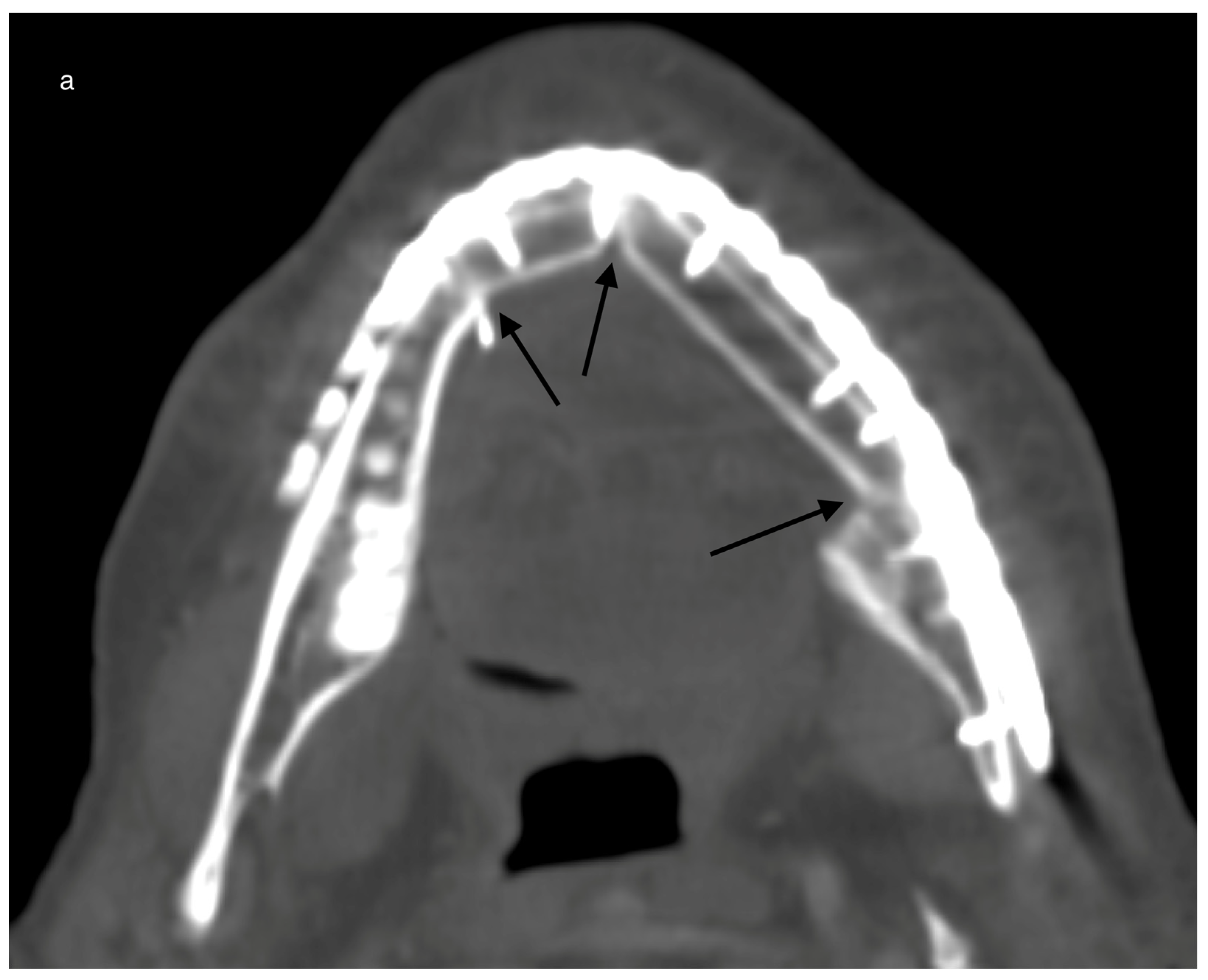
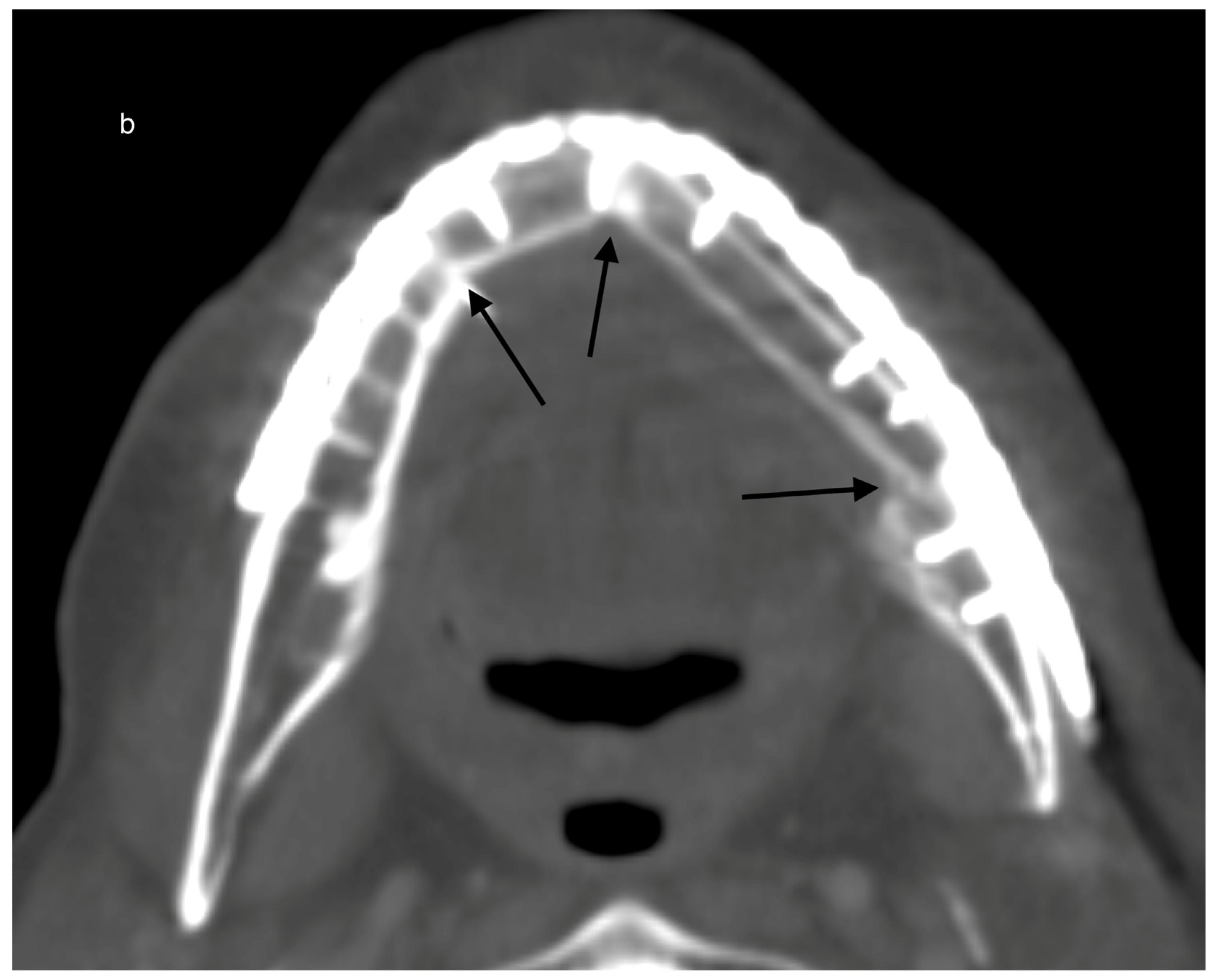
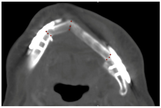
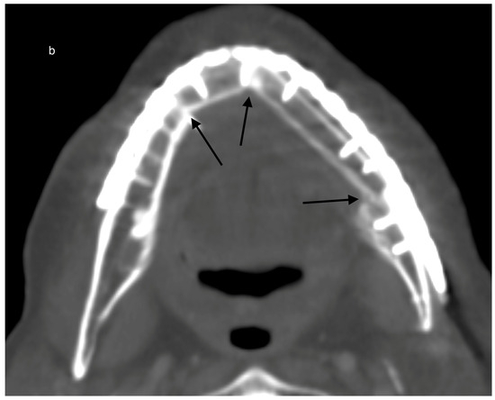
2.2. Radiographic Data Management
2.3. Data Analysis
3. Results
3.1. Cohort Characteristics
3.2. HU Measurement
4. Discussion
5. Conclusions
Author Contributions
Funding
Institutional Review Board Statement
Informed Consent Statement
Data Availability Statement
Conflicts of Interest
Appendix A. STROBE Chart for Grouping and the following Investigation

References
- Ferlay, J.; Colombet, M.; Soerjomataram, I.; Parkin, D.M.; Piñeros, M.; Znaor, A.; Bray, F. Cancer statistics for the year 2020: An overview. Int. J. Cancer 2021, 149, 778–789. [Google Scholar] [CrossRef] [PubMed]
- Harley, R.J.; Iheagwara, U.K.; Faraji, F.; Sridharan, S.; Kubik, M.W. Postoperative Radiotherapy and Survival in Oral Cavity Squamous Cell Carcinoma With Mandibulectomy. JAMA Otolaryngol. Head. Neck Surg. 2024, 150, 233–239. [Google Scholar] [CrossRef]
- Lee, C.W.; Jenkins, G.W.; Lee-Warder, L.; Kennedy, M.; Iqbal, M.S.; Adams, J. The role of adjuvant radiotherapy in locally advanced T4 mandible squamous cell carcinoma in the N0 patient: A single centre experience. Int. J. Oral. Maxillofac. Surg. 2022, 51, 1251–1256. [Google Scholar] [CrossRef] [PubMed]
- Schuderer, J.G.; Dinh, H.T.; Spoerl, S.; Taxis, J.; Fiedler, M.; Gottsauner, J.M.; Maurer, M.; Reichert, T.E.; Meier, J.K.; Weber, F.; et al. Risk Factors for Flap Loss: Analysis of Donor and Recipient Vessel Morphology in Patients Undergoing Microvascular Head and Neck Reconstructions. J. Clin. Med. 2023, 12, 5206. [Google Scholar] [CrossRef]
- Kameni, L.E.; Januszyk, M.; Berry, C.E.; Downer, M.A., Jr.; Parker, J.B.; Morgan, A.G.; Valencia, C.; Griffin, M.; Li, D.J.; Liang, N.E.; et al. A Review of Radiation-Induced Vascular Injury and Clinical Impact. Ann. Plast. Surg. 2024, 92, 181–185. [Google Scholar] [CrossRef] [PubMed]
- Cannady, S.B.; Lamarre, E.; Wax, M.K. Microvascular Reconstruction: Evidence-Based Procedures. Facial Plast. Surg. Clin. North. Am. 2015, 23, 347–356. [Google Scholar] [CrossRef] [PubMed]
- Largo, R.D.; Garvey, P.B. Updates in Head and Neck Reconstruction. Plast. Reconstr. Surg. 2018, 141, 271e–285e. [Google Scholar] [CrossRef] [PubMed]
- Al Deek, N.F. Osteoradionecrosis of the mandible: Why not to be more aggressive in earlier stage? Am. J. Otolaryngol. 2020, 41, 102343. [Google Scholar] [CrossRef]
- Haroun, K.; Coblens, O.M. Reconstruction of the mandible for osteoradionecrosis. Curr. Opin. Otolaryngol. Head. Neck Surg. 2019, 27, 401–406. [Google Scholar] [CrossRef]
- Huang, N.; Wang, P.; Gong, P.; Huang, B. The Progress in Reconstruction of Mandibular Defect Caused by Osteoradionecrosis. J. Oncol. 2023, 2023, 1440889. [Google Scholar] [CrossRef]
- Goh, B.T.; Lee, S.; Tideman, H.; Stoelinga, P.J. Mandibular reconstruction in adults: A review. Int. J. Oral. Maxillofac. Surg. 2008, 37, 597–605. [Google Scholar] [CrossRef] [PubMed]
- Vayvada, H.; Mola, F.; Menderes, A.; Yilmaz, M. Surgical Management of Ameloblastoma in the Mandible: Segmental Mandibulectomy and Immediate Reconstruction With Free Fibula or Deep Circumflex Iliac Artery Flap (Evaluation of the Long-Term Esthetic and Functional Results). J. Oral. Maxillofac. Surg. 2006, 64, 1532–1539. [Google Scholar] [CrossRef]
- Su, Y.R.; Ganry, L.; Ozturk, C.; Lohman, R.; Al Afif, A.; McSpadden, R.; Frias, V.; Pu, J.J. Fibula Flap Reconstruction for the Mandible: Why It Is Still the Workhorse? Atlas Oral. Maxillofac. Surg. Clin. North. Am. 2023, 31, 121–127. [Google Scholar] [CrossRef] [PubMed]
- Kim, S.; Lee, D.H.; Ahn, K.M. Microvascular reconstruction for maxillofacial defects: A retrospective analysis of outcomes and complications in 121 consecutive cases. Maxillofac. Plast. Reconstr. Surg. 2020, 42, 29. [Google Scholar] [CrossRef] [PubMed]
- Kokosis, G.; Schmitz, R.; Powers, D.B.; Erdmann, D. Mandibular Reconstruction Using the Free Vascularized Fibula Graft: An Overview of Different Modifications. Arch. Plast. Surg. 2016, 43, 3–9. [Google Scholar] [CrossRef] [PubMed]
- Schuderer, J.G.; Meier, J.K.; Klingelhöffer, C.; Gottsauner, M.; Reichert, T.E.; Wendl, C.M.; Ettl, T. Magnetic resonance angiography for free fibula harvest: Anatomy and perforator mapping. Int. J. Oral. Maxillofac. Surg. 2020, 49, 176–182. [Google Scholar] [CrossRef]
- Dean, A.; Alamillos, F.; Heredero, S.; Redondo-Camacho, A.; Guler, I.; Sanjuan, A. Fibula free flap in maxillomandibular reconstruction. Factors related to osteosynthesis plates’ complications. J. Cranio-Maxillofac. Surg. 2020, 48, 994–1003. [Google Scholar] [CrossRef] [PubMed]
- Kreutzer, K.; Steffen, C.; Nahles, S.; Koerdt, S.; Heiland, M.; Rendenbach, C.; Beck-Broichsitter, B. Removal of patient-specific reconstruction plates after mandible reconstruction with a fibula free flap: Is the plate the problem? Int. J. Oral. Maxillofac. Surg. 2022, 51, 182–190. [Google Scholar] [CrossRef] [PubMed]
- Smith Nobrega, A.; Santiago, J.F.; de Faria Almeida, D.A.; dos Santos, D.M.; Pellizzer, E.P.; Goiato, M.C. Irradiated patients and survival rate of dental implants: A systematic review and meta-analysis. J. Prosthet. Dent. 2016, 116, 858–866. [Google Scholar] [CrossRef]
- Knitschke, M.; Sonnabend, S.; Roller, F.C.; Pons-Kühnemann, J.; Schmermund, D.; Attia, S.; Streckbein, P.; Howaldt, H.P.; Böttger, S. Osseous Union after Mandible Reconstruction with Fibula Free Flap Using Manually Bent Plates vs. Patient-Specific Implants: A Retrospective Analysis of 89 Patients. Curr. Oncol. 2022, 29, 274. [Google Scholar] [CrossRef]
- Sobti, N.; Ahmed, K.S.; Polanco, T.; Chilov, M.; Cohen, M.A.; Boyle, J.; Shahzad, F.; Matros, E.; Nelson, J.A.; Allen, R.J., Jr. Mini-plate versus reconstruction bar fixation for oncologic mandibular reconstruction with free fibula flaps: A systematic review and meta-analysis. J. Plast. Reconstr. Aesthetic Surg. JPRAS 2022, 75, 2691–2701. [Google Scholar] [CrossRef] [PubMed]
- Han, H.H.; Kim, H.Y.; Lee, J.Y. The Pros and Cons of Computer-Aided Surgery for Segmental Mandibular Reconstruction after Oncological Surgery. Arch. Craniofac Surg. 2017, 18, 149–154. [Google Scholar] [CrossRef] [PubMed]
- Suh, J.D.; Blackwell, K.E.; Sercarz, J.A.; Cohen, M.; Liu, J.H.; Tang, C.G.; Abemayor, E.; Nabili, V. Disease relapse after segmental resection and free flap reconstruction for mandibular osteoradionecrosis. Otolaryngol. Head. Neck Surg. 2010, 142, 586–591. [Google Scholar] [CrossRef] [PubMed]
- Wang, K.Y.; Liu, W.C.; Chen, C.F.; Chen, L.W.; Chen, H.C.; Yang, K.C. Osteomyocutaneous Free Fibula Flap Prevents Osteoradionecrosis and Osteomyelitis in Head and Neck Cancer Reconstruction. J. Reconstr. Microsurg. 2021, 37, 524–529. [Google Scholar] [CrossRef] [PubMed]
- Oest, M.E.; Franken, V.; Kuchera, T.; Strauss, J.; Damron, T.A. Long-term loss of osteoclasts and unopposed cortical mineral apposition following limited field irradiation. J. Orthop. Res. Off. Publ. Orthop. Res. Soc. 2015, 33, 334–342. [Google Scholar] [CrossRef] [PubMed]
- Jegoux, F.; Malard, O.; Goyenvalle, E.; Aguado, E.; Daculsi, G. Radiation effects on bone healing and reconstruction: Interpretation of the literature. Oral. Surg. Oral. Med. Oral. Pathol. Oral. Radiol. Endodontology 2010, 109, 173–184. [Google Scholar] [CrossRef] [PubMed]
- Mandair, G.S.; Oest, M.E.; Mann, K.A.; Morris, M.D.; Damron, T.A.; Kohn, D.H. Radiation-induced changes to bone composition extend beyond periosteal bone. Bone Rep. 2020, 12, 100262. [Google Scholar] [CrossRef] [PubMed]
- Gottsauner, M.; Fehrer, C.; Spoerl, S.; Schuderer, J.; Zeman, F.; Fiedler, M.; Maurer, M.; Reichert, T.E.; Ettl, T. Influence of Radiotherapy on Ossification of Vascularized Osseous Reconstruction of the Jaw: A Radiological Retrospective Cohort Study Based on Panoramic Radiographs. J. Clin. Med. 2022, 11, 5041. [Google Scholar] [CrossRef] [PubMed]
- Davey, J.S.; Rotne, R.; Edwards, G. The validation of computed tomography derived radiodensity measurements of bone healing using histopathology. Injury 2024, 55, 111543. [Google Scholar] [CrossRef]
- Grigoryan, M.; Lynch, J.A.; Fierlinger, A.L.; Guermazi, A.; Fan, B.; MacLean, D.B.; MacLean, A.; Genant, H.K. Quantitative and qualitative assessment of closed fracture healing using computed tomography and conventional radiography. Acad. Radiol. 2003, 10, 1267–1273. [Google Scholar] [CrossRef]
- Jewer, D.D.; Boyd, J.B.; Manktelow, R.T.; Zuker, R.M.; Rosen, I.B.; Gullane, P.J.; Rotstein, L.E.; Freeman, J.E. Orofacial and mandibular reconstruction with the iliac crest free flap: A review of 60 cases and a new method of classification. Plast. Reconstr. Surg. 1989, 84, 391–403, discussion 395–404. [Google Scholar] [CrossRef]
- Ma, H.; Shujaat, S.; Bila, M.; Nanhekhan, L.; Vranckx, J.; Politis, C.; Jacobs, R. Survival analysis of segmental mandibulectomy with immediate vascularized fibula flap reconstruction in stage IV oral squamous cell carcinoma patients. J. Stomatol. Oral. Maxillofac. Surg. 2022, 123, 44–50. [Google Scholar] [CrossRef] [PubMed]
- Onoda, S.; Kimata, Y.; Yamada, K.; Sugiyama, N.; Onoda, T.; Eguchi, M.; Mizukawa, N. Prevention points for plate exposure in the mandibular reconstruction. J. Cranio-Maxillo-Facial Surg. Off. Publ. Eur. Assoc. Cranio-Maxillo-Facial Surg. 2012, 40, e310–e314. [Google Scholar] [CrossRef] [PubMed]
- Sakakibara, A.; Hashikawa, K.; Yokoo, S.; Sakakibara, S.; Komori, T.; Tahara, S. Risk factors and surgical refinements of postresective mandibular reconstruction: A retrospective study. Plast. Surg. Int. 2014, 2014, 893746. [Google Scholar] [CrossRef]
- Huang, T.H.; Kuo, P.J.; Liu, C.J. Comparison of surgical outcomes between primary plate and fibular flap transfer for reconstruction of segmental mandibular defects. Microsurgery 2021, 41, 327–334. [Google Scholar] [CrossRef] [PubMed]
- Simion, G.; Eckardt, N.; Ullrich, B.W.; Senft, C.; Schwarz, F. Bone density of the cervical, thoracic and lumbar spine measured using Hounsfield units of computed tomography—Results of 4350 vertebras. BMC Musculoskelet Disord 2024, 25, 200. [Google Scholar] [CrossRef]
- Warner, S.J.; Garner, M.R.; Fabricant, P.D.; Lorich, D.G. Bone density correlates with clinical outcomes after ankle fracture fixation. Arch. Orthop. Trauma. Surg. 2018, 138, 1653–1657. [Google Scholar] [CrossRef]
- Zhao, C.; Li, X.; Liu, P.; Chen, Z.; Sun, G.; Dai, J.; Wang, X. Predicting fracture classification and prognosis with hounsfield units and femoral cortical index: A simple and cost-effective approach. J. Orthop. Sci. 2023, in press. [Google Scholar] [CrossRef]
- Di, L.Z.; Couture, V.; Leblanc, E.; Alinejad, Y.; Beaudoin, J.F.; Lecomte, R.; Berthod, F.; Faucheux, N.; Balg, F.; Grenier, G. A Longitudinal Low Dose μCT Analysis of Bone Healing in Mice: A Pilot Study. Adv. Orthop. 2014, 2014, 791539. [Google Scholar] [CrossRef]
- Swendseid, B.; Kumar, A.; Sweeny, L.; Zhan, T.; Goldman, R.A.; Krein, H.; Heffelfinger, R.N.; Luginbuhl, A.J.; Curry, J.M. Natural History and Consequences of Nonunion in Mandibular and Maxillary Free Flaps. Otolaryngol. Head. Neck Surg. 2020, 163, 956–962. [Google Scholar] [CrossRef]
- Steffen, C.; Soares, A.P.; Heintzelmann, T.; Fischer, H.; Voss, J.O.; Nahles, S.; Wüster, J.; Koerdt, S.; Heiland, M.; Rendenbach, C. Impact of the adjacent bone on pseudarthrosis in mandibular reconstruction with fibula free flaps. Head. Face Med. 2023, 19, 43. [Google Scholar] [CrossRef] [PubMed]
- Marshall, E.L.; Ginat, D.T.; Sammet, S. Computed Tomography Imaging Artifacts in the Head and Neck Region: Pitfalls and Solutions. Neuroimaging Clin. N. Am. 2022, 32, 271–277. [Google Scholar] [CrossRef] [PubMed]
- Padilla, P.L.; Mericli, A.F.; Largo, R.D.; Garvey, P.B. Computer-Aided Design and Manufacturing versus Conventional Surgical Planning for Head and Neck Reconstruction: A Systematic Review and Meta-Analysis. Plast. Reconstr. Surg. 2021, 148, 183–192. [Google Scholar] [CrossRef] [PubMed]
- Haddock, N.T.; Monaco, C.; Weimer, K.A.; Hirsch, D.L.; Levine, J.P.; Saadeh, P.B. Increasing bony contact and overlap with computer-designed offset cuts in free fibula mandible reconstruction. J. Craniofac Surg. 2012, 23, 1592–1595. [Google Scholar] [CrossRef] [PubMed]
- Weitz, J.; Wolff, K.D.; Kesting, M.R.; Nobis, C.P. Development of a novel resection and cutting guide for mandibular reconstruction using free fibula flap. J. Cranio-Maxillo-Facial Surg. Off. Publ. Eur. Assoc. Cranio-Maxillo-Facial Surg. 2018, 46, 1975–1978. [Google Scholar] [CrossRef]
- Gottsauner, M.; Morawska, M.M.; Tempel, S.; Müller-Gerbl, M.; Dalcanale, F.; de Wild, M.; Ettl, T. Geometric Cuts by an Autonomous Laser Osteotome Increase Stability in Mandibular Reconstruction With Free Fibula Grafts: A Cadaver Study. J. Oral. Maxillofac. Surg. Off. J. Am. Assoc. Oral. Maxillofac. Surg. 2024, 82, 235–245. [Google Scholar] [CrossRef]






| Postoperative Radiotherapy (n = 16) | Preoperative Radiotherapy (n = 11) | Non-Irradiated (Control Group) (n = 11) | |
|---|---|---|---|
| Male/female, n (%) | 12 (75%)/4 (25%) | 7 (64%)/4 (36%) | 6 (55%)/5 (45%) |
| Age in years, median (IQR) | 61 (56, 69) | 60 (50, 67) | 61 (57, 65) |
| Radiation dose in Gy, median (IQR) | 64.4 (60.0, 66.6) | 66.0 (60.0, 72.0) | none |
| Tobacco, n (%) | 11 (69%) | 5 (46%) | 7 (64%) |
| Alcohol, n (%) | 9 (56%) | 3 (27%) | 4 (36%) |
| Revisions, n (%) | 9 (56%) | 2 (18%) | 5 (46%) |
| CAD/CAM planning, n (%) | none | 4 (36%) | 1 (9%) |
| Neck dissection, n (%) | 16 (100%) | 6 (55%) | 9 (82%) |
| Primary Diagnosis | |||
| Malignant tumor | 16 | 8 | 9 |
| Osteoradionecrosis | 0 | 3 | 0 |
| Unspecific osteomyelitis | 0 | 0 | 1 |
| Gun shot wounds | 0 | 0 | 1 |
| Side of malignancy (n = 33) n = 30 cases of oral squamous cell carcinoma or its metastases with (suspected) infiltration of the mandible/ n = 1 case of high-grade soft tissue sarcoma/ n = 1 case of ameloblastic carcinoma of the mandible/ n = 1 case of oral malignant melanoma | |||
| Lateral floor of mouth/mandible | 14 | 3 | 8 |
| Multiple locations | 2 | 5 | 1 |
| Side of primary malignancy in ORN (n = 3) | |||
| Tongue | 1 | ||
| Pharynx/tonsil/root of tongue | 1 | ||
| Larynx | 1 | ||
| Defect Classification of Boyd and Jewer | |||
| C | 0 | 0 | 1 |
| H | 0 | 3 | 0 |
| HCL | 0 | 1 | 0 |
| L | 8 | 4 | 2 |
| LC | 2 | 2 | 5 |
| LCL | 6 | 1 | 3 |
| Estimate | 95%-CI | p-Value | ||
|---|---|---|---|---|
| HU per Group at baseline (p = 0.804) | ||||
| preORT | reference | |||
| noRT (control group) | −52.90 | −210.17 | 104.38 | 0.510 |
| postORT | −28.73 | −173.38 | 115.92 | 0.697 |
| HU gain overall for grouping locations horizontally #1 per day (p = 0.003) | ||||
| basal | reference | |||
| cranial | 5.26 | −53.34 | 63.86 | 0.860 |
| middle | 114.06 | 45.35 | 182.76 | 0.001 |
| HU gain overall for grouping locations vertically #2 per day (p = 0.005) | ||||
| Vestibular (+) | reference | |||
| Lingual (*) | −98.72 | −157.31 | −40.13 | 0.001 |
| Middle (#) | −86.70 | −155.41 | −17.99 | 0.013 |
Disclaimer/Publisher’s Note: The statements, opinions and data contained in all publications are solely those of the individual author(s) and contributor(s) and not of MDPI and/or the editor(s). MDPI and/or the editor(s) disclaim responsibility for any injury to people or property resulting from any ideas, methods, instructions or products referred to in the content. |
© 2024 by the authors. Licensee MDPI, Basel, Switzerland. This article is an open access article distributed under the terms and conditions of the Creative Commons Attribution (CC BY) license (https://creativecommons.org/licenses/by/4.0/).
Share and Cite
Gottsauner, M.; Sroka, A.M.; Eichberger, J.; Schuderer, J.; Zeman, F.; Fiedler, M.; Maurer, M.; Einspieler, I.; Reichert, T.E.; Ettl, T. Progress of Ossification after Mandibular Reconstruction by Free Fibula Flap Depending on Different Timing of Radiotherapy: A Retrospective 3D Analysis by CT Scans. J. Clin. Med. 2024, 13, 4104. https://doi.org/10.3390/jcm13144104
Gottsauner M, Sroka AM, Eichberger J, Schuderer J, Zeman F, Fiedler M, Maurer M, Einspieler I, Reichert TE, Ettl T. Progress of Ossification after Mandibular Reconstruction by Free Fibula Flap Depending on Different Timing of Radiotherapy: A Retrospective 3D Analysis by CT Scans. Journal of Clinical Medicine. 2024; 13(14):4104. https://doi.org/10.3390/jcm13144104
Chicago/Turabian StyleGottsauner, Maximilian, Anne Marie Sroka, Jonas Eichberger, Johannes Schuderer, Florian Zeman, Mathias Fiedler, Michael Maurer, Ingo Einspieler, Torsten E. Reichert, and Tobias Ettl. 2024. "Progress of Ossification after Mandibular Reconstruction by Free Fibula Flap Depending on Different Timing of Radiotherapy: A Retrospective 3D Analysis by CT Scans" Journal of Clinical Medicine 13, no. 14: 4104. https://doi.org/10.3390/jcm13144104
APA StyleGottsauner, M., Sroka, A. M., Eichberger, J., Schuderer, J., Zeman, F., Fiedler, M., Maurer, M., Einspieler, I., Reichert, T. E., & Ettl, T. (2024). Progress of Ossification after Mandibular Reconstruction by Free Fibula Flap Depending on Different Timing of Radiotherapy: A Retrospective 3D Analysis by CT Scans. Journal of Clinical Medicine, 13(14), 4104. https://doi.org/10.3390/jcm13144104

