Urine Nephrin and Podocalyxin Reflecting Podocyte Damage and Severity of Kidney Disease in Various Glomerular Diseases—A Cross-Sectional Study
Abstract
1. Introduction
2. Patients and Methods
2.1. Study Participants
2.2. Clinical and Histological Data
2.3. Statistical Analysis
3. Results
3.1. Correlations of Urine Nephrin and Podocalyxin with Histological Parameters
Light Microscopy
3.2. Electron Microscopy
4. Discussion
5. Conclusions
Supplementary Materials
Author Contributions
Funding
Institutional Review Board Statement
Informed Consent Statement
Conflicts of Interest
References
- Wetmore, J.B.; Guo, H.; Liu, J.; Collins, A.J.; Gilbertson, D.T. The incidence, prevalence, and outcomes of glomerulonephritis derived from a large retrospective analysis. Kidney Int. 2016, 90, 853–860. [Google Scholar] [CrossRef] [PubMed]
- Couser, W.G. Pathogenesis and treatment of glomerulonephritis—An update. J. Bras. Nefrol. 2016, 38, 107–122. (In Portuguese) [Google Scholar] [CrossRef] [PubMed]
- Nagata, M. Podocyte injury and its consequences. Kidney Int. 2016, 89, 1221–1230. [Google Scholar] [CrossRef] [PubMed]
- Asanuma, K. The role of podocyte injury in chronic kidney disease. Nihon Rinsho Meneki Gakkai Kaishi 2015, 38, 26–36. (In Japanese) [Google Scholar] [CrossRef] [PubMed]
- Kielkopf, C.L.; Bauer, W.; Urbatsch, I.L. Bradford Assay for Determining Protein Concentration. Cold Spring Harb. Protoc. 2020, 2020, 102269. [Google Scholar] [CrossRef] [PubMed]
- Toora, B.D.; Rajagopal, G. Measurement of creatinine by Jaffe’s reaction—Determination of concentration of sodium hydroxide required for maximum color development in standard, urine and protein free filtrate of serum. Indian J. Exp. Biol. 2002, 40, 352–354. [Google Scholar] [PubMed]
- Roufosse, C.; Simmonds, N.; Groningen, M.C.-V.; Haas, M.; Henriksen, K.J.; Horsfield, C.; Loupy, A.; Mengel, M.; Perkowska-Ptasińska, A.; Rabant, M.; et al. A 2018 Reference Guide to the Banff Classification of Renal Allograft Pathology. Transplantation 2018, 102, 1795–1814, Erratum in: Transplantation 2018, 102, e497; Erratum in: Transplantation 2022, 106, e528. [Google Scholar] [CrossRef] [PubMed]
- Sethi, S.; Fervenza, F.C. Standardized classification and reporting of glomerulonephritis. Nephrol. Dial. Transplant. 2019, 34, 193–199. [Google Scholar] [CrossRef] [PubMed]
- Grosch, S.; Erpicum, P.; Bouquegneau, A.; Jouret, F.; Bovy, C. Le glomérule dans tous ses états [The glomerulus in all its states]. Rev. Med. Liege 2022, 77, 330–337. (In French) [Google Scholar] [PubMed]
- Akankwasa, G.; Liu, J.; Cheng, G.; An, C.; Qin, X. Urine markers of podocyte dysfunction: A review of podocalyxin and nephrin in selected glomerular diseases. Biomark. Med. 2018, 12, 927–935. [Google Scholar] [CrossRef] [PubMed]
- Kriz, W. Podocyte is the major culprit accounting for the progression of chronic renal disease. Microsc. Res. Tech. 2002, 57, 189–195. [Google Scholar] [CrossRef] [PubMed]
- Kriz, W.; Shirato, I.; Nagata, M.; LeHir, M.; Lemley, K.V. The podocyte’s response to stress: The enigma of foot process effacement. Am. J. Physiol. Ren. Physiol. 2013, 304, F333–F347. [Google Scholar] [CrossRef]
- Asao, R.; Asanuma, K.; Kodama, F.; Akiba-Takagi, M.; Nagai-Hosoe, Y.; Seki, T.; Takeda, Y.; Ohsawa, I.; Mano, S.; Matsuoka, K.; et al. Relationships between levels of urinary podocalyxin, number of urinary podocytes, and histologic injury in adult patients with IgA nephropathy. Clin. J. Am. Soc. Nephrol. 2012, 7, 1385–1393. [Google Scholar] [CrossRef] [PubMed]
- Imaizumi, T.; Nakatochi, M.; Akiyama, S.; Yamaguchi, M.; Kurosawa, H.; Hirayama, Y.; Katsuno, T.; Tsuboi, N.; Hara, M.; Maruyama, S. Urinary Podocalyxin as a Biomarker to Diagnose Membranous Nephropathy. PLoS ONE 2016, 11, e0163507. [Google Scholar] [CrossRef] [PubMed]
- Abou Ghanima, A.T.; Almaghraby, M.F.; Elsaadany, H.M.; Hosny, M.A.; Kumar, R.K. Urinary podocalyxin and nephrin levels as biomarkers in lupus nephritis patients: Relation to renal involvement and disease activity. Egypt. Rheumatol. 2016, 38, 177–182. [Google Scholar] [CrossRef]
- Zeng, L.; Fung, W.W.; Chan, G.C.; Ng, J.K.; Chow, K.M.; Szeto, C.C. Urinary and Kidney Podocalyxin and Podocin Levels in Diabetic Kidney Disease: A Kidney Biopsy Study. Kidney Med. 2022, 5, 100569. [Google Scholar] [CrossRef]
- Kandasamy, Y.; Smith, R.; Lumbers, E.R.; Rudd, D. Nephrin—A biomarker of early glomerular injury. Biomark. Res. 2014, 2, 21. [Google Scholar] [CrossRef] [PubMed]
- Ganesh, V.; Murugan, M.; Goud, V.G.; Gangannagari, V.K. Correlation of urinary nephrin with albubinuria to predict early onset of nephropathy in patients with type 2 diabetes mellitus. Int. J. Health Sci. 2022, 6, 4621–4630. [Google Scholar] [CrossRef]
- Kostovska, I.; Trajkovska, K.T.; Cekovska, S.; Spasovski, G.; Labudovic, D. Nephrin and Podocalyxin—New Podocyte Proteins for Early Detection of Secondary Nephropathies. BANTAO J. 2016. [Google Scholar] [CrossRef]
- Sekulic, M.; Sekulic, S.P. A compendium of urinary biomarkers indicative of glomerular podocytopathy. Pathol. Res. Int. 2013, 2013, 782395. [Google Scholar] [CrossRef] [PubMed]
- Inoue, K. Urinary Podocyte Biomarkers and Glomerular Histologic Change. Kidney360 2022, 3, 407–409. [Google Scholar] [CrossRef] [PubMed]
- Hara, M.; Yamagata, K.; Tomino, Y.; Saito, A.; Hirayama, Y.; Ogasawara, S.; Kurosawa, H.; Sekine, S.; Yan, K. Urinary podocalyxin is an early marker for podocyte injury in patients with diabetes: Establishment of a highly sensitive ELISA to detect urinary podocalyxin. Diabetologia 2012, 55, 2913–2919. [Google Scholar] [CrossRef] [PubMed]
- Petrica, L.; Ursoniu, S.; Gadalean, F.; Vlad, A.; Gluhovschi, G.; Dumitrascu, V.; Vlad, D.; Gluhovschi, C.; Velciov, S.; Bob, F.; et al. Urinary podocyte-associated mRNA levels correlate with proximal tubule dysfunction in early diabetic nephropathy of type 2 diabetes mellitus. Diabetol. Metab. Syndr. 2017, 9, 31. [Google Scholar] [CrossRef] [PubMed]



| Variable | Healthy Controls n = 5 | Mean ± SD n = 37 |
|---|---|---|
| Age, y | 39 ± 5 | 58 ± 15 |
| Females, % | 3 (60) | 13 (35) |
| Positive urine sediment, % | 0 | 21 (56) |
| Nephrotic range proteinuria, % | 0 | 17 (45) |
| Hypertension, % | 0 | 20 (54) |
| Diabetes mellitus, % | 0 | 10 (27) |
| Serum creatinine, mg/dL | 0.8 ± 0.3 | 2.2 ± 1.8 |
| Proteinuria, g/24 h | 0 | 4.1 ± 3.4 |
| Nephrin, ng/mL | 25.3 ± 1.3 | 45.4 ± 31.7 |
| Podocalyxin, ng/mL | 30.8 ± 6.2 | 70.9 ± 63 |
| NEP/CR, ng/mg | 0.22 ± 0.2 | 1.05 ± 0.99 |
| PDC/CR, ng/mg | 0.33 ± 0.4 | 1.84 ± 2 |
| Diagnosis | n |
|---|---|
| FSGS (primary/secondary/tip lesion) | 4/8/1 |
| Alport syndrome | 1 |
| IgA nephropathy | 5 |
| IgG4 related GN | 2 |
| MCD | 1 |
| MIDD | 1 |
| Hypertensive nephropathy | 2 |
| Pauci-immune GN | 3 |
| Diabetic nephropathy | 1 |
| Membranous GN | 2 |
| SLE | 2 |
| TMA | 3 |
| Crescentic GN | 1 |
| (a) | ||||
| NEP/CR | Beta | t-Value | p-Value | [95% Conf. Interval] |
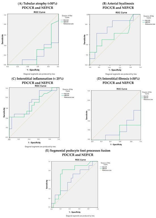
| Tubular atrophy > 50% | 1.27 | 3.53 | 0.001 | 0.54 to 2.00 |
| Interstitial fibrosis > 50% | 1.42 | 4.15 | <0.001 | 0.72 to 2.12 |
| Interstitial inflammation > 25% | 0.67 | 2.31 | 0.028 | 0.07 to 1.27 |
| Segmental podocyte foot processes fusion | −0.70 | −2.56 | 0.016 | −1.26 to −141 |
| (b) | ||||
| PDC/CR | Beta | t-Value | p-Value | [95% Conf. Interval] |
| Tubular atrophy > 50% | 2.72 | 3.75 | 0.001 | 1.24 to 4.19 |
| Interstitial fibrosis > 50% | 2.60 | 3.53 | 0.001 | 1.10 to 4.1 |
| Arterial hyalinosis | 1.90 | 2.54 | 0.016 | 0.38 to 3.43 |
| Interstitial inflammation > 25% | 1.55 | 2.49 | 0.018 | 0.28 to 2.81 |
| Variable | Beta | t-Value | p-Value | [95% Conf. Interval] |
|---|---|---|---|---|
| Segmental glomerulosclerosis | 1.77 | 1.87 | 0.071 | −0.16 to 3.71 |
| Normotension | −0.14 | −0.48 | 0.636 | −0.73 to 0.45 |
| Interstitial inflammation > 25% | 0.79 | 3.06 | 0.005 | 0.26 to 1.32 |
| Segmental fusion | −0.71 | −2.54 | 0.016 | −1.29 to −0.14 |
| Immune-complex-mediated GN | −0.49 | −1.70 | 0.100 | −1.08 to 0.10 |
| Constant | 1.15 | 3.31 | 0.002 | 0.44 to 1.86 |
Disclaimer/Publisher’s Note: The statements, opinions and data contained in all publications are solely those of the individual author(s) and contributor(s) and not of MDPI and/or the editor(s). MDPI and/or the editor(s) disclaim responsibility for any injury to people or property resulting from any ideas, methods, instructions or products referred to in the content. |
© 2024 by the authors. Licensee MDPI, Basel, Switzerland. This article is an open access article distributed under the terms and conditions of the Creative Commons Attribution (CC BY) license (https://creativecommons.org/licenses/by/4.0/).
Share and Cite
Giannou, P.; Gakiopoulou, H.; Stambolliu, E.; Petras, D.; Chalkia, A.; Kapota, A.; Palamaris, K.; Hadziyannis, E.; Thomas, K.; Alexakou, Z.; et al. Urine Nephrin and Podocalyxin Reflecting Podocyte Damage and Severity of Kidney Disease in Various Glomerular Diseases—A Cross-Sectional Study. J. Clin. Med. 2024, 13, 3432. https://doi.org/10.3390/jcm13123432
Giannou P, Gakiopoulou H, Stambolliu E, Petras D, Chalkia A, Kapota A, Palamaris K, Hadziyannis E, Thomas K, Alexakou Z, et al. Urine Nephrin and Podocalyxin Reflecting Podocyte Damage and Severity of Kidney Disease in Various Glomerular Diseases—A Cross-Sectional Study. Journal of Clinical Medicine. 2024; 13(12):3432. https://doi.org/10.3390/jcm13123432
Chicago/Turabian StyleGiannou, Panagiota, Harikleia Gakiopoulou, Emelina Stambolliu, Dimitrios Petras, Aglaia Chalkia, Athanasia Kapota, Kostas Palamaris, Emilia Hadziyannis, Konstantinos Thomas, Zoe Alexakou, and et al. 2024. "Urine Nephrin and Podocalyxin Reflecting Podocyte Damage and Severity of Kidney Disease in Various Glomerular Diseases—A Cross-Sectional Study" Journal of Clinical Medicine 13, no. 12: 3432. https://doi.org/10.3390/jcm13123432
APA StyleGiannou, P., Gakiopoulou, H., Stambolliu, E., Petras, D., Chalkia, A., Kapota, A., Palamaris, K., Hadziyannis, E., Thomas, K., Alexakou, Z., Bora, M., Mintzias, T., Vassilopoulos, D., Patsouris, E., & Deutsch, M. (2024). Urine Nephrin and Podocalyxin Reflecting Podocyte Damage and Severity of Kidney Disease in Various Glomerular Diseases—A Cross-Sectional Study. Journal of Clinical Medicine, 13(12), 3432. https://doi.org/10.3390/jcm13123432

