Periodontal Health and Its Relationship with Psychological Stress: A Cross-Sectional Study
Abstract
1. Introduction
1.1. Psychological Aspects in Patients with Periodontitis
1.2. Mindfulness and Behavior Change
1.3. Psychology and Oral Health
2. Materials and Methods
2.1. Participants
- Pregnancy.
- Administration of antibiotics in the last 15 days before entry into the study or indications for antibiotic prophylaxis.
- Orthodontic appliances.
- Immunological diseases or use of drugs that can affect oral tissues (phenytoin, cyclosporine), nifedipine, chronic use of nonsteroidal anti-inflammatory drugs.
- Refusal to participate in the study.
- All patients with systemic conditions that could potentially impact periodontal health (individuals with conditions such as high blood pressure, diabetes, and chronic nephrosis).
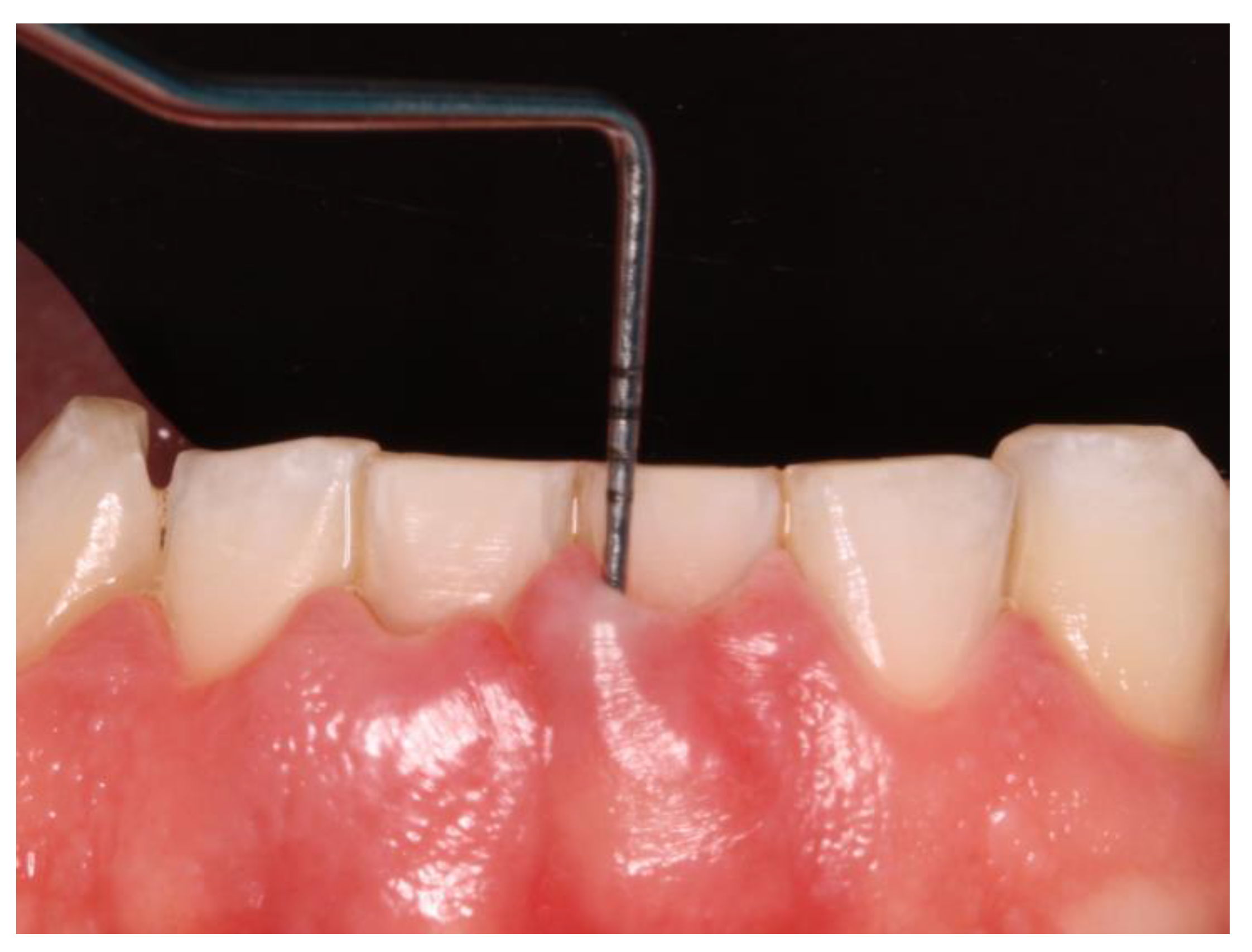
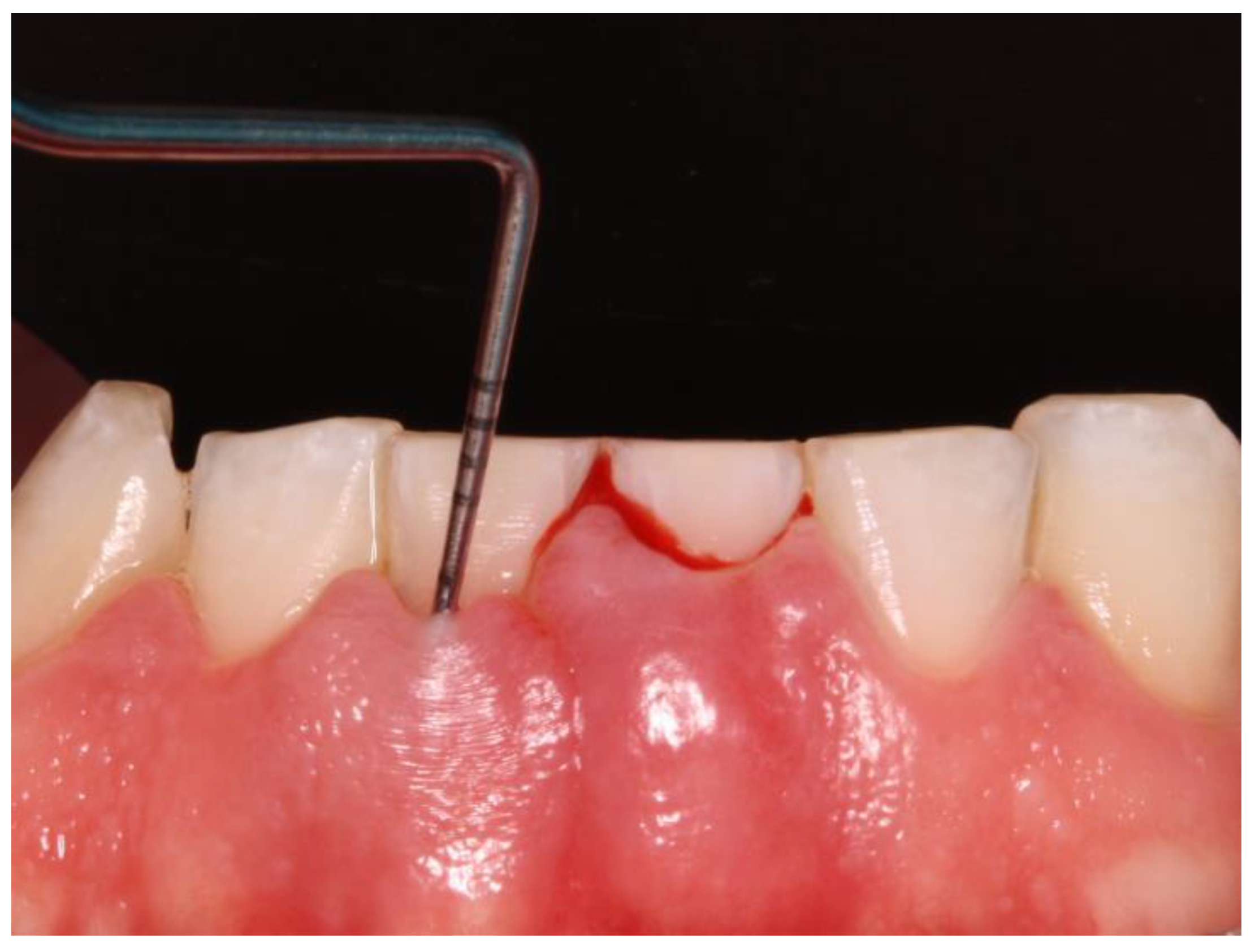
2.2. Periodontal Examination
- 0 for healthy periodontium;
- 1 for bleeding upon probing or dental calculus;
- 2 for pocket depth less than or equal to 3.5 mm;
- 3 for pocket depth greater than 3.5 mm and less than or equal to 5.5 mm;
- 4 for pocket depth greater than 5.5 mm;
- X for tooth/teeth missing or excluded from recording.
2.3. Perceived Stress Scale and Mindfulness Awareness Attention Scale (Self-Report)
2.4. Statistical Analysis
3. Results
4. Discussion
5. Conclusions
Author Contributions
Funding
Institutional Review Board Statement
Informed Consent Statement
Data Availability Statement
Conflicts of Interest
References
- Highfield, J. Diagnosis and classification of periodontal disease. Aust. Dent. J. 2009, 54 (Suppl. S1), S11–S26. [Google Scholar] [CrossRef] [PubMed]
- Di Stefano, M.; Polizzi, A.; Santonocito, S.; Romano, A.; Lombardi, T.; Isola, G. Impact of Oral Microbiome in Periodontal Health and Periodontitis: A Critical Review on Prevention and Treatment. Int. J. Mol. Sci. 2022, 23, 5142. [Google Scholar] [CrossRef] [PubMed] [PubMed Central]
- Donos, N. The periodontal pocket. Periodontol. 2000 2018, 76, 7–15. [Google Scholar] [CrossRef] [PubMed]
- Newbrun, E. Indices to measure gingival bleeding. J. Periodontol. 1996, 67, 555–561. [Google Scholar] [CrossRef] [PubMed]
- Caton, J.G.; Armitage, G.; Berglundh, T.; Chapple, I.L.; Jepsen, S.; Kornman, K.S.; Mealey, B.L.; Papapanou, P.N.; Sanz, M.; Tonetti, M.S. A new classification scheme for periodontal and peri-implant diseases and conditions—Introduction and key changes from the 1999 classification. J. Clin. Periodontol. 2018, 45 (Suppl. 20), S1–S8. [Google Scholar] [CrossRef] [PubMed]
- Tonetti, M.S.; Greenwell, H.; Kornman, K.S. Staging and grading of periodontitis: Framework and proposal of a new classification and case definition. J. Clin. Periodontol. 2018, 45 (Suppl. S20), S149–S161. [Google Scholar] [CrossRef]
- Tavelli, L.; Chen, C.J.; Barootchi, S.; Kim, D.M. Efficacy of biologics for the treatment of periodontal infrabony defects: An American Academy of Periodontology best evidence systematic review and network meta-analysis. J. Periodontol. 2022, 93, 1803–1826. [Google Scholar] [CrossRef] [PubMed]
- Tartar Korostoff, J.; Aratsu, A.; Kasten, B.; Mupparapu, M. Radiologic Assessment of the Periodontal Patient. Dent. Clin. N. Am. 2016, 60, 91–104. [Google Scholar] [CrossRef] [PubMed]
- Rasperini, G.; Tavelli, L.; Barootchi, S.; McGuire, M.K.; Zucchelli, G.; Pagni, G.; Stefanini, M.; Wang, H.L.; Giannobile, W.V. Interproximal attachment gain: The challenge of periodontal regeneration. J. Periodontol. 2021, 92, 931–946. [Google Scholar] [CrossRef]
- Redfern, J.; Tosheva, L.; Malic, S.; Butcher, M.; Ramage, G.; Verran, J. The denture microbiome in health and disease: An exploration of a unique community. Lett. Appl. Microbiol. 2022, 75, 195–209. [Google Scholar] [CrossRef]
- Divaris, K. The Era of the Genome and Dental Medicine. J. Dent. Res. 2019, 98, 949–955. [Google Scholar] [CrossRef]
- Richter, G.M.; Wagner, G.; Reichenmiller, K.; Staufenbiel, I.; Martins, O.; Löscher, B.S.; Holtgrewe, M.; Jepsen, S.; Dommisch, H.; Schaefer, A.S. Exome Sequencing of 5 Families with Severe Early-Onset Periodontitis. J. Dent. Res. 2022, 101, 151–157. [Google Scholar] [CrossRef]
- Freitag-Wolf, S.; Munz, M.; Wiehe, R.; Junge, O.; Graetz, C.; Jockel-Schneider, Y.; Staufenbiel, I.; Bruckmann, C.; Lieb, W.; Franke, A.; et al. Smoking Modifies the Genetic Risk for Early-Onset Periodontitis. J. Dent. Res. 2019, 98, 1332–1339. [Google Scholar] [CrossRef]
- Rezk-Hanna, M.; Nelson, M.D.; Rader, F.; Benowitz, N.L.; Rosenberry, R.; Chang, L.C.; Li, N.; Tashkin, D.P.; Elashoff, R.M.; Victor, R.G. Peripheral Blood Flow Changes to Cutaneous and Muscular Beds in Response to Acute Hookah Smoking. Am. J. Cardiol. 2020, 125, 1725–1731. [Google Scholar] [CrossRef]
- Darby, M. Comprehensive Review of Dental Hygiene, 6th ed.; Mosby’s Elsevier: St. Louis, MI, USA, 2006. [Google Scholar]
- Selye, H. The Stress of Life; McGraw-Hill (Paperback): New York, NY, USA, 1956. [Google Scholar]
- Macrì, M.; Flores, N.V.G.; Stefanelli, R.; Pegreffi, F.; Festa, F. Interpreting the prevalence of musculoskeletal pain impacting Italian and Peruvian dentists likewise: A cross-sectional study. Front. Public Health 2023, 11, 1090683. [Google Scholar] [CrossRef]
- Selye, H. Hormones and Resistance; Springer: Berlin, Germany, 1971. [Google Scholar]
- Ungar, M.; Theron, L. Resilience and mental health: How multisystemic processes contribute to positive outcomes. Lancet Psychiatry 2020, 7, 441–448. [Google Scholar] [CrossRef]
- Wu, L.J.; Xu, H.; Ko, S.W.; Yoshimura, M.; Zhuo, M. Feed-forward inhibition: A novel cellular mechanism for the analgesic effect of substance P. Mol. Pain 2005, 1, 34. [Google Scholar] [CrossRef]
- Sies, H. Oxidative eustress: On constant alert for redox homeostasis. Redox Biol. 2021, 41, 101867. [Google Scholar] [CrossRef]
- Castro, M.M.L.; Ferreira, R.O.; Fagundes, N.C.F.; Almeida, A.P.C.P.S.C.; Maia, L.C.; Lima, R.R. Association between Psychological Stress and Periodontitis: A Systematic Review. Eur. J. Dent. 2020, 14, 171–179. [Google Scholar] [CrossRef]
- Ballieux, R.E. Impact of mental stress on the immune response. J. Clin. Periodontol. 1991, 18, 427–430. [Google Scholar] [CrossRef]
- Ayub, L.G.; Júnior, A.B.; Grisi, M.F. Stress as possible risk factor for periodontal disease—Literature review. R. Periodontia 2010, 20, 28–36. [Google Scholar]
- Gu, J.; Strauss, C.; Bond, R.; Cavanagh, K. How do mindfulness-based cognitive therapy and stress reduction improve mental health and wellbeing? A systematic review and meta-analysis of mediation studies. Clin. Psychol. Rev. 2015, 37, 1–12. [Google Scholar] [CrossRef]
- Wells, A. Detached Mindfulness in Cognitive Therapy: A Metacognitive Analysis and Ten Techniques. J. Ration.-Emotive Cogn.-Behav. Ther. 2005, 3, 337–355. [Google Scholar] [CrossRef]
- Davidson, R. Meditation and Neuroplasticity: Training your brain. Explore 2005, 1, 380–388. [Google Scholar] [CrossRef]
- Shimomura, T.; Fujiki, M.; Akiyoshi, J.; Yoshida, T.; Tabata, M.; Kabasawa, H.; Kobayashi, H. Functional brain mapping during recitation of Buddhist scriptures and repetition of the Namu Amida Butsu: A study in experienced Japanese monks. Turk. Neurosurg. 2008, 18, 134–141. [Google Scholar]
- Desbordes, G.; Negi, L.T.; Pace, T.W.; Wallace, B.A.; Raison, C.L.; Schwartz, E.L. Effects of mindful-attention and compassion meditation training on amygdala response to emotional stimuli in an ordinary, non-meditative state. Front. Hum. Neurosc. 2012, 6, 292. [Google Scholar] [CrossRef]
- Brand, S.; Holsboer-Trachsler, E.; Naranjo, J.R.; Schmidt, S. Influence of mindfulness practice on cortisol and sleep in long-term and short-term meditators. Neuropsychobiology 2012, 65, 109–118. [Google Scholar] [CrossRef]
- Davidson, R.J.; Kabat-Zinn, J.; Schumacher, J.; Rosenkranz, M.; Muller, D.; Santorelli, S.F.; Urbanowski, F.; Harrington, A.; Bonus, K.; Sheridan, J.F. Alterations in brain and immune function produced by mindfulness meditation. Psychosom. Med. 2003, 65, 564–570. [Google Scholar] [CrossRef]
- Jacobs, T.L.; Epel, E.S.; Lin, J.; Blackburn, E.H.; Wolkowitz, O.M.; Bridwell, D.A.; Saron, C.D. Intensive Meditation Training, Immune Cell Telomerase and Psychological Mediator. Psychoneuroendocrinology 2011, 36, 664–681. [Google Scholar] [CrossRef]
- Epel, E.; Daubenmier, J.; Moskowitz, J.T.; Folkman, S.; Blackburn, E. Can meditation slow rate of cellular aging? Cognitive stress, mindfulness, and telomeres. Ann. N. Y. Acad. Sci. 2009, 1172, 34–53. [Google Scholar] [CrossRef]
- Sato, W.; Kochiyama, T.; Uono, S.; Kubota, Y.; Sawada, R.; Yoshimura, S.; Toichi, M. The structural neural substrate of subjective happiness. Sci. Rep. 2015, 5, 16891. [Google Scholar] [CrossRef]
- Coelho, J.M.F.; Miranda, S.S.; da Cruz, S.S.; Trindade, S.C.; Passos-Soares, J.S.; Cerqueira, E.M.M.; Costa, M.D.C.N.; Figueiredo, A.C.M.G.; Hintz, A.M.; Barreto, M.L.; et al. Is there association between stress and periodontitis? Clin. Oral Investig. 2020, 24, 2285–2294. [Google Scholar] [CrossRef]
- Wimmer, G.; Janda, M.; Wieselmann-Penkner, K.; Jakse, N.; Polansky, R.; Pertl, C. Coping with stress: Its influence on periodontal disease. J. Periodontol. 2002, 73, 1343–1351. [Google Scholar] [CrossRef]
- Vettore, M.; Quintanilha, R.S.; Monteiro da Silva, A.M.; Lamarca, G.A.; Leão, A.T. The influence of stress and anxiety on the response of non-surgical periodontal treatment. J. Clin. Periodontol. 2005, 32, 1226–1235. [Google Scholar] [CrossRef]
- O’Leary, T.J.; Drake, R.B.; Naylor, J.E. The plaque control record. J. Periodontol. 1972, 43, 38. [Google Scholar] [CrossRef]
- Landry, R.G.; Jean, M. Periodontal Screening and Recording (PSR) Index: Precursors, utility and limitations in a clinical setting. Int. Dent. J. 2002, 52, 35–40. [Google Scholar] [CrossRef]
- Zhang, J.Y.; Li, S.S.; Meng, L.N.; Zhou, Y.Q. Effectiveness of a nurse-led Mindfulness-based Tai Chi Chuan (MTCC) program on Posttraumatic Growth and perceived stress and anxiety of breast cancer survivors. Eur. J. Psychotraumatol. 2022, 13, 2023314. [Google Scholar] [CrossRef]
- Esfandbod, M.; Abazaria Tehrani, M.; Haghshomar, M.; Arya, P.; Shateri Amiri, B.; Toogeh, G.; Keyhani, M. Association between Perceived Stress and Neutropenia in Patients with Leukemia under Chemotherapy. Int. J. Hematol. Oncol. Stem Cell Res. 2022, 16, 103–109. [Google Scholar] [CrossRef]
- Gao, Y.; Hu, R.; Zhang, Y.; Yuan, M.; Xu, Y.; Ma, J. Perceived stress in Chinese patients with coronary heart disease: A cross-sectional study. BMJ Open 2022, 12, e051419. [Google Scholar] [CrossRef]
- Khedr, M.A.; El Sayed, H.G.; El Wakil, A. Perceived stress in multiple sclerosis patients: Relationship with mood states and pain experience. Mult. Scler. Relat. Disord. 2022, 59, 103650. [Google Scholar] [CrossRef]
- Simon, P.D. The 10-item Perceived Stress Scale as a valid measure of stress perception. Asia Pac. Psychiatry 2021, 13, e12420. [Google Scholar] [CrossRef]
- Osman, A.; Lamis, D.A.; Bagge, C.L.; Freedenthal, S.; Barnes, S.M. The Mindful Attention Awareness Scale: Further Examination of Dimensionality, Reliability, and Concurrent Validity Estimates. J. Pers. Assess. 2016, 98, 189–199. [Google Scholar] [CrossRef]
- Jermann, F.; Billieux, J.; Larøi, F.; d’Argembeau, A.; Bondolfi, G.; Zermatten, A.; Van der Linden, M. Mindful Attention Awareness Scale (MAAS): Psychometric properties of the French translation and exploration of its relations with emotion regulation strategies. Psychol. Assess. 2009, 21, 506–514. [Google Scholar] [CrossRef]
- Rehman, M.; Ahmad, U.; Waseem, M.; Ali, B.; Tariq, M.I. Effects of Exercise Training in Patients with Lung Cancer during Chemotherapy Treatment. Malays. J. Med. Sci. 2023, 30, 141–152. [Google Scholar] [CrossRef]
- Nooripour, R.; Ghanbari, N.; Hassani-Abharian, P.; Radwin, L.E.; Hosseinian, S.; Hasanvandi, S. Validation of Persian Version of Mindful Attention Awareness Scale (MAAS) in Iranian Women with Breast Cancer. Arch. Iran. Med. 2022, 25, 300–307. [Google Scholar] [CrossRef]
- Brown, K.W.; Ryan, R.M. The benefits of being present: Mindfulness and its role in psychological well-being. J. Pers. Soc. Psychol. 2003, 84, 822–848. [Google Scholar] [CrossRef]
- Hayat, M.J.; Higgins, M. Understanding poisson regression. J. Nurs. Educ. 2014, 53, 207–215. [Google Scholar] [CrossRef]
- Liu, X.; Wang, L. The impact of measurement error and omitting confounders on statistical inference of mediation effects and tools for sensitivity analysis. Psychol. Methods 2021, 26, 327–342. [Google Scholar] [CrossRef]
- Yao, X.; Vella, E.; Brouwers, M. How to conduct a high-quality original study on a prognostic research topic. Surg. Oncol. 2018, 27, A9–A13. [Google Scholar] [CrossRef]
- Martinez-Herrera, M.; Silvestre-Rangil, J.; Silvestre, F.J. Association between obesity and periodontal disease. A systematic review of epidemiological studies and controlled clinical trials. Med. Oral Patol. Oral Cir. Bucal 2017, 22, e708–e715. [Google Scholar] [CrossRef]
- Polak, D.; Shapira, L. An update on the evidence for pathogenic mechanisms that may link periodontitis and diabetes. J. Clin. Periodontol. 2018, 45, 150–166. [Google Scholar] [CrossRef]
- Raindi, D. Nutrition and Periodontal Disease. Dent. Update 2016, 43, 66–72. [Google Scholar] [CrossRef]
- Badiger, A.B.; Gowda, T.M.; Chandra, K.; Mehta, D.S. Bilateral Interrelationship of Diabetes and Periodontium. Curr. Diabetes Rev. 2019, 15, 357–362. [Google Scholar] [CrossRef]
- Doyle, C.J.; Bartold, P.M. How does stress influence periodontitis? J. Int. Acad. Periodontol. 2012, 14, 42–49. [Google Scholar]
- Festa, F.; Medori, S.; Macrì, M. Move Your Body, Boost Your Brain: The Positive Impact of Physical Activity on Cognition across All Age Groups. Biomedicines 2023, 11, 1765. [Google Scholar] [CrossRef]
- Papathanasiou, E.; Palaska, I.; Theoharides, T.C. Stress hormones regulate periodontal inflammation. J. Biol. Regul. Homeost. Agents 2013, 27, 621–626. [Google Scholar]
- Lee, Y.H.; Suk, C.; Shin, S.I.; Hong, J.Y. Salivary cortisol, dehydroepiandrosterone, and chromogranin A levels in patients with gingivitis and periodontitis and a novel biomarker for psychological stress. Front. Endocrinol. 2023, 14, 1147739. [Google Scholar] [CrossRef]
- Strooker, H.; de Geus, E.; van der Reijden, W.A.; Laine, M.L.; van Winkelhoff, A.J. Stress en parodontale gezondheid [Stress and periodontal health]. Ned. Tijdschr. Tandheelkd. 2010, 117, 23–27. [Google Scholar] [CrossRef]
- Vág, J.; Nagy, T.L.; Mikecs, B. Sex-related differences in endothelium-dependent vasodilation of human gingiva. BMC Oral Health 2022, 22, 177. [Google Scholar] [CrossRef]
- Ball, J.; Darby, I. Mental health and periodontal and peri-implant diseases. Periodontol. 2000 2022, 90, 106–124. [Google Scholar] [CrossRef]
- Macrì, M.; Rendina, F.; Feragalli, B.; Pegreffi, F.; Festa, F. Prevalence of Ponticulus Posticus and Migraine in 220 Orthodontic Patients: A Cross-Sectional Study. Biology 2023, 12, 471. [Google Scholar] [CrossRef]
- Pitzurra, L.; Loos, B.G. Stress en parodontitis [Stress and periodontitis]. Ned. Tijdschr. Tandheelkd. 2020, 127, 358–364. [Google Scholar] [CrossRef]
- Papapanou, P.N.; Sanz, M.; Buduneli, N.; Dietrich, T.; Feres, M.; Fine, D.H.; Flemmig, T.F.; Garcia, R.; Giannobile, W.V.; Graziani, F.; et al. Periodontitis: Consensus report of workgroup 2 of the 2017 World Workshop on the Classification of Periodontal and Peri-Implant Diseases and Conditions. J. Periodontol. 2018, 89 (Suppl. S1), S173–S182. [Google Scholar] [CrossRef]
- West, R.M. Best practice in statistics: Use the Welch t-test when testing the difference between two groups. Ann. Clin. Biochem. 2021, 58, 267–269. [Google Scholar] [CrossRef]
- Martu, M.-A.; Maftei, G.-A.; Luchian, I.; Stefanescu, O.M.; Scutariu, M.M.; Solomon, S.M. The Effect of Acknowledged and Novel Anti-Rheumatic Therapies on Periodontal Tissues—A Narrative Review. Pharmaceuticals 2021, 14, 1209. [Google Scholar] [CrossRef] [PubMed]
- Budala, D.G.; Martu, M.-A.; Maftei, G.-A.; Diaconu-Popa, D.A.; Danila, V.; Luchian, I. The Role of Natural Compounds in Optimizing Contemporary Dental Treatment—Current Status and Future Trends. J. Funct. Biomater. 2023, 14, 273. [Google Scholar] [CrossRef]
- Cherkin, D.C.; Sherman, K.J.; Balderson, B.H.; Cook, A.J.; Anderson, M.L.; Hawkes, R.J.; Hansen, K.E.; Turner, J.A. Effect of Mindfulness-Based Stress Reduction vs Cognitive Behavioral Therapy or Usual Care on Back Pain and Functional Limitations in Adults with Chronic Low Back Pain: A Randomized Clinical Trial. JAMA 2016, 315, 1240–1249. [Google Scholar] [CrossRef]
- Wielgosz, J.; Goldberg, S.B.; Kral, T.R.A.; Dunne, J.D.; Davidson, R.J. Mindfulness Meditation and Psychopathology. Annu. Rev. Clin. Psychol. 2019, 15, 285–316. [Google Scholar] [CrossRef]








| Age | ||||||
|---|---|---|---|---|---|---|
| Min | 1st Qu. | Median | Mean | 3rd Qu. | Max | |
| 27 | 44 | 54 | 53.72 | 65 | 86 | |
| ||||||
| Min | 1st Qu. | Median | Mean | 3rd Qu. | Max | |
| 12 | 25 | 30 | 33.73 | 36.50 | 89 | |
| ||||||
| Min | 1st Qu. | Median | Mean | 3rd Qu. | Max | |
| 6 | 34 | 58 | 56.43 | 74.50 | 95 | |
| ||||||
| Min | 1st Qu. | Median | Mean | 3rd Qu. | Max | |
| 1 | 2 | 3 | 3.079 | 4 | 4 | |
| ||||||
| Min | 1st Qu. | Median | Mean | 3rd Qu. | Max | |
| 3 | 18.50 | 28 | 25.35 | 33 | 45 | |
| ||||||
| Min | 1st Qu. | Median | Mean | 3rd Qu. | Max | |
| 2 | 2.9 | 3 | 3.564 | 4.5 | 6 | |
| Variables | Age | PCR (%) | GBI (%) | PSR | PSS | MAAS |
|---|---|---|---|---|---|---|
| Age | 1 | 0.3982293 | −0.2019248 | 0.4480947 | −0.3327279 | 0.2956923 |
| PCR (%) | 0.3982293 | 1 | −0.1309450 | 0.2511429 | −0.3738504 | 0.3526427 |
| GBI (%) | −0.2019248 | −0.1309450 | 1 | 0.1642705 | 0.6754551 | −0.7487295 |
| PSR | 0.4480947 | 0.2511429 | 0.1642705 | 1 | 0.1434456 | −0.1646394 |
| PSS | −0.3327279 | −0.3738504 | 0.6754551 | 0.1434456 | 1 | −0.8450251 |
| MAAS | 0.2956923 | 0.3526427 | −0.7487295 | −0.1646394 | −0.8450251 | 1 |
| Gender | Age | PCR (%) | GBI (%) | PSR | PSS | MAAS |
|---|---|---|---|---|---|---|
| F | 51.58333 | 32.09375 | 56.90625 | 3.010417 | 26.27083 | 3.496875 |
| M | 55.63551 | 35.19626 | 56.00935 | 3.140187 | 24.53271 | 3.623364 |
Disclaimer/Publisher’s Note: The statements, opinions and data contained in all publications are solely those of the individual author(s) and contributor(s) and not of MDPI and/or the editor(s). MDPI and/or the editor(s) disclaim responsibility for any injury to people or property resulting from any ideas, methods, instructions or products referred to in the content. |
© 2024 by the authors. Licensee MDPI, Basel, Switzerland. This article is an open access article distributed under the terms and conditions of the Creative Commons Attribution (CC BY) license (https://creativecommons.org/licenses/by/4.0/).
Share and Cite
Macrì, M.; D’Albis, G.; D’Albis, V.; Antonacci, A.; Abbinante, A.; Stefanelli, R.; Pegreffi, F.; Festa, F. Periodontal Health and Its Relationship with Psychological Stress: A Cross-Sectional Study. J. Clin. Med. 2024, 13, 2942. https://doi.org/10.3390/jcm13102942
Macrì M, D’Albis G, D’Albis V, Antonacci A, Abbinante A, Stefanelli R, Pegreffi F, Festa F. Periodontal Health and Its Relationship with Psychological Stress: A Cross-Sectional Study. Journal of Clinical Medicine. 2024; 13(10):2942. https://doi.org/10.3390/jcm13102942
Chicago/Turabian StyleMacrì, Monica, Giuseppe D’Albis, Vincenzo D’Albis, Anna Antonacci, Antonia Abbinante, Riccardo Stefanelli, Francesco Pegreffi, and Felice Festa. 2024. "Periodontal Health and Its Relationship with Psychological Stress: A Cross-Sectional Study" Journal of Clinical Medicine 13, no. 10: 2942. https://doi.org/10.3390/jcm13102942
APA StyleMacrì, M., D’Albis, G., D’Albis, V., Antonacci, A., Abbinante, A., Stefanelli, R., Pegreffi, F., & Festa, F. (2024). Periodontal Health and Its Relationship with Psychological Stress: A Cross-Sectional Study. Journal of Clinical Medicine, 13(10), 2942. https://doi.org/10.3390/jcm13102942

