Aortic Regurgitation: From Valvular to Myocardial Dysfunction
Abstract
1. Introduction
2. Quantifying Aortic Regurgitation: Lights and Shadows
2.1. Echocardiography
2.2. Semiquantitative and Qualitative Criteria
- -
- Vena contracta (VC): it is the narrowest jet width measured at the level of the aortic valve just below the flow convergence region. It provides an estimation of the size of the effective regurgitant orifice area (EROA) [12,20]. However, it can be affected by factors such as the presence of multiple jets, a variety of regurgitant orifice shapes (often elliptic or irregular) and leaflet calcification. When reliable, this parameter is very useful, and a value > 6 mm is associated with severe AR.
- -
- Proximal regurgitant jet width and proximal regurgitant jet width to the left ventricular outflow tract (LVOT) diameter ratio: these are two of the first semiquantitative parameters reported. They are both measured immediately below the aortic valve. A ratio greater than 65% [21] or a jet width > 10 mm [22] is indicative of severe AR. However, limitations in the eccentric jet and the distal expansion of the regurgitant jet question the general use of this parameter.
- -
- Continuous wave Doppler: it is an indirect assessment of AR severity, which is significantly influenced by LV compliance as well as LV and aorta pressures. The deceleration rate and pressure half-time reflect both the degree of regurgitation and ventricular end-diastolic pressure. As AR progresses, the late diastolic jet velocity decreases, and the pressure half-time shortens. A pressure half-time < 200 ms is consistent with severe AR; however, this method is more useful in acute rather than chronic AR [18,20].
- -
- Diastolic flow reversal in the descending aorta: this is a qualitative parameter described for diagnosing severe AR using pulsed wave Doppler placed just distal to the origin of the subclavian artery. An end-diastolic velocity measured at peak R wave > 20 cm/s or a diastolic velocity–time integral ≥ 15 cm are signs of severe AR [23,24]. In young patients, this cut-off value should be increased to 17–18 cm given the elastic recoil of the normal aortic wall. In addition, holodiastolic flow reversal in the abdominal aorta is also a specific sign of severe AR. However, these methods can be influenced by the diastolic period, aortic distensibility, and dilatation [25].
2.3. Quantitative Criteria
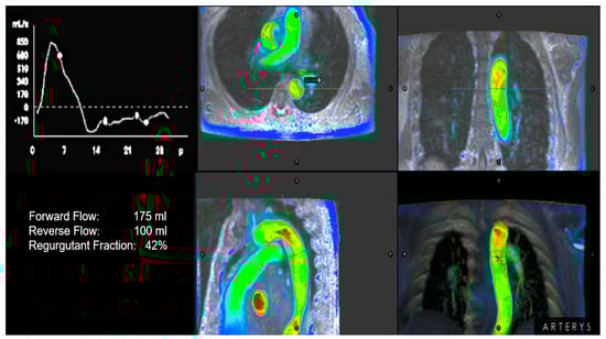
2.4. Cardiac Magnetic Resonance
3. Left Ventricle Size in Aortic Regurgitation Evolution: Victim of Parsimony?
4. Is Ejection Fraction the Only Prosecution Witness?
4.1. Left Ventricular Ejection Fraction (LVEF) 2D vs. 3D
4.2. Left Ventricular End-Systolic Dimension
4.3. Myocardial Contractile Reserve
4.4. Global Longitudinal Strain
4.5. Myocardial Work
4.6. Myocardial Fibrosis
4.7. Biomarkers
5. Too Green or Too Ripe? Timing of Surgery
6. The Patient, the Valve, the Left Ventricle, and the Aorta
7. Conclusions
Author Contributions
Funding
Conflicts of Interest
References
- Bekeredjian, R.; Grayburn, P.A. Valvular heart disease: Aortic regurgitation. Circulation 2005, 112, 125–134. [Google Scholar] [CrossRef]
- d’Arcy, J.L.; Coffey, S.; Loudon, M.A.; Kennedy, A.; Pearson-Stuttard, J.; Birks, J.; Frangou, E.; Farmer, A.; Mant, M.; Wilson, J.; et al. Largescale community echocardiographic screening reveals a major burden of undiagnosed valvular heart disease in older people: The OxVALVE Population Cohort Study. Eur. Heart J. 2016, 37, 3515–3522. [Google Scholar] [CrossRef] [PubMed]
- Gössl, M.; Stanberry, L.; Benson, G.; Steele, E.; Garberich, R.; Witt, D.; Cavalcante, J.; Sharkey, S.; Enriquez-Sarano, M. Burden of Undiagnosed Valvular Heart Disease in the Elderly in the Community: Heart of New Ulm Valve Study. JACC Cardiovasc. Imaging 2023, 16, 1118–1120. [Google Scholar] [CrossRef] [PubMed]
- Iung, B.; Delgado, V.; Rosenhek, R.; Price, S.; Prendergast, B.; Wendler, O.; De Bonis, M.; Tribouilloy, C.; Evangelista, A.; Bogachev-Prokophiev, A.; et al. EORP VHD II Investigators. Contemporary presentation and management of valvular heart disease: The EURObservational Research Programme Valvular Heart Disease II Survey. Circulation 2019, 140, 11561169. [Google Scholar] [CrossRef] [PubMed]
- Roberts, W.C.; KO, J.M.; Moore, T.R.; Jones, W.H. Causes of pure aortic regurgitation in patients having isolated aortic valve replacement in a single US tertiary hospital (1993–2005). Circulation 2006, 114, 422–429. [Google Scholar] [CrossRef] [PubMed]
- Yang, L.T.; Michelena, H.I.; Maleszewski, J.J.; Schaff, H.V.; Pellikka, P.A. Contemporary Etiologies, Mechanisms, and Surgical Approaches in Pure Native Aortic Regurgitation. Mayo Clin. Proc. 2019, 94, 1158–1170. [Google Scholar] [CrossRef] [PubMed]
- Dudkiewicz, D.; Zhingre Sanchez, J.D.; Hołda, J.; Bolechała, F.; Strona, M.; Kopacz, P.; Iaizzo, P.A.; Koziej, M.; Hołda, M.K.; Konieczyńska, M. Aortic valve fenestrations: Macroscopic assessment and functional anatomy study. Clin. Anat. 2023, 36, 612–617. [Google Scholar] [CrossRef] [PubMed]
- Sharma, S.; Maligireddy, A.R.; Katayama, M.; Kendall, C.B.; Chaliki, H.P. Aortic Valve Fenestrations: An Unsuspected Cause of Severe Regurgitation. CASE 2023, 7, 125–128. [Google Scholar] [CrossRef] [PubMed] [PubMed Central]
- Khoury, G.E.; Glineur, D.; Rubay, J.; Verhelst, R.; d’Acoz, Y.d.; Poncelet, A.; Astarci, P.; Noirhomme, P.; van Dyck, M. Functional classification of aortic root/valve abnormalities and their correlation with etiologies and surgical procedures. Curr. Opin. Cardiol. 2005, 20, 115. [Google Scholar] [CrossRef]
- le Polain de Waroux, J.B.; Pouleur, A.C.; Goffinet, C.; Vancraeynest, D.; Van Dyck, M.; Robert, A.; Gerber, B.L.; Pasquet, A.; El Khouty, G.; Vanoverschelde, J.-L.J. Functional Anatomy of Aortic Regurgitation. Accuracy, Prediction of Surgical Repairability, and Outcome Implications of Transesophageal Echocardiography. Circulation 2007, 116, I-264–I-269. [Google Scholar] [CrossRef]
- Boodhwani, M.; de Kerchove, L.; Glineur, D.; Poncelet, A.; Rubay, J.; Astarci, P.; Verhelst, R.; Noirhomme, P.; El Khoury, G. Repair-oriented classification of aortic insufficiency: Impact on surgical techniques and clinical outcomes. J. Thorac. Cardiovasc. Surg. 2009, 137, 286–294. [Google Scholar] [CrossRef] [PubMed]
- Otto, C.M.; Nishimura, R.A.; Bonow, R.O.; Carabello, B.A.; Erwin, J.P., III; Gentile, F.; Jneid, H.; Krieger, E.V.; Mack, M.; McLeod, C.; et al. 2020 ACC/AHA Guideline for the management of patients with valvular heart disease: Executive Summary: A report of the American College of Cardiology/American Heart Association Joint Committee on Clinical Practice Guidelines. Circulation 2021, 143, e72–e227. [Google Scholar] [CrossRef] [PubMed]
- Vahanian, A.; Beyersdorf, F.; Praz, F.; Milojevic, M.; Baldus, S.; Bauersachs, J.; Capodanno, D.; Conradi, L.; De Bonis, M.; De Paulis, R.; et al. 2021 ESC/EACTS Guidelines for the management of valvular heart disease. Eur. Heart J. 2022, 43, 561–632. [Google Scholar] [CrossRef] [PubMed]
- Izumi, C.; Eishi, K.; Ashihara, K.; Arita, T.; Otsuji, Y.; Kunihara, T.; Komiya, T.; Shibata, T.; Seo, Y.; Daimon, M.; et al. JCS/JSCS/JATS/JSVS 2020 Guidelines on the Management of Valvular Heart Disease. Circulation 2020, 84, 2037–2119. [Google Scholar] [CrossRef] [PubMed]
- Tornos, M.; Olona, M.; Permanyer-Miralda, G.; Herrejon, M.; Camprecios, M.; Evangelista, A.; del Castillo, H.G.; Candell, J.; Soler-Soler, J. Clinical outcome of severe asymptomatic chronic aortic regurgitation: A long-term prospective follow-up study. Am. Heart J. 1995, 130, 333–339. [Google Scholar] [CrossRef] [PubMed]
- Mentias, A.; Feng, K.; Alashi, A.; Rodriguez, L.L.; Gillinov, A.M.; Johnston, D.R.; Sabik, J.F.; Svensson, L.G.; Grimm, R.A.; Griffin, B.P.; et al. Long-Term Outcomes in Patients with Aortic Regurgitation and Preserved Left Ventricular Ejection Fraction. J. Am. Coll. Cardiol. 2016, 68, 2144–2153. [Google Scholar] [CrossRef] [PubMed]
- Detaint, D.; Messika-Zeitoun, D.; Maalouf, J.; Tribouilloy, C.; Mahoney, D.W.; Takij, A.J.; Enriquez-Sarano, M. Quantitative echocardiographic determinants of clinical outcome in asymptomatic patients with aortic regurgitation: A prospective study. JACC Cardiovasc. Imaging 2008, 1, 1–11. [Google Scholar] [CrossRef] [PubMed]
- Zoghbi, W.A.; Adams, D.; Bonow, R.O.; Enriquez-Sarano, M.; Foster, E.; Grayburn, P.A.; Hahn, R.T.; Han, Y.; Hung, J.; Lang, R.M.; et al. Recommendations for noninvasive evaluation of native valvular regurgitation: A report from the American Society of Echocardiography developed in collaboration with the Society for Cardiovascular Magnetic Resonance. J. Am. Soc. Echocardiogr. 2017, 30, 303–371. [Google Scholar] [CrossRef]
- Lancellotti, P.; Tribouilloy, C.; Hagendorff, A.; Popescu, B.A.; Edvardsen, T.; Pierard, L.A.; Badano, L.; Zamorano, J.L. Scientific Document Committee of the European Association of Cardiovascular Imaging. Recommendations for the echocardiographic assessment of native valvular regurgitation: An executive summary from the European Association of Cardiovascular Imaging. Eur. Heart J. Cardiovasc. Imaging 2013, 14, 611–644. [Google Scholar] [CrossRef] [PubMed]
- Lancellotti, P.; Pibarot, P.; Chambers, J.; La Canna, G.; Mauro Pepi, P.; Raluca Dulgheru, R.; Dweck, M.; Delgado, V.; Garbi, M.; Vannan, M.A.; et al. Multi-modality imaging assessment of native valvular regurgitation: An EACVI and ESC council of valvular heart disease position paper. Eur. Heart J. Cardiovasc. Imaging 2022, 23, e171–e232. [Google Scholar] [CrossRef]
- Perry, G.J.; Helmcke, F.; Nanda, N.C.; Byard, C.; Soto, B. Evaluation of aortic insufficiency by Doppler colour flow mapping. J. Am. Coll. Cardiol. 1987, 984, 952–959. [Google Scholar] [CrossRef] [PubMed]
- Evangelista, A.; del Castillo, H.G.; Calvo, F.; Permanyer-Miralda, G.; Brotons, C.; Angel, J.; González-Alujas, T.; Tornos, P.; Soler-Soler, J. Strategy for optimal aortic regurgitation quantification by Doppler echocardiography: Agreement among different methods. Am. Heart J. 2000, 139, 773–781. [Google Scholar] [CrossRef] [PubMed]
- Bech-Hanssen, O.; Polte, C.L.; Svensson, F.; Johnsson, Å.A.; Lagerstrand, K.M.; Cederbom, U.; Gao, S.A. Pulsed-Wave Doppler Recordings in the Proximal Descending Aorta in Patients with Chronic Aortic Regurgitation: Insights from Cardiovascular Magnetic Resonance. J. Am. Soc. Echocardiogr. 2018, 31, 304–313.e3. [Google Scholar] [CrossRef] [PubMed]
- Panaro, A.; Moral, S.; Huguet, M.; Rodriguez Palomares, J.; Galian, L.; Gutierrez, L.; Carballo, J.; Evangelista, A. Descending aorta diastolic retrograde flow assessment for aortic regurgitation quantification. Rev. Argent. Cardiol. 2016, 84, 336–341. [Google Scholar] [CrossRef]
- Tsampasian, V.; Victor, K.; Bhattacharyya, S.; Oxborough, D.; Ring, L. Echocardiographic assessment of aortic regurgitation: A narrative review. Echo Res. Pract. 2024, 11, 1. [Google Scholar] [CrossRef] [PubMed] [PubMed Central]
- Cawley, P.J.; Hamilton-Craig, C.; Owens, D.S.; Krieger, E.V.; Strugnell, W.E.; Mitsumori, L.; D’Jang, C.L.; Schwaegler, R.G.; Nguyen, K.Q.; Nguyen, B.; et al. Prospective comparison of valve regurgitation quantitation by cardiac magnetic resonance imaging and transthoracic echocardiography. Circ. Cardiovasc. Imaging 2013, 6, 48–57. [Google Scholar] [CrossRef] [PubMed]
- Enriquez-Sarano, M.; Tajik, A.J. Clinical practice. Aortic regurgitation. N. Engl. J. Med. 2004, 351, 1539–1546. [Google Scholar] [CrossRef] [PubMed]
- Messika-Zeitoun, D.; Detaint, D.; Leye, M.; Tribouilloy, C.; Michelena, H.I.; Pislaru, S.; Brochet, E.; Iung, B.; Vahanian, A.; Enriquez-Sarano, M. Comparison of semiquantitative and quantitative assessment of severity of aortic regurgitation: Clinical implications. J. Am. Soc. Echocardiogr. 2011, 24, 1246–1252. [Google Scholar] [CrossRef] [PubMed]
- Yang, L.T.; Enriquez-Sarano, M.; Michelena, H.I.; Nkomo, V.T.; Scott, C.G.; Bailey, K.R.; Oguz, D.; Wajih Ullah, M.; Pellikka, P.A. Predictors of Progression in Patients With Stage B Aortic Regurgitation. J. Am. Coll. Cardiol. 2019, 74, 2480–2492. [Google Scholar] [CrossRef] [PubMed]
- Dahiya, A.; Bolen, M.; Grimm, R.A.; Rodriguez, L.L.; Thomas, J.D.; Marwick, T.H.; AR Concordance Investigators. Development of a consensus document to improve multireader concordance and accuracy of aortic regurgitation severity grading by echocardiography versus cardiac magnetic resonance imaging. Am. J. Cardiol. 2012, 110, 709–714. [Google Scholar] [CrossRef] [PubMed]
- Harris, A.W.; Krieger, E.V.; Kim, M.; Cawley, P.J.; Owens, D.S.; Hamilton-Craig, C.; Maki, J.; Otto, C.M. Cardiac Magnetic Resonance Imaging Versus Transthoracic Echocardiography for Prediction of Outcomes in Chronic Aortic or Mitral Regurgitation. Am. J. Cardiol. 2017, 119, 1074–1081. [Google Scholar] [CrossRef] [PubMed]
- Hlubocká, Z.; Kočková, R.; Línková, H.; Pravečková, A.; Hlubocký, J.; Dostálová, G.; Bláha, M.; Pěnička, M.; Linhart, A. Assessment of Asymptomatic Severe Aortic Regurgitation by Doppler-Derived Echo Indices: Comparison with Magnetic Resonance Quantification. J. Clin. Med. 2021, 11, 152. [Google Scholar] [CrossRef] [PubMed] [PubMed Central]
- Yanagi, Y.; Kanzaki, H.; Yonezawa, R.; Joh, Y.; Moriuchi, K.; Amano, M.; Okada, A.; Amaki, M.; Izumi, C. Diagnostic value of vena contracta area measurement using three-dimensional transesophageal echocardiography in assessing the severity of aortic regurgitation. Echocardiography 2021, 38, 1307–1313. [Google Scholar] [CrossRef] [PubMed]
- Ewe, S.H.; Delgado, V.; van der Geest, R.; Westenberg, J.J.; Haeck, M.L.; Witkowski, T.G.; Auger, D.; Marsan, N.A.; Holman, E.R.; de Roos, A.; et al. Accuracy of three-dimensional versus two-dimensional echocardiography for quantification of aortic regurgitation and validation by three-dimensional three-directional velocity-encoded magnetic resonance imaging. Am. J. Cardiol. 2013, 112, 560–566. [Google Scholar] [CrossRef] [PubMed]
- Fang, L.; Hsiung, M.C.; Miller, A.P.; Nanda, N.; Yin, W.H.; Young, M.S.; Velayudhan, D.E.; Rajdev, S.; Patel, V. Assessment of aortic regurgitation by live three-dimensional transthoracic echocardiographic measurements of vena contracta area: Usefulness and validation. Echocardiography 2005, 22, 775–781. [Google Scholar] [CrossRef] [PubMed]
- Sato, H.; Ohta, T.; Hiroe, K.; Okada, S.; Shimizu, K.; Murakami, R.; Tanabe, K. Severity of aortic regurgitation assessed by area of vena contracta: A clinical two-dimensional and three-dimensional color. Doppler imaging study. Cardiovasc. Ultrasound 2015, 59, 13–24. [Google Scholar] [CrossRef] [PubMed]
- Kammerlander, A.A.; Wiesinger, M.; Duca, F.; Aschauer, S.; Binder, C.; Tufaro, C.Z.; Nitsche, C.; Badre-Eslam, R.; Schönbauer, R.; Bartko, P.; et al. Diagnostic and Prognostic Utility of Cardiac Magnetic Resonance Imaging in Aortic Regurgitation. JACC Cardiovasc. Imaging 2019, 12, 1474–1483. [Google Scholar] [CrossRef] [PubMed]
- Myerson, S.G.; d’Arcy, J.; Mohiaddin, R.; Greenwood, J.P.; Karamitsos, T.D.; Francis, J.M.; Banning, A.P.; Christiansen, J.P.; Neubauer, S. Aortic regurgitation quantification using cardiovascular magnetic resonance: Association with clinical outcome. Circulation 2012, 126, 1452–1460. [Google Scholar] [CrossRef] [PubMed]
- N’Cho-Mottoh, M.B.; Huttin, O.; Selton-Suty, C.; Scadi, S.; Filippetti, L.; Marie, P.Y. Aortic regurgitation: Multimodal assessment of quantification and impact. Cardiovasc. J. Afr. 2023, 34, 9–15. [Google Scholar] [CrossRef] [PubMed] [PubMed Central]
- Polacin, M.; Geiger, J.; Burkhardt, B.; Burkhardt, B.; Callaghan, C.; Valsangiacomo, E.; Kellenberger, C. Quantitative evaluation of aortic valve regurgitation in 4D flow cardiac magnetic resonance: At which level should we measure? BMC Med. Imaging 2022, 22, 169. [Google Scholar] [CrossRef]
- Iliuta, L.; Andronesi, A.; Diaconu, C.; Moldovan, H.; Rac-Albu, M.; Rac-Albu, M.E. Diastolic versus Systolic Left Ventricular Dysfunction as Independent Predictors for Unfavorable Postoperative Evolution in patients with Aortic Regurgitation undergoing Aortic Valve Replacement. Medicine 2022, 58, 1676. [Google Scholar] [CrossRef] [PubMed]
- Ma, W.; Zhang, W.; Shi, W.; Kong, Y.; Xinyu, M. Left Ventricular Diastolic Function After Aortic valve replacement for Chronic Aortic Regurgitation. Ann. Thorac. Surg. 2018, 106, 24–29. [Google Scholar] [CrossRef] [PubMed]
- Bonow, R.O.; Lakatos, E.; Maron, B.J.; Epstein, S.E. Serial long-term assessment of the natural history of asymptomatic patients with chronic aortic regurgitation and normal left ventricular systolic function. Circulation 1991, 84, 1625–1635. [Google Scholar] [CrossRef] [PubMed]
- Chaliki, H.P.; Mohty, D.; Avierinos, J.F.; Scott, C.; Schaff, H.; Tajik, A.; Enriquez-Sarano, M. Outcomes after aortic valve replacement in patients with severe aortic regurgitation and markedly reduced left ventricular function. Circulation 2002, 106, 2687–2693. [Google Scholar] [CrossRef] [PubMed]
- de Meester, C.; Gerber, B.L.; Vancraeynest, D.; Pouleur, A.C.; Noirhomme, P.; Pasquet, A. Do Guideline-Based Indications Result in an Outcome Penalty for Patients with Severe Aortic Regurgitation? JACC Cardiovasc. Imaging 2019, 12 Pt 1, 2126–2138. [Google Scholar] [CrossRef] [PubMed]
- Wang, Y.; Shi, J.; Li, F.; Wang, Y.; Dong, N. Aortic valve replacement for severe aortic regurgitation in asymptomatic patients with normal ejection fraction and severe left ventricular dilatation. Interact. Cardiovasc. Thorac. Surg. 2016, 22, 425–430. [Google Scholar] [CrossRef] [PubMed]
- Cikes, M.; Solomon, S. Beyond ejection fraction: An integrative approach for assessment of cardiac structure and function in heart failure. Eur. Heart J. 2016, 37, 1642–1650. [Google Scholar] [CrossRef] [PubMed]
- Bellenger, N.G.; Burgess, M.I.; Ray, S.G.; Lahiri, A.; Coats, A.J.; Cleland, J.G.; Pennell, D.J. Comparison of left ventricular ejec-tion fraction and volumes in heart failure by echocardiography, radionuclide ventriculography and cardiovascular magnetic resonance; are they interchangeable? Eur. Heart J. 2000, 21, 1387–1396. [Google Scholar] [CrossRef] [PubMed]
- Malm, S.; Frigstad, S.; Sagberg, E.; Larsson, H.; Skjaerpe, T. Accurate and reproducible measurement of left ventricular volume and ejection fraction by contrast echocardiography: A comparison with magnetic resonance imaging. J. Am. Coll. Cardiol. 2004, 44, 1030–1035. [Google Scholar] [CrossRef]
- Vermes, E.; Iacuzio, L.; Levy, F.; Bohbot, Y.; Renard, C.; Gerber, B.; Maréchaux, S.; Tribouilloy, C. Role of Cardiovascular Magnetic Resonance in Native Valvular Regurgitation: A Comprehensive Review of Protocols, Grading of Severity, and Prediction of Valve Surgery. Front. Cardiovasc. Med. 2022, 9, 881141. [Google Scholar] [CrossRef] [PubMed] [PubMed Central]
- Yang, L.T.; Anand, V.; Zambito, E.I.; Pellikka, P.A.; Scott, C.G.; Thapa, P.; Padang, R.; Takeuchi, M.; Nishimura, R.A.; Enriquez-Sarano, M.; et al. Association of Echocardiographic Left Ventricular End-Systolic Volume and Volume-Derived Ejection Fraction with Outcome in Asymptomatic Chronic Aortic Regurgitation. JAMA Cardiol. 2021, 6, 189–198. [Google Scholar] [CrossRef]
- Anand, V.; Yang, L.; Luis, S.A.; Padang, R.; Michelena, H.I.; Tsay, J.L.; Mehta, R.A.; Scott, C.G.; Pislaru, S.V.; Nishimura, R.A.; et al. Association of Left Ventricular Volume in Predicting Clinical Outcomes in Patients with Aortic Regurgitation. J. Am. Soc. Echocardiogr. 2021, 34, 352–359. [Google Scholar] [CrossRef] [PubMed]
- Lee, S.Y.; Park, S.J.; Kim, E.K.; Chang, S.A.; Lee, S.C.; Ahn, J.H.; Carriere, K.; Park, S.W. Predictive value of exercise stress echocardiography in asymptomatic patients with severe aortic regurgitation and preserved left ventricular systolic function without LV dilatation. Int. J. Cardiovasc. Imaging 2019, 35, 1241–1247. [Google Scholar] [CrossRef]
- Park, S.J.; Enriquez-Sarano, M.; Song, J.E.; Lee, Y.J.; Ha, M.R.; Chang, S.A.; Choi, J.O.; Lee, S.C.; Park, S.W.; Oh, J.K. Contractile reserve determined on exercise echocardiography in Patients with severe aortic regurgitation. Circ. J. 2013, 77, 2390–2398. [Google Scholar] [CrossRef] [PubMed][Green Version]
- Kusunose, K.; Agarwal, S.; Marwick, T.H.; Griffin, B.P.; Popović, Z.B. Decision making in asymptomatic aortic regurgitation in the era of guidelines: Incremental values of resting and exercise cardiac dysfunction. Circ. Cardiovasc. Imaging 2014, 7, 352–362. [Google Scholar] [CrossRef]
- Ewe, S.H.; Haeck, M.L.; Ng, A.C.; Witkowski, T.G.; Auger, D.; Leong, D.P.; Abate, E.; Ajmone Marsan, N.; Holman, E.; Schalij, M.J.; et al. Detection of subtle left ventricular systolic dysfunction in patients with significant aortic regurgitation and preserved left ventricular ejection fraction: Speckle tracking echocardiographic analysis. Eur. Heart J. Cardiovasc. Imaging 2015, 16, 992–999. [Google Scholar] [CrossRef] [PubMed]
- Pizarro, R.; Bazzino, O.; Oberti, P.F.; Falconi, M.; Arias, A.; Krauss, J.; Cagide, A. Prospective validation of the prognostic usefulness of B-type natriuretic peptide in asymptomatic patients with chronic severe aortic regurgitation. J. Am. Coll. Cardiol. 2011, 58, 1705–1714. [Google Scholar] [CrossRef] [PubMed]
- Broch, K.; Urheim, S.; Massey, R.; Stueflotten, W.; Fosså, K.; Hopp, E.; Aakhus, S.; Gullestad, L. Exercise capacity and peak oxygen consumption in asymptomatic patients with chronic aortic regurgitation. Int. J. Cardiol. 2016, 223, 688–692. [Google Scholar] [CrossRef] [PubMed]
- Park, S.H.; Yang, Y.A.; Kim, K.Y.; Park, S.M.; Kim, H.N.; Kim, J.H.; Jang, S.Y.; Bae, M.H.; Lee, J.H.; Yang, D.H. Left ventricular strain as predictor of chronic aortic regurgitation. J. Cardiovasc. Ultrasound 2015, 23, 78–85. [Google Scholar] [CrossRef]
- Olsen, N.T.; Sogaard, P.; Larsson, H.B.W.; Goetze, J.P.; Jons, C.; Mogelvang, R.; Jons, C.; Mogelvang, R.; Nielsen, O.; Fritz-Hansen, T. Speckle-tracking echocardiography for predicting outcome in chronic aortic regurgitation during conservative management and after surgery. JACC Cardiovasc. Imaging 2011, 4, 223–230. [Google Scholar] [CrossRef]
- Alashi, A.; Mentias, A.; Abdallah, A.; Feng, K.; Gillinov, A.M.; Rodriguez, L.L.; Johnston, D.R.; Svensson, L.G.; Popovic, Z.B.; Griffin, B.P.; et al. Incremental Prognostic Utility of Left Ventricular Global Longitudinal Strain in Asymptomatic Patients With Significant Chronic Aortic Regurgitation and Preserved Left Ventricular Ejection Fraction. JACC Cardiovasc. Imaging 2018, 11, 673–682. [Google Scholar] [CrossRef] [PubMed]
- Lavine, S.J.; Al Balbissi, K.A. Reduced longitudinal function in chronic aortic regurgitation. J. Cardiovasc. Ultrasound 2015, 23, 219–227. [Google Scholar] [CrossRef] [PubMed]
- Alashi, A.; Khullar, T.; Mentias, A.; Gillinov, A.M.; Roselli, E.E.; Svensson, L.G.; Popovic, Z.B.; Griffin, B.P.; Desai, M.Y. Long-Term Outcomes After Aortic Valve Surgery in Patients With Asymptomatic Chronic Aortic Regurgitation and Preserved LVEF: Impact of Baseline and Follow-Up Global Longitudinal Strain. JACC Cardiovasc. Imaging 2020, 13 Pt 1, 12–21. [Google Scholar] [CrossRef] [PubMed]
- de Campos, D.; Teixeira, R.; Saleiro, C.; Botelho, A.; Goncalve, L. Global longitudinal strain in chronic asymptomatic aortic regurgitation: Systematic review. Echo Res. Pract. 2020, 7, 39–48. [Google Scholar] [CrossRef] [PubMed]
- Yang, L.T.; Takeuchi, M.; Scott, C.G.; Prabin Thapa, P.; Wang, T.-D.; Villarraga, H.; Padang, R.; Enriquez-Sarano, E.; Michelena, H. Automated Global Longitudinal Strain Exhibits a Robust Association with Death in Asymptomatic Chronic Aortic Regurgitation. J. Am. Soc. Echocardiogr. 2022, 35, 692–702. [Google Scholar] [CrossRef] [PubMed]
- D’Andrea, A.; Sperlongano, S.; Formisano, T.; Tocci, G.; Cameli, M.; Tusa, M.; Novo, G.; Corrado, G.; Ciampi, Q.; Citro, R.; et al. Stress Echocardiography and Strain in Aortic Regurgitation (SESAR protocol): Left ventricular contractile reserve and myocardial work in asymptomatic patients with severe aortic regurgitation. Echocardiography 2020, 37, 1213–1221. [Google Scholar] [CrossRef] [PubMed]
- Meucci, M.C.; Butcher, S.C.; Galloo, X.; van der Velde, E.; Marsan, N.A.; Bax, J.; Delgado, V. Noninvasive Left Ventricular Myocardial Work in Patients with Chronic Aortic Regurgitation and Preserved Left Ventricular Ejection Fraction. J. Am. Soc. Echocardiogr. 2022, 35, 703–711. [Google Scholar] [CrossRef]
- Malahfji, M.; Senapati, A.; Tayal, B.; Nguyen, D.T.; Graviss, E.A.; Nagueh, S.F.; Quinones, M.; Zoghbi, W.; Shah, D. Myocardial scar and mortality in chronic aortic regurgitation. J. Am. Heart Assoc. 2020, 9, e018731. [Google Scholar] [CrossRef]
- Senapati, A.; Malahfji, M.; Debs, D.; Yang, E.; Nguyen, D.; Shah, D. Regional Replacement and Diffuse Interstitial Fibrosis in Aortic Regurgitation: Prognostic Implications from Cardiac Magnetic Resonance. JACC Cardiovasc. Imaging 2021, 14, 2170–2182. [Google Scholar] [CrossRef]
- Azevedo, C.F.; Nigri, M.; Higuchi, M.L.; Pomerantzeff, P.M.; Spina, G.S.; Sampaio, R.O.; Tarasoutchi, F.; Grinberg, M.; Rochitte, C.E. Prognostic significance of myocardial fibrosis quantification by histopathology and magnetic resonance imaging in patients with severe aortic valve disease. J. Am. Coll. Cardiol. 2010, 56, 278–287. [Google Scholar] [CrossRef]
- Lin, Y.; Yang, S.G.; Chen, H.; Zhang, H.G.; Wang, G.-S. The predictive value of DE-CMR in patients with severe chronic aortic regurgitation and extremely dilated left ventricular chamber. Zhonghua Wai Ke Za Zhi 2012, 50, 1087–1090. [Google Scholar] [PubMed]
- Pires, L.T.; Rosa, V.E.E.; Morais, T.C.; Bello, J.H.S.M.; Fernandes, J.R.; de Santis, A.; Lopes, M.P.; Gutierrez, P.S.; Rochitte, C.E.; Nomura, C.H.; et al. Postoperative myocardial fibrosis assessment in aortic valvular heart diseases—A cardiovascular magnetic resonance study. Eur. Heart J. Cardiovasc. Imaging 2023, 24, 851–862. [Google Scholar] [CrossRef]
- Dong, N.; Jiang, W.; Yin, P.; Hu, X.; Wang, Y. Predictors of Long-Term Outcome of Isolated Surgical Aortic Valve Replacement in Aortic Regurgitation with Reduced Left Ventricular Ejection Fraction and Extreme Left Ventricular Dilatation. Am. J. Cardiol. 2020, 125, 1385–1390. [Google Scholar] [CrossRef] [PubMed]
- Brown, M.L.; Schaff, H.V.; Suri, R.M.; Li, Z.; Sundt, T.M.; Dearani, J.A.; Daly, R.; Orszulak, T. Indexed left ventricular dimensions best predict survival after aortic valve replacement in patients with aortic valve regurgitation. Ann. Thorac. Surg. 2009, 87, 1170–1175. [Google Scholar] [CrossRef] [PubMed]
- Cho, S.H.; Byun, C.S.; Kim, K.W.; Chang, B.C.; Yoo, K.J.; Lee, S. Preoperative indexed left ventricular dimensions to predict early recovery of left ventricular function after aortic valve replacement for chronic aortic regurgitation. Circ. J. 2010, 74, 2340–2345. [Google Scholar] [CrossRef] [PubMed]
- Kamath, A.R.; Varadarajan, P.; Turk, R.; Sampat, U.; Palet, R.; Khandhar, S.; Pai, R. Survival in patients with severe aortic regurgitation and severe left ventricular dysfunction is improved by aòrtic valve replacement: Results from a cohort of 166 patients with an ejection fraction ≤ 35%. Circulation 2009, 120 (Suppl. 1), S134–S138. [Google Scholar] [CrossRef]
- Sharony, R.; Grossi, E.A.; Saunders, P.C.; Schwartz, C.F.; Ciuffo, G.B.; Baumann, F.G.; Delianides, J.; Applebaum, R.M.; Ribakove, G.H.; Culliford, A.; et al. Aortic valve replacement in patients with impaired ventricular function. Ann. Thorac. Surg. 2003, 75, 1808–1814. [Google Scholar] [CrossRef]
- Chukwuemeka, A.; Rao, V.; Armstrong, S.; Ivanov, J.; David, T. Aortic valve replacement: A safe and durable option in patients with impaired left ventricular systolic function. Eur. J. Cardio-Thoracic Surg. 2006, 29, 133–138. [Google Scholar] [CrossRef]
- Amano, M.; Izumi, C. Optimal Management of Chronic Severe Aortic Regurgitation. How to Determine Cutoff Values for Surgical Intervention? Circ. J. 2022, 86, 1691–1698. [Google Scholar] [CrossRef] [PubMed]
- Park, H.W.; Song, J.M.; Choo, S.J.; Chung, C.H.; Lee, J.W.; Kim, D.H.; Kang, D.-H.; Song, J.-K. Effect of preoperative ejection fraction, left ventricular systolic dimension and hemoglobin level on survival after aortic valve surgery in patients with severe chronic aortic regurgitation. Am. J. Cardiol. 2012, 109, 1782–1786. [Google Scholar] [CrossRef]
- Zhang, M.K.; Li, L.N.; Xue, H.; Tang, X.J.; Sun, H.; Wu, Q.Y. Left ventricle reverse remodeling in chronic aortic regurgitation patients with dilated ventricle after aortic valve replacement. J. Cardiothorac. Surg. 2022, 17, 8. [Google Scholar] [CrossRef] [PubMed]
- Zhao, Q.; Zhang, B.; Ye, Y.; Li, Z.; Liu, Q.; Zhao, R.; Zhao, Z.; Wang, W.; Yu, Z.; Zhang, H.; et al. Prognostic Impact of Left Ventricular Ejection Fraction in Patients with Moderate Aortic Regurgitation: Potential Implications for Treatment Decision-Making. Front. Cardiovasc. Med. 2022, 8, 800961. [Google Scholar] [CrossRef] [PubMed]
- Evangelista, A.; Tornos, P.; Sambola, A.; Permanyer-Miralda, G.; Soler-Soler, J. Long-term vasodilator therapy in patients with severe aortic regurgitation. N. Engl. J. Med. 2005, 353, 1342–1349. [Google Scholar] [CrossRef] [PubMed]
- Seldrum, S.; de Meester, C.; Pierard, S.; Pasquet, A.; Lazam, S.; Boulif, J.; Vanoverschelde, J.-L.; Gerber, B.L. Assessment of left ventricular reverse remodeling by cardiac MRI in patients undergoing repair surgery for severe aortic or mitral regurgitation. J. Cardiothorac. Vasc. Anesth. 2019, 33, 1901–1911. [Google Scholar] [CrossRef] [PubMed]
- Hashimoto, G.; Enriquez-Sarano, M.; Stanberry, L.I.; Oh, F.; Wang, M.; Acosta, K.; Sato, H.; Lopes, B.B.C.; Fukui, M.; Garcia, S.; et al. Association of left ventricular remodeling assessment by cardiac magnetic resonance with outcomes in patients with chronic aortic regurgitation. JAMA Cardiol. 2022, 7, 924–933. [Google Scholar] [CrossRef] [PubMed] [PubMed Central]
- Faber, M.; Sonne, C.; Rosner, S.; Persch, H.; Reinhard, W.; Hendrich, E.; Will, A.; Martinoff, S.; Hadamitzky, M. Predicting the need of aortic valve surgery in patients with chronic aortic regurgitation: A comparison between cardiovascular magnetic resonance imaging and transthoracic echocardiography. Int. J. Cardiovasc. Imaging 2021, 37, 2993–3001. [Google Scholar] [CrossRef] [PubMed] [PubMed Central]
- Kočková, R.; Línková, H.; Hlubocká, Z.; Pravečková, A.; Polednová, A.; Súkupová, L.; Bláha, M.; Malý, J.; Honsová, E.; Sedmera, D.; et al. New Imaging Markers of Clinical Outcome in Asymptomatic Patients with Severe Aortic Regurgitation. J. Clin. Med. 2019, 8, 1654. [Google Scholar] [CrossRef]
- Lee, J.K.T.; Franzone, A.; Lanz, J.; Siontis, G.C.M.; Stortecky, S.; Gräni, C.; Roost, E.; Windecker, S.; Pilgrim, T. Early Detection of Subclinical Myocardial Damage in Chronic Aortic Regurgitation and Strategies for Timely Treatment of Asymptomatic Patients. Circulation 2018, 137, 184–196. [Google Scholar] [CrossRef]
- Yang, L.T.; Michelena, H.I.; Scott, C.G.; Enriquez-Sarano, M.; Pislaru, S.V.; Schaff, H.V.; Pellikka, P.A. Outcomes in chronic hemodynamically significant aortic regurgitation and limitations of current guidelines. J. Am. Coll. Cardiol. 2019, 73, 1741–1752. [Google Scholar] [CrossRef]
- Saisho, H.; Arinaga, K.; Kikusaki, S.; Hirata, Y.; Wada, K.; Kakuma, T.; Tanaka, H. Long term results and predictors of left ventricular function recovery after aortic valve replacement for chronic aortic regurgitation. Ann. Thorac. Cardiovasc. Surg. 2015, 21, 388–395. [Google Scholar] [CrossRef]
- Yang, L.T.; Enriquez-Sarano, M.; Pellikka, P.A.; Thapa, P.; Scott, C.G.; Hung, J.; Michelena, H. Sex differences in outcomes of patients with chronic aortic regurgitation: Closing the mortality gap. Mayo Clin. Proc. 2021, 96, 2145–2156. [Google Scholar] [CrossRef] [PubMed]
- Murashita, T.; Schaff, H.V.; Suri, R.M.; Daly, R.; Li, Z.; Dearani, J.; Greason, K.; Nishimura, R. Impact of left ventricular systolic function on outcome of correction of chronic severe aortic valve regurgitation: Implications for timing of surgical intervention. Ann. Thorac. Surg. 2017, 103, 1222–1228. [Google Scholar] [CrossRef] [PubMed]
- Anand, V.; Hu, H.; Weston, A.D.; Scott, C.G.; Michelena, H.I.; Pislaru, S.V.; Carter, R.E.; Pellikka, P.A. Machine learning-based risk stratification for mortality in patients with severe aortic regurgitation. Eur. Heart J. Digit. Health 2023, 4, 188–195. [Google Scholar] [CrossRef] [PubMed] [PubMed Central]
- Rudzinski, P.N.; Leipsic, J.A.; Schoepf, U.J.; Dudek, D.; Schwarz, F.; Andreas, M.; Zlahoda-Huzior, A.; Thilo, C.; Renker, M.; Burt, J.R.; et al. CT in Transcatheter-delivered Treatment of Valvular Heart Disease. Radiology 2022, 304, 4–17. [Google Scholar] [CrossRef] [PubMed]




| Compensated Stage | Decompensated Stage | ||
| No subclinical LV dysfuncion | Subclinical LV dysfunction | Reversible | Irreversible |
| Normal LVEF and stroke volume | Decline in LVEF | ||
| Normal LV compliance filling pressure | Reduced LV-LGS Increased BNP | Reduced LV compliance Elevation of LV filling pressure Reduced LV-LGS Increased BNP | |
| Mild to moderate LV eccentric hypertrophy | Reversible diffuse myocardial fibrosis detection by CMR: T1 mapping ECV | Irreversible replacement fibrosis: LGE by CMR | |
| Asymptomatic | Symptomatic | ||
| AR severity | |||
| Mild | Moderate | Severe | |
| TTE | |||
| Semiquantitative parameters: | |||
| VCW (cm) | <0.3 | 0.3–0.6 | >0.6 |
| Jet width/LVOT width, central jets (%) | <25 | 25–45 46–64 a | ≥65 |
| Jet width (mm) | <5 | 5–10 | >10 |
| Reversal diastolic flow in proximal DAo, PW (VTI cm) | <10 | 10–15 | >15 |
| Reversal diastolic flow in AbAo, PW (VTI cm) | - | - | Holdiastolic + |
| Jet deceleration rate, CW (PHT, msec) | Incomplete or faint | Medium, 500–200 | Steep, <200 |
| Slow, >500 | |||
| Quantitative parameters: ++ | |||
| Regurgitant Volume (mL/beat) | <30 | 30–44 45–59 a | ≥60 |
| Regurgitant Fraction (%) | <30 | 30–39 40–49 a | ≥50 |
| EROA (cm2) | <0.10 | 0.10–0.19 0.20–0.29 a | ≥0.30 |
| CMR | |||
| Regurgitant Fraction (%) | <20 | 20–33 | >33 |
| Regurgitant Volume (mL) | <30 | 30–45 | >45 |
| Reversal diastolic flow in proximal Dao | - | - | Holodiastolic + |
| Diagnostic Tests | Parameters |
|---|---|
| Speckle tracking echocardiography | LV-LGS |
| Stress echocardiography | Contractile reserve Unmask symptoms |
| Biomarkers | BNP NT-proBNP |
| T1 mapping CMR | Difusse reversible fibrosis Focal fibrosis |
Disclaimer/Publisher’s Note: The statements, opinions and data contained in all publications are solely those of the individual author(s) and contributor(s) and not of MDPI and/or the editor(s). MDPI and/or the editor(s) disclaim responsibility for any injury to people or property resulting from any ideas, methods, instructions or products referred to in the content. |
© 2024 by the authors. Licensee MDPI, Basel, Switzerland. This article is an open access article distributed under the terms and conditions of the Creative Commons Attribution (CC BY) license (https://creativecommons.org/licenses/by/4.0/).
Share and Cite
Marigliano, A.-N.; Ortiz, J.-T.; Casas, J.; Evangelista, A. Aortic Regurgitation: From Valvular to Myocardial Dysfunction. J. Clin. Med. 2024, 13, 2929. https://doi.org/10.3390/jcm13102929
Marigliano A-N, Ortiz J-T, Casas J, Evangelista A. Aortic Regurgitation: From Valvular to Myocardial Dysfunction. Journal of Clinical Medicine. 2024; 13(10):2929. https://doi.org/10.3390/jcm13102929
Chicago/Turabian StyleMarigliano, Alba-Nidia, José-Tomas Ortiz, Jorge Casas, and Arturo Evangelista. 2024. "Aortic Regurgitation: From Valvular to Myocardial Dysfunction" Journal of Clinical Medicine 13, no. 10: 2929. https://doi.org/10.3390/jcm13102929
APA StyleMarigliano, A.-N., Ortiz, J.-T., Casas, J., & Evangelista, A. (2024). Aortic Regurgitation: From Valvular to Myocardial Dysfunction. Journal of Clinical Medicine, 13(10), 2929. https://doi.org/10.3390/jcm13102929

