Performance of [18F]FDG-PET/CT Imaging in First Recurrence of Invasive Lobular Carcinoma
Abstract
1. Introduction
1.1. Patients and Methods
1.2. Characteristics of Patients and ILC
1.3. PET/CT Acquisitions
1.4. PET/CT Analysis
1.5. Statistical Analysis
2. Results
2.1. PET/CT Scan Performance
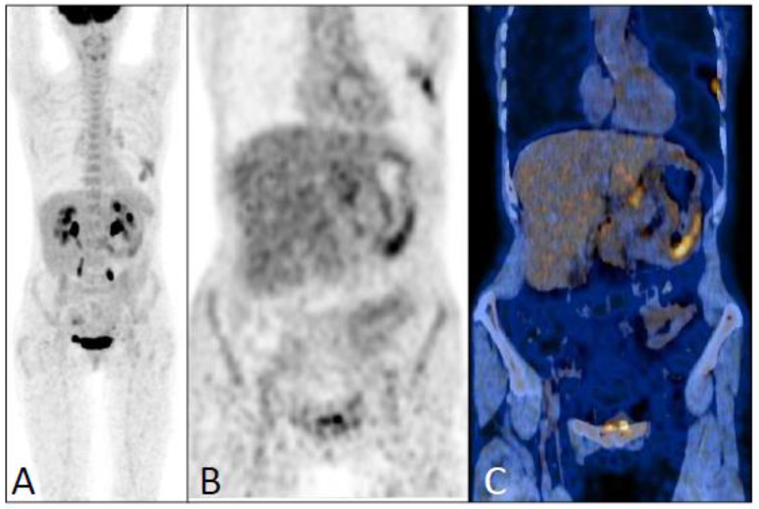
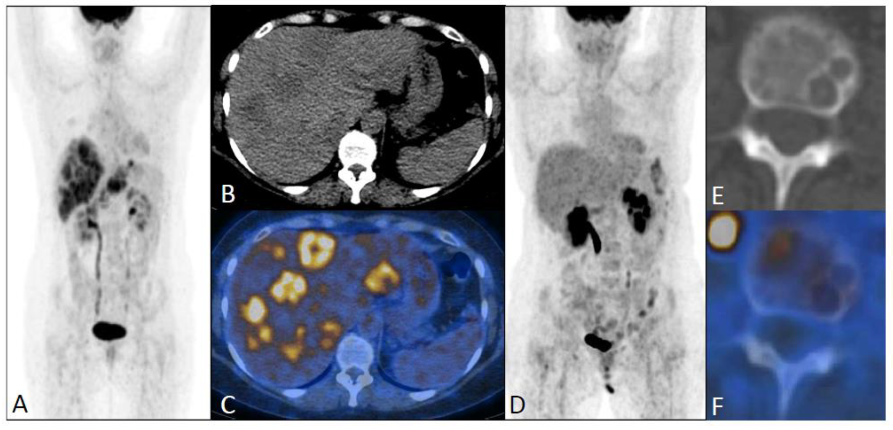
2.2. Site of Recurrence on PET/CT Scans
2.3. Relation between PET/CT Findings, Tumor Stage, and Histological Prognostic Factors
2.4. Modifications of Treatment following the PET/CT Findings
2.5. Association between PET/CT Findings and Survival
3. Discussion
4. Conclusions
Author Contributions
Funding
Institutional Review Board Statement
Informed Consent Statement
Data Availability Statement
Conflicts of Interest
Abbreviations
| ILC | invasive lobular carcinoma |
| IDC | invasive ductal carcinoma |
| PET/CT | positron emission tomography/computed tomography |
| FDG | 2-deoxy-2-[18F]fluoro-D-glucose |
| MRI | magnetic resonance imaging |
| SUVmax | Standard Uptake Value maximum |
| SBR | Scarff Bloom Richardson |
| 95%CI | 95% confidence interval |
References
- Bray, F.; Ferlay, J.; Soerjomataram, I.; Siegel, R.L.; Torre, L.A.; Jemal, A. Global cancer statistics 2018: GLOBOCAN estimates of incidence and mortality worldwide for 36 cancers in 185 countries. CA Cancer J. Clin. 2018, 68, 394–424. [Google Scholar] [CrossRef]
- Reed, A.E.M.; Kutasovic, J.R.; Lakhani, S.R.; Simpson, P.T. Invasive lobular carcinoma of the breast: Morphology, biomarkers and ’omics. Breast Cancer Res. 2015, 17, 12. [Google Scholar] [CrossRef] [PubMed]
- Li, C.I.; Anderson, B.O.; Porter, P.; Holt, S.K.; Daling, J.R.; Moe, R.E. Changing incidence rate of invasive lobular breast carcinoma among older women. Cancer 2000, 88, 2561–2569. [Google Scholar] [CrossRef]
- Li, C.I.; Uribe, D.J.; Daling, J.R. Clinical characteristics of different histologic types of breast cancer. Br. J. Cancer 2005, 93, 1046–1052. [Google Scholar] [CrossRef]
- Harris, M.; Howell, A.; Chrissohou, M.; Swindell, R.I.; Hudson, M.; Sellwood, R.A. A comparison of the metastatic pattern of infiltrating lobular carcinoma and infiltrating duct carcinoma of the breast. Br. J. Cancer 1984, 50, 23–30. [Google Scholar] [CrossRef] [PubMed]
- Ferlicot, S.; Vincent-Salomon, A.; Médioni, J.; Genin, P.; Rosty, C.; Sigal-Zafrani, B.; Fréneaux, P.; Jouve, M.; Thiery, J.-P.; Sastre-Garau, X. Wide metastatic spreading in infiltrating lobular carcinoma of the breast. Eur. J. Cancer 2004, 40, 336–341. [Google Scholar] [CrossRef] [PubMed]
- Lopez, J.K.; Bassett, L.W. Invasive lobular carcinoma of the breast: Spectrum of mammographic, US, and MR Imaging findings. RadioGraphics 2009, 29, 165–176. [Google Scholar] [CrossRef]
- Crippa, F.; Seregni, E.; Agresti, R.; Chiesa, C.; Pascali, C.; Bogni, A.; Decise, D.; De Sanctis, V.; Greco, M.; Grazia Daidone, M.; et al. Association between [18F]fluorodeoxyglucose uptake and postoperative histopathology, hormone receptor status, thymidine labelling index and p53 in primary breast cancer: A preliminary observation. Eur. J. Nucl. Med. Mol. Imaging 1998, 25, 1429–1434. [Google Scholar] [CrossRef]
- Avril, N.; Menzel, M.; Dose, J.; Schelling, M.; Weber, W.; Janicke, F.; Nathrath, W.; Schwaiger, M. Glucose metabolism of breast cancer assessed by 18F-FDG PET: Histologic and immunohistochemical tissue analysis. J. Nucl. Med. 2001, 42, 9–16. [Google Scholar]
- Ueda, S.; Tsuda, H.; Asakawa, H.; Shigekawa, T.; Fukatsu, K.; Kondo, N.; Yamamoto, M.; Hama, Y.; Tamura, K.; Ishida, J.; et al. Clinicopathological and prognostic relevance of uptake level using 18F-fluorodeoxyglucose Positron Emission Tomography/Computed Tomography fusion imaging (18F-FDG-PET/CT) in primary breast cancer. Jpn. J. Clin. Oncol. 2008, 38, 250–258. [Google Scholar] [CrossRef]
- Gil-Rendo, A.; Martínez-Regueira, F.; Zornoza, G.; García-Velloso, M.J.; Beorlegui, C.; Rodriguez-Spiteri, N. Association between [18F]fluorodeoxyglucose uptake and prognostic parameters in breast cancer. Br. J. Surg. 2009, 96, 166–170. [Google Scholar] [CrossRef] [PubMed]
- Groheux, D.; Giacchetti, S.; Moretti, J.L.; Porcher, R.; Espié, M.; Lehmann-Che, J.; de Roquancourt, A.; Hamy, A.-S.; Cuvier, C.; Vercellino, L.; et al. Correlation of high 18F-FDG uptake to clinical, pathological and biological prognostic factors in breast cancer. Eur. J. Nucl. Med. Mol. Imaging 2011, 38, 426–435. [Google Scholar] [CrossRef] [PubMed]
- Koolen, B.B.; Vrancken Peeters, M.J.; Wesseling, J.; Lips, E.H.; Vogel, W.V.; Aukema, T.S.; van Werkhoven, E.; Gilhuijs, K.G.A.; Rodenhuis, S.; Rutgers, E.J.T.; et al. Association of primary tumour FDG uptake with clinical, histopathological and molecular characteristics in breast cancer patients scheduled for neoadjuvant chemotherapy. Eur. J. Nucl. Med. Mol. Imaging 2012, 39, 1830–1838. [Google Scholar] [CrossRef]
- Groheux, D.; Majdoub, M.; Tixier, F.; Le Rest, C.C.; Martineau, A.; Merlet, P.; Espié, M.; de Roquancourt, A.; Hindié, E.; Hatt, M.; et al. Do clinical, histological or immunohistochemical primary tumour characteristics translate into different 18F-FDG-PET/CT volumetric and heterogeneity features in stage II/III breast cancer? Eur. J. Nucl. Med. Mol. Imaging 2015, 42, 1682–1691. [Google Scholar] [CrossRef]
- Jung, N.; Kim, S.; Choi, B.; Kim, S.; Sung, M. Associations between the standardized uptake value of 18F-FDG-PET/CT and the prognostic factors of invasive lobular carcinoma: In comparison with invasive ductal carcinoma. World J. Surg. Oncol. 2015, 13, 113. [Google Scholar] [CrossRef] [PubMed]
- Dabbs, D.J.; Schnitt, S.J.; Geyer, F.C.; Weigelt, B.; Baehner, F.L.; Decker, T.; Eusebi, V.; Fox, S.; Ichihara, S.; Lakhani, S.R.; et al. Lobular neoplasia of the breast revisited with emphasis on the role of E-cadherin immunohistochemistry. Am. J. Surg. Pathol. 2013, 37, e1–e11. [Google Scholar] [CrossRef]
- Bos, R.; van der Hoeven, J.J.M.; van der Wall, E.; van der Groep, P.; van Diest, P.J.; Comans, E.F.I.; Joshi, U.; Semenza, G.L.; Hoekstra, O.S.; Lammertsma, A.A.; et al. Biologic correlates of 18Fluorodeoxyglucose uptake in human breast cancer measured by Positron Emission Tomography. J. Clin. Oncol. 2002, 20, 379–387. [Google Scholar] [CrossRef]
- Hogan, M.P.; Goldman, D.A.; Dashevsky, B.; Riedl, C.C.; Gonen, M.; Osborne, J.R.; Jochelson, M.; Hudis, C.; Morrow, M.; Ulaner, G.A. Comparison of 18F-FDG-PET/CT for systemic staging of newly diagnosed invasive lobular carcinoma versus invasive ductal carcinoma. J. Nucl. Med. 2015, 56, 1674–1680. [Google Scholar] [CrossRef]
- Orevi, M.; Freedman, N.; Tahover, E.; Uziely, B.; Chisin, R.; Peretz, T.; Klein, M. Is 18F-FDG-PET/CT an accurate tool for identifying metastases of lobular breast cancer? Acta Oncol. 2016, 55, 244–247. [Google Scholar] [CrossRef]
- Dixon, A.; Ellis, I.; Elston, C.; Blamey, R. A comparison of the clinical metastatic patterns of invasive lobular and ductal carcinomas of the breast. Br. J. Cancer 1991, 63, 634–635. [Google Scholar] [CrossRef]
- Lamovec, J.; Bracko, M. Metastatic pattern of infiltrating lobular carcinoma of the breast: An autopsy study. J. Surg. Oncol. 1991, 48, 28–33. [Google Scholar] [CrossRef] [PubMed]
- Arpino, G.; Bardou, V.J.; Clark, G.M.; Elledge, R.M. Infiltrating lobular carcinoma of the breast: Tumor characteristics and clinical outcome. Breast Cancer Res. 2004, 6, R149–R156. [Google Scholar] [CrossRef] [PubMed]
- Winston, C.B.; Hadar, O.; Teitcher, J.B.; Caravelli, J.F.; Sklarin, N.T.; Panicek, D.M.; Liberman, L. Metastatic lobular carcinoma of the breast: Patterns of spread in the chest, abdomen, and pelvis on CT. Am. J. Roentgenol. 2000, 175, 795–800. [Google Scholar] [CrossRef] [PubMed]
- He, H.; Gonzalez, A.; Robinson, E.; Yang, W.T. Distant metastatic disease manifestations in infiltrating lobular carcinoma of the breast. Am. J. Roentgenol. 2014, 202, 1140–1148. [Google Scholar] [CrossRef] [PubMed]
- Champion, L.; Brain, E.; Giraudet, A.L.; Le Stanc, E.; Wartski, M.; Edeline, V.; Madar, O.; Bellet, D.; Pecking, A.; Alberini, J.-L. Breast cancer recurrence diagnosis suspected on tumor marker rising: Value of whole-body 18FDG-PET/CT imaging and impact on patient management. Cancer 2011, 117, 1621–1629. [Google Scholar] [CrossRef]
- Dashevsky, B.Z.; Goldman, D.A.; Parsons, M.; Gönen, M.; Corben, A.D.; Jochelson, M.S.; Hudis, C.A.; Morrow, M.; Ulaner, G.A. Appearance of untreated bone metastases from breast cancer on FDG-PET/CT: Importance of histologic subtype. Eur. J. Nucl. Med. Mol. Imaging 2015, 42, 1666–1673. [Google Scholar] [CrossRef]
- Groheux, D.; Cochet, A.; Humbert, O.; Alberini, J.L.; Hindie, E.; Mankoff, D. 18F-FDG-PET/CT for staging and restaging of breast cancer. J. Nucl. Med. 2016, 57, 17S–26S. [Google Scholar] [CrossRef]
- Park, H.L.; Yoo, I.R.; Kim, H.; Kim, S.H.; Kang, B.J. Clinical utility of 18F-FDG-PET/CT in low 18F-FDG-avidity breast cancer subtypes: Comparison with breast US and MRI. Nucl. Med. Commun. 2018, 39, 35–43. [Google Scholar] [CrossRef]
- Cochet, A.; David, S.; Moodie, K.; Drummond, E.; Dutu, G.; MacManus, M.; Chua, B.; Hicks, R.J. The utility of 18F-FDG-PET/CT for suspected recurrent breast cancer: Impact and prognostic stratification. Cancer Imaging 2014, 14, 13. [Google Scholar] [CrossRef]
- Choi, B.B.; Kim, S.H.; Park, C.S.; Jung, N.Y. Correlation of prognostic factors of invasive lobular carcinoma with ADC value of DWI and SUVMax of FDG-PET. Chonnam Med. J. 2017, 53, 133. [Google Scholar] [CrossRef]
- Ulaner, G.A.; Goldman, D.A.; Gonen, M.; Pham, H.; Castillo, R.; Lyashchenko, S.K.; Lewis, J.S.; Dang, C. Initial results of a prospective clinical trial of 18F-Fluciclovine PET/CT in newly diagnosed invasive ductal and invasive lobular breast cancers. J. Nucl. Med. 2016, 57, 1350–1356. [Google Scholar] [CrossRef] [PubMed]
- Ulaner, G.A.; Goldman, D.A.; Corben, A.; Lyashchenko, S.K.; Gönen, M.; Lewis, J.S.; Dickler, M. Prospective clinical trial of 18F-Fluciclovine PET/CT for determining the response to neoadjuvant therapy in invasive ductal and invasive lobular breast cancers. J. Nucl. Med. 2017, 58, 1037–1042. [Google Scholar] [CrossRef] [PubMed]
- Kumar, M.; Salem, K.; Tevaarwerk, A.J.; Strigel, R.M.; Fowler, A.M. Recent advances in imaging steroid hormone receptors in breast cancer. J. Nucl. Med. 2020, 61, 172–176. [Google Scholar] [CrossRef]
- Venema, C.; de Vries, E.; Glaudemans, A.; Poppema, B.; Hospers, G.; Schröder, C. 18F-FES PET has added value in staging and therapy decision making in patients with disseminated lobular breast cancer. Clin. Nucl. Med. 2017, 42, 612–614. [Google Scholar] [CrossRef] [PubMed]
- Ulaner, G.A.; Jhaveri, K.; Chardarlapaty, S.; Hatzoglou, V.; Riedl, C.C.; Lewis, J.S.; Mauguen, A. Head-to-head evaluation of 18F-FES and 18F-FDG-PET/CT in metastatic invasive lobular breast cancer. J. Nucl. Med. 2021, 62, 326–331. [Google Scholar] [CrossRef]






| Initial treatment | ||
| Surgery: 61 (95.3%) | Radiotherapy: 52 (81.3%) | |
| Chemotherapy: 45 (70.3%) | Hormone therapy: 55 (85.9%) | |
| pTNM | ||
| pT1: 21 (32.8%) | pN0: 21 (32.8%) | |
| pT2: 23 (36.0%) | pN+: 41 (64.2%) | |
| pT3: 15 (23.4%) | M0: 64 (100%) | |
| pT4: 3 (4.7%) | ||
| NA: 2 (3.1%) | ||
| SBR grade | Mitoses grade | |
| I: 8 (12.5%) | 1: 47 (73.5%) | |
| II: 48 (75%) | 2: 7 (10.9%) | |
| III: 6 (9.4%) | 3: 3 (4.7%) | |
| NA: 2 (3.1%) | NA: 7 (10.9%) | |
| Mitotic indices mean: 2.7 [0.1–13.2] | NA: 25 (39.1%) | |
| Ki67 mean: 24% [5–60] | NA: 42 (65.6%) | |
| Hormonal receptors | ||
| ER positive: 61 (95.3%) | NA: 1 (1.6%) | |
| PR positive: 47 (73.5%) | NA: 3 (4.7%) | |
| HER2 positive: 3 (4.7%) | NA: 1 (1.6%) | |
| Criteria for suspicion of recurrence (more than one criterion possible for each patient) | ||
| Clinical: 31 (48.4%) | ||
| Imaging: 27 (42.2%) | ||
| Tumor markers: 19 (29.7%) | ||
| Tumor markers elevated | Value | |
| CA 15.3: 29 (45.3%) | mean: 160.1 kU/L (N ≤ 35.0) | NA: 9 |
| CEA: 22 (34.4%) | mean: 23.5 μg/L (N ≤ 5.0) | NA: 14 |
| No-Recurrence N = 16 | Recurrence N = 48 | p-Value | |
|---|---|---|---|
| pT | |||
| T1 | 9 | 12 | 0.07 a |
| T2 | 6 | 17 | |
| T3 | 1 | 14 | |
| T4 | 0 | 3 | |
| Not available | 2 | ||
| pN | |||
| N0 | 6 | 15 | 0.97 a |
| N1 | 5 | 17 | |
| N2 | 4 | 11 | |
| N3 | 1 | 3 | |
| Not available | 2 | ||
| Mitotic index | |||
| ≤3 | 10 | 17 | 0.27 a |
| >3 | 2 | 10 | |
| Not available | 4 | 21 | |
| Mitoses | |||
| Grade 1 | 12 | 35 | 1 a |
| Grade 2 | 1 | 6 | |
| Grade 3 | 0 | 3 | |
| Not available | 3 | 4 | |
| Ki67 | |||
| ≤20% | 7 | 5 | 0.23 a |
| >20% | 3 | 7 | |
| Not available | 6 | 36 | |
| Tumor markers | |||
| CA 15.3 ≤ 35 kU/L | 9 | 17 | 0.03 b |
| CA 15.3 > 35 | 3 | 26 | |
| Not available | 4 | 5 | |
| CEA ≤ 5 μg/L | 8 | 21 | 0.16 a |
| CEA > 5 | 2 | 19 | |
| Not available | 6 | 8 | |
| Authors | Number of ILC/Number of Patients | SUVmax ILC | SUVmax IDC | p-Value |
|---|---|---|---|---|
| Crippa [8], 1998 | 18/86 | 3.8 (med) | 5.6 | 0.004 |
| Avril [9], 2001 | 14/50 | 2.2 ± 1.4 | 3.7 ± 2.2 | 0.003 |
| Ueda [10], 2008 | 32/145 | 1.4 ± 1.5 | 4.8 ± 3.5 | 0.004 |
| Groheux [12], 2011 | 15/132 | 3.4 (med) | 6.6 | 0.0001 |
| Koolen [13], 2012 | 23/214 | 4.6 (med) | 7.1 | 0.001 |
| Groheux [14], 2015 | 7/171 | 3.7 ± 1.2 | 7.4 ± 5.2 | 0.008 |
| Jung [15], 2015 | 32/105 | 2.0 ± 1.7 | 3.9 ± 4.0 | 0.032 |
Disclaimer/Publisher’s Note: The statements, opinions and data contained in all publications are solely those of the individual author(s) and contributor(s) and not of MDPI and/or the editor(s). MDPI and/or the editor(s) disclaim responsibility for any injury to people or property resulting from any ideas, methods, instructions or products referred to in the content. |
© 2023 by the authors. Licensee MDPI, Basel, Switzerland. This article is an open access article distributed under the terms and conditions of the Creative Commons Attribution (CC BY) license (https://creativecommons.org/licenses/by/4.0/).
Share and Cite
Bonnin, D.; Ladoire, S.; Briot, N.; Bertaut, A.; Drouet, C.; Cochet, A.; Alberini, J.-L. Performance of [18F]FDG-PET/CT Imaging in First Recurrence of Invasive Lobular Carcinoma. J. Clin. Med. 2023, 12, 2916. https://doi.org/10.3390/jcm12082916
Bonnin D, Ladoire S, Briot N, Bertaut A, Drouet C, Cochet A, Alberini J-L. Performance of [18F]FDG-PET/CT Imaging in First Recurrence of Invasive Lobular Carcinoma. Journal of Clinical Medicine. 2023; 12(8):2916. https://doi.org/10.3390/jcm12082916
Chicago/Turabian StyleBonnin, David, Sylvain Ladoire, Nathalie Briot, Aurélie Bertaut, Clément Drouet, Alexandre Cochet, and Jean-Louis Alberini. 2023. "Performance of [18F]FDG-PET/CT Imaging in First Recurrence of Invasive Lobular Carcinoma" Journal of Clinical Medicine 12, no. 8: 2916. https://doi.org/10.3390/jcm12082916
APA StyleBonnin, D., Ladoire, S., Briot, N., Bertaut, A., Drouet, C., Cochet, A., & Alberini, J.-L. (2023). Performance of [18F]FDG-PET/CT Imaging in First Recurrence of Invasive Lobular Carcinoma. Journal of Clinical Medicine, 12(8), 2916. https://doi.org/10.3390/jcm12082916

