Thyroid Metastasis from Primary Breast Cancer
Abstract
1. Introduction
2. Methods
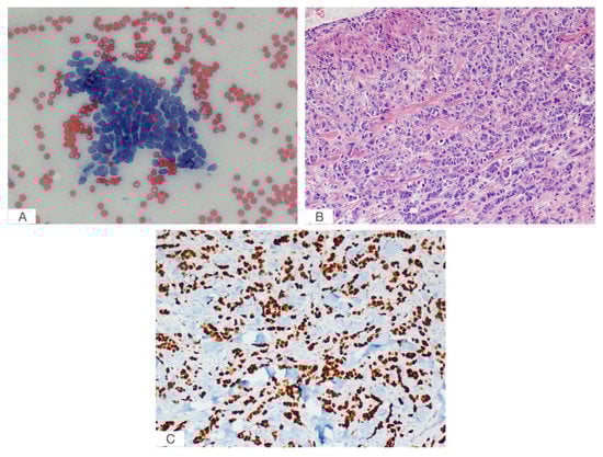
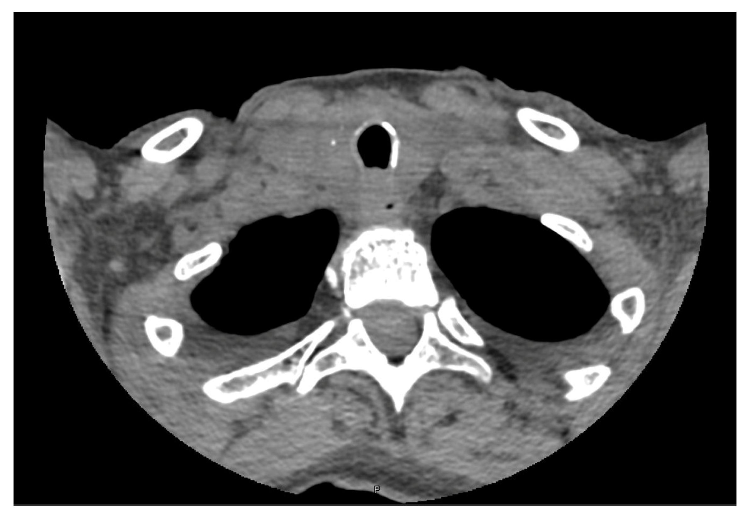
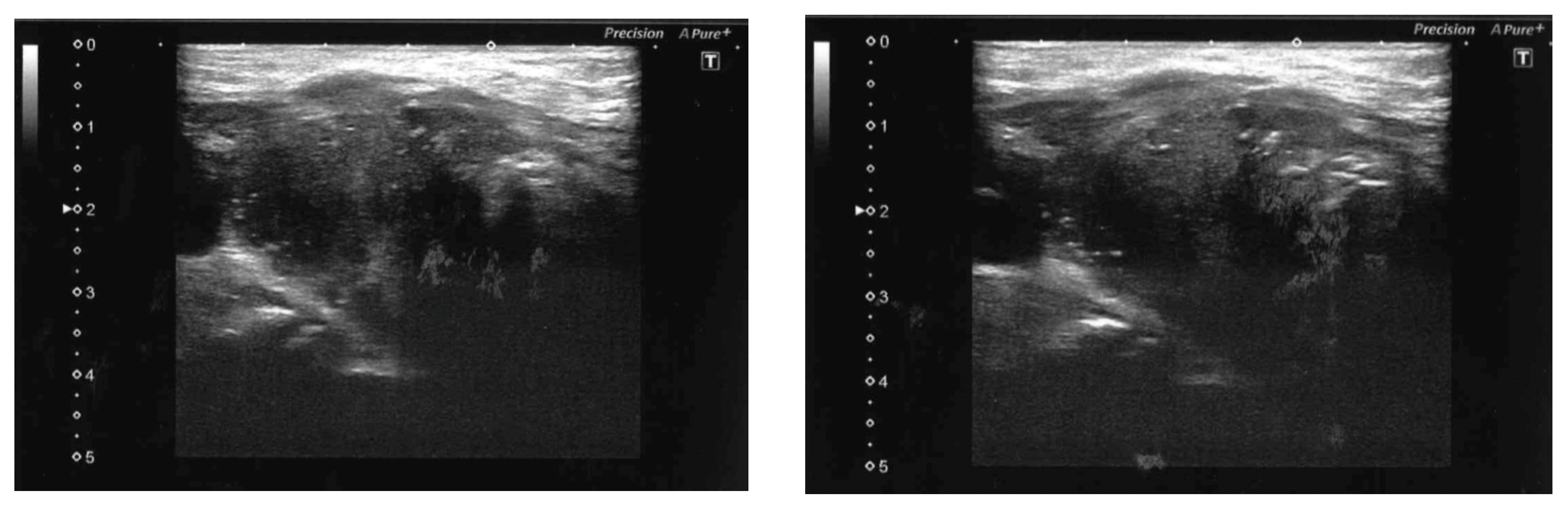
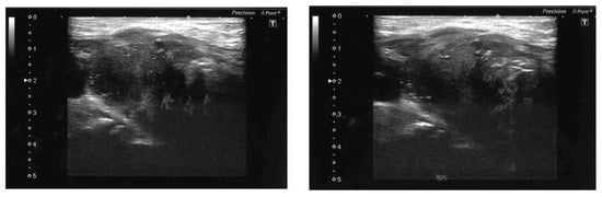
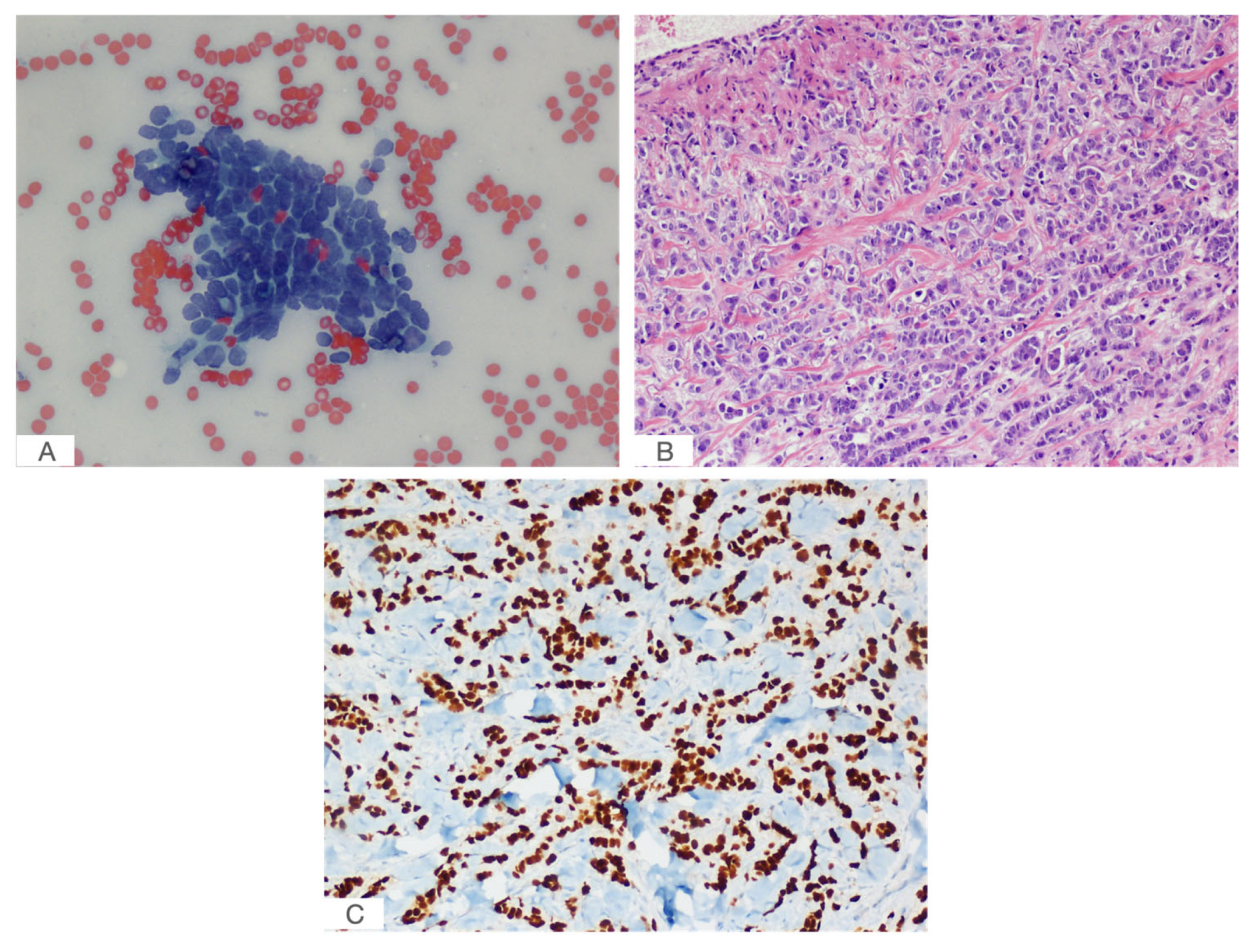
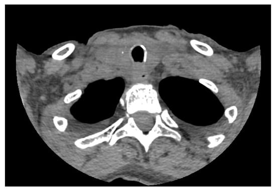
3. Our Experience
4. Current Knowledge
5. Conclusions
Funding
Institutional Review Board Statement
Informed Consent Statement
Data Availability Statement
Conflicts of Interest
References
- Global Cancer Observatory (GCO). Available online: https://gco.iarc.fr/ (accessed on 31 December 2022).
- Yousefi, M.; Nosrati, R.; Salmaninejad, A.; Dehghani, S.; Shaharyari, A.; Saberi, A. Organ-specific metastasis of breast cancer: Molecular and cellular mechanisms underlying lung metastasis. Cell Oncol. 2018, 41, 123–140. [Google Scholar] [CrossRef]
- Salvatore, D.; Davies, T.; Schlumberger, M.J.; Hay, I.D.; Larsen, R.P. Thyroid Physiology and Diagnostic Evaluation of Patients with Thyroid Disorders. In Williams Textbook of Endocrinology, 13th ed.; Melmed, S., Polonsky, K.S., Larsen, R.P., Kronenberg, H.M., Eds.; Elsevier: Philadelphia, PA, USA, 2016; pp. 334–368. [Google Scholar]
- Tang, Q.; Wang, Z. Metastases to the Thyroid Gland: What Can We Do? Cancers 2022, 14, 3017. [Google Scholar] [CrossRef]
- Wood, K.; Vini, L.; Harmer, C. Metastases to the thyroid gland: The Royal Marsden experience. Eur. J. Surg. Oncol. 2004, 30, 583–588. [Google Scholar] [CrossRef]
- Chen, J.Y.; Chen, I.W.; Hsueh, C.; Chao, T.C.; Gao, B.R.; Lin, J.D. Synchronous diagnosis of metastatic cancer to the thyroid is associated with poor prognosis. Endocr. Pathol. 2015, 26, 80–86. [Google Scholar] [CrossRef] [PubMed]
- Nardi, F.; Basolo, F.; Crescenzi, A.; Fadda, G.; Frasoldati, A.; Orlandi, F.; Palombini, L.; Papini, E.; Zini, M.; Pontecorvi, A.; et al. Italian consensus for the classification and reporting of thyroid cytology. J. Endocrinol. Invest. 2014, 37, 593–599. [Google Scholar] [CrossRef]
- Gerges, A.S.; Shehata, S.R.; Gouda, I.A. Metastasis to the thyroid gland; unusual site of metastasis. J. Egypt. Natl. Cancer Inst. 2006, 18, 67–72. [Google Scholar]
- Kim, T.Y.; Kim, W.B.; Gong, G.; Hong, S.J.; Shong, Y.K. Metastasis to the thyroid diagnosed by fine-needle aspiration biopsy. Clin. Endocrinol. 2005, 62, 236–241. [Google Scholar] [CrossRef] [PubMed]
- Hegerova, L.; Griebeler, M.L.; Reynolds, J.P.; Henry, M.R.; Gharib, H. Metastasis to the thyroid gland: Report of a large series from the Mayo Clinic. Am. J. Clin. Oncol. 2015, 38, 338–342. [Google Scholar] [CrossRef]
- Plonczak, A.M.; DiMarco, A.N.; Dina, R.; Gujral, D.M.; Palazzo, F.F. Breast cancer metastases to the thyroid gland—An uncommon sentinel for diffuse metastatic disease: A case report and review of the literature. J. Med. Case Rep. 2017, 11, 269. [Google Scholar] [CrossRef]
- Angelousi, A.; Alexandraki, K.I.; Kyriakopoulos, G.; Tsoli, M.; Thomas, D.; Kaltsas, G.; Grossman, A. Neoplastic metastases to endocrine glands. Endocr. Relat. Cancer 2020, 27, R1–R20. [Google Scholar] [CrossRef] [PubMed]
- Wu, Q.; Zhu, S.; Wu, J.; Chen, C.; Liu, Q.; Wei, W.; Zhang, Y.; Sun, S. Breast cancer subtypes predict the preferential site of distant metastases: A SEER based study. Oncotarget 2017, 8, 27990–27996. [Google Scholar] [CrossRef]
- Joseph, K.R.; Edirimanne, S.; Eslick, G.D. The association between breast cancer and thyroid cancer: A meta-analysis. Breast Cancer Res. Treat. 2015, 152, 173–181. [Google Scholar] [CrossRef] [PubMed]
- Fei, X.; Christakos, G.; Lou, Z.; Ren, Y.; Liu, Q.; Wu, J. Spatiotemporal Co-existence of Female Thyroid and Breast Cancers in Hangzhou, China. Sci. Rep. 2016, 6, 2–11. [Google Scholar] [CrossRef] [PubMed]
- Fama’, F.; Sindoni, A.; Sun, H.; Kim, H.Y.; Geraci, G.; Colonna, M.R.; Mazzeo, C.; Brenta, G.; Galeano, M.; Benvenga, S.; et al. Development of Histologically Verified Thyroid Diseases in Women Operated for Breast Cancer: A Review of the Literature and a Case Series. J. Clin. Med. 2022, 11, 3154. [Google Scholar] [CrossRef]
- Kiziltan, G.; Bozdogan, N.; Ozaslan, C. Breast cancer metastasis into thyroid papillary carcinoma: A case report. Breast J. 2021, 27, 547–549. [Google Scholar] [CrossRef]
- Raveendrannair, A.K.; Mathews, A.; Varghese, B.T.; Jayasree, K. Papillary carcinoma thyroid serving as recipient tumor to carcinoma breast: A rare example of tumor-to-tumor metastasis. Indian J. Pathol. Microbiol. 2019, 62, 122–124. [Google Scholar] [CrossRef] [PubMed]
- Surov, A.; Machens, A.; Holzhausen, H.J.; Spielmann, R.P.; Dralle, H. Radiological features of metastases to the thyroid. Acta Radiol. 2016, 57, 444–450. [Google Scholar] [CrossRef] [PubMed]
- Chung, A.Y.; Tran, T.B.; Brumund, K.T.; Weisman, R.A.; Bouvet, M. Metastases to the thyroid: A review of the literature from the last decade. Thyroid 2012, 22, 258–268. [Google Scholar] [CrossRef]
- Nakhjavani, M.K.; Gharib, H.; Goellner, J.R.; van Heerden, J.A. Metastasis to the thyroid gland. A report of 43 cases. Cancer 1997, 79, 574–578. [Google Scholar] [CrossRef]
- Heffess, C.S.; Wenig, B.M.; Thompson, L.D. Metastatic renal cell carcinoma to the thyroid gland: A clinicopathologic study of 36 cases. Cancer 2002, 95, 1869–1878. [Google Scholar] [CrossRef]
- Mattavelli, F.; Collini, P.; Pizzi, N.; Gervasoni, C.; Pennacchioli, E.; Mazzaferro, V. Thyroid as a target of metastases. A case of foregut neuroendocrine carcinoma with multiple abdominal metastases and a thyroid localization after 21 years. Tumori 2008, 94, 10–13. [Google Scholar] [CrossRef] [PubMed]
- Skowrońska-Jóźwiak, E.; Krawczyk-Rusiecka, K.; Adamczewski, Z.; Sporny, S.; Zadrożny, M.; Dedecjus, M.; Brzeziński, J.; Lewiński, A. Metastases of breast cancer to the thyroid gland in two patients—A case report. Endokrynol. Pol. 2010, 61, 512–515. [Google Scholar]
- Peteiro, A.; Duarte, A.M.; Honavar, M. Breast carcinoma metastatic to follicular adenoma of the thyroid gland. Histopathology 2005, 46, 587–588. [Google Scholar] [CrossRef]
- Bult, P.; Verwiel, J.M.; Wobbes, T.; Kooy-Smits, M.M.; Biert, J.; Holland, R. Malignant adenomyoepithelioma of the breast with metastasis in the thyroid gland 12 years after excision of the primary tumor. Case report and review of the literature. Virchows Arch. 2000, 436, 158–166. [Google Scholar] [CrossRef]
- Chung, S.Y.; Kim, E.K.; Kim, J.H.; Oh, K.K.; Kim, D.J.; Lee, Y.H.; An, H.J.; Kim, J.S. Sonographic findings of metastatic disease to the thyroid. Yonsei Med. J. 2001, 42, 411–417. [Google Scholar] [CrossRef] [PubMed]
- Loo, C.K.; Burchett, I.J. Fine needle aspiration biopsy of neuroendocrine breast carcinoma metastatic to the thyroid. A case report. Acta Cytol. 2003, 47, 83–87. [Google Scholar] [CrossRef] [PubMed]
- Jiménez-Heffernan, J.A.; Perez, F.; Hornedo, J.; Perna, C.; Lapuente, F. Massive thyroid tumoral embolism from a breast carcinoma presenting as acute thyroiditis. Arch Pathol. Lab. Med. 2004, 128, 804–806. [Google Scholar] [CrossRef] [PubMed]
- Gong, Y.; Jalali, M.; Staerkel, G. Fine needle aspiration cytology of a thyroid metastasis of metaplastic breast carcinoma: A case report. Acta Cytol. 2005, 49, 327–330. [Google Scholar] [CrossRef]
- De Ridder, M.; Sermeus, A.B.; Urbain, D.; Storme, G.A. Metastases to the thyroid gland-a report of six cases. Eur. J. Intern. Med. 2003, 14, 377–379. [Google Scholar] [CrossRef]
- Leboeuf, R.; Bénard, F.; Langlois, M.F. Thyroid cancer presenting as a PET incidentaloma in a patient with concomitant breast cancer metastases to the thyroid. Clin. Nucl. Med. 2006, 31, 382–385. [Google Scholar] [CrossRef]
- Owens, C.L.; Basaria, S.; Nicol, T.L. Metastatic breast carcinoma involving the thyroid gland diagnosed by fine-needle aspiration: A case report. Diagn. Cytopathol. 2005, 33, 110–115. [Google Scholar] [CrossRef] [PubMed]
- Cichoń, S.; Anielski, R.; Konturek, A.; Barczyński, M.; Cichoń, W. Metastases to the thyroid gland: Seventeen cases operated on in a single clinical center. Langenbecks Arch. Surg. 2006, 391, 581–587. [Google Scholar] [CrossRef] [PubMed]
- Lacka, K.; Breborowicz, D.; Uliasz, A.; Teresiak, M. Thyroid metastases from a breast cancer diagnosed by fine-needle aspiration biopsy. Case report and overview of the literature. Exp. Oncol. 2012, 34, 129–133. [Google Scholar] [PubMed]
- Nguyen, M.S.; Ginat, D.T.; Giampoli, E.J.; O’Connell, A.M. Breast metastases to thyroid gland. Ultrasound Q. 2013, 29, 327–328. [Google Scholar] [CrossRef]
- Liu, Y.P.; Tiu, C.M.; Chou, Y.H.; Hsu, C.Y.; King, K.L.; Lai, Y.C.; Wang, H.K.; Chiou, H.J.; Chang, C.Y. Thyroid metastasis from breast cancer presenting with diffuse microcalcifications on sonography: A case report. J. Clin. Ultrasound 2014, 42, 430–432. [Google Scholar] [CrossRef] [PubMed]
- Magers, M.J.; Dueber, J.C.; Lew, M.; Pang, J.C.; Davenport, R.D. Metastatic ductal carcinoma of the breast to the thyroid gland diagnosed with fine needle aspiration: A case report with emphasis on morphologic and immunophenotypic features. Diagn. Cytopathol. 2016, 44, 530–534. [Google Scholar] [CrossRef] [PubMed]
- Zhou, L.; Chen, L.; Xu, D.; Shao, Q.; Guo, Z.; Ge, M. Breast cancer metastasis to thyroid: A retrospective analysis. Afri. Health Sci. 2017, 17, 1035–1043. [Google Scholar] [CrossRef] [PubMed]
- Pensabene, M.; Stanzione, B.; Cerillo, I.; Ciancia, G.; Cozzolino, I.; Ruocco, R.; Condello, C.; Di Lorenzo, G.; Giuliano, M.; Forestieri, V.; et al. It is no longer the time to disregard thyroid metastases from breast cancer: A case report and review of the literature. BMC Cancer 2018, 18, 146. [Google Scholar] [CrossRef]
- Durmo, R.; Albano, D.; Giubbini, R. Thyroid metastasis from breast cancer detected by 18F-FDG PET/CT. Endocrine 2019, 64, 424–425. [Google Scholar] [CrossRef] [PubMed]
- Zhang, Y.; Xue, S.; Wang, Z.; Jin, W.; Chen, Z.; Chen, G.; Zhang, Q. Thyroid metastasis from breast cancer presenting with enlarged lateral cervical lymph nodes: A case report. World J. Clin. Cases 2020, 8, 838–847. [Google Scholar] [CrossRef]
- Pakula, J.; Stepien, T.; Kuzdak, K. Metastatic breast cancer in regrowth of thyroid lobe after subtotal thyroidectomy-case report. Pol. Przegl. Chir. 2019, 92, 1–3. [Google Scholar] [CrossRef]
- Lee, D.H.; Yoon, R.G.; An, J.K.; Woo, J.J. Ultrasonographic Features and the Diagnostic Role of Core Needle Biopsy at Metastatic Breast Cancer in the Thyroid gland: A Case Report. Taehan Yongsang Uihakhoe Chi. 2020, 81, 719–725. [Google Scholar] [CrossRef]
- Wang, M.; Liu, X.; Wei, B.; Liu, N.; Li, Q.; Su, X. Mucinous breast carcinoma metastatic to thyroid gland: Report of a case diagnosed by fine-needle aspiration cytology. Diagn. Cytopathol. 2020, 48, 475–478. [Google Scholar] [CrossRef]
- Jung, H.K.; Kim, B.; Ryu, J.H. Intrathyroid metastasis of breast cancer: Sonographic findings. J. Clin. Ultrasound. 2021, 49, 488–491. [Google Scholar] [CrossRef] [PubMed]
- Mistelou, A.; Papadatos, S.S.; Kousi, C.; Lampri, E.; Mitsis, M.; Vougiouklakis, T.; Galani, V. Thyroid Gland as a Target of Secondary Malignancies—An Autopsy Study and Review Data. Folia Med. 2019, 61, 277–288. [Google Scholar] [CrossRef]
- Wen, W.; Jiang, H.; Wen, H.; Peng, Y. Metastasis to the thyroid gland from primary breast cancer presenting as diffuse goiter: A case report and review of literature. World J. Clin. Cases. 2022, 10, 1106–1115. [Google Scholar] [CrossRef] [PubMed]
- Wang, Y.; Zhou, S.; Yu, B.; Zhou, P.; Zhu, J.; Wei, T.; Li, Z. Case report and review of literature: Thyroid metastases from breast carcinoma. Front. Endocrinol. 2021, 12, 631894. [Google Scholar] [CrossRef]
- Yu, Y.; Wang, R.; Deng, J.; Zhou, J.; Zhou, H.; Wang, J. Invasive micropapillary carcinoma of mixed breast cancer metastasizing to the cervical region and thyroid: Report of a rare case. Gland Surg. 2021, 10, 3141–3146. [Google Scholar] [CrossRef]
- Celik, E.; Ozturk, T.; Samanci, N.S.; Demirci, N.S.; Akovali, B.; Demirelli, F.H. Breast cancer to thyroid gland: An unconventional metastatic site. J. Cnacer Res. Ther. 2022, 18, 788–791. [Google Scholar] [CrossRef] [PubMed]
- Gharib, M.; Nosrati, F.; Vedad, P. Occult breast cancer metastasis to the thyroid gland: Case report. Clin. Case Rep. 2022, 10, e5998. [Google Scholar] [CrossRef]
- Yang, Z.; Cai, X.; Cao, X.; Zhao, C.; Lu, H. Metastatic breast cancer to the thyroid diagnosed by fine-needle aspiration cytology: A case report and literature review. Hum. Pathol. 2022, 45, 2192–2201. [Google Scholar] [CrossRef]
- Hoshi, M.; Jikuzono, T.; Suzuki, S.; Ishibashi, O.; Kawamoto, Y.; Kure, S.; Kawamoto, M.; Ohashi, R.; Sugitani, I. Use of ultrasonographic shear wave measurements to diagnose thyroid metastasis from breast carcinoma. J. Nippon Med. Sch 2022. Epub ahead of print. [Google Scholar] [CrossRef] [PubMed]
- Zhang, K.; Yu, Y.; Zang, Y.; Xu, H.; Lv, B.; Wang, Q. Case report: Unique ultrasound feature of thyroid metastases in occult breast cancer. Front. Oncol. 2022, 12, 970286. [Google Scholar] [CrossRef]
- Saito, Y.; Sugitani, I.; Toda, K.; Yamada, K.; Fujimoto, Y. Metastatic thyroid tumors: Ultrasonographic features, prognostic factors and outcomes in 29 cases. Surg. Today 2013, 44, 55–61. [Google Scholar] [CrossRef] [PubMed]
- Debnam, J.M.; Kwon, M.; Fornage, B.D.; Krishnamurthy, S.; Clayman, G.L.; Monroe, B.S.E. Sonographic Evaluation of Intrathyroid Metastases. J. Ultrasound Med. 2017, 36, 69–76. [Google Scholar] [CrossRef] [PubMed]
- Scappaticcio, L.; Virili, C.; Castellana, M.; Paone, G.; Centanni, M.; Trimboli, P.; Giovannella, P. An unsuspicious thyroid nodule with fatal outcome. Hormones 2019, 18, 321–324. [Google Scholar] [CrossRef]
- Ghias, A.F.; Epps, G.; Cottrill, E.; Mardekian, S.K. Multifocal Metastatic Breast Carcinoma to the Thyroid Gland Histologically Mimicking C Cell Lesions. Case Rep. Pathol. 2019, 2019, 9890716. [Google Scholar] [CrossRef]
- Baloch, Z.; Mete, O.; Asa, S.L. Immunohistochemical Biomarkers in Thyroid Pathology. Endocr. Pathol. 2018, 29, 91–112. [Google Scholar] [CrossRef]
- Wagner, K.; Arciaga, R.; Siperstein, A.; Milas, M.; Warshawsky, I.; Sethu, S.; Reddy, K.; Gupta, K.M. Thyrotropin receptor/thyroglobulin messenger ribonucleic acid in peripheral blood and fine-needle aspiration cytology: Diagnostic synergy for detecting thyroid cancer. J. Clin. Endocrinol. Metab. 2005, 90, 1921–1924. [Google Scholar] [CrossRef]
- Mirallié, E.; Rigaud, J.; Mathonnet, M.; Gibelin, H.; Regenet, N.; Hamy, A.; Bretagnol, F.; de Calan, L.; Le Néel, J.C.; Kraimps, J.L. Management and prognosis of metastases to the thyroid gland. J. Am. Coll. Surg. 2005, 200, 203–207. [Google Scholar] [CrossRef]
- Lin, J.D.; Weng, H.F.; Ho, Y.S. Clinical and pathological characteristics of secondary thyroid cancer. Thyroid 1998, 8, 149–153. [Google Scholar] [CrossRef] [PubMed]
- Romero Arenas, M.A.; Ryu, H.; Lee, S.; Morris, L.F.; Grubbs, E.G.; Lee, J.E.; Perrier, N.D. The role of thyroidectomy in metastatic disease to the thyroid gland. Ann. Surg. Oncol. 2014, 21, 434–439. [Google Scholar] [CrossRef] [PubMed]
- Chen, H.; Nicol, T.L.; Udelsman, R. Clinically significant, isolated metastatic disease to the thyroid gland. World J. Surg. 1999, 23, 177–180. [Google Scholar] [CrossRef] [PubMed]



| 1 Year before TM Diagnosis | At TM Diagnosis | With L-T4 Therapy * | |
|---|---|---|---|
| TSH (mUI/L) [0.4–4] | 1.18 | 27.700 | 2.08 |
| fT3 (ng/L) [2.70–5.70] | N/A | 2.55 | 2.78 |
| fT4 (ng/dL) [0.70–1.70] | N/A | 0.94 | 1.22 |
| Reference | Publication Year | Number of Patients | Sex | Age | BC Histology | Other Metastasis | Time Interval between BC and TM (Months) | Clinical Presentation | TM Management | Follow-Up Since TM Diagnosis (Months) |
|---|---|---|---|---|---|---|---|---|---|---|
| Bult et al. [26] | 2000 | 1 | F | 64 | Invasive | None | 144 | Palpable thyroid nodules | CT, RT | 10 |
| Chung et al. [27] | 2001 | 6 | F | 49 | - | Lung, bone | - | - | - | - |
| F | 61 | - | Lung | - | - | - | - | |||
| F | 51 | - | Lung, bone, liver | - | - | - | - | |||
| F | 32 | - | Lung, liver | - | - | - | - | |||
| F | 22 | - | Bone, peritoneum | - | - | - | - | |||
| F | 33 | - | Lung | - | - | - | - | |||
| Loo et al. [28] | 2003 | 1 | F | 52 | Ductal | Bone | 96 | Palpable thyroid nodules | CT | 24 alive |
| Jimenez et al. [29] | 2004 | 1 | F | 37 | - | None | 36 | Acute Thyroiditis | Total Tx | 7 alive |
| Gong et al. [30] | 2005 | 1 | F | 57 | Metaplastic | None | 24 | Palpable thyroid nodules, hoarseness | - | - |
| De Ridder et al. [31] | 2003 | 1 | F | - | Lobular | None | - | - | Hemi-Tx | 19 |
| Wood et al. [5] | 2004 | 1 | F | 72 | Invasive | None | 180 | - | Total Tx | 36 alive |
| Kim et al. [9] | 2005 | 5 | F | 36 | Ductal | Lung, LN | 18 | Palpable thyroid nodules | - | - |
| F | 34 | Ductal | Lung, scalp | 25 | Multinodular goiter | - | - | |||
| F | 44 | Ductal | None | 37 | Palpable thyroid nodules | - | - | |||
| F | 55 | Ductal | Lung, parotid gland | 68 | Multinodular goiter | - | - | |||
| F | 45 | Ductal | Neck LN, lung, bone | 85 | Palpable thyroid nodules | - | - | |||
| Leboeuf et al. [32] | 2006 | 1 | F | 59 | Ductal | Mediastinal, lung, LN, adrenal | 168 | Palpable thyroid nodules | Total Tx | 12 |
| Owens et al. [33] | 2005 | 1 | F | 64 | Invasive | None | 60 | Neck swelling and pain | CT | - |
| Peteiro et al. [25] | 2005 | 1 | F | 42 | Ductal | None | 0 | Palpable thyroid nodules | Hemi-Tx | - |
| Cichon et al. [34] | 2006 | 1 | F | 50 | - | None | 120 | Multinodular goiter | Total Tx | 24 alive |
| Skowronska Jozwiak et al. [24] | 2010 | 2 | F | 49 | Lobular | None | 0 | Palpable thyroid nodules | Total Tx | - |
| F | 65 | - | Lung | 48 | Palpable thyroid nodules | - | - | |||
| Lacka et al. [35] | 1 | F | 54 | Ductal and Lobular | Bone, adrenal | 168 | Multinodular goiter | Total Tx | 36 alive | |
| Nguyen et al. [36] | 2013 | 1 | F | 67 | Lobular | None | 48 | - | - | - |
| Liu et al. [37] | 2014 | 1 | F | 47 | Ductal | None | 24 | Palpable thyroid nodules | - | - |
| Magers et al. [38] | 2016 | 1 | F | 37 | Ductal | Brain, bone | 72 | - | - | - |
| Plonczak et al. [11] | 2017 | 1 | F | 62 | Ductal | Lung, bone | 144 | Neck swelling | Total Tx | 14 alive |
| Zhou et al. [39] | 2017 | 8 | F | 48 | Poorly differentiated | Chest wall | 84 | - | CT | 14 alive |
| F | 59 | Invasive | Chest wall | 24 | - | CT | 5 alive | |||
| F | 57 | Invasive | Lung, LN | 108 | - | CT | 21 alive | |||
| F | 67 | Ductal | None | 74 | - | CT | 4 alive | |||
| F | 48 | Ductal | Lung | 120 | - | Total Tx | 15 alive | |||
| F | 52 | Ductal | None | 6 | - | Hemi-Tx | 45 alive | |||
| F | 69 | Poorly differentiated | None | 60 | - | Total Tx | 38 alive | |||
| F | 43 | Medullary | LN | 84 | - | CT | 30 alive | |||
| Pensabeme et al. [40] | 2018 | 1 | F | 64 | Lobular | None | 6 | Multinodular goiter | Hemi-Tx | 32 |
| Durmo et al. [41] | 2019 | 1 | F | 72 | Ductal | - | - | 18F-FFDG PET/CT staging | - | - |
| Zhang et al. [42] | 2019 | 1 | F | 38 | Ductal | LN | 24 | Palpable thyroid nodules | Total Tx | 5 alive |
| Pakula et al. [43] | 2019 | 1 | F | 66 | - | - | 48 | Staging | Hemi-Tx | 36 |
| Raveendrannair et al. [18] | 2019 | 1 | F | 36 | Ductal | Lung | 0 | Staging | Total Tx | - |
| Lee et al. [44] | 2020 | 1 | F | 64 | Ductal | - | 0 | 18F-FDG PET/CT staging | Total Tx | - |
| Wang et al. [45] | 2020 | 1 | F | 58 | Mucinous | None | 156 | Neck swelling | Tx | 9 alive |
| Jung et al. [46] | 2020 | 1 | F | 59 | - | LN, bone | 180 | Neck swelling and hoarseness | CT | 39 |
| Mistelou et al. [47] | 2019 | 3 | F | 62 | Ductal | Pleura, chest wall, lung, heart, liver | - | - | - | - |
| F | 76 | Ductal | Pleura, chest wall, bone, lung, adrenal | - | - | - | - | |||
| F | 76 | Lobular | Chest wall, lung, bone, pleura, liver | - | - | - | - | |||
| Wen et al. [48] | 2022 | 1 | F | 49 | Ductal | Neck LN | 36 | Palpable thyroid nodules | CT | 6 alive |
| Wang et al. [49] | 2021 | 1 | F | 54 | Ductal | Neck LN, chest wall | 22 | Palpable thyroid nodules, enlarged bilateral neck LN | CT | - |
| Kiziltan et al. [17] | 2021 | 1 | F | 70 | Ductal | LN, bone, | 144 | Staging | - | - |
| Yu et al. [50] | 2021 | 1 | F | 59 | Ductal | LN, chest wall | 60 | 18F-FDG PET/CT staging | Total Tx, CT | 12 alive |
| Celik et al. [51] | 2022 | 1 | F | 78 | Ductal | None, lung, mediastinal LN | 0 | 18F-FDG PET/CT staging | CT | 3 alive |
| Gharib et al. [52] | 2022 | 1 | F | 48 | - | Bone, lung, pleura | 0 | Staging | Total Tx | - |
| Yang et al. [53] | 2022 | 1 | F | 62 | Ductal | LN | 60 | Palpable thyroid nodules | - | - |
| Hoshi et al. [54] | 2022 | 1 | F | 58 | Ductal | LN | 156 | Neck swelling | Total Tx | - |
| Zhang et al. [55] | 2022 | 1 | F | 46 | Ductal | LN, brain | 36 | Staging | CT | 12 |
| Current Study | 2023 | 1 | F | 72 | - | Liver, LN, peritoneum, bone | 216 | Dysphagia, severe hypothyroidism | Hemi-Tx | 15 alive |
Disclaimer/Publisher’s Note: The statements, opinions and data contained in all publications are solely those of the individual author(s) and contributor(s) and not of MDPI and/or the editor(s). MDPI and/or the editor(s) disclaim responsibility for any injury to people or property resulting from any ideas, methods, instructions or products referred to in the content. |
© 2023 by the authors. Licensee MDPI, Basel, Switzerland. This article is an open access article distributed under the terms and conditions of the Creative Commons Attribution (CC BY) license (https://creativecommons.org/licenses/by/4.0/).
Share and Cite
Patrizio, A.; Ferrari, S.M.; Stoppini, G.; Palmisano, E.; Elia, G.; Ragusa, F.; Paparo, S.R.; Balestri, E.; Mazzi, V.; Botrini, C.; et al. Thyroid Metastasis from Primary Breast Cancer. J. Clin. Med. 2023, 12, 2709. https://doi.org/10.3390/jcm12072709
Patrizio A, Ferrari SM, Stoppini G, Palmisano E, Elia G, Ragusa F, Paparo SR, Balestri E, Mazzi V, Botrini C, et al. Thyroid Metastasis from Primary Breast Cancer. Journal of Clinical Medicine. 2023; 12(7):2709. https://doi.org/10.3390/jcm12072709
Chicago/Turabian StylePatrizio, Armando, Silvia Martina Ferrari, Giulio Stoppini, Elena Palmisano, Giusy Elia, Francesca Ragusa, Sabrina Rosaria Paparo, Eugenia Balestri, Valeria Mazzi, Chiara Botrini, and et al. 2023. "Thyroid Metastasis from Primary Breast Cancer" Journal of Clinical Medicine 12, no. 7: 2709. https://doi.org/10.3390/jcm12072709
APA StylePatrizio, A., Ferrari, S. M., Stoppini, G., Palmisano, E., Elia, G., Ragusa, F., Paparo, S. R., Balestri, E., Mazzi, V., Botrini, C., Proietti, A., Famà, F., Benvenga, S., Antonelli, A., & Fallahi, P. (2023). Thyroid Metastasis from Primary Breast Cancer. Journal of Clinical Medicine, 12(7), 2709. https://doi.org/10.3390/jcm12072709

