Ogilvie Syndrome and Acute Kidney Injury: A Rare Complication of Cesarean Section and Preeclampsia
Abstract
:1. Background
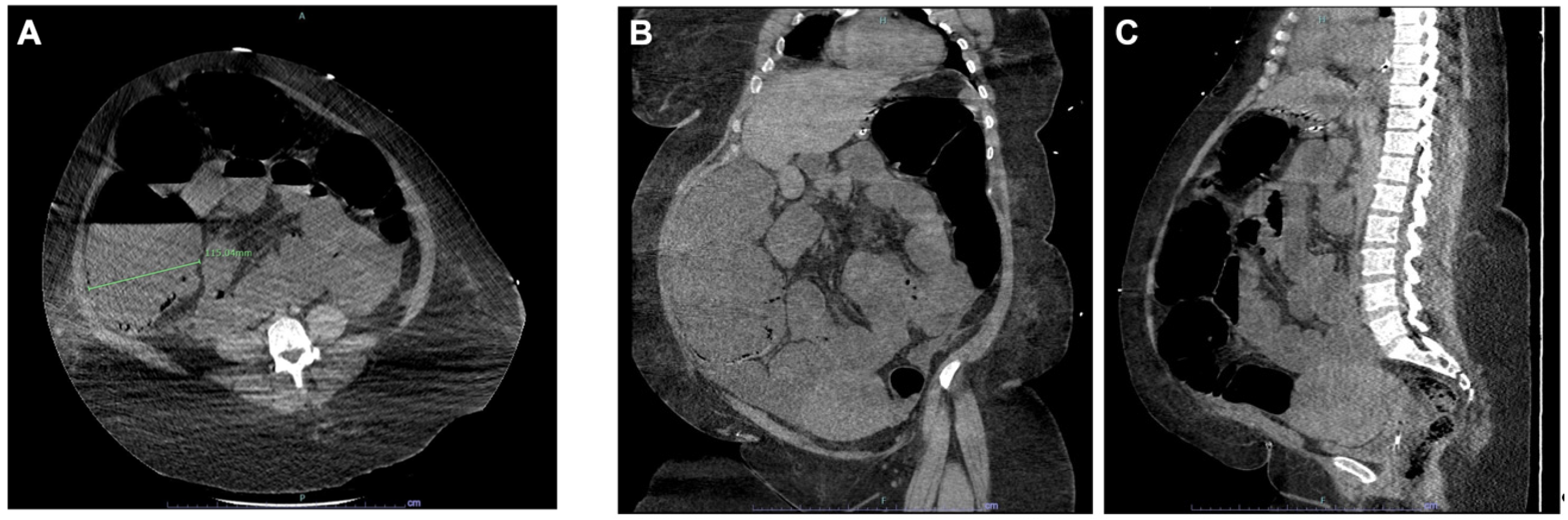
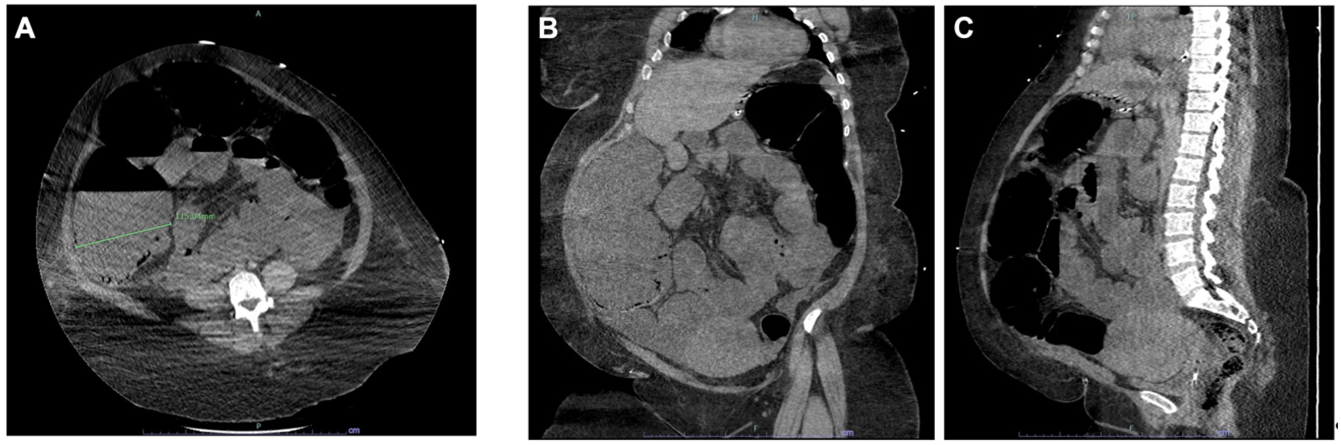
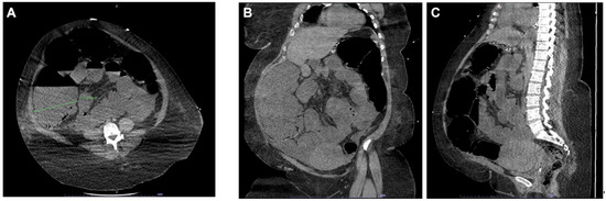
Case Report
- –
- three ectopic pregnancies at the age of 21, 23, and 24;
- –
- one twin pregnancy at the age of 25, complicated by preeclampsia;
- –
- three miscarriages at the age of 26, 27, and 28;
- –
- one successful pregnancy at the age of 29, without complications;
- –
- one miscarriage at the age of 32.
2. Discussion
Funding
Data Availability Statement
Conflicts of Interest
References
- Chappell, L.C.; Cluver, C.A.; Kingdom, J.; Tong, S. Pre-eclampsia. Lancet 2021, 398, 341–354. [Google Scholar] [CrossRef] [PubMed]
- Sinkey, R.G.; Battarbee, A.N.; Bello, N.A.; Ives, C.W.; Oparil, S.; Tita, A.T.N. Prevention, Diagnosis, and Management of Hypertensive Disorders of Pregnancy: A Comparison of International Guidelines. Curr. Hypertens. Rep. 2020, 22, 66. [Google Scholar] [CrossRef] [PubMed]
- Pereira, P.; Djeudji, F.; Leduc, P.; Fanget, F.; Barth, X. Ogilvie’s syndrome-acute colonic pseudo-obstruction. J. Visc. Surg. 2015, 152, 99–105. [Google Scholar] [CrossRef] [PubMed]
- Arthur, T.; Burgess, A. Acute Colonic Pseudo-Obstruction. Clin. Colon. Rectal. Surg. 2022, 35, 221–226. [Google Scholar] [CrossRef] [PubMed]
- Underhill, J.; Munding, E.; Hayden, D. Acute Colonic Pseudo-obstruction and Volvulus: Pathophysiology, Evaluation, and Treatment. Clin. Colon. Rectal. Surg. 2021, 34, 242–250. [Google Scholar] [CrossRef] [PubMed]
- Jayaram, P.; Mohan, M.; Lindow, S.; Konje, J. Postpartum Acute Colonic Pseudo-Obstruction (Ogilvie’s Syndrome): A systematic review of case reports and case series. Eur. J. Obstet. Gynecol. Reprod. Biol. 2017, 214, 145–149. [Google Scholar] [CrossRef] [PubMed]
- O’Malley, K.J.; Flechner, S.M.; Kapoor, A.; Rhodes, R.A.; Modlin, C.S.; Goldfarb, D.A.; Novick, A.C. Acute colonic pseudo-obstruction (Ogilvie’s syndrome) after renal transplantation. Am. J. Surg. 1999, 177, 492–496. [Google Scholar] [CrossRef]
- Gupta, M.; Feinberg, B.B.; Burwick, R.M. Thrombotic microangiopathies of pregnancy: Differential diagnosis. Pregnancy Hypertens. 2018, 12, 29–34. [Google Scholar] [CrossRef] [PubMed]
- Varo, R.; Chaccour, C.; Bassat, Q. Update on malaria. Med. Clin. 2020, 155, 395–402. [Google Scholar] [CrossRef] [PubMed]
- Reeves, M.; Frizelle, F.; Wakeman, C.; Parker, C. Acute colonic pseudo-obstruction in pregnancy. ANZ J. Surg. 2015, 85, 728–733. [Google Scholar] [CrossRef] [PubMed]
- Sperling, L.S.; Schantz, A.L.; Toftager-Larsen, K.; Ovlisen, B. Non-obstructive cecal dilatation and perforation after cesarean section. Acta Obstet. Gynecol. Scand. 1990, 69, 437–439. [Google Scholar] [CrossRef] [PubMed]
- Bresadola, V.; Brollo, P.P.; Graziano, M.; Biddau, C.; Occhiali, T.; Driul, L. The rare Ogilvie’s Syndrome in pregnancy. How to manage? A case report and literature review. J. Obstet. Gynaecol. 2022, 42, 1–9. [Google Scholar] [CrossRef] [PubMed]
- Roberts, C.A. Ogilvie’s syndrome after cesarean delivery. J. Obstet. Gynecol. Neonatal. Nurs. 2000, 29, 239–246. [Google Scholar] [CrossRef] [PubMed]
- Mander, R.; Smith, G.D. A systematic review of medical diagnosis of Ogilvie’s syndrome in childbearing. Midwifery 2010, 26, 573–578. [Google Scholar] [CrossRef] [PubMed]
- Tsirline, V.B.; Zemlyak, A.Y.; Avery, M.J.; Colavita, P.D.; Christmas, A.B.; Heniford, B.T.; Sing, R.F. Colonoscopy is superior to neostigmine in the treatment of Ogilvie’s syndrome. Am. J. Surg. 2012, 204, 849–855. [Google Scholar] [CrossRef] [PubMed]
- Pirzada, S.; Khan, Z.H.; Mahoney, A.; Mankani, A.A. COVID-19 Infection as a Possible Cause of Ogilvie’s Syndrome. Cureus 2022, 14, e32345. [Google Scholar] [CrossRef] [PubMed]
- Yao, P.F.; Zhang, P.J.; Dong, H.; Sun, Y. Acute Colonic Pseudo-Obstruction in Severe Falciparum Malaria: A Case Report. J. Med. Cases 2021, 12, 481–484. [Google Scholar] [CrossRef] [PubMed]
- Molitoris, B.A. Low-Flow Acute Kidney Injury: The Pathophysiology of Prerenal Azotemia, Abdominal Compartment Syndrome, and Obstructive Uropathy. Clin. J. Am. Soc. Nephrol. 2022, 17, 1039–1049. [Google Scholar] [CrossRef] [PubMed]
- Patel, D.M.; Connor, M.J., Jr. Intra-Abdominal Hypertension and Abdominal Compartment Syndrome: An Underappreciated Cause of Acute Kidney Injury. Adv. Chronic Kidney Dis. 2016, 23, 160–166. [Google Scholar] [CrossRef] [PubMed]

| Ogilvie Syndrome | Severe Malaria | Preeclampsia | HELLP | |
|---|---|---|---|---|
| Fever | +++ | +++ | − | − |
| Abdominal pain | +++ | +++ | + | ++ |
| Headache | − | + | ++ | ++ |
| GI symptoms | +++ | + | +/− | +/− |
| Swelling arms/legs | − | − | +/− | +/− |
| Visual impairment-scotomata | − | − | +/− | +/− |
| Weight gain | −/+ | − | ++ | ++ |
| Hypertension | − | − | +++ | ++ |
| proteinuria | − | − | ++ | ++ |
| Microhematuria | − | +/− | − | − |
| Neurological worsening | +/− | +++ | − | ++ |
| Dyspnea/ARDS | +/− | +++ | +/− | +/− |
| Hemolytic anemia | ++ | +++ | +/− | +++ |
| Thrombocytopenia | ++ | ++ | − | +++ |
| AKI | ++ | +++ | ++ | ++ |
| Increased bilirubin | ++ | +++ | − | +/− |
| Liver enzymes | − | − | +/− | +++ |
| Hyperlactatemia | − | +++ | − | − |
| Hypoglycemia | − | ++ | − | − |
Disclaimer/Publisher’s Note: The statements, opinions and data contained in all publications are solely those of the individual author(s) and contributor(s) and not of MDPI and/or the editor(s). MDPI and/or the editor(s) disclaim responsibility for any injury to people or property resulting from any ideas, methods, instructions or products referred to in the content. |
© 2023 by the authors. Licensee MDPI, Basel, Switzerland. This article is an open access article distributed under the terms and conditions of the Creative Commons Attribution (CC BY) license (https://creativecommons.org/licenses/by/4.0/).
Share and Cite
Stancanelli, M.R.; Njandjo, L.; Errigo, F.; Fois, A.; Santoro, D.; Piccoli, G.B.; Torreggiani, M. Ogilvie Syndrome and Acute Kidney Injury: A Rare Complication of Cesarean Section and Preeclampsia. J. Clin. Med. 2023, 12, 2249. https://doi.org/10.3390/jcm12062249
Stancanelli MR, Njandjo L, Errigo F, Fois A, Santoro D, Piccoli GB, Torreggiani M. Ogilvie Syndrome and Acute Kidney Injury: A Rare Complication of Cesarean Section and Preeclampsia. Journal of Clinical Medicine. 2023; 12(6):2249. https://doi.org/10.3390/jcm12062249
Chicago/Turabian StyleStancanelli, Maria Rita, Linda Njandjo, Federica Errigo, Antioco Fois, Domenico Santoro, Giorgina Barbara Piccoli, and Massimo Torreggiani. 2023. "Ogilvie Syndrome and Acute Kidney Injury: A Rare Complication of Cesarean Section and Preeclampsia" Journal of Clinical Medicine 12, no. 6: 2249. https://doi.org/10.3390/jcm12062249
APA StyleStancanelli, M. R., Njandjo, L., Errigo, F., Fois, A., Santoro, D., Piccoli, G. B., & Torreggiani, M. (2023). Ogilvie Syndrome and Acute Kidney Injury: A Rare Complication of Cesarean Section and Preeclampsia. Journal of Clinical Medicine, 12(6), 2249. https://doi.org/10.3390/jcm12062249

