Metastatic Lung Cancer to the Head and Neck: A Clinico-Pathological Study on 21 Cases with Narrative Review of the Literature
Abstract
1. Introduction
2. Materials and Methods
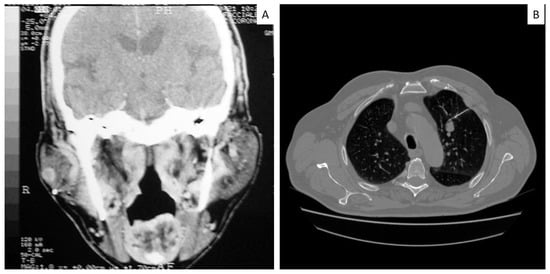
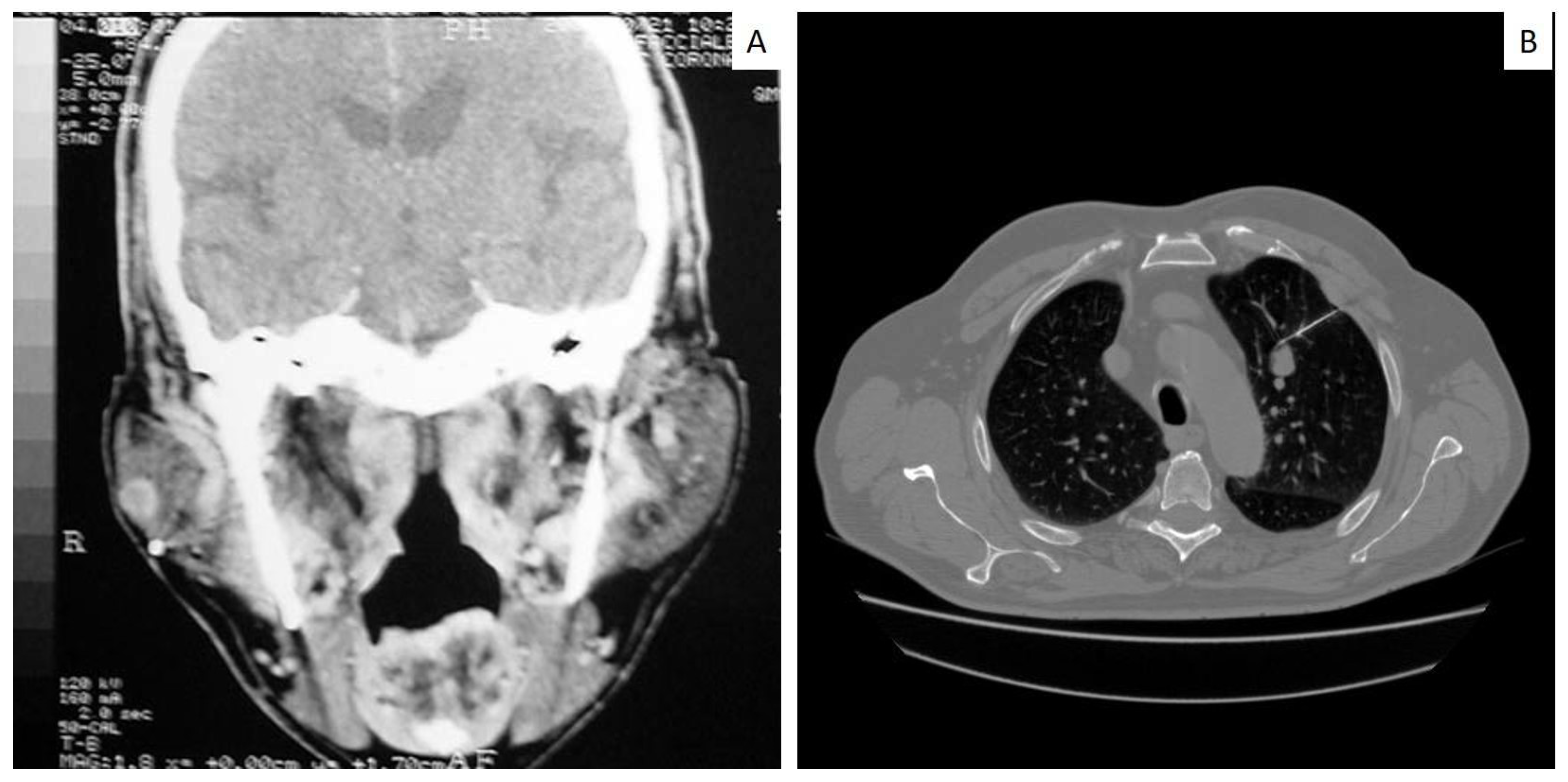
3. Results
4. Discussion
4.1. Lung Cancer
Epidemiological Data
4.2. Lung Cancer Metastasis
4.2.1. Establishment, Invasion and Cell Migration
4.2.2. Metastatic Colonization, Site Specificity, and the Role of Inflammation at the Intraoral Metastatic Sites
4.2.3. Relevant Literature
4.3. Diagnostic Issues in Metastatic Lung Cancer to Head and Neck
4.4. Final Considerations and Discussion about the Herein Reported Cases
Author Contributions
Funding
Institutional Review Board Statement
Informed Consent Statement
Data Availability Statement
Conflicts of Interest
References
- Hirshberg, A.; Buchner, A. Metastatic tumor to the oral region. An overview. Oral Oncol. Eur. J. Cancer 1995, 31, 355–360. [Google Scholar] [CrossRef] [PubMed]
- Shen, M.L.; Kang, J.; Wen, Y.L.; Ying, W.M.; Yi, J.; Hua, C.G.; Tang, X.F.; Wen, Y.M. Metastatic tumors of the oral and maxillofacial region: A retrospective study of 19 cases in Western China and review of Chinese and English literature. J. Oral Maxillofac. Surg. 2009, 67, 718–737. [Google Scholar] [CrossRef]
- Hirshberg, A.; Leibovich, P.; Buchner, A. Metastasis to the oral mucosa: Analysis of 157 cases. J. Oral Pathol. Med. 1993, 22, 358–390. [Google Scholar] [CrossRef] [PubMed]
- Hirshberg, A.; Berger, R.; Allon, I.; Kaplan, I. Metastatic tumors to the jaws and mouth. Head Neck Pathol. 2014, 8, 463–474. [Google Scholar] [CrossRef] [PubMed]
- McClure, S.A.; Movahed, R.; Salama, A.; Ord, R.A. Maxillofacial metastases: A retrospective review of one institution’s 15-year experience. J. Oral Maxillofac. Surg. 2013, 71, 178–188. [Google Scholar] [CrossRef] [PubMed]
- Hirshberg, A.; Leibovich, P.; Buchner, A. Metastatic tumors at the Jawbones: Analysis of 390 cases. J. Oral Pathol. Med. 1994, 23, 337–341. [Google Scholar] [CrossRef]
- Irani, S. Metastasis to the Jawbones: A review of 453 cases. J. Int. Soc. Prev. Community Dent. 2017, 7, 71–81. [Google Scholar] [CrossRef]
- Capodiferro, S.; Limongelli, L.; Tempesta, A.; Maiorano, E.; Ingravallo, G.; Maffei, R.; Favia, G. Perimplant metastasis as first manifestation of an unknown lung cancer: Literature review and two new cases. J. Oral Implantol. 2022, Online ahead of print. [CrossRef]
- Capodiferro, S.; Limongelli, L.; Mastropasqua, M.G.; Favia, G.; Lajolo, C.; Colella, G.; Tempesta, A.; Maiorano, E. Metastatic Tumors of the Oro-Facial Tissues: Clear Cell Renal Cell Carcinoma. A Clinico-Pathological and Immunohistochemical Study of Seven Cases. J. Clin. Med. 2020, 9, 1151. [Google Scholar] [CrossRef]
- Pastore, A.; Ciorba, A.; Soliani, M.; Di Laora, A.; Valpiani, G.; Bianchini, C.; Stomeo, F.; Merlo, R.; Pelucchi, S. Secondary malignant tumors of the parotid gland: Not a secondary problem! J BUON 2017, 22, 513–518. [Google Scholar]
- Franzen, A.; Buchali, A.; Lieder, A. The rising incidence of parotid metastases: Our experience from four decades of parotid gland surgery. Acta Otorhinolaryngol. Ital. 2017, 37, 264–269. [Google Scholar] [CrossRef]
- Hirshberg, A.; Leibovich, P.; Horowitz, I.; Buchner, A. Metastatic tumors to post-extraction sites. J. Oral Maxillofac. Surg. 1993, 51, 1334–1337. [Google Scholar] [CrossRef] [PubMed]
- Nakamura, H.; Saji, H. Worldwide trend of increasing primary adenocarcinoma of the lung. Surg. Today 2014, 44, 1004–1012. [Google Scholar] [CrossRef] [PubMed]
- Yang, C.J.; Hwang, J.J.; Kang, W.Y.; Chong, I.W.; Wang, T.H.; Sheu, C.C.; Tsai, J.R.; Huang, M.S. Gastro-intestinal metastasis of primary lung carcinoma: Clinical presentations and outcome. Lung Cancer 2006, 54, 319–323. [Google Scholar] [CrossRef]
- Popper, H.H. Progression and metastasis of lung cancer. Cancer Metastasis Rev. 2016, 35, 75–91. [Google Scholar] [CrossRef] [PubMed]
- Sugiura, H.; Yamada, K.; Sugiura, T.; Hida, T.; Mitsudomi, T. Predictors of survival in patients with bone metastasis of lung cancer. Clin. Orthop. Relat. Res. 2008, 466, 729–736. [Google Scholar] [CrossRef] [PubMed]
- Turner, R.C.; Lucke-Wold, B.P.; Hwang, R.; Underwood, B.D. Lung cancer metastasis presenting as a solitary skull mass. J. Surg. Case Rep. 2016, 2016, rjw116. [Google Scholar] [CrossRef]
- Luzzi, K.J.; MacDonald, I.C.; Schmidt, E.E.; Kerkvliet, N.; Morris, V.L.; Chambers, A.F.; Groom, A.C. Multistep nature of metastatic inefficiency: Dormancy of solitary cells after successful extravasation and limited survival of early micrometastases. Am. J. Pathol. 1998, 153, 865–873. [Google Scholar] [CrossRef]
- Im, J.H.; Fu, W.; Wang, H.; Bhatia, S.K.; Hammer, D.A.; Kowalska, M.A.; Muschel, R.J. Coagulation facilitates tumor cell spreading in the pulmonary vasculature during early metastatic colony formation. Cancer Res. 2004, 64, 8613–8619. [Google Scholar] [CrossRef]
- Popper, H. Primary tumor and metastasis-sectioning the different steps of the metastatic cascade. Transl. Lung Cancer Res. 2020, 9, 2277–2300. [Google Scholar] [CrossRef]
- Jamil, A.; Kasi, A. Lung Metastasis. In StatPearls [Internet]; StatPearls Publishing: Treasure Island, FL, USA, 2020. [Google Scholar]
- Gil-Bernabe, A.M.; Ferjancic, S.; Tlalka, M.; Zhao, L.; Allen, P.D.; Im, J.H.; Watson, K.; Hill, S.A.; Amirkhosravi, A.; Francis, J.L.; et al. Recruitment of monocytes/macrophages by tissue factor-mediated coagulation is essential for metastatic cell survival and premetastatic niche establishment in mice. Blood 2012, 119, 3164–3175. [Google Scholar] [CrossRef]
- Horak, C.E.; Steeg, P.S. Metastasis gets site specific. Cancer Cell 2005, 8, 93–95. [Google Scholar] [CrossRef] [PubMed]
- Powell, C.A.; Brambilla, E.; Bubendorf, L.; Dacic, S.; Dziadziuszko, R.; Geisinger, K.; Hirsch, F.R.; Ladanyi, M.; Meyerson, M.; Nicholson, A.G.; et al. Molecular testing for treatment selection in lung cancer. In WHO Classification of Tumours of the Lung, Pleura, Hymus and Heart, 4th ed.; Travis, W.D., Brambilla, E., Burke, A.P., Marx, A., Nicholson, A.G., Eds.; International Agency for Research on Cancer (IARC): Lyon, France, 2015; pp. 22–37. [Google Scholar]
- Hirsch, F.R.; Scagliotti, G.V.; Mulshine, J.L.; Kwon, R.; Curran, W.J.; Wu, Y.L.; Paz-Ares, L. Lung cancer: Current therapies and new targeted treatments. Lancet 2017, 389, 299–311. [Google Scholar] [CrossRef] [PubMed]
- Bray, F.; Ferlay, J.; Soerjomataram, I.; Siegel, R.L.; Torre, L.A.; Jemal, A. Global cancer statistics 2018: GLOBOCAN estimates of incidence and mortality worldwide for 36 cancers in 185 countries. CA Cancer J. Clin. 2018, 68, 394–424. [Google Scholar] [CrossRef] [PubMed]
- Zhou, Y.; Yu, F.; Zhao, Y.; Zeng, Y.; Yang, X.; Chu, L.; Chu, X.; Li, Y.; Zou, L.; Guo, T.; et al. A narrative review of evolving roles of radiotherapy in advanced non-small cell lung cancer: From palliative care to active player. Transl. Lung Cancer Res. 2020, 9, 2479–2493. [Google Scholar] [CrossRef] [PubMed]
- Gridelli, C.; Rossi, A.; Carbone, D.P.; Guarize, J.; Karachaliou, N.; Mok, T.; Petrella, F.; Spaggiari, L.; Rosell, R. Non-small-cell lung cancer. Nat. Rev. Dis. Prim. 2015, 1, 15009. [Google Scholar] [CrossRef] [PubMed]
- Catena, R.; Luis-Ravelo, D.; Antón, I.; Zandueta, C.; Salazar-Colocho, P.; Larzábal, L.; Calvo, A.; Lecanda, F. PDGFR signaling blockade in marrow stroma impairs lung cancer bone metastasis. Cancer Res. 2011, 71, 164–174. [Google Scholar] [CrossRef] [PubMed]
- Valencia, K.; Ormazábal, C.; Zandueta, C.; Luis-Ravelo, D.; Antón, I.; Pajares, M.J.; Agorreta, J.; Montuenga, L.M.; Martínez-Canarias, S.; Leitinger, B.; et al. Inhibition of collagen receptor discoidin domain receptor-1 (DDR1) reduces cell survival, homing, and colonization in lung cancer bone metastasis. Clin. Cancer Res. 2012, 18, 969–980. [Google Scholar] [CrossRef]
- Vicent, S.; Luis-Ravelo, D.; Antón, I.; Garcia-Tunon, I.; Borrás-Cuesta, F.; Dotor, J.; De Las Rivas, J.; Lecanda, F. A novel lung cancer signature mediates metastatic bone colonization by a dual mechanism. Cancer Res. 2008, 68, 2275–2285. [Google Scholar] [CrossRef]
- Luis-Ravelo, D.; Antón, I.; Zandueta, C.; Valencia, K.; Pajares, M.J.; Agorreta, J.; Montuenga, L.; Vicent, S.; Wistuba, I.I.; De Las Rivas, J.; et al. RHOB influences lung adenocarcinoma metastasis and resistance in a host-sensitive manner. Mol. Oncol. 2014, 8, 196–206. [Google Scholar] [CrossRef]
- Feeley, B.T.; Liu, N.Q.; Conduah, A.H.; Krenek, L.; Roth, K.; Dougall, W.C.; Huard, J.; Dubinett, S.; Lieberman, J.R. Mixed metastatic lung cancer lesions in bone are inhibited by noggin overexpression and Rank:Fc administration. J. Bone Miner. Res. 2006, 21, 1571–1580. [Google Scholar] [CrossRef]
- Dougall, W.C.; Holen, I.; Gonzalez Suarez, E. Targeting RANKL in metastasis. Bonekey Rep. 2014, 3, 519. [Google Scholar] [CrossRef] [PubMed]
- Peng, X.; Guo, W.; Ren, T.; Lou, Z.; Lu, X.; Zhang, S.; Lu, Q.; Sun, Y. Differential expression of the RANKL/RANK/OPG system is associated with bone metastasis in human non-small cell lung cancer. PLoS ONE 2013, 8, e58361. [Google Scholar] [CrossRef]
- Hirshberg, A.; Shnaiderman-Shapiro, A.; Kaplan, I.; Berger, R. Metastatic tumours to the oral cavity—Pathogenesis and analysis of 673 cases. Oral Oncol. 2008, 44, 743–752. [Google Scholar] [CrossRef] [PubMed]
- Kirschnick, L.B.; Schuch, L.F.; Cademartori, M.G.; Vasconcelos, A.C.U. Metastasis to the oral and maxillofacial region: A systematic review. Oral Dis. 2020, 28, 23–32. [Google Scholar] [CrossRef]
- Kaplan, I.; Raiser, V.; Shuster, A.; Shlomi, B.; Rosenfeld, E.; Greenberg, A.; Hirshberg, A.; Yahalom, R.; Shnaiderman-Shapiro, A.; Vered, M. Metastatic tumors in oral mucosa and jawbones: Unusual primary origins and unusual oral locations. Acta Histochem. 2019, 121, 151448. [Google Scholar] [CrossRef] [PubMed]
- Mukaida, N.; Zhang, D.; Sasaki, S.I. Emergence of Cancer-Associated Fibroblasts as an Indispensable Cellular Player in Bone Metastasis Process. Cancers 2020, 12, 2896. [Google Scholar] [CrossRef]
- Wood, S.L.; Brown, J.E. Personal Medicine and Bone Metastases: Biomarkers, Micro-RNAs and Bone Metastases. Cancers 2020, 12, 2109. [Google Scholar] [CrossRef]
- Abe, M.; Watanabe, K.; Shinozaki-Ushiku, A.; Ushiku, T.; Abe, T.; Fujihara, Y.; Amano, Y.; Zong, L.; Wang, C.-P.; Kubo, E.; et al. Identification of a metastatic lung adenocarcinoma of the palate mucosa through genetic and histopathological analysis: A rare case report and literature review. BMC Cancer 2019, 19, 52. [Google Scholar] [CrossRef] [PubMed]
- Spano, D.; Zollo, M. Tumor microenvironment: A main actor in the metastasis process. Clin. Exp. Metastasis 2012, 29, 381–395. [Google Scholar] [CrossRef]
- Borsig, L.; Wolf, M.J.; Roblek, M.; Lorentzen, A.; Heikenwalder, M. Inflammatory chemokines and metastasis–tracing the accessory. Oncogene 2014, 33, 3217–3224. [Google Scholar] [CrossRef]
- Elinav, E.; Nowarski, R.; Thaiss, C.A.; Hu, B.; Jin, C.; Flavell, R.A. Inflammation-induced cancer: Crosstalk between tumours, immune cells and microorganisms. Nat. Rev. Cancer 2013, 13, 759–771. [Google Scholar] [CrossRef] [PubMed]
- Landskron, G.; De la Fuente, M.; Thuwajit, P.; Thuwajit, C.; Hermoso, M.A. Chronic inflammation and cytokines in the tumor microenvironment. J. Immunol. Res. 2014, 2014, 149185. [Google Scholar] [CrossRef] [PubMed]
- Allon, I.; Hecht-Nakar, L.; Hirshberg, A.; Livoff, A. Metastasis around dental implants mascaraing as peri-implantitis—A wolf in sheep’s clothing. Oral Surg. Oral Med. Oral Pathol. Oral Radiol. 2019, 128, e40. [Google Scholar] [CrossRef]
- Allon, I.; Pessing, A.; Kaplan, I.; Allon, D.M.; Hirshberg, A. Metastatic tumors to the gingiva and the presence of teeth as a contributing factor: A literature analysis. J. Periodontol. 2014, 85, 132–139. [Google Scholar] [CrossRef]
- Raiser, V.; Abu-El Naaj, I.; Shlomi, B.; Fliss, D.M.; Kaplan, I. Primary Oral Malignancy Imitating Peri-Implantitis. J. Oral Maxillofac. Surg. 2016, 74, 1383–1390. [Google Scholar] [CrossRef]
- Verhoeven, J.W.; Cune, M.S.; van Es, R.J. An unusual case of implant failure. Int. J. Prosthodont. 2007, 20, 51–54. [Google Scholar] [PubMed]
- Jepsen, S.; Caton, J.G.; Albandar, J.M.; Bissada, N.F.; Bouchard, P.; Cortellini, P.; Demirel, K.; de Sanctis, M.; Ercoli, C.; Fan, J.; et al. Periodontal manifestations of systemic diseases and developmental and acquired conditions: Consensus report of workgroup 3 of the 2017 World Workshop on the Classification of Periodontal and Peri-Implant Diseases and Conditions. J. Periodontol. 2018, 89, S237–S248. [Google Scholar] [CrossRef]
- Irani, S. Metastasis to the oral soft tissues: A review of 412 cases. J. Int. Soc. Prev. Community Dent. 2016, 6, 393–401. [Google Scholar] [CrossRef]
- Kaur, H.; Mishra, D.; Manchanda, S.; Bhutia, O. Mandibular tumour as the primary manifestation of an occult adenocarcinoma. BMJ Case Rep. 2021, 14, e239151. [Google Scholar] [CrossRef]
- Tamgadge, S.; Pereira, T.; Kale, S.; Shetty, S.; Tamgadge, A. Lung metastasis, an incidental finding in maxilla—A case report. Indian J. Pathol. Microbiol. 2020, 63, 273–275. [Google Scholar] [CrossRef]
- Global Cancer Observatory. International Agency for Research on Cancer. Population Fact Sheets. Available online: http://www.gco.iarc.fr/today/data/factsheets/cancers/15-Lung-fact-sheet.pdf (accessed on 29 November 2018).
- Howlader, N.; Noone, A.M.; Krapcho, M.; Miller, D.; Brest, A.; Yu, M.; Ruhl, J.; Tatalovich, Z.; Mariotto, A.; Lewis, D.R.; et al. (Eds.) SEER Cancer Statistics Review, 1975–2018; National Cancer Institute: Bethesda, MD, USA, 2020. [Google Scholar]
- Xu, X.Y.; Yang, G.Y.; Yang, J.H.; Li, J. Analysis of clinical characteristics and differential diagnosis of the lung biopsy specimens in 99 adenocarcinoma cases and 111 squamous cell carcinoma cases: Utility of an immunohistochemical panel containing CK5/6, CK34βE12, p63, CK7 and TTF-1. Pathol. Res. Pract. 2014, 210, 680–685. [Google Scholar] [CrossRef] [PubMed]
- Kim, M.J.; Shin, H.C.; Shin, K.C.; Ro, J.Y. Best immunohistochemical panel in distinguishing adenocarcinoma from squamous cell carcinoma of lung: Tissue microarray assay in resected lung cancer specimens. Ann. Diagn. Pathol. 2013, 17, 85–90. [Google Scholar] [CrossRef] [PubMed]
- Whithaus, K.; Fukuoka, J.; Prihoda, T.J.; Jagirdar, J. Evaluation of napsin A, cytokeratin 5/6, p63, and thyroid transcription factor 1 in adenocarcinoma versus squamous cell carcinoma of the lung. Arch. Pathol. Lab. Med. 2012, 136, 155–162. [Google Scholar] [CrossRef]
- Rekhtman, N.; Ang, D.C.; Sima, C.S.; Travis, W.D.; Moreira, A.L. Immunohistochemical algorithm for differentiation of lung adenocarcinoma and squamous cell carcinoma based on large series of whole-tissue sections with validation in small specimens. Mod. Pathol. 2011, 24, 1348–1359. [Google Scholar] [CrossRef]
- Pelosi, G.; Rossi, G.; Bianchi, F.; Maisonneuve, P.; Galetta, D.; Sonzogni, A.; Veronesi, G.; Spaggiari, L.; Papotti, M.; Barbareschi, M.; et al. Immunhistochemistry by eans of widely agreed-upon markers (cytokeratins 5/6 and 7, p63, thyroid transcription factor-1, and vimentin) on small biopsies of non-small cell lung cancer effectively parallels the corresponding profiling and eventual diagnoses on surgical specimens. J. Thorac. Oncol. 2011, 6, 1039–1049. [Google Scholar]
- Nicholson, A.G.; Gonzalez, D.; Shah, P.; Pynegar, M.J.; Deshmukh, M.; Rice, A.; Popat, S. Refining the diagnosis and EGFR status of non-small cell lung carcinoma in biopsy and cytologic material, using a panel of mucin staining, TTF-1, cytokeratin 5/6, and P63, and EGFR mutation analysis. J. Thorac. Oncol. 2010, 5, 436–441. [Google Scholar] [CrossRef] [PubMed]
- Johansson, L. Histopathologic classification of lung cancer: Relevance of cytokeratin and TTF-1 immunophenotyping. Ann. Diagn. Pathol. 2004, 8, 259–267. [Google Scholar] [CrossRef]
- Tan, D.; Li, Q.; Deeb, G.; Ramnath, N.; Slocum, H.K.; Brooks, J.; Cheney, R.; Wiseman, S.; Anderson, T.; Loewen, G. Thyroid transcription factor-1 expression prevalence and its clinical implications in non-small cell lung cancer: A high-throughput tissue microarray and immunohistochemistry study. Hum. Pathol. 2003, 34, 597–604. [Google Scholar] [CrossRef]
- Tan, D.; Zander, D.S. Immunohistochemistry for assessment of pulmonary and pleural neoplasms: A review and update. Int. J. Clin. Exp. Pathol. 2008, 1, 19–31. [Google Scholar]
- Inamura, K.; Satoh, Y.; Okumura, S.; Nakagawa, K.; Tsuchiya, E.; Fukayama, M.; Ishikawa, Y. Pulmonary adenocarcinomas with enteric differentiation: Histologic and immunohistochemical characteristics compared with metastatic colorectal cancers and usual pulmonary adenocarcinomas. Am. J. Surg. Pathol. 2005, 29, 660–665. [Google Scholar] [CrossRef]
- Pfammatter, C.; Lindenmüller, I.H.; Lugli, A.; Filippi, A.; Kühl, S. Metastases and primary tumors around dental implants: A literature review and case report of peri-implant pulmonary metastasis. Quintessence Int. 2012, 43, 563–570. [Google Scholar] [PubMed]
- Kaplan, I.; Zeevi, I.; Tal, H.; Rosenfeld, E.; Chaushu, G. Clinicopathologic evaluation of malignancy adjacent to dental implants. Oral Surg. Oral Med. Oral Pathol. Oral Radiol. 2017, 123, 103–112. [Google Scholar] [CrossRef] [PubMed]
- Tanaka, M.; Hiraki, A.; Ueoka, H.; Bessho, A.; Kiura, K.; Takigawa, N.; Kodani, T.; Miyatake, K.; Hamada, N.; Kishimoto, T.; et al. Gingival metastasis in lung cancer. Oncol. Rep. 2002, 9, 571–574. [Google Scholar] [CrossRef]
- Huang, C.-J.; Chang, Y.-L.; Yang, M.-C.; Hsueh, C.; Yu, C.-T. Lung cancer metastatic to the maxillary gingiva—A case report and literature review. Oral Oncol. Extra 2005, 41, 118–120. [Google Scholar] [CrossRef]
- Reck, M.; Rabe, K.F. Precision Diagnosis and Treatment for Advanced Non-Small-Cell Lung Cancer. N. Engl. J. Med. 2017, 377, 849–861. [Google Scholar] [CrossRef]
- Schrank, Z.; Chhabra, G.; Lin, L.; Iderzorig, T.; Osude, C.; Khan, N.; Kuckovic, A.; Singh, S.; Miller, R.J.; Puri, N. Current Molecular-Targeted Therapies in NSCLC and Their Mechanism of Resistance. Cancers 2018, 10, 224. [Google Scholar] [CrossRef] [PubMed]
- Chicas-Sett, R.; Zafra-Martin, J.; Morales-Orue, I.; Castilla-Martinez, J.; Berenguer-Frances, M.A.; Gonzalez-Rodriguez, E.; Rodriguez-Abreu, D.; Couñago, F. Immunoradiotherapy as An Effective Therapeutic Strategy in Lung Cancer: From Palliative Care to Curative Intent. Cancers 2020, 12, 2178. [Google Scholar] [CrossRef] [PubMed]






| Case | Age | Sex | Site/Sites | Primary Lung Tumor | Other Sites | First Sign of Disease |
|---|---|---|---|---|---|---|
| 1 | 43 | M | Submandibular lymph nodes | Non small cell carcinoma | n.a. | Yes |
| 2 | 52 | M | Submandibular lymph nodes | Non small cell carcinoma | n.a. | No |
| 3 | 65 | M | Gingiva | Non small cell carcinoma | n.a. | No |
| 4 | 82 | F | Gingiva | Squamous carcinoma | n.a. | No |
| 5 | 57 | M | Mandible | Non small cell carcinoma | n.a. | No |
| 6 | 68 | M | Submandibular lymph nodes | Non small cell carcinoma | n.a. | No |
| 7 | 62 | M | Gingiva | Non small cell carcinoma | n.a. | No |
| 8 | 67 | F | Submandibular lymph nodes | Non small cell carcinoma | n.a. | No |
| 9 | 50 | M | Submandibular lymph nodes | Squamous carcinoma | n.a. | Yes |
| 10 | 79 | M | Gingiva/palate | Non small cell carcinoma | n.a. | Yes |
| 11 | 65 | M | Gingiva/tongue | Squamous carcinoma | n.a. | No |
| 12 | 57 | M | Submandibular lymph nodes | Small cell carcinoma | n.a. | No |
| 13 | 65 | M | Submandibular lymph nodes | Squamous carcinoma | n.a. | No |
| 14 | 80 | M | Mandible | Squamous carcinoma | Vertebra | No |
| 15 | 67 | M | Maxillary gingiva | Squamous carcinoma | Vertebra | No |
| 16 | 65 | M | Parotid gland | Small cell carcinoma | n.a. | Yes |
| 17 | 70 | F | Maxillary gingiva Around dental implant | Small cell carcinoma | n.a. | Yes |
| 18 | 62 | M | Maxilla gingiva Around dental implant | Adenocarcinoma | n.a. | Yes |
| 19 | 65 | F | Tongue | Small cell carcinoma | n.a. | Yes |
| 20 | 72 | F | Maxillary gingiva | Adenocarcinoma | n.a. | Yes |
| 21 | 66 | M | Tongue | Small cell carcinoma | Brain | No |
| Cases | DIAGNOSIS | CK5/6 | CK8/18 | CK7 | CK20 | p40 | p63 | TTF-1 | CDX2 | Chromogranin A | Synaptophysin | GATA-3 | Estrogen Receptors | PAX 8 | PSA |
|---|---|---|---|---|---|---|---|---|---|---|---|---|---|---|---|
| 1 | Non small cell carcinoma—unclassifiable (undifferentiated carcinoma) | − | +/− | − | − | − | +/− | +/− | − | − | − | − | − | − | − |
| 2 | Non small cell carcinoma—unclassifiable (undifferentiated carcinoma) | −/+ | +/− | − | − | − | − | +/− | − | − | − | − | − | − | − |
| 3 | Non small cell carcinoma—unclassifiable (undifferentiated carcinoma) | − | −/+ | −/+ | − | − | −/+ | + | − | − | − | − | − | − | − |
| 4 | Squamous carcinoma | + | − | − | − | + | + | − | − | − | − | − | − | − | − |
| 5 | Non small cell carcinoma—unclassifiable (undifferentiated carcinoma) | − | − | −/+ | − | − | − | + | − | − | − | − | − | − | − |
| 6 | Non small cell carcinoma—unclassifiable (undifferentiated carcinoma) | +/− | − | − | − | − | −/+ | + | − | − | − | − | − | − | − |
| 7 | Non small cell carcinoma—unclassifiable (undifferentiated carcinoma) | − | +/− | − | − | − | −/+ | +/− | − | − | − | − | − | − | − |
| 8 | Non small cell carcinoma—unclassifiable (undifferentiated carcinoma) | −/+ | + | − | − | − | − | + | − | − | − | − | − | − | − |
| 9 | Squamous carcinoma | + | − | − | − | + | + | − | − | − | − | − | − | − | − |
| 10 | Non small cell carcinoma—unclassifiable (undifferentiated carcinoma) | − | −/+ | +/− | − | − | − | +/− | − | − | − | − | − | − | − |
| 11 | Squamous carcinoma | + | − | − | − | + | + | − | − | − | − | − | − | − | − |
| 12 | Small cell carcinoma | − | + | − | − | − | − | + | − | + | + | − | − | − | − |
| 13 | Squamous carcinoma | + | − | − | − | + | + | − | − | − | − | − | − | − | − |
| 14 | Squamous carcinoma | + | − | − | − | + | + | − | − | − | − | − | − | − | − |
| 15 | Squamous carcinoma | + | − | − | − | + | + | − | − | − | − | − | − | − | − |
| 16 | Small cell carcinoma | − | + | − | − | − | − | + | − | + | + | − | − | − | − |
| 17 | Small cell carcinoma | − | + | − | − | − | − | + | − | + | + | − | − | − | − |
| 18 | Adenocarcinoma | − | − | + | − | − | − | + | − | − | − | − | − | − | − |
| 19 | Small cell carcinoma | − | + | − | − | − | − | + | − | + | + | − | − | − | − |
| 20 | Adenocarcinoma, enteric-type | − | − | + | +/− | − | − | + | +/− | − | − | − | − | − | − |
| 21 | Small cell carcinoma | − | + | − | − | − | − | + | − | + | + | − | − | − | − |
Disclaimer/Publisher’s Note: The statements, opinions and data contained in all publications are solely those of the individual author(s) and contributor(s) and not of MDPI and/or the editor(s). MDPI and/or the editor(s) disclaim responsibility for any injury to people or property resulting from any ideas, methods, instructions or products referred to in the content. |
© 2023 by the authors. Licensee MDPI, Basel, Switzerland. This article is an open access article distributed under the terms and conditions of the Creative Commons Attribution (CC BY) license (https://creativecommons.org/licenses/by/4.0/).
Share and Cite
Capodiferro, S.; d’Amati, A.; Barile, G.; Dell’Olio, F.; Limongelli, L.; Tempesta, A.; Siciliani, R.A.; Ingravallo, G.; Mastropasqua, M.; Colella, G.; et al. Metastatic Lung Cancer to the Head and Neck: A Clinico-Pathological Study on 21 Cases with Narrative Review of the Literature. J. Clin. Med. 2023, 12, 1429. https://doi.org/10.3390/jcm12041429
Capodiferro S, d’Amati A, Barile G, Dell’Olio F, Limongelli L, Tempesta A, Siciliani RA, Ingravallo G, Mastropasqua M, Colella G, et al. Metastatic Lung Cancer to the Head and Neck: A Clinico-Pathological Study on 21 Cases with Narrative Review of the Literature. Journal of Clinical Medicine. 2023; 12(4):1429. https://doi.org/10.3390/jcm12041429
Chicago/Turabian StyleCapodiferro, Saverio, Antonio d’Amati, Giuseppe Barile, Fabio Dell’Olio, Luisa Limongelli, Angela Tempesta, Rosaria Arianna Siciliani, Giuseppe Ingravallo, Mauro Mastropasqua, Giuseppe Colella, and et al. 2023. "Metastatic Lung Cancer to the Head and Neck: A Clinico-Pathological Study on 21 Cases with Narrative Review of the Literature" Journal of Clinical Medicine 12, no. 4: 1429. https://doi.org/10.3390/jcm12041429
APA StyleCapodiferro, S., d’Amati, A., Barile, G., Dell’Olio, F., Limongelli, L., Tempesta, A., Siciliani, R. A., Ingravallo, G., Mastropasqua, M., Colella, G., Boschetti, C. E., Copelli, C., Maiorano, E., & Favia, G. (2023). Metastatic Lung Cancer to the Head and Neck: A Clinico-Pathological Study on 21 Cases with Narrative Review of the Literature. Journal of Clinical Medicine, 12(4), 1429. https://doi.org/10.3390/jcm12041429

