Long-Term Follow-Up after Mycobacterium Chimaera Infection Following Cardiac Surgery: Single-Center Experience
Abstract
1. Introduction
2. Methods
2.1. Patients’ Selection, Diagnosis and the Initiation of Antimicrobial Therapy
2.2. Follow-Up after Redo Surgery
2.3. Healthcare Measures
3. Results
3.1. Frequency of Disease
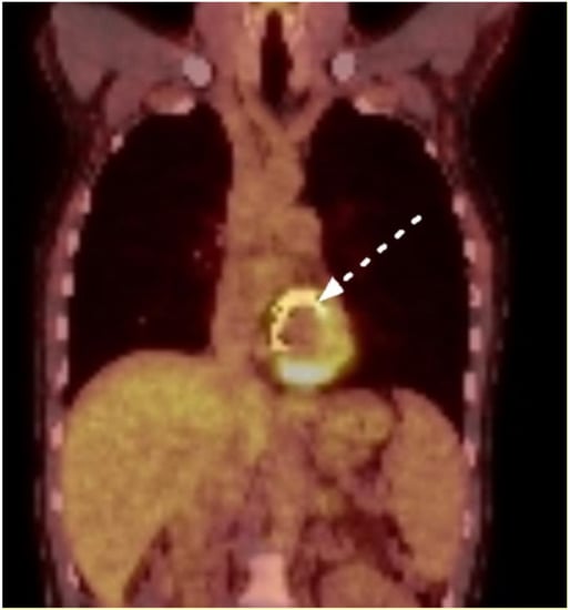
3.2. Patients’ Presentation and Paraclinical Findings
3.3. Surgical Management
3.4. Postoperative Outcomes and Infection Control
Three Patients (43%) Experienced Infection Relapse
4. Discussion
4.1. Clinical Presentation, Diagnosis and Surgical Management
4.2. Surgical Approach and Immediate Postoperative Outcomes
4.3. Long-Term Outcomes and Infection Control
5. Limitations
6. Conclusions
Supplementary Materials
Author Contributions
Funding
Institutional Review Board Statement
Informed Consent Statement
Data Availability Statement
Conflicts of Interest
Abbreviations
| M. chimaera | Mycobacterium chimaera |
| MAC | mycobacterium avium-complex |
| HCD | heater-cooler device |
| CPB | cardiopulmonary bypass |
| TEE | transesophageal echocardiography |
| PET-CT | positron emission tomography–computed tomography |
| FDG | fluorine-18-fluorodeoxy-D-glucose |
| AVB | atrioventricular block |
References
- Tortoli, E.; Rindi, L.; Garcia, M.J.; Chiaradonna, P.; Dei, R.; Garzelli, C.; Kroppenstedt, R.M.; Lari, N.; Mattei, R.; Mariottini, A.; et al. Proposal to elevate the genetic variant MAC-A included in the Mycobacterium avium complex, to species rank as Mycobacterium chimaera sp. nov. Int. J. Syst. Evol. Microbiol. 2004, 54, 1277–1285. [Google Scholar] [CrossRef] [PubMed]
- Achermann, Y.; Rössle, M.; Hoffmann, M.; Deggim, V.; Kuster, S.; Zimmermann, D.R.; Bloemberg, G.; Hombach, M.; Hasse, B. Prosthetic valve endocarditis and bloodstream infection due to Mycobacterium chimaera. J. Clin. Microbiol. 2013, 51, 1769–1773. [Google Scholar] [CrossRef] [PubMed]
- Kasperbauer, S.H.; Daley, C.L. Mycobacterium chimaera Infections Related to the Heater-Cooler Unit Outbreak: A Guide to Diagnosis and Management. Clin. Infect. Dis. 2019, 68, 1244–1250. [Google Scholar] [CrossRef] [PubMed]
- Haller, S.; Höller, C.; Jacobshagen, A.; Hamouda, O.; Abu Sin, M.; Monnet, D.L.; Plachouras, D.; Eckmanns, T. Contamination during production of heater-cooler units by Mycobacterium chimaera potential cause for invasive cardiovascular infections: Results of an outbreak investigation in Germany, April 2015 to February 2016. Eurosurveillance 2016, 21, 1–6. [Google Scholar] [CrossRef]
- Hamad, R.; Noly, P.-E.; Perrault, L.P.; Pellerin, M.; Demers, P. Mycobacterium chimaera Infection After Cardiac Surgery: First Canadian Outbreak. Ann. Thorac. Surg. 2017, 104, e43–e45. [Google Scholar] [CrossRef]
- Kohler, P.; Kuster, S.P.; Bloemberg, G.; Schulthess, B.; Frank, M.; Tanner, F.C.; Rössle, M.; Böni, C.; Falk, V.; Wilhelm, M.J.; et al. Healthcare-associated prosthetic heart valve, aortic vascular graft, and disseminated Mycobacterium chimaera infections subsequent to open heart surgery. Eur. Heart J. 2015, 36, 2745–2753. [Google Scholar] [CrossRef]
- Balsam, L.B.; Louie, E.; Hill, F.; Levine, J.; Phillips, M.S. Mycobacterium chimaera left ventricular assist device infections. J. Card. Surg. 2017, 32, 402–404. [Google Scholar] [CrossRef]
- Scriven, J.; Scobie, A.; Verlander, N.; Houston, A.; Collyns, T.; Cajic, V.; Kon, O.; Mitchell, T.; Rahama, O.; Robinson, A.; et al. Mycobacterium chimaera infection following cardiac surgery in the United Kingdom: Clinical features and outcome of the first 30 cases. Clin. Microbiol. Infect. 2018, 24, 1164–1170. [Google Scholar] [CrossRef]
- Julian, K.G.; Crook, T.; Curley, E.; Appenheimer, A.B.; Paules, C.I.; Hasse, B.; Diekema, D.J.; Daley, C.L.; de Sanctis, J.; Hellinger, W.C.; et al. Long-term follow-up of post-cardiac surgery Mycobacterium chimaera infections: A 5-center case series. J. Infect. 2020, 80, 197–203. [Google Scholar] [CrossRef]
- Zheng, C.; Fanta, C.H. Non-tuberculous mycobacterial pulmonary infection in the immunocompetent host. QJM 2013, 106, 307–315. [Google Scholar] [CrossRef]
- Sommerstein, R.; Schreiber, P.W.; Diekema, D.J.; Edmond, M.B.; Hasse, B.; Marschall, J.; Sax, H. Mycobacterium chimaera Outbreak Associated with Heater-Cooler Devices: Piecing the Puzzle Together. Infect. Control Hosp. Epidemiol. 2017, 38, 103–108. [Google Scholar] [CrossRef]
- Vendramin, I.; Peghin, M.; Tascini, C.; Livi, U. Longest incubation period of Mycobacterium chimaera infection after cardiac surgery. Eur. J. Cardio-Thoracic Surg. 2021, 59, 506–508. [Google Scholar] [CrossRef]
- Sax, H.; Bloemberg, G.; Hasse, B.; Sommerstein, R.; Kohler, P.; Achermann, Y.; Rössle, M.; Falk, V.; Kuster, S.; Böttger, E.C.; et al. Prolonged outbreak of Mycobacterium chimaera infection after open-chest heart surgery. Clin. Infect. Dis. 2015, 61, 67–75. [Google Scholar] [CrossRef]
- Hasse, B.; Hannan, M.; Keller, P.; Maurer, F.; Sommerstein, R.; Mertz, D.; Wagner, D.; Fernández-Hidalgo, N.; Nomura, J.; Manfrin, V.; et al. International Society of Cardiovascular Infectious Diseases Guidelines for the Diagnosis, Treatment and Prevention of Disseminated Mycobacterium chimaera Infection Following Cardiac Surgery with Cardiopulmonary Bypass. J. Hosp. Infect. 2020, 104, 214–235. [Google Scholar] [CrossRef]
- Griffith, D.E.; Aksamit, T.; Brown-Elliott, B.A.; Catanzaro, A.; Daley, C.; Gordin, F.; Holland, S.M.; Horsburgh, R.; Huitt, G.; Iademarco, M.F.; et al. An official ATS/IDSA statement: Diagnosis, treatment, and prevention of nontuberculous mycobacterial diseases. Am. J. Respir. Crit. Care Med. 2007, 175, 367–416. [Google Scholar] [CrossRef]
- Koh, W.-J.; Hong, G.; Kim, S.-Y.; Jeong, B.-H.; Park, H.Y.; Jeon, K.; Kwon, O.J.; Lee, S.-H.; Kim, C.K.; Shin, S.J. Treatment of refractory Mycobacterium avium complex lung disease with a moxifloxacin-containing regimen. Antimicrob. Agents Chemother. 2013, 57, 2281–2285. [Google Scholar] [CrossRef]
- Inojosa, W.O.; Giobbia, M.; Muffato, G.; Minniti, G.; Baldasso, F.; Carniato, A.; Farina, F.; Forner, G.; Rossi, M.C.; Formentini, S.; et al. Mycobacterium chimaera infections following cardiac surgery in Treviso Hospital, Italy, from 2016 to 2019: Cases report. World J. Clin. Cases 2019, 7, 2776–2786. [Google Scholar] [CrossRef]
- Heilmittelinstitut, S.; Seite, S. Richtlinien zum Betrieb und zur Uberwachung von Heater-Cooler Devices (HCDs) im Operationssaal; Federal Department of Home Affairs (FDHA): Bern, Switzerland, 2017. [Google Scholar]
- Ganatra, S.; Sharma, A.; D’Agostino, R.; Gage, T.; Kinnunen, P. Mycobacterium Chimaera Mimicking Sarcoidosis. Methodist Debakey Cardiovasc. J. 2018, 14, 301–302. [Google Scholar] [CrossRef]
- Tan, N.Y.; Tarabochia, A.D.; DeSimone, D.C.; DeSimone, C.V.; Wilson, J.W.; Bagameri, G.; Bennett, C.E.; Abu Saleh, O.M. Updated Experience of Mycobacterium chimaera Infection: Diagnosis and Management in a Tertiary Care Center. Open Forum Infect. Dis. 2021, 8, ofab348. [Google Scholar] [CrossRef]
- Lupinetti, F.M.; Lemmer, J.H. Comparison of allografts and prosthetic valves when used for emergency aortic valve replacement for active infective endocarditis. Am. J. Cardiol. 1991, 68, 637–641. [Google Scholar] [CrossRef]
- McGiffin, D.C.; Galbraith, A.J.; McLachlan, G.J.; Stower, R.E.; Wong, M.L.; Stafford, E.G.; Gardner, M.A.; Pohlner, P.G.; O’Brien, M.F. Aortic valve infection: Risk factors for death and recurrent endocarditis after aortic valve replacement. J. Thorac. Cardiovasc. Surg. 1992, 104, 511–520. [Google Scholar] [CrossRef] [PubMed]
- Haydock, D.; Barratt-Boyes, B.; Macedo, T.; Kirklin, J.W.; Blackstone, E. Aortic valve replacement for active infectious endocarditis in 108 patients: A comparison of freehand allograft valves with mechanical prostheses and bioprostheses. J. Thorac. Cardiovasc. Surg. 1992, 103, 130–139. [Google Scholar] [CrossRef] [PubMed]
- Musci, M.; Weng, Y.; Hübler, M.; Amiri, A.; Pasic, M.; Kosky, S.; Stein, J.; Siniawski, H.; Hetzer, R. Homograft aortic root replacement in native or prosthetic active infective endocarditis: Twenty-year single-center experience. J. Thorac. Cardiovasc. Surg. 2010, 139, 665–673. [Google Scholar] [CrossRef] [PubMed]
- Vogt, P.R.; Brunner-LaRocca, H.P. Long-term results after surgery for acute aortic endocarditis. Z. Kardiol. 2001, 90 (Suppl. 6), 27–34. [Google Scholar] [CrossRef]
- Kim, J.B.; Ejiofor, J.I.; Yammine, M.; Camuso, J.M.; Walsh, C.W.; Ando, M.; Melnitchouk, S.I.; Rawn, J.D.; Leacche, M.; MacGillivray, T.E.; et al. Are homografts superior to conventional prosthetic valves in the setting of infective endocarditis involving the aortic valve? J. Thorac. Cardiovasc. Surg. 2016, 151, 1239–1248. [Google Scholar] [CrossRef]
- Nappi, F.; Nenna, A.; Petitti, T.; Spadaccio, C.; Gambardella, I.; Lusini, M.; Chello, M.; Acar, C. Long-term outcome of cryopreserved allograft for aortic valve replacement. J. Thorac. Cardiovasc. Surg. 2018, 156, 1357–1365. [Google Scholar] [CrossRef]
- O’Brien, M.F.; Harrocks, S.; Stafford, E.G.; Gardner, M.A.; Pohlner, P.G.; Tesar, P.J.; Stephens, F. The homograft aortic valve: A 29-year, 99.3% follow up of 1,022 valve replacements. J. Heart Valve Dis. 2001, 10, 334–345. [Google Scholar]
- Träger, K.; Skrabal, C.; Fischer, G.; Datzmann, T.; Schroeder, J.; Fritzler, D.; Hartmann, J.; Liebold, A.; Reinelt, H. Hemoadsorption treatment of patients with acute infective endocarditis during surgery with cardiopulmonary bypass—A case series. Int. J. Artif. Organs. 2017, 40, 240–249. [Google Scholar] [CrossRef]
- Wisgrill, L.; Lamm, C.; Hell, L.; Thaler, J.; Berger, A.; Weiss, R.; Weber, V.; Rinoesl, H.; Hiesmayr, M.J.; Spittler, A.; et al. Influence of hemoadsorption during cardiopulmonary bypass on blood vesicle count and function. J. Transl. Med. 2020, 18, 202. [Google Scholar] [CrossRef]
- Goetz, G.; Hawlik, K.; Wild, C. Extracorporeal Cytokine Adsorption Therapy As a Preventive Measure in Cardiac Surgery and As a Therapeutic Add-On Treatment in Sepsis: An Updated Systematic Review of Comparative Efficacy and Safety. Crit. Care Med. 2021, 49, 1347–1357. [Google Scholar] [CrossRef]
- Santer, D.; Miazza, J.; Koechlin, L.; Gahl, B.; Rrahmani, B.; Hollinger, A.; Eckstein, F.; Siegemund, M.; Reuthebuch, O. Hemoadsorption during Cardiopulmonary Bypass in Patients with Endocarditis undergoing Valve Surgery: A retrospective single-center study. J. Clin. Med. 2021, 10, 564. [Google Scholar] [CrossRef]
- Polák, P.; Freibergerová, M.; Husa, P.; Slesinger, P.; Svoboda, R.; Sťásek, J.; Frola, L.; Macháček, C. Warning about risk of invasive infections in splenectomized patients. Experiences from University Hospital Brno, Czech Republic, in 2011. Vnitr. Lek. 2012, 58, 665–667. [Google Scholar]
- Sheng, C.-F.; Liu, B.-Y.; Zhang, H.-M.; Zheng, X. Overwhelming postsplenectomy infection. Genet. Mol. Res. 2015, 14, 2702–2706. [Google Scholar] [CrossRef]
- Asadi, T.; Mullin, K.; Roselli, E.; Johnston, D.; Tan, C.D.; Rodriguez, E.R.; Gordon, S. Disseminated Mycobacterium chimaera infection associated with heater–cooler units after aortic valve surgery without endocarditis. J. Thorac. Cardiovasc. Surg. 2018, 155, 2369–2374. [Google Scholar] [CrossRef]




| Case n° | Age | Gender | Index Diagnosis | Index Operation | Implant |
|---|---|---|---|---|---|
| 1 | 62 | male | Aortic valve endocarditis (S. dysgalactiae) | Aortic valve replacement | Stented bovine bioprosthesis |
| 2 | 63 | male | Aortic valve regurgitation Ascending aortic aneurysm | Aortic root replacement | Bioprosthetic valve conduit (stented bovine valve) |
| 3 | 48 | male | Mitral valve prolapse | Mitral valve reconstruction | Annuloplasty ring Gore-Tex neochorda |
| 4 | 55 | male | Aortic root aneurysm Single-vessel CAD | Aortic root re-implantationSingle CABG | Polyester interposition graft |
| 5 | 63 | male | Aortic valve stenosis | Aortic valve replacement | Stented bovine bioprosthesis |
| 6 | 71 | male | Aortic valve regurgitation Ascending aortic aneurysm | Aortic root replacement | Bioprosthetic valve conduit (stented bovine valve) |
| 7 | 48 | male | Ascending aortic aneurysm | Ascending aortic and hemiarch replacement | Polyester interposition graft |
| Variable | Median (IQR)/ Number of Patients (Percentage) |
|---|---|
| Median incubation time (months) ⴕ | 30 (18–38) |
| Clinical symptoms | |
| Fatigue | 4 (57) |
| Weight loss | 4 (57) |
| Night sweat | 1 (14) |
| Fever | 4 (57) |
| Dyspnea | 1 (14) |
| Asymptomatic | 1 (14) |
| Laboratory tests | |
| C-reactive protein (mg/L) | 9.4 (1.9–70.5) |
| TEE findings | |
| Aortic root abscess | 3 (43) |
| Severe aortic valve regurgitation | 1 (14) |
| Aortic root enlargement | 1 (14) |
| Unremarkable | 3 (43) |
| PET-CT cardiac findings | |
| Strongly positive | 3 (43) |
| Slightly positive | 1 (14) |
| Unremarkable | 2 (28) |
| Extracardiac involvement | |
| Chorioretinitis | 5 (71) |
| Nephritis | 3 (43) |
| Myelitis | 2 (28) |
| Hepatitis | 5 (71) |
| Cerebritis | 3 (43) |
| Pneumonitis | 1 (14) |
| Median time to diagnosis (months) | 5.0 (3.2–9.5) |
| Variable | Median (IQR)/ Number of Patients (Percentage) |
|---|---|
| Time from diagnosis to redo surgery (months) | 3.6 (2.7–4.2) |
| Substitute | |
| Aortic homograft | 6 (86) |
| Bovine pericardial tube | 2 (28) |
| Annuloplasty ring and Gore-Tex neo-chordae | 1 (14) |
| CPB cannulation site | |
| Aorta | 5 (71) |
| Femoral artery | 1 (14) |
| Right axillary artery | 1 (14) |
| Median CPB time (min) | 161 (149–168) |
| Median aortic cross-clamp time (min) | 141 (128–182) |
| Postoperative bleeding | 4 (57) |
| Positive explant cultures | 7 (100) |
| Median hospital length of stay (days) | 16 (11–24) |
| Antibiotic resistance | 1 (14) |
| Infection relapse | 3 (43) |
| Time to infection relapse (months) | 8 (7–9) |
| Second redo cardiac surgery | 2 (28) |
| Follow-up (months) | 60 (39–70) |
| Status | |
| Alive | 6 (86) |
| Dead | 1 (14) |
| Case n° | Initial AB Regimen | Duration of AB Therapy (Months) | Side Effects | AB Cessation | Reason for AB Cessation | Alternative AB Agents | Duration of Alternative AB Agents (Months) | Infection Relapse/Persistence | Time to Relapse (Months) | FU Duration (Months) | Status |
|---|---|---|---|---|---|---|---|---|---|---|---|
| 1 | Clarithromycin | 38 | Yes | Clinical cure | No | 69 | Alive | ||||
| Rifabutin | Pancytopenia | ||||||||||
| Moxifloxacin | 1 | Type IV allergy | Side effects | ||||||||
| Ethambutol | 20 | Visual disturbances | |||||||||
| Amikacin | 4 | Hearing lossVertigo | |||||||||
| 2 | Clarithromycin | 61 | Yes | Treatment simplification | Azithromycin | 12 | Yes | 8 | 73 | Alive | |
| Rifabutin | 60 | Stable disease | |||||||||
| Moxifloxacin | 48 | Clofazimine | 24 | ||||||||
| Ethambutol | 73 | No | |||||||||
| 3 | Clarithromycin | 68 | Yes | Clinical cure | Yes | 26 | 70 | Alive | |||
| Rifabutin | 48 | Hepatitis | Intermittent | Side effects | Amikacin | 6 | |||||
| Moxifloxacin | 9 | Arthralgia, Tendinopathy | Yes | Side effects | Bedaquiline | 19 | |||||
| Ethambutol | 68 | Clinical cure | |||||||||
| 4 | Clarithromycin | 48 | No | No | 49 | Alive | |||||
| Moxifloxacin | |||||||||||
| Rifabutin | 1 | Nausea | Yes | Side effects | |||||||
| Ethambutol | 48 | No | |||||||||
| Amikacin | 4 | Yes | End of treatment | ||||||||
| 5 | Clarithromycin | 25 | Yes | Clinical cure | No | 60 | Alive | ||||
| Rifabutin | |||||||||||
| Moxifloxacin | C. difficile Colitis | ||||||||||
| Ethambutol | |||||||||||
| Amikacin | 4 | End of treatment | |||||||||
| 6 | Clarithromycin | 7 | Pancytopenia | Yes | Side effects | No | 7 | Deceased | |||
| Rifabutin | Leukopenia | ||||||||||
| Moxifloxacin | Pancytopenia | ||||||||||
| Amikacin | Hearing loss | ||||||||||
| Ethambutol | Leukopenia | ||||||||||
| 7 | Clarithromycin | 34 | No | Yes | 10 | 34 | Alive | ||||
| Rifampicin | |||||||||||
| Moxifloxacin | Polyneuropathy | Yes | Side effects | Clofazimine | 1 | ||||||
| Amikacin | 2 | Hearing loss | Bedaquiline | 28 | |||||||
| Ethambutol | 1 | Resistance |
Disclaimer/Publisher’s Note: The statements, opinions and data contained in all publications are solely those of the individual author(s) and contributor(s) and not of MDPI and/or the editor(s). MDPI and/or the editor(s) disclaim responsibility for any injury to people or property resulting from any ideas, methods, instructions or products referred to in the content. |
© 2023 by the authors. Licensee MDPI, Basel, Switzerland. This article is an open access article distributed under the terms and conditions of the Creative Commons Attribution (CC BY) license (https://creativecommons.org/licenses/by/4.0/).
Share and Cite
Schaeffer, T.; Kuster, S.; Koechlin, L.; Khanna, N.; Eckstein, F.S.; Reuthebuch, O. Long-Term Follow-Up after Mycobacterium Chimaera Infection Following Cardiac Surgery: Single-Center Experience. J. Clin. Med. 2023, 12, 948. https://doi.org/10.3390/jcm12030948
Schaeffer T, Kuster S, Koechlin L, Khanna N, Eckstein FS, Reuthebuch O. Long-Term Follow-Up after Mycobacterium Chimaera Infection Following Cardiac Surgery: Single-Center Experience. Journal of Clinical Medicine. 2023; 12(3):948. https://doi.org/10.3390/jcm12030948
Chicago/Turabian StyleSchaeffer, Thibault, Sabine Kuster, Luca Koechlin, Nina Khanna, Friedrich S. Eckstein, and Oliver Reuthebuch. 2023. "Long-Term Follow-Up after Mycobacterium Chimaera Infection Following Cardiac Surgery: Single-Center Experience" Journal of Clinical Medicine 12, no. 3: 948. https://doi.org/10.3390/jcm12030948
APA StyleSchaeffer, T., Kuster, S., Koechlin, L., Khanna, N., Eckstein, F. S., & Reuthebuch, O. (2023). Long-Term Follow-Up after Mycobacterium Chimaera Infection Following Cardiac Surgery: Single-Center Experience. Journal of Clinical Medicine, 12(3), 948. https://doi.org/10.3390/jcm12030948

