Safe Zone to Avoid Pneumothorax in a CT-Guided Lung Biopsy
Abstract
1. Introduction
2. Materials and Methods
2.1. Inclusion and Exclusion Criteria
2.2. Semi-Automated Tru-Cut 18G Needle
2.3. 17G Trocar
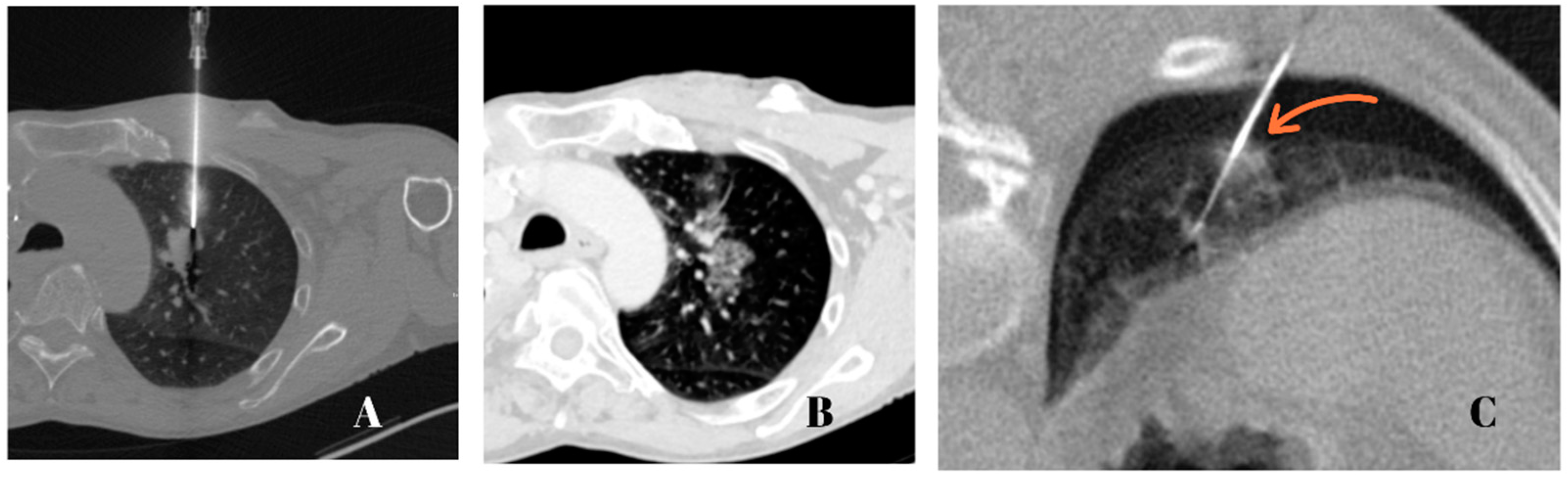
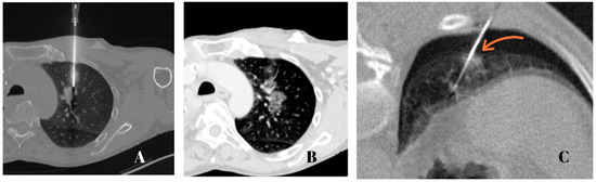
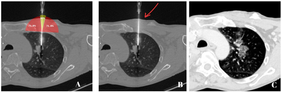
2.4. Biopsy Protocol
2.5. Measurement Yield
2.6. Statistical Analysis
3. Results
4. Discussion
5. Conclusions
Author Contributions
Funding
Institutional Review Board Statement
Informed Consent Statement
Data Availability Statement
Conflicts of Interest
References
- Mills, M.; Choi, J.; El-Haddad, G.; Sweeney, J.; Biebel, B.; Robinson, L.; Antonia, S.; Kumar, A.; Kis, B. Retrospective Analysis of Technical Success Rate and Procedure-Related Complications of 867 Percutaneous CT-Guided Needle Biopsies of Lung Lesions. Clin. Radiol. 2017, 72, 1038–1046. [Google Scholar] [CrossRef] [PubMed]
- Heerink, W.J.; de Bock, G.H.; de Jonge, G.J.; Groen, H.J.M.; Vliegenthart, R.; Oudkerk, M. Complication Rates of CT-Guided Transthoracic Lung Biopsy: Meta-Analysis. Eur. Radiol. 2017, 27, 138. [Google Scholar] [CrossRef] [PubMed]
- Choi, C.M.; Um, S.W.; Yoo, C.G.; Young, W.K.; Sung, K.H.; Shim, Y.S.; Lee, C.T. Incidence and Risk Factors of Delayed Pneumothorax After Transthoracic Needle Biopsy of the Lung. Chest 2004, 126, 1516–1521. [Google Scholar] [CrossRef] [PubMed]
- Kuriyama, T.; Masago, K.; Okada, Y.; Katakami, N. Computed Tomography-Guided Lung Biopsy: Association between Biopsy Needle Angle and Pneumothorax Development. Mol. Clin. Oncol. 2017, 8, 336–341. [Google Scholar] [CrossRef] [PubMed]
- Zeng, L.; Liao, H.; Ren, F.; Zhang, Y.; Wang, Q.; Xie, M. Pneumothorax Induced by Computed Tomography Guided Transthoracic Needle Biopsy: A Review for the Clinician. Int. J. Gen. Med. 2021, 14, 1013–1022. [Google Scholar] [CrossRef] [PubMed]
- Maalouf, N.; Lavric, D.; Vasileva, L.; Lamadé, W.; Apitzsch, J. Associations between Covariates and Pneumothorax Observations in CT-Guided Lung Biopsies. J. Clin. Med. 2022, 11, 1958. [Google Scholar] [CrossRef] [PubMed]
- Schroeder, C.; Loebelenz, L.I.; Heverhagen, J.T.; Noeldge, G.; Brönnimann, M.P.; Kim, S.Y. Full Core Technology versus Notch Sampling Technology: Evaluation of the Diagnostic Accuracy and the Risk of a Pneumothorax after Transthoracic Needle Biopsy of Suspicious Lung Lesions. Acta Radiol. 2020, 63, 35–41. [Google Scholar] [CrossRef] [PubMed]
- Georgiev, G.Z. P-Value Calculator. Available online: https://www.gigacalculator.com/calculators/p-value-significance-calculator.php (accessed on 2 May 2022).
- Hiraki, T.; Mimura, H.; Gobara, H.; Shibamoto, K.; Inoue, D.; Matsui, Y.; Kanazawa, S. Incidence of and Risk Factors for Pneumothorax and Chest Tube Placement after CT Fluoroscopy-Guided Percutaneous Lung Biopsy: Retrospective Analysis of the Procedures Conducted over a 9-Year Period. Am. J. Roentgenol. 2010, 194, 809–814. [Google Scholar] [CrossRef] [PubMed]
- Saji, H.; Nakamura, H.; Tsuchida, T.; Tsuboi, M.; Kawate, N.; Konaka, C.; Kato, H. The Incidence and the Risk of Pneumothorax and Chest Tube Placement after Percutaneous CT-Guided Lung Biopsy: The Angle of the Needle Trajectory Is a Novel Predictor. Chest 2002, 121, 1521–1526. [Google Scholar] [CrossRef] [PubMed]
- Ko, J.P.; Shepard, J.A.O.; Drucker, E.A.; Aquino, S.L.; Sharma, A.; Sabloff, B.; Halpern, E.; McLoud, T.C. Factors Influencing Pneumothorax Rate at Lung Biopsy: Are Dwell Time and Angle of Pleural Puncture Contributing Factors? Radiology 2001, 218, 491–496. [Google Scholar] [CrossRef] [PubMed]
- Shiekh, Y.; Haseeb, W.A.; Feroz, I.; Shaheen, F.A.; Gojwari, T.A.; Choh, N.A. Evaluation of Various Patient-, Lesion-, and Procedure-Related Factors on the Occurrence of Pneumothorax as a Complication of Ct-Guided Percutaneous Transthoracic Needle Biopsy. Pol. J. Radiol. 2019, 84, e73–e79. [Google Scholar] [CrossRef] [PubMed]
- Ahrar, K. Safer lung biopsy techniques: Fewer patients with pneumothorax, fewer chest tube insertions. J. Thorac. Dis. 2015, 7, 1704–1707. [Google Scholar] [CrossRef] [PubMed]
- Chami, H.A.; Faraj, W.; Yehia, Z.A.; Badour, S.A.; Sawan, P.; Rebeiz, K.; Safa, R.; Saade, C.; Ghandour, B.; Shamseddine, A.; et al. Predictors of Pneumothorax after CT-Guided Transthoracic Needle Lung Biopsy: The Role of Quantitative CT. Clin. Radiol. 2015, 70, 1382–1387. [Google Scholar] [CrossRef] [PubMed]
- Yeow, K.M.; Su, I.H.; Pan, K.T.; Tsay, P.K.; Lui, K.W.; Cheung, Y.C.; Chou, A.S. Risk Factors of Pneumothorax and Bleeding: Multivariate Analysis of 660 CT-Guided Coaxial Cutting Needle Lung Biopsies. Chest 2004, 126, 748–754. [Google Scholar] [CrossRef] [PubMed]
- Khan, M.F.; Straub, R.; Moghaddam, S.R.; Maataoui, A.; Gurung, J.; Wagner, T.O.F.; Ackermann, H.; Thalhammer, A.; Vogl, T.J.; Jacobi, V. Variables Affecting the Risk of Pneumothorax and Intrapulmonal Hemorrhage in CT-Guided Transthoracic Biopsy. Eur. Radiol. 2008, 18, 1356–1363. [Google Scholar] [CrossRef] [PubMed]
- Topal, U.; Ediz, B. Transthoracic Needle Biopsy: Factors Effecting Risk of Pneumothorax. Eur. J. Radiol. 2003, 48, 263–267. [Google Scholar] [CrossRef] [PubMed]
- Kuban, J.D.; Tam, A.L.; Huang, S.Y.; Ensor, J.E.; Philip, A.S.; Chen, G.J.; Ahrar, J.; Murthy, R.; Avritscher, R.; Madoff, D.C.; et al. The Effect of Needle Gauge on the Risk of Pneumothorax and Chest Tube Placement After Percutaneous Computed Tomographic (CT)-Guided Lung Biopsy. Cardiovasc. Intervent. Radiol. 2015, 38, 1595–1602. [Google Scholar] [CrossRef] [PubMed]
- Podder, T.K.; Sherman, J.; Fuller, D.; Messing, E.M.; Rubens, D.J.; Strang, J.G.; Brasacchio, R.A.; Yu, Y. In-Vivo Measurement of Surgical Needle Intervention Parameters: A Pilot Study. In Proceedings of the 2006 International Conference of the IEEE Engineering in Medicine and Biology Society, New York, NY, USA, 30 August–3 September 2006; pp. 3652–3655. [Google Scholar] [CrossRef]





Disclaimer/Publisher’s Note: The statements, opinions and data contained in all publications are solely those of the individual author(s) and contributor(s) and not of MDPI and/or the editor(s). MDPI and/or the editor(s) disclaim responsibility for any injury to people or property resulting from any ideas, methods, instructions or products referred to in the content. |
© 2023 by the authors. Licensee MDPI, Basel, Switzerland. This article is an open access article distributed under the terms and conditions of the Creative Commons Attribution (CC BY) license (https://creativecommons.org/licenses/by/4.0/).
Share and Cite
Maalouf, N.; Abou Mrad, M.; Lavric, D.; Vasileva, L.; Mahnken, A.H.; Apitzsch, J. Safe Zone to Avoid Pneumothorax in a CT-Guided Lung Biopsy. J. Clin. Med. 2023, 12, 749. https://doi.org/10.3390/jcm12030749
Maalouf N, Abou Mrad M, Lavric D, Vasileva L, Mahnken AH, Apitzsch J. Safe Zone to Avoid Pneumothorax in a CT-Guided Lung Biopsy. Journal of Clinical Medicine. 2023; 12(3):749. https://doi.org/10.3390/jcm12030749
Chicago/Turabian StyleMaalouf, Nour, Mazen Abou Mrad, Daniela Lavric, Lora Vasileva, Andreas H. Mahnken, and Jonas Apitzsch. 2023. "Safe Zone to Avoid Pneumothorax in a CT-Guided Lung Biopsy" Journal of Clinical Medicine 12, no. 3: 749. https://doi.org/10.3390/jcm12030749
APA StyleMaalouf, N., Abou Mrad, M., Lavric, D., Vasileva, L., Mahnken, A. H., & Apitzsch, J. (2023). Safe Zone to Avoid Pneumothorax in a CT-Guided Lung Biopsy. Journal of Clinical Medicine, 12(3), 749. https://doi.org/10.3390/jcm12030749

