Bilateral Atypical Femoral Fractures after Bisphosphonate Treatment for Osteoporosis: A Literature Review
Abstract
1. Introduction
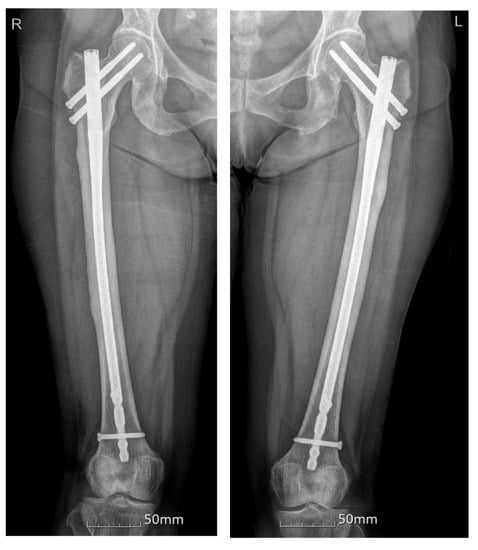
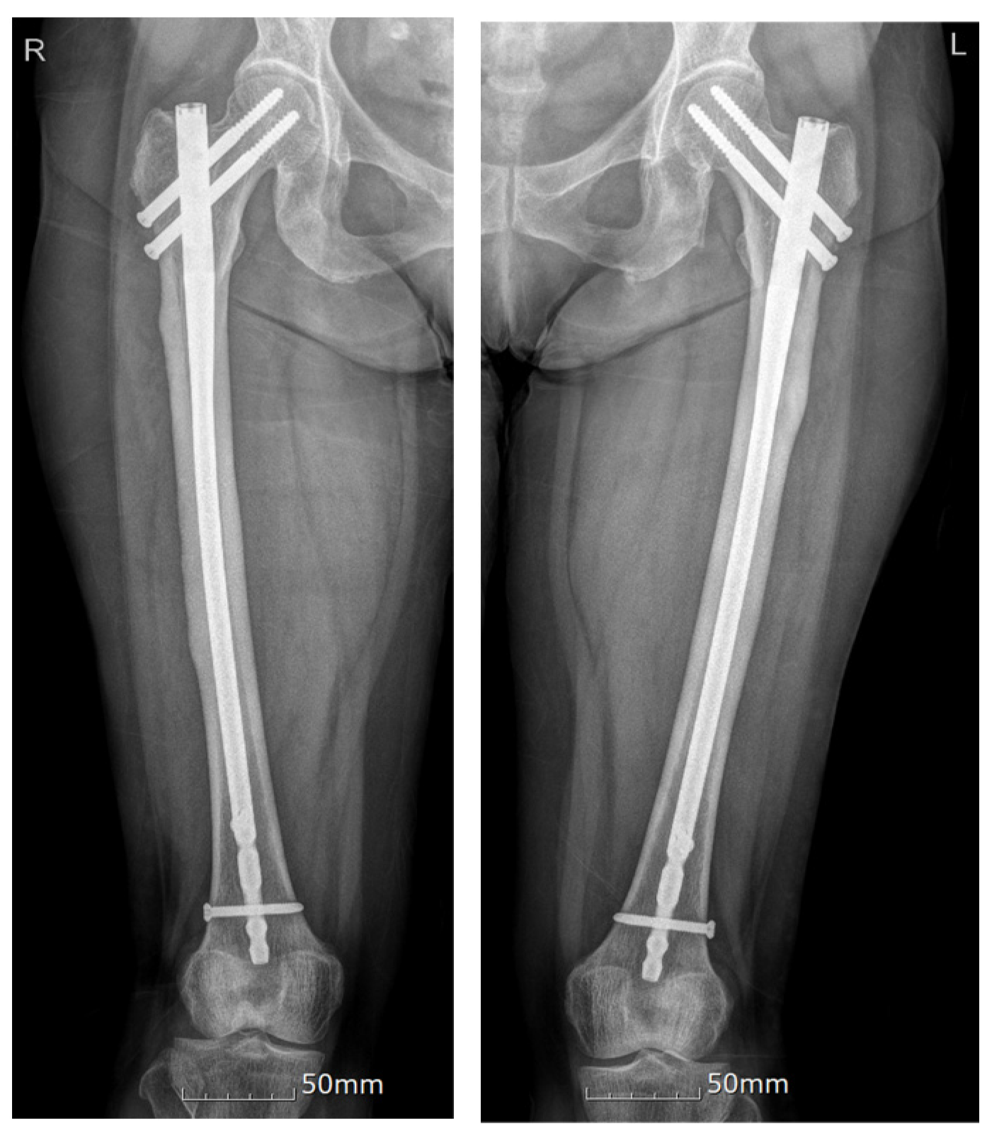
Case Report
2. Materials & Methods
3. Result
3.1. Description of the Included Studies
3.2. Epidemiology and Clinical Manifestations
3.3. Diagnosis
3.4. BPs
3.5. Operative Management
3.6. Osteoporosis Treatment after BP Discontinuation
3.7. Complications
4. Discussion
4.1. Epidemiology
4.2. Pharmacology and Usage of BP
4.3. Diagnosis
4.4. Management
4.4.1. Medical Management
4.4.2. Surgical Management
4.5. Limitation of This Review
5. Conclusions
Author Contributions
Funding
Institutional Review Board Statement
Informed Consent Statement
Data Availability Statement
Conflicts of Interest
Abbreviations
References
- Van Baarsel, E.D.; Patel, V.; Kesbeh, Y.; Kahf, H.; Alonzo, N. Atypical femoral fracture in the setting of alendronate treatment for osteoporosis: A case report and literature review. J. Community Hosp. Intern. Med. Perspect. 2019, 9, 340–343. [Google Scholar] [CrossRef] [PubMed]
- Cleto-Zepeda, G.; Durán-Martínez, N.; Tena-Sanabria, M. Atypical femoral fracture, case report and literature review. Acta Ortopédica Mex. 2019, 33, 39–41. [Google Scholar]
- Srivastava, M.; Deal, C. Osteoporosis in elderly: Prevention and treatment. Clin. Geriatr. Med. 2002, 18, 529–555. [Google Scholar] [CrossRef] [PubMed]
- Black, D.M.; Rosen, C.J. Postmenopausal osteoporosis. N. Engl. J. Med. 2016, 374, 254–262. [Google Scholar] [CrossRef]
- Sözen, T.; Özışık, L.; Başaran, N.Ç. An overview and management of osteoporosis. Eur. J. Rheumatol. 2017, 4, 46. [Google Scholar] [CrossRef]
- Clout, A.; Narayanasamy, N.; Harris, I. Trends in the incidence of atypical femoral fractures and bisphosphonate therapy. J. Orthop. Surg. 2016, 24, 36–40. [Google Scholar] [CrossRef]
- Meier, R.P.; Perneger, T.V.; Stern, R.; Rizzoli, R.; Peter, R.E. Increasing occurrence of atypical femoral fractures associated with bisphosphonate use. Arch. Intern. Med. 2012, 172, 930–936. [Google Scholar] [CrossRef]
- Jo, Y.R.; Kim, H.W.; Moon, S.H.; Ko, Y.J. A case report of long-term bisphosphonate therapy and atypical stress fracture of bilateral femur. Ann. Rehabil. Med. 2013, 37, 430. [Google Scholar] [CrossRef]
- Shane, E.; Burr, D.; Abrahamsen, B.; Adler, R.A.; Brown, T.D.; Cheung, A.M.; Cosman, F.; Curtis, J.R.; Dell, R.; Dempster, D.W.; et al. Atypical Subtrochanteric and Diaphyseal Femoral Fractures: Second Report of a Task Force of the American Society for Bone and Mineral Research. J. Bone Miner. Res. 2014, 29, 1–23. [Google Scholar] [CrossRef]
- Tonogai, I.; Goto, T.; Hamada, D.; Iwame, T.; Yoshioka, S.; Tsutsui, T.; Goda, Y.; Egawa, H.; Sairyo, K. Bilateral atypical femoral fractures in a patient with multiple myeloma treated with intravenous bisphosphonate therapy. Case Rep. Orthop. 2014, 2014, 452418. [Google Scholar] [CrossRef]
- Chiu, E.; Cabanero, M.; Sidhu, G. Paradoxical stress fracture in a patient with multiple myeloma and bisphosphonate use. Cureus 2020, 12, e9837. [Google Scholar] [CrossRef] [PubMed]
- Iwata, K.; Mashiba, T.; Mori, S.; Yamamoto, T. Accumulation of microdamage at complete and incomplete fracture sites in a patient with bilateral atypical femoral fractures on glucocorticoid and bisphosphonate therapy. J. Bone Miner. Metab. 2019, 37, 206–211. [Google Scholar] [CrossRef] [PubMed]
- Román, M.; de Prado, A.; de Tembleque, F.R. Bilateral atypical femoral fracture in a man on long-term bisphosphonate and glucocorticoid therapy: A case report. JBJS Case Connect. 2015, 5, e36. [Google Scholar] [CrossRef] [PubMed]
- Kondo, N.; Yoda, T.; Fujisawa, J.; Arai, K.; Sakuma, M.; Ninomiya, H.; Sano, H.; Endo, N. Bilateral atypical femoral subtrochanteric fractures in a premenopausal patient receiving prolonged bisphosphonate therapy: Evidence of severely suppressed bone turnover. Clin. Cases Miner. Bone Metab. 2015, 12, 273. [Google Scholar] [CrossRef] [PubMed]
- Somford, M.P.; Draijer, F.W.; Thomassen, B.J.; Chavassieux, P.M.; Boivin, G.; Papapoulos, S.E. Bilateral fractures of the femur diaphysis in a patient with rheumatoid arthritis on long-term treatment with alendronate: Clues to the mechanism of increased bone fragility. J. Bone Miner. Res. 2009, 24, 1736–1740. [Google Scholar] [CrossRef] [PubMed]
- Gunawardena, I.; Baxter, M.; Rasekh, Y. Bisphosphonate-related subtrochanteric femoral fractures. Am. J. Geriatr. Pharmacother. 2011, 9, 194–198. [Google Scholar] [CrossRef]
- Hamahashi, K.; Noguchi, T.; Uchiyama, Y.; Sato, M.; Watanabe, M. Clinical Features and Outcomes of Bilateral Atypical Femoral Fractures. Case Rep. Orthop. 2020, 2020, 8824756. [Google Scholar] [CrossRef]
- Golsorkhtabaramiri, M.; Inderjeeth, C.A. Management Challenges in Atypical Femoral Fractures: A Case Report. Ann. Geriatr. Med. Res. 2020, 24, 50. [Google Scholar] [CrossRef]
- Higgins, M.; Morgan-John, S.; Badhe, S. Simultaneous, bilateral, complete atypical femoral fractures after long-term alendronate use. J. Orthop. 2016, 13, 401–403. [Google Scholar] [CrossRef]
- Onafowokan, O.O. Atypical bilateral femoral fractures: A rare adverse effect of long-term bisphosphonate use. BMJ Case Rep. 2021, 14, e246156. [Google Scholar] [CrossRef]
- Jain, T.P.; Thorn, M. Atypical femoral fractures related to bisphosphonate therapy. Indian J. Radiol. Imaging 2012, 22, 178–181. [Google Scholar] [CrossRef] [PubMed]
- Zhang, H.-y.; Weng, H.-l.; Li, M.; Zhang, J. Different surgical outcomes in a patient with bilateral atypical femoral fracture related to bisphosphonate use with or without teriparatide treatment. Osteoporos. Int. 2019, 30, 2349–2354. [Google Scholar] [CrossRef] [PubMed]
- Parrón Cambero, R.; Rey López, A.; Tomé-Bermejo, F.; Cibantos Martínez, R. Atypical bilateral femoral shaft fracture in patient treated with bisphosphonates. Eur. J. Orthop. Surg. Traumatol. 2013, 23, 219–223. [Google Scholar] [CrossRef] [PubMed]
- Lee, J.K. Bilateral atypical femoral diaphyseal fractures in a patient treated with alendronate sodium. Int. J. Rheum. Dis. 2009, 12, 149–154. [Google Scholar] [CrossRef] [PubMed]
- Smith, M.D.; Haseman, O.J.; Garza, J.A.V.; Bruder, J.M. Bilateral atypical fractures of the femur: Ten years AFTER ten years of bisphosphonate therapy. Bone Rep. 2021, 15, 101112. [Google Scholar] [CrossRef] [PubMed]
- Kobayashi, T.; Ishikawa, T.; Katsuragi, J.; Sasaki, Y.; Ohtori, S. Open Reduction and Internal Fixation of Simultaneous, Bilateral, Atypical Femoral Shaft Fractures After Nine Years of Bisphosphonate Treatment. Cureus 2021, 13, e19177. [Google Scholar] [CrossRef] [PubMed]
- Payumo, E.; Cudal, B.I.; Crisostomo, T. Osteonecrosis of the jaw and bilateral atypical femoral fracture both occurring during treatment for osteoporosis: A case report. J. Asean Fed. Endocr. Soc. 2018, 33, 194. [Google Scholar] [CrossRef]
- Kim, Y.S.; Chung, P.H.; Kang, S.; Kim, J.P.; Lee, H.M.; Moon, H.S. A rare case of bilateral proximal femoral insufficiency fractures after interlocking IM nailing for bilateral atypical femoral shaft fractures. Arch. Orthop. Trauma Surg. 2015, 135, 1227–1232. [Google Scholar] [CrossRef]
- Ramchand, S.; Chiang, C.Y.; Zebaze, R.; Seeman, E. Recurrence of bilateral atypical femoral fractures associated with the sequential use of teriparatide and denosumab: A case report. Osteoporos. Int. 2016, 27, 821–825. [Google Scholar] [CrossRef]
- Sodhai, V.; Pradhan, C.; Shyam, A. Intramedullary Nailing: Definitive as well as Prophylactic Fixation Method in a Case of Bilateral Atypical Femoral Fractures–A Case Report. J. Orthop. Case Rep. 2019, 9, 61. [Google Scholar]
- Puah, K.L.; Tan, M.H. Bisphosphonate-associated atypical fracture of the femur: Spontaneous healing with drug holiday and re-appearance after resumed drug therapy with bilateral simultaneous displaced fractures—A case report. Acta Orthop. 2011, 82, 380–382. [Google Scholar] [CrossRef] [PubMed]
- Tarazona-Santabalbina, F.J.; Aguilella-Fernández, L. Bisphosphonate long-term treatment related bilateral subtrochanteric femoral fracture. Can teriparatide be useful? Aging Clin. Exp. Res. 2013, 25, 605–609. [Google Scholar] [CrossRef]
- Alshahrani, F.; Kendler, D. Femoral fractures in osteoporotic patients on bisphosphnates. A case report. J. Clin. Densitom. 2012, 15, 380–384. [Google Scholar] [CrossRef] [PubMed]
- Selga, J.; Nuñez, J.; Minguell, J.; Lalanza, M.; Garrido, M. Simultaneous bilateral atypical femoral fracture in a patient receiving denosumab: Case report and literature review. Osteoporos. Int. 2016, 27, 827–832. [Google Scholar] [CrossRef] [PubMed]
- Zafeiris, C.; Stathopoulos, I.; Kourkoumelis, G.; Gkikas, E.; Lyritis, G. Simultaneous bilateral atypical femoral fractures after alendronate therapy. J. Musculoskelet Neuronal. Interact. 2012, 12, 262–264. [Google Scholar]
- Moghnie, A.; Scamacca, V.; De Fabrizio, G.; Valentini, R. Atypical femoral fractures bilaterally in a patient receiving bisphosphonate: A case report. Clin. Cases Miner. Bone Metab. 2016, 13, 57–60. [Google Scholar] [CrossRef]
- Vaishya, R.; Vaish, A.; Nadeem, A. Bisphosphonate-induced atypical subtrochanteric femoral fracture. Case Rep. 2013, 2013, bcr2013201931. [Google Scholar] [CrossRef]
- Okçu, M.; Koçak, F.A.; Kaya, S.S.; Tuncay, F. Is there a familial predisposition to bisphosphonate-induced atypical femoral fractures? Turk. J. Phys. Med. Rehabil. 2021, 67, 370. [Google Scholar] [CrossRef]
- Neri, E.; Gabriele, L.; Bottai, V.; Andreani, L.; Bonicoli, E.; Scaglione, M. Preventive bilateral femoral nailing in atypical femoral fracture non responder to anabolic therapy: Case report and mini-review. Acta Bio Med. Atenei Parm. 2022, 92, e2021130. [Google Scholar]
- Righetti, M.; Wach, J.; Desmarchelier, R.; Coury, F. Teriparatide treatment in an adult patient with hypophosphatasia exposed to bisphosphonate and revealed by bilateral atypical fractures. Jt. Bone Spine 2018, 85, 365–367. [Google Scholar] [CrossRef]
- van de Laarschot, D.M.; Somford, M.P.; Jager, A.; Oei, E.H.; Bos, P.K.; Zillikens, M.C. “Atypical” atypical femur fractures and use of bisphosphonates. Clin. Cases Miner. Bone Metab. 2016, 13, 204. [Google Scholar] [CrossRef] [PubMed]
- Sandilands, S.M.; Villa, J.M.; Lavernia, C.J. Bilateral atypical femoral fracture and end-stage arthritis of the hip, treated with total hip arthroplasty. Arthroplast. Today 2016, 2, 147–152. [Google Scholar] [CrossRef] [PubMed]
- Kim, J.E.; Yun, M.; Lim, S.-K.; Rhee, Y. Concurrent bisphosphonate-related bilateral atypical subtrochanteric fractures and osteonecrosis of the jaw on bone scintigraphy. Clin. Nucl. Med. 2015, 40, 450–452. [Google Scholar] [CrossRef]
- Gomberg, S.J.; Wustrack, R.L.; Napoli, N.; Arnaud, C.D.; Black, D.M. Teriparatide, vitamin D, and calcium healed bilateral subtrochanteric stress fractures in a postmenopausal woman with a 13-year history of continuous alendronate therapy. J. Clin. Endocrinol. Metab. 2011, 96, 1627–1632. [Google Scholar] [CrossRef]
- Lo, J.C.; Hui, R.L.; Grimsrud, C.D.; Chandra, M.; Neugebauer, R.S.; Gonzalez, J.R.; Budayr, A.; Lau, G.; Ettinger, B. The association of race/ethnicity and risk of atypical femur fracture among older women receiving oral bisphosphonate therapy. Bone 2016, 85, 142–147. [Google Scholar] [CrossRef] [PubMed]
- Lee, Y.-K.; Park, C.H.; Kim, K.-C.; Hong, S.H.; Ha, Y.-C.; Koo, K.-H. Frequency and associated factor of atypical periprosthetic femoral fracture after hip arthroplasty. Injury 2018, 49, 2264–2268. [Google Scholar] [CrossRef] [PubMed]
- Black, D.M.; Geiger, E.J.; Eastell, R.; Vittinghoff, E.; Li, B.H.; Ryan, D.S.; Dell, R.M.; Adams, A.L. Atypical femur fracture risk versus fragility fracture prevention with bisphosphonates. N. Engl. J. Med. 2020, 383, 743–753. [Google Scholar] [CrossRef] [PubMed]
- Şahin, K.; Ergin, O.N.; Bayram, S.; Akgül, T. Atypical femoral fractures related to bisphosphonate use: A comprehensive review of 19 patients. Turk. J. Trauma Emerg. Surg. 2019, 25, 603–610. [Google Scholar] [CrossRef]
- La Rocca Vieira, R.; Rosenberg, Z.S.; Allison, M.B.; Im, S.A.; Babb, J.; Peck, V. Frequency of Incomplete Atypical Femoral Fractures in Asymptomatic Patients on Long-Term Bisphosphonate Therapy. Am. J. Roentgenol. 2012, 198, 1144–1151. [Google Scholar] [CrossRef]
- Probyn, L.; Cheung, A.M.; Lang, C.; Lenchik, L.; Adachi, J.D.; Khan, A.; Josse, R.G.; Tomlinson, G.; Bleakney, R. Bilateral atypical femoral fractures: How much symmetry is there on imaging? Skelet. Radiol. 2015, 44, 1579–1584. [Google Scholar] [CrossRef]
- Giusti, A.; Hamdy, N.A.; Dekkers, O.M.; Ramautar, S.R.; Dijkstra, S.; Papapoulos, S.E. Atypical fractures and bisphosphonate therapy: A cohort study of patients with femoral fracture with radiographic adjudication of fracture site and features. Bone 2011, 48, 966–971. [Google Scholar] [CrossRef]
- Reid, I.R.; Billington, E.O. Drug therapy for osteoporosis in older adults. Lancet 2022, 399, 1080–1092. [Google Scholar] [CrossRef] [PubMed]
- Desai, P.A.; Vyas, P.A.; Lane, J.M. Atypical femoral fractures: A review of the literature. Curr. Osteoporos. Rep. 2013, 11, 179–187. [Google Scholar] [CrossRef] [PubMed]
- Chiha, M.; Myers, L.E.; Ball, C.A.; Sinacore, J.M.; Camacho, P.M. Long-term follow-up of patients on drug holiday from bisphosphonates: Real-world setting. Endocr. Pract. 2013, 19, 989–994. [Google Scholar] [CrossRef] [PubMed]
- Phillips, H.; Harrison, S.; Akrawi, H.; Sidhom, S. Retrospective review of patients with atypical bisphosphonate related proximal femoral fractures. Injury 2017, 48, 1159–1164. [Google Scholar] [CrossRef]
- Villa, J.C.; Gianakos, A.; Lane, J.M. Bisphosphonate treatment in osteoporosis: Optimal duration of therapy and the incorporation of a drug holiday. HSS J. 2016, 12, 66–73. [Google Scholar] [CrossRef]
- Im, G.-I.; Lee, S.-H. Effect of teriparatide on healing of atypical femoral fractures: A systemic review. J. Bone Metab. 2015, 22, 183–189. [Google Scholar] [CrossRef]
- Silverman, S.; Kupperman, E.; Bukata, S. Bisphosphonate-related atypical femoral fracture: Managing a rare but serious complication. Clevel. Clin. J. Med. 2018, 85, 885–893. [Google Scholar] [CrossRef]
- Adams, A.; Xue, F.; Chantra, J.; Dell, R.; Ott, S.; Silverman, S.; Giaconi, J.; Critchlow, C. Sensitivity and specificity of radiographic characteristics in atypical femoral fractures. Osteoporos. Int. 2017, 28, 413–417. [Google Scholar] [CrossRef]
- Rosenberg, Z.S.; La Rocca Vieira, R.; Chan, S.S.; Babb, J.; Akyol, Y.; Rybak, L.D.; Moore, S.; Bencardino, J.T.; Peck, V.; Tejwani, N.C. Bisphosphonate-related complete atypical subtrochanteric femoral fractures: Diagnostic utility of radiography. Am. J. Roentgenol. 2011, 197, 954–960. [Google Scholar] [CrossRef]
- Toro, G.; Ojeda-Thies, C.; Calabrò, G.; Toro, G.; Moretti, A.; Guerra, G.M.-D.; Caba-Doussoux, P.; Iolascon, G. Management of atypical femoral fracture: A scoping review and comprehensive algorithm. BMC Musculoskelet. Disord. 2016, 17, 227. [Google Scholar] [CrossRef] [PubMed]
- Rudran, B.; Super, J.; Jandoo, R.; Babu, V.; Nathan, S.; Ibrahim, E.; Wiik, A.V. Current concepts in the management of bisphosphonate associated atypical femoral fractures. World J. Orthop. 2021, 12, 660. [Google Scholar] [CrossRef] [PubMed]
- Starr, J.; Tay, Y.K.D.; Shane, E. Current understanding of epidemiology, pathophysiology, and management of atypical femur fractures. Curr. Osteoporos. Rep. 2018, 16, 519–529. [Google Scholar] [CrossRef] [PubMed]
- van de Laarschot, D.M.; McKenna, M.J.; Abrahamsen, B.; Langdahl, B.; Cohen-Solal, M.; Guañabens, N.; Eastell, R.; Ralston, S.H.; Zillikens, M.C. Medical management of patients after atypical femur fractures: A systematic review and recommendations from the European Calcified Tissue Society. J. Clin. Endocrinol. Metab. 2020, 105, 1682–1699. [Google Scholar] [CrossRef] [PubMed]
- Bissonnette, L.; April, P.-M.; Dumais, R.; Boire, G.; Roux, S. Atypical fracture of the tibial diaphysis associated with bisphosphonate therapy: A case report. Bone 2013, 56, 406–409. [Google Scholar] [CrossRef]
- Erdem, Y.; Atbasi, Z.; Emre, T.Y.; Kavadar, G.; Demiralp, B. Effect of long-term use of bisphosphonates on forearm bone: Atypical ulna fractures in elderly woman with osteoporosis. Case Rep. Orthop. 2016, 2016, 4185202. [Google Scholar] [CrossRef]
- Breglia, M.D.; Carter, J.D. Atypical insufficiency fracture of the tibia associated with long-term bisphosphonate therapy. JCR J. Clin. Rheumatol. 2010, 16, 76–78. [Google Scholar] [CrossRef]
- Lim, S.Y.; Rastalsky, N.; Choy, E.; Bolster, M.B. Tibial stress reaction presenting as bilateral shin pain in a man taking denosumab for giant cell tumor of the bone. Bone 2015, 81, 31–35. [Google Scholar] [CrossRef]
- Osada, R.; Zukawa, M.; Kimura, T. Atypical ulnar fracture associated with long-term bisphosphonate use. J. Orthop. Sci. 2015, 20, 1132–1135. [Google Scholar] [CrossRef]
- Ang, B.; Koh, J.; Ng, A.; Howe, T. Bilateral ulna fractures associated with bisphosphonate therapy. Osteoporos. Int. 2013, 24, 1523–1525. [Google Scholar] [CrossRef]
- Moon, J.; Bither, N.; Lee, T. Atypical forearm fractures associated with long-term use of bisphosphonate. Arch. Orthop. Trauma Surg. 2013, 133, 889–892. [Google Scholar] [CrossRef] [PubMed]
- Imbuldeniya, A.M.; Jiwa, N.; Murphy, J.P. Bilateral atypical insufficiency fractures of the proximal tibia and a unilateral distal femoral fracture associated with long-term intravenous bisphosphonate therapy: A case report. J. Med. Case Rep. 2012, 6, 50. [Google Scholar] [CrossRef] [PubMed]
- Koh, A.; Guerado, E.; Giannoudis, P. Atypical femoral fractures related to bisphosphonate treatment: Issues and controversies related to their surgical management. Bone Jt. J. 2017, 99, 295–302. [Google Scholar] [CrossRef] [PubMed]
- Oh, C.-W.; Oh, J.-K.; Park, K.-C.; Kim, J.-W.; Yoon, Y.-C. Prophylactic nailing of incomplete atypical femoral fractures. Sci. World J. 2013, 2013, 450148. [Google Scholar] [CrossRef] [PubMed]
- Ha, Y.-C.; Cho, M.-R.; Park, K.H.; Kim, S.-Y.; Koo, K.-H. Is surgery necessary for femoral insufficiency fractures after long-term bisphosphonate therapy? Clin. Orthop. Relat. Res. 2010, 468, 3393–3398. [Google Scholar] [CrossRef]
- Banffy, M.B.; Vrahas, M.S.; Ready, J.E.; Abraham, J.A. Nonoperative versus prophylactic treatment of bisphosphonate-associated femoral stress fractures. Clin. Orthop. Relat. Res. 2011, 469, 2028–2034. [Google Scholar] [CrossRef] [PubMed]
- Egol, K.A.; Park, J.H.; Prensky, C.; Rosenberg, Z.S.; Peck, V.; Tejwani, N.C. Surgical treatment improves clinical and functional outcomes for patients who sustain incomplete bisphosphonate-related femur fractures. J. Orthop. Trauma 2013, 27, 331–335. [Google Scholar] [CrossRef]
- Ebrahimpour, A.; Sadighi, M.; Hoveidaei, A.H.; Chehrassan, M.; Minaei, R.; Vahedi, H.; Mortazavi, S.J. Surgical Treatment for Bisphosphonate-related Atypical Femoral Fracture: A Systematic Review. Arch. Bone Jt. Surg. 2021, 9, 283. [Google Scholar]
- Mailoo, V.J.; Srinivas, V.; Turner, J.; Fraser, W.D. Beware of bone pain with bisphosphonates. BMJ Case Rep. 2019, 12, e225385. [Google Scholar] [CrossRef]
- Perisano, C.; Cianni, L.; Polichetti, C.; Cannella, A.; Mosca, M.; Caravelli, S.; Maccauro, G.; Greco, T. Plate Augmentation in Aseptic Femoral Shaft Nonunion after Intramedullary Nailing: A Literature Review. Bioengineering 2022, 9, 560. [Google Scholar] [CrossRef]





| Case | References | Patient (Sex, Age) | Prodromal Symptoms (R/L) | Simultaneity of Fractures | Type and Period of Bisphosphonate | Fracture Sites (R/L) | Surgical Intervention (R/L) | Drugs Changed after Stopping BP | Complete Bone Union Period (R/L) |
|---|---|---|---|---|---|---|---|---|---|
| 1 | Our case | F, 64 | O/O | Simultaneous | Ibandronate 150 mg monthly for 10 years | Prox/prox | PIM nailing/PIM nailing | Teriparatide | NA |
| 2 | Ken Iwata et al., 2017 [10] | F, 68 | X/X | Sequential (1.5 years) | Alendronate 35 mg, weekly for 20 months | Prox/prox | IM nailing/PIM nailing | NA | 12 months/NA |
| 3 | Oluwatobi O Onafowokan, 2021 [11] | M, 69 | X/X | Simultaneous | Risedronate for 11 years | Mid/mid | IM nailing/IM nailing | NA | NA |
| 4 | Raul Parron Cambero et al., 2012 [12] | F, 72 | X/X | Sequential (9 months) | Unknown BP for 8 years | Prox/mid | IM nailing /plate-screw fixation | Teriparatide | NA/4 months |
| 5 | Eric D. Van Baarsel et al., 2019 [1] | F, 63 | O/O | Simultaneous | Alendronate for unknown period | Prox/prox | PIM nailing/PIM nailing | NA | NA |
| 6 | Cleto-Zepeda G. et al., 2019 [13] | F, 65 | X/X | Sequential (5 months) | Risedronate 35 mg weekly for 7 years | Mid/mid | IM nailing/X | Teriparatide +calcium, vit D | 3 months/NA |
| 7 | Alessandro Moghnie et al., 2016 [14] | F, 76 | O/O | Sequential (2 years) | Alendronate 70 mg weekly for more than 5 years | Mid/mid | IM nailing/IM nailing | NA | NA |
| 8 | Tarun Pankaj Jain et al., 2021 [15] | F, 77 | O/O | Sequential (5 months) | Alendronate for 7 years | Mid/mid | IM nailing/IM nailing | NA | NA |
| 9 | Denise M. van de Laarschot et al., 2016 [16] | F, 50 | O/O | Sequential (5 months) | Alendronate 70 mg weekly for 1 year Zoledronic acid 4 mg monthly for 8 months | Prox/mid | X/X | Strontium renelate | NA |
| 10 | Venthan Jeyaratnam Mailoo et al., 2019 [17] | F, 71 | O/O | Simultaneous | Ibandronate 150 mg monthly for 10 years | Mid/prox | X/X | Teriparatide +calcium, vit D | 24 months/ 24 months |
| 11 | Joon Kiong Lee, 2009 [18] | F, 82 | X/X | Sequential (4 years) | Alendronate 70 mg weekly for 8 years | Mid/mid | Plate-screw fixation /plate-screw fixation | NA | NA |
| 12 | Scott M. Sandilands, DO et al., 2016 [19] | F, 77 | O/O | Sequential (6 weeks) | Alendronate for unknown period | Prox/mid | IM nailing/PIM nailing | NA | 12 months/NA |
| 13 | Manuel Roman et al., 2015 [20] | M, 72 | X/X | Sequential (2 years) | Alendronate for 11 years | Mid/mid | IM nailing/IM nailing | Teriparatide | 5 months/ 7 months |
| 14 | Ichiro Tonogal et al., 2014 [21] | F, 53 | O/O | Sequential (2.5 years) | Incadronate 10 mg monthly for 5.5 years Zoledronate 4 mg q3monthly for 5 years | Prox/prox | IM nailing/IM nailing | NA | 4 months/NA |
| 15 | Naoki Kondo et al., 2015 [22] | F, 36 | X/X | Sequential (4 months) | Alendronate 5 mg daily for 3.5 years | Prox/prox | IM nailing/IM nailing | Calcium + vit D | 24 months/ 12 months |
| 16 | Matthew D. Smith et al., 2021 [23] | F, 70 | X/X | Sequential (4 months) | Alendronate for 10 years | Mid/mid | IM nailing/X | Teriparatide | 11 months/NA |
| 17 | Matthijs P. Somford et al., 2009 [24] | F, 76 | O/O | Sequential (1 years) | Alendronate 10 mg daily + Alendronate 70 mg weekly for 8 years | Prox/prox | IM nailing/IM nailing | NA | NA |
| 18 | Franciso Jose Tarazona-Santabalbina et al., 2013 [25] | F, 73 | O/O | Sequential (1 months) | Alendronate 10 mg daily for 7 years Alendronate 70 mg weekly for 6 years | Mid/mid | X/IM nailing | Teriparatide calcium + vit D | 12 months/NA |
| 19 | Ken Lee Puah et al., 2011 [26] | F, 64 | O/O | Simultaneous | Alendronate for 1 year | Dist/prox | X/X | NA | NA |
| 20 | Raju Vaishya et al., 2013 [27] | F, 63 | O/O | Simultaneous | Alendronate 70 mg weekly for 3 years | Prox/prox | X/X | Teriparatide | NA |
| 21 | Indunil Gunawardena et al., 2011 [28] | F, 67 | O/O | Sequential (2 years) | Alendronate for 4 years | Prox/prox | IM nailing/IM nailing | Calcium + vit D | NA |
| 22 | Yil Ryun Jo et al., 2013 [8] | F, 75 | O/O | Simultaneous | Alendronate 70 mg weekly for 8 years | Mid/mid | Plate-screw fixation /PIM nailing | None | NA |
| 23 | Kosuke Hamahashi et al., 2020 [29] | F, 57 | O/O | Simultaneous | Zoledronic acid for 10 years | Prox/prox | IM nailing/PIM nailing | NA | 24 months/ 15 months |
| 24 | F, 57 | X/X | Sequential (3 years) | Alendronate for more than 10 years | Prox/prox | IM nailing/IM nailing | NA | 25 months/ 58 months | |
| 25 | F, 41 | X/X | Simultaneous | Minodronic acid for 3 years | Prox/prox | IM nailing/PIM nailing | NA | 19 months/NA | |
| 26 | Jo Eun Kim et al., 2015 [30] | F, 82 | O/O | Sequential (2 years) | Unknown BP for 7 years | Prox/prox | PIM nailing/X | NA | NA |
| 27 | H.-y. Zhang et al., 2019 [31] | F, 71 | O/O | Sequential (3 years) | Alendronate 70 mg weekly for 5.5 years Zoledronic acid 5 mg yearly for 4 years | Prox/prox | IM nailing/IM nailing | Teriparatide calcium + vit D | NA |
| 28 | Fahad Alshahrani et al., 2012 [32] | F, 72 | O/X | Simultaneous | Etidronate for 5 years Alendronate 70 mg weekly for 4 years | Prox/prox | IM nailing/X | Teriparatide calcium + vit D | 3 months/NA |
| 29 | Vivek Sodhai et al., 2019 [33] | F, 73 | O/O | Sequential (5 months) | Unknown BP for unknown period | Mid/mid | IM nailing/PIM nailing | NA | 12 months/NA |
| 30 | Mehmet Okcu et al., 2021 [34] | F, 60 | O/O | Simultaneous | Alendronate 70 mg weekly for 3 years | Mid/mid | X/X | NA | NA |
| 31 | F, 83 | O/O | Sequential (5 months) | Alendronate 70 mg weekly for 4 years | Mid/mid | Plate-screw fixation /IM nailing | NA | NA | |
| 32 | Mohammad Golsorkhtabaramiri et al., 2020 [35] | F, 78 | X/X | Simultaneous | Risedronate 35 mg weekly for 9 years | Prox/prox | IM nailing/X | Calcium + vit D | NA |
| 33 | Tatsuki Kobayashi et al., 2021 [36] | F, 80 | X/X | Simultaneous | Risedronate 2.5 mg daily for 9 years | Mid/mid | IM nailing/IM nailing | NA | 8 months/ 8 months |
| 34 | Edelissa Payumo et al., 2018 [37] | F, 75 | X/X | Sequential (3 years) | Alendronate for 7 years | Prox/mid | IM nailing/IM nailing | Denosumab | NA |
| 35 | Edwin Chiu et al., 2020 [38] | F, 73 | O/O | Simultaneous | Zoledronic acid 4 mg monthly for 5 years | Prox/prox | PIM nailing/PIM nailing | NA | NA |
| 36 | Elisabetta Neri et al., 2021 [39] | F, 75 | X/O | Simultaneous | Risedronate 35 mg weekly for 2 years Ibandronate 35 mg weekly for 5 years | Mid/mid | X/PIM nailing | Teriparatide | NA/12 months |
| 37 | Young Sung Kim et al., 2015 [40] | F, 76 | X/X | Sequential (1 month) | Unknown BP for unknown period | Mid/mid | IM nailing/IM nailing | None | NA |
| 38 | S. K. Ramchand et al., 2015 [41] | F, 82 | O/O | Simultaneous | Alendronate for 6 years Risedronate for 1 year | Mid/mid | X/X | Teriparatide | NA |
| 39 | J. Selga et al., 2015 [42] | F, 62 | O/O | Simultaneous | Alendronate for 8 years Risedronate for 2 years Alendronate for 2 years | Prox/mid | IM nailing/IM nailing | Teriparatide | 3 months/ 3 months |
| 40 | C.P. Zafeiris et al., 2012 [43] | F, 76 | X/O | Simultaneous | Alendronate for 11 years | Mid/dist | X/X | Calcium + vit D | NA |
| 41 | Mark Higgins et al., 2016 [44] | F, 71 | O/O | Simultaneous | Alendronate 70 mg weekly for 8 years | Mid/prox | IM nailing/IM nailing | Calcium + vit D | NA |
| 42 | Morgane Righetti et al., 2017 [45] | F, 67 | O/O | Simultaneous | Alendronate for 10 years | Mid/mid | X/X | Teriparatide | NA |
| 43 | Stephen J. et al., 2011 [46] | F, 63 | O/O | Simultaneous | Alendronate 10 mg daily for 6 years Alendronate 70 mg weekly for 7 years | Mid/mid | X/X | Teriparatide calcium + vit D | 21 months/ 21 months |
| Patient | Total 43 | |
|---|---|---|
| Patients | Age (mean ± SD) | 68.8 (±10.2) |
| Demographics | Gender (female) | 41 (95%) |
| Bisphosphonate use (years) | Alendronate | 23 (7.1) |
| Risedronate | 4 (9.0) | |
| Ibandronate | 2 (10.0) | |
| Zoledronic acid | 2 (7.5) | |
| Minodronic acid | 1 (3.0) | |
| Two or more bisphosphonates | 7 (8.4) | |
| Unknown | 4 (7.5) | |
| Treatment option for AFF (total 86 femurs) | Surgical treatment | 61 (71%) |
| Non-surgical treatment | 25 (29%) | |
| Medication after stopping BP | Teriparatide | 15 |
| Calcium and vitamin D | 5 | |
| Denosumab | 1 | |
| Strontium ranelate | 1 | |
| No medication | 2 | |
| Unknown | 19 |
| To satisfy the case definition of AFF, the fracture must be located along the femoral diaphysis from just distal to the lesser trochanter to just proximal to the supracondylar flare. In addition, at least four of the five major features must be present. None of the minor features are required but have sometimes been associated with these fractures. |
| Major Features a The fracture is associated with minimal or no trauma, as in a fall from a standing height or less. The fracture originates at the lateral cortex and is substantially transverse in its orientation, although it may become oblique as it progresses medially across the femur. Complete fractures extend through both cortices and may be associated with a medial spike; incomplete fractures involve only the lateral cortex. The fracture is noncomminuted or minimally comminuted. Localized periosteal or endosteal thickening of the lateral cortex is present at the fracture site (“beaking” or “flaring”). |
| Minor Features Generalized increase in the cortical thickness of the femoral diaphysis. Unilateral or bilateral prodromal symptoms such as dull or aching pain in the groin or thigh. Bilateral incomplete or complete femoral diaphysis fractures. Delayed fracture healing. |
Disclaimer/Publisher’s Note: The statements, opinions and data contained in all publications are solely those of the individual author(s) and contributor(s) and not of MDPI and/or the editor(s). MDPI and/or the editor(s) disclaim responsibility for any injury to people or property resulting from any ideas, methods, instructions or products referred to in the content. |
© 2023 by the authors. Licensee MDPI, Basel, Switzerland. This article is an open access article distributed under the terms and conditions of the Creative Commons Attribution (CC BY) license (https://creativecommons.org/licenses/by/4.0/).
Share and Cite
Hwang, S.; Seo, M.; Lim, D.; Choi, M.S.; Park, J.-W.; Nam, K. Bilateral Atypical Femoral Fractures after Bisphosphonate Treatment for Osteoporosis: A Literature Review. J. Clin. Med. 2023, 12, 1038. https://doi.org/10.3390/jcm12031038
Hwang S, Seo M, Lim D, Choi MS, Park J-W, Nam K. Bilateral Atypical Femoral Fractures after Bisphosphonate Treatment for Osteoporosis: A Literature Review. Journal of Clinical Medicine. 2023; 12(3):1038. https://doi.org/10.3390/jcm12031038
Chicago/Turabian StyleHwang, SeokJoon, Minsu Seo, Dongin Lim, Min Suk Choi, Jin-Woo Park, and Kiyeun Nam. 2023. "Bilateral Atypical Femoral Fractures after Bisphosphonate Treatment for Osteoporosis: A Literature Review" Journal of Clinical Medicine 12, no. 3: 1038. https://doi.org/10.3390/jcm12031038
APA StyleHwang, S., Seo, M., Lim, D., Choi, M. S., Park, J.-W., & Nam, K. (2023). Bilateral Atypical Femoral Fractures after Bisphosphonate Treatment for Osteoporosis: A Literature Review. Journal of Clinical Medicine, 12(3), 1038. https://doi.org/10.3390/jcm12031038

