Multimodality Imaging in Advanced Heart Failure for Diagnosis, Management and Follow-Up: A Comprehensive Review
Abstract
1. Introduction
2. Multimodal Approach to Advanced Heart Failure
2.1. Transthoracic Echocardiography in AHF
- Left-ventricular ejection fraction (LVEF). LVEF is a crucial indicator in assessing heart failure. In individuals with AHF, approximately 50% of patients may exhibit a reduced LVEF [1]. It is noteworthy, however, that half of AHF cases present with mildly reduced or preserved EF, with poor survival rates irrespective of EF values [6,7].The accurate measurement of LVEF is essential and can be achieved through the Simpson’ biplane method or 3D imaging. In instances of poor acoustic window quality, the use of ultrasound-enhancing agents (UEAs) is recommended to enhance the visualization of the endocardial borders [19].According to the 2022 AHA/ACC/HFSA Guideline, the diagnosis of HF with an LVEF exceeding 40% necessitates a demonstration of increased filling pressures. While increased cardiac filling pressure is presumed for HFrEF, individuals with HFmrEF or HFpEF require evidence demonstrating spontaneously or provokable increased LV filling pressures for a confirmed diagnosis of HF. Such supporting evidence can be obtained through noninvasive methods such as natriuretic peptide assessment or imaging for diastolic function [2]. Patients who initially had HFrEF and subsequently, at follow-up, show an LVEF surpassing 40%, are classified as having heart failure with improved EF (HFimpEF) [2].
- Presence of regional wall motion abnormalities (RWMA). In AHF, the presence of RWMA serves as a significant clinical indicator, which may be caused by factors such as ischemia, scar tissue formation, or underlying structural heart disease. These abnormalities contribute to the overall dysfunction of the heart and can further compromise its pumping capacity [1,2].
- Ventricular diameters and volumes: LV end-diastolic diameter (EDD) upper cut-off normal values are >52.2 mm in females and >58.4 mm in males. LV end-diastolic volume (EDV) upper cut-off values are >61 mm/m2 in the female sex and >74 mm/m2 in the male sex. Three-dimensional (3D) echocardiography is currently the most accurate technique in determining LV volume and function. It correlates with cardiac magnetic resonance, reducing the need for geometric assumptions. However, it has some limitations, such as lower spatial and temporal resolution [20]. In a retrospective study on 443 patients initially diagnosed with HFrEF, those with persistent EF ≤ 40% (HFprEF) at the 1-year follow-up had a poorer prognosis compared to those with HFimpEF. Notably, LV end-systolic diameter (LVESD) at discharge emerged as a significant predictor, with an LVESD ≥ 55 mm associated with a higher incidence of persistent HFrEF, suggesting its potential value for risk stratification in patients with advanced HF refractory for guideline-directed medical therapy [21]
- Stroke volume (SV): the SV through the aortic valve is calculated as the product of the cross-sectional area times the integral of the velocity/time curve of flow through that area. The lower cut-off for indexed SV value is <35 mL/m2 [22]. Monitoring changes in indexed SV over time can provide insights into the progression or improvement of heart failure, guiding adjustments to therapeutic interventions.
- LV global longitudinal strain (GLS). The normal value is strictly variable depending on sex and age, with a mean normal value of −22.5 ± 2.7 and a confidence interval = −17.2 to −27.7 [23]. In patients with HF with reduced LVEF, GLS is an accurate noninvasive measure of myocardial fibrosis and a better predictor of all causes of mortality than other echocardiographic parameters, especially in males and in sinus rhythm [24]. A GLS <16% has been proposed as a lower value for LV systolic dysfunction [2].
- Mitral and tricuspidal regurgitation. TTE using quantitative parameters allows for the quantification of the seriousness of these valvular heart diseases, also being able to provide indications on the need for a possible percutaneous treatment. There are qualitative, semiquantitative, and quantitative parameters (Pisa radium, regurgitant volume (RV) and effective regurgitant orifice area (EROA)). For mitral regurgitation, the presence of EROA > 40 mm2 and Rvol > 60 mL is indicative of severity, while the severity cut-off for tricuspid regurgitation is: EROA > 40 mm, Rvol > 45 mL and Pisa radium > 9 mm [25];
- Diastolic function. The E/E′ ratio > 14 and average e′ velocity < 9 cm/s identify an increase in LV filling pressure. During diastole, blood flows through the mitral valve when the LV relaxes, causing an early diastolic mitral velocity (E), and then additional blood is pumped through the valve when the left atrium contracts during late diastole (A). The E/A ratio can be altered as diastolic dysfunction progresses (with an initial decline (E/A < 1); then, there is a pseudonormalization (E/A ≥ 1) and, finally, a restrictive filling pattern (E/A ≥ 2) appears [26]. Tissue Doppler imaging is an echocardiographic technique that measures the velocity of the mitral annulus. This velocity has been shown to be an important marker of early myocardial dysfunction. With abnormal active relaxation, mitral annulus velocity during early diastole (e′) is decreased while mitral annulus velocity during late diastole (a′) is increased, resulting in a lowered e′/a′ ratio [27] and a higher E/e′ ratio. Indicators of increased filling pressures include an average E/e′ ≥15, a septal e′ velocity less than 7 cm/s, a lateral e′ velocity less than 10 cm/s, a tricuspid regurgitation (TR) velocity greater than 2.8 m/s, and an estimated systolic pulmonary artery pressure (sPAP) exceeding 35 mmHg [2].
- LV mass and wall thickness (WT). The quantification of the myocardial mass and the measurement of the thickness allows for the identification of pathological hypertrophy. An example is hypertrophic cardiomyopathy, in which there is asymmetric LV hypertrophy with septal thicknesses above 15 mm. There are two main patterns of hypertrophy: concentric and eccentric. Concentric hypertrophy occurs in cases of chronic pressure overload such as in aortic stenosis or poorly controlled arterial hypertension. Eccentric hypertrophy is typical of volume overload—typical, for example, of aortic insufficiency or cases of dilated heart disease; the latter type of hypertrophy usually belongs to dysfunctional ventricles and therefore is a negative prognostic marker [25]. The proposed criteria for detecting structural heart disease are an LV indexed mass greater than 116/95 g/m², a relative WT exceeding 0.42, and an LV wall thickness > 12 mm [2].
- Left atrial (LA) function. LA enlargement predicts cardiovascular risk, and an alteration of LA deformation property (strain) is a marker of negative outcomes such as cardiovascular morbidity and mortality [28]. Following the 2022 AHA/ACC/HFSA Guideline, a left atrial volume index (LAVI) equal to or exceeding 34 mL/m² is proposed as indicative of elevated filling pressures [2].
- Advanced echocardiography. RV global longitudinal strain (RVGLS) and free-wall right-ventricular longitudinal strain (RVFWS) are two important parameters for evaluating RV function. The normal values are >−17.5% for RVGLS and >−15.3% for RVFWS. RVFWS is a more sensitive indicator of RV function since RVGLS, involving interventricular septum deformation analysis, can be influenced by LV dysfunction [29].
2.1.1. Novel Approaches in TTE Evaluation for AHF
2.1.2. Role of Cardiac Magnetic Resonance Imaging in AHF
2.1.3. Role of Cardiac Computed Tomography in AHF
2.1.4. Role of Nuclear Imaging in AHF
2.2. Short-Term Mechanical Support
2.2.1. The Intra-Aortic Balloon Pump

2.2.2. The Impella
2.2.3. The Veno-Arterial Extracorporeal Membrane Oxygenation
2.3. Long-Term Mechanical Circulatory Support
2.3.1. Selection of LVAD Potential Candidates
- LVEF (particularly the demonstration of an LVEF < 25%), ventricular size and cardiac output. It may be difficult to implant patients with small LV size, especially with increased LV trabeculation.
- The presence of intracardiac thrombi; this is not an absolute contraindication to LVAD implants, but it increases the risk of stroke during the LV cannulation procedure.
- RV function. It is essential to evaluate the presence of signs of RV dysfunction (such as TAPSE < 18 mm, s′ < 9.5 cm/s, FAC < 35%), RV dilation, dilation of inferior vena cava, and moderate or greater tricuspid regurgitation. The presence of preoperative severe RV dysfunction may suggest the use of a biventricular MCS.
- Valve diseases. Before LVAD implantation, it is important to detect and quantify valvular regurgitation, valvular stenosis, and prosthetic valve dysfunction. The presence of moderate to severe mitral stenosis can prevent LV cannula inflow. The presence of aortic stenosis of any severity does not affect LVAD function. In fact, LVAD bypasses the native LVOT. It is important to exclude significant aortic regurgitation (AR) before LVAD implantation because it can create a vicious cycle in which blood pumped into the aorta regurgitates into the LV. Of note, in patients with advanced HF and severe stroke volume reduction, it may be difficult to quantify aortic regurgitation. The presence of pre-operatory severe mitral regurgitation is often markedly improved after the initiation of LVAD support because of reduced LV size, reduced filling pressure and improved coaptation of MV leaflets; for these reasons, any grade of mitral regurgitation is not a contraindication to LVAD implantation. Conversely, the presence of pre-operative moderate or severe tricuspid regurgitation may indicate RV dysfunction. In patients with AV mechanical valve prostheses, reduced blood flow through the prosthesis after an LVAD implant may increase the risk of thrombosis; therefore, biological valve replacement may be considered. Finally, it is also important to exclude moderate or severe pulmonary regurgitation and pulmonary stenosis.
- Congenital heart diseases. Some congenital common anomalies require correction before LVAD implantation. The presence of ventricular septal defects should be also excluded [73].
2.3.2. LVAD Surveillance Echocardiography
- LV size and function. The most reproducible is the LV internal diameter end diastole (LVIDd) from the 2D parasternal long-axis image. The LVIDd might paradoxically be smaller than the LV internal diameter at the end of systole (LVIDs). This is a significant observation, as it is linked to excessive unloading of the LV supported by LVADs and/or severe RV dysfunction [73]. The evaluation of LVEF can demonstrate possible LV worsening or recovery. A possible complication to evaluate is LV suction with induced ventricular ectopy; this condition can be due to LV underfilling that causes the impact of inflow cannula with LV endocardium, and the solution may be speed turndown, or fluid administration in case of hypovolemia.
- Position of interventricular septum (IVS) and cannulas. The end-diastolic IVS position may be neutral, leftward-shifted or rightward-shifted. A leftward shift can be due to elevated RV end-diastolic pressures, reduced LV preload, or LV over-decompression resulting from excessive LVAD speed. A rightward IVS shift is generally due to elevated LV end-diastolic pressures resulting from an inadequate LVAD speed setting, pump dysfunction, severe AR, or an increased LV afterload. The inflow cannula can be evaluated in the parasternal or apical TTE views. It is important to reveal the cannula’s location and orientation in relation to IVS and other LV structures. The color Doppler interrogation should demonstrate a one-directional laminar flow from LV to inflow cannula without turbulence or regurgitation. At continuous Doppler interrogation, the flow should have a peak velocity between 1 and 2 m/s; a higher velocity may suggest inflow obstruction.
- Aortic valve (AV) opening and AR severity. It is important to evaluate the presence and the degree of AV opening because it is determined by different parameters like LVAD speed, LV native function, volume status and peripheral vascular resistance. LVAD types differ in aortic valve opening pattern, especially for the intermittent low-speed phase (e.g., 9 s for Jarvick) [74]. It is recommended that LVAD speed is set to allow at least one intermittent opening of the AV. The AV opening is assessed with M-Mode. In patients with very depressed LVEF, AV opening may not occur. When the AV remains closed, the aortic root thrombus should also be excluded. Another risk in LVAD patients is the development of AR, which is not uncommon after LVAD implantation. The assessment of its severity is partly based on careful color Doppler analysis in the parasternal long-axis view.
- RV size and function. During TTE follow-up, RV function must be carefully evaluated. The shift of the IVS to the left side by LVADs may reduce the IVS contribution to the RV contraction. Furthermore, increased venous return created by increased cardiac output from the LVAD may worsen the RV function. This increased workload is a concern for worsening RV function that LVAD patients may already have. The classical criteria for RV dysfunction included the following parameters: TAPSE < 17 mm, tricuspid annulus systolic peak velocity (S’) velocity < 10 cm/s and RVFAC < 35% [22]. Nevertheless, the evaluation of RV function is also challenging because the correlation between RV systolic function and TAPSE and/or S’ should be considered weaker after cardiothoracic surgery.
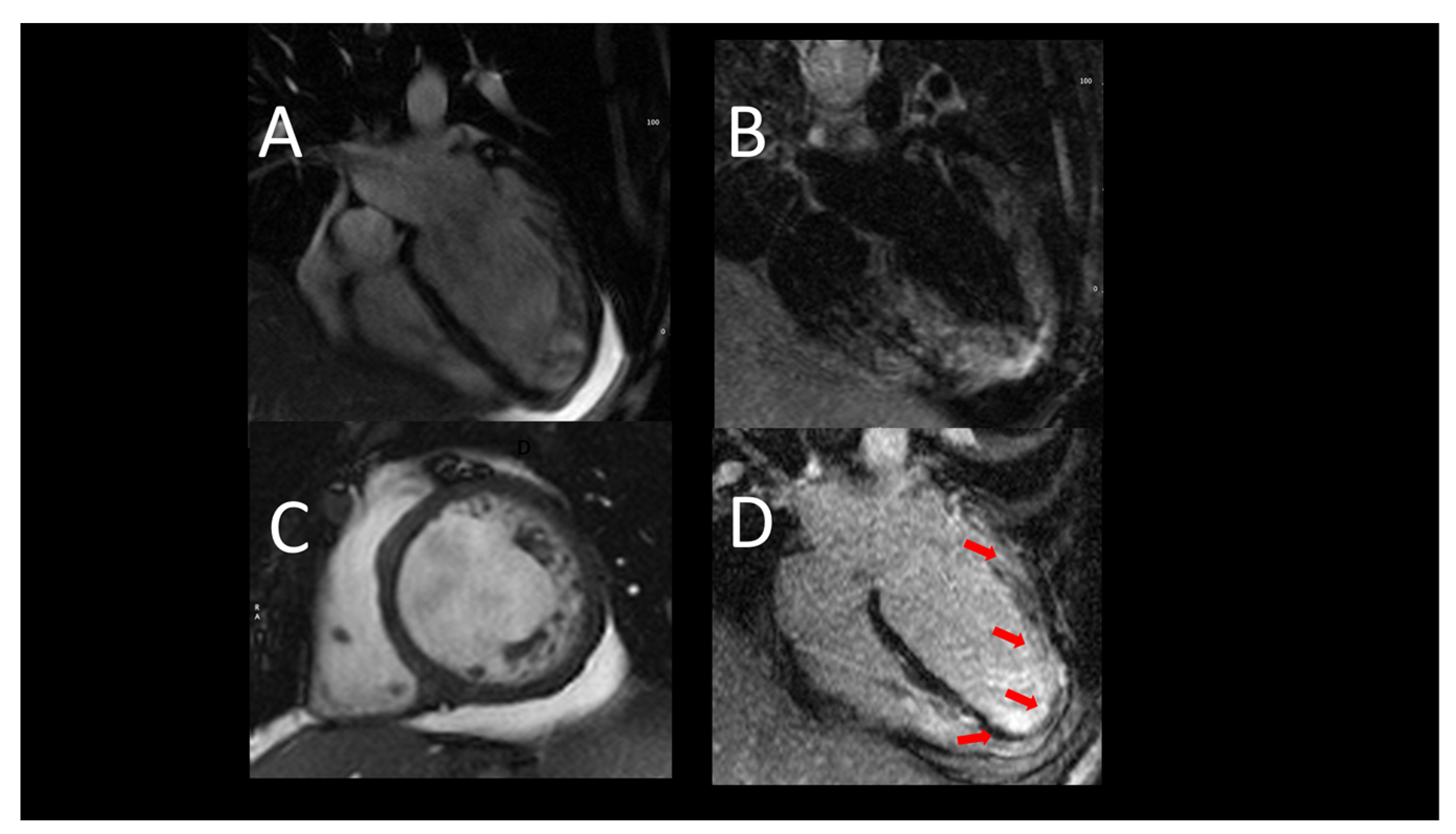
- Evidence of intracardiac thrombi. Recent studies on patients implanted with new-generation LVADs suggest that the LV may be a relevant site of local thrombosis and cardioembolism. Pump speed, AV opening, cannula location, and orientation are important determinants of LV flow that are drastically disrupted in LVAD patients, leading to blood stasis or abnormally large shear stresses (Figure 5) [73].
2.3.3. Advanced Echocardiography in LVAD Patients
2.3.4. Role of Cardiac Computed Tomography and Nuclear Imaging in LVAD Patients
2.4. Imaging in Orthotopic Cardiac Transplant (OTC)
2.4.1. Advanced Echocardiography
2.4.2. Cardiac Magnetic Resonance
2.4.3. Cardiac Computed Tomography Angiography and Nuclear Imaging
3. Conclusions (Take Home Messages) and Future Perspectives
Author Contributions
Funding
Data Availability Statement
Acknowledgments
Conflicts of Interest
References
- McDonagh, T.A.; Metra, M.; Adamo, M.; Gardner, R.S.; Baumbach, A.; Böhm, M.; Burri, H.; Butler, J.; Čelutkienė, J.; Chioncel, O.; et al. 2021 ESC Guidelines for the diagnosis and treatment of acute and chronic heart failure. Eur. Heart J. 2021, 42, 3599–3726, Erratum in Eur. Heart J. 2021, 42, 4901. [Google Scholar] [CrossRef] [PubMed]
- Heidenreich, P.A.; Bozkurt, B.; Aguilar, D.; Allen, L.A.; Byun, J.J.; Colvin, M.M.; Deswal, A.; Drazner, M.H.; Dunlay, S.M.; Evers, L.R.; et al. 2022 AHA/ACC/HFSA Guideline for the Management of Heart Failure: A Report of the American College of Cardiology/American Heart Association Joint Committee on Clinical Practice Guidelines. Circulation 2022, 145, E895–E1032, Erratum in Circulation 2022, 145, e1033; Erratum in Circulation 2022, 146, e185; Erratum in Circulation 2023, 147, e674. [Google Scholar] [CrossRef]
- Savarese, G.; Lund, L.H. Global Public Health Burden of Heart Failure. Card. Fail. Rev. 2017, 3, 7–11. [Google Scholar] [CrossRef] [PubMed]
- Xanthakis, V.; Enserro, D.M.; Larson, M.G.; Wollert, K.C.; Januzzi, J.L.; Levy, D.; Aragam, J.; Benjamin, E.J.; Cheng, S.; Wang, T.J.; et al. Prevalence, Neurohormonal Correlates, and Prognosis of Heart Failure Stages in the Community. JACC Heart Fail. 2016, 4, 808–815. [Google Scholar] [CrossRef] [PubMed]
- Giannitsi, S.; Bougiakli, M.; Bechlioulis, A.; Kotsia, A.; Michalis, L.K.; Naka, K.K. 6-minute walking test: A useful tool in the management of heart failure patients. Ther. Adv. Cardiovasc. Dis. 2019, 13, 1753944719870084. [Google Scholar] [CrossRef] [PubMed]
- Dunlay, S.M.; Roger, V.L.; Killian, J.M.; Weston, S.A.; Schulte, P.J.; Subramaniam, A.V.; Blecker, S.B.; Redfield, M.M. Advanced Heart Failure Epidemiology and Outcomes: A Population-Based Study. JACC Heart Fail. 2021, 9, 722–732. [Google Scholar] [CrossRef]
- Subramaniam, A.V.; Weston, S.A.; Killian, J.M.; Schulte, P.J.; Roger, V.L.; Redfield, M.M.; Blecker, S.B.; Dunlay, S.M. Development of Advanced Heart Failure: A Population-Based Study. Circ. Heart Fail. 2022, 15, e009218. [Google Scholar] [CrossRef]
- Francis, G.S.; Bartos, J.A.; Adatya, S. Inotropes. J. Am. Coll. Cardiol. 2014, 63, 2069–2078. [Google Scholar] [CrossRef]
- Kittleson, M.M.; Shah, P.; Lala, A.; McLean, R.C.; Pamboukian, S.; Horstmanshof, D.A.; Thibodeau, J.; Shah, K.; Teuteberg, J.; Gilotra, N.A.; et al. INTERMACS profiles and outcomes of ambulatory advanced heart failure patients: A report from the REVIVAL Registry. J. Heart Lung Transplant. 2019, 39, 16–26. [Google Scholar] [CrossRef]
- Barge-Caballero, E.; Almenar-Bonet, L.; Gonzalez-Vilchez, F.; Lambert-Rodríguez, J.L.; González-Costello, J.; Segovia-Cubero, J.; Castel-Lavilla, M.A.; Delgado-Jiménez, J.; Garrido-Bravo, I.P.; Rangel-Sousa, D.; et al. Clinical outcomes of temporary mechanical circulatory support as a direct bridge to heart transplantation: A nationwide Spanish registry. Eur. J. Heart Fail. 2017, 20, 178–186. [Google Scholar] [CrossRef]
- Mehra, M.M.R.; Cleveland, J.C., Jr.; Uriel, N.; Cowger, J.A.; Hall, S.; Horstmanshof, D.; Naka, Y.; Salerno, C.T.; Chuang, J.; Msc, C.W.; et al. Primary results of long-term outcomes in the MOMENTUM 3 pivotal trial and continued access protocol study phase: A study of 2200 HeartMate 3 left ventricular assist device implants. Eur. J. Heart Fail. 2021, 23, 1392–1400. [Google Scholar] [CrossRef]
- Cameli, M.; Pastore, M.C.; Campora, A.; Lisi, M.; Mandoli, G.E. Donor shortage in heart transplantation: How can we overcome this challenge? Front. Cardiovasc. Med. 2022, 9, 1001002. [Google Scholar] [CrossRef]
- Dandel, M.; Javier, M.F.d.M.; Delmo, E.M.d.J.; Hetzer, R. Accurate assessment of right heart function before and after long-term left ventricular assist device implantation. Expert Rev. Cardiovasc. Ther. 2020, 18, 289–308. [Google Scholar] [CrossRef] [PubMed]
- Kapur, N.K.; Esposito, M.L.; Bader, Y.; Morine, K.J.; Kiernan, M.S.; Pham, D.T.; Burkhoff, D. Mechanical Circulatory Support Devices for Acute Right Ventricular Failure. Circulation 2017, 136, 314–326. [Google Scholar] [CrossRef] [PubMed]
- Shehab, S.; Hayward, C.S. Choosing Between Left Ventricular Assist Devices and Biventricular Assist Devices. Card. Fail. Rev. 2019, 5, 19–23. [Google Scholar] [CrossRef]
- Mehra, M.R.; Canter, C.E.; Hannan, M.M.; Semigran, M.J.; Uber, P.A.; Baran, D.A.; Danziger-Isakov, L.; Kirklin, J.K.; Kirk, R.; Kushwaha, S.S.; et al. The 2016 International Society for Heart Lung Transplantation listing criteria for heart transplantation: A 10-year update. J. Heart Lung Transplant. 2016, 35, 1–23. [Google Scholar] [CrossRef] [PubMed]
- Oras, J.; Doueh, R.; Norberg, E.; Redfors, B.; Omerovic, E.; Dellgren, G. Left ventricular dysfunction in potential heart donors and its influence on recipient outcomes. J. Thorac. Cardiovasc. Surg. 2020, 159, 1333–1341.e6. [Google Scholar] [CrossRef] [PubMed]
- Hassan, O.K.A.; Higgins, A.R. The role of multimodality imaging in patients with heart failure with reduced and preserved ejection fraction. Curr. Opin. Cardiol. 2022, 37, 285–293. [Google Scholar] [CrossRef] [PubMed]
- Porter, T.R.; Xie, F. Contrast Echocardiography: Latest Developments and Clinical Utility. Curr. Cardiol. Rep. 2015, 17, 569. [Google Scholar] [CrossRef]
- Lang, R.M.; Badano, L.P.; Mor-Avi, V.; Afilalo, J.; Armstrong, A.; Ernande, L.; Flachskampf, F.A.; Foster, E.; Goldstein, S.A.; Kuznetsova, T.; et al. Recommendations for Cardiac Chamber Quantification by Echocardiography in Adults: An Update from the American Society of Echocardiography and the European Association of Cardiovascular Imaging. Eur. Heart J. Cardiovasc. Imaging 2015, 16, 233–270, Erratum in Eur. Heart J. Cardiovasc. 2016, 17, 412. Erratum in Eur. Heart J. Cardiovasc. 2016, 17, 969. [Google Scholar] [CrossRef]
- Takada, T.; Nakata, Y.; Matsuura, K.; Minami, Y.; Kishihara, M.; Watanabe, S.; Shirotani, S.; Abe, T.; Yoshida, A.; Hasegawa, S.; et al. Left Ventricular End-Systolic Diameter May Predict Persistent Heart Failure with Reduced Ejection Fraction. Int. Heart J. 2023, 64, 1095–1104. [Google Scholar] [CrossRef] [PubMed]
- Mandoli, G.E.; Benfari, G.; Baggiano, A.; Florea, R.; Cameli, M. Editorial: Advances in cardiac imaging and heart failure management. Front. Cardiovasc. Med. 2023, 9, 1095829. [Google Scholar] [CrossRef]
- Sugimoto, T.; Dulgheru, R.; Bernard, A.; Ilardi, F.; Contu, L.; Addetia, K.; Caballero, L.; Akhaladze, N.; Athanassopoulos, G.D.; Barone, D.; et al. Echocardiographic reference ranges for normal left ventricular 2D strain: Results from the EACVI NORRE study. Eur. Heart J. Cardiovasc. Imaging 2017, 18, 833–840. [Google Scholar] [CrossRef]
- Karlsen, S.; Dahlslett, T.; Grenne, B.; Sjøli, B.; Smiseth, O.; Edvardsen, T.; Brunvand, H. Global longitudinal strain is a more reproducible measure of left ventricular function than ejection fraction regardless of echocardiographic training. Cardiovasc. Ultrasound 2019, 17, 18. [Google Scholar] [CrossRef] [PubMed]
- Galderisi, M.; Cosyns, B.; Edvardsen, T.; Cardim, N.; Delgado, V.; Di Salvo, G.; Donal, E.; Sade, L.E.; Ernande, L.; Garbi, M.; et al. Standardization of adult transthoracic echocardiography reporting in agreement with recent chamber quantification, diastolic function, and heart valve disease recommendations: An expert consensus document of the European association of cardiovascular imaging. Eur. Heart J. Cardiovasc. Imaging 2017, 18, 1301–1310. [Google Scholar] [CrossRef] [PubMed]
- Pastore, M.C.; Mandoli, G.E.; Aboumarie, H.S.; Santoro, C.; Bandera, F.; D’andrea, A.; Benfari, G.; Esposito, R.; Evola, V.; Sorrentino, R.; et al. Basic and advanced echocardiography in advanced heart failure: An overview. Heart Fail. Rev. 2020, 25, 937–948. [Google Scholar] [CrossRef]
- Nagueh, S.F.; Smiseth, O.A.; Appleton, C.P.; Byrd, B.F., 3rd; Dokainish, H.; Edvardsen, T.; Flachskampf, F.A.; Gillebert, T.C.; Klein, A.L.; Lancellotti, P.; et al. Recommendations for the Evaluation of Left Ventricular Diastolic Function by Echocardiography: An Update from the American Society of Echocardiography and the European Association of Cardiovascular Imaging. J. Am. Soc. Echocardiogr. 2016, 29, 277–314. [Google Scholar] [CrossRef] [PubMed]
- Bech-Hanssen, O.; Pergola, V.; Al-Admawi, M.; Fadel, B.M.; Di Salvo, G. Atrial function in heart transplant recipients operated with the bicaval technique. Scand. Cardiovasc. J. 2016, 50, 42–51. [Google Scholar] [CrossRef]
- Carluccio, E.; Biagioli, P.; Lauciello, R.; Zuchi, C.; Mengoni, A.; Bardelli, G.; Alunni, G.; Gronda, E.G.; Ambrosio, G. Superior Prognostic Value of Right Ventricular Free Wall Compared to Global Longitudinal Strain in Patients with Heart Failure. J. Am. Soc. Echocardiogr. 2019, 32, 836–844.e1. [Google Scholar] [CrossRef]
- Mauro, C.; Chianese, S.; Cocchia, R.; Arcopinto, M.; Auciello, S.; Capone, V.; Carafa, M.; Carbone, A.; Caruso, G.; Castaldo, R.; et al. Acute Heart Failure: Diagnostic–Therapeutic Pathways and Preventive Strategies—A Real-World Clinician’s Guide. J. Clin. Med. 2023, 12, 846. [Google Scholar] [CrossRef]
- Via, G.; Hussain, A.; Wells, M.; Reardon, R.; ElBarbary, M.; Noble, V.E.; Tsung, J.W.; Neskovic, A.N.; Price, S.; Oren-Grinberg, A.; et al. International Evidence-Based Recommendations for Focused Cardiac Ultrasound. J. Am. Soc. Echocardiogr. 2014, 27, 683.e1–683.e33. [Google Scholar] [CrossRef]
- Gargani, L. Ultrasound of the Lungs. Heart Fail. Clin. 2019, 15, 297–303. [Google Scholar] [CrossRef] [PubMed]
- Pellicori, P.; Platz, E.; Dauw, J.; ter Maaten, J.M.; Martens, P.; Pivetta, E.; Cleland, J.G.; McMurray, J.J.; Mullens, W.; Solomon, S.D.; et al. Ultrasound imaging of congestion in heart failure: Examinations beyond the heart. Eur. J. Heart Fail. 2021, 23, 703–712. [Google Scholar] [CrossRef]
- Coiro, S.; Rossignol, P.; Ambrosio, G.; Carluccio, E.; Alunni, G.; Murrone, A.; Tritto, I.; Zannad, F.; Girerd, N. Prognostic value of residual pulmonary congestion at discharge assessed by lung ultrasound imaging in heart failure. Eur. J. Heart Fail. 2015, 17, 1172–1181. [Google Scholar] [CrossRef]
- Contaldi, C.; Dellegrottaglie, S.; Mauro, C.; Ferrara, F.; Romano, L.; Marra, A.M.; Ranieri, B.; Salzano, A.; Rega, S.; Scatteia, A.; et al. Role of Cardiac Magnetic Resonance Imaging in Heart Failure. Heart Fail. Clin. 2021, 17, 207–221. [Google Scholar] [CrossRef] [PubMed]
- Vöhringer, M.; Mahrholdt, H.; Yilmaz, A.; Sechtem, U. Significance of Late Gadolinium Enhancement in Cardiovascular Magnetic Resonance Imaging (CMR). Herz 2007, 32, 129–137. [Google Scholar] [CrossRef] [PubMed]
- Memon, S.; Ganga, H.V.; Kluger, J. Late Gadolinium Enhancement in Patients with Nonischemic Dilated Cardiomyopathy. Pacing Clin. Electrophysiol. 2016, 39, 731–747. [Google Scholar] [CrossRef]
- Aquaro, G.D.; De Gori, C.; Faggioni, L.; Parisella, M.L.; Cioni, D.; Lencioni, R.; Neri, E. Diagnostic and prognostic role of late gadolinium enhancement in cardiomyopathies. Eur. Heart J. Suppl. 2023, 25, C130–C136. [Google Scholar] [CrossRef]
- Nagueh, S.F.; Nabi, F.; Chang, S.M.; Al-Mallah, M.; Shah, D.J.; Bhimaraj, A. Imaging for implementation of heart failure guidelines. Eur. Heart J. Cardiovasc. Imaging 2023, 24, 1283–1292. [Google Scholar] [CrossRef] [PubMed]
- Karamitsos, T.D.; Piechnik, S.K.; Banypersad, S.M.; Fontana, M.; Ntusi, N.B.; Ferreira, V.M.; Whelan, C.J.; Myerson, S.G.; Robson, M.D.; Hawkins, P.N.; et al. Noncontrast T1 Mapping for the Diagnosis of Cardiac Amyloidosis. JACC Cardiovasc. Imaging 2013, 6, 488–497. [Google Scholar] [CrossRef]
- Markatis, E.; Afthinos, A.; Antonakis, E.; Papanikolaou, I.C. Cardiac sarcoidosis: Diagnosis and management. Rev. Cardiovasc. Med. 2020, 21, 321–338. [Google Scholar] [CrossRef] [PubMed]
- Child, N.M.; Das, R. Is cardiac magnetic resonance imaging assessment of myocardial viability useful for predicting which patients with impaired ventricles might benefit from revascularization? Interact. Cardiovasc. Thorac. Surg. 2012, 14, 395–398. [Google Scholar] [CrossRef] [PubMed]
- Katikireddy, C.K.; Samim, A. Myocardial viability assessment and utility in contemporary management of ischemic cardiomyopathy. Clin. Cardiol. 2022, 45, 152–161. [Google Scholar] [CrossRef] [PubMed]
- Aziz, W.; Claridge, S.; Ntalas, I.; Gould, J.; de Vecchi, A.; Razeghi, O.; Toth, D.; Mountney, P.; Preston, R.; Rinaldi, C.A.; et al. Emerging role of cardiac computed tomography in heart failure. ESC Heart Fail. 2019, 6, 909–920. [Google Scholar] [CrossRef]
- Ramanathan, R.; Anumandla, A.K.; Haramati, L.B.; Spevack, D.M.; Godelman, A.; Jain, V.R.; Kazam, J.; Burton, W.B.; Levsky, J.M. Evaluation of the Cardiac Chambers on Axial CT. J. Comput. Assist. Tomogr. 2014, 38, 53–60. [Google Scholar] [CrossRef] [PubMed]
- Taylor, A.J.; Cerqueira, M.; Hodgson, J.M.; Mark, D.; Min, J.; O’Gara, P.; Rubin, G.D.; Kramer, C.M.; Berman, D.; Brown, A.; et al. ACCF/SCCT/ACR/AHA/ASE/ASNC/NASCI/SCAI/SCMR 2010 Appropriate Use Criteria for Cardiac Computed Tomography. J. Cardiovasc. Comput. Tomogr. 2010, 4, 407.e1–407.e33. [Google Scholar] [CrossRef]
- Penso, M.; Babbaro, M.; Moccia, S.; Baggiano, A.; Carerj, M.L.; Guglielmo, M.; Fusini, L.; Mushtaq, S.; Andreini, D.; Pepi, M.; et al. A deep-learning approach for myocardial fibrosis detection in early contrast-enhanced cardiac CT images. Front. Cardiovasc. Med. 2023, 10, 1151705. [Google Scholar] [CrossRef] [PubMed]
- Treibel, T.A.; Bandula, S.; Fontana, M.; White, S.K.; Gilbertson, J.A.; Herrey, A.S.; Gillmore, J.D.; Punwani, S.; Hawkins, P.N.; Taylor, S.A.; et al. Extracellular volume quantification by dynamic equilibrium cardiac computed tomography in cardiac amyloidosis. J. Cardiovasc. Comput. Tomogr. 2015, 9, 585–592. [Google Scholar] [CrossRef]
- Baggiano, A.; Conte, E.; Spiritigliozzi, L.; Mushtaq, S.; Annoni, A.; Carerj, M.L.; Cilia, F.; Fazzari, F.; Formenti, A.; Frappampina, A.; et al. Quantification of extracellular volume with cardiac computed tomography in patients with dilated cardiomyopathy. J. Cardiovasc. Comput. Tomogr. 2023, 17, 261–268. [Google Scholar] [CrossRef]
- Selvakumar, D.; Brown, P.; Geenty, P.; Barnett, R.; AB Saunders, C.; Altman, M.; Thomas, L. Comparative Assessments of Left and Right Ventricular Function by Two-Dimensional, Contrast Enhanced and Three-Dimensional Echocardiography with Gated Heart Pool Scans in Patients Following Myocardial Infarction. Am. J. Cardiol. 2020, 134, 14–23. [Google Scholar] [CrossRef]
- Printezi, M.I.; Yousif, L.I.E.; Kamphuis, J.A.M.; van Laake, L.W.; Cramer, M.J.; Hobbelink, M.G.G.; Asselbergs, F.W.; Teske, A.J. LVEF by Multigated Acquisition Scan Compared to Other Imaging Modalities in Cardio-Oncology: A Systematic Review. Curr. Heart Fail. Rep. 2022, 19, 136–145. [Google Scholar] [CrossRef] [PubMed]
- Mittal, B.R.; Santhosh, S.; Kashyap, R.; Bhattacharya, A.; Singh, B.; Bahl, A. Ventricular ejection fraction in patients with dilated cardiomyopathy calculated by gated blood pool SPET processing software: Correlation with multigated acquisition and first pass radionuclide ventriculography. Hell. J. Nucl. Med. 2011, 14, 234–238. [Google Scholar] [PubMed]
- Xie, B.-Q.; Tian, Y.-Q.; Zhang, J.; Zhao, S.-H.; Yang, M.-F.; Guo, F.; Wang, D.-Y.; Wei, H.-X.; Chu, K.-W.; He, Z.-X. Evaluation of Left and Right Ventricular Ejection Fraction and Volumes from Gated Blood-Pool SPECT in Patients with Dilated Cardiomyopathy: Comparison with Cardiac MRI. J. Nucl. Med. 2012, 53, 584–591. [Google Scholar] [CrossRef] [PubMed]
- Odak, M.; Kayani, W.T. MUGA Scan. In StatPearls; StatPearls Publishing: Treasure Island, FL, USA, 2023. [Google Scholar]
- Mangla, A.; Oliveros, E.; Williams, K.A.; Kalra, D.K. Cardiac Imaging in the Diagnosis of Coronary Artery Disease. Curr. Probl. Cardiol. 2017, 42, 316–366. [Google Scholar] [CrossRef] [PubMed]
- Miller, T.D.; Askew, J.W.; Anavekar, N.S. Noninvasive Stress Testing for Coronary Artery Disease. Heart Fail. Clin. 2016, 12, 65–82. [Google Scholar] [CrossRef]
- Agdamag, A.C.; Riad, S.; Maharaj, V.; Jackson, S.; Fraser, M.D.; Charpentier, V.B.; Nzemenoh, B.; Martin, C.M.; Alexy, T. Temporary Mechanical Circulatory Support Use and Clinical Outcomes of Simultaneous Heart/Kidney Transplant Recipients in the Pre– and Post–Heart Allocation Policy Change Eras. Transplantation 2023, 107, 1605–1614. [Google Scholar] [CrossRef]
- Randhawa, V.K.; Al-Fares, A.; Tong, M.Z.; Soltesz, E.G.; Hernandez-Montfort, J.; Taimeh, Z.; Weiss, A.J.; Menon, V.; Campbell, J.; Cremer, P.; et al. A Pragmatic Approach to Weaning Temporary Mechanical Circulatory Support. JACC Heart Fail. 2021, 9, 664–673. [Google Scholar] [CrossRef]
- Zein, R.; Patel, C.; Mercado-Alamo, A.; Schreiber, T.; Kaki, A. A Review of the Impella Devices. Interv. Cardiol. 2022, 17, e05. [Google Scholar] [CrossRef]
- Sef, D.; Kabir, T.; Lees, N.J.; Stock, U. Valvular complications following the Impella device implantation. J. Card. Surg. 2021, 36, 1062–1066. [Google Scholar] [CrossRef]
- Anand, S.; Barry, T.; Arsanjani, R.; LeMond, L. Echocardiography in Cardiac Assist Devices. Rev. Cardiovasc. Med. 2022, 23, 253. [Google Scholar] [CrossRef]
- Crowley, J.; Cronin, B.; Essandoh, M.; D’Alessandro, D.; Shelton, K.; Dalia, A.A. Transesophageal Echocardiography for Impella Placement and Management. J. Cardiothorac. Vasc. Anesthesia 2019, 33, 2663–2668. [Google Scholar] [CrossRef] [PubMed]
- Pieri, M.; Pappalardo, F. Bedside insertion of impella percutaneous ventricular assist device in patients with cardiogenic shock. Int. J. Cardiol. 2020, 316, 26–30. [Google Scholar] [CrossRef]
- Yastrebov, K.; Brunel, L.; Paterson, H.S.; Williams, Z.A.; Wise, I.K.; Burrows, C.S.; Bannon, P.G. Implantation of Impella CP left ventricular assist device under the guidance of three-dimensional intracardiac echocardiography. Sci. Rep. 2020, 10, 17485, Erratum in Sci. Rep. 2021, 11, 5091. [Google Scholar] [CrossRef]
- Nakao, Y.; Aono, J.; Namiguchi, K.; Nishimura, T.; Izutani, H.; Higashi, H.; Inaba, S.; Nishimura, K.; Inoue, K.; Ikeda, S.; et al. Usefulness of contrast computed tomography for diagnosing left ventricular thrombus before impella insertion. J. Cardiol. Cases 2020, 22, 291–293. [Google Scholar] [CrossRef] [PubMed]
- Swedzky, F.; Barbagelata, A.; Perrone, S.; Kaplinsky, E.; Ducharme, A. Emerging concepts in heart failure management and treatment: Circulatory support with extracorporeal membrane oxygenation (ECMO). Drugs Context 2023, 12, 2022-7-7. [Google Scholar] [CrossRef] [PubMed]
- Hockstein, M.A.; Singam, N.S.; Papolos, A.I.; Kenigsberg, B.B. The Role of Echocardiography in Extracorporeal Membrane Oxygenation. Curr. Cardiol. Rep. 2023, 25, 9–16. [Google Scholar] [CrossRef]
- Tian, L.; Zhang, S.; Xu, J.; Han, X. Extracorporeal Membrane Oxygenation as a Bridge between Transfer and Perioperative Periods in Refractory Cardiogenic Shock Secondary to a Large Left Atrial Myxoma. Heart Surg. Forum 2021, 24, E215–E216. [Google Scholar] [CrossRef]
- Ostadal, P.; Vondrakova, D.; Popkova, M.; Hrachovina, M.; Kruger, A.; Janotka, M.; Naar, J.; Kittnar, O.; Neuzil, P.; Mlcek, M. Aortic stenosis and mitral regurgitation modify the effect of venoarterial extracorporeal membrane oxygenation on left ventricular function in cardiogenic shock. Sci. Rep. 2022, 12, 17076. [Google Scholar] [CrossRef]
- Platts, D.G.; Sedgwick, J.F.; Burstow, D.J.; Mullany, D.V.; Fraser, J.F. The Role of Echocardiography in the Management of Patients Supported by Extracorporeal Membrane Oxygenation. J. Am. Soc. Echocardiogr. 2012, 25, 131–141, Erratum in J. Am. Soc. Echocardiogr. 2012, 25, 427. [Google Scholar] [CrossRef]
- Kim, D.; Jang, W.J.; Park, T.K.; Cho, Y.H.; Choi, J.-O.; Jeon, E.-S.; Yang, J.H. Echocardiographic Predictors of Successful Extracorporeal Membrane Oxygenation Weaning After Refractory Cardiogenic Shock. J. Am. Soc. Echocardiogr. 2021, 34, 414–422.e4. [Google Scholar] [CrossRef]
- Lee, S.; Chaturvedi, A. Imaging adults on extracorporeal membrane oxygenation (ECMO). Insights Imaging 2014, 5, 731–742. [Google Scholar] [CrossRef] [PubMed]
- Stainback, R.F.; Estep, J.D.; Agler, D.A.; Birks, E.J.; Bremer, M.; Hung, J.; Kirkpatrick, J.N.; Rogers, J.G.; Shah, N.R. Echocardiography in the Management of Patients with Left Ventricular Assist Devices: Recommendations from the American Society of Echocardiography. J. Am. Soc. Echocardiogr. 2015, 28, 853–909. [Google Scholar] [CrossRef] [PubMed]
- Vriz, O.; Mushtaq, A.; Shaik, A.; El-Shaer, A.; Feras, K.; Eltayeb, A.; Alsergnai, H.; Kholaif, N.; Al Hussein, M.; Albert-Brotons, D.; et al. Reciprocal interferences of the left ventricular assist device and the aortic valve competence. Front. Cardiovasc. Med. 2023, 9, 1094796. [Google Scholar] [CrossRef] [PubMed]
- Pergola, V.; Tarzia, V.; Baroni, G.; Iliceto, S.; Gerosa, G.; Mele, D. Utilization of an Ultrasound-Enhancing Agent Improves the Evaluation of the Right Ventricle in Patients with Left Ventricular Assist Device. J. Am. Soc. Echocardiogr. 2022, 36, 337–339. [Google Scholar] [CrossRef] [PubMed]
- Almarzooq, Z.I.; Varshney, A.S.; Vaduganathan, M.; Pareek, M.; Stewart, G.C.; Estep, J.D.; Mehra, M.R. Expanding the Scope of Multimodality Imaging in Durable Mechanical Circulatory Support. JACC Cardiovasc. Imaging 2020, 13, 1069–1081. [Google Scholar] [CrossRef] [PubMed]
- Pontone, G.; Rossi, A.; Guglielmo, M.; Dweck, M.R.; Gaemperli, O.; Nieman, K.; Pugliese, F.; Maurovich-Horvat, P.; Gimelli, A.; Cosyns, B.; et al. Clinical applications of cardiac computed tomography: A consensus paper of the European Association of Cardiovascular Imaging—Part I. Eur. Heart J. Cardiovasc. Imaging 2022, 23, 299–314, Erratum in Eur. Heart J. Cardiovasc. Imaging 2022, 23, e274. [Google Scholar] [CrossRef] [PubMed]
- Shroff, G.S.; Ocazionez, D.; Akkanti, B.; Vargas, D.; Garza, A.; Gupta, P.; Patel, J.A.; Patel, M.K.; Gregoric, I.D. CT Imaging of Complications Associated with Continuous-Flow Left Ventricular Assist Devices (LVADs). In Seminars in Ultrasound, CT and MRI; WB Saunders: Philadelphia, PA, USA, 2017; Volume 38, pp. 616–628. [Google Scholar] [CrossRef]
- Masarone, D.; Kittleson, M.; Gravino, R.; Valente, F.; Petraio, A.; Pacileo, G. The Role of Echocardiography in the Management of Heart Transplant Recipients. Diagnostics 2021, 11, 2338. [Google Scholar] [CrossRef]
- Khush, K.K.; Cherikh, W.S.; Chambers, D.C.; Harhay, M.O.; Hayes, D.; Hsich, E.; Meiser, B.; Potena, L.; Robinson, A.; Rossano, J.W.; et al. The International Thoracic Organ Transplant Registry of the International Society for Heart and Lung Transplantation: Thirty-sixth adult heart transplantation report—2019; focus theme: Donor and recipient size match. J. Heart Lung Transplant. 2019, 38, 1056–1066, Erratum in J. Heart Lung Transplant. 2020, 39, 91. [Google Scholar] [CrossRef]
- Bech-Hanssen, O.; Al-Habeeb, W.; Ahmed, W.; Di Salvo, G.; Pergola, V.; Al-Admawi, M.; Al-Amri, M.; Al-Shahid, M.; Al-Buraiki, J.; Fadel, B.M. Echocardiography Detects Elevated Left Ventricular Filling Pressures in Heart Transplant Recipients. Echocardiography 2015, 32, 411–419. [Google Scholar] [CrossRef]
- Badano, L.P.; Miglioranza, M.H.; Edvardsen, T.; Colafranceschi, A.S.; Muraru, D.; Bacal, F.; Nieman, K.; Zoppellaro, G.; Braga, F.G.M.; Binder, T.; et al. European Association of Cardiovascular Imaging/Cardiovascular Imaging Department of the Brazilian Society of Cardiology recommendations for the use of cardiac imaging to assess and follow patients after heart transplantation. Eur. Heart J. Cardiovasc. Imaging 2015, 16, 919–948. [Google Scholar] [CrossRef]
- Narang, A.; Blair, J.E.; Patel, M.B.; Mor-Avi, V.; Fedson, S.E.; Uriel, N.; Lang, R.M.; Patel, A.R. Myocardial perfusion reserve and global longitudinal strain as potential markers of coronary allograft vasculopathy in late-stage orthotopic heart transplantation. Int. J. Cardiovasc. Imaging 2018, 34, 1607–1617. [Google Scholar] [CrossRef]
- Mingo-Santos, S.; Moñivas-Palomero, V.; Garcia-Lunar, I.; Mitroi, C.D.; Goirigolzarri-Artaza, J.; Rivero, B.; Oteo, J.F.; Castedo, E.; González-Mirelis, J.; Cavero, M.A.; et al. Usefulness of Two-Dimensional Strain Parameters to Diagnose Acute Rejection after Heart Transplantation. J. Am. Soc. Echocardiogr. 2015, 28, 1149–1156. [Google Scholar] [CrossRef] [PubMed]
- Ruiz Ortiz, M.; Peña, M.L.; Mesa, D.; Delgado, M.; Romo, E.; Santisteban, M.; Puentes, M.; López Granados, A.; Castillo, J.C.; Arizón, J.M.; et al. Impact of asymptomatic acute cellular rejection on left ventricle myocardial function evaluated by means of two-dimensional speckle tracking echocardiography in heart transplant recipients. Echocardiography 2015, 32, 229. [Google Scholar] [CrossRef] [PubMed]
- Sato, T.; Kato, T.S.; Kamamura, K.; Hashimoto, S.; Shishido, T.; Mano, A.; Oda, N.; Takahashi, A.; Ishibashi-Ueda, H.; Nakatani, T.; et al. Utility of left ventricular systolic torsion derived from 2-dimensional speckle-tracking echocardiography in monitoring acute cellular rejection in heart transplant recipients. J. Heart Lung Transplant. 2011, 30, 536. [Google Scholar] [CrossRef] [PubMed]
- Elkaryoni, A.; Abu-Sheasha, G.; Altibi, A.M.; Hassan, A.; Ellakany, K.; Nanda, N.C. Diagnostic accuracy of dobutamine stress echocardiography in the detection of cardiac allograft vasculopathy in heart transplant recipients: A systematic review and meta-analysis study. Echocardiography 2019, 36, 528–536. [Google Scholar] [CrossRef] [PubMed]
- Eroglu, E.; D’Hooge, J.; Sutherland, G.R.; Marciniak, A.; Thijs, D.; Droogne, W.; Herbots, L.; Van Cleemput, J.; Claus, P.; Bijnens, B.; et al. Quantitative dobutamine stress echocardiography for the early detection of cardiac allograft vasculopathy in heart transplant recipients. Heart 2008, 94, e3. [Google Scholar] [CrossRef]
- Tona, F.; Osto, E.; Tarantini, G.; Gambino, A.; Cavallin, F.; Feltrin, G.; Montisci, R.; Caforio, A.L.P.; Gerosa, G.; Iliceto, S. Coronary Flow Reserve by Transthoracic Echocardiography Predicts Epicardial Intimal Thickening in Cardiac Allograft Vasculopathy. Am. J. Transplant. 2010, 10, 1677–1685. [Google Scholar] [CrossRef]
- Sade, L.E.; Hazirolan, T.; Kozan, H.; Ozdemir, H.; Hayran, M.; Eroglu, S.; Pirat, B.; Sezgin, A.; Muderrisoglu, H. T1 mapping by cardiac magnetic resonance and multidimensional speckle-tracking strain by echocardiography for the detection of acute cellular rejection in cardiac allograft recipients. JACC Cardiovasc. Imaging 2019, 12 Pt 2, 1601–1614. [Google Scholar] [CrossRef]
- Vermes, E.; Pantaléon, C.; Auvet, A.; Cazeneuve, N.; Machet, M.C.; Delhommais, A.; Bourguignon, T.; Aupart, M.; Brunereau, L. Cardiovascular magnetic resonance in heart transplant patients: Diagnostic value of quantitative tissue markers: T2 mapping and extracellular volume fraction, for acute rejection diagnosis. J. Cardiovasc. Magn. Reson. 2018, 20, 59. [Google Scholar] [CrossRef] [PubMed]
- Erbel, C.; Mukhammadaminova, N.; Gleissner, C.A.; Osman, N.F.; Hofmann, N.P.; Steuer, C.; Akhavanpoor, M.; Wangler, S.; Celik, S.; Doesch, A.O.; et al. Myocardial Perfusion Reserve and Strain-Encoded CMR for Evaluation of Cardiac Allograft Microvasculopathy. JACC Cardiovasc. Imaging 2016, 9, 255–266. [Google Scholar] [CrossRef]
- Dolan, R.S.; Rahsepar, A.A.; Blaisdell, J.; Suwa, K.; Ghafourian, K.; Wilcox, J.E.; Khan, S.S.; Vorovich, E.E.; Rich, J.D.; Anderson, A.S.; et al. Multiparametric Cardiac Magnetic Resonance Imaging Can Detect Acute Cardiac Allograft Rejection After Heart Transplantation. JACC Cardiovasc. Imaging 2019, 12, 1632–1641. [Google Scholar] [CrossRef]
- Shah, N.R.; Blankstein, R.; Villines, T.; Imran, H.; Morrison, A.R.; Cheezum, M.K. Coronary CTA for Surveillance of Cardiac Allograft Vasculopathy. Curr. Cardiovasc. Imaging Rep. 2018, 11, 26, Erratum in Curr. Cardiovasc. Imaging Rep. 2019, 12, 1. [Google Scholar] [CrossRef] [PubMed]
- Wever-Pinzon, O.; Romero, J.; Kelesidis, I.; Wever-Pinzon, J.; Manrique, C.; Budge, D.; Drakos, S.G.; Piña, I.L.; Kfoury, A.G.; Garcia, M.J.; et al. Coronary Computed Tomography Angiography for the Detection of Cardiac Allograft Vasculopathy. J. Am. Coll. Cardiol. 2014, 63, 1992–2004. [Google Scholar] [CrossRef]
- Günther, A.; Andersen, R.; Gude, E.; Jakobsen, J.; Edvardsen, T.; Sandvik, L.; Abildgaard, A.; Aaberge, L.; Gullestad, L. The predictive value of coronary artery calcium detected by computed tomography in a prospective study on cardiac allograft vasculopathy in heart transplant patients. Transpl. Int. 2018, 31, 82–91. [Google Scholar] [CrossRef] [PubMed]
- Nous, F.M.A.; Roest, S.; Dijkman, E.D.; Attrach, M.; Caliskan, K.; Brugts, J.J.; Nieman, K.; Hirsch, A.; Constantinescu, A.A.; Manintveld, O.C.; et al. Clinical implementation of coronary computed tomography angiography for routine detection of cardiac allograft vasculopathy in heart transplant patients. Transpl. Int. 2021, 34, 1886–1894. [Google Scholar] [CrossRef] [PubMed]
- Labarrere, C.A.; Patel, B.; Ahuja, A.; Kassab, G.S.; Labarrere, C.A. Diagnosis of cardiac allograft vasculopathy Challenges and opportunities. Front. Biosci. 2017, 9, 141–161. [Google Scholar] [CrossRef] [PubMed][Green Version]
- Wu, Y.-W.; Yen, R.-F.; Lee, C.-M.; Ho, Y.-L.; Chou, N.-K.; Wang, S.-S.; Huang, P.-J. Diagnostic and Prognostic Value of Dobutamine Thallium-201 Single-Photon Emission Computed Tomography After Heart Transplantation. J. Heart Lung Transplant. 2005, 24, 544–550. [Google Scholar] [CrossRef] [PubMed]
- Veenis, J.F.; Boiten, H.J.; Berge, J.C.v.D.; Caliskan, K.; Maat, A.P.W.M.; Valkema, R.; Constantinescu, A.A.; Manintveld, O.C.; Zijlstra, F.; van Domburg, R.T.; et al. Prediction of long-term (>10 year) cardiovascular outcomes in heart transplant recipients: Value of stress technetium-99m tetrofosmin myocardial perfusion imaging. J. Nucl. Cardiol. 2019, 26, 845–852. [Google Scholar] [CrossRef]
- Ko, K.-Y.; Ko, C.-L.; Lee, C.-M.; Cheng, J.-S.; Wu, Y.-W.; Hsu, R.-B.; Chen, Y.-S.; Wang, S.-S.; Yen, R.-F.; Cheng, M.-F. Myocardial Flow Assessment after Heart Transplantation Using Dynamic Cadmium-Zinc-Telluride Single-Photon Emission Computed Tomography with 201 Tl and 99m Tc Tracers and Validated by 13 N-NH 3 Positron Emission Tomography. Circ. Cardiovasc. Imaging 2023, 16, e015034. [Google Scholar] [CrossRef]
- Wu, Y.-W.; Chen, Y.-H.; Wang, S.-S.; Jui, H.-Y.; Yen, R.-F.; Tzen, K.-Y.; Chen, M.-F.; Lee, C.-M. PET Assessment of Myocardial Perfusion Reserve Inversely Correlates with Intravascular Ultrasound Findings in Angiographically Normal Cardiac Transplant Recipients. J. Nucl. Med. 2010, 51, 906–912. [Google Scholar] [CrossRef]
- Lee, C.-M.; Wu, Y.-W.; Jui, H.-Y.; Yen, R.-F.; Tzen, K.-Y.; Chou, N.-K.; Wang, S.-S. Intravascular Ultrasound Correlates with Coronary Flow Reserve and Predicts the Survival in Angiographically Normal Cardiac Transplant Recipients. Cardiology 2008, 109, 93–98. [Google Scholar] [CrossRef]
- Chih, S.; Chong, A.Y.; Erthal, F.; Dekemp, R.A.; Davies, R.A.; Stadnick, E.; So, D.Y.; Overgaard, C.; Wells, G.; Mielniczuk, L.M.; et al. PET Assessment of Epicardial Intimal Disease and Microvascular Dysfunction in Cardiac Allograft Vasculopathy. J. Am. Coll. Cardiol. 2018, 71, 1444–1456. [Google Scholar] [CrossRef] [PubMed]
- Shrestha, U.M.; Sciammarella, M.; Pampaloni, M.H.; Botvinick, E.H.; Gullberg, G.T.; DeMarco, T.; Seo, Y. Assessment of late-term progression of cardiac allograft vasculopathy in patients with orthotopic heart transplantation using quantitative cardiac 82Rb PET. Int. J. Cardiovasc. Imaging 2021, 37, 1461–1472. [Google Scholar] [CrossRef] [PubMed]
- Nelson, L.M.; Christensen, T.E.; Rossing, K.; Hasbak, P.; Gustafsson, F. Prognostic value of myocardial flow reserve obtained by 82-rubidium positron emission tomography in long-term follow-up after heart transplantation. J. Nucl. Cardiol. 2022, 29, 2555–2567. [Google Scholar] [CrossRef]
- Miller, R.J.; Kwiecinski, J.; Shah, K.S.; Eisenberg, E.; Patel, J.; Kobashigawa, J.A.; Azarbal, B.; Tamarappoo, B.; Berman, D.S.; Slomka, P.J.; et al. Coronary computed tomography–angiography quantitative plaque analysis improves detection of early cardiac allograft vasculopathy: A pilot study. Am. J. Transplant. 2020, 20, 1375–1383. [Google Scholar] [CrossRef] [PubMed]
- Budde, R.P.J.; Nous, F.M.A.; Roest, S.; Constantinescu, A.A.; Nieman, K.; Brugts, J.J.; Koweek, L.M.; Hirsch, A.; Leipsic, J.; Manintveld, O.C. CT-derived fractional flow reserve (FFRct) for functional coronary artery evaluation in the follow-up of patients after heart transplantation. Eur. Radiol. 2022, 32, 1843–1852. [Google Scholar] [CrossRef]






| Imaging Modality | Advantages | Limitations | Specific Indications | Prognostic Role |
|---|---|---|---|---|
| Echocardiography |
|
|
|
|
| Cardiac MRI |
|
|
|
|
| Cardiac CT |
|
|
|
|
| Nuclear Imaging |
|
|
|
|
| TTE | TEE | CCT | |
|---|---|---|---|
| Role | Monitor LV function. Guide the weaning of IABP support. | Guide positioning. | Indicated in the suspicion of complications. |
| Timing | Post-procedural. | Intra-procedural. | Post-procedural. |
| Identification of complications | New or worsening aortic regurgitations. | Aortic dissection. Displacement of aortic balloon. Arterial embolizations infarct-related soft tissue enhancement/attenuation |
| TTE | TEE | CCT | |
|---|---|---|---|
| Role | Selection of candidates. Guide the placement | Selection of candidates. Guide the placement | To exclude complications. |
| Timing | Pre-procedural. Post-operative. | Pre-procedural. Intra-operative. Post-operative. | Post-procedural. |
| Identification of complications | Mitral and aortic regurgitations. Pericardial effusion. Rupture of LV free wall. | Exclude iatrogenic aortic dissection. Damage of mitralic and aortic valve. | Aortic dissection. Damage of mitral and aortic valve system. |
| TTE | TEE | CT | |
|---|---|---|---|
| Role |
|
|
|
| Timing |
|
|
|
| Identification of complications |
|
|
|
| Parameter | Influence on LVAD Placement |
|---|---|
| EF (Ejection Fraction) | <25% indicates consideration for LVAD placement |
| LV Size | An adequate volume is essential to LVAD placement. |
| Intra-cardiac Thrombi | Exclude LVAD placement. |
| RV Function | Severe RV dysfunction may suggest biventricular support. |
| Valve Abnormalities | Significant aortic regurgitation, moderate to severe mitral stenosis, and moderate to severe tricuspid regurgitation exclude LVAD. |
| Congenital Heart Disease | Shunt lesions exclude LVAD placement. |
| TTE | TTE with Echocontrast | CT | Nuclear Imaging | |
|---|---|---|---|---|
| Role |
|
|
|
|
| Identification of complications |
|
|
|
|
| TTE | Advanced Echo | CMR | CT | Nuclear Imaging | |
|---|---|---|---|---|---|
| Role | LV wall thickness and mass. LV volume and function. Diastolic function. Valve morphology and function. Pericardium. | LV torsion (speckle tracking). Cardiac ischemia (stress echocardiography). | LV wall thickness and mass. LV volume and function. Myocardial perfusion reserve (stress). | Coronary stenosis. Coronary plaque. | Myocardial blood flow Myocardial blood flow reserve |
| Timing | Immediate post-operative. Short-term period. Long-term period. | Short-term period. Long-term period. | Short-term period. Long-term period | Short-term period. Long-term period. | Short-term period. Long-term period. |
| Identification of complications | Allograft rejection. Primary or secondary valvopathies. Pericardial effusion. | Acute cell rejection. Cardiac allograft vasculopathy. | Acute cell rejection. Cardiac allograft vasculopathy. | Cardiac allograft vasculopathy. | Cardiac allograft vasculopathy. Microvascular vasculopathy |
Disclaimer/Publisher’s Note: The statements, opinions and data contained in all publications are solely those of the individual author(s) and contributor(s) and not of MDPI and/or the editor(s). MDPI and/or the editor(s) disclaim responsibility for any injury to people or property resulting from any ideas, methods, instructions or products referred to in the content. |
© 2023 by the authors. Licensee MDPI, Basel, Switzerland. This article is an open access article distributed under the terms and conditions of the Creative Commons Attribution (CC BY) license (https://creativecommons.org/licenses/by/4.0/).
Share and Cite
Pergola, V.; Cameli, M.; Mattesi, G.; Mushtaq, S.; D’Andrea, A.; Guaricci, A.I.; Pastore, M.C.; Amato, F.; Dellino, C.M.; Motta, R.; et al. Multimodality Imaging in Advanced Heart Failure for Diagnosis, Management and Follow-Up: A Comprehensive Review. J. Clin. Med. 2023, 12, 7641. https://doi.org/10.3390/jcm12247641
Pergola V, Cameli M, Mattesi G, Mushtaq S, D’Andrea A, Guaricci AI, Pastore MC, Amato F, Dellino CM, Motta R, et al. Multimodality Imaging in Advanced Heart Failure for Diagnosis, Management and Follow-Up: A Comprehensive Review. Journal of Clinical Medicine. 2023; 12(24):7641. https://doi.org/10.3390/jcm12247641
Chicago/Turabian StylePergola, Valeria, Matteo Cameli, Giulia Mattesi, Saima Mushtaq, Antonello D’Andrea, Andrea Igoren Guaricci, Maria Concetta Pastore, Filippo Amato, Carlo Maria Dellino, Raffaella Motta, and et al. 2023. "Multimodality Imaging in Advanced Heart Failure for Diagnosis, Management and Follow-Up: A Comprehensive Review" Journal of Clinical Medicine 12, no. 24: 7641. https://doi.org/10.3390/jcm12247641
APA StylePergola, V., Cameli, M., Mattesi, G., Mushtaq, S., D’Andrea, A., Guaricci, A. I., Pastore, M. C., Amato, F., Dellino, C. M., Motta, R., Perazzolo Marra, M., Dellegrottaglie, S., Pedrinelli, R., Iliceto, S., Nodari, S., Perrone Filardi, P., Pontone, G., & on behalf of the Cluster Imaging of Italian Society of Cardiology (SIC). (2023). Multimodality Imaging in Advanced Heart Failure for Diagnosis, Management and Follow-Up: A Comprehensive Review. Journal of Clinical Medicine, 12(24), 7641. https://doi.org/10.3390/jcm12247641

