Tumor Inflammatory Microenvironment of the Thyroid Cancer: Relationship between Regulatory T-Cell Imbalance, and p-NFΚB (p65) Expression—A Preliminary Study
Abstract
:1. Introduction
2. Materials and Methods
2.1. Patients and Methods
2.2. Statistical Analysis
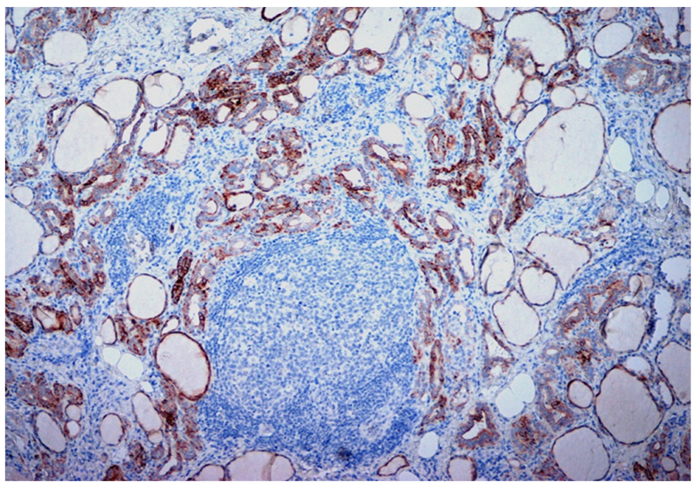
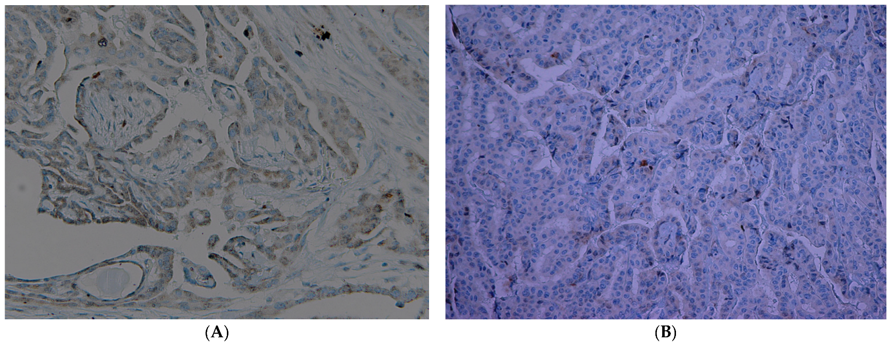
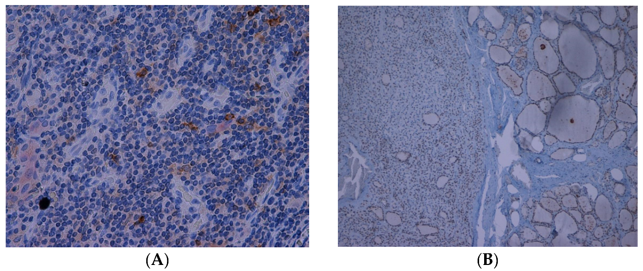
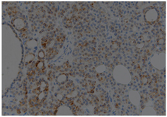
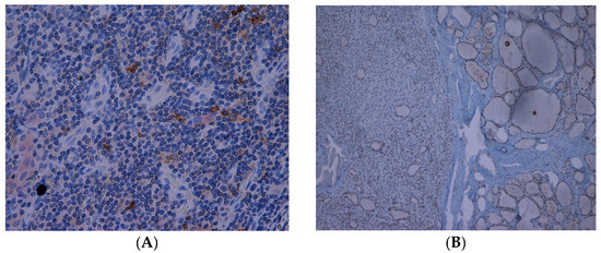
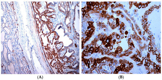
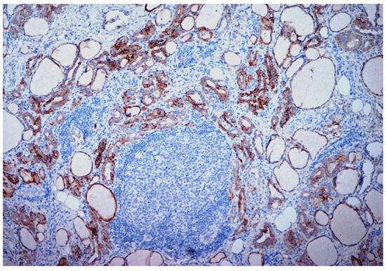
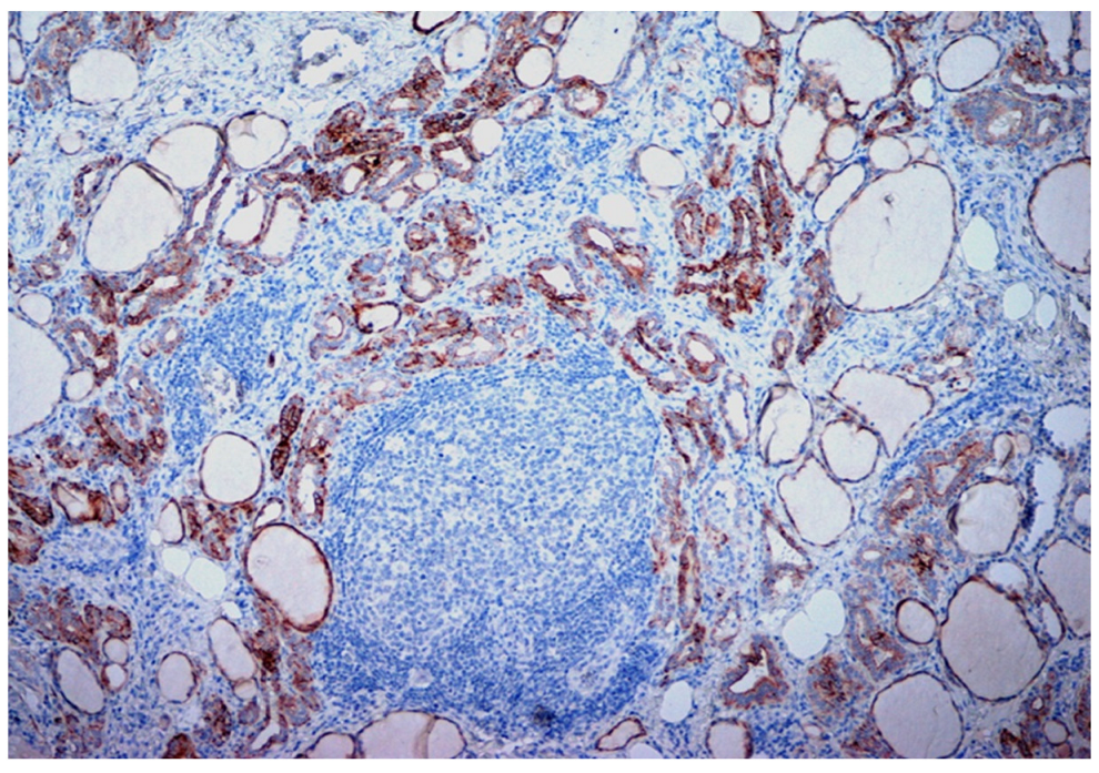
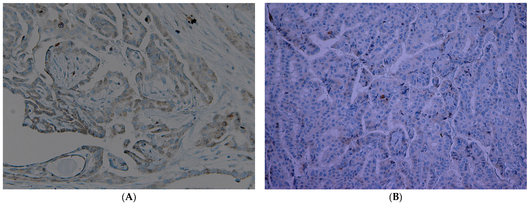
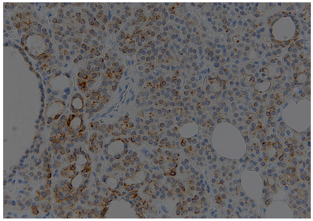
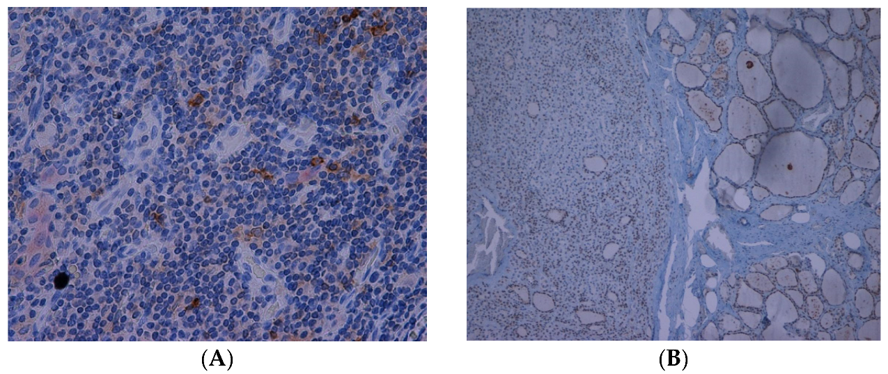
3. Results
4. Discussion
5. Conclusions
Author Contributions
Funding
Institutional Review Board Statement
Informed Consent Statement
Data Availability Statement
Conflicts of Interest
References
- Cararo Lopes, E.; Sawant, A.; Moore, D.; Ke, H.; Shi, F.; Laddha, S.; Chen, Y.; Sharma, A.; Naumann, J.; Guo, J.Y.; et al. Integrated metabolic and genetic analysis reveals distinct features of human DTC. Clin. Transl. Med. 2023, 6, e1298. [Google Scholar] [CrossRef] [PubMed]
- Li, Y.; Che, W.; Yu, Z.; Zheng, S.; Xie, S.; Chen, C.; Qiao, M.; Lyu, J. The Incidence Trend of Papillary Thyroid Carcinoma in the United States During 2003-2017. Cancer Control J. Moffitt Cancer Cent. 2022, 29, 10732748221135447. [Google Scholar] [CrossRef] [PubMed]
- Little, M.P.; Kukush, A.G.; Masiuk, S.V.; Shklyar, S.; Carroll, R.J.; Lubin, J.H.; Kwon, D.; Brenner, A.V.; Tronko, M.D.; Mabuchi, K.; et al. Impact of uncertainties in exposure assessment on estimates of thyroid cancer risk among Ukrainian children and adolescents exposed from the Chernobyl accident. PLoS ONE 2014, 9, e85723. [Google Scholar] [CrossRef]
- Romei, C.; Elisei, R. A Narrative Review of Genetic Alterations in Primary Thyroid Epithelial Cancer. Int. J. Mol. Sci. 2021, 22, 1726. [Google Scholar] [CrossRef] [PubMed]
- Del Rio, P.; Montana, C.; Cozzani, F.; Rossini, M.; Loderer, T.; Dall’Aglio, E.; Cataldo, S.; Marina, M.; Graziano, C. Is there a correlation between thyroiditis and thyroid cancer? Endocrine 2019, 66, 538–541. [Google Scholar] [CrossRef] [PubMed]
- Zhao, H.; Wu, L.; Yan, G.; Chen, Y.; Zhou, M.; Wu, Y.; Yongsheng, L. Inflammation and tumor progression: Signaling pathways and targeted intervention. Sig. Transduct. Target. Ther. 2021, 6, 263. [Google Scholar] [CrossRef]
- Russell, J.P.; Engiles, J.B.; Rothstein, J.L. Proinflammatory mediators and genetic background in oncogene mediated tumor progression. J. Immunol. 2004, 172, 4059–4067. [Google Scholar] [CrossRef] [PubMed]
- Peng, Y.; Tao, Y.; Zhang, Y.; Wang, J.; Yang, J.; Wang, Y. CD25: A potential tumor therapeutic target. Int. J. Cancer 2023, 152, 1290–1303. [Google Scholar] [CrossRef] [PubMed]
- Han, L.T.; Hu, J.Q.; Ma, B.; Wen, D.; Zhang, T.T.; Lu, Z.W.; Wei, W.J.; Wang, Y.L.; Wang, Y.; Liao, T.; et al. IL-17A increases MHC class I expression and promotes T cell activation in papillary thyroid cancer patients with coexistent Hashimoto’s thyroiditis. Diagn. Pathol. 2019, 14, 52. [Google Scholar] [CrossRef] [PubMed]
- Wang, X.; Peng, W.; Li, C.; Qin, R.; Zhong, Z.; Sun, C. Identification of an immune-related signature indicating the dedifferentiation of thyroid cells. Cancer Cell Int. 2021, 21, 231. [Google Scholar] [CrossRef] [PubMed]
- Cunha, L.L.; Domingues, G.A.B.; Morari, E.C.; Soares, F.A.; Vassallo, J.; Ward, L.S. The immune landscape of the microenvironment of thyroid cancer is closely related to differentiation status. Cancer Cell Int. 2021, 21, 387. [Google Scholar] [CrossRef] [PubMed]
- Liotti, F.; Visciano, C.; Melillo, R.M. Inflammation in thyroid oncogenesis. Am. J. Cancer Res. 2012, 2, 286–297. [Google Scholar] [PubMed]
- Jiang, L.; Zhan, Y.; Gu, Y.; Ye, Y.; Cheng, Y.; Shi, H. Changes of regulatory T and B cells in patients with papillary thyroid carcinoma after 131I radioablation: A preliminary study. Biomed. Res. Int. 2013, 2013, 683768. [Google Scholar] [CrossRef] [PubMed]
- Rotondi, M.; Coperchini, F.; Latrofa, F.; Chiovato, L. Role of chemokines in thyroid cancer microenvironment: Is CXCL8 the Main Player? Front. Endocrinol. 2018, 9, 314. [Google Scholar] [CrossRef] [PubMed]
- Xing, M. Molecular pathogenesis and mechanisms of thyroid cancer. Nat. Rev. Cancer 2013, 13, 184–199. [Google Scholar] [CrossRef] [PubMed]
- Nakanishi, C.; Toi, M. Nuclear factor-kappaB inhibitors as sensitizers to anticancer drugs. Nat. Rev. Cancer 2005, 5, 297–309. [Google Scholar] [CrossRef] [PubMed]
- Abdin, S.M.; Tolba, M.F.; Zaher, D.M.; Omar, H.A. Nuclear factor-κB signaling inhibitors revert multidrug-resistance in breast cancer cells. Chem. Biol. Interact. 2021, 340, 109450. [Google Scholar] [CrossRef] [PubMed]
- Namba, H.; Saenko, V.; Yamashita, S. Nuclear factor-kB in thyroid carcinogenesis and progression: A novel therapeutic target for advanced thyroid cancer. Arq. Bras. Endocrinol. Metabol. 2007, 51, 843–851. [Google Scholar] [CrossRef] [PubMed]
- Zhang, T.; Ma, C.; Zhang, Z.; Zhang, H.; Hu, H. NF-κB signaling in inflammation and cancer. Med. Comm. 2021, 2, 618–653. [Google Scholar] [CrossRef] [PubMed]
- Handra-Luca, A.; Belleannee, G.; Straub, B. Psammomatoid calcification-rich oncocytic thyroid adenoma with clear-cell change. Clin. Pathol. 2019, 12, 2632010X19829251. [Google Scholar] [CrossRef] [PubMed]









| Patients | 80 | |
|---|---|---|
| Age | Mean ± Standard Deviation (range) | 49.93 year ± DS 14.72 (24–95) |
| Sex | Female | 61 |
| Male | 19 | |
| Histotype | ||
| Follicular carcinoma | 2 | |
| Hürthle variant | 2 | |
| Papillary carcinoma | ||
| 46 | |
| 27 | |
| 1 | |
| 1 | |
| Poorly Differentiated Carcinoma | ||
| 1 | |
| Anaplastic Carcinoma | 2 | |
| Total | 80 | |
| Unifocal/Multifocal | ||
| Unifocal | 64 | |
| Multifocal | 16 | |
| p-TNM | ||
| 53 | |
| 2 | |
| 22 | |
| 3 | |
| 63 | |
| 17 | |
| 80 | |
| 0 | |
| Struma | ||
| Yes | 37 | |
| No | 43 | |
| Capsule infiltration | ||
| Yes | 34 | |
| No | 46 | |
| Soft tissue infiltration | ||
| Yes | 25 | |
| No | 55 | |
| Infiltrative/expansive phenotype | ||
| Infiltrative | 60 | |
| Expansive | 20 | |
| Hashimoto’s thyroiditis | ||
| Yes | 12 | |
| No | 68 | |
| Immune response to the tumor | ||
| Inflammatory infiltrate |
| 30 |
| 20 | |
| 8 | |
| 11 | |
| 11 | |
| Tumor-infiltrating lymphocytes (TIL) |
| 28 |
| 52 | |
| Neoplastic Cells | Thyrocytes | Inflammatory Cells | |
|---|---|---|---|
| Thyroid Cancer | +++c/focal n | +c/-n | -c/-n |
| HT | - | +c/-n | -c/-n |
| Adenomas | ++c/focal n | +c/-n | -c/-n |
| Neoplastic Cells | Thyrocytes | Inflammatory Cells | |
|---|---|---|---|
| Thyroid Cancer | +c/+n | +++c/+n | +c/+++n |
| HT | - | focal c/++n | focal c/+++n |
| Adenomas | ++c/+n | +c/+n | -c/focal n |
Disclaimer/Publisher’s Note: The statements, opinions and data contained in all publications are solely those of the individual author(s) and contributor(s) and not of MDPI and/or the editor(s). MDPI and/or the editor(s) disclaim responsibility for any injury to people or property resulting from any ideas, methods, instructions or products referred to in the content. |
© 2023 by the authors. Licensee MDPI, Basel, Switzerland. This article is an open access article distributed under the terms and conditions of the Creative Commons Attribution (CC BY) license (https://creativecommons.org/licenses/by/4.0/).
Share and Cite
Pasquali, D.; Giacomelli, L.; Pedicillo, M.C.; Conzo, G.; Gentile, G.; De Stefano, I.S.; Angelillis, F.; Santoro, A.; Miele, F.; Digitale Selvaggio, L.; et al. Tumor Inflammatory Microenvironment of the Thyroid Cancer: Relationship between Regulatory T-Cell Imbalance, and p-NFΚB (p65) Expression—A Preliminary Study. J. Clin. Med. 2023, 12, 6817. https://doi.org/10.3390/jcm12216817
Pasquali D, Giacomelli L, Pedicillo MC, Conzo G, Gentile G, De Stefano IS, Angelillis F, Santoro A, Miele F, Digitale Selvaggio L, et al. Tumor Inflammatory Microenvironment of the Thyroid Cancer: Relationship between Regulatory T-Cell Imbalance, and p-NFΚB (p65) Expression—A Preliminary Study. Journal of Clinical Medicine. 2023; 12(21):6817. https://doi.org/10.3390/jcm12216817
Chicago/Turabian StylePasquali, Daniela, Laura Giacomelli, Maria Carmela Pedicillo, Giovanni Conzo, Gabriella Gentile, Ilenia Sara De Stefano, Francesco Angelillis, Angela Santoro, Francesco Miele, Lucia Digitale Selvaggio, and et al. 2023. "Tumor Inflammatory Microenvironment of the Thyroid Cancer: Relationship between Regulatory T-Cell Imbalance, and p-NFΚB (p65) Expression—A Preliminary Study" Journal of Clinical Medicine 12, no. 21: 6817. https://doi.org/10.3390/jcm12216817
APA StylePasquali, D., Giacomelli, L., Pedicillo, M. C., Conzo, G., Gentile, G., De Stefano, I. S., Angelillis, F., Santoro, A., Miele, F., Digitale Selvaggio, L., Melcarne, R., & Pannone, G. (2023). Tumor Inflammatory Microenvironment of the Thyroid Cancer: Relationship between Regulatory T-Cell Imbalance, and p-NFΚB (p65) Expression—A Preliminary Study. Journal of Clinical Medicine, 12(21), 6817. https://doi.org/10.3390/jcm12216817

