AI-Enhanced Analysis Reveals Impact of Maternal Diabetes on Subcutaneous Fat Mass in Fetuses without Growth Alterations
Abstract
:1. Introduction
2. Materials and Methods
2.1. Ethics Statement
2.2. Study Population
2.3. Fetometry
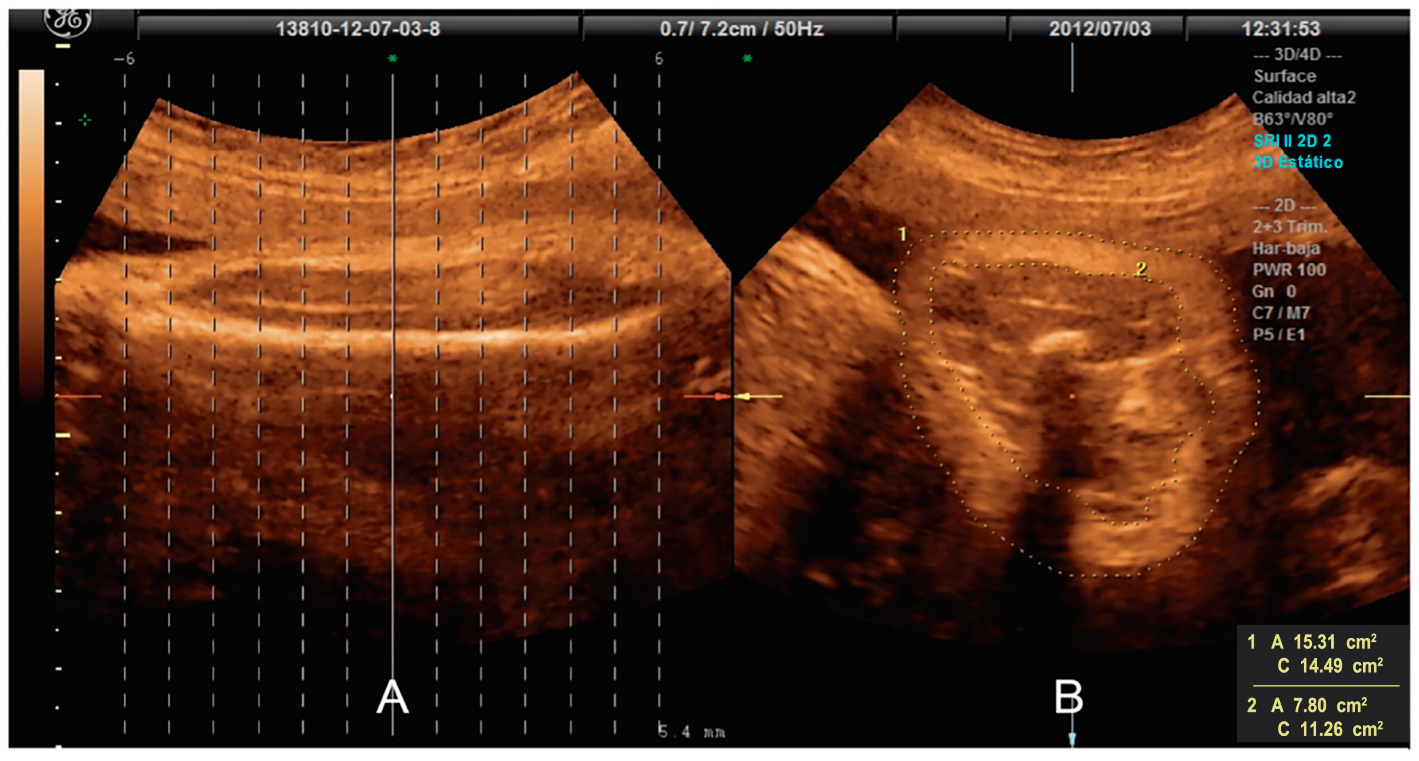
2.4. Assessment of Fat Mass Area
2.5. Statistical Analysis
2.6. Classifier Models
- (A)
- Feature Selection
- (B)
- Classifier Training and Validation
3. Results
3.1. Characteristics of the Study Population
3.2. Association between Maternal Diabetes and Fetal Subcutaneous Fat Tissue
3.3. Classifier Models between Fetal Subcutaneous Fat Tissue and Ultrasonographic Tools
4. Discussion
4.1. Main Findings
4.2. Comparison with Existing Literature
4.3. Strengths and Limitations
4.4. Clinical Interpretation
5. Conclusions
Author Contributions
Funding
Institutional Review Board Statement
Informed Consent Statement
Data Availability Statement
Conflicts of Interest
References
- Padmanabhan, V.; Cardoso, R.C.; Puttabyatappa, M. Developmental Programming, a Pathway to Disease. Endocrinology 2016, 157, 1328–1340. [Google Scholar] [CrossRef] [PubMed]
- Estrada-Gutiérrez, G.; Zambrano, E.; Polo-Oteyza, E.; Cardona-Pérez, A.; Vadillo-Ortega, F. Intervention during the first 1000 days in Mexico. Nutr. Rev. 2020, 78, 80–90. [Google Scholar] [CrossRef]
- Ornoy, A.; Reece, E.A.; Pavlinkova, G.; Kappen, C.; Miller, R.K. Effect of maternal diabetes on the embryo, fetus, and children: Congenital anomalies, genetic and epigenetic changes and developmental outcomes. Birth Defects Res. Part C Embryo Today 2015, 105, 53–72. [Google Scholar] [CrossRef]
- Kc, K.; Shakya, S.; Zhang, H. Gestational diabetes mellitus and macrosomia: A literature review. Ann. Nutr. Metab. 2015, 66 (Suppl. 2), 14–20. [Google Scholar] [CrossRef] [PubMed]
- Jensen, L.A.; Chik, C.L.; Ryan, E.A. Review of gestational diabetes mellitus effects on vascular structure and function. Diabetes Vasc. Dis. Res. 2016, 13, 170–182. [Google Scholar] [CrossRef] [PubMed]
- Casey, B. Gestational Diabetes—On Broadening the Diagnosis. N. Engl. J. Med. 2021, 384, 965–966. [Google Scholar] [CrossRef]
- HAPO Study Cooperative Research Group. Hyperglycemia and Adverse Pregnancy Outcome (HAPO) Study: Associations with neonatal anthropometrics. Diabetes 2009, 58, 453–459. [Google Scholar] [CrossRef]
- Szmuilowicz, E.D.; Josefson, J.L.; Metzger, B.E. Gestational Diabetes Mellitus. Endocrinol. Metab. Clin. N. Am. 2019, 48, 479–493. [Google Scholar] [CrossRef]
- Alexopoulos, A.S.; Blair, R.; Peters, A.L. Management of Preexisting Diabetes in Pregnancy: A Review. JAMA 2019, 321, 1811–1819. [Google Scholar] [CrossRef]
- Balsells, M.; García-Patterson, A.; Gich, I.; Corcoy, R. Ultrasound-guided compared to conventional treatment in gestational diabetes leads to improved birthweight but more insulin treatment: Systematic review and meta-analysis. Acta Obstet. Gynecol. Scand. 2014, 93, 144–151. [Google Scholar] [CrossRef]
- Staud, F.; Karahoda, R. Trophoblast: The central unit of fetal growth, protection and programming. Int. J. Biochem. Cell Biol. 2018, 105, 35–40. [Google Scholar] [CrossRef]
- Godfrey, K.M.; Costello, P.M.; Lillycrop, K.A. Development, Epigenetics and Metabolic Programming. Nestle Nutr. Inst. Workshop Ser. 2016, 85, 71–80. [Google Scholar] [CrossRef] [PubMed]
- Desoye, G.; Herrera, E. Adipose tissue development and lipid metabolism in the human fetus: The 2020 perspective focusing on maternal diabetes and obesity. Prog. Lipid Res. 2021, 81, 101082. [Google Scholar] [CrossRef] [PubMed]
- Catalano, P.M.; Thomas, A.; Huston-Presley, L.; Amini, S.B. Increased fetal adiposity: A very sensitive marker of abnormal in utero development. Am. J. Obstet. Gynecol. 2003, 189, 1698–1704. [Google Scholar] [CrossRef] [PubMed]
- Stanirowski, P.J.; Majewska, A.; Lipa, M.; Bomba-Opoń, D.; Wielgoś, M. Ultrasound evaluation of the fetal fat tissue, heart, liver and umbilical cord measurements in pregnancies complicated by gestational and type 1 diabetes mellitus: Potential application in the fetal birth-weight estimation and prediction of the fetal macrosomia. Diabetol. Metab. Syndr. 2021, 13, 22. [Google Scholar] [CrossRef] [PubMed]
- de Santis, M.S.; Taricco, E.; Radaelli, T.; Spada, E.; Rigano, S.; Ferrazzi, E.; Milani, S.; Cetin, I. Growth of fetal lean mass and fetal fat mass in gestational diabetes. Ultrasound Obstet. Gynecol. 2010, 36, 328–337. [Google Scholar] [CrossRef]
- Lingwood, B.E.; Henry, A.M.; d’Emden, M.C.; Fullerton, A.M.; Mortimer, R.H.; Colditz, P.B.; KA, L.C.; Callaway, L.K. Determinants of body fat in infants of women with gestational diabetes mellitus differ with fetal sex. Diabetes Care 2011, 34, 2581–2585. [Google Scholar] [CrossRef]
- Elessawy, M.; Harders, C.; Kleinwechter, H.; Demandt, N.; Sheasha, G.A.; Maass, N.; Pecks, U.; Eckmann-Scholz, C. Measurement and evaluation of fetal fat layer in the prediction of fetal macrosomia in pregnancies complicated by gestational diabetes. Arch. Gynecol. Obstet. 2017, 296, 445–453. [Google Scholar] [CrossRef]
- Orsso, C.E.; Silva, M.I.B.; Gonzalez, M.C.; Rubin, D.A.; Heymsfield, S.B.; Prado, C.M.; Haqq, A.M. Assessment of body composition in pediatric overweight and obesity: A systematic review of the reliability and validity of common techniques. Obes. Rev. 2020, 21, e13041. [Google Scholar] [CrossRef]
- Sarno, L.; Neola, D.; Carbone, L.; Saccone, G.; Carlea, A.; Miceli, M.; Iorio, G.G.; Mappa, I.; Rizzo, G.; Girolamo, R.D.; et al. Use of artificial intelligence in obstetrics: Not quite ready for prime time. Am. J. Obstet Gynecol. MFM 2023, 5, 100792. [Google Scholar] [CrossRef]
- Borboa-Olivares, H.; Rodríguez-Sibaja, M.J.; Espejel-Nuñez, A.; Flores-Pliego, A.; Mendoza-Ortega, J.; Camacho-Arroyo, I.; González-Camarena, R.; Echeverría-Arjonilla, J.C.; Estrada-Gutierrez, G. A Novel Predictive Machine Learning Model Integrating Cytokines in Cervical-Vaginal Mucus Increases the Prediction Rate for Preterm Birth. Int. J. Mol. Sci. 2023, 24, 13851. [Google Scholar] [CrossRef]
- Ramakrishnan, R.; Rao, S.; He, J.R. Perinatal health predictors using artificial intelligence: A review. Womens Health 2021, 17, 17455065211046132. [Google Scholar] [CrossRef] [PubMed]
- Markov, D. Tomographic ultrasound imaging (TUI)—Technique and methodological study. Akush. Ginekol. 2008, 47, 9–15. [Google Scholar]
- National Academies of Sciences Engineering and Medicine. The National Academies Collection: Reports funded by National Institutes of Health. In Weight Gain during Pregnancy: Reexamining the Guidelines; Rasmussen, K.M., Yaktine, A.L., Eds.; National Academies Press: Washington, DC, USA, 2009. [Google Scholar]
- American Diabetes Association. 14. Management of Diabetes in Pregnancy: Standards of Medical Care in Diabetes-2020. Diabetes Care 2020, 43, S183–S192. [Google Scholar] [CrossRef] [PubMed]
- Lee, W. Soft tissue assessment for fetal growth restriction. Minerva Obstet. Gynecol. 2021, 73, 442–452. [Google Scholar] [CrossRef]
- Larciprete, G.; Valensise, H.; Vasapollo, B.; Novelli, G.P.; Parretti, E.; Altomare, F.; Di Pierro, G.; Menghini, S.; Barbati, G.; Mello, G.; et al. Fetal subcutaneous tissue thickness (SCTT) in healthy and gestational diabetic pregnancies. Ultrasound Obstet. Gynecol. 2003, 22, 591–597. [Google Scholar] [CrossRef]
- Toro-Ramos, T.; Paley, C.; Pi-Sunyer, F.X.; Gallagher, D. Body composition during fetal development and infancy through the age of 5 years. Eur. J. Clin. Nutr. 2015, 69, 1279–1289. [Google Scholar] [CrossRef] [PubMed]
- Venkataraman, H.; Ram, U.; Craik, S.; Arungunasekaran, A.; Seshadri, S.; Saravanan, P. Increased fetal adiposity prior to diagnosis of gestational diabetes in South Asians: More evidence for the ‘thin-fat’ baby. Diabetologia 2017, 60, 399–405. [Google Scholar] [CrossRef]
- Herath, M.P.; Beckett, J.M.; Hills, A.P.; Byrne, N.M.; Ahuja, K.D.K. Gestational Diabetes Mellitus and Infant Adiposity at Birth: A Systematic Review and Meta-Analysis of Therapeutic Interventions. J. Clin. Med. 2021, 10, 835. [Google Scholar] [CrossRef]
- Sacks, D.A. Fetal macrosomia and gestational diabetes: What’s the problem? Obstet. Gynecol. 1993, 81, 775–781. [Google Scholar]
- Ikenoue, S.; Kasuga, Y.; Endo, T.; Tanaka, M.; Ochiai, D. Newer Insights Into Fetal Growth and Body Composition. Front. Endocrinol. 2021, 12, 708767. [Google Scholar] [CrossRef] [PubMed]
- Sato, N.; Miyasaka, N. Heterogeneity in fetal growth velocity. Sci. Rep. 2019, 9, 11304. [Google Scholar] [CrossRef] [PubMed]
- Ikenoue, S.; Akiba, Y.; Endo, T.; Kasuga, Y.; Yakubo, K.; Ishii, R.; Tanaka, M.; Ochiai, D. Defining the Normal Growth Curve of Fetal Fractional Limb Volume in a Japanese Population. J. Clin. Med. 2021, 10, 485. [Google Scholar] [CrossRef] [PubMed]
- Uthaya, S.; Bell, J.; Modi, N. Adipose tissue magnetic resonance imaging in the newborn. Horm. Res. 2004, 62 (Suppl. 3), 143–148. [Google Scholar] [CrossRef] [PubMed]
- De Lucia Rolfe, E.; Modi, N.; Uthaya, S.; Hughes, I.A.; Dunger, D.B.; Acerini, C.; Stolk, R.P.; Ong, K.K. Ultrasound estimates of visceral and subcutaneous-abdominal adipose tissues in infancy. J. Obes. 2013, 2013, 951954. [Google Scholar] [CrossRef]
- Lobelo, F. Fetal programming and risk of metabolic syndrome: Prevention efforts for high-risk populations. Pediatrics 2005, 116, 519. [Google Scholar] [CrossRef]
- Lee, W.; Balasubramaniam, M.; Deter, R.L.; Hassan, S.S.; Gotsch, F.; Kusanovic, J.P.; Gonçalves, L.F.; Romero, R. Fractional limb volume--a soft tissue parameter of fetal body composition: Validation, technical considerations and normal ranges during pregnancy. Ultrasound Obstet. Gynecol. 2009, 33, 427–440. [Google Scholar] [CrossRef] [PubMed]
- Garcés, M.F.; Sanchez, E.; Cardona, L.F.; Simanca, E.L.; González, I.; Leal, L.G.; Mora, J.A.; Bedoya, A.; Alzate, J.P.; Sánchez, Á.Y.; et al. Maternal Serum Meteorin Levels and the Risk of Preeclampsia. PLoS ONE 2015, 10, e0131013. [Google Scholar] [CrossRef] [PubMed]
- Monteiro, L.J.; Norman, J.E.; Rice, G.E.; Illanes, S.E. Fetal programming and gestational diabetes mellitus. Placenta 2016, 48 (Suppl. 1), S54–S60. [Google Scholar] [CrossRef]
- Rinaudo, P.; Wang, E. Fetal programming and metabolic syndrome. Annu. Rev. Physiol. 2012, 74, 107–130. [Google Scholar] [CrossRef]



| Control n = 30 | Diabetes n = 30 | p Value | |
|---|---|---|---|
| Maternal age (Years, mean ± SD) | 30.76 ± 6.4 | 32.9 ± 7.13 | 0.247 |
| Gestational age (Weeks, mean ± SD) | 34.63 ± 1.7 | 34.61 ± 1.71 | 0.609 |
| Pre-gestational maternal weight (kg, ± SD) | 69.69 ± 9.7 | 77.87 ± 15.38 | 0.034 * |
| Pre-gestational BMI (kg/m2, mean ± SD) | 28.33 ± 3.99 | 31.00 ± 5.20 | 0.046 * |
| Parity (Median, minimum, and maximum range) | 2 (1–5) | 2 (1–6) | 0.432 |
| Fetal weight by ultrasound (Grams, mean ± SD) | 2447 ± 397 | 2533 ± 459 | 0.198 |
| Biparietal diameter (cm) | 8.60 | 8.65 | 0.322 |
| Cephalic circumference (cm) | 30.97 | 31.26 | 0.134 |
| Abdominal circumference (cm) | 30.57 | 30.96 | 0.091 |
| Femoral length (cm) | 7.21 | 6.57 | 0.074 |
| Newborn weight (Grams, mean ± SD) | 3257 ± 298 | 3389 ± 389 | 0.233 |
| Gestational age at birth (Weeks, median) | 39.1 (37.3–40.1) | 38.5 (36.6–39.4) | 0.191 |
| Male/female proportion | 15/15 | 15/15 | 0.478 |
| Control (cm2, Mean ± SD) n = 30 | Diabetes (cm2, Mean ± SD) n = 30 | p Value | |
|---|---|---|---|
| FEMUR | |||
| Proximal third-middle union | 8.9 ± 2.0 | 10.1 ± 2.0 | 0.024 * |
| Middle | 7.8 ± 1.7 | 9.0 ± 2.0 | 0.026 * |
| Distal third-middle | 7.3 ± 1.7 | 8.8 ± 1.8 | 0.005 ** |
| HUMERUS | |||
| Proximal third-middle union | 5.4 ± 1.6 | 6.1 ± 1.4 | 0.045 * |
| Middle | 5.1 ± 1.4 | 5.8 ± 1.8 | 0.069 |
| Distal third-middle | 4.7 ± 1.2 | 5.3 ± 1.2 | 0.023 * |
| Pregestational Diabetes (cm2, Mean ± SD) n = 16 | Gestational Diabetes (cm2, Mean ± SD) n = 14 | p Value | |
|---|---|---|---|
| FEMUR | |||
| Proximal third-middle union | 9.9 ± 1.6 | 10.2 ± 1.8 | 0.34 |
| Middle | 8.7 ± 2.1 | 9.3 ± 2.4 | 0.42 |
| Distal third-middle | 7.9 ± 1.9 | 8.6 ± 2.1 | 0.06 |
| HUMERUS | |||
| Proximal third-middle union | 5.9 ± 1.8 | 6.4 ± 1.8 | 0.35 |
| Middle | 5.6 ± 1.2 | 5.4 ± 1.9 | 0.69 |
| Distal third-middle | 5.1 ± 1.5 | 5.6 ± 1.4 | 0.23 |
| DR at FPR | AUC | PPV | ||||
|---|---|---|---|---|---|---|
| Model | 0.05 | 0.10 | 0.15 | 0.2 | ||
| Full model | 0.704 (0.214) | 0.704 (0.214) | 0.738 (0.204) | 0.778 (0.182) | 0.881 (0.100) | 0.823 (0.188) |
| Ft-fat | 0.385 (0.292) | 0.385 (0.292) | 0.468 (0.279) | 0.573 (0.255) | 0.719 (0.143) | 0.676 (0.190) |
| Ft no-fat | 0.458 (0.269) | 0.458 (0.269) | 0.501 (0.284) | 0.591 (0.269) | 0.746 (0.156) | 0.682 (0.205) |
Disclaimer/Publisher’s Note: The statements, opinions and data contained in all publications are solely those of the individual author(s) and contributor(s) and not of MDPI and/or the editor(s). MDPI and/or the editor(s) disclaim responsibility for any injury to people or property resulting from any ideas, methods, instructions or products referred to in the content. |
© 2023 by the authors. Licensee MDPI, Basel, Switzerland. This article is an open access article distributed under the terms and conditions of the Creative Commons Attribution (CC BY) license (https://creativecommons.org/licenses/by/4.0/).
Share and Cite
Borboa-Olivares, H.; Torres-Torres, J.; Flores-Pliego, A.; Espejel-Nuñez, A.; Camacho-Arroyo, I.; Guzman-Huerta, M.; Perichart-Perera, O.; Piña-Ramirez, O.; Estrada-Gutierrez, G. AI-Enhanced Analysis Reveals Impact of Maternal Diabetes on Subcutaneous Fat Mass in Fetuses without Growth Alterations. J. Clin. Med. 2023, 12, 6485. https://doi.org/10.3390/jcm12206485
Borboa-Olivares H, Torres-Torres J, Flores-Pliego A, Espejel-Nuñez A, Camacho-Arroyo I, Guzman-Huerta M, Perichart-Perera O, Piña-Ramirez O, Estrada-Gutierrez G. AI-Enhanced Analysis Reveals Impact of Maternal Diabetes on Subcutaneous Fat Mass in Fetuses without Growth Alterations. Journal of Clinical Medicine. 2023; 12(20):6485. https://doi.org/10.3390/jcm12206485
Chicago/Turabian StyleBorboa-Olivares, Hector, Johnatan Torres-Torres, Arturo Flores-Pliego, Aurora Espejel-Nuñez, Ignacio Camacho-Arroyo, Mario Guzman-Huerta, Otilia Perichart-Perera, Omar Piña-Ramirez, and Guadalupe Estrada-Gutierrez. 2023. "AI-Enhanced Analysis Reveals Impact of Maternal Diabetes on Subcutaneous Fat Mass in Fetuses without Growth Alterations" Journal of Clinical Medicine 12, no. 20: 6485. https://doi.org/10.3390/jcm12206485
APA StyleBorboa-Olivares, H., Torres-Torres, J., Flores-Pliego, A., Espejel-Nuñez, A., Camacho-Arroyo, I., Guzman-Huerta, M., Perichart-Perera, O., Piña-Ramirez, O., & Estrada-Gutierrez, G. (2023). AI-Enhanced Analysis Reveals Impact of Maternal Diabetes on Subcutaneous Fat Mass in Fetuses without Growth Alterations. Journal of Clinical Medicine, 12(20), 6485. https://doi.org/10.3390/jcm12206485

