Postoperative Hiatal Hernia after Ivor Lewis Esophagectomy—A Growing Problem in the Age of Minimally Invasive Surgery
Abstract
:1. Introduction
2. Materials and Methods
2.1. Study Design
2.2. Statistical Analysis
3. Results
3.1. Study Population
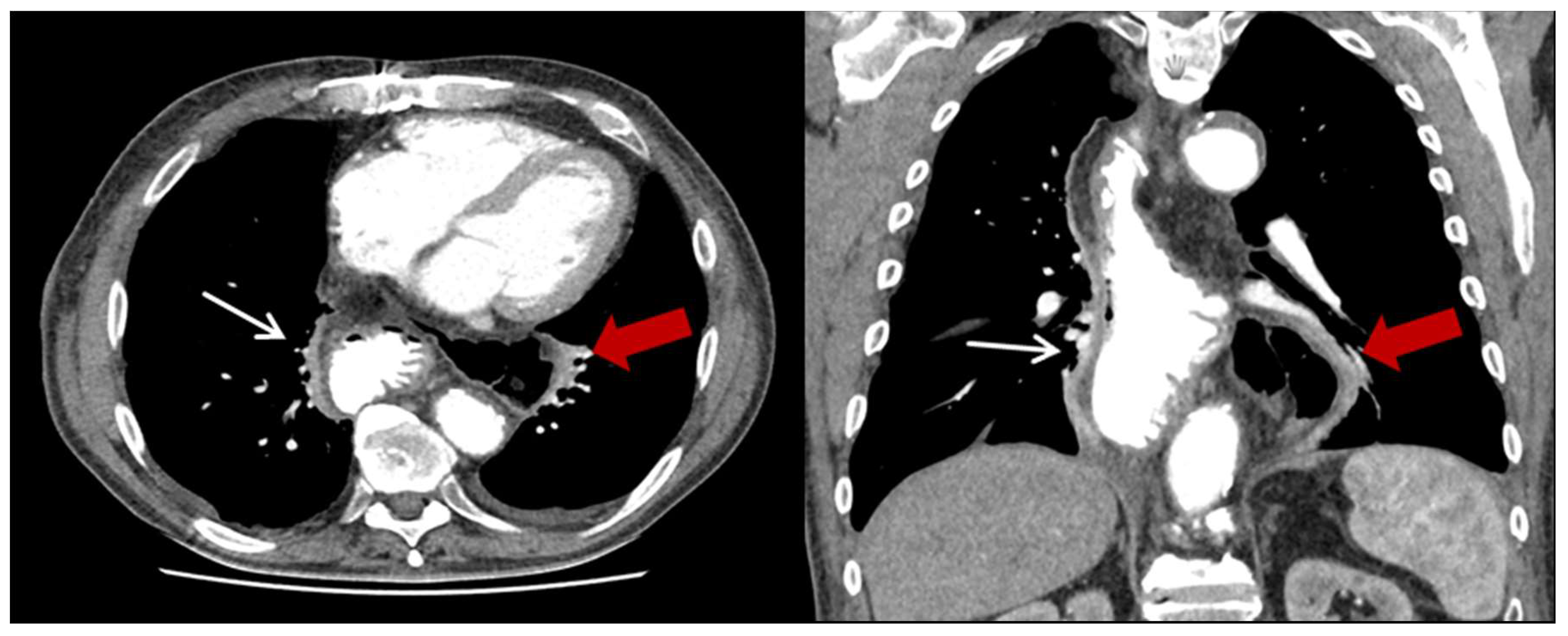
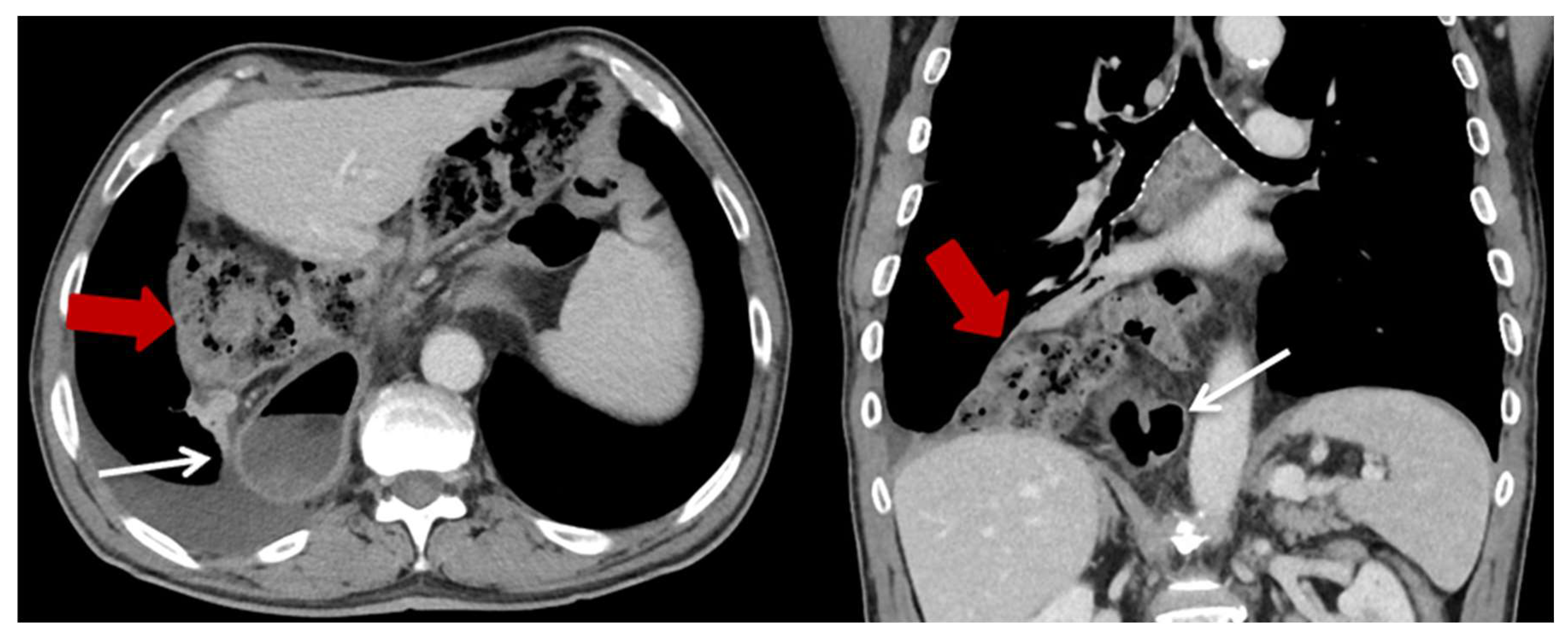
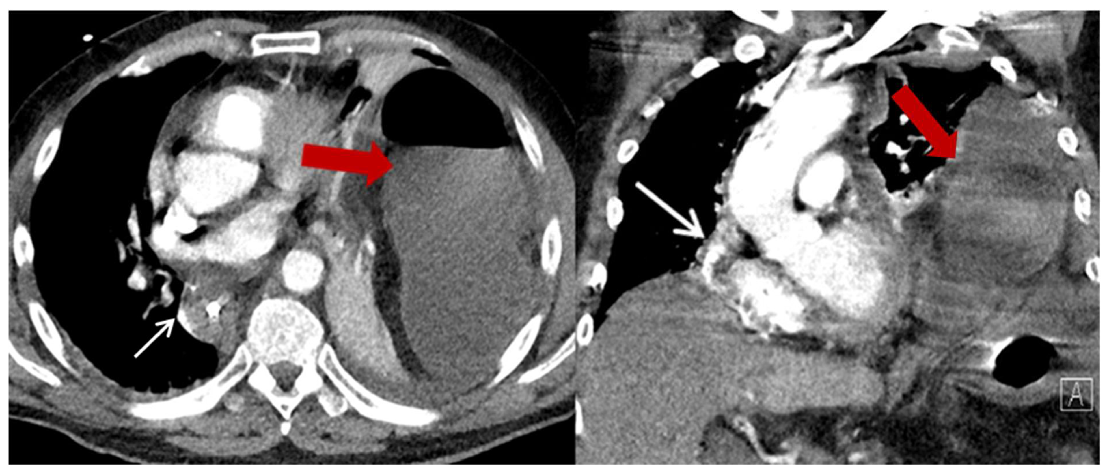
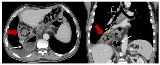
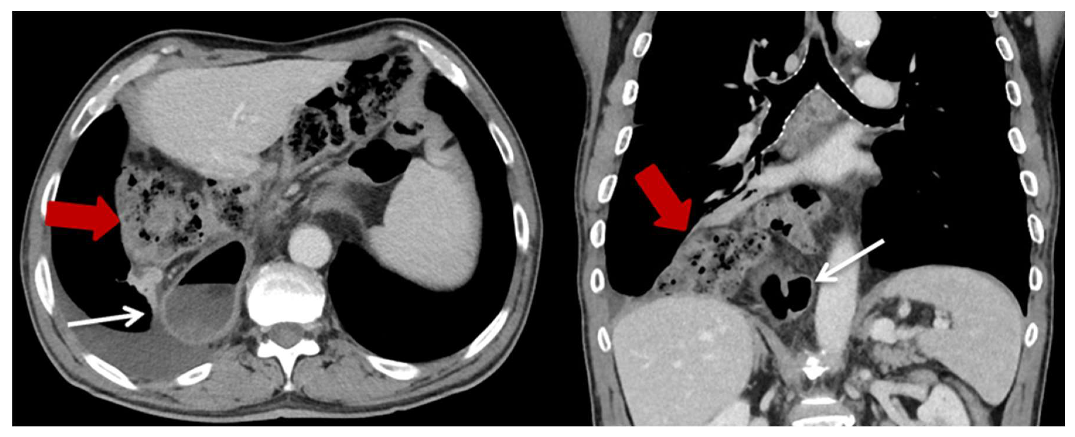
3.2. Postoperative Hiatal Hernia
4. Discussion
5. Conclusions
Author Contributions
Funding
Institutional Review Board Statement
Informed Consent Statement
Data Availability Statement
Conflicts of Interest
References
- Ferlay, J.; Shin, H.-R.; Bray, F.; Forman, D.; Mathers, C.; Parkin, D.M. Estimates of worldwide burden of cancer in 2008: GLOBOCAN 2008. Int. J. Cancer 2010, 127, 2893–2917. [Google Scholar] [CrossRef] [PubMed]
- Biere, S.S.A.Y.; van Berge Henegouwen, M.I.; Maas, K.W.; Bonavina, L.; Rosman, C.; Garcia, J.R.; Gisbertz, S.S.; Klinkenbijl, J.H.G.; Hollmann, M.W.; de Lange, E.S.M.; et al. Minimally invasive versus open oesophagectomy for patients with oesophageal cancer: A multicentre, open-label, randomised controlled trial. Lancet 2012, 379, 1887–1892. [Google Scholar] [CrossRef] [PubMed]
- Mariette, C.; Markar, S.R.; Dabakuyo-Yonli, T.S.; Meunier, B.; Pezet, D.; Collet, D.; D’Journo, X.B.; Brigand, C.; Perniceni, T.; Carrère, N.; et al. Hybrid Minimally Invasive Esophagectomy for Esophageal Cancer. N. Engl. J. Med. 2019, 380, 152–162. [Google Scholar] [CrossRef]
- Ben-David, K.; Sarosi, G.A.; Cendan, J.C.; Howard, D.; Rossidis, G.; Hochwald, S.N. Decreasing morbidity and mortality in 100 consecutive minimally invasive esophagectomies. Surg. Endosc. 2012, 26, 162–167. [Google Scholar] [CrossRef] [PubMed]
- Kuvendjiska, J.; Marjanovic, G.; Glatz, T.; Kulemann, B.; Hoeppner, J. Hybrid Minimally Invasive Esophagectomy-Surgical Technique and Results. J. Clin. Med. 2019, 8, 978. [Google Scholar] [CrossRef] [PubMed]
- Glatz, T.; Marjanovic, G.; Kulemann, B.; Sick, O.; Hopt, U.T.; Hoeppner, J. Hybrid minimally invasive esophagectomy vs. open esophagectomy: A matched case analysis in 120 patients. Langenbeck’s Arch. Surg. 2017, 402, 323–331. [Google Scholar] [CrossRef]
- Lung, K.; Carroll, P.A.; Rogalla, P.; Yeung, J.; Darling, G. Paraconduit Hernia in the Era of Minimally Invasive Esophagectomy: Underdiagnosed? Ann. Thorac. Surg. 2021, 111, 1812–1819. [Google Scholar] [CrossRef]
- Puccetti, F.; Cossu, A.; Parise, P.; Barbieri, L.; Elmore, U.; Carresi, A.; de Pascale, S.; Fumagalli Romario, U.; Rosati, R. Diaphragmatic hernia after Ivor Lewis esophagectomy for cancer: A retrospective analysis of risk factors and post-repair outcomes. J. Thorac. Dis. 2021, 13, 160–168. [Google Scholar] [CrossRef] [PubMed]
- Gust, L.; Nafteux, P.; Allemann, P.; Tuech, J.-J.; El Nakadi, I.; Collet, D.; Goere, D.; Fabre, J.-M.; Meunier, B.; Dumont, F.; et al. Hiatal hernia after oesophagectomy: A large European survey. Eur. J. Cardio-Thorac. Surg. 2019, 55, 1104–1112. [Google Scholar] [CrossRef] [PubMed]
- Lubbers, M.; Kouwenhoven, E.A.; Smit, J.K.; van Det, M.J. Hiatal Hernia with Acute Obstructive Symptoms After Minimally Invasive Oesophagectomy. J. Gastrointest. Surg. 2021, 25, 603–608. [Google Scholar] [CrossRef]
- Hoeppner, J.; Marjanovic, G.; Glatz, T.; Kulemann, B.; Hopt, U.T. Hybrid laparoscopic thoracotomic esophagectomy with intrathoracic esophagogastric anastomosis. Chir. Z. Alle Geb. Oper. Medizen 2014, 85, 628–635. [Google Scholar] [CrossRef]
- Hoeppner, J. Hybrid Minimally Invasive Esophagectomy: How I Teach It. Ann. Thorac. Surg. 2021, 112, 10–15. [Google Scholar] [CrossRef] [PubMed]
- Bronson, N.W.; Luna, R.A.; Hunter, J.G.; Dolan, J.P. The incidence of hiatal hernia after minimally invasive esophagectomy. J. Gastrointest. Surg. 2014, 18, 889–893. [Google Scholar] [CrossRef]
- Oor, J.E.; Wiezer, M.J.; Hazebroek, E.J. Hiatal Hernia After Open versus Minimally Invasive Esophagectomy: A Systematic Review and Meta-analysis. Ann. Surg. Oncol. 2016, 23, 2690–2698. [Google Scholar] [CrossRef] [PubMed]
- Murad, H.; Huang, B.; Ndegwa, N.; Rouvelas, I.; Klevebro, F. Postoperative hiatal herniation after open vs. minimally invasive esophagectomy; A systematic review and meta-analysis. Int. J. Surg. 2021, 93, 106046. [Google Scholar] [CrossRef] [PubMed]
- Iwasaki, H.; Tanaka, T.; Miyake, S.; Yoda, Y.; Noshiro, H. Postoperative hiatal hernia after minimally invasive esophagectomy for esophageal cancer. J. Thorac. Dis. 2020, 12, 4661–4669. [Google Scholar] [CrossRef] [PubMed]
- Hanna, A.N.; Guajardo, I.; Williams, N.; Kucharczuk, J.; Dempsey, D.T. Hiatal Hernia after Esophagectomy: An Underappreciated Complication? J. Am. Coll. Surg. 2020, 230, 700–707. [Google Scholar] [CrossRef]
- Vallböhmer, D.; Hölscher, A.H.; Herbold, T.; Gutschow, C.; Schröder, W. Diaphragmatic hernia after conventional or laparoscopic-assisted transthoracic esophagectomy. Ann. Thorac. Surg. 2007, 84, 1847–1852. [Google Scholar] [CrossRef] [PubMed]
- Kent, M.S.; Luketich, J.D.; Tsai, W.; Churilla, P.; Federle, M.; Landreneau, R.; Alvelo-Rivera, M.; Schuchert, M. Revisional surgery after esophagectomy: An analysis of 43 patients. Ann. Thorac. Surg. 2008, 86, 975–983; discussion 967–974. [Google Scholar] [CrossRef] [PubMed]
- Price, T.N.; Allen, M.S.; Nichols, F.C., 3rd; Cassivi, S.D.; Wigle, D.A.; Shen, K.R.; Deschamps, C. Hiatal hernia after esophagectomy: Analysis of 2,182 esophagectomies from a single institution. Ann. Thorac. Surg. 2011, 92, 2041–2045. [Google Scholar] [CrossRef]
- Ganeshan, D.M.; Correa, A.M.; Bhosale, P.; Vaporciyan, A.A.; Rice, D.; Mehran, R.J.; Walsh, G.L.; Iyer, R.; Roth, J.A.; Swisher, S.G.; et al. Diaphragmatic hernia after esophagectomy in 440 patients with long-term follow-up. Ann. Thorac. Surg. 2013, 96, 1138–1145. [Google Scholar] [CrossRef] [PubMed]
- Benjamin, G.; Ashfaq, A.; Chang, Y.-H.; Harold, K.; Jaroszewski, D. Diaphragmatic hernia post-minimally invasive esophagectomy: A discussion and review of literature. Hernia J. Hernias Abdom. Wall Surg. 2015, 19, 635–643. [Google Scholar] [CrossRef] [PubMed]
- Messenger, D.E.; Higgs, S.M.; Dwerryhouse, S.J.; Hewin, D.F.; Vipond, M.N.; Barr, H.; Wadley, M.S. Symptomatic diaphragmatic herniation following open and minimally invasive oesophagectomy: Experience from a UK specialist unit. Surg. Endosc. 2015, 29, 417–424. [Google Scholar] [CrossRef] [PubMed]
- Ulloa Severino, B.; Fuks, D.; Christidis, C.; Denet, C.; Gayet, B.; Perniceni, T. Laparoscopic repair of hiatal hernia after minimally invasive esophagectomy. Surg. Endosc. 2016, 30, 1068–1072. [Google Scholar] [CrossRef] [PubMed]
- Matthews, J.; Bhanderi, S.; Mitchell, H.; Whiting, J.; Vohra, R.; Hodson, J.; Griffiths, E. Diaphragmatic herniation following esophagogastric resectional surgery: An increasing problem with minimally invasive techniques?: Post-operative diaphragmatic hernias. Surg. Endosc. 2016, 30, 5419–5427. [Google Scholar] [CrossRef]
- Andreou, A.; Pesthy, S.; Struecker, B.; Dadras, M.; Raakow, J.; Knitter, S.; Duwe, G.; Sauer, I.M.; Beierle, A.S.; Denecke, C.; et al. Incidence and Risk Factors of Symptomatic Hiatal Hernia Following Resection for Gastric and Esophageal Cancer. Anticancer Res. 2017, 37, 7031–7036. [Google Scholar] [CrossRef] [PubMed]
- Brenkman, H.J.F.; Parry, K.; Noble, F.; van Hillegersberg, R.; Sharland, D.; Goense, L.; Kelly, J.; Byrne, J.P.; Underwood, T.J.; Ruurda, J.P. Hiatal Hernia After Esophagectomy for Cancer. Ann. Thorac. Surg. 2017, 103, 1055–1062. [Google Scholar] [CrossRef]
- Gooszen, J.A.H.; Slaman, A.E.; van Dieren, S.; Gisbertz, S.S.; van Berge Henegouwen, M.I. Incidence and Treatment of Symptomatic Diaphragmatic Hernia After Esophagectomy for Cancer. Ann. Thorac. Surg. 2018, 106, 199–206. [Google Scholar] [CrossRef]
- Takeda, F.R.; Tustumi, F.; Filho, M.A.S.; Silva, M.O.; Júnior, U.R.; Sallum, R.A.A.; Cecconello, I. Diaphragmatic Hernia Repair After Esophagectomy: Technical Report and Lessons After a Series of Cases. J. Laparoendosc. Adv. Surg. Tech. Part A 2020, 30, 433–437. [Google Scholar] [CrossRef]
- Fuchs, H.F.; Knepper, L.; Müller, D.T.; Bartella, I.; Bruns, C.J.; Leers, J.M.; Schröder, W. Transdiaphragmatic herniation after transthoracic esophagectomy: An underestimated problem. Dis. Esophagus 2020, 33, doaa024. [Google Scholar] [CrossRef] [PubMed]
- Chung, S.K.; Bludevich, B.; Cherng, N.; Zhang, T.; Crawford, A.; Maxfield, M.W.; Whalen, G.; Uy, K.; Perugini, R.A. Paraconduit Hiatal Hernia Following Esophagectomy: Incidence, Risk Factors, Outcomes and Repair. J. Surg. Res. 2021, 268, 276–283. [Google Scholar] [CrossRef] [PubMed]
- Oppelt, P.U.; Askevold, I.; Hörbelt, R.; Roller, F.C.; Padberg, W.; Hecker, A.; Reichert, M. Trans-hiatal herniation following esophagectomy or gastrectomy: Retrospective single-center experiences with a potential surgical emergency. Hernia J. Hernias Abdom. Wall Surg. 2022, 26, 259–278. [Google Scholar] [CrossRef] [PubMed]
- Runkel, M.; Kuvendjiska, J.; Marjanovic, G.; Fichtner-Feigl, S.; Diener, M.K. Ligamentum teres augmentation (LTA) for hiatal hernia repair after minimally invasive esophageal resection: A new use for an old structure. Langenbeck’s Arch. Surg. 2021, 406, 2521–2525. [Google Scholar] [CrossRef] [PubMed]





| HMIE | OE | |
|---|---|---|
| Patients (n) | 152 | 154 |
| Male gender (n, %) | 117 (77%) | 133 (86.4%) |
| Age (median, years) | 62 | 63 |
| BMI (median, kg/m2) | 26.5 | 25 |
| ASA-score (n, %) | ||
| I | 1 (0.7%) | 2 (1.3%) |
| II | 75 (49.3%) | 76 (49.4%) |
| III | 72 (47.4%) | 73 (47.4%) |
| IV | 4 (2.6%) | 3 (1.9%) |
| Tumor histology (n, %) | ||
| Adenocarcinoma | 114 (75%) | 101 (65.6%) |
| Squamouscell carcinoma | 33 (21.7%) | 47 (30.5%) |
| Others | 5 (3.3%) | 6 (3.9%) |
| Neoadjuvant treatment (n, %) | ||
| None | 34 (22.4%) | 27 (17.7%) |
| Chemotherapy | 68 (44.7%) | 72 (46.7%) |
| Chemoradiation | 49 (32.2%) | 55 (35.7%) |
| Radiotherapy | 1 | 0 |
| Comorbidity (n, %) | ||
| Nicotine abuse | 57 (37.5%) | 67 (43.5%) |
| CHD | 16 (10.5%) | 18 (11.7%) |
| Diabetes | 20 (13.2%) | 21 (13.6%) |
| Adipositas | 25 (16.4%) | 21 (13.6%) |
| COPD | 22 (14.5%) | 19 (12.3%) |
| Variable | Hiatal Hernia (n, %) | No Hiatal Hernia (n, %) | p-Value |
|---|---|---|---|
| Patients | 23 | 283 | |
| Male gender | 16 (69.6%) | 234 (82.7%) | 0.118 |
| Age (years) | 0.759 | ||
| <65 | 12 (52.2%) | 157 (55.5%) | |
| ≥65 | 11 (47.8%) | 126 (44.5%) | |
| BMI (kg/m2) | 0.66 | ||
| <25 | 9 (39.1%) | 124 (43.8%) | |
| ≥25 | 14 (60.9%) | 159 (56.2%) | |
| ASA-score | 0.29 | ||
| I + II | 14 (60.9%) | 140 (49.5%) | |
| III + IV | 9 (39.1%) | 143 (50.5%) | |
| Comorbidity | |||
| Nicotine abuse | 10 (43.5%) | 114 (40.3%) | 0.76 |
| CHD | 2 (8.7%) | 32 (11.3%) | 0.7 |
| Diabetes | 2 (8.7%) | 39 (13.8%) | 0.49 |
| COPD | 3 (13%) | 38 (13.4%) | 0.96 |
| Preexisting hiatal hernia | 2 (8.7%) | 30 (10.6%) | 0.78 |
| T stadium | 0.046 | ||
| T 0–2 | 20 (87%) | 183 (66.8%) | |
| T 3–4 | 3 (13%) | 91 (33.2%) | |
| N- stadium | 0.1 | ||
| N0 | 18 (78.3%) | 166 (61%) | |
| N+ | 5 (21.7%) | 106 (39%) | |
| Neoadjuvant treatment | |||
| Chemotherapy | 18 (78.3%) | 226 (79.9%) | 0.86 |
| Radiochemotherapy | 8 (34.8%) | 97 (34.3%) | 0.96 |
| Operation technique | |||
| HMIE | 21 (91.3%) | 131 (46.3%) | <0.001 |
| OE | 2 (8.7%) | 152 (53.7%) | |
| Hiatotomy | 20 (87%) | 196 (69.3%) | 0.073 |
| Colopexy | 19 (82.6%) | 171 (60.4%) | 0.035 |
| Postoperative complications | |||
| Pneumonia | 6 (26.1%) | 62 (21.9%) | 0.64 |
| Mediastinitis | 0 | 6 (2.1%) | 0.48 |
| Anastomotic leakage | 1 (4.3%) | 17 (6%) | 0.75 |
| Anastomotic stenosis | 3 (13%) | 15 (5.3%) | 0.13 |
| Delayed gastric emptying | 2 (8.7%) | 28 (9.9%) | 0.85 |
| Variable | Odds Ratio | 95%-CI | p-Value | |
|---|---|---|---|---|
| HMIE vs. OE | OE | Reference | Reference | <0.001 |
| HMIE | 11.812 | 2.717–51.366 | ||
| Characteristics | HH (n = 23) (%) |
|---|---|
| Content of HH, n (%) | |
| Colon | 23 (100) |
| Additionally small bowel | 3 (13) |
| Position of the HH n (%) | |
| Left thoracic side | 18 (78.3) |
| Right thoracic side | 1 (4.4) |
| Both sides | 1 (4.4) |
| Lower mediastinum | 3 (13) |
| Symptoms n (%) | |
| None | 13 (56.5) |
| Abdominal pain and discomfort | 10 (43.5) |
| Ileus/incarceration | 4 (17.4) |
| Surgical repair, n (%) | |
| Laparoscopic | 16 (84.2) |
| Conversion | 2 (12.5) |
| Open | 3 (15.8) |
| Gastropexy | 8 (42) |
| Hiatoplasty | 9 (47.4) |
| Mesh augmentation | 4 (21) |
| Colopexy | 15 (78.9) |
| Recurrence rate, n (%) | 6 (31.6) |
| Study | Year | Patients (n) | Included Operations | PHH Overall (%) | PHH OE (%) | PHH TMIE (%) | PHH HMIE (%) | PHH Recurrence (%) |
|---|---|---|---|---|---|---|---|---|
| Vallböhmer et al. [18] | 2007 | 355 | OE Ivor Lewis HMIE (two-stage) | 2.5 | 2.4 | / | 2.7 | / |
| Kent et al. [19] | 2008 | 1075 | OE and TMIE Ivor Lewis OE and TMIE McKeown | 4 | 0.8 | 2.8 | / | 29 |
| Price et al. [20] | 2011 | 2182 | OE Ivor Lewis OE transhiatal | 0.7 | 0.7 | / | / | 13.3 |
| Ganeshan et al. [21] | 2013 | 440 | OE Ivor Lewis | 15 | 12 | / | 44 | |
| OE McKeown | 17 | |||||||
| OE transhiatal | 24 | |||||||
| TMIE | 10 | |||||||
| Bronson et al. [13] | 2014 | 114 | TMIE Transhiatal TMIE McKeown | 8 | / | 8 | / | 12.5 |
| Benjamin et al. [22] | 2015 | 120 | MIE | 5.8 | / | 5.8 | / | 20 |
| Messenger et al. [23] | 2015 | 273 | OE, TMIE and HMIE Ivor Lewis | 4 | 1 | 13.2 | 18 | |
| Severino et al. [24] | 2016 | 390 | HMIE | 8.2 | / | / | 8.2 | 19 |
| Matthews et al. [25] | 2016 | 631 | OE and TMIE Ivor Lewis OE and TMIE McKeown HMIE Gastrectomy | 5.5 | 2 | 7 | 10 | 26 |
| Andreou et al. [26] | 2017 | 471 | OE Ivor Lewis | 2.8 | 2.7 | / | / | N/A |
| Open gastrectomy | 0.7 | |||||||
| Open extended gastrectomy | 6.1 | |||||||
| Brenkman et al. [27] | 2017 | 657 | OE and TMIE Ivor Lewis | 7 | 4 | 10 | / | 15 |
| OE and TMIE McKeown | 4 | 7 | / | |||||
| OE and TMIE transhiatal | 11 | 4 | / | |||||
| Gooszen et al. [28] | 2018 | 851 | OE and TMIE Ivor Lewis | 2.5 | 0 | 9.4 | / | 19 |
| OE and TMIE McKeown | 1.4 | 1.6 | ||||||
| OE and TMIE transhiatal | 1.3 | 2.3 | ||||||
| Gust et al. [9] | 2019 | OE, HMIE or TMIE Ivor Lewis OE or TMIE McKeown OE and MIE transhiatal | 1.2 | 0.7 | 1.4 | / | ||
| Takeda et al. [29] | 2019 | 328 | TMIE McKeown HMIE McKeown RAMIE McKeown | 2.4 | / | 2.4 | 0 | |
| Iwasaki et al. [16] | 2020 | 113 | TMIE McKeown | 9.7 | / | 9.7 | / | / |
| Fuchs et al. [30] | 2020 | HMIE Ivor Lewis | / | / | N/A. | 7.7 | ||
| Hanna et al. [17] | 2020 | 258 | OE and MIE Ivor Lewis, transhiatal and McKeown | 31 | N/A | N/A | N/A | 17 |
| Lubbers et al. [10] | 2021 | 307 | TMIE Ivor Lewis TMIE McKeown | 2.6 | / | 2.6 | / | 38 |
| Puccetti et al. [8] | 2021 | 414 | OE, TMIE and HMIE Ivor Lewis | 5.3 | 2.9 | 8.3 | 5.4 | 13.6 |
| Chung et al. [31] | 2021 | 49 | MIE | 14 | / | 14 | / | 80 |
Disclaimer/Publisher’s Note: The statements, opinions and data contained in all publications are solely those of the individual author(s) and contributor(s) and not of MDPI and/or the editor(s). MDPI and/or the editor(s) disclaim responsibility for any injury to people or property resulting from any ideas, methods, instructions or products referred to in the content. |
© 2023 by the authors. Licensee MDPI, Basel, Switzerland. This article is an open access article distributed under the terms and conditions of the Creative Commons Attribution (CC BY) license (https://creativecommons.org/licenses/by/4.0/).
Share and Cite
Kuvendjiska, J.; Jasinski, R.; Hipp, J.; Fink, M.; Fichtner-Feigl, S.; Diener, M.K.; Hoeppner, J. Postoperative Hiatal Hernia after Ivor Lewis Esophagectomy—A Growing Problem in the Age of Minimally Invasive Surgery. J. Clin. Med. 2023, 12, 5724. https://doi.org/10.3390/jcm12175724
Kuvendjiska J, Jasinski R, Hipp J, Fink M, Fichtner-Feigl S, Diener MK, Hoeppner J. Postoperative Hiatal Hernia after Ivor Lewis Esophagectomy—A Growing Problem in the Age of Minimally Invasive Surgery. Journal of Clinical Medicine. 2023; 12(17):5724. https://doi.org/10.3390/jcm12175724
Chicago/Turabian StyleKuvendjiska, Jasmina, Robert Jasinski, Julian Hipp, Mira Fink, Stefan Fichtner-Feigl, Markus K. Diener, and Jens Hoeppner. 2023. "Postoperative Hiatal Hernia after Ivor Lewis Esophagectomy—A Growing Problem in the Age of Minimally Invasive Surgery" Journal of Clinical Medicine 12, no. 17: 5724. https://doi.org/10.3390/jcm12175724
APA StyleKuvendjiska, J., Jasinski, R., Hipp, J., Fink, M., Fichtner-Feigl, S., Diener, M. K., & Hoeppner, J. (2023). Postoperative Hiatal Hernia after Ivor Lewis Esophagectomy—A Growing Problem in the Age of Minimally Invasive Surgery. Journal of Clinical Medicine, 12(17), 5724. https://doi.org/10.3390/jcm12175724

