Morphological Hallmarks of Classical Fabry Disease: An Ultrastructural Study in a Large Spanish Family
Abstract
:1. Introduction
2. Materials and Methods
2.1. Patients
2.2. Enzymatic and Molecular Study
2.3. Histological and Ultrastructural Study
2.4. Direct Immunofluorescence with Gb3
2.5. Storage Quantification in Skin Biopsies
3. Results
3.1. Patients
3.2. Enzymatic and Molecular Study
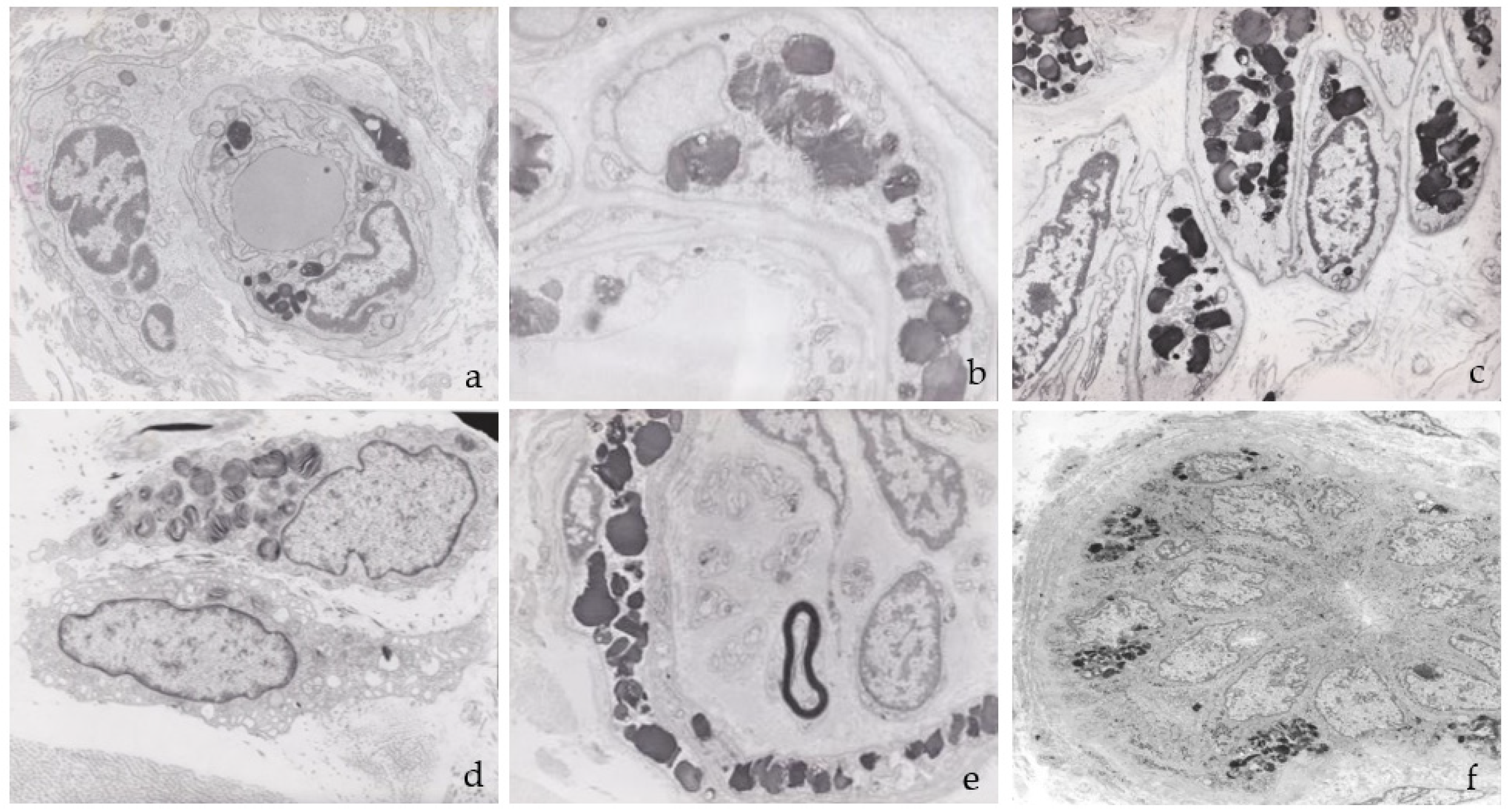
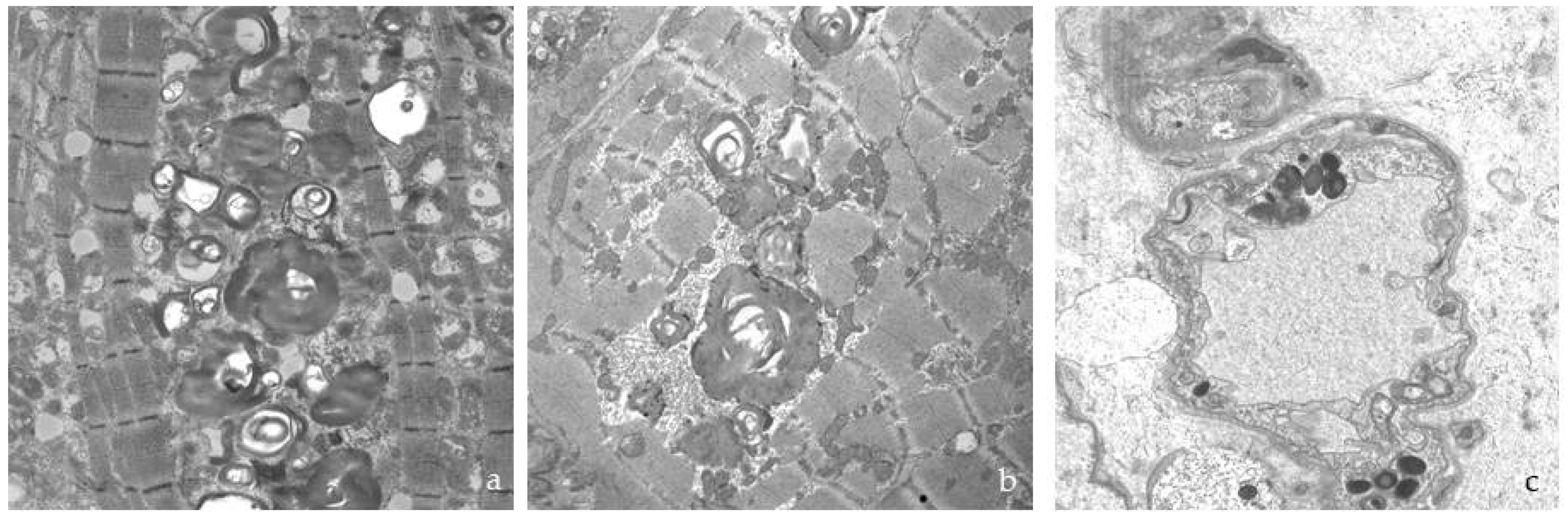
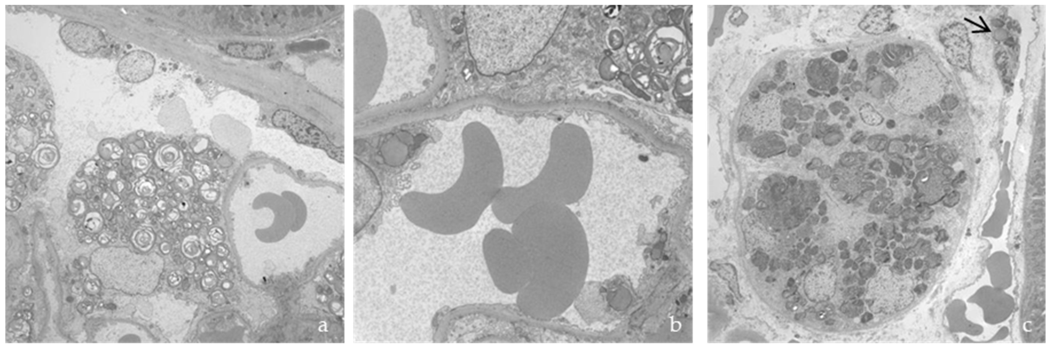
3.3. Histological and Ultrastructural Study
3.4. Direct Immunofluorescence with Gb3
3.5. Storage Quantification in Skin Biopsies
4. Discussion
Author Contributions
Funding
Institutional Review Board Statement
Informed Consent Statement
Data Availability Statement
Acknowledgments
Conflicts of Interest
References
- Schiffmann, R.; Hughes, D.A.; Linthorst, G.E.; Ortiz, A.; Svarstad, E.; Warnock, D.G.; West, M.L.; Wanner, C.; Bichet, D.G.; Christensen, E.I.; et al. Screening, diagnosis, and management of patients with Fabry disease: Conclusions from a “Kidney Disease: Improving Global Outcomes” (KDIGO) Controversies Conference. Kidney Int. 2017, 91, 284–293. [Google Scholar] [CrossRef]
- Fabry, H. Angiokeratoma corporis diffusum—Fabry disease: Historical review from the original description to the introduction of enzyme replacement therapy. Acta Paediatr. Suppl. 2002, 91, 3–5. [Google Scholar] [CrossRef]
- Zarate, Y.A.; Hopkin, R.J. Fabry’s disease. Lancet 2008, 372, 1427–1435. [Google Scholar] [CrossRef]
- Platt, F.M.; d’Azzo, A.; Davidson, B.L.; Neufeld, E.F.; Tifft, C.J. Lysosomal storage diseases. Nat. Rev. Dis. Primers 2018, 4, 27. [Google Scholar] [CrossRef] [PubMed]
- Desnick, R.J.; Ioannou, Y.A.; Eng, C.M. Alpha- Galactosidase A deficiency: Fabry disease. In The Metabolic and Molecular Bases of Inherited Diseases, 8th ed.; Criver, C.R., Beaudet, A.L., Sly, W.S., Valle, D., Eds.; McGraw-Hill: New York, NY, USA, 2001; Volume 3, pp. 3733–3774. [Google Scholar]
- Ortiz, A.; Germain, D.P.; Desnick, R.J.; Politei, J.; Mauer, M.; Burlina, A.; Eng, C.; Hopkin, R.J.; Laney, D.; Linhart, A.; et al. Fabry disease revisited: Management and treatment recommendations for adult patients. Mol. Genet. Metab. 2018, 123, 416–427. [Google Scholar] [CrossRef]
- Van der Veen, S.J.; Hollak, C.E.M.; van Kuilenburg, A.B.P.; Langeveld, M. Developments in the treatment of Fabry disease. J. Inherit. Metab. Dis. 2020, 43, 908–921. [Google Scholar] [CrossRef] [PubMed]
- Ortolano, S.; Viéitez, I.; Navarro, C.; Spuch, C. Treatment of lysosomal storage diseases: Recent patents and future strategies. Recent Pat. Endocr. Metab. Immune Drug Discov. 2014, 8, 9–25. [Google Scholar] [CrossRef]
- Chamoles, N.A.; Blanco, M.; Gaggioli, D. Fabry disease: Enzymatic diagnosis in dried blood spots on filter paper. Clin. Chim. Acta. 2001, 308, 195–196. [Google Scholar] [CrossRef]
- Colon, C.; Ortolano, S.; Melcon-Crespo, C.; Alvarez, J.V.; Lopez-Suarez, O.E.; Couce, M.L.; Fernández-Lorenzo, J.R. Newborn screening for Fabry disease in the north-west of Spain. Eur. J. Pediatr. 2017, 176, 1075–1081. [Google Scholar] [CrossRef] [PubMed]
- Vieitez, I.; Souto-Rodriguez, O.; Fernandez-Mosquera, L.; San Millan, B.; Teijeira, S.; Fernandez-Martin, J.; Martinez-Sanchez, F.; Aldamiz-Echevarria, L.J.; Lopez-Rodriguez, M.; Navarro, C.; et al. Fabry disease in the Spanish population: Observational study with detection of 77 patients. Orphanet J. Rare Dis. 2018, 13, 52. [Google Scholar] [CrossRef]
- Navarro, C.; Teijeira, S.; Dominguez, C.; Fernandez, J.M.; Rivas, E.; Fachal, C.; Barrera, S.; Rodriguez, C.; Iranzo, P. Fabry disease: An ultrastructural comparative study of skin in hemizygous and heterozygous patients. Acta Neuropathol. 2006, 111, 178–185. [Google Scholar] [CrossRef] [PubMed]
- Deegan, P.B.; Baehner, A.F.; Barba Romero, M.A.; Hughes, D.A.; Kampmann, C.; Beck, M. Natural history of Fabry disease in females in the Fabry Outcome Survey. J. Med. Genet. 2006, 43, 347–352. [Google Scholar] [CrossRef] [PubMed]
- Migeon, B.R. Why females are mosaics, X-chromosome inactivation, and sex differences in disease. Gend. Med. 2007, 4, 97–105. [Google Scholar] [CrossRef] [PubMed]
- Lyon, M.F. Gene action in the X-chromosome of the mouse (Mus musculus L.). Nature 1961, 190, 372–373. [Google Scholar] [CrossRef]
- Lyon, M.F. Sex chromatin and gene action in the mammalian X-chromosome. Am. J. Hum. Genet. 1962, 14, 135–148. [Google Scholar]
- Echevarria, L.; Benistan, K.; Toussaint, A.; Dubourg, O.; Hagege, A.A.; Eladari, D.; Jabbour, F.; Beldjord, C.; De Mazancourt, P.; Germain, D.P. X-chromosome inactivation in female patients with Fabry disease. Clin. Genet. 2016, 89, 44–54. [Google Scholar] [CrossRef]
- Pinto, L.L.; Vieira, T.A.; Giugliani, R.; Schwartz, I.V. Expression of the disease on female carriers of X-linked lysosomal disorders: A brief review. Orphanet J. Rare Dis. 2010, 5, 14. [Google Scholar] [CrossRef]
- D’Avanzo, F.; Rigon, L.; Zanetti, A.; Tomanin, R. Mucopolysaccharidosis Type II: One Hundred Years of Research, Diagnosis, and Treatment. Int. J. Mol. Sci. 2020, 21, 1258. [Google Scholar] [CrossRef]
- Thurberg, B.L.; Rennke, H.; Colvin, R.B.; Dikman, S.; Gordon, R.E.; Collins, A.B.; Desnick, R.J.; O’Callaghan, M. Globotriaosylceramide accumulation in the Fabry kidney is cleared from multiple cell types after enzyme replacement therapy. Kidney Int. 2002, 62, 1933–1946. [Google Scholar] [CrossRef]
- Schiffmann, R.; Rapkiewicz, A.; Abu-Asab, M.; Ries, M.; Askari, H.; Tsokos, M.; Quezado, M. Pathological findings in a patient with Fabry disease who died after 2.5 years of enzyme replacement. Virchows Arch. 2006, 448, 337–343. [Google Scholar] [CrossRef]
- Lenders, M.; Neußer, L.P.; Rudnicki, M.; Nordbeck, P.; Canaan-Kühl, S.; Nowak, A.; Cybulla, M.; Schmitz, B.; Lukas, J.; Wanner, C.; et al. Dose-Dependent Effect of Enzyme Replacement Therapy on Neutralizing Antidrug Antibody Titers and Clinical Outcome in Patients with Fabry Disease. J. Am. Soc. Nephrol. 2018, 29, 2879–2889. [Google Scholar] [CrossRef] [PubMed]
- Ohashi, T.; Iizuka, S.; Ida, H.; Eto, Y. Reduced alpha-Gal A enzyme activity in Fabry fibroblast cells and Fabry mice tissues induced by serum from antibody positive patients with Fabry disease. Mol. Genet. Metab. 2008, 94, 313–318. [Google Scholar] [CrossRef] [PubMed]
- Thurberg, B.L.; Randolph Byers, H.; Granter, S.R.; Phelps, R.G.; Gordon, R.E.; O’Callaghan, M. Monitoring the 3-year efficacy of enzyme replacement therapy in fabry disease by repeated skin biopsies. J. Invest. Dermatol. 2004, 122, 900–908. [Google Scholar] [CrossRef]
- Banikazemi, M.; Bultas, J.; Waldek, S.; Wilcox, W.R.; Whitley, C.B.; McDonald, M.; Finkel, R.; Packman, S.; Bichet, D.G.; Warnock, D.G.; et al. Agalsidase-beta therapy for advanced Fabry disease: A randomized trial. Ann. Intern. Med. 2007, 146, 77–86. [Google Scholar] [CrossRef]
- Mehta, A.; Beck, M.; Elliott, P.; Giugliani, R.; Linhart, A.; Sunder-Plassmann, G.; Schiffmann, R.; Barbey, F.; Ries, M.; Clarke, J.T.R. Enzyme replacement therapy with agalsidase alfa in patients with Fabry’s disease: An analysis of registry data. Lancet 2009, 374, 1986–1996. [Google Scholar] [CrossRef]
- Germain, D.P.; Elliott, P.M.; Falissard, B.; Fomin, V.V.; Hilz, M.J.; Jovanovic, A.; Kantola, I.; Linhart, A.; Mignani, R.; Namdar, M.; et al. The effect of enzyme replacement therapy on clinical outcomes in male patients with Fabry disease: A systematic literature review by a European panel of experts. Mol. Genet. Metab. Rep. 2019, 19, 100454. [Google Scholar] [CrossRef]
- Germain, D.P. Fabry disease: The need to stratify patient populations to better understand the outcome of enzyme replacement therapy. Clin. Ther. 2007, 29 (Suppl. A), S17–S18. [Google Scholar] [CrossRef]
- Vujkovac, A.C.; Vujkovac, B.; Novaković, S.; Števanec, M.; Šabovič, M. Characteristics of Vascular Phenotype in Fabry Patients. Angiology 2021, 72, 426–433. [Google Scholar] [CrossRef]
- Rolfs, A.; Böttcher, T.; Zschiesche, M.; Morris, P.; Winchester, B.; Bauer, P.; Walter, U.; Mix, E.; Löhr, M.; Harzer, K.; et al. Prevalence of Fabry disease in patients with cryptogenic stroke: A prospective study. Lancet 2005, 366, 1794–1796. [Google Scholar] [CrossRef]
- Deem, T.L.; Cook-Mills, J.M. Vascular cell adhesion molecule 1 (VCAM-1) activation of endothelial cell matrix metalloproteinases: Role of reactive oxygen species. Blood 2004, 104, 2385–2393. [Google Scholar] [CrossRef]
- Sterzel, R.B.; Lovett, D.H. Interactions of inflammatory and glomerular cells in the response to glomerular injury. In Immunopathology of Renal Disease; Wilson, C.B., Brenner, B.M., Stein, J.H., Eds.; Contemporary Issues in Nephrology; Churchill Livingstone: New York, NY, USA, 1988; Volume 18, pp. 137–173. [Google Scholar]
- Najafian, B.; Svarstad, E.; Bostad, L.; Gubler, M.C.; Tøndel, C.; Whitley, C.; Mauer, M. Progressive podocyte injury and globotriaosylceramide (GL-3) accumulation in young patients with Fabry disease. Kidney Int. 2011, 79, 663–670. [Google Scholar] [CrossRef] [PubMed]
- Kanitakis, J.; Allombert, C.; Doebelin, B.; Deroo-Berger, M.C.; Grande, S.; Blanc, S.; Claudy, A. Fucosidosis with angiokeratoma. Immunohistochemical & electronmicroscopic study of a new case and literature review. J. Cutan. Pathol. 2005, 32, 506–511. [Google Scholar]
- Nobeyama, Y.; Honda, M.; Niimura, M. A case of galactosialidosis. Br. J. Dermatol. 2003, 149, 405–409. [Google Scholar] [CrossRef] [PubMed]
- Vargas-Díez, E.; Chabás, A.; Coll, M.J.; Sánchez-Pérez, J.; García-Díez, A.; Fernández-Herrera, J.M. Angiokeratoma corporis diffusum in a Spanish patient with aspartylglucosaminuria. Br. J. Dermatol. 2002, 147, 760–764. [Google Scholar] [CrossRef]
- Beratis, N.G.; Varvarigou-Frimas, A.; Beratis, S.; Sklower, S.L. Angiokeratoma corporis diffusum in GM1 gangliosidosis, type 1. Clin. Genet. 1989, 36, 59–64. [Google Scholar] [CrossRef] [PubMed]
- Rodríguez-Serna, M.; Botella-Estrada, R.; Chabás, A.; Coll, M.J.; Oliver, V.; Febrer, M.I.; Aliaga, A. Angiokeratoma corporis diffusum associated with beta-mannosidase deficiency. Arch. Dermatol. 1996, 132, 1219–1222. [Google Scholar] [CrossRef]
- Kanzaki, T.; Yokota, M.; Irie, F.; Hirabayashi, Y.; Wang, A.M.; Desnick, R.J. Angiokeratoma corporis diffusum with glycopeptiduria due to deficient lysosomal alpha-N-acetylgalactosaminidase activity. Clinical, morphologic, and biochemical studies. Arch. Dermatol. 1993, 129, 460–465. [Google Scholar] [CrossRef]
- Yamamoto, K.; Sobue, G.; Iwase, S.; Kumazawa, K.; Mitsuma, T.; Mano, T. Possible mechanism of anhidrosis in a symptomatic female carrier of Fabry’s disease: An assessment by skin sympathetic nerve activity and sympathetic skin response. Clin. Auton. Res. 1996, 6, 107–110. [Google Scholar] [CrossRef]
- Lao, L.-M.; Kumakiri, M.; Mima, H.; Kuwahara, H.; Ishida, H.; Ishiguro, K.; Fujita, T.; Ueda, K. The ultrastructural characteristics of eccrine sweat glands in a Fabry disease patient with hypohidrosis. J. Dermatol. Sci. 1998, 18, 109–117. [Google Scholar] [CrossRef]
- Hilz, M.J.; Stemper, B.; Kolodny, E.H. Lower limb cold exposure induces pain and prolonged small fiber dysfunction in Fabry patients. Pain 2000, 84, 361–365. [Google Scholar] [CrossRef]
- Steward, V.W.; Hitchcock, C. Fabry’s disease (angiokeratoma corporis diffusum). A report of 5 cases with pain in the extremities as the chief symptom. Pathol. Eur. 1968, 3, 377–388. [Google Scholar]
- Gadoth, N.; Sandbank, U. Involvement of dorsal root ganglia in Fabry’s disease. J. Med. Genet. 1983, 20, 309–312. [Google Scholar] [CrossRef]
- Elleder, M.; Poupĕtová, H.; Kozich, V. Fetal pathology in Fabry’s disease and mucopolysaccharidosis type I. Cesk. Patol. 1998, 34, 7–12. [Google Scholar]
- Desnick, R.J.; Allen, K.Y.; Desnick, S.J.; Raman, M.K.; Bernlohr, R.W.; Krivit, W. Fabry’s disease: Enzymatic diagnosis of hemizygotes and heterozygotes. Alpha-galactosidase activities in plasma, serum, urine, and leukocytes. J. Lab. Clin. Med. 1973, 81, 157–171. [Google Scholar] [PubMed]
- Tsutsumi, O.; Sato, M.; Sato, K.; Sato, K.; Mizuno, M.; Sakamoto, S. Early prenatal diagnosis of inborn error of metabolism: A case report of a fetus affected with Fabry’s disease. Asia Ocean. J. Obstet. Gynaecol. 1985, 11, 39–45. [Google Scholar] [CrossRef]
- Tondeur, M.; Résibois, A. Fabry’s disease in children. An electron microscopic study. Virchows Arch. B Cell Pathol. 1969, 2, 239–254. [Google Scholar] [CrossRef]
- Malouf, M.; Kirkman, H.; Buchanan, P. Ultrastructure changes in antenatal Fabry’s disease. Am. J. Pathol. 1976, 82, 13a. [Google Scholar]
- Breathnach, S.M.; Black, M.M.; Wallace, H.J. Anderson-Fabry disease. Characteristic ultrastructural features in cutaneous blood vessels in a 1-year-old boy. Br. J. Dermatol. 1980, 103, 81–84. [Google Scholar] [CrossRef] [PubMed]
- San Millan, B.; Teijeira, S.; Domínguez, C.; Vieitez, I.; Navarro, C. Chorionic villi ultrastructure in the prenatal diagnosis of glycogenosis type II. J. Inherit. Metab. Dis. 2010, 33 (Suppl. S3), S105–S111. [Google Scholar] [CrossRef]
- Navarro, C.; Teijeira, S.; Ortolano, S.; Fernandez, J.M.; Millan, B.S.; Fachal, C.; Allegue, F.; Barrera, S. Histopathology of Skin in Fabry Disease. In Fabry Disease; Elstein, D., Altarescu, G., Beck, M., Eds.; Springer: Berlin/Heidelberg, Germany, 2010; pp. 275–292. [Google Scholar]
- Papa, V.; Tarantino, L.; Preda, P.; Badiali De Giorgi, L.; Fanin, M.; Pegoraro, E.; Angelini, C.; Cenacchi, G. The role of ultrastructural examination in storage diseases. Ultrastruct. Pathol. 2010, 34, 243–251. [Google Scholar] [CrossRef]
- García-Estévez, D.A.; Barros-Angueira, F.; Navarro, C. CADASIL: Brief report on a family with a new p.G296C mutation in exon 6 of the Notch-3 gene. Rev. Neurol. 2010, 51, 729–732. [Google Scholar]
- Rodríguez-Marí, A.; Coll, M.J.; Chabás, A. Molecular analysis in Fabry disease in Spain: Fifteen novel GLA mutations and identification of a homozygous female. Hum. Mutat. 2003, 22, 258. [Google Scholar] [CrossRef]
- Ballabio, A.; Bonifacino, J.S. Lysosomes as dynamic regulators of cell and organismal homeostasis. Nat. Rev. Mol. Cell Biol. 2020, 21, 101–118. [Google Scholar] [CrossRef] [PubMed]
- Oliveira, J.P.; Ferreira, S. Multiple phenotypic domains of Fabry disease and their relevance for establishing genotype- phenotype correlations. Appl. Clin. Genet. 2019, 12, 35–50. [Google Scholar] [CrossRef] [PubMed]
- Messinger, Y.H.; Mendelsohn, N.J.; Rhead, W.; Dimmock, D.; Hershkovitz, E.; Champion, M.; Jones, S.A.; Olson, R.; White, A.; Wells, C.; et al. Successful immune tolerance induction to enzyme replacement therapy in CRIM-negative infantile Pompe disease. Genet. Med. 2012, 14, 135–142. [Google Scholar] [CrossRef] [PubMed]










| Men | Women | |
|---|---|---|
| Angiokeratoma | 3/4 (75%) | 2/8 (25%) |
| Coarse facial features | 4/4 (100%) | 1/8 (12.5%) |
| Acroparesthesias | 0/4 (0%) | 3/8 (37.5%) |
| Pain crisis | 2/4 (50%) | 0/8 (0%) |
| Cornea verticillata | 1/4 (25%) | 1/8 (12.5%) |
| LVH | 2/4 (50%) | 2/8 (25%) |
| Proteinuria | 3/4 (75%) | 1/4 (25%) |
| Dyslipidaemia | 1/4 (25%) | 4/8 (50%) |
| Abdominal pain | 1/4 (25%) | 5/8 (62.5%) |
| Psychiatric symptoms | 1/4 (25%) | 4/8 (50%) |
| White matter abnormalities (MRI) | 1/4 (25%) | 1/8 (12.5%) |
| Lymphedema | 3/4 (75%) | 1/8 (12.5%) |
| Case | Sex | AGAL Activity (µmol/L·h) * |
|---|---|---|
| IV.5 | F | 2.4 ± 0.12 |
| IV.6 | F | 3.4 ± 0.32 |
| IV.14 | F | 2.66 ± 0.48 |
| IV.17 | M | 1.42 ± 0.07 |
| IV.18 | F | 2.03± 0.54 |
| V.1 | F | 1.82 ± 0.99 |
| V.2 | F | 2.5 ± 0.42 |
| V.4 | M | 0.75 ± 0.11 |
| V.5 | M | 0.96 ± 0.05 |
| V.6 | M | 0.87 ± 0.12 |
| V.9 | F | 2.43 ± 0.27 |
Disclaimer/Publisher’s Note: The statements, opinions and data contained in all publications are solely those of the individual author(s) and contributor(s) and not of MDPI and/or the editor(s). MDPI and/or the editor(s) disclaim responsibility for any injury to people or property resulting from any ideas, methods, instructions or products referred to in the content. |
© 2023 by the authors. Licensee MDPI, Basel, Switzerland. This article is an open access article distributed under the terms and conditions of the Creative Commons Attribution (CC BY) license (https://creativecommons.org/licenses/by/4.0/).
Share and Cite
San Millán-Tejado, B.; Navarro, C.; Fernández-Martín, J.; Rivera, A.; Viéitez, I.; Teijeira, S.; Ortolano, S. Morphological Hallmarks of Classical Fabry Disease: An Ultrastructural Study in a Large Spanish Family. J. Clin. Med. 2023, 12, 5689. https://doi.org/10.3390/jcm12175689
San Millán-Tejado B, Navarro C, Fernández-Martín J, Rivera A, Viéitez I, Teijeira S, Ortolano S. Morphological Hallmarks of Classical Fabry Disease: An Ultrastructural Study in a Large Spanish Family. Journal of Clinical Medicine. 2023; 12(17):5689. https://doi.org/10.3390/jcm12175689
Chicago/Turabian StyleSan Millán-Tejado, Beatriz, Carmen Navarro, Julián Fernández-Martín, Alberto Rivera, Irene Viéitez, Susana Teijeira, and Saida Ortolano. 2023. "Morphological Hallmarks of Classical Fabry Disease: An Ultrastructural Study in a Large Spanish Family" Journal of Clinical Medicine 12, no. 17: 5689. https://doi.org/10.3390/jcm12175689
APA StyleSan Millán-Tejado, B., Navarro, C., Fernández-Martín, J., Rivera, A., Viéitez, I., Teijeira, S., & Ortolano, S. (2023). Morphological Hallmarks of Classical Fabry Disease: An Ultrastructural Study in a Large Spanish Family. Journal of Clinical Medicine, 12(17), 5689. https://doi.org/10.3390/jcm12175689

