Minimally-Invasive Diaphragmatic Plication in Patients with Unilateral Diaphragmatic Paralysis
Abstract
1. Introduction
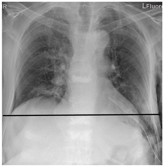
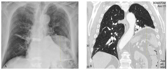
2. Patients and Methods
2.1. Data Collection
2.2. Surgical Procedure
2.3. Statistical Analysis
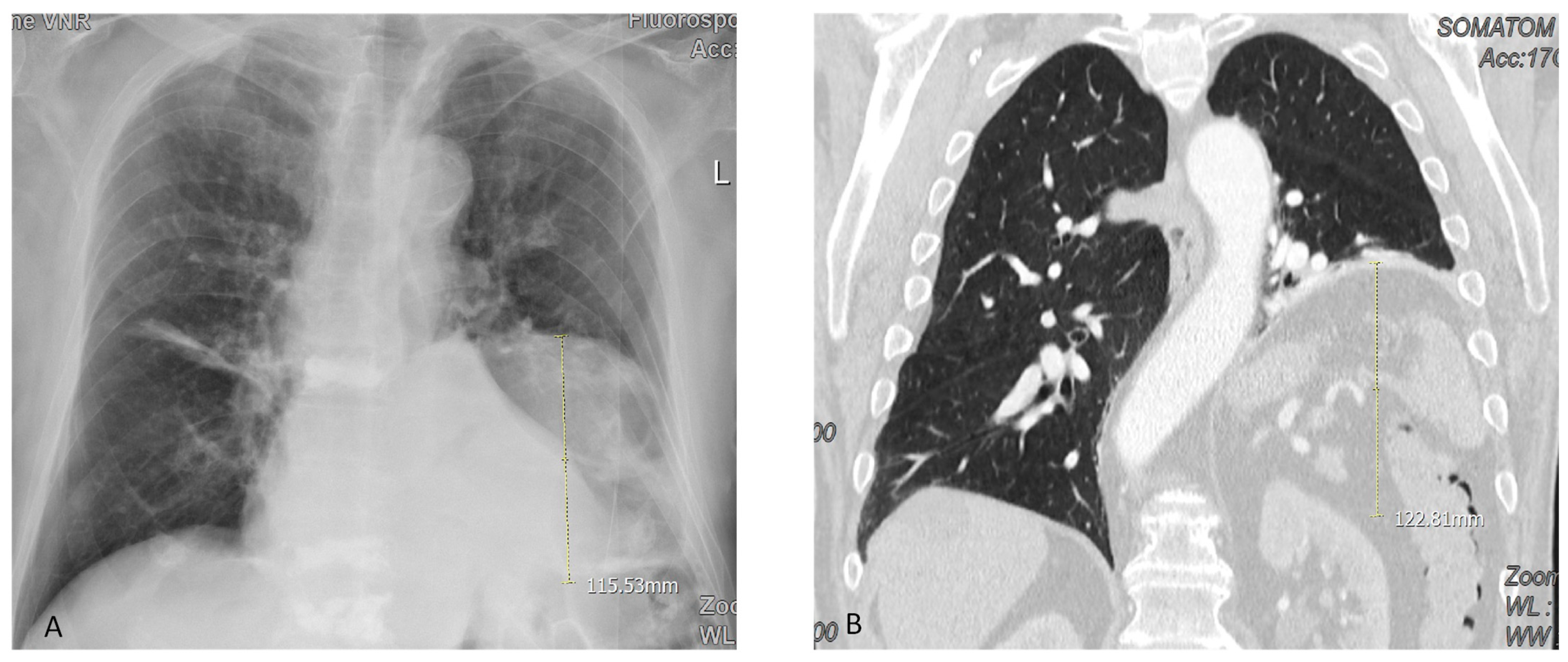
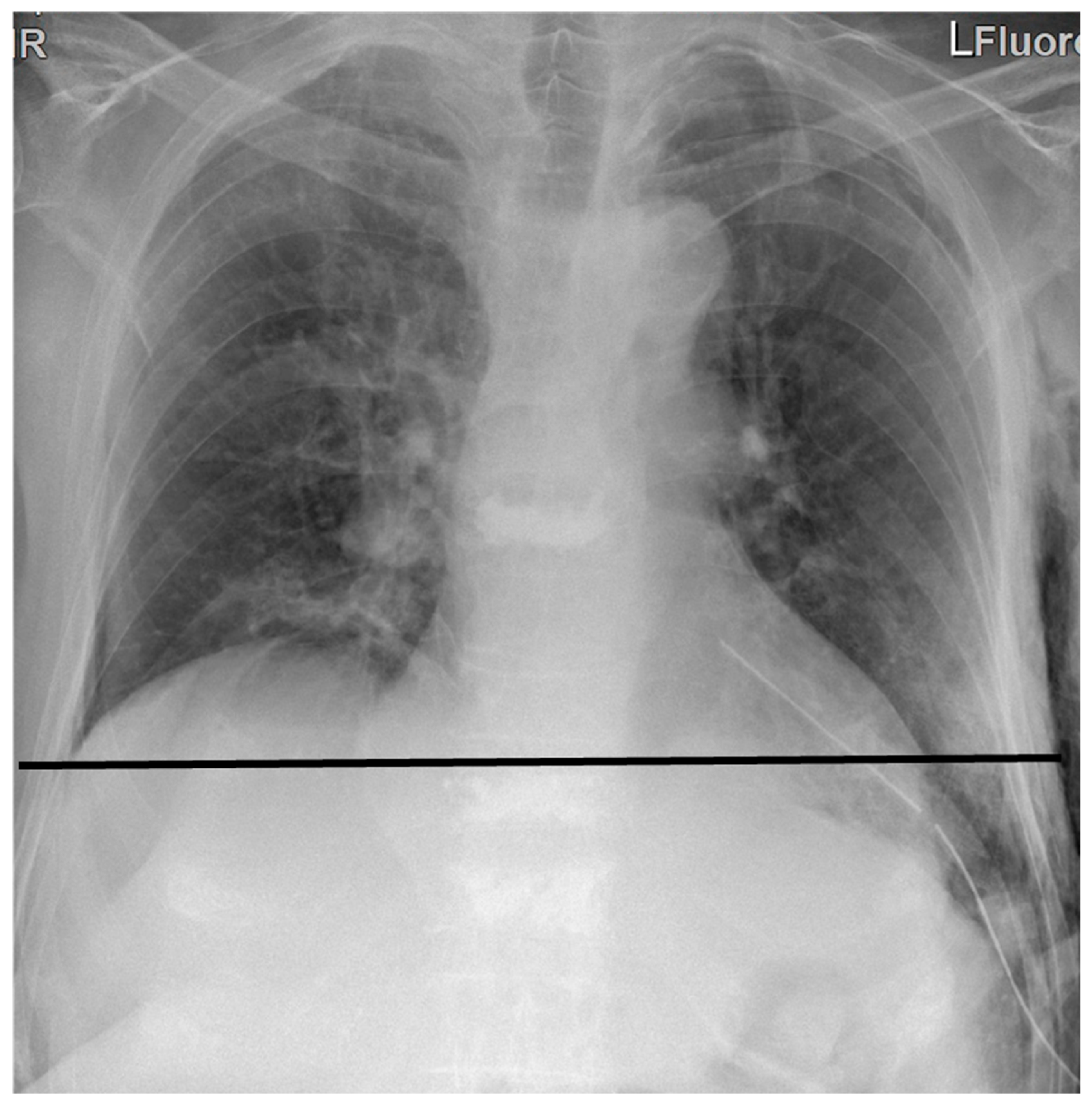
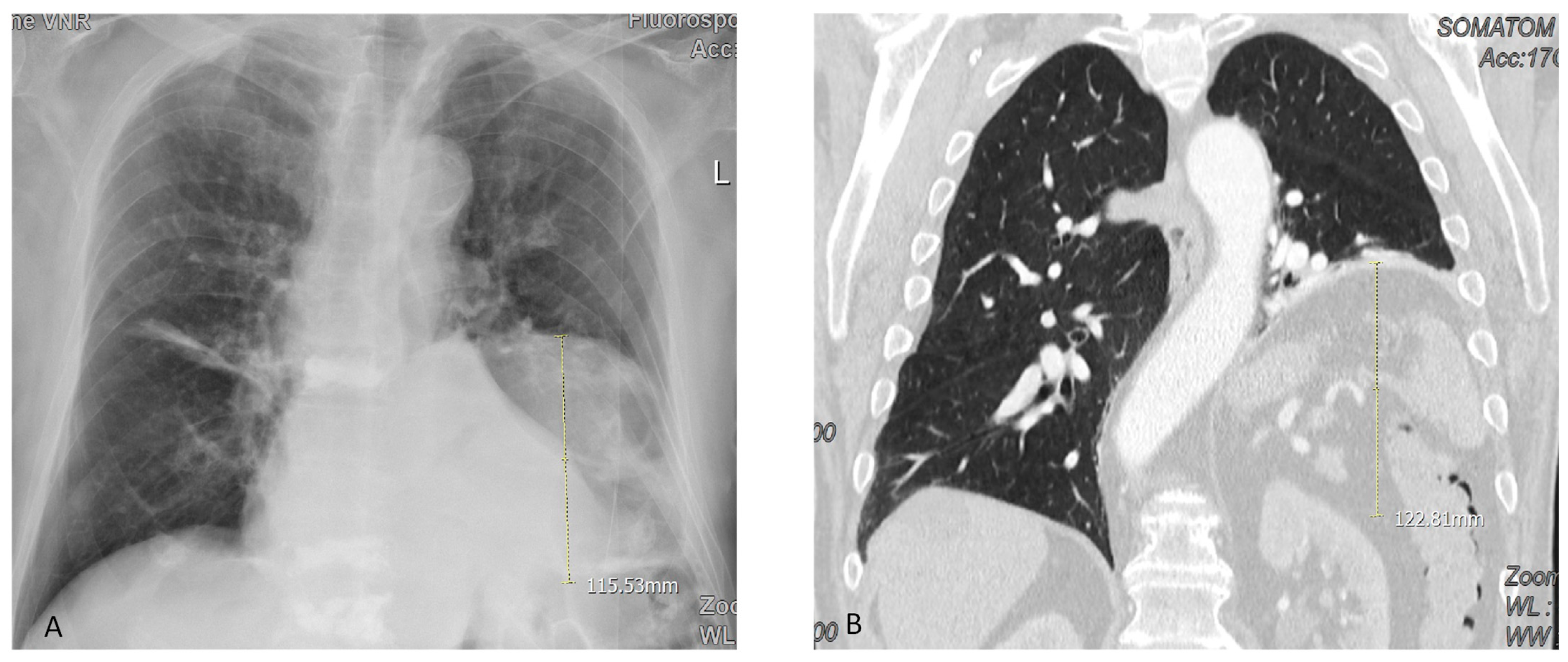
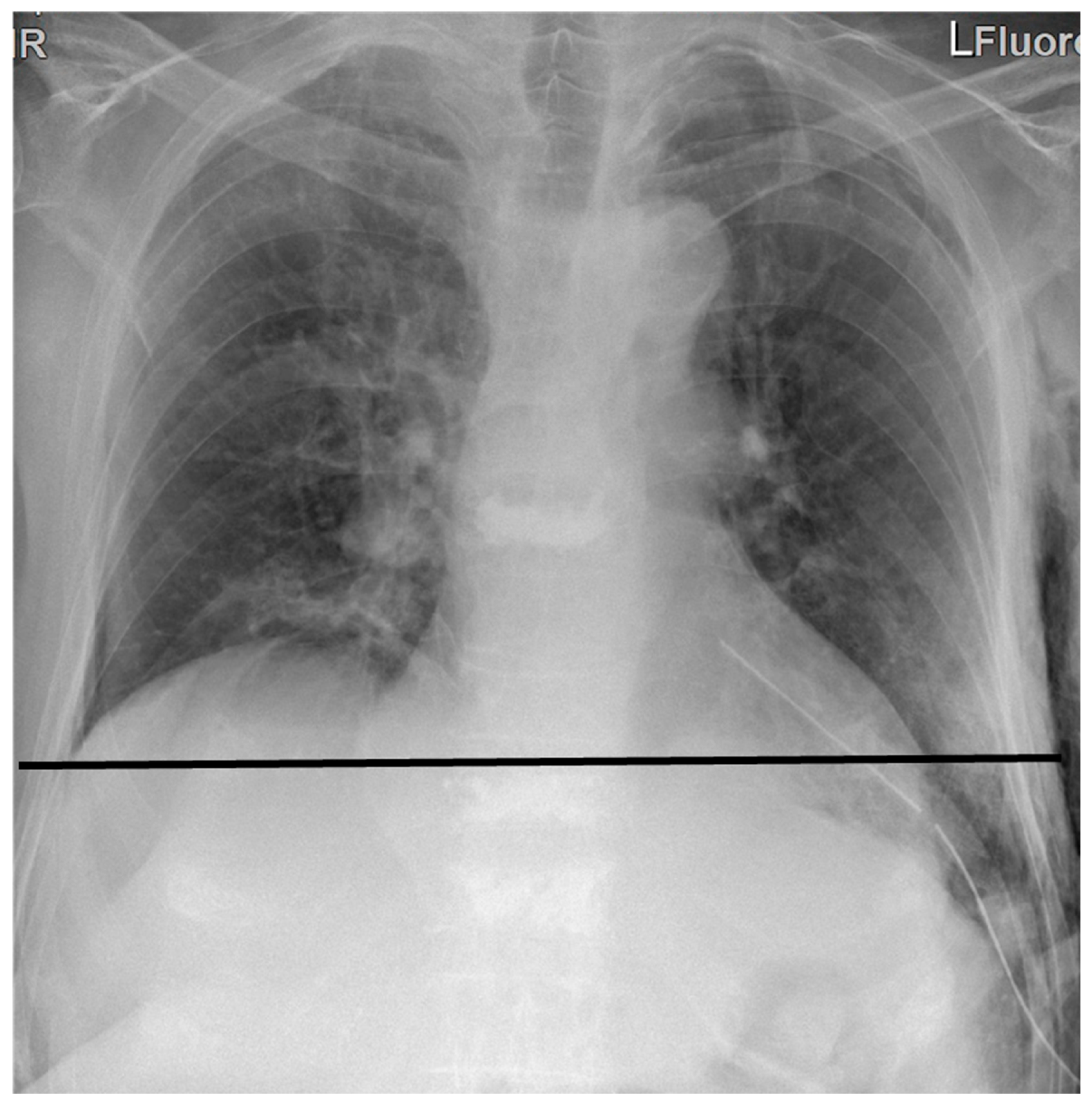
3. Results
4. Discussion
5. Conclusions
Supplementary Materials
Author Contributions
Funding
Institutional Review Board Statement
Informed Consent Statement
Data Availability Statement
Conflicts of Interest
Abbreviations
| DE | diaphragmatic eventration |
| DP | Diaphragmatic plication |
| UDP | unilateral diaphragmatic paralysis |
| VATS | video-assisted thoracic surgery |
| UVATS | uni portal video-assisted thoracic surgery |
| EDC | epidural catheter |
| FVC | forced vital capacity |
| FEV1 | forced expiratory volume in 1 s |
| DLCO | diffusion capacity of carbon monoxide |
| UDE | Unilateral diaphragmatic eventration |
| CXR | chest X-ray |
| US | ultrasound |
| COPD | chronic obstructive lung disease |
| ASA | American Society of Anesthesiologists |
| MRC | Medical Research Council |
References
- Nathani, N.; Iles, P.B. Acute respiratory failure with an abnormal chest radiograph. Respiration 2005, 72, 205–209. [Google Scholar] [CrossRef] [PubMed]
- Onders, P.R. Physiology of the Diaphragm and Surgical Approaches to the Paralyzed Diaphragm. In Shields′ Textbook of General Thoracic Surgery, 8th ed.; LoCicero, J., III, Feins, R.H., Colson, Y.L., Rocco, G., Eds.; Wolters Kluwer: Alphen am Rhine, The Netherlands, 2019; pp. 1383–1398. [Google Scholar]
- Mouroux, J.; Venissac, N.; Leo, F.; Alifano, M.; Guillot, F. Surgical treatment of diaphragmatic eventration using video-assisted thoracic surgery: A prospective study. Ann. Thorac. Surg. 2005, 79, 308–312. [Google Scholar] [CrossRef] [PubMed]
- Gazala, S.; Hunt, I.; Bédard, E.L. Diaphragmatic plication offers functional improvement in dyspnoea and better pulmonary function with low morbidity. Interact. Cardiovasc. Thorac. Surg. 2012, 15, 505–508. [Google Scholar] [CrossRef]
- Ridyard, J.B.; Stewart, R.M. Regional lung function in unilateral diaphragmatic paralysis. Thorax 1976, 31, 438–442. [Google Scholar] [CrossRef] [PubMed]
- Efthimiou, J.; Butler, J.; Benson, M.K.; Westaby, S. Bilateral diaphragm paralysis after cardiac surgery with topical hypothermia. Ann. Thorac. Surg. 1991, 52, 1005–1008. [Google Scholar] [CrossRef]
- Gatzinsky, P.; Lepore, V. Surgical treatment of a large eventration of the left diaphragm. Eur. J. Cardiothorac. Surg. 1993, 7, 271–274. [Google Scholar] [CrossRef] [PubMed]
- Elshafie, G.; Acosta, J.; Aliverti, A.; Bradley, A.; Kumar, P.; Rajesh, P.; Naidu, B. Chest wall mechanics before and after diaphragm plication. J. Cardiothorac. Surg. 2016, 11, 25. [Google Scholar] [CrossRef]
- Gruber, P.J. Diaphragm plication: When and why to do it. J. Thorac. Cardiovasc. Surg. 2017, 154, 1712–1713. [Google Scholar] [CrossRef][Green Version]
- Groth, S.S.; Andrade, R.S. Diaphragm plication for eventration or paralysis: A review of the literature. Ann. Thorac. Surg. 2010, 89, 2146–2150. [Google Scholar] [CrossRef]
- Versteegh, M.I.; Braun, J.; Voigt, P.G.; Bosman, D.B.; Stolk, J.; Rabe, K.F.; Dion, R.A. Diaphragm plication in adult patients with diaphragm paralysis leads to long-term improvement of pulmonary function and level of dyspnea. Eur. J. Cardiothorac. Surg. 2007, 32, 449–456. [Google Scholar] [CrossRef] [PubMed]
- Wright, C.D.; Williams, J.G.; Ogilvie, C.M.; Donnelly, R.J. Results of diaphragmatic plication for unilateral diaphragmatic paralysis. J. Thorac. Cardiovasc. Surg. 1985, 90, 195–198. [Google Scholar] [CrossRef] [PubMed]
- Demos, D.S.; Berry, M.F.; Backhus, L.M.; Shrager, J.B. Video-assisted thoracoscopic diaphragm plication using a running suture technique is durable and effective. J. Thorac. Cardiovasc. Surg. 2017, 153, 1182–1188. [Google Scholar] [CrossRef]
- Celik, S.; Celik, M.; Aydemir, B.; Tunckaya, C.; Okay, T.; Dogusoy, I. Long-term results of diaphragmatic plication in adults with unilateral diaphragm paralysis. J. Cardiothorac. Surg. 2010, 5, 111. [Google Scholar] [CrossRef]
- Nardini, M.; Jayakumar, S.; Migliore, M.; Nosotti, M.; Paul, I.; Dunning, J. Minimally Invasive Plication of the Diaphragm: A Single-Center Prospective Study. Innovations 2021, 16, 343–349. [Google Scholar] [CrossRef] [PubMed]
- Clague, H.W.; Hall, D.R. Effect of posture on lung volume: Airway closure and gas exchange in hemidiaphragmatic paralysis. Thorax 1979, 34, 523–526. [Google Scholar] [CrossRef]
- Gibson, G. Diaphragmatic paresis: Pathophysiology, clinical features, and investigation. Thorax 1989, 44, 960–970. [Google Scholar] [CrossRef] [PubMed]
- Ko, M.A.; Darling, G.E. Acquired paralysis of the diaphragm. Thorac. Surg. Clin. 2009, 19, 501–510. [Google Scholar] [CrossRef]
- LoMauro, A.; Aliverti, A.; Perchiazzi, G.; Frykholm, P.J. Physiological changes and compensatory mechanisms by the action of respiratory muscles in a porcine model of phrenic nerve injury. Appl. Physiol. (1985) 2021, 130, 813–826. [Google Scholar] [CrossRef]
- Laroche, C.M.; Carroll, N.; Moxham, J.; Green, M. Clinical significance of severe isolated diaphragm weakness. Am. Rev. Respir. Dis. 1988, 138, 862–866. [Google Scholar] [CrossRef] [PubMed]
- Ricoy, J.; Rodríguez-Núñez, N.; Álvarez-Dobaño, J.M.; Toubes, M.E.; Riveiro, V.; Valdés, L. Diaphragmatic dysfunction. Pulmonology 2019, 25, 223–235. [Google Scholar] [CrossRef]
- Podgaetz, E.; Garza-Castillon, R.; Andrade, R.S. Best approach and benefit of plication for paralyzed diaphragm. Thorac. Surg. Clin. 2016, 26, 333–346. [Google Scholar] [CrossRef] [PubMed]
- Moon, S.W.; Wang, Y.P.; Kim, Y.W.; Shin, S.B.; Jin, W. Thoracoscopic plication of diaphragmatic eventration using endostapplers. Ann. Thorac. Surg. 2000, 70, 299–300. [Google Scholar] [CrossRef]
- Abraham, M.K.; Menon, S.S.; Bindumole, P.S. Thoracoscopic repair of eventration of diaphragm. Indian. Pediatr. 2003, 40, 1088–1089. [Google Scholar] [PubMed]
- Beshay, M.; Krüger, M.; Singh, K.; Borgstedt, R.; Benhidjeb, T.; Bölke, E.; Vordemvenne, T.; Schulte Am Esch, J. Grave thoraco-intestinal complication secondary to an undetected traumatic rupture of the diaphragm: A case report. Eur. J. Med. Res. 2021, 26, 19. [Google Scholar] [CrossRef] [PubMed]
- Mouroux, J.; Padovani, B.; Poirier, N.C.; Benchimol, D.; Bourgeon, A.; Deslauriers, J.; Richelme, H. Technique for the repair of diaphragmatic eventration. Ann. Thorac. Surg. 1996, 62, 905–907. [Google Scholar] [CrossRef] [PubMed]
- Graham, D.R.; Kaplan, D.; Evans, C.C.; Hind, C.R.; Donnelly, R.J. Diaphragmatic plication for unilateral diaphragmatic paralysis: A 10-year experience. Ann. Thorac. Surg. 1990, 49, 248–251, discussion 252. [Google Scholar] [CrossRef]
- Ribet, M.; Linder, J.L. Plication of the diaphragm for unilateral eventration or paralysis. Eur. J. Cardiothorac. Surg. 1992, 6, 357–360. [Google Scholar] [CrossRef]
- Higgs, S.M.; Hussain, A.; Jackson, M.; Donnelly, R.J.; Berrisford, R.G. Long term results of diaphragmatic plication for unilateral diaphragm paralysis. Eur. J. Cardiothorac. Surg. 2002, 21, 294–297. [Google Scholar] [CrossRef]
- Freeman, R.K.; Van Woerkom, J.; Vyverberg, A.; Ascioti, A.J. Long-term follow-up of the functional and physiologic results of diaphragm plication in adults with unilateral diaphragm paralysis. Ann. Thorac. Surg. 2009, 88, 1112–1117. [Google Scholar] [CrossRef] [PubMed]
- Calvinho, P.; Bastos, C.; Bernardo, J.E.; Eugénio, L.; Antunes, M.J. Diaphragmatic eventration: Long-term follow-up and results of open-chest plicature. Eur. J. Cardiothorac. Surg. 2009, 36, 883–887. [Google Scholar] [CrossRef]
- Özkan, S.; Yazici, Ü.; Aydin, E.; Karaoğlanoğlu, N. Is surgical plication necessary in diaphragm eventration? Asian J. Surg. 2016, 39, 59–65. [Google Scholar] [CrossRef]





| Description | Grade |
|---|---|
| I only get breathless with strenuous exercise | 0 |
| I get short of breath when hurrying on level ground or walking up a slight hill | 1 |
| On level ground, I walk slower than people of my age because of breathlessness, or I have to stop for breath when walking at my own pace on the level | 2 |
| I stop for breath after walking about 100 yards or after a few minutes on level ground | 3 |
| I am too breathless to leave the house or I am breathless when dressing/undressing | 4 |
| Characteristics | n | % | P |
|---|---|---|---|
| Cause: | |||
| Idiopathic | 99 | 74 | 0.039 |
| Trauma: | 15 | 13 | |
| ● blunt thoracic trauma | 4 | 3 | |
| ● blunt cervical trauma | 11 | 8 | |
| Iatrogenic: | 17 | 13 | |
| ● Cryoablation | 9 | 7 | |
| ● Cardiac surgery | 5 | 4 | |
| ● Thoracic surgery | 3 | 2 | |
| Cervical spondylosis | 2 | 1 | |
| ● Lung functions: | 126 | 94 | |
| ● Restrictive values | 86 | 64 | 0.053 |
| ● Obstructive values | 12 | 9 | |
| ● Combined values | 40 | 35 | |
| ● No lung function done | 8 | 6 | |
| ABG-Analysis: | 134 | 100 | |
| ● Good (O2 > 70 mmHg, CO2 < 45 mmHg) | 102 | 76 | |
| ● Intermediate (O2 65–70 mmHg, CO2 45–50 mmHg) | 18 | 13 | |
| ● Bad (O2 < 65 mmHg, CO2 > 50 mmHg) | 14 | 10 | |
| Sniff test results: | 131 | 98 | |
| ● Paradoxical motion | 127 | 94 | 0.004 |
| ● Reduced contractility | 4 | 3 | |
| ● Eventration only | 6 | 4 | |
| Patient Characteristics | Results | P |
|---|---|---|
| Age years (mean ± SD) | 64 ± 14 years | |
| Gender | ||
| -Male | 104 | 0.021 |
| -Female | 30 | |
| Race n (%) | ||
| -Caucasian | 128 (97%) | 0.001 |
| -Hispanic | 6 (3%) | |
| Smoking status n (%) | ||
| -Never smoker | 14 (16%) | 0.003 |
| -Smoker/previous smoker | 120 (85%) | |
| Side | ||
| -Left | 79 (59%) | 0.54 |
| -Right | 55 (39%) | 0.62 |
| Comorbidities | ||
| -Diabetes | 15 (11%) | 0.41 |
| -COPD | 48 (36%) | 0.62 |
| -Hypertension | 32 (24%) | 0.52 |
| -Corornary artery disease | 27 (20%) | 0.57 |
| ASA Classification | ||
| -ASA 1 | 88 | 0.03 |
| -ASA 2 | 32 | 0.01 |
| -ASA 3 | 1 | 0.002 |
| Height of diaphragm om the X-ray (cm) | 8 ± 4 | 0.018 |
| Dyspnea scale (MRC) Grade n (%) | ||
| 2 8 (7.5%) | ||
| 3 109 (70%) | ||
| 4 17 (22.5%) | ||
| Characteristics | n | % | P |
|---|---|---|---|
| Length of the whole procedure (minutes) | 0.016 | ||
| Group I | 135.2 (SD ±48.5) | ||
| Group II | 98.2 (SD ± 36.2) | ||
| Length of the operative time (minutes) | 0.031 | ||
| Group I | 62.2 (SD ± 41.6) | ||
| Group II | 51.2 (SD ± 32.4) | ||
| Epidural Catheter | 40 | 30 | |
| Group I | 38 | 0.001 | |
| Group II | 2 | ||
| Type of incision: | |||
| Lateral thoracotomy | 42 | 31 | |
| Posterolateral thoracotomy | 4 | 3 | |
| 3 ports VATS | 81 | 60 | |
| UVATS | 7 | 5 | |
| Conversion from VATS to thoracotomy | 2 | 1.4 | |
| Type of sutures | 0.001 | ||
| One layer U-Sutures | 1 0.7 | ||
| One layer continuos suture | 9 | 7 | |
| Two layers (interrupted and running) 124 92 | 124 | 92 | |
| Intraoperative complications | |||
| Bleeding | 1 | 0.7 | |
| Lung injury | 1 0.7 | ||
| Injury to abdominal structures | 0 | 0 | |
| Blood transfusion | 0 | 0 | |
| Duration of chest tube | 0.062 | ||
| Group I | 3 | ||
| Group II | 2 |
| Characteristics | n | % | P |
|---|---|---|---|
| Position of the plicated diaphragm on X-ray | 0.001 | ||
| Excellent (diaphragm reaches its original position) | 125 | 93 | |
| Satisfactory (2–3 cm higher than the original position) | 9 | 7 | |
| Complications | 7 | 5 | 0.021 |
| Abdominal | |||
| Discomfort | 4 | 3 | |
| Vomiting | 1 | 0.7 | |
| Obstipation | 3 | 2 | |
| Respiratory | |||
| Atelectasis | 0 | 0 | |
| Pneumonia | 1 | 0.7 | |
| Air leakage | 2 | 1.4 | |
| Wound infection | |||
| Superficial | 1 | 0.7 | |
| Deep | 0 | 0 | |
| Length of hospital time | 5 (SD ± 3.2) | 0.036 | |
| Group I | 7 (SD ± 4.5) | ||
| Group II | 4.5 (SD ± 3.2) | ||
| Symptoms at discharge | 0.003 | ||
| Group I | 2 | 1.4 | |
| Group II | 0 0 | ||
| Chronic Pain | 0.014 | ||
| Group I 6 | 4 | ||
| Group II 2 | 1.4 |
Disclaimer/Publisher’s Note: The statements, opinions and data contained in all publications are solely those of the individual author(s) and contributor(s) and not of MDPI and/or the editor(s). MDPI and/or the editor(s) disclaim responsibility for any injury to people or property resulting from any ideas, methods, instructions or products referred to in the content. |
© 2023 by the authors. Licensee MDPI, Basel, Switzerland. This article is an open access article distributed under the terms and conditions of the Creative Commons Attribution (CC BY) license (https://creativecommons.org/licenses/by/4.0/).
Share and Cite
Beshay, M.; Abdel Bary, M.; Kösek, V.; Vordemvenne, T.; Mertzlufft, F.; Schulte am Esch, J. Minimally-Invasive Diaphragmatic Plication in Patients with Unilateral Diaphragmatic Paralysis. J. Clin. Med. 2023, 12, 5301. https://doi.org/10.3390/jcm12165301
Beshay M, Abdel Bary M, Kösek V, Vordemvenne T, Mertzlufft F, Schulte am Esch J. Minimally-Invasive Diaphragmatic Plication in Patients with Unilateral Diaphragmatic Paralysis. Journal of Clinical Medicine. 2023; 12(16):5301. https://doi.org/10.3390/jcm12165301
Chicago/Turabian StyleBeshay, Morris, Mohamed Abdel Bary, Volkan Kösek, Thomas Vordemvenne, Fritz Mertzlufft, and Jan Schulte am Esch. 2023. "Minimally-Invasive Diaphragmatic Plication in Patients with Unilateral Diaphragmatic Paralysis" Journal of Clinical Medicine 12, no. 16: 5301. https://doi.org/10.3390/jcm12165301
APA StyleBeshay, M., Abdel Bary, M., Kösek, V., Vordemvenne, T., Mertzlufft, F., & Schulte am Esch, J. (2023). Minimally-Invasive Diaphragmatic Plication in Patients with Unilateral Diaphragmatic Paralysis. Journal of Clinical Medicine, 12(16), 5301. https://doi.org/10.3390/jcm12165301

