Interventional Radiology for High-Flow Aneurysm of the Pancreaticoduodenal Arcades with Median Arcuate Ligament Syndrome: Review of 14 Patients
Abstract
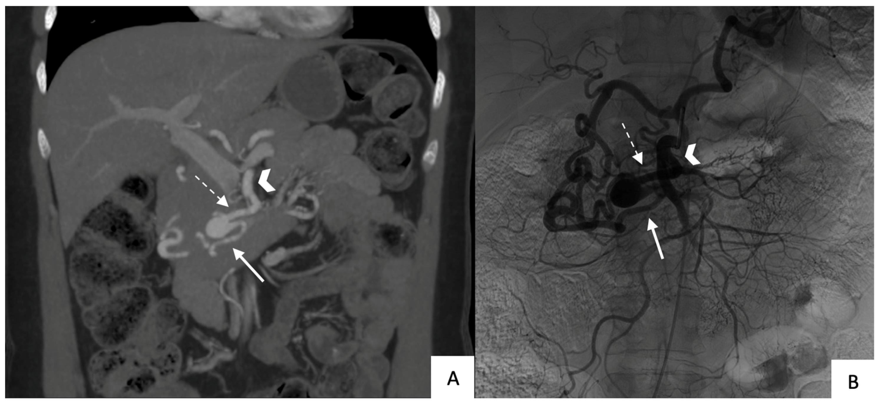
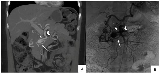
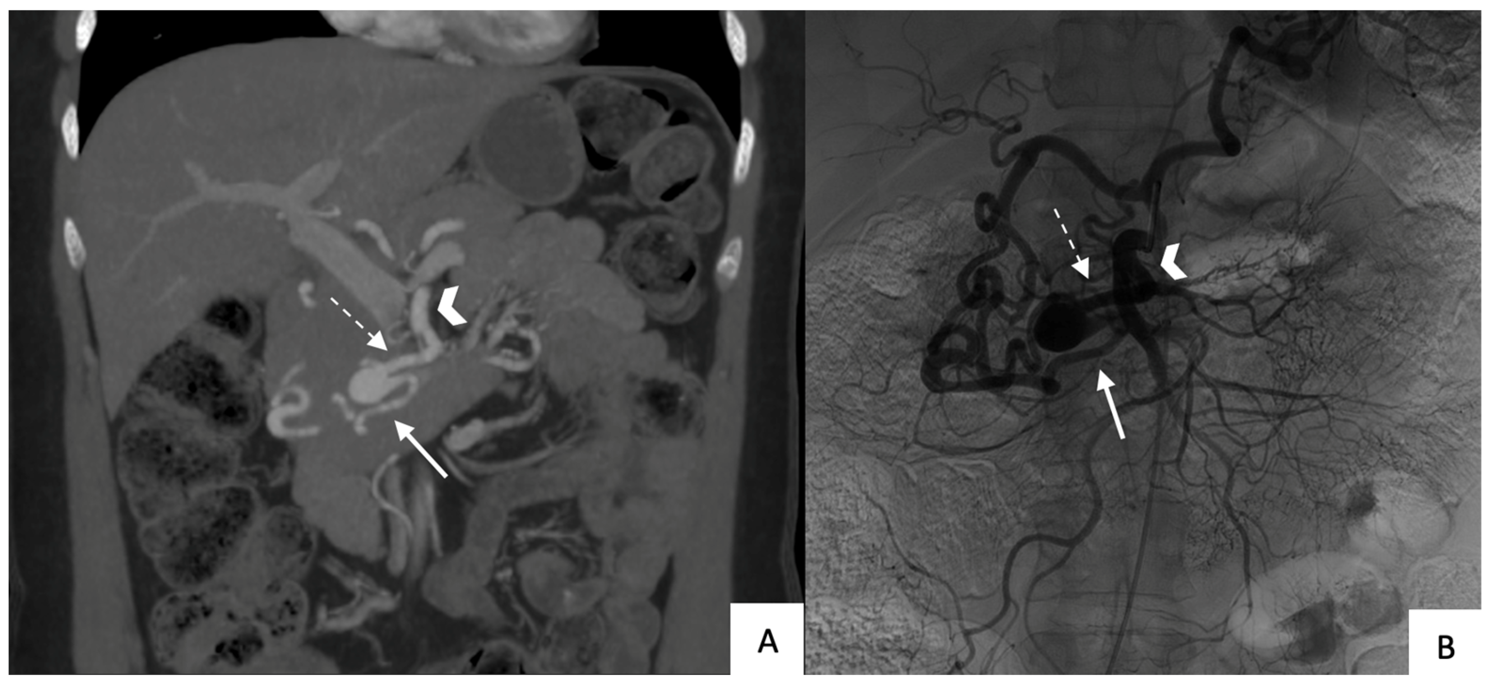
1. Introduction
2. Materials and Methods
2.1. Population
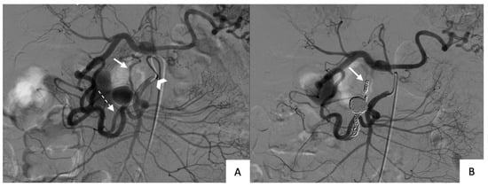
2.2. The Transcatheter Arterial Embolization Procedure
2.3. Outcomes and Follow-Up
2.4. Data Analysis
3. Results
3.1. Study Population
3.2. Transcatheter Arterial Embolization
3.3. Outcomes
3.3.1. Technical Success
3.3.2. Clinical Success
3.3.3. Complications
3.3.4. Other Outcomes
4. Discussion
5. Conclusions
Author Contributions
Funding
Institutional Review Board Statement
Informed Consent Statement
Data Availability Statement
Conflicts of Interest
References
- Stanley, J.C.; Wakefield, T.W.; Graham, L.M.; Whitehouse, W.M.; Zelenock, G.B.; Lindenauer, S.M. Clinical importance and management of splanchnic artery aneurysms. J. Vasc. Surg. 1986, 3, 836–840. [Google Scholar] [CrossRef] [PubMed]
- Vandy, F.C.; Sell, K.A.; Eliason, J.L.; Coleman, D.M.; Rectenwald, J.E.; Stanley, J.C. Pancreaticoduodenal and Gastroduodenal Artery Aneurysms Associated with Celiac Artery Occlusive Disease. Ann. Vasc. Surg. 2017, 41, 32–40. [Google Scholar] [CrossRef] [PubMed]
- Pasha, S.F.; Gloviczki, P.; Stanson, A.W.; Kamath, P.S. Splanchnic Artery Aneurysms. Mayo Clin. Proc. 2007, 82, 472–479. [Google Scholar] [CrossRef]
- Loffroy, R.; Favelier, S.; Pottecher, P.; Genson, P.Y.; Estivalet, L.; Gehin, S. Endovascular management of visceral artery aneurysms: When to watch, when to intervene? World J. Radiol. 2015, 7, 143–148. [Google Scholar] [CrossRef]
- Dunbar, J.D.; Molnar, W.; Beman, F.F.; Marable, S.A. Compression of the celiac trunk and abdominal angina. Am. J. Roentgenol. Radium Ther. Nucl. Med. 1965, 95, 731–744. [Google Scholar] [CrossRef] [PubMed]
- Horton, K.M.; Talamini, M.A.; Fishman, E.K. Median Arcuate Ligament Syndrome: Evaluation with CT Angiography. Radiographics 2005, 25, 1177–1182. [Google Scholar] [CrossRef]
- Park, C.M.; Chung, J.W.; Kim, H.B.; Shin, S.J.; Park, J.H. Celiac Axis Stenosis: Incidence and Etiologies in Asymptomatic Individuals. Korean J. Radiol. 2001, 2, 8–13. [Google Scholar] [CrossRef]
- Kim, E.N.; Lamb, K.; Relles, D.; Moudgill, N.; DiMuzio, P.J.; Eisenberg, J.A. Median Arcuate Ligament Syndrome—Review of This Rare Disease. JAMA Surg. 2016, 151, 471–477. [Google Scholar] [CrossRef]
- Sutton, D.; Lawton, G. Coeliac stenosis or occlusion with aneurysm of the collateral supply. Clin. Radio 1973, 24, 49–53. [Google Scholar] [CrossRef]
- Heo, S.; Kim, H.J.; Kim, B.; Lee, J.H.; Kim, J.; Kim, J.K. Clinical impact of collateral circulation in patients with median arcuate ligament syndrome. Diagn. Interv. Radiol. 2018, 24, 181–186. [Google Scholar] [CrossRef]
- Katsura, M.; Gushimiyagi, M.; Takara, H.; Mototake, H. True Aneurysm of the Pancreaticoduodenal Arteries: A Single Institution Experience. J. Gastrointest. Surg. 2010, 14, 1409–1413. [Google Scholar] [CrossRef]
- De Perrot, M.; Berney, T.; Deléaval, J.; Bühler, L.; Mentha, G.; Morel, P. Management of true aneurysms of the pancreaticoduodenal arteries. Ann. Surg. 1999, 229, 416–420. [Google Scholar] [CrossRef] [PubMed]
- Flood, K.; Nicholson, A. Inferior Pancreaticoduodenal Artery Aneurysms Associated with Occlusive Lesions of the Celiac Axis: Diagnosis, Treatment Options, Outcomes, and Review of the Literature. Cardiovasc. Interv. Radiol. 2013, 36, 578–587. [Google Scholar] [CrossRef]
- Bonardelli, S.; Spampinato, B.; Ravanelli, M.; Cuomo, R.; Zanotti, C.; Paro, B. The role of emergency presentation and revascularization in aneurysms of the peripancreatic arteries secondary to celiac trunk or superior mesenteric artery occlusion. J. Vasc. Surg. 2020, 72, 46S–55S. [Google Scholar] [CrossRef]
- Corey, M.R.; Ergul, E.A.; Cambria, R.P.; Patel, V.I.; Lancaster, R.T.; Kwolek, C.J. The presentation and management of aneurysms of the pancreaticoduodenal arcade. J. Vasc. Surg. 2016, 64, 1734–1740. [Google Scholar] [CrossRef]
- Ducasse, E.; Roy, F.; Chevalier, J.; Massouille, D.; Smith, M.; Speziale, F. Aneurysm of the pancreaticoduodenal arteries with a celiac trunk lesion: Current management. J. Vasc. Surg. 2004, 39, 906–911. [Google Scholar] [CrossRef] [PubMed]
- Bratby, M.J.; Lehmann, E.D.; Bottomley, J.; Kessel, D.O.; Nicholson, A.A.; McPherson, S.J. Endovascular embolization of visceral artery aneurysms with ethylene-vinyl alcohol (Onyx): A case series. Cardiovasc. Intervent. Radiol. 2006, 29, 1125–1128. [Google Scholar] [CrossRef] [PubMed]
- Ikoma, A.; Nakai, M.; Loffroy, R.; Midulla, M.; Kamisako, A.; Higashino, N. Transcatheter arterial embolization of a splenic artery aneurysm with N-butyl cyanoacrylate/lipiodol/ethanol mixture with coil-assisted sandwich technique. Quant. Imaging Med. Surg. 2019, 9, 346–349. [Google Scholar] [CrossRef]
- Loffroy, R.; Rao, P.; Ota, S.; Lin, M.D.; Kwak, B.K.; Krause, D. Packing Technique for Endovascular Coil Embolisation of Peripheral Arterial Pseudo-Aneurysms with Preservation of the Parent Artery: Safety, Efficacy and Outcomes. Eur. J. Vasc. Endovasc. Surg. 2010, 40, 209–215. [Google Scholar] [CrossRef]
- Abdulmalak, G.; Chevallier, O.; Falvo, N.; Di Marco, L.; Bertaut, A.; Moulin, B. Safety and efficacy of transcatheter embolization with Glubran®2 cyanoacrylate glue for acute arterial bleeding: A single-center experience with 104 patients. Abdom. Radiol. 2018, 43, 723–733. [Google Scholar] [CrossRef]
- Lindner, H.H.; Kemprud, E. A Clinicoanatomical Study of the Arcuate Ligament of the Diaphragm. Arch. Surg. 1971, 103, 600–605. [Google Scholar] [CrossRef]
- Weber, C.H.; Pfeifer, K.J.; Tato, F.; Reiser, M.; Rieger, J. Transcatheter Coil Embolization of an Aneurysm of the Pancreatico-duodenal Artery with Occluded Celiac Trunk. Cardiovasc. Intervent. Radiol. 2005, 28, 259–261. [Google Scholar] [CrossRef] [PubMed]
- Suzuki, K.; Tachi, Y.; Ito, S.; Maruyama, K.; Mori, Y.; Komada, T. Endovascular Management of Ruptured Pancreaticoduodenal Artery Aneurysms Associated with Celiac Axis Stenosis. Cardiovasc. Intervent. Radiol. 2008, 31, 1082–1087. [Google Scholar] [CrossRef] [PubMed]
- Peyrottes, A.; Mariage, D.; Baqué, P.; Massalou, D. Pancreaticoduodenal artery aneurysms due to median arcuate ligament syndrome: What we need to know. Surg. Radiol. Anat. 2018, 40, 401–405. [Google Scholar] [CrossRef] [PubMed]
- Patten, R.M.; Coldwell, D.M.; Ben-Menachem, Y. Ligamentous compression of the celiac axis: CT findings in five patients. Am. J. Roentgenol. Radium Ther. Nucl. Med. 1991, 156, 1101–1103. [Google Scholar] [CrossRef]
- Chivot, C.; Rebibo, L.; Robert, B.; Regimbeau, J.M.; Yzet, T. Ruptured Pancreaticoduodenal Artery Aneurysms Associated with Celiac Stenosis Caused by the Median Arcuate Ligament: A Poorly Known Etiology of Acute Abdominal Pain. Eur. J. Vasc. Endovasc. Surg. 2016, 51, 295–301. [Google Scholar] [CrossRef]
- Antoniak, R.; Grabowska-Derlatka, L.; Maciąg, R.; Ostrowski, T.; Nawrot, I.; Gałązka, Z. Treatment Algorithm of Peripancreatic Arteries Aneurysm Coexisting with Coeliac Artery Lesion: Single Institution Experience. BioMed Res. Int. 2018, 2018, e5745271. [Google Scholar] [CrossRef]
- Bageacu, S.; Cuilleron, M.; Kaczmarek, D.; Porcheron, J. True aneurysms of the pancreaticoduodenal artery: Successful non-operative management. Surgery 2006, 139, 608–616. [Google Scholar] [CrossRef]
- Tien, Y.W.; Kao, H.L.; Wang, H.P. Celiac artery stenting: A new strategy for patients with pancreaticoduodenal artery aneurysm associated with stenosis of the celiac artery. J. Gastroenterol. 2004, 39, 81–85. [Google Scholar] [CrossRef]
- Shibata, E.; Takao, H.; Amemiya, S.; Ohtomo, K. Perioperative hemodynamic monitoring of common hepatic artery for endovascular embolization of a pancreaticoduodenal arcade aneurysm with celiac stenosis. Cardiovasc. Intervent. Radiol. 2017, 40, 465–469. [Google Scholar] [CrossRef]
- Huang, Y.S.; Chang, C.C.; Liou, J.M.; Jaw, F.S.; Liu, K.L. Transcatheter arterial embolization with N-butyl cyanoacrylate for nonvariceal upper gastrointestinal bleeding in hemodynamically unstable patients: Results and predictors of clinical outcomes. J. Vasc. Interv. Radiol. 2014, 25, 1850–1857. [Google Scholar] [CrossRef] [PubMed]
- Kubota, K.; Shimizu, A.; Notake, T.; Wada, Y.; Soejima, Y. Treatment strategies for unruptured pancreaticoduodenal artery aneurysms associated with celiac artery occlusion. Ann. Gastroenterol. Surg. 2022, 7, 182–189. [Google Scholar] [CrossRef] [PubMed]



| Patient # | Sex | Age (y) | BMI | Finding | Location of PDAa | Size of PDAa (mm) | Celiak Trunk Stenosis |
|---|---|---|---|---|---|---|---|
| 1 | F | 73 | NA | Fortuitous | Inferior PDA | 21 | Occluded |
| 2 | F | 77 | 21 | Fortuitous | Inferior PDA | 16 | Occluded |
| 3 | F | 48 | 28 | Fortuitous | Posterior PDA | 31 | >70% |
| 4 | M | 68 | 27 | Fortuitous during HCC staging | Antero-inferior PDA | 25 | >70% |
| 5 | M | 35 | 19 | Fortuitous | Postero-inferior PDA | 20 | Occluded |
| 6 | F | 79 | 25 | Abdominal pain | Inferior PDA | 12 | Occluded |
| 7 | F | 50 | 28 | Fortuitous | Inferior PDA | 19 | Occluded |
| 8 | M | 66 | 29 | Fortuitous during evaluation of acute pancreatitis | Antero-superior PDA | 15 | >70% |
| 9 | M | 56 | 33 | Rupture | Postero-inferior PDA | 13 | >70% |
| 10 | M | 73 | 15 | Rupture | Postero-inferior PDA | 8 | >70% |
| 11 | M | 70 | 21 | Rupture | Antero-inferior PDA | 15 | >70% |
| 12 | M | 82 | 24 | Rupture | Anterior PDA | 9 | Occluded |
| 13 | F | 52 | 20 | Fortuitous | Postero-inferior PDA | 20 | Occluded |
| 14 | F | 66 | 24 | Rupture | Antero-inferior PDA | 8 | >50% |
| Patient # | Operating Time (min) | Fluoroscopy Duration (min) | Dosimetry (mGy·cm2) | Embolization Technique | Embolization Material |
|---|---|---|---|---|---|
| 1 | 91 | NA | NA | Packing then trapping | DMC |
| 2 | 60 | 22 | 94,749 | Packing then trapping | DMC |
| 3 | 98 | 40 | 289,986 | Packing then trapping | DMC and Co-polymer |
| 4 | 129 | 57 | 646,030 | Packing then trapping | DMC and Co-polymer |
| 5 | 109 | 43 | 227,922 | Packing | DMC |
| 6 | 135 | 24 | 312,666 | Trapping | DMC |
| 7 | 150 | 44 | 295,857 | Trapping | DMC |
| 8 | 183 | 71 | 769,984 | Packing then trapping | DMC and Co-polymer |
| 9 | 285 | 107 | 380,047 | Packing | Co-polymer |
| 10 | 95 | 11 | 47,624 | Packing | Cyanoacrylate |
| 11 | 165 | 49 | 205,835 | Packing then trapping | DMC and Co-polymer |
| 12 | 210 | 61 | 596,651 | Trapping | DMC |
| 13 | 115 | 18 | 121,123 | Packing then trapping | DMC |
| 14 | 240 | 41 | 100,063 | Trapping | Co-polymer |
| Patient # | Final Angiogram | Hospital Stay Length (days) | Time to Last Imaging Study Confirming Exclusion (months) | Early Complications (≤30 days) | Late Complications (>30 days) |
|---|---|---|---|---|---|
| 1 | Exclusion | 4 | 12 | None | None |
| 2 | Exclusion | 4 | 84 | None | None |
| 3 | Exclusion | 2 | Lost to follow-up | None | None |
| 4 | Exclusion | 16 | 12 | Coil migration | None |
| 5 | Exclusion | 0 | 1 | None | None |
| 6 | Exclusion | 0 | 6 | None | None |
| 7 | Exclusion | 0 | 2 | None | None |
| 8 | Exclusion | 1 | 1 | None | None |
| 9 | Exclusion | 1 | 1 | None | None |
| 10 | Exclusion | 1 | Not applicable | Died on day 1 | Not applicable |
| 11 | Exclusion | 7 | 18 | RIA dissection | None |
| 12 | Failure | 15 | Not applicable | Celiac-trunk ostium dissection Death on day 15 | Not applicable |
| 13 | Exclusion | 0 | Insufficient follow-up a | None | None |
| 14 | Exclusion | 10 | Insufficient follow-up a | None | None |
Disclaimer/Publisher’s Note: The statements, opinions and data contained in all publications are solely those of the individual author(s) and contributor(s) and not of MDPI and/or the editor(s). MDPI and/or the editor(s) disclaim responsibility for any injury to people or property resulting from any ideas, methods, instructions or products referred to in the content. |
© 2023 by the authors. Licensee MDPI, Basel, Switzerland. This article is an open access article distributed under the terms and conditions of the Creative Commons Attribution (CC BY) license (https://creativecommons.org/licenses/by/4.0/).
Share and Cite
Siauve, V.; Chevallier, O.; Mazit, A.; Falvo, N.; Comby, P.-O.; Loffroy, R. Interventional Radiology for High-Flow Aneurysm of the Pancreaticoduodenal Arcades with Median Arcuate Ligament Syndrome: Review of 14 Patients. J. Clin. Med. 2023, 12, 4692. https://doi.org/10.3390/jcm12144692
Siauve V, Chevallier O, Mazit A, Falvo N, Comby P-O, Loffroy R. Interventional Radiology for High-Flow Aneurysm of the Pancreaticoduodenal Arcades with Median Arcuate Ligament Syndrome: Review of 14 Patients. Journal of Clinical Medicine. 2023; 12(14):4692. https://doi.org/10.3390/jcm12144692
Chicago/Turabian StyleSiauve, Valentin, Olivier Chevallier, Amin Mazit, Nicolas Falvo, Pierre-Olivier Comby, and Romaric Loffroy. 2023. "Interventional Radiology for High-Flow Aneurysm of the Pancreaticoduodenal Arcades with Median Arcuate Ligament Syndrome: Review of 14 Patients" Journal of Clinical Medicine 12, no. 14: 4692. https://doi.org/10.3390/jcm12144692
APA StyleSiauve, V., Chevallier, O., Mazit, A., Falvo, N., Comby, P.-O., & Loffroy, R. (2023). Interventional Radiology for High-Flow Aneurysm of the Pancreaticoduodenal Arcades with Median Arcuate Ligament Syndrome: Review of 14 Patients. Journal of Clinical Medicine, 12(14), 4692. https://doi.org/10.3390/jcm12144692

