Intestinal Obstruction for Anisakiasis: Surgical and Physical Therapy Treatment
Abstract
1. Introduction
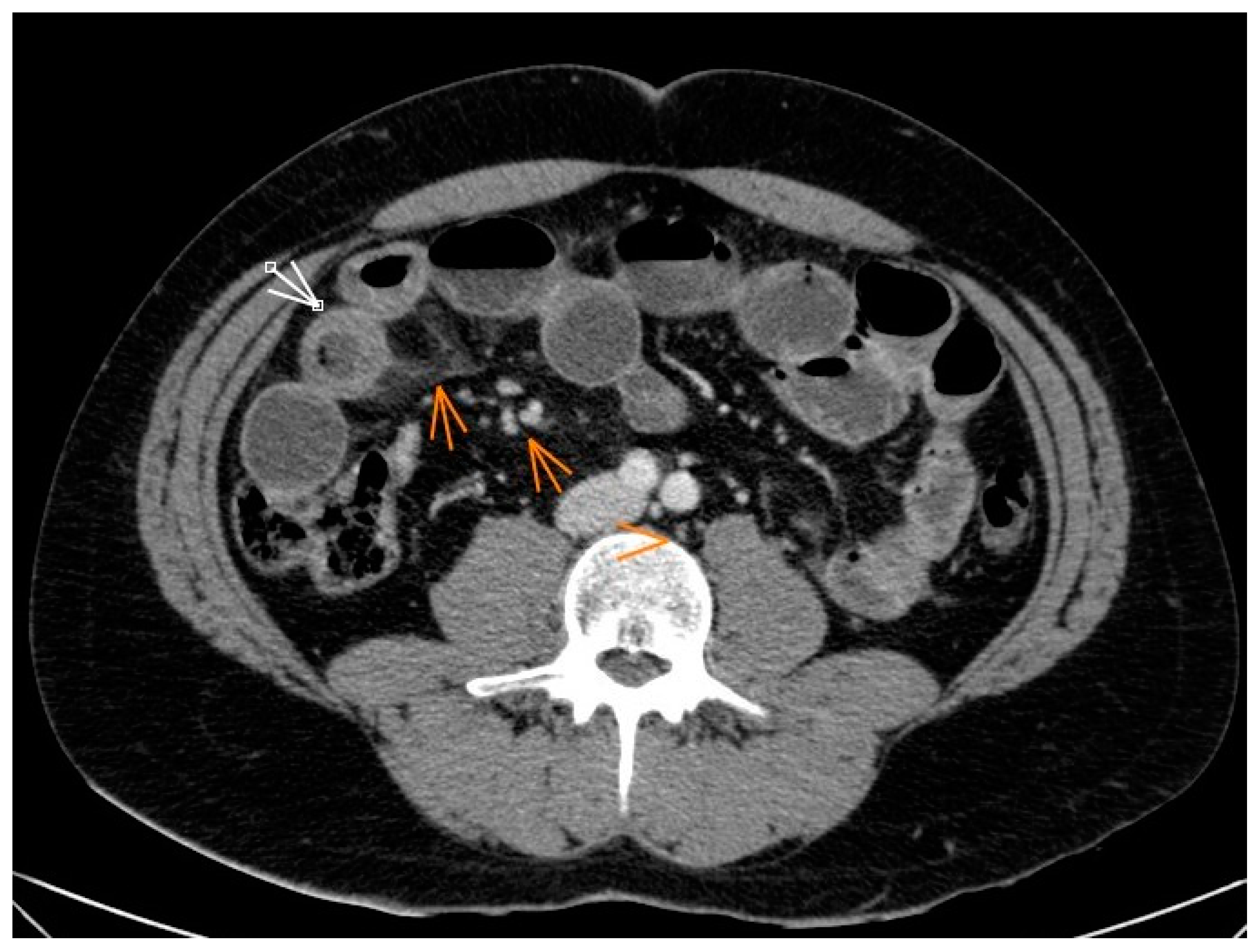
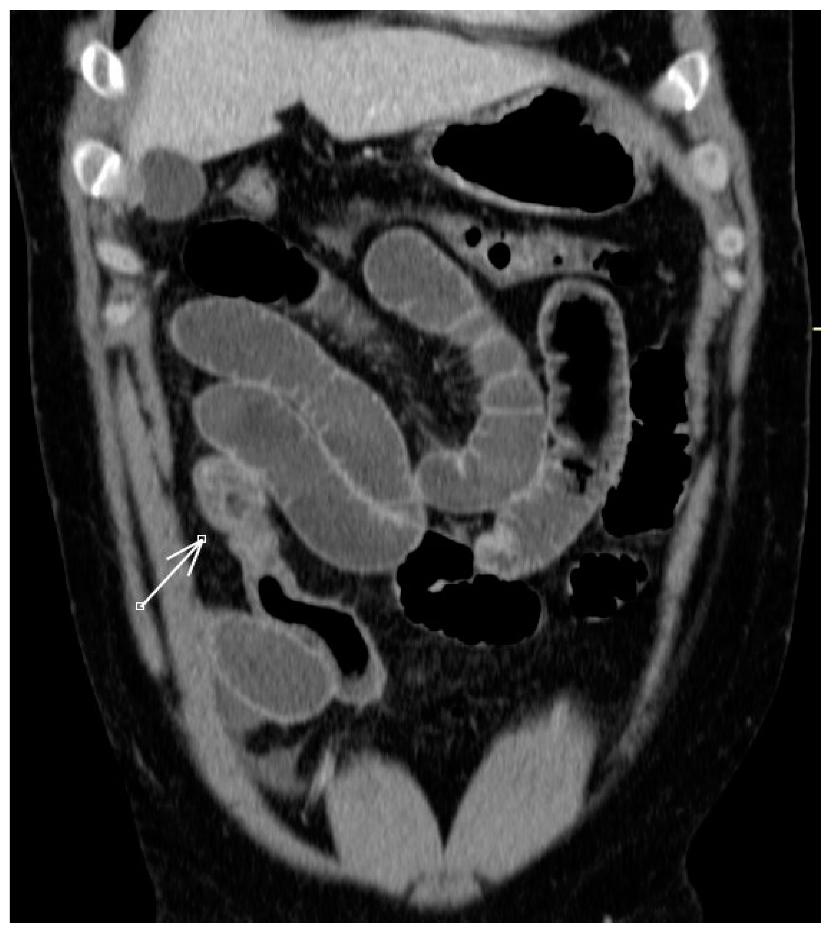
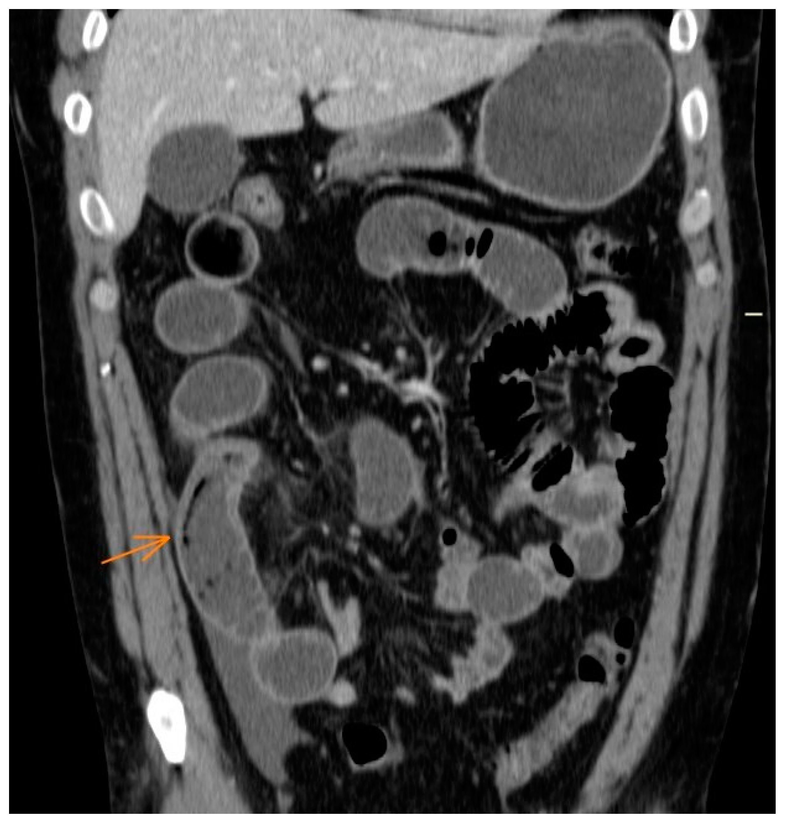
2. Case Description
3. Discussion
4. Conclusions
Author Contributions
Funding
Institutional Review Board Statement
Informed Consent Statement
Data Availability Statement
Conflicts of Interest
References
- Ziarati, M.; Zorriehzahra, M.J.; Hassantabar, F.; Mehrabi, Z.; Dhawan, M.; Sharun, K.; Bin Emran, T.; Dhama, K.; Chaicumpa, W.; Shamsi, S. Zoonotic Diseases of Fish and Their Prevention and Control. Vet. Q. 2022, 42, 95–118. [Google Scholar] [CrossRef]
- Zajíčková, M.; Nguyen, L.T.; Skálová, L.; Raisová Stuchlíková, L.; Matoušková, P. Anthelmintics in the Future: Current Trends in the Discovery and Development of New Drugs against Gastrointestinal Nematodes. Drug Discov. Today 2020, 25, 430–437. [Google Scholar] [CrossRef] [PubMed]
- Salikin, N.H.; Nappi, J.; Majzoub, M.E.; Egan, S. Combating Parasitic Nematode Infections, Newly Discovered Antinematode Compounds from Marine Epiphytic Bacteria. Microorganisms 2020, 8, 1963. [Google Scholar] [CrossRef] [PubMed]
- Giovanelli, F.; Mattellini, M.; Fichi, G.; Flamini, G.; Perrucci, S. In Vitro Anthelmintic Activity of Four Plant-Derived Compounds against Sheep Gastrointestinal Nematodes. Vet. Sci. 2018, 5, 78. [Google Scholar] [CrossRef]
- Ramos, P. Parasites in Fishery Products—Laboratorial and Educational Strategies to Control. Exp. Parasitol. 2020, 211, 107865. [Google Scholar] [CrossRef]
- Pardo González, M.Á.; Cavazza, G.; Gustinelli, A.; Caffara, M.; Fioravanti, M. Absence of Anisakis Nematodes in Smoked Farmed Atlantic Salmon (Salmo Salar) Products on Sale in European Countries. Ital. J. Food Saf. 2021, 9, 8615. [Google Scholar] [CrossRef]
- Shibata, E.; Ueda, T.; Akaike, G.; Saida, Y. CT Findings of Gastric and Intestinal Anisakiasis. Abdom. Imaging 2014, 39, 257–261. [Google Scholar] [CrossRef]
- Shimamura, Y.; Muwanwella, N.; Chandran, S.; Kandel, G.; Marcon, N. Common Symptoms from an Uncommon Infection: Gastrointestinal Anisakiasis. Can. J. Gastroenterol. Hepatol. 2016, 2016, 5176502. [Google Scholar] [CrossRef]
- Abad, V.; Alejandre, M.; Hernández-Fernández, E.; Raso, J.; Cebrián, G.; Álvarez-Lanzarote, I. Evaluation of Pulsed Electric Fields (PEF) Parameters in the Inactivation of Anisakis Larvae in Saline Solution and Hake Meat. Foods 2023, 12, 264. [Google Scholar] [CrossRef]
- Sugiyama, H.; Shiroyama, M.; Yamamoto, I.; Ishikawa, T.; Morishima, Y. Anisakiasis Annual Incidence and Causative Species, Japan, 2018–2019. Emerg. Infect. Dis. 2022, 28, 2105–2108. [Google Scholar] [CrossRef] [PubMed]
- Raso, J.; Heinz, V.; Álvarez, I.; Toepfl, S. Pulsed Electric Fields Technology for the Food Industry; Food Engineering Series; Springer International Publishing: Cham, Switzerland, 2022; ISBN 978-3-030-70585-5. [Google Scholar]
- Bao, M.; Pierce, G.J.; Pascual, S.; González-Muñoz, M.; Mattiucci, S.; Mladineo, I.; Cipriani, P.; Bušelić, I.; Strachan, N.J.C. Assessing the Risk of an Emerging Zoonosis of Worldwide Concern: Anisakiasis. Sci. Rep. 2017, 7, 43699. [Google Scholar] [CrossRef]
- Martínez-Caselles, A.; Sánchez-Torres, A.; Egea-Valenzuela, J.; Carballo-Álvarez, F. Bowel Subocclusion Due to Anisakis. Rev. Española Enfermedades Dig. 2009, 101, 818–819. [Google Scholar] [CrossRef]
- Gil Romea, I.; Moreno Mirallas, M.J.; Deus Fombellida, J.; Mozota Duarte, J.; Garrido Calvo, A.; Rivas Jiménez, M. Obstrucción Intestinal. Med. Integr. 2001, 38, 52–56. [Google Scholar]
- Godínez-Vidal, A.R.; Alcántara-Gordillo, R.; Aguirre-Rojano, V.I.; López-Romero, S.C.; González-Calatayud, M.; González-Pérez, L.G.; Pulido-Cejudo, A.; Gracida-Mancilla, N.I. Evaluation of C-reactive protein, procalcitonin and the PCR/PCT index as indicators of mortality in abdominal sepsis. Cirugía Cir. 2020, 88, 150–153. [Google Scholar] [CrossRef]
- Seller-Pérez, G.; Herrera-Gutiérrez, M.E.; Lebrón-Gallardo, M.; de Toro-Peinado, I.; Martín-Hita, L.; Porras-Ballesteros, J.A. Valor de la determinación de proteína C reactiva como marcador de pronóstico e infección en pacientes en cuidados críticos [Serum C-reactive protein as a marker of outcome and infection in critical care patients]. Med. Clin. 2005, 125, 761–765. [Google Scholar] [CrossRef]
- Ogata, M.; Tamura, S.; Matsunoya, M. Sonographic diagnosis of intestinal anisakiasis presenting as small bowel obstruction. J. Clin. Ultrasound. 2014, 43, 283–287. [Google Scholar] [CrossRef]
- Madi, L.; Ali, M.; Legace-Wiens, P.; Duerksen, D.R. Gastrointestinal manifestations and management of anisakiasis. Can. J. Gastroenterol. 2013, 27, 126–127. [Google Scholar] [CrossRef]
- Shibata, K.; Yoshida, Y.; Miyaoka, Y.; Emoto, S.; Kawai, T.; Kobayashi, S.; Ogasawara, K.; Taketomi, A. Intestinal anisakiasis with severe intestinal ischemia caused by extraluminal live larvae: A case report. Surg. Case Rep. 2020, 6, 253. [Google Scholar] [CrossRef]
- Bellini, I.; Scribano, D.; Sarshar, M.; Ambrosi, C.; Pizzarelli, A.; Palamara, A.T.; D’Amelio, S.; Cavallero, S. Inflammatory Response in Caco-2 Cells Stimulated with Anisakis Messengers of Pathogenicity. Pathogens 2022, 11, 1214. [Google Scholar] [CrossRef]
- Lalwani, S.S.; Jain, M.J.; Vardhan, V.D.; Yadav, V.D.; Lakkadsha, T.M.; Saifee, S.S.H. Rehabilitation towards functional independence in patient with abdominal tuberculosis undergone abdominal surgery: A case report. Pan. Afr. Med. J. 2022, 41, 195. [Google Scholar] [CrossRef] [PubMed]
- Rodríguez-Huguet, M.; Góngora-Rodríguez, J.; Vinolo-Gil, M.J.; Martín-Vega, F.J.; Martín-Valero, R.; Rodríguez-Almagro, D. Effectiveness of Negative Pulsed-Pressure Myofascial Vacuum Therapy and Therapeutic Exercise in Chronic Non-Specific Low Back Pain: A Single-Blind Randomized Controlled Trial. J. Clin. Med. 2022, 11, 1984. [Google Scholar] [CrossRef] [PubMed]
- Fornell Pérez, R.; Urizar Gorosarri, M.; Pérez Bea, M. Anisakiasis: Imaging findings. Radiologia 2022, 64, 245–255. [Google Scholar] [CrossRef] [PubMed]
- Noh, J.H.; Kim, B.; Kim, S.M.; Ock, M.; Park, M.I.; Goo, J.Y. A case of acute gastric anisakiasis provoking severe clinical problems by multiple infection. Korean J. Parasitol. 2003, 41, 97–100. [Google Scholar] [CrossRef] [PubMed]
- Zia, Z.; Riaz, H.; Imtiaz, I. Effect of early physical therapy interventions on post-operative ileus following abdominal hysterectomy. J. Pak. Med. Assoc. 2023, 73, 650–652. [Google Scholar] [CrossRef]
- Ceballos-Rivera, M.; González-González, Y.; Alonso-Calvete, A.; Justo-Cousiño, L.A.; Da Cuña-Carrera, I. Fisioterapia en las secuelas del parto por cesárea. Una revisión sistemática [Physiotherapy in the sequelae of cesarean childbirth. A systematic review.]. Rev. Esp. Salud Publica 2023, 12, e202301002. [Google Scholar]
- Boden, I.; Sullivan, K.; Hackett, C.; Winzer, B.; Lane, R.; McKinnon, M.; Robertson, I. ICEAGE (Incidence of Complications following Emergency Abdominal surgery: Get Exercising): Study protocol of a pragmatic, multicentre, randomised controlled trial testing physiotherapy for the prevention of complications and improved physical recovery after emergency abdominal surgery. World J. Emerg. Surg. 2018, 13, 29. [Google Scholar] [CrossRef]
- Svensson-Raskh, A.; Schandl, A.R.; Ståhle, A.; Nygren-Bonnier, M.; Fagevik Olsén, M. Mobilization Started Within 2 Hours After Abdominal Surgery Improves Peripheral and Arterial Oxygenation: A Single-Center Randomized Controlled Trial. Phys. Ther. 2021, 101, pzab094. [Google Scholar] [CrossRef]



Disclaimer/Publisher’s Note: The statements, opinions and data contained in all publications are solely those of the individual author(s) and contributor(s) and not of MDPI and/or the editor(s). MDPI and/or the editor(s) disclaim responsibility for any injury to people or property resulting from any ideas, methods, instructions or products referred to in the content. |
© 2023 by the authors. Licensee MDPI, Basel, Switzerland. This article is an open access article distributed under the terms and conditions of the Creative Commons Attribution (CC BY) license (https://creativecommons.org/licenses/by/4.0/).
Share and Cite
Cózar-Bernal, F.; Góngora-Rodríguez, J.; Ayala-Martínez, C.; Martín-Vega, F.J.; Vinolo-Gil, M.J.; Rodríguez-Huguet, M. Intestinal Obstruction for Anisakiasis: Surgical and Physical Therapy Treatment. J. Clin. Med. 2023, 12, 4470. https://doi.org/10.3390/jcm12134470
Cózar-Bernal F, Góngora-Rodríguez J, Ayala-Martínez C, Martín-Vega FJ, Vinolo-Gil MJ, Rodríguez-Huguet M. Intestinal Obstruction for Anisakiasis: Surgical and Physical Therapy Treatment. Journal of Clinical Medicine. 2023; 12(13):4470. https://doi.org/10.3390/jcm12134470
Chicago/Turabian StyleCózar-Bernal, Fernando, Jorge Góngora-Rodríguez, Carmen Ayala-Martínez, Francisco Javier Martín-Vega, Maria Jesus Vinolo-Gil, and Manuel Rodríguez-Huguet. 2023. "Intestinal Obstruction for Anisakiasis: Surgical and Physical Therapy Treatment" Journal of Clinical Medicine 12, no. 13: 4470. https://doi.org/10.3390/jcm12134470
APA StyleCózar-Bernal, F., Góngora-Rodríguez, J., Ayala-Martínez, C., Martín-Vega, F. J., Vinolo-Gil, M. J., & Rodríguez-Huguet, M. (2023). Intestinal Obstruction for Anisakiasis: Surgical and Physical Therapy Treatment. Journal of Clinical Medicine, 12(13), 4470. https://doi.org/10.3390/jcm12134470

