Suspension of Anti-VEGF Treatment Does Not Affect Expansion of RPE Atrophy in Neovascular Age-Related Macular Degeneration
Abstract
1. Introduction
2. Materials and Methods
2.1. Study Design
2.2. Subjects
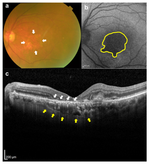
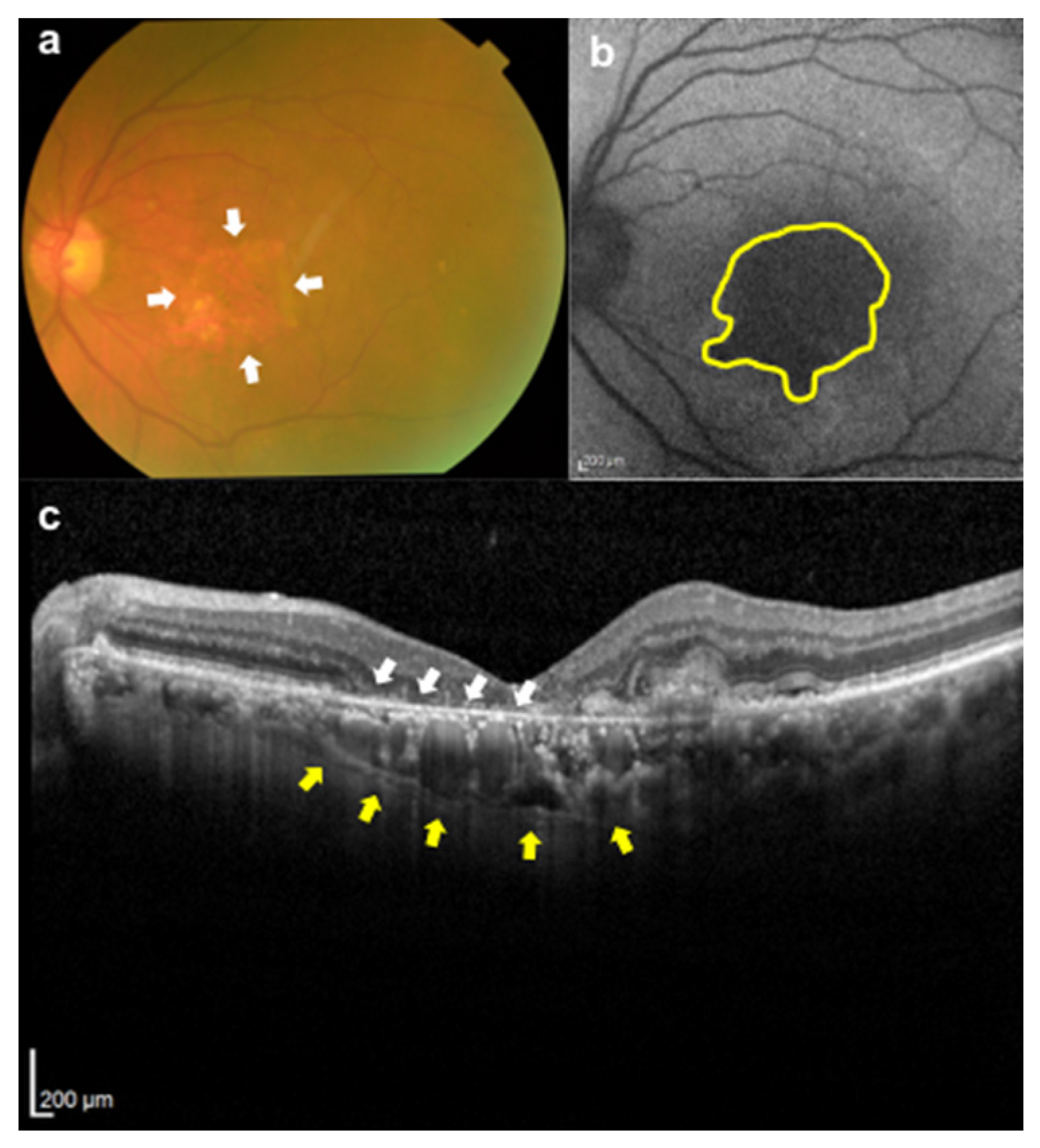
2.3. Quantification of RPE Atrophy
2.4. Statistical Analyses
3. Results
3.1. Selection of the Participants
3.2. Clinical Characteristics of Patients
3.3. Comparisons of RPE Atrophy
3.4. Associations between the Background Factors and the Expansion Rate of RPE Atrophy
4. Discussion
5. Conclusions
Author Contributions
Funding
Institutional Review Board Statement
Informed Consent Statement
Data Availability Statement
Acknowledgments
Conflicts of Interest
References
- Wong, W.L.; Su, X.; Li, X.; Cheung, C.M.G.; Klein, R.; Cheng, C.Y.; Wong, T.Y. Global prevalence of age-related macular degeneration and disease burden projection for 2020 and 2040, a systematic review and meta-analysis. Lancet Glob Health 2014, 2, e106–e116. [Google Scholar] [CrossRef] [PubMed]
- Oshima, Y.; Ishibashi, T.; Murata, T.; Tahara, Y.; Kiyohara, Y.; Kubota, T. Prevalence of age related maculopathy in a representative Japanese population: The Hisayama study. Br. J. Ophthalmol. 2001, 85, 1153–1157. [Google Scholar] [CrossRef]
- Yasuda, M.; Kiyohara, Y.; Hata, Y.; Arakawa, S.; Yonemoto, K.; Doi, Y.; Ishibashi, T. Nine-year incidence and risk factors for age-related macular degeneration in a defined Japanese population. Ophthalmology 2009, 116, 2135–2140. [Google Scholar] [CrossRef] [PubMed]
- Lowe, J.; Araujo, J.; Yang, J.; Reich, M.; Oldendorp, A.; Shiu, V.; Maia, M. Ranibizumab inhibits multiple forms of biologically active vascular endothelial growth factor in vitro and in vivo. Exp. Eye Res. 2007, 85, 425–430. [Google Scholar] [CrossRef]
- Browning, D.J.; Kaiser, P.K.; Rosenfeld, P.J.; Stewart, M.W. Aflibercept for age-related macular degeneration: A game-changer or quiet addition? Am. J. Ophthalmol. 2012, 154, 222–226. [Google Scholar] [CrossRef] [PubMed]
- Heier, J.S.; Brown, D.M.; Chong, V.; Korobelnik, J.F.; Kaiser, P.K.; Nguyen, Q.D.; Schmidt-Erfurth, U. Intravitreal aflibercept (VEGF trap-eye) in wet age-related macular degeneration. Ophthalmology 2012, 119, 2537–2548. [Google Scholar] [CrossRef]
- Rosenfeld, P.J.; Brown, D.M.; Heier, J.S.; Boyer, D.S.; Kaiser, P.K.; Chung, C.Y.; Kim, R.Y. Ranibizumab for neovascular age-related macular degeneration. N. Engl. J. Med. 2006, 355, 14191431. [Google Scholar] [CrossRef]
- Wykoff, C.C.; Ou, W.C.; Brown, D.M.; Croft, D.E.; Wang, R.; Payne, J.F.; TREX-AMD Study Group. Randomized trial of treat-and-extend versus monthly dosing for neovascular age- related macular degeneration: 2-year results of the TREX-AMD Study. Ophthalmol Retin. 2017, 1, 314–321. [Google Scholar] [CrossRef]
- Ohji, M.; Takahashi, K.; Okada, A.A.; Kobayashi, M.; Matsuda, Y.; Terano, Y. Efficacy and safety of intravitreal aflibercept treat-and-extend regimens in exudative age-related macular degeneration: 52- and 96-week findings from ALTAIR: A randomized controlled trial. Adv. Ther. 2020, 37, 1173–1187. [Google Scholar] [CrossRef]
- Chaikitmongkol, V.; Sagong, M.; Lai, T.Y.; Tan, G.S.; Ngah, N.F.; Ohji, M.; Koh, A. Treat-and-Extend Regimens for the Management of Neovascular Age-related Macular Degeneration and Polypoidal Choroidal Vasculopathy: Consensus and Recommendations From the Asia-Pacific Vitreo-retina Society. Asia-Pac. J. Ophthalmol. 2021, 10, 507–518. [Google Scholar] [CrossRef]
- Matsubara, H.; Matsui, Y.; Miyata, R.; Ichio, A.; Chujo, S.; Enomoto, H.; Kondo, M. Effects of suspension of anti-vascular endothelial growth factor treatment for neovascular age-related macular degeneration in clinical setting. Graefe’s Archive for Clinical and Experimental. Ophthalmology 2022, 260, 1867–1876. [Google Scholar]
- Aslanis, S.; Amrén, U.; Lindberg, C.; Epstein, D. Recurrent Neovascular Age-Related Macular Degeneration after Discontinuation of Vascular Endothelial Growth Factor Inhibitors Managed in a Treat-and-Extend Regimen. Ophthalmol. Retin. 2022, 6, 15–20. [Google Scholar] [CrossRef] [PubMed]
- Hirata, Y.; Oishi, A.; Maekawa, Y.; Tsuiki, E.; Machida, A.; Kurihara, J.; Kitaoka, T. Recurrence of neovascular age-related macular degeneration after cessation of treat and extend regimen. Sci. Rep. 2022, 12, 14768. [Google Scholar] [CrossRef] [PubMed]
- Nguyen, V.; Vaze, A.; Fraser-Bell, S.; Arnold, J.; Essex, R.W.; Barthelmes, D.; Fight Retinal Blindness! Study Group. Outcomes of suspending VEGF inhibitors for neovascular age-related macular degeneration when lesions have been inactive for 3 months. Ophthalmol. Retin. 2019, 3, 623–628. [Google Scholar] [CrossRef] [PubMed]
- Khurana, R.N. Long-Term Management of Neovascular Age-Related Macular Degeneration: To Suspend or Not to Suspend? Ophthalmol. Retin. 2019, 3, 621–622. [Google Scholar] [CrossRef]
- Peden, M.C.; Suñer, I.J.; Hammer, M.E.; Grizzard, W.S. Long-term outcomes in eyes receiving fixed-interval dosing of anti-vascular endothelial growth factor agents for wet age-related macular degeneration. Ophthalmology 2015, 122, 803–808. [Google Scholar] [CrossRef]
- Bhisitkul, R.B.; Desai, S.J.; Boyer, D.S.; Sadda, S.R.; Zhang, K. Fellow eye comparisons for 7-year outcomes in ranibizumab-treated AMD subjects from ANCHOR, MARINA, and HORIZON (SEVEN-UP Study). Ophthalmology 2016, 123, 1269–1277. [Google Scholar] [CrossRef]
- Bhisitkul, R.B.; Mendes, T.S.; Rofagha, S.; Enanoria, W.; Boyer, D.S.; Sadda, S.R.; Zhang, K. Macular atrophy progression and 7-year vision outcomes in subjects from the ANCHOR, MARINA, and HOR-IZON studies: The SEVEN-UP study. Am. J. Ophthalmol. 2015, 159, 915–924. [Google Scholar] [CrossRef]
- Lois, N.; Mcbain, V.; Abdelkader, E.; Scott, N.W.; Kumari, R. Retinal pigment epithelial atrophy in patients with exudative age-related macular degeneration undergoing anti-vascular endothelial growth factor therapy. Retina 2013, 33, 13–22. [Google Scholar] [CrossRef]
- Grunwald, J.E.; Daniel, E.; Huang, J.; Ying, G.S.; Maguire, M.G.; Toth, C.A.; CATT Research Group. Risk of Geographic Atrophy in the Comparison of Age-related Macular Degeneration Treatments Trials. Ophthalmology 2014, 121, 150–161. [Google Scholar] [CrossRef]
- Matsumoto, H.; Sato, T.; Morimoto, M.; Mukai, R.; Takahashi, M.; Hiroe, T.; Kishi, S. Treat-and-extend regimen with aflibercept for retinal angiomatous proliferation. Retina 2016, 36, 2282–2289. [Google Scholar] [CrossRef] [PubMed]
- Kim, M.; Kim, E.S.; Seo, K.H.; Yu, S.Y.; Kwak, H.W. Change of retinal pigment epithelial atrophy after anti-vascular endothelial growth factor treatment in exudative age-related macular degeneration. Indian J. Ophthalmol. 2016, 64, 427–433. [Google Scholar] [PubMed]
- Kuroda, Y.; Yamashiro, K.; Ooto, S.; Tamura, H.; Oishi, A.; Nakanishi, H.; Tsujikawa, A. Macular atrophy and macular morphology in aflibercept-treated neovascular age-related macular degeneration. Retina 2018, 38, 1743–1750. [Google Scholar] [CrossRef]
- Koizumi, H.; Yamamoto, A.; Ogasawara, M.; Maruko, I.; Hasegawa, T.; Itagaki, K.; Iida, T. Macular atrophy after aflibercept therapy for neovascular age-related macular degeneration: Outcomes of Japanese multicenter study. Jpn. J. Ophthalmol. 2020, 64, 338–345. [Google Scholar] [CrossRef]
- Feuer, W.J.; Yehoshua, Z.; Gregori, G.; Penha, F.M.; Chew, E.Y.; Ferris, F.L.; Rosenfeld, P.J. Square root transformation of geographic atrophy area measurements to eliminate dependence of growth rates on base- line lesion measurements: A reanalysis of age-related eye disease study report no. 26. JAMA Ophthalmol. 2013, 131, 110–111. [Google Scholar] [CrossRef]
- Casalino, G.; Arrigo, A.; Introini, U.; Scialdone, A.; Coppola, M.; Bandello, F.; Parodi, M.B. Clinical Course of Treated Choroidal Neovascularization in Eyes with Pre-existing Geographic Atrophy. Curr. Eye Res. 2021, 46, 988–994. [Google Scholar] [CrossRef] [PubMed]
- Thavikulwat, A.T.; Jacobs-El, N.; Kim, J.S.; Agrón, E.; Hasan, J.; Meyerle, C.B.; Chew, E.Y. Evolution of Geographic Atrophy in Participants Treated with Ranibizumab for Neovascular Age-related Macular Degeneration. Ophthalmol Retin. 2017, 1, 34–41. [Google Scholar] [CrossRef] [PubMed]
- Yehoshua, Z.; Rosenfeld, P.J.; Gregori, G.; Feuer, W.J.; Falcão, M.; Lujan, B.J.; Puliafito, C. Progression of Geographic Atrophy in Age-Related Macular Degeneration Imaged with Spectral Domain Optical Coherence Tomography. Ophthalmology 2011, 118, 679–686. [Google Scholar] [CrossRef]
- Domalpally, A.; Danis, R.P.; White, J.; Narkar, A.; Clemons, T.; Ferris, F.; Chew, E. Circularity index as a risk factor for progression of geographic atrophy. Ophthalmology 2013, 120, 2666–2671. [Google Scholar] [CrossRef]
- Stetson, P.F.; Yehoshua, Z.; Garcia Filho CA, A.; Nunes, R.P.; Gregori, G.; Rosenfeld, P.J. OCT minimum intensity as a predictor of geographic atrophy enlargement. Investig. Ophthalmol. Vis. Sci. 2014, 55, 792–800. [Google Scholar] [CrossRef]
- Nunes, R.P.; Gregori, G.; Yehoshua, Z.; Stetson, P.F.; Feuer, W.; Moshfeghi, A.A.; Rosenfeld, P.J. Predicting the pro gression of geographic atrophy in age-related macular degeneration with SD-OCT en face imaging of the outer retina. Ophthalmic Surg. Lasers Imaging Retin. 2013, 44, 344–359. [Google Scholar] [CrossRef] [PubMed]
- Keenan, T.D.; Agrón, E.; Domalpally, A.; Clemons, T.E.; van Asten, F.; Wong, W.T.; Danis, R.G.; Sadda, S.; Rosenfeld, P.J.; Klein, M.L.; et al. Progression of Geographic Atrophy in Age-related Macular Degeneration: AREDS2 Report Number 16. Ophthalmology 2018, 125, 1913–1928. [Google Scholar] [CrossRef] [PubMed]
- Shmueli, O.; Yehuda, R.; Szeskin, A.; Joskowicz, L.; Levy, J. Progression of cRORA (Complete RPE and Outer Retinal Atrophy) in Dry Age-Related Macular Degeneration Measured Using SD-OCT. Transl. Vis. Sci. Technol. 2022, 11, 19. [Google Scholar] [CrossRef] [PubMed]
- Fleckenstein, M.; Mitchell, P.; Freund, K.B.; Sadda, S.; Holz, F.G.; Brittain, C.; Ferrara, D. The progression of geographic atrophy secondary to age-related macular degeneration. Ophthalmology 2018, 125, 369–390. [Google Scholar] [CrossRef]
- Adrean, S.D.; Chaili, S.; Pirouz, A.; Grant, S. Results of patients with neovascular age-related macular degeneration managed by a treat-extend-stop protocol without recurrence. Graefes Arch. Clin. Exp. Ophthalmol. 2021, 259, 3665–3673. [Google Scholar] [CrossRef]
- Munk, M.R.; Arendt, P.; Yu, S.; Ceklic, L.; Huf, W.; Ebneter, A.; Zinkernagel, M.S. The impact of the vitreomacular interface in neovascular age-related macular degeneration in a treat-and-extend regimen with exit strategy. Ophthalmol. Retin. 2018, 2, 288–294. [Google Scholar] [CrossRef]
- Arslan, J.; Benke, K.K. Progression of Geographic Atrophy: Epistemic Uncertainties Affecting Mathematical Models and Machine Learning. Transl. Vis. Sci. Technol. 2021, 10, 3. [Google Scholar] [CrossRef]



| Background Factors | Continuation | Suspension | p-Value |
|---|---|---|---|
| Sex (female/male) | 0/6 | 4/2 | 0.06 |
| Age (years) | 73 [71, 79.5] | 74 [66, 79] | 0.92 |
| Subtype (tAMD/PCV) | 3/3 | 5/1 | 0.54 |
| Classic CNV | 1 | 3 | 0.24 |
| Intraretinal fluid | 1 | 3 | 0.54 |
| GLD (μm) | 2265.7 [1102, 3092] | 1153.2 [799, 2503] | 0.90 |
| Subfoveal choroidal thickness (μm) | 256.7 [150, 289.5] | 210.7 [103, 245.5] | 0.12 |
| Number of injections | 15.5 [9, 25.5] | 12 [12, 18.75] | 0.40 |
| Anti-VEGF drugs(ranibizumab/aflibercept) | 1/5 | 1/5 | 1.00 |
| Continuation | Suspension | p-Value | |
|---|---|---|---|
| Baseline RPE atrophic area (mm2) | 2.01 [1.46, 4.42] | 0.68 [0.43, 3.05] | 0.13 |
| Month 12 RPE atrophic area (mm2) | 2.89 [2.05, 4.51] | 0.81 [0.56, 3.6] | 0.13 |
| Expansion rate of atrophy (mm2/year) | 0.3 [0.18, 0.53] | 0.1 [0.09, 0.49] | 0.70 |
| Expansion rate of atrophy (square root) (mm/year) | 0.55 [0.43, 0.72] | 0.33 [0.15, 0.41] | 0.29 |
| Background Factors | p-Value (Multivariate) |
|---|---|
| Sex (female or male) | 0.30 |
| Age (years) | 0.92 |
| Subtype (tAMD or PCV) | 0.10 |
| Classic CNV | 0.76 |
| Intraretinal fluid | 0.07 |
| GLD (μm) | 0.35 |
| Subfoveal choroidal thickness | 0.46 |
| Number of injections | 0.18 |
| Anti-VEGF drugs (ranibizumab or aflibercept) | 0.36 |
Disclaimer/Publisher’s Note: The statements, opinions and data contained in all publications are solely those of the individual author(s) and contributor(s) and not of MDPI and/or the editor(s). MDPI and/or the editor(s) disclaim responsibility for any injury to people or property resulting from any ideas, methods, instructions or products referred to in the content. |
© 2023 by the authors. Licensee MDPI, Basel, Switzerland. This article is an open access article distributed under the terms and conditions of the Creative Commons Attribution (CC BY) license (https://creativecommons.org/licenses/by/4.0/).
Share and Cite
Chujo, S.; Matsubara, H.; Matsui, Y.; Sugimoto, M.; Kondo, M. Suspension of Anti-VEGF Treatment Does Not Affect Expansion of RPE Atrophy in Neovascular Age-Related Macular Degeneration. J. Clin. Med. 2023, 12, 3659. https://doi.org/10.3390/jcm12113659
Chujo S, Matsubara H, Matsui Y, Sugimoto M, Kondo M. Suspension of Anti-VEGF Treatment Does Not Affect Expansion of RPE Atrophy in Neovascular Age-Related Macular Degeneration. Journal of Clinical Medicine. 2023; 12(11):3659. https://doi.org/10.3390/jcm12113659
Chicago/Turabian StyleChujo, Shinichiro, Hisashi Matsubara, Yoshitsugu Matsui, Masahiko Sugimoto, and Mineo Kondo. 2023. "Suspension of Anti-VEGF Treatment Does Not Affect Expansion of RPE Atrophy in Neovascular Age-Related Macular Degeneration" Journal of Clinical Medicine 12, no. 11: 3659. https://doi.org/10.3390/jcm12113659
APA StyleChujo, S., Matsubara, H., Matsui, Y., Sugimoto, M., & Kondo, M. (2023). Suspension of Anti-VEGF Treatment Does Not Affect Expansion of RPE Atrophy in Neovascular Age-Related Macular Degeneration. Journal of Clinical Medicine, 12(11), 3659. https://doi.org/10.3390/jcm12113659

