Patient Selection Criteria and Procedural Standardization for Carotid Artery Stenting—A Single Center Experience
Abstract
1. Introduction
2. Materials and Methods
2.1. Study Design
2.2. Patient Selection, Inclusion and Exclusion Criteria
2.3. Endpoints
2.4. Analyzed Criteria
2.4.1. Anatomical Criteria
- Degree of stenosis: according to the NASCET criteria;
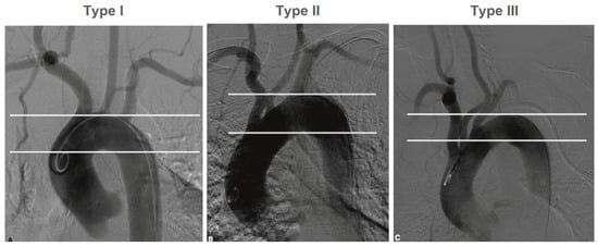
- Aortic arch type: type I and II (Figure 1);
- Side of lesion: right or left;
- Length of lesion: centerline measurement in mm of the entire length of the atherosclerotic lesion (Figure 2);
- Diameter of the CCA and ICA: in mm;
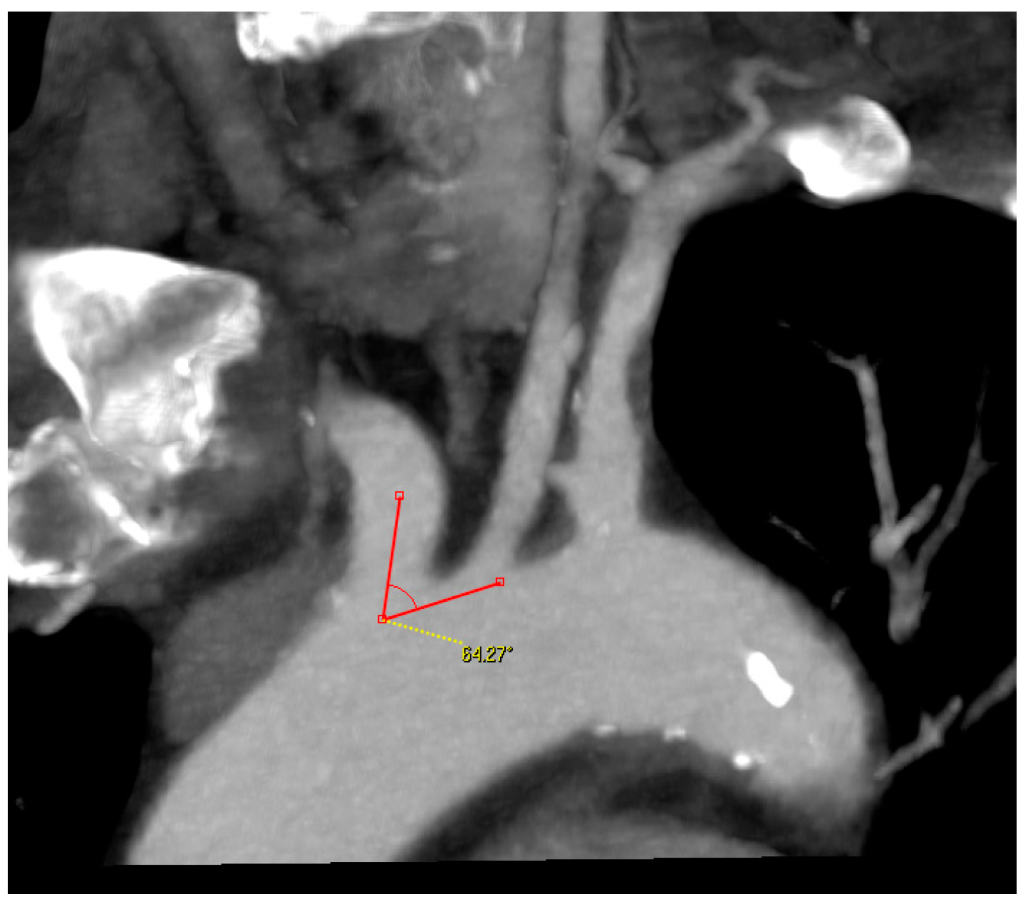
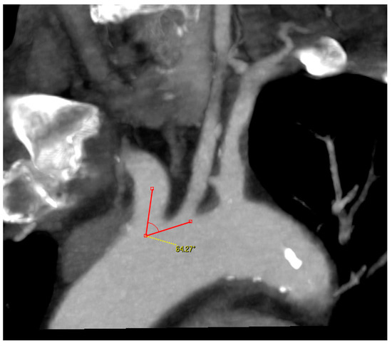
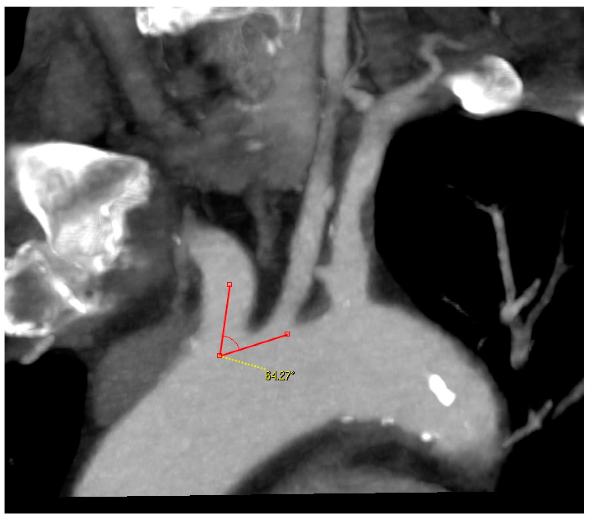
- Angle between the AA and the supra-aortic vessel: measured on the treated side only, through a multiplanar reconstruction and visualization of the AA in coronary and left anterior oblique (LAO) projection. One arm of the angle was drawn along the outer curvature of the AA and the second arm was placed in the middle of the CCA or brachiocephalic trunk. The right-side angle was chosen for selection criteria (Figure 3);
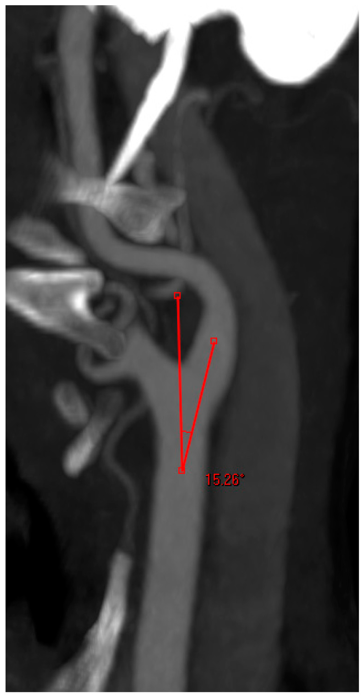
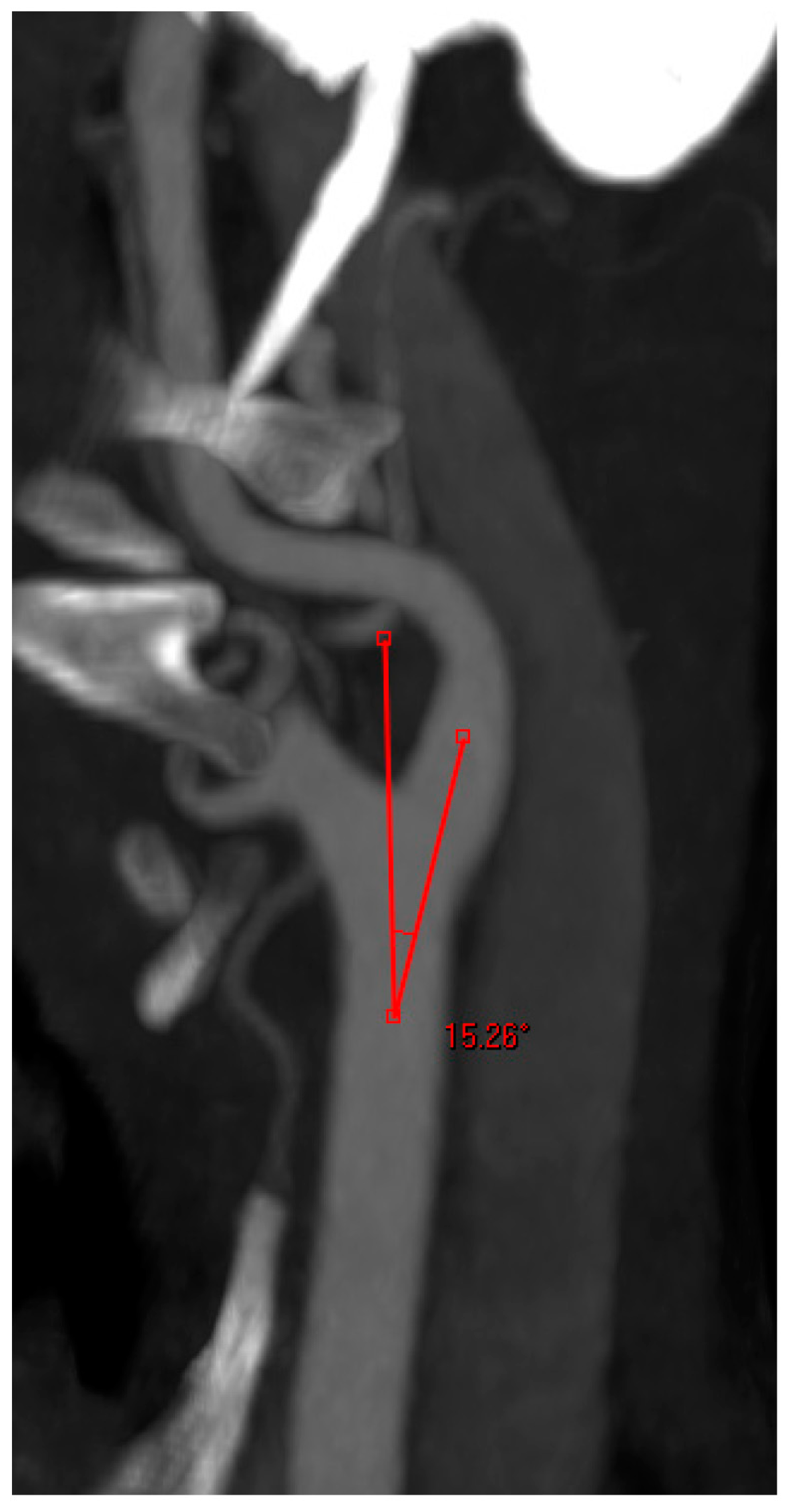
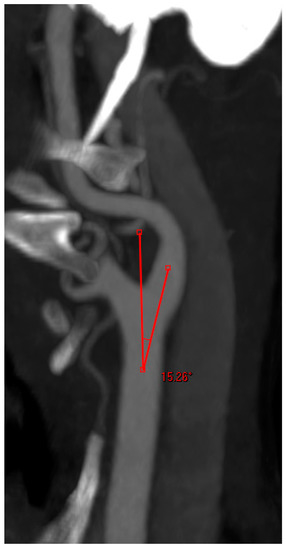
- Angle between the CCA and the ICA: measured on the treated side only. At the carotid bifurcation, one arm of the angle was placed along the central axis of the CCA and the other arm was drawn into the central axis of the ACI. The cranial angle was measured (Figure 4);
- Elongation, kinking and coiling: Elongation was defined as a curvature of the vessel >90° and kinking <90°. Coiling formation is defined as loop;
- Plaque morphology: if a CT scan was performed preoperatively, the plaque morphology was recorded by measuring Hounsfield units (HU). The vast majority of our patients received a CTA as secondary image modality. For the patients on whom an MRA was performed, plaque evaluation according to the HU was not possible. According to the HU, the plaques were classified as lipid core (−100–49 HU), fibrous (50–149 HU), or calcified (150–1300 HU) [13];
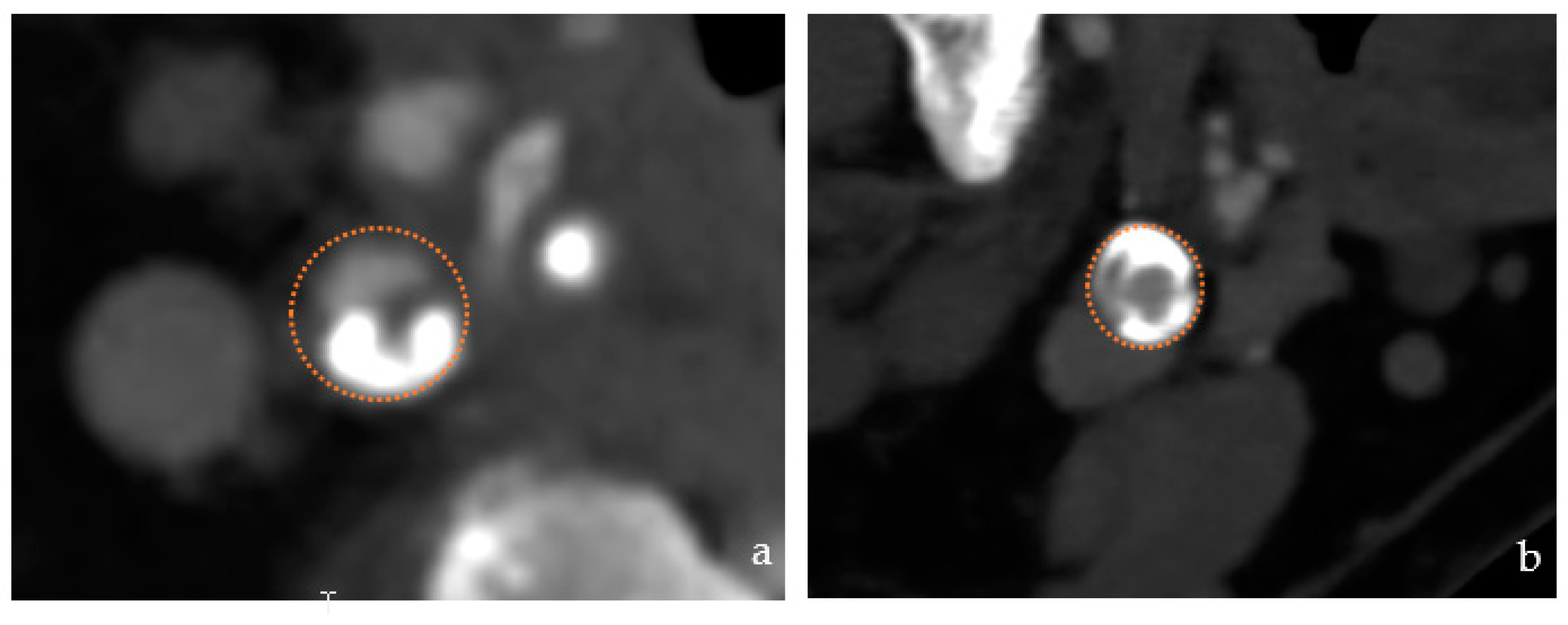
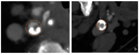
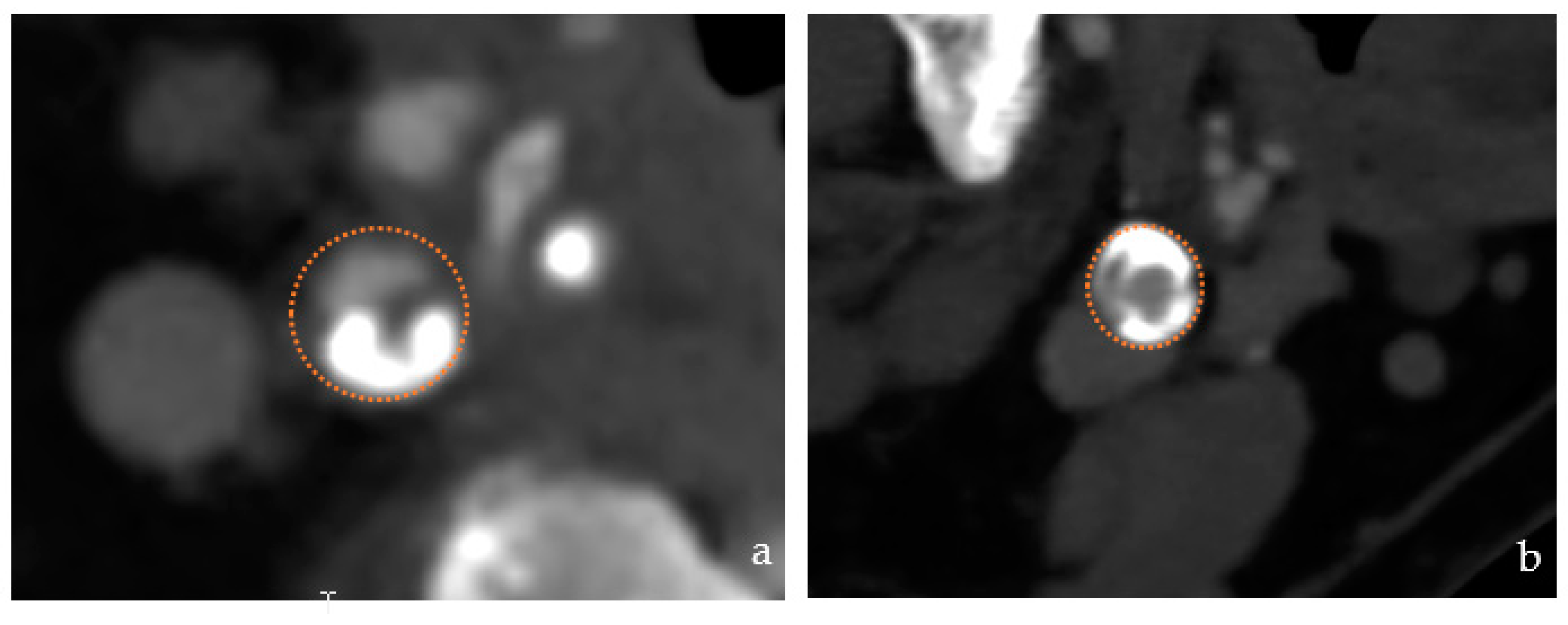
- Lesion type: target lesions were categorized as eccentric, concentric, or carotid near occlusion (>90° stenosis) (Figure 5).
2.4.2. Clinical Criteria
- Cardiovascular risk profile: arterial hypertension, diabetes mellitus, hyperlipidemia, smoking, and cardiac history;
- Classification according to symptoms: asymptomatic or symptomatic if neurological-associated symptoms occurred in the previous 6 months;
- Gender: male or female;
- Age;
- Preoperative medication: antihypertensive therapy, antiplatelet therapy and statins.
2.5. Statistical Analysis
3. Results
4. Discussion
Author Contributions
Funding
Institutional Review Board Statement
Informed Consent Statement
Data Availability Statement
Conflicts of Interest
References
- Statistisches Bundesamt. Todesursachen in Deutschland 2015. Fachserie 12 Reihe 4 2017. Available online: https://www.destatis.de/GPStatistik/servlets/MCRFileNodeServlet/DEHeft_derivate_00030839/2120400157004_korr10032017.pdf (accessed on 22 December 2022).
- Poeck, K.; Hacke, W. (Eds.) Zerebrale Durchblutungsstörungen: Ischämische Infarkte. In Neurologie, 1st ed.; Springer: Berlin/Heidelberg, Germany, 2006; pp. 164–222. [Google Scholar]
- Eckstein, H.H.; Kühnl, A.; Berkefeld, J.; Dörfler, A.; Kopp, I.; Langhoff, R.; Lawall, H.; Ringleb, P.; Sander, D.; Storck, M.; et al. S3-Leitlinie zur Diagnostik, Therapie und Nachsorge der extracraniellen Carotisstenose. 2020. Available online: https://www.awmf.org/uploads/tx_szleitlinien/004-028l_extracranielle-Carotisstenose-Diagnos-tik-Therapie-Nachsorge_2020-02_03.pdf (accessed on 22 December 2022).
- Brott, T.G.; Halperin, J.L.; Abbara, S.; Bacharach, J.M.; Barr, J.D.; Bush, R.L.; Cates, C.U.; Creager, M.A.; Fowler, S.B.; Friday, G. 2011 ASA/ACCF/AHA/ AANN/AANS/ACR/ASNR/CNS/SAIP/SCAI/SIR/SNIS/SVM/ SVS guideline on the management of patients with extracranial carotid and vertebral artery disease: Executive summary: A report of the American College of Cardiology Foundation/American Heart Association Task Force on Practice Guidelines, and the American Stroke Association, American Association of Neuroscience Nurses, American Association of Neurological Surgeons, American College of Radiology, American Society of Neuroradiology, Congress of Neurological Surgeons, Society of Atherosclerosis Imaging and Prevention, Society for Cardiovascular Angiography and Interventions, Society of Interventional Radiology, Society of NeuroInterventional Surgery, Society for Vascular Medicine, and Society for Vascular Surgery. Developed in collaboration with the American Academy of Neurology and Society of Cardiovascular Computed Tomography. Catheter. Cardiovasc. Interv. 2013, 81, E76–E123. [Google Scholar] [PubMed]
- Naylor, R.; Rantner, B.; Ancetti, S.; de Borst, G.J.; De Carlo, M.; Halliday, A.; Kakkos, S.K.; Markus, H.S.; McCabe, D.J.; Sillesen, H.; et al. Editor’s Choice—European Society for Vascular Surgery (ESVS) 2023 Clinical Practice Guidelines on the Management of Atherosclerotic Carotid and Vertebral Artery Disease. Eur. J. Vasc. Endovasc. Surg. 2022, 65, 7–111. [Google Scholar] [CrossRef] [PubMed]
- Brott, T.G.; Hobson, R.W., 2nd; Howard, G.; Roubin, G.S.; Clark, W.M.; Brooks, W.; Mackey, A.; Hill, M.D.; Leimgruber, P.P.; Sheffet, A.J.; et al. Stenting versus Endarterectomy for Treatment of Carotid-Artery Stenosis. N. Engl. J. Med. 2010, 363, 11–23. [Google Scholar] [CrossRef]
- SPACE Collaborative Group. 30 day results from the SPACE trial of stent-protected angioplasty versus carotid endarterectomy in symptomatic patients: A randomised non-inferiority trial. Lancet 2006, 368, 1239–1247. [Google Scholar] [CrossRef]
- Mas, J.-L.; Chatellier, G.; Beyssen, B.; Branchereau, A.; Moulin, T.; Becquemin, J.-P.; Larrue, V.; Lièvre, M.; Leys, D.; Bonneville, J.-F.; et al. Endarterectomy versus Stenting in Patients with Symptomatic Severe Carotid Stenosis. N. Engl. J. Med. 2006, 355, 1660–1671. [Google Scholar] [CrossRef] [PubMed]
- International Carotid Stenting Study investigators. Carotid artery stenting compared with endarterectomy in patients with symptomatic carotid stenosis (International Carotid Stenting Study): An interim analysis of a randomised controlled trial. Lancet 2010, 375, 985–997. [Google Scholar] [CrossRef] [PubMed]
- Werner, M.; Bausback, Y.; Bräunlich, S.; Ulrich, M.; Piorkowski, M.; Friedenberger, J.; Schuster, J.; Botsios, S.; Scheinert, D.; Schmidt, A. Anatomic variables contributing to a higher periprocedural incidence of stroke and TIA in carotid artery stenting. Catheter. Cardiovasc. Interv. 2012, 80, 321–328. [Google Scholar] [CrossRef]
- Setacci, C.; Chisci, E.; de Donato, G.; Setacci, F.; Sirignano, P.; Galzerano, G. Carotid Artery Stenting in a Single Center: Are Six Years of Experience Enough to Achieve the Standard of Care? Eur. J. Vasc. Endovasc. Surg. 2007, 34, 655–662. [Google Scholar] [CrossRef]
- Campos, V.M.; Órtiz, J.A.G.; Juste, C.T.; Peribáñez, M.J.G.; Serrano, C.; Lázaro, C.P.; Giral, I.d.B.; Ariza, M.d.G. Carotid artery stenting in a single center, single operator, single type of device and 15 years of follow-up. CVIR Endovasc. 2018, 1, 3. [Google Scholar] [CrossRef]
- Reith, W.; Roth, C. CT-Diagnostik bei Karotisstenose. Radiologie 2010, 50, 607–613. [Google Scholar] [CrossRef]
- Yadav, J.S.; Wholey, M.H.; Kuntz, R.E.; Fayad, P.; Katzen, B.T.; Mishkel, G.J.; Bajwa, T.K.; Whitlow, P.; Strickman, N.E.; Jaff, M.R.; et al. Protected Carotid-Artery Stenting versus Endarterectomy in High-Risk Patients. N. Engl. J. Med. 2004, 351, 1493–1501. [Google Scholar] [CrossRef]
- CAVATAS investigators. Endovascular versus surgical treatment in patients with carotid stenosis in the Carotid and Vertebral Artery Transluminal Angioplasty Study (CAVATAS): A randomised trial. Lancet 2001, 357, 1729–1737. [Google Scholar] [CrossRef]
- Rosenfield, K.; Matsumura, J.S.; Chaturvedi, S.; Riles, T.; Ansel, G.M.; Metzger, D.C.; Wechsler, L.; Jaff, M.R.; Gray, W. Randomized Trial of Stent versus Surgery for Asymptomatic Carotid Stenosis. N. Engl. J. Med. 2016, 374, 1011–1020. [Google Scholar] [CrossRef] [PubMed]
- Halliday, A.; Bulbulia, R.; Bonati, L.H.; Chester, J.; Cradduck-Bamford, A.; Peto, R.; Pan, H.; Potter, J.; Eckstein, H.H.; Farrell, B.; et al. Second asymptomatic carotid surgery trial (ACST-2): A randomised comparison of carotid artery stenting versus carotid endarterectomy. Lancet 2021, 398, 1065–1073. [Google Scholar] [CrossRef]
- Bonati, L.H.; Dobson, J.; Featherstone, R.L.; Ederle, J.; van der Worp, H.B.; de Borst, G.J.; Mali, W.P.T.M.; Beard, J.D.; Cleveland, T.; Engelter, S.T.; et al. Long-term outcomes after stenting versus endarterectomy for treatment of symptomatic carotid stenosis: The International Carotid Stenting Study (ICSS) randomised trial. Lancet 2015, 385, 529–538. [Google Scholar] [CrossRef]
- Matsumura, J.S.; Hanlon, B.M.; Rosenfield, K.; Voeks, J.H.; Howard, G.; Roubin, G.S.; Brott, T.G. Treatment of carotid stenosis in asymptomatic, nonoctogenarian, standard risk patients with stenting versus endarterectomy trials. J. Vasc. Surg. 2021, 75, 1276–1283.e1. [Google Scholar] [CrossRef] [PubMed]
- Mukherjee, D.; Roffi, M.; Kapadia, S.R.; Bhatt, D.L.; Bajzer, C.; Ziada, K.M.; Kalahasti, V.; Hughes, K.; Yadav, J.S. Percutaneous intervention for symptomatic vertebral artery stenosis using coronary stents. J. Invasive Cardiol. 2001, 13, 363–366. [Google Scholar] [PubMed]
- Lin, S.C.; Trocciola, S.M.; Rhee, J.; Dayal, R.; Chaer, R.; Morrissey, N.J.; Mureebe, L.; McKinsey, J.F.; Kent, K.C.; Faries, P.L. Analysis of Anatomic Factors and Age in Patients Undergoing Carotid Angioplasty and Stenting. Ann. Vasc. Surg. 2005, 19, 798–804. [Google Scholar] [CrossRef] [PubMed]
- Hicks, C.W.; Malas, M.B. Cerebrovascular disease-carotid artery stenting. In Rutherford’s Vascular Surgery and Endovascular Therapy; Sidaway, A.N., Pearlier, B.A., Eds.; Elsevier: Philadelphia, PA, USA, 2019; pp. 4071–4156. [Google Scholar]
- Suh, G.-Y.; Beygui, R.E.; Fleischmann, D.; Cheng, C.P. Aortic Arch Vessel Geometries and Deformations in Patients with Thoracic Aortic Aneurysms and Dissections. J. Vasc. Interv. Radiol. 2014, 25, 1903–1911. [Google Scholar] [CrossRef]
- Doig, D.; Hobson, B.; Müller, M.; Jäger, H.; Featherstone, R.; Brown, M.; Bonati, L.; Richards, T. Carotid Anatomy Does Not Predict the Risk of New Ischaemic Brain Lesions on Diffusion-Weighted Imaging after Carotid Artery Stenting in the ICSS-MRI Substudy. Eur. J. Vasc. Endovasc. Surg. 2016, 51, 14–20. [Google Scholar] [CrossRef]
- Macdonald, S.; Lee, R.; Williams, R.; Stansby, G. Towards Safer Carotid Artery Stenting. Stroke 2009, 40, 1698–1703. [Google Scholar] [CrossRef]
- Naggara, O.; Touzé, E.; Beyssen, B.; Trinquart, L.; Chatellier, G.; Meder, J.-F.; Mas, J.-L. Anatomical and Technical Factors Associated with Stroke or Death During Carotid Angioplasty and Stenting. Stroke 2011, 42, 380–388. [Google Scholar] [CrossRef] [PubMed]
- De Weert, T.T.; Ouhlous, M.; Meijering, E.; Zondervan, P.E.; Hendriks, J.M.; Van Sambeek, M.R.; Dippel, D.W.; Van Der Lugt, A. In Vivo Characterization and Quantification of Atherosclerotic Carotid Plaque Components with Multidetector Computed Tomography and Histopathological Correlation. Arter. Thromb. Vasc. Biol. 2006, 26, 2366–2372. [Google Scholar] [CrossRef] [PubMed]
- Mathiesen, E.B.; Joakimsen, O.; Bønaa, K.H. Prevalence of and Risk Factors Associated with Carotid Artery Stenosis: The Tromsø Study. Cerebrovasc. Dis. 2001, 12, 44–51. [Google Scholar] [CrossRef] [PubMed]
- Calvet, D.; Mas, J.-L.; Algra, A.; Becquemin, J.-P.; Bonati, L.; Dobson, J.; Fraedrich, G.; Jansen, O.; Mali, W.P.; Ringleb, P.A.; et al. Carotid stenting: Is there an operator effect? A pooled analysis from the carotid stenting trialists’ collaboration. Stroke 2014, 45, 527–532. [Google Scholar] [CrossRef]
- Setacci, C.; Cremonesi, A. SPACE and EVA-3S Trials: The Need of Standards for Carotid Stenting. Eur. J. Vasc. Endovasc. Surg. 2007, 33, 48–49. [Google Scholar] [CrossRef] [PubMed]
- Hobson, R.W., 2nd; Howard, V.J.; Roubin, G.S.; Ferguson, R.D.; Brott, T.G.; Howard, G.; Sheffet, A.J.; Roberts, J.; Hopkins, L.N.; Moore, W.S. Credentialing of surgeons as interventionalists for carotid artery stenting: Experience from the lead-in phase of CREST. J. Vasc. Surg. 2004, 40, 952–957. [Google Scholar] [CrossRef]
- Hung, C.-S.; Yeh, C.-F.; Lin, M.-S.; Chen, Y.-H.; Huang, C.-C.; Li, H.-Y.; Kao, H.-L. Impact of hospital volume on long-term neurological outcome in patients undergoing carotid artery stenting. Catheter. Cardiovasc. Interv. 2017, 89, 1242–1249. [Google Scholar] [CrossRef]
- Setacci, C.; Chisci, E.; Setacci, F.; Iacoponi, F.; De Donato, G.; Rossi, A. Siena carotid Artery Stenting Score: A Risk Modelling Study for Individual Patients. Stroke 2010, 41, 1259–1265. [Google Scholar] [CrossRef]
- Bosiers, M.; de Donato, G.; Deloose, K.; Verbist, J.; Peeters, P.; Castriota, F.; Cremonesi, A.; Setacci, C. Does Free Cell Area Influence the Outcome in Carotid Artery Stenting? Eur. J. Vasc. Endovasc. Surg. 2007, 33, 135–141. [Google Scholar] [CrossRef]
- Doig, D.; Turner, E.; Dobson, J.; Featherstone, R.; Lo, R.; Gaines, P.; Macdonald, S.; Bonati, L.; Clifton, A.; Brown, M. Predictors of Stroke, Myocardial Infarction or Death within 30 Days of Carotid Artery Stenting: Results from the International Carotid Stenting Study. Eur. J. Vasc. Endovasc. Surg. 2016, 51, 327–334. [Google Scholar] [CrossRef] [PubMed]
- Jansen, O.; Fiehler, J.; Hartmann, M.; Brückmann, H. Protection or Nonprotection in Carotid Stent Angioplasty: The influence of interventional techniques on outcome data from the SPACE Trial. Stroke 2009, 40, 841–846. [Google Scholar] [CrossRef] [PubMed]
- Timaran, C.H.; Rosero, E.B.; Higuera, A.; Ilarraza, A.; Modrall, J.G.; Clagett, G.P. Randomized clinical trial of open-cell vs closed-cell stents for carotid stenting and effects of stent design on cerebral embolization. J. Vasc. Surg. 2011, 54, 1310–1316.e1. [Google Scholar] [CrossRef]
- Jim, J.; Rubin, B.G.; Landis, G.S.; Kenwood, C.T.; Siami, F.S.; Sicard, G.A. Society for Vascular Surgery Vascular Registry evaluation of stent cell design on carotid artery stenting outcomes. J. Vasc. Surg. 2011, 54, 71–79. [Google Scholar] [CrossRef]
- Touzé, E.; Trinquart, L.; Chatellier, G.; Mas, J.-L. Systematic Review of the Perioperative Risks of Stroke or Death After Carotid Angioplasty and Stenting. Stroke 2009, 40, e683–e693. [Google Scholar] [CrossRef]
- Malas, M.B.; Dakour-Aridi, H.; Wang, G.J.; Kashyap, V.S.; Motaganahalli, R.L.; Eldrup-Jorgensen, J.; Cronenwett, J.L.; Shermerhorn, M.L. Transcarotid artery revascu-larization versus transfemoral carotid artery stenting in the Society for Vascular Surgery Vascular Quality Initiative. J. Vasc. Surg. 2019, 69, 92–103.e2. [Google Scholar] [CrossRef] [PubMed]
- Bonati, L.H.; Ederle, J.; McCabe, D.J.; Dobson, J.; Featherstone, R.L.; Gaines, P.A.; Beard, J.D.; Venables, G.S.; Markus, H.S.; Clifton, A.; et al. Long-term risk of carotid restenosis in patients randomly assigned to endovascular treatment or endarterectomy in the Carotid and Vertebral Artery Transluminal Angioplasty Study (CAVATAS): Long-term follow-up of a randomised trial. Lancet Neurol. 2009, 8, 908–917. [Google Scholar] [CrossRef]
- Fiehler, J.; Jansen, O.; Berger, J.; Eckstein, H.-H.; Ringleb, P.A.; Stingele, R. Differences in complication rates among the centres in the SPACE study. Neuroradiology 2008, 50, 1049–1053. [Google Scholar] [CrossRef]
- Institut für Qualitätssicherung und Transparenz im Gesundheitswesen (IQTIG). Karotis—Revaskularisation. 2020. Available online: https://iqtig.org/downloads/auswertung/2020/10n2karot/QSKH_10n2-KAROT_2020_BUAW_V01_2021-08-10.pdf (accessed on 23 December 2022).







| Patient Characteristics | Total |
|---|---|
| CAS procedures | 202 |
| Symptoms | |
| asymptomatic | 156 (77%) |
| symptomatic | 46 (23%) |
| Age (years) mean ± SD | 66 ± 9 |
| Gender | |
| Male | 166 (82%) |
| Female | 36 (18%) |
| Risk Factors | |
| Hypertension | 176 (87%) |
| Dyslipidemia | 122 (60%) |
| Diabetes mellitus | 64 (32%) |
| Coronary artery disease | 92(46%) |
| Peripheral arterial disease | 46 (22%) |
| Atrial fibrillation | 36 (18%) |
| Obesity | 56 (28%) |
| Current smoker | 65 (32%) |
| Preoperative medication | |
| ASS | 190 (94%) |
| Statins | 128 (63%) |
| Clopidogrel loading dose 300 mg | 202 (100%) |
| Lesion Characteristics | Total |
|---|---|
| Side | |
| Right | 123 (61%) |
| Left | 79 (39%) |
| Degree of stenosis (MW ± SD) | |
| Ipsilateral | 81% ± 11 |
| Contralateral | 25% ± 36 |
| Stenosis length (MW ± SD) | |
| Mean | 25 ± 8 mm |
| Vessel Diameter (MW ± SD) | |
| CCA | 7 ± 1 mm |
| ICA | 5 ± 0.7 mm |
| Aortic arch type | |
| Type I | 81 (40%) |
| Type II | 121 (60%) |
| Angle AA—supra-aortic vessel (MW ± SD) | |
| Type I AA—Brachiocephalic trunk | 77° ± 13° |
| Type I AA—left CCA | 68° ± 15° |
| Type II AA—Brachiocephalic trunk | 70° ± 16° |
| Type II AA—left CCA | 60° ± 12° |
| Angle CCA-ICA (MW ± SD) | 24° ± 8° |
| Plaque classification | |
| Lipid | 54 (39%) |
| Fibrous | 61 (44%) |
| Calcified | 23 (17%) |
| Vessel course variations | |
| Elongation | 40 (20%) |
| Kinking | 0 |
| Coiling | 0 |
| Type of Lesion | |
| Eccentric | 174 (86%) |
| Concentric | 15 (7%) |
| Carotid near occlusion | 13 (6%) |
| CAS | CEA | |
|---|---|---|
| Randomized Multicenter Trials | ||
| CAVATAS | 6.4% | 5.9% |
| SAPPHIRE | 4.4% | 9.9% |
| EVA-3S | 9.6% | 3.9% |
| SPACE | 6.8% | 6.3% |
| ICSS | 8.5% | 5.2% |
| CREST | 5.2% | 4.5% |
| ACT-I | 2.9% | 1.7% |
| ACST-II | 3.9% | 3.2% |
| Single Center Trials without Randomization | ||
| Werner, M. et al. [10] | 2.0% | - |
| Setacci, C. et al. [11] | 1.5% | 2.1% |
| Mayoral Campos et al. [12] | 2.3% | - |
| Bonifatius Hospital Lingen * | 1.5% | - |
Disclaimer/Publisher’s Note: The statements, opinions and data contained in all publications are solely those of the individual author(s) and contributor(s) and not of MDPI and/or the editor(s). MDPI and/or the editor(s) disclaim responsibility for any injury to people or property resulting from any ideas, methods, instructions or products referred to in the content. |
© 2023 by the authors. Licensee MDPI, Basel, Switzerland. This article is an open access article distributed under the terms and conditions of the Creative Commons Attribution (CC BY) license (https://creativecommons.org/licenses/by/4.0/).
Share and Cite
Calo, P.; Oberhuber, A.; Görtz, H. Patient Selection Criteria and Procedural Standardization for Carotid Artery Stenting—A Single Center Experience. J. Clin. Med. 2023, 12, 3534. https://doi.org/10.3390/jcm12103534
Calo P, Oberhuber A, Görtz H. Patient Selection Criteria and Procedural Standardization for Carotid Artery Stenting—A Single Center Experience. Journal of Clinical Medicine. 2023; 12(10):3534. https://doi.org/10.3390/jcm12103534
Chicago/Turabian StyleCalo, Paolo, Alexander Oberhuber, and Hartmut Görtz. 2023. "Patient Selection Criteria and Procedural Standardization for Carotid Artery Stenting—A Single Center Experience" Journal of Clinical Medicine 12, no. 10: 3534. https://doi.org/10.3390/jcm12103534
APA StyleCalo, P., Oberhuber, A., & Görtz, H. (2023). Patient Selection Criteria and Procedural Standardization for Carotid Artery Stenting—A Single Center Experience. Journal of Clinical Medicine, 12(10), 3534. https://doi.org/10.3390/jcm12103534

