Pathological Complete Response Following Neoadjuvant Tislelizumab Monotherapy in Treatment-Naive Locally Advanced, MMR-Deficient/MSI-High Ascending Colon Cancer: A Case Report
Abstract
1. Introduction
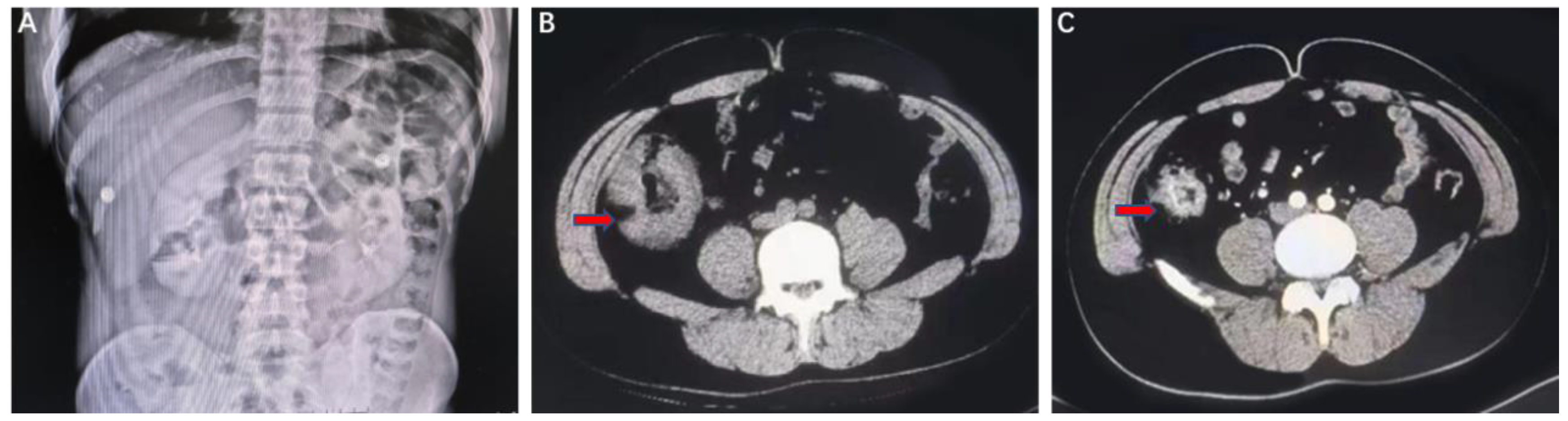
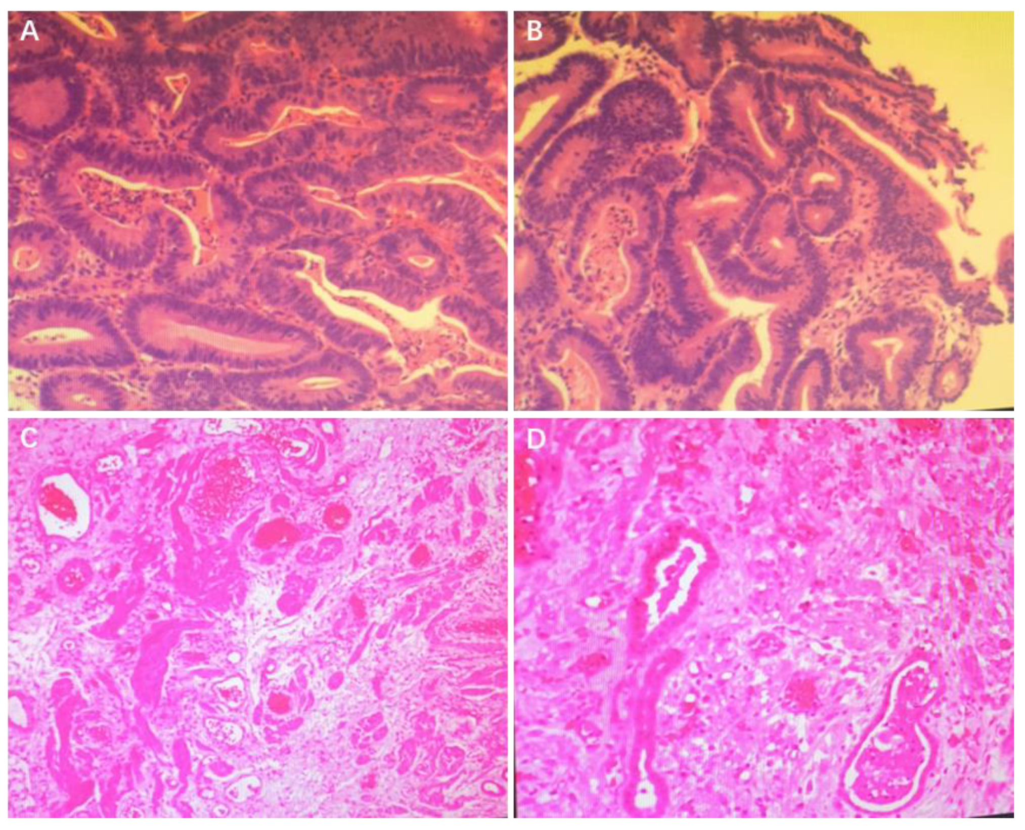
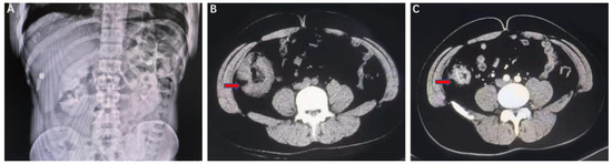
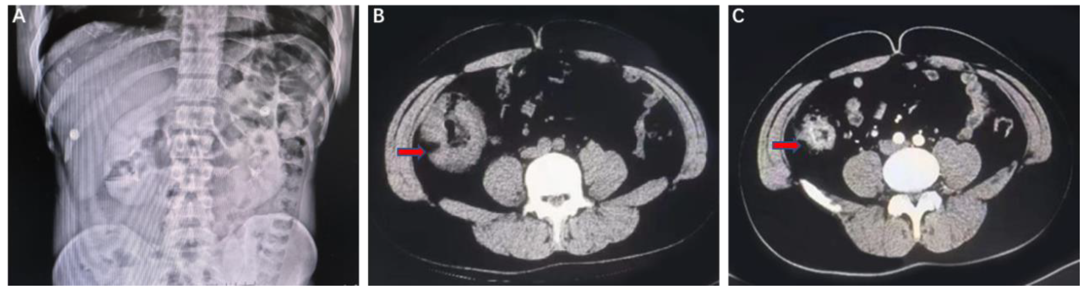
2. Case Presentation
3. Discussion
4. Conclusions
Supplementary Materials
Author Contributions
Funding
Institutional Review Board Statement
Informed Consent Statement
Data Availability Statement
Conflicts of Interest
References
- Zhang, X.; Wu, T.; Cai, X.; Dong, J.; Xia, C.; Zhou, Y.; Ding, R.; Yang, R.; Tan, J.; Zhang, L.; et al. Neoadjuvant immunotherapy for msi-h/dmmr locally advanced colorectal cancer: New strategies and unveiled opportunities. Front. Immunol. 2022, 13, 795972. [Google Scholar] [CrossRef] [PubMed]
- Demisse, R.; Damle, N.; Kim, E.; Gong, J.; Fakih, M.; Eng, C.; Oesterich, L.; Mckenny, M.; Ji, J.; Liu, J.; et al. Neoadjuvant immunotherapy-based systemic treatment in mmr-deficient or msi-high rectal cancer: Case series. J. Natl. Compr. Canc. Netw. 2020, 18, 798–804. [Google Scholar] [CrossRef]
- Chalabi, M.; Fanchi, L.F.; Dijkstra, K.K.; Van den Berg, J.G.; Aalbers, A.G.; Sikorska, K.; Lopez-Yurda, M.; Grootscholten, C.; Beets, G.L.; Snaebjornsson, P.; et al. Neoadjuvant immunotherapy leads to pathological responses in mmr-proficient and mmr-deficient early-stage colon cancers. Nat. Med. 2020, 26, 566–576. [Google Scholar] [CrossRef] [PubMed]
- Liu, D.X.; Li, D.D.; He, W.; Ke, C.F.; Jiang, W.; Tang, J.H.; Kong, L.H.; Li, Y.; Sui, Q.Q.; Xiao, B.Y.; et al. Pd-1 blockade in neoadjuvant setting of dna mismatch repair-deficient/microsatellite instability-high colorectal cancer. Oncoimmunology 2020, 9, 1711650. [Google Scholar] [CrossRef]
- Cercek, A.; Lumish, M.; Sinopoli, J.; Weiss, J.; Shia, J.; Lamendola-Essel, M.; El, D.I.; Segal, N.; Shcherba, M.; Sugarman, R.; et al. Pd-1 blockade in mismatch repair-deficient, locally advanced rectal cancer. N. Engl. J. Med. 2022, 386, 2363–2376. [Google Scholar] [CrossRef] [PubMed]
- Lee, A.; Keam, S.J. Tislelizumab: First approval. Drugs 2020, 80, 617–624. [Google Scholar] [CrossRef] [PubMed]
- Zhang, M.; Yang, H.; Chen, L.; Du, K.; Zhao, L.; Wei, L. Pathological complete response in mmr-deficient/msi-high and kras-mutant patient with locally advanced rectal cancer after neoadjuvant chemoradiation with immunotherapy: A case report. Front. Oncol. 2022, 12, 926480. [Google Scholar] [CrossRef]
- Ni, K.; Zhan, Y.; Liu, Z.; Zhao, X.Z.; Wang, W.; Wang, G.; Zhang, Z.; Li, G.; Zhang, X.; Zhang, C. Mismatch repair system deficiency is associated with chemoradiotherapy resistance in locally advanced rectal adenocarcinoma patients. J. Surg. Oncol. 2022, 125, 692–702. [Google Scholar] [CrossRef]
- Cercek, A.; Dos, S.F.G.; Roxburgh, C.S.; Ganesh, K.; Ng, S.; Sanchez-Vega, F.; Yaeger, R.; Segal, N.H.; Reidy-Lagunes, D.L.; Varghese, A.M.; et al. Mismatch repair-deficient rectal cancer and resistance to neoadjuvant chemotherapy. Clin. Cancer Res. 2020, 26, 3271–3279. [Google Scholar] [CrossRef]
- Trojan, J.; Stintzing, S.; Haase, O.; Koch, C.; Ziegler, P.; Demes, M.; Jelas, I. Complete pathological response after neoadjuvant short-course immunotherapy with ipilimumab and nivolumab in locally advanced msi-h/dmmr rectal cancer. Oncologist 2021, 26, e2110–e2114. [Google Scholar] [CrossRef]
- Zhang, J.; Cai, J.; Deng, Y.; Wang, H. Complete response in patients with locally advanced rectal cancer after neoadjuvant treatment with nivolumab. Oncoimmunology 2019, 8, e1663108. [Google Scholar] [CrossRef] [PubMed]
- Zhang, X.; Yang, R.; Wu, T.; Cai, X.; Li, G.; Yu, K.; Li, Y.; Ding, R.; Dong, C.; Li, J.; et al. Efficacy and safety of neoadjuvant monoimmunotherapy with pd-1 inhibitor for dmmr/msi⁃h locally advanced colorectal cancer: A single-center real-world study. Front. Immunol. 2022, 13, 913483. [Google Scholar] [CrossRef] [PubMed]
- Wang, Y.; Yang, L.; Bao, H.; Fan, X.; Xia, F.; Wan, J.; Shen, L.; Guan, Y.; Bao, H.; Wu, X.; et al. Utility of ctdna in predicting response to neoadjuvant chemoradiotherapy and prognosis assessment in locally advanced rectal cancer: A prospective cohort study. PLoS Med. 2021, 18, e1003741. [Google Scholar] [CrossRef] [PubMed]
- Tan, S.; Zhu, G.; Fan, J.; Chen, J.; Li, X.; Peng, Y.; Su, S.; Fang, C.; Yang, X.; Li, B. Immune checkpoint inhibitor-induced colitis complicated with inflammatory intestinal obstruction: A case report and literature review. Transl. Cancer Res. 2022, 11, 2443–2448. [Google Scholar] [CrossRef] [PubMed]
- Wu, Z.; Hu, H.; Wang, C.; Zhang, J.; Cai, Y.; Xie, X.; Huang, Y.; Deng, Y. The prognostic and predictive value of mismatch repair status in patients with locally advanced rectal cancer following neoadjuvant therapy. Ann. Transl. Med. 2022, 10, 491. [Google Scholar] [CrossRef] [PubMed]
- Yang, Z.; Zhang, X.; Zhang, J.; Gao, J.; Bai, Z.; Deng, W.; Chen, G.; An, Y.; Liu, Y.; Wei, Q.; et al. Rationale and design of a prospective, multicenter, phase ii clinical trial of safety and efficacy evaluation of long course neoadjuvant chemoradiotherapy plus tislelizumab followed by total mesorectal excision for locally advanced rectal cancer (ncrt-pd1-larc trial). BMC Cancer 2022, 22, 462. [Google Scholar]
- Bando, H.; Tsukada, Y.; Inamori, K.; Togashi, Y.; Koyama, S.; Kotani, D.; Fukuoka, S.; Yuki, S.; Komatsu, Y.; Homma, S.; et al. Preoperative chemoradiotherapy plus nivolumab before surgery in patients with microsatellite stable and microsatellite instability-high locally advanced rectal cancer. Clin. Cancer Res. 2022, 28, 1136–1146. [Google Scholar] [CrossRef]
- Acar, T.; Acar, N.; Kamer, E.; Tekindal, M.A.; Cengiz, F.; Kar, H.; Atahan, K.; Haciyanli, M. Do microsatellite instability (msi) and deficient mismatch repair (dmmr) affect the pathologic complete response (pcr) in patients with rectal cancer who received neoadjuvant treatment? Updat. Surg. 2020, 72, 73–82. [Google Scholar] [CrossRef]
- Ye, S.B.; Cheng, Y.K.; Zhang, L.; Zou, Y.F.; Chen, P.; Deng, Y.H.; Huang, Y.; Peng, J.H.; Wu, X.J.; Lan, P. Association of mismatch repair status with survival and response to neoadjuvant chemo(radio)therapy in rectal cancer. NPJ Precis Oncol. 2020, 4, 26. [Google Scholar] [CrossRef]
- Budczies, J.; Seidel, A.; Christopoulos, P.; Endris, V.; Kloor, M.; Gyorffy, B.; Seliger, B.; Schirmacher, P.; Stenzinger, A.; Denkert, C. Integrated analysis of the immunological and genetic status in and across cancer types: Impact of mutational signatures beyond tumor mutational burden. Oncoimmunology 2018, 7, e1526613. [Google Scholar] [CrossRef]
- Takahashi, H.; Watanabe, H.; Hashimura, M.; Matsumoto, T.; Yokoi, A.; Nakagawa, M.; Ishibashi, Y.; Ito, T.; Ohhigata, K.; Saegusa, M. A combination of stromal pd-l1 and tumoral nuclear β-catenin expression as an indicator of colorectal carcinoma progression and resistance to chemoradiotherapy in locally advanced rectal carcinoma. J. Pathol. Clin. Res. 2022, 8, 458–469. [Google Scholar] [CrossRef] [PubMed]


| Immuno-positive | PMS2 mutation | POLE not detected | POLD1 not detected |
| Immuno-negative | B2M mutation | JAK1 mutation | STK11 not detected |
| Hyperprogression | None | ||
| TMB | 65.9 Muts/Mb | ||
| MSI-H | PMS2 mutation | ||
Disclaimer/Publisher’s Note: The statements, opinions and data contained in all publications are solely those of the individual author(s) and contributor(s) and not of MDPI and/or the editor(s). MDPI and/or the editor(s) disclaim responsibility for any injury to people or property resulting from any ideas, methods, instructions or products referred to in the content. |
© 2022 by the authors. Licensee MDPI, Basel, Switzerland. This article is an open access article distributed under the terms and conditions of the Creative Commons Attribution (CC BY) license (https://creativecommons.org/licenses/by/4.0/).
Share and Cite
Hei, Y.; Yang, R.; Kong, S.; Zhang, H.; Chen, Y. Pathological Complete Response Following Neoadjuvant Tislelizumab Monotherapy in Treatment-Naive Locally Advanced, MMR-Deficient/MSI-High Ascending Colon Cancer: A Case Report. J. Clin. Med. 2023, 12, 240. https://doi.org/10.3390/jcm12010240
Hei Y, Yang R, Kong S, Zhang H, Chen Y. Pathological Complete Response Following Neoadjuvant Tislelizumab Monotherapy in Treatment-Naive Locally Advanced, MMR-Deficient/MSI-High Ascending Colon Cancer: A Case Report. Journal of Clinical Medicine. 2023; 12(1):240. https://doi.org/10.3390/jcm12010240
Chicago/Turabian StyleHei, Yue, Ruixia Yang, Shengnan Kong, Hongmei Zhang, and Yan Chen. 2023. "Pathological Complete Response Following Neoadjuvant Tislelizumab Monotherapy in Treatment-Naive Locally Advanced, MMR-Deficient/MSI-High Ascending Colon Cancer: A Case Report" Journal of Clinical Medicine 12, no. 1: 240. https://doi.org/10.3390/jcm12010240
APA StyleHei, Y., Yang, R., Kong, S., Zhang, H., & Chen, Y. (2023). Pathological Complete Response Following Neoadjuvant Tislelizumab Monotherapy in Treatment-Naive Locally Advanced, MMR-Deficient/MSI-High Ascending Colon Cancer: A Case Report. Journal of Clinical Medicine, 12(1), 240. https://doi.org/10.3390/jcm12010240

