Influence of Baseline CT Body Composition Parameters on Survival in Patients with Pancreatic Adenocarcinoma
Abstract
:1. Introduction
2. Materials and Methods
2.1. Study Design
2.2. Patient Population and Characteristics
2.3. Data Collection, Follow-Up, and Endpoints
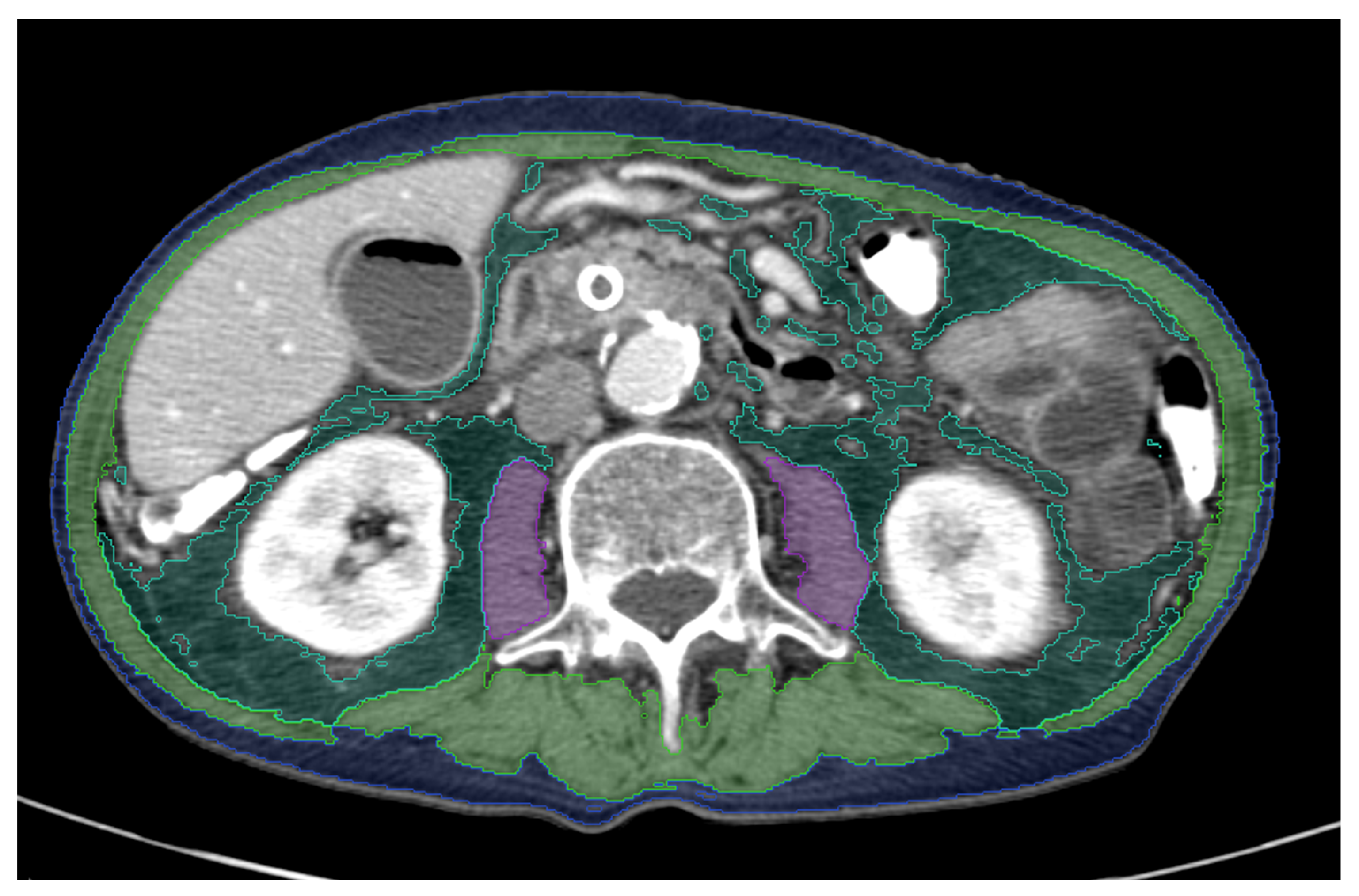
2.4. AI-Based Body Composition Analysis
2.5. Statistical Analysis
3. Results
3.1. Baseline Data
3.2. AI-Based Body Composition Parameters and Cut-Off Values
3.3. Cox Regression Survival Analysis Using AI-Derived Body Composition Parameters as Independent Variates
3.4. Comparison of Effects of AI-Based Body Composition Parameters on Survival between Patients Undergoing Surgical Versus Nonsurgical Treatment
4. Discussion
5. Conclusions
Author Contributions
Funding
Institutional Review Board Statement
Informed Consent Statement
Data Availability Statement
Acknowledgments
Conflicts of Interest
References
- Sung, H.; Ferlay, J.; Siegel, R.L.; Laversanne, M.; Soerjomataram, I.; Jemal, A.; Bray, F. Global Cancer Statistics 2020: GLOBOCAN Estimates of Incidence and Mortality Worldwide for 36 Cancers in 185 Countries. CA Cancer J. Clin. 2021, 71, 209–249. [Google Scholar] [CrossRef] [PubMed]
- Kunzmann, V.; Siveke, J.T.; Algül, H.; Goekkurt, E.; Siegler, G.; Martens, U.; Waldschmidt, D.; Pelzer, U.; Fuchs, M.; Kullmann, F.; et al. Nab-paclitaxel plus gemcitabine versus nab-paclitaxel plus gemcitabine followed by FOLFIRINOX induction chemotherapy in locally advanced pancreatic cancer (NEOLAP-AIO-PAK-0113): A multicentre, randomised, phase 2 trial. Lancet Gastroenterol. Hepatol. 2021, 6, 128–138. [Google Scholar] [CrossRef]
- Hackert, T.; Sachsenmaier, M.; Hinz, U.; Schneider, L.; Michalski, C.W.; Springfeld, C.; Strobel, O.; Jäger, D.; Ulrich, A.; Büchler, M.W. Locally Advanced Pancreatic Cancer: Neoadjuvant Therapy With Folfirinox Results in Resectability in 60% of the Patients. Ann. Surg. 2016, 264, 457–463. [Google Scholar] [CrossRef]
- Mizrahi, J.D.; Surana, R.; Valle, J.W.; Shroff, R.T. Pancreatic cancer. Lancet 2020, 395, 2008–2020. [Google Scholar] [CrossRef]
- Ryan, D.P.; Hong, T.S.; Bardeesy, N. Pancreatic adenocarcinoma. N. Engl. J. Med. 2014, 371, 1039–1049. [Google Scholar] [CrossRef] [PubMed]
- Moore, A.; Donahue, T. Pancreatic Cancer. JAMA 2019, 322, 1426. [Google Scholar] [CrossRef] [Green Version]
- Yuan, C.; Babic, A.; Khalaf, N.; Nowak, J.A.; Brais, L.K.; Rubinson, D.A.; Ng, K.; Aguirre, A.J.; Pandharipande, P.V.; Fuchs, C.S.; et al. Diabetes, Weight Change, and Pancreatic Cancer Risk. JAMA Oncol. 2020, 6, e202948. [Google Scholar] [CrossRef]
- Newman, A.B.; Lee, J.S.; Visser, M.; Goodpaster, B.H.; Kritchevsky, S.B.; Tylavsky, F.A.; Nevitt, M.; Harris, T.B. Weight change and the conservation of lean mass in old age: The Health, Aging and Body Composition Study. Am. J. Clin. Nutr. 2005, 82, 872–878; quiz 915–876. [Google Scholar] [CrossRef] [PubMed] [Green Version]
- Prado, C.M.; Wells, J.C.; Smith, S.R.; Stephan, B.C.; Siervo, M. Sarcopenic obesity: A Critical appraisal of the current evidence. Clin. Nutr. 2012, 31, 583–601. [Google Scholar] [CrossRef]
- Fletcher, J.G.; Wiersema, M.J.; Farrell, M.A.; Fidler, J.L.; Burgart, L.J.; Koyama, T.; Johnson, C.D.; Stephens, D.H.; Ward, E.M.; Harmsen, W.S. Pancreatic malignancy: Value of arterial, pancreatic, and hepatic phase imaging with multi-detector row CT. Radiology 2003, 229, 81–90. [Google Scholar] [CrossRef]
- Brook, O.R.; Gourtsoyianni, S.; Brook, A.; Siewert, B.; Kent, T.; Raptopoulos, V. Split-bolus spectral multidetector CT of the pancreas: Assessment of radiation dose and tumor conspicuity. Radiology 2013, 269, 139–148. [Google Scholar] [CrossRef] [PubMed]
- Chen, F.M.; Ni, J.M.; Zhang, Z.Y.; Zhang, L.; Li, B.; Jiang, C.J. Presurgical Evaluation of Pancreatic Cancer: A Comprehensive Imaging Comparison of CT Versus MRI. AJR Am. J. Roentgenol. 2016, 206, 526–535. [Google Scholar] [CrossRef]
- Al-Hawary, M.M.; Francis, I.R.; Chari, S.T.; Fishman, E.K.; Hough, D.M.; Lu, D.S.; Macari, M.; Megibow, A.J.; Miller, F.H.; Mortele, K.J.; et al. Pancreatic ductal adenocarcinoma radiology reporting template: Consensus statement of the Society of Abdominal Radiology and the American Pancreatic Association. Radiology 2014, 270, 248–260. [Google Scholar] [CrossRef] [Green Version]
- Sultana, R.N.; Sabag, A.; Keating, S.E.; Johnson, N.A. The Effect of Low-Volume High-Intensity Interval Training on Body Composition and Cardiorespiratory Fitness: A Systematic Review and Meta-Analysis. Sports Med. 2019, 49, 1687–1721. [Google Scholar] [CrossRef] [PubMed]
- Keating, S.E.; Johnson, N.A.; Mielke, G.I.; Coombes, J.S. A systematic review and meta-analysis of interval training versus moderate-intensity continuous training on body adiposity. Obes. Rev. 2017, 18, 943–964. [Google Scholar] [CrossRef] [PubMed]
- Beetz, N.L.; Maier, C.; Segger, L.; Shnayien, S.; Trippel, T.D.; Geisel, D.; Fehrenbach, U. First PACS-integrated, artificial intelligence-based software tool for rapid and fully automatic analysis of body composition from CT in clinical routine. JCSM Clin. Rep. 2021, 7, 3–11. [Google Scholar] [CrossRef]
- Cespedes Feliciano, E.M.; Popuri, K.; Cobzas, D.; Baracos, V.E.; Beg, M.F.; Khan, A.D.; Ma, C.; Chow, V.; Prado, C.M.; Xiao, J.; et al. Evaluation of automated computed tomography segmentation to assess body composition and mortality associations in cancer patients. J. Cachexia Sarcopenia Muscle 2020, 11, 1258–1269. [Google Scholar] [CrossRef] [Green Version]
- Cruz-Jentoft, A.J.; Baeyens, J.P.; Bauer, J.M.; Boirie, Y.; Cederholm, T.; Landi, F.; Martin, F.C.; Michel, J.P.; Rolland, Y.; Schneider, S.M.; et al. Sarcopenia: European consensus on definition and diagnosis: Report of the European Working Group on Sarcopenia in Older People. Age Ageing 2010, 39, 412–423. [Google Scholar] [CrossRef] [Green Version]
- Prado, C.M.; Lieffers, J.R.; McCargar, L.J.; Reiman, T.; Sawyer, M.B.; Martin, L.; Baracos, V.E. Prevalence and clinical implications of sarcopenic obesity in patients with solid tumours of the respiratory and gastrointestinal tracts: A population-based study. Lancet Oncol. 2008, 9, 629–635. [Google Scholar] [CrossRef]
- Kofler, M.; Reinstadler, S.J.; Mayr, A.; Stastny, L.; Reindl, M.; Dumfarth, J.; Dachs, T.M.; Wachter, K.; Rustenbach, C.J.; Friedrich, G.; et al. Prognostic implications of psoas muscle area in patients undergoing transcatheter aortic valve implantation. Eur. J. Cardio-Thorac. Surg. 2019, 55, 210–216. [Google Scholar] [CrossRef] [Green Version]
- Canoy, D.; Boekholdt, S.M.; Wareham, N.; Luben, R.; Welch, A.; Bingham, S.; Buchan, I.; Day, N.; Khaw, K.T. Body fat distribution and risk of coronary heart disease in men and women in the European Prospective Investigation Into Cancer and Nutrition in Norfolk cohort: A population-based prospective study. Circulation 2007, 116, 2933–2943. [Google Scholar] [CrossRef] [PubMed] [Green Version]
- Beetz, N.L.; Maier, C.; Shnayien, S.; Trippel, T.D.; Gehle, P.; Fehrenbach, U.; Geisel, D. Artificial intelligence-based analysis of body composition in Marfan: Skeletal muscle density and psoas muscle index predict aortic enlargement. J. Cachexia Sarcopenia Muscle 2021, 12, 993–999. [Google Scholar] [CrossRef] [PubMed]
- Fehrenbach, U.; Wuensch, T.; Gabriel, P.; Segger, L.; Yamaguchi, T.; Auer, T.A.; Beetz, N.L.; Denecke, C.; Kröll, D.; Raakow, J.; et al. CT Body Composition of Sarcopenia and Sarcopenic Obesity: Predictors of Postoperative Complications and Survival in Patients with Locally Advanced Esophageal Adenocarcinoma. Cancers 2021, 13, 2921. [Google Scholar] [CrossRef]
- Chan, M.Y.; Chok, K.S.H. Sarcopenia in pancreatic cancer-effects on surgical outcomes and chemotherapy. World J. Gastrointest. Oncol. 2019, 11, 527–537. [Google Scholar] [CrossRef]
- Mintziras, I.; Miligkos, M.; Wächter, S.; Manoharan, J.; Maurer, E.; Bartsch, D.K. Sarcopenia and sarcopenic obesity are significantly associated with poorer overall survival in patients with pancreatic cancer: Systematic review and meta-analysis. Int. J. Surg. 2018, 59, 19–26. [Google Scholar] [CrossRef] [PubMed]
- Haslam, D.W.; James, W.P. Obesity. Lancet 2005, 366, 1197–1209. [Google Scholar] [CrossRef]
- Lee, S.Y.; Gallagher, D. Assessment methods in human body composition. Curr. Opin. Clin. Nutr. Metab. Care 2008, 11, 566–572. [Google Scholar] [CrossRef] [PubMed] [Green Version]
- Agostini, A.; Borgheresi, A.; Mari, A.; Floridi, C.; Bruno, F.; Carotti, M.; Schicchi, N.; Barile, A.; Maggi, S.; Giovagnoni, A. Dual-energy CT: Theoretical principles and clinical applications. Radiol. Med. 2019, 124, 1281–1295. [Google Scholar] [CrossRef] [PubMed]
- Fakhrawi, D.H.; Beeson, L.; Libanati, C.; Feleke, D.; Kim, H.; Quansah, A.; Darnell, A.; Lammi-Keefe, C.J.; Cordero-MacIntyre, Z. Comparison of body composition by bioelectrical impedance and dual-energy X-ray absorptiometry in overweight/obese postmenopausal women. J. Clin. Densitom. 2009, 12, 238–244. [Google Scholar] [CrossRef]
- Gibson, D.J.; Burden, S.T.; Strauss, B.J.; Todd, C.; Lal, S. The role of computed tomography in evaluating body composition and the influence of reduced muscle mass on clinical outcome in abdominal malignancy: A systematic review. Eur. J. Clin. Nutr. 2015, 69, 1079–1086. [Google Scholar] [CrossRef]
- Faron, A.; Sprinkart, A.M.; Kuetting, D.L.R.; Feisst, A.; Isaak, A.; Endler, C.; Chang, J.; Nowak, S.; Block, W.; Thomas, D.; et al. Body composition analysis using CT and MRI: Intra-individual intermodal comparison of muscle mass and myosteatosis. Sci. Rep. 2020, 10, 11765. [Google Scholar] [CrossRef]
- Mourtzakis, M.; Prado, C.M.; Lieffers, J.R.; Reiman, T.; McCargar, L.J.; Baracos, V.E. A practical and precise approach to quantification of body composition in cancer patients using computed tomography images acquired during routine care. Appl. Physiol. Nutr. Metab. 2008, 33, 997–1006. [Google Scholar] [CrossRef]
- Fearon, K.; Strasser, F.; Anker, S.D.; Bosaeus, I.; Bruera, E.; Fainsinger, R.L.; Jatoi, A.; Loprinzi, C.; MacDonald, N.; Mantovani, G.; et al. Definition and classification of cancer cachexia: An international consensus. Lancet Oncol. 2011, 12, 489–495. [Google Scholar] [CrossRef]
- Gruber, E.S.; Jomrich, G.; Tamandl, D.; Gnant, M.; Schindl, M.; Sahora, K. Sarcopenia and sarcopenic obesity are independent adverse prognostic factors in resectable pancreatic ductal adenocarcinoma. PLoS ONE 2019, 14, e0215915. [Google Scholar] [CrossRef]
- Centonze, L.; Di Sandro, S.; Lauterio, A.; De Carlis, R.; Botta, F.; Mariani, A.; Bagnardi, V.; De Carlis, L. The Impact of Sarcopenia on Postoperative Course following Pancreatoduodenectomy: Single-Center Experience of 110 Consecutive Cases. Dig. Surg. 2020, 37, 312–320. [Google Scholar] [CrossRef]
- Wagner, D.; Büttner, S.; Kim, Y.; Gani, F.; Xu, L.; Margonis, G.A.; Amini, N.; Kamel, I.R.; Pawlik, T.M. Clinical and morphometric parameters of frailty for prediction of mortality following hepatopancreaticobiliary surgery in the elderly. Br. J. Surg. 2016, 103, e83–e92. [Google Scholar] [CrossRef]
- Wagner, D.; Marsoner, K.; Tomberger, A.; Haybaeck, J.; Haas, J.; Werkgartner, G.; Cerwenka, H.; Bacher, H.; Mischinger, H.J.; Kornprat, P. Low skeletal muscle mass outperforms the Charlson Comorbidity Index in risk prediction in patients undergoing pancreatic resections. Eur. J. Surg. Oncol. 2018, 44, 658–663. [Google Scholar] [CrossRef] [PubMed]
- Choi, Y.; Oh, D.Y.; Kim, T.Y.; Lee, K.H.; Han, S.W.; Im, S.A.; Kim, T.Y.; Bang, Y.J. Skeletal Muscle Depletion Predicts the Prognosis of Patients with Advanced Pancreatic Cancer Undergoing Palliative Chemotherapy, Independent of Body Mass Index. PLoS ONE 2015, 10, e0139749. [Google Scholar] [CrossRef] [Green Version]
- Ninomiya, G.; Fujii, T.; Yamada, S.; Yabusaki, N.; Suzuki, K.; Iwata, N.; Kanda, M.; Hayashi, M.; Tanaka, C.; Nakayama, G.; et al. Clinical impact of sarcopenia on prognosis in pancreatic ductal adenocarcinoma: A retrospective cohort study. Int. J. Surg. 2017, 39, 45–51. [Google Scholar] [CrossRef]
- Pipek, L.Z.; Baptista, C.G.; Nascimento, R.F.V.; Taba, J.V.; Suzuki, M.O.; do Nascimento, F.S.; Martines, D.R.; Nii, F.; Iuamoto, L.R.; Carneiro-D’Albuquerque, L.A.; et al. The impact of properly diagnosed sarcopenia on postoperative outcomes after gastrointestinal surgery: A systematic review and meta-analysis. PLoS ONE 2020, 15, e0237740. [Google Scholar] [CrossRef]
- van de Bool, C.; Rutten, E.P.A.; van Helvoort, A.; Franssen, F.M.E.; Wouters, E.F.M.; Schols, A. A randomized clinical trial investigating the efficacy of targeted nutrition as adjunct to exercise training in COPD. J. Cachexia Sarcopenia Muscle 2017, 8, 748–758. [Google Scholar] [CrossRef] [PubMed] [Green Version]
- Naito, T.; Mitsunaga, S.; Miura, S.; Tatematsu, N.; Inano, T.; Mouri, T.; Tsuji, T.; Higashiguchi, T.; Inui, A.; Okayama, T.; et al. Feasibility of early multimodal interventions for elderly patients with advanced pancreatic and non-small-cell lung cancer. J. Cachexia Sarcopenia Muscle 2019, 10, 73–83. [Google Scholar] [CrossRef] [PubMed] [Green Version]
- Hsu, T.H.; Schawkat, K.; Berkowitz, S.J.; Wei, J.L.; Makoyeva, A.; Legare, K.; DeCicco, C.; Paez, S.N.; Wu, J.S.H.; Szolovits, P.; et al. Artificial intelligence to assess body composition on routine abdominal CT scans and predict mortality in pancreatic cancer- A recipe for your local application. Eur. J. Radiol. 2021, 142, 109834. [Google Scholar] [CrossRef]
- Li, C.W.; Yu, K.; Shyh-Chang, N.; Jiang, Z.; Liu, T.; Ma, S.; Luo, L.; Guang, L.; Liang, K.; Ma, W.; et al. Pathogenesis of sarcopenia and the relationship with fat mass: Descriptive review. J. Cachexia Sarcopenia Muscle 2022, 13, 781–794. [Google Scholar] [CrossRef]
- Murton, A.J.; Marimuthu, K.; Mallinson, J.E.; Selby, A.L.; Smith, K.; Rennie, M.J.; Greenhaff, P.L. Obesity Appears to Be Associated With Altered Muscle Protein Synthetic and Breakdown Responses to Increased Nutrient Delivery in Older Men, but Not Reduced Muscle Mass or Contractile Function. Diabetes 2015, 64, 3160–3171. [Google Scholar] [CrossRef] [Green Version]
- Powell-Wiley, T.M.; Poirier, P.; Burke, L.E.; Després, J.P.; Gordon-Larsen, P.; Lavie, C.J.; Lear, S.A.; Ndumele, C.E.; Neeland, I.J.; Sanders, P.; et al. Obesity and Cardiovascular Disease: A Scientific Statement From the American Heart Association. Circulation 2021, 143, e984–e1010. [Google Scholar] [CrossRef]



| Total (n = 103) | |
|---|---|
| Age, years * | 62 ± 11 |
| Sex, n (%) | |
| female | 41 (40%) |
| male | 62 (60%) |
| BMI * | 26 ± 5 |
| Chemotherapy, n (%) | |
| Gemcitabine | 45 (44%) |
| Gemcitabine + nab-paclitaxel | 43 (42%) |
| FOLFIRINOX | 15 (15%) |
| First-line treatment, n (%) | |
| Surgical (PPPD) | 46 (45%) |
| Nonsurgical | 57 (55%) |
| Body Composition Parameter | Value |
|---|---|
| SMI (cm2/m2) * | 45 ± 9 |
| VAT (mm2) * | 112 ± 82 |
| SAT (mm2) * | 159 ± 82 |
| Sarcopenia | 65 (63%) |
| Obesity | 21 (20%) |
| Sarcopenic obesity | 8 (8%) |
| 1-Year Survival | 2-Year Survival | 3-Year Survival | ||||
|---|---|---|---|---|---|---|
| Variate | p-value | Odds Ratio (CI) | p-value | Odds Ratio (CI) | p-value | Odds Ratio (CI) |
| Surgery | 0.01 | 0.25 (0.08–0.74) | <0.001 | 0.28 (0.16–0.51) | <0.001 | 0.45 (0.29–0.70) |
| Chemotherapy | 0.34 | 1.35 (0.73–2.49) | 0.22 | 1.25 (0.88–1.77) | 0.32 | 1.16 (0.86–1.56) |
| Sarcopenia | 0.25 | 1.84 (0.65–5.17) | 0.07 | 1.72 (0.95–3.12) | <0.001 | 2.12 (1.30–3.46) |
| Obesity | 0.54 | 0.67 (0.19–2.36) | 0.94 | 0.97 (0.50–1.88) | 0.78 | 1.08 (0.63–1.85) |
| Total number | 103 | 103 | 103 | |||
| Lost to follow-up | 1 (1%) | 6 (6%) | 11 (11%) | |||
| 1-Year Survival | 2-Year Survival | 3-Year Survival | ||||
|---|---|---|---|---|---|---|
| Variate | p-value | Odds Ratio (CI) | p-value | Odds Ratio (CI) | p-value | Odds Ratio (CI) |
| Sex | 0.26 | 1.80 (0.65–4.96) | 0.47 | 1.27 (0.67–2.41) | 0.19 | 1.44 (0.83–2.51) |
| Age | 0.17 | 1.03 (0.99–1.08) | 0.25 | 1.02 (0.99–1.05) | 0.49 | 1.01 (0.98–1.03) |
| Chemotherapy | 0.45 | 1.29 (0.66–2.53) | 0.39 | 1.18 (0.81–1.73) | 0.80 | 1.04 (0.76–1.43) |
| Surgery | 0.02 | 0.28 (0.09–0.85) | <0.01 | 0.32 (0.17–0.58) | 0.01 | 0.52 (0.32–0.83) |
| BMI | 0.62 | 1.00 (0.99–1.01) | 0.80 | 1.00 (0.99–1.01) | 0.43 | 1.00 (1.00–1.01) |
| SMI | 0.85 | 1.00 (0.99–1.01) | 0.39 | 1.00 (0.99–1.00) | 0.08 | 1.00 (0.99–1.00) |
| VAT | 0.86 | 1.00 (1.00–1.00) | 0.01 | 1.00 (1.00–1.00) | 0.04 | 1.00 (1.00–1.00) |
| SAT | 0.20 | 1.00 (1.00–1.00) | 0.41 | 1.00 (1.00–1.00) | 0.32 | 1.00 (1.00–1.00) |
| Total number | 103 | 103 | 103 | |||
| Lost to follow-up | 1 (1%) | 6 (6%) | 11 (11%) | |||
| (a) Use of chemotherapy and AI-derived cut-off values for sarcopenia and obesity as independent variates. AI = artificial intelligence, CI = confidence interval. | ||||
| 3-Year Survival | ||||
| Nonsurgical treatment | Surgical treatment | |||
| Variate | p-value | Odds ratio (CI) | p-value | Odds ratio (CI) |
| Chemotherapy | 0.24 | 1.24 (0.87–1.77) | 0.77 | 0.92 (0.53–1.60) |
| Sarcopenia | 0.04 | 1.92 (1.02–3.62) | 0.02 | 2.57 (1.13–5.82) |
| Obesity | 0.65 | 0.85 (0.43–1.70) | 0.18 | 1.83 (0.76–4.42) |
| Total number | 57 | 46 | ||
| Lost to follow-up | 6 (11%) | 5 (11%) | ||
| (b) Use of sex, age, BMI, and the AI-derived body composition parameters SMI, VAT, and SAT as independent variates. | ||||
| 3-Year Survival | ||||
| Nonsurgical treatment | Surgical treatment | |||
| Variate | p-value | Odds ratio (CI) | p-value | Odds ratio (CI) |
| Sex | 0.44 | 1.36 (0.62–2.99) | 0.39 | 1.43 (0.64–3.19) |
| Age | 0.94 | 1.00 (0.97–1.03) | 0.32 | 1.02 (0.98–1.06) |
| Chemotherapy | 0.39 | 1.18 (0.81–1.74) | 0.37 | 0.73 (0.36–1.45) |
| BMI | 0.96 | 1.00 (0.99–1.01) | 0.25 | 1.01 (1.00–1.02) |
| SMI | 0.38 | 1.00 (0.99–1.00) | 0.02 | 0.99 (0.99–1.00) |
| VAT | 0.35 | 1.00 (1.00–1.00) | 0.01 | 1.00 (1.00–1.00) |
| SAT | 0.62 | 1.00 (1.00–1.00) | 0.38 | 1.00 (1.00–1.00) |
| Total number | 57 | 46 | ||
| Lost to follow-up | 6 (11%) | 5 (11%) | ||
Publisher’s Note: MDPI stays neutral with regard to jurisdictional claims in published maps and institutional affiliations. |
© 2022 by the authors. Licensee MDPI, Basel, Switzerland. This article is an open access article distributed under the terms and conditions of the Creative Commons Attribution (CC BY) license (https://creativecommons.org/licenses/by/4.0/).
Share and Cite
Beetz, N.L.; Geisel, D.; Maier, C.; Auer, T.A.; Shnayien, S.; Malinka, T.; Neumann, C.C.M.; Pelzer, U.; Fehrenbach, U. Influence of Baseline CT Body Composition Parameters on Survival in Patients with Pancreatic Adenocarcinoma. J. Clin. Med. 2022, 11, 2356. https://doi.org/10.3390/jcm11092356
Beetz NL, Geisel D, Maier C, Auer TA, Shnayien S, Malinka T, Neumann CCM, Pelzer U, Fehrenbach U. Influence of Baseline CT Body Composition Parameters on Survival in Patients with Pancreatic Adenocarcinoma. Journal of Clinical Medicine. 2022; 11(9):2356. https://doi.org/10.3390/jcm11092356
Chicago/Turabian StyleBeetz, Nick Lasse, Dominik Geisel, Christoph Maier, Timo Alexander Auer, Seyd Shnayien, Thomas Malinka, Christopher Claudius Maximilian Neumann, Uwe Pelzer, and Uli Fehrenbach. 2022. "Influence of Baseline CT Body Composition Parameters on Survival in Patients with Pancreatic Adenocarcinoma" Journal of Clinical Medicine 11, no. 9: 2356. https://doi.org/10.3390/jcm11092356
APA StyleBeetz, N. L., Geisel, D., Maier, C., Auer, T. A., Shnayien, S., Malinka, T., Neumann, C. C. M., Pelzer, U., & Fehrenbach, U. (2022). Influence of Baseline CT Body Composition Parameters on Survival in Patients with Pancreatic Adenocarcinoma. Journal of Clinical Medicine, 11(9), 2356. https://doi.org/10.3390/jcm11092356

