Validity and Reliability of an Offline Ultrasound Measurement of Bladder Base Displacement in Women
Abstract
:1. Introduction
2. Materials and Methods
2.1. Participants
2.2. Experimental Procedure
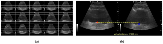
2.3. Data Processing
2.4. Statistical Analysis
3. Results
3.1. Validity of the Us Measurement
3.2. Reliability of the Ultrasound Measurement
4. Discussion
4.1. Validation of the Two-Dimensional Measurement Using Customized Code
4.2. Reliability of the Two-Dimensional Measurement Using Customized Code
4.3. Limitations of the Study
4.4. Clinical Implications
5. Conclusions
Supplementary Materials
Author Contributions
Funding
Institutional Review Board Statement
Informed Consent Statement
Data Availability Statement
Acknowledgments
Conflicts of Interest
Clinical Trials Registration
References
- Stafford, R.E.; Coughlin, G.; Lutton, N.; Hodges, P. Validity of estimation of pelvic floor activity from Transperineal Ultrasound Imaging in men. PLoS ONE 2015, 10, e0144342. [Google Scholar] [CrossRef] [PubMed]
- Barton, A.; Serrao, C.; Thompson, T.; Briffa, K. Transabdominal ultrasound to assess pelvic floor muscle performance during abdominal curl in exercising women. Int. Urogynecol. J. 2015, 26, 1789–1795. [Google Scholar] [CrossRef] [PubMed]
- Junginger, B.; Baessler, K.; Sapsford, R.; Hodges, P. Effect of abdominal and pelvic floor tasks on muscle activity, abdominal pressure and bladder neck. Int. Urogynecol. J. Pelvic. Floor Dysfunct. 2010, 21, 69–77. [Google Scholar] [CrossRef]
- Bo, K.; Sherburn, M.; Allen, T. Transabdominal ultrasound measurement of pelvic floor muscle activity when activated directly or via a TrA contraction. Neurourol. Urodyn. 2003, 22, 582–588. [Google Scholar] [CrossRef]
- Sherburn, M.; Murphy, C.A.; Carroll, S.; Allen, T.J.; Galea, M.P. Investigation of transabdominal real-time ultrasound to visualise the muscles of the pelvic floor. Aust. J. Physiother. 2005, 51, 167–170. [Google Scholar] [CrossRef] [Green Version]
- Thompson, J.; O’Sullivan, P.B.; Briffa, K.; Neumann, P. Assessment of voluntary pelvic floor muscle contraction in continent and incontinent women using transperineal ultrasound, manual muscle testing and vaginal pressure measurements. Int. Urogynecol. J. Pelvic. Floor Dysfunct. 2006, 17, 624–630. [Google Scholar] [CrossRef]
- Thompson, J.; O’Sullivan, P.; Briffa, N.K.; Neumann, P. Comparison of transperineal and transabdominal ultrasound in the assessment of voluntary pelvic floor muscle contractions and functional manoeuvres in continent and incontinent women. Int. Urogynecol. J. 2007, 18, 779–786. [Google Scholar] [CrossRef]
- Thompson, J.; O’Sullivan, P. Levator plate movement during voluntary pelvic floor muscle contraction in subjects with incontinence and prolapse: A cross sectional study and review. Int. Urogynecol. J. Pelvic. Floor Dysfunct. 2003, 14, 84–88. [Google Scholar] [CrossRef]
- Thompson, J. A comparison between transabdominal and transperineal ultrasound in the assessment of women performing pelvic floor exercises. Aust. N. Z. Cont. J. 2003, 9, 92–93. [Google Scholar]
- Murphy, C.; Sherburn, M.; Allen, T. Investigation of transabdominal diagnostic ultrasound as a clinical tool and outcome measure in the conservative measurement of pelvic floor muscle dysfunction. In Proceedings of the International Continence Society Meeting, Heidelberg, Germany, 28–30 August 2002; Abstract 129, p. 61. [Google Scholar]
- Thompson, J.; O’Sullivan, P.B.; Briffa, K.; Neumann, P.; Court, S. Assessment of pelvic floor movement using transabdominal and transperineal ultrasound. Int. Urogynecol. J. Pelvic. Floor Dysfunct. 2005, 16, 285–292. [Google Scholar] [CrossRef]
- Baessler, K.; Junginger, B. Traditional Gymnastic Exercises for the Pelvic Floor Often Lead to Bladder Neck Descent: A Study Using Perineal Ultrasound. Geb. Fra. 2017, 77, 765–770. [Google Scholar]
- Poston, G.J.; Joseph, A.E.A.; Riddle, P.T. The accuracy of ultrasound in measurement of changes in bladder volume. Br. J. Urol. 1983, 55, 361–363. [Google Scholar] [CrossRef] [PubMed]
- Whittaker, J. Abdominal ultrasound imaging of pelvic floor muscle function in individuals with low back pain. J. Man. Manip. Ther. 2004, 12, 44–49. [Google Scholar] [CrossRef]
- Nakayama, K. Biological image motion processing: A review. Vis. Res. 1985, 25, 625–660. [Google Scholar] [CrossRef]
- Mc Graw, K.O.; Wong, S.P. Forming inferences about some intraclass correlation coefficients. Psychol. Methods 1996, 1, 30–46. [Google Scholar] [CrossRef]
- Koo, T.K.; Li, M.Y. A guideline of selecting and reporting intraclass correlation coefficients for reliability research. J. Chiropr. Med. 2016, 15, 155–163. [Google Scholar] [CrossRef] [Green Version]
- Arranz-Martin, B.; Garcia-Gallego, P.; Romay-Barrero, H.; Navarro-Brazalez, B.; Martinez-Torres, C.; Torres-Lacomba, M. Bladder base displacement during abdominal muscles contractions and functional activities in primiparous women assessed by transabdominal ultrasound: A descriptive study. J. Clin. Med. 2022, 11, 25. [Google Scholar] [CrossRef]
- Cronin, N.J.; Carty, C.P.; Barrett, R.S.; Lichtwark, G. Automatic tracking of medial gastronecmius fascile lenth during human locomotion. J. Appl. Physiol. 2011, 111, 1491–1496. [Google Scholar] [CrossRef]
- Mota, P.; Gil Pascoal, A.; Sancho, F.; Bo, K. Test-Retest and Intrarater Reliability of 2-Dimensional Ultrasound Measurements of Distance Between Rectus Abdominis in Women. J. Orthop. Sports Phys. Ther. 2012, 42, 940–946. [Google Scholar] [CrossRef]
- Marzilger, R.; Legerlodtz, K.; Panteli, C.; Bohm, S.; Arampatzis, A. Reliability of a semi-automated algorithm for the vastus lateralis muscle architecture measurement based on ultrasound images. Eur. J. Appl. Physiol. 2018, 118, 297–301. [Google Scholar] [CrossRef]
- Schaer, G.N.; Koechli, O.R.; Shuessler, B.; Haller, U. Perineal ultrasound for evaluating the bladder neck in urinary stress incontinence. Obstet Gynaecol. 1995, 85, 220–224. [Google Scholar] [CrossRef]
- Koppenhaver, S.L.; Hebert, J.J.; Parent, E.C.; Fritz, J.M. Rehabilitative ultrasound imaging is a valid measure of trunk muscle size and activation during most isometric sub-maximal contractions: A systematic review. Aust. J. Physiother. 2009, 55, 153–169. [Google Scholar] [CrossRef] [Green Version]
- Dietz, H.; Wilson, P. Anatomical assessment of the bladder outlet and proximal urethra using ultrasound and video-cystourethrography. Int. Urogynecol. J. 1998, 9, 365–369. [Google Scholar] [CrossRef] [PubMed]
- Whittaker, J.; Warner, M.B.; Stokes, M.J. Induced transducer orientation during ultrasound imaging: Effects on abdominal muscle thickness and bladder position. Ultrasound. Med. Biol. 2009, 35, 1803–1811. [Google Scholar] [CrossRef] [PubMed]






| EXERCISES (PFM AND ABDOMINAL CONTRACTIONS A–D) | DESCRIPTION | PFM PRE-CONT a | EST. TIMELINE b (S) |
|---|---|---|---|
![]() | Submaximal isometric PFM contraction while breathing out | YES | 3–7 |
![]() | Submaximal isometric PFM and TrA c contraction while breathing out | YES | 3–7 |
![]() | Equal to Contraction B + axial elongation of the whole spine (AEB) d | YES | 3–7 |
![]() | PFM submaximal contraction RA e + OE f OI g + holding apnea | YES | 3–7 |
| Perineal and Abdominal Contraction | MATLAB Algorithm Validity (n = 27) Manual vs. Ecolab | MATLAB Algorithm Inter-Day Reliability (n = 32) | ||
|---|---|---|---|---|
| ICC (A,2) n = 27 | 95% CI | ICC (1,2) n = 32 | 95% CI | |
| A | 0.96 | (0.92, 0.98) | 0.96 | (0.92, 0.98) |
| B | 0.98 | (0.97, 0.99) | ||
| C | 0.99 | (0.99, 0.99) | ||
| D | 0.98 | (0.97, 0.99) | ||
Publisher’s Note: MDPI stays neutral with regard to jurisdictional claims in published maps and institutional affiliations. |
© 2022 by the authors. Licensee MDPI, Basel, Switzerland. This article is an open access article distributed under the terms and conditions of the Creative Commons Attribution (CC BY) license (https://creativecommons.org/licenses/by/4.0/).
Share and Cite
Martínez-Bustelo, S.; Ferri-Morales, A.; Castillo-García, F.J.; Madrid, A.; Jácome, M.A. Validity and Reliability of an Offline Ultrasound Measurement of Bladder Base Displacement in Women. J. Clin. Med. 2022, 11, 2319. https://doi.org/10.3390/jcm11092319
Martínez-Bustelo S, Ferri-Morales A, Castillo-García FJ, Madrid A, Jácome MA. Validity and Reliability of an Offline Ultrasound Measurement of Bladder Base Displacement in Women. Journal of Clinical Medicine. 2022; 11(9):2319. https://doi.org/10.3390/jcm11092319
Chicago/Turabian StyleMartínez-Bustelo, Sandra, Asunción Ferri-Morales, Fernando J. Castillo-García, Antonio Madrid, and M. Amalia Jácome. 2022. "Validity and Reliability of an Offline Ultrasound Measurement of Bladder Base Displacement in Women" Journal of Clinical Medicine 11, no. 9: 2319. https://doi.org/10.3390/jcm11092319
APA StyleMartínez-Bustelo, S., Ferri-Morales, A., Castillo-García, F. J., Madrid, A., & Jácome, M. A. (2022). Validity and Reliability of an Offline Ultrasound Measurement of Bladder Base Displacement in Women. Journal of Clinical Medicine, 11(9), 2319. https://doi.org/10.3390/jcm11092319





