Axial Loading during MRI Induces Lumbar Foraminal Area Changes and Has the Potential to Improve Diagnostics of Nerve Root Compromise
Abstract
1. Introduction
2. Materials and Methods
2.1. Participants
2.2. Magnetic Resonance Imaging
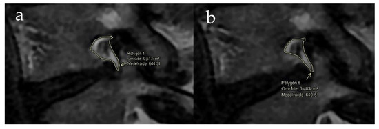
2.3. Evaluation of MRI Investigations
2.4. Statistics
3. Results
3.1. Disc Degeneration Degree in Examined Levels
3.2. Foraminal Area Measurements
3.3. Qualitative Foraminal Evaluation and Conformity to Foraminal Area Change
3.4. Reliability Measures
4. Discussion
5. Conclusions
Author Contributions
Funding
Institutional Review Board Statement
Informed Consent Statement
Data Availability Statement
Conflicts of Interest
References
- Yamada, K.; Aota, Y.; Higashi, T.; Ishida, K.; Nimura, T.; Konno, T.; Saito, T. Lumbar foraminal stenosis causes leg pain at rest. Eur. Spine J. 2014, 23, 504–507. [Google Scholar] [CrossRef][Green Version]
- Orita, S.; Inage, K.; Eguchi, Y.; Kubota, G.; Aoki, Y.; Nakamura, J.; Matsuura, Y.; Furuya, T.; Koda, M.; Ohtori, S. Lumbar foraminal stenosis, the hidden stenosis including at L5/S1. Eur. J. Orthop. Surg. Traumatol. 2016, 26, 685–693. [Google Scholar] [CrossRef]
- Splendiani, A.; Perri, M.; Grattacaso, G.; Di Tunno, V.; Marsecano, C.; Panebianco, L.; Gennarelli, A.; Felli, V.; Varrassi, M.; Barile, A.; et al. Magnetic resonance imaging (MRI) of the lumbar spine with dedicated G-scan machine in the upright position: A retrospective study and our experience in 10 years with 4305 patients. Radiol. Med. 2016, 121, 38–44. [Google Scholar] [CrossRef] [PubMed]
- Willen, J.; Danielson, B. The diagnostic effect from axial loading of the lumbar spine during computed tomography and magnetic resonance imaging in patients with degenerative disorders. Spine 2001, 26, 2607–2614. [Google Scholar] [CrossRef] [PubMed]
- Christophis, P.; Asamoto, S.; Kuchelmeister, K.; Schachenmayr, W. “Juxtafacet cysts”, a misleading name for cystic formations of mobile spine (CYFMOS). Eur. Spine J. 2007, 16, 1499–1505. [Google Scholar] [CrossRef]
- Cha, T.D.; Moore, G.; Liow, M.H.L.; Zhong, W.; Wu, M.; Wang, S.; Kang, J.D.; Wood, K.B.; Li, G. In Vivo Characteristics of Nondegenerated Adjacent Segment Intervertebral Foramina in Patients with Degenerative Disc Disease During Flexion-Extension. Spine 2017, 42, 359–365. [Google Scholar] [CrossRef]
- Inufusa, A.; An, H.S.; Lim, T.H.; Hasegawa, T.; Haughton, V.M.; Nowicki, B.H. Anatomic changes of the spinal canal and intervertebral foramen associated with flexion-extension movement. Spine 1996, 21, 2412–2420. [Google Scholar] [CrossRef]
- Zhong, W.; Driscoll, S.J.; Tsai, T.Y.; Wang, S.; Mao, H.; Cha, T.D.; Wood, K.B.; Li, G. In vivo dynamic changes of dimensions in the lumbar intervertebral foramen. Spine J. 2015, 15, 1653–1659. [Google Scholar] [CrossRef] [PubMed]
- Iwata, T.; Miyamoto, K.; Hioki, A.; Ohashi, M.; Inoue, N.; Shimizu, K. In vivo measurement of lumbar foramen during axial loading using a compression device and computed tomography. J. Spinal Disord. Tech. 2013, 26, E177–E182. [Google Scholar] [CrossRef]
- Danielson, B.I.; Willen, J.; Gaulitz, A.; Niklason, T.; Hansson, T.H. Axial loading of the spine during CT and MR in patients with suspected lumbar spinal stenosis. Acta Radiol. 1998, 39, 604–611. [Google Scholar] [CrossRef]
- Hansson, T.; Suzuki, N.; Hebelka, H.; Gaulitz, A. The narrowing of the lumbar spinal canal during loaded MRI: The effects of the disc and ligamentum flavum. Eur. Spine J. 2009, 18, 679–686. [Google Scholar] [CrossRef]
- Lee, S.; Lee, J.W.; Yeom, J.S.; Kim, K.-J.; Kim, H.-J.; Chung, S.K.; Kang, H.S. A practical MRI grading system for lumbar foraminal stenosis. Am. J. Roentgenol. 2010, 194, 1095–1098. [Google Scholar] [CrossRef]
- Pfirrmann, C.W.; Metzdorf, A.; Zanetti, M.; Hodler, J.; Boos, N. Magnetic resonance classification of lumbar intervertebral disc degeneration. Spine 2001, 26, 1873–1878. [Google Scholar] [CrossRef]
- Beynon, R.; Hawkins, J.; Laing, R.; Higgins, N.; Whiting, P.; Jameson, C.; Sterne, J.A.; Vergara, P.; Hollingworth, W. The diagnostic utility and cost-effectiveness of selective nerve root blocks in patients considered for lumbar decompression surgery: A systematic review and economic model. Health Technol. Assess. 2013, 17, 1–88. [Google Scholar] [CrossRef] [PubMed]
- Kanno, H.; Aizawa, T.; Ozawa, H.; Koizumi, Y.; Morozumi, N.; Itoi, E. An increase in the degree of olisthesis during axial loading reduces the dural sac size and worsens clinical symptoms in patients with degenerative spondylolisthesis. Spine J. 2018, 18, 726–733. [Google Scholar] [CrossRef] [PubMed]
- Fujiwara, A.; An, H.S.; Lim, T.H.; Haughton, V.M. Morphologic changes in the lumbar intervertebral foramen due to flexion-extension, lateral bending, and axial rotation: An in vitro anatomic and biomechanical study. Spine 2001, 26, 876–882. [Google Scholar] [CrossRef]
- Kubosch, D.; Vicari, M.; Siller, A.; Strohm, P.C.; Kubosch, E.J.; Knoller, S.; Hennig, J.; Sudkamp, N.P.; Izadpanah, K. The Lumbar Spine as a Dynamic Structure Depicted in Upright MRI. Medicine 2015, 94, e1299. [Google Scholar] [CrossRef]
- Lang, G.; Vicari, M.; Siller, A.; Kubosch, E.J.; Hennig, J.; Sudkamp, N.P.; Izadpanah, K.; Kubosch, D. Preoperative Assessment of Neural Elements in Lumbar Spinal Stenosis by Upright Magnetic Resonance Imaging: An Implication for Routine Practice? Cureus 2018, 10, e2440. [Google Scholar] [CrossRef] [PubMed]
- Mataki, K.; Koda, M.; Shibao, Y.; Kumagai, H.; Nagashima, K.; Miura, K.; Noguchi, H.; Funayama, T.; Abe, T.; Yamazaki, M. Successful visualization of dynamic change of lumbar nerve root compression with the patient in both upright and prone positions using dynamic digital tomosynthesis-radiculography in patients with lumbar foraminal stenosis: An initial report of three cases. J. Clin. Neurosci. 2019, 62, 256–259. [Google Scholar] [CrossRef]
- Mataki, K.; Koda, M.; Shibao, Y.; Kumagai, H.; Nagashima, K.; Miura, K.; Noguchi, H.; Funayama, T.; Abe, T.; Yamazaki, M. New methods for diagnosing lumbar foraminal stenosis using dynamic digital tomosynthesis radiculography. J. Clin. Neurosci. 2020, 77, 106–109. [Google Scholar] [CrossRef]
- Yamada, H.; Terada, M.; Iwasaki, H.; Endo, T.; Okada, M.; Nakao, S.; Hashizume, H.; Minamide, A.; Nakagawa, Y.; Nishi, H.; et al. Improved accuracy of diagnosis of lumbar intra and/or extra-foraminal stenosis by use of three-dimensional MR imaging: Comparison with conventional MR imaging. J. Orthop. Sci. 2015, 20, 287–294. [Google Scholar] [CrossRef]



| Area Change with Loading | Foramina (n = 534) n (%) |
|---|---|
| Decrease | 265 (50%) |
| 0–10% | 128 (24%) |
| 10–20% | 79 (15%) |
| 20–30% | 43 (8%) |
| 30–40% | 13 (2%) |
| >40% | 2 (0.4%) |
| Increase | 222 (42%) |
| 0–10% | 108 (20%) |
| 10–20% | 51 (10%) |
| 20–30% | 36 (7%) |
| 30–40% | 16 (3%) |
| >40% | 11 (2%) |
| Unchanged | 47 (9%) |
| Without Axial Load (cm2) * | With Axial Load (cm2) * | Paired Differences (cm2) * | p-Value | |
|---|---|---|---|---|
| All foramina n = 534 | 0.89 (0.27) | 0.87 (0.26)) | −0.02 (0.15) | 0.002 |
| Levels | ||||
| L3/L4 | 0.99 (0.29) | 0.96 (0.28) | −0.03 (0.17) | 0.036 |
| L4/L5 | 0.80 (0.20) | 0.78 (0.20) | −0.03 (0.11) | 0.004 |
| L5/S1 | 0.87 (0.27) | 0.86 (0.25) | −0.008 (0.15) | 0.47 |
Publisher’s Note: MDPI stays neutral with regard to jurisdictional claims in published maps and institutional affiliations. |
© 2022 by the authors. Licensee MDPI, Basel, Switzerland. This article is an open access article distributed under the terms and conditions of the Creative Commons Attribution (CC BY) license (https://creativecommons.org/licenses/by/4.0/).
Share and Cite
Hebelka, H.; Rydberg, N.; Hutchins, J.; Lagerstrand, K.; Brisby, H. Axial Loading during MRI Induces Lumbar Foraminal Area Changes and Has the Potential to Improve Diagnostics of Nerve Root Compromise. J. Clin. Med. 2022, 11, 2122. https://doi.org/10.3390/jcm11082122
Hebelka H, Rydberg N, Hutchins J, Lagerstrand K, Brisby H. Axial Loading during MRI Induces Lumbar Foraminal Area Changes and Has the Potential to Improve Diagnostics of Nerve Root Compromise. Journal of Clinical Medicine. 2022; 11(8):2122. https://doi.org/10.3390/jcm11082122
Chicago/Turabian StyleHebelka, Hanna, Niklas Rydberg, John Hutchins, Kerstin Lagerstrand, and Helena Brisby. 2022. "Axial Loading during MRI Induces Lumbar Foraminal Area Changes and Has the Potential to Improve Diagnostics of Nerve Root Compromise" Journal of Clinical Medicine 11, no. 8: 2122. https://doi.org/10.3390/jcm11082122
APA StyleHebelka, H., Rydberg, N., Hutchins, J., Lagerstrand, K., & Brisby, H. (2022). Axial Loading during MRI Induces Lumbar Foraminal Area Changes and Has the Potential to Improve Diagnostics of Nerve Root Compromise. Journal of Clinical Medicine, 11(8), 2122. https://doi.org/10.3390/jcm11082122

