Dislocation Arthropathy of the Shoulder
Abstract
:1. Introduction
2. Physical Examinations
3. Diagnostic Radiology
4. Classification
- Mild OA: Osteophytes on the lower humeral head or the lower glenoid rim <3 mm
- Moderate OA: Osteophytes on the lower humeral head or the lower glenoid rim between 3–7 mm
- Severe OA: Osteophytes on the lower humeral head or the lower glenoid rim larger than 7 mm with slimming of the joint gap and sclerosis
5. Causes and Prognostic Factors
5.1. Development of OA after Non-Operative Management of Shoulder Instability
5.2. OA after Surgical Stabilization
5.3. Capsulorrhaphy Arthropathy as an Own Entity?
6. Treatment Options and Results
6.1. Nonoperative Treatment
6.2. Removal of Foreign Material
6.3. Arthroscopic Debridement and Arthrolysis
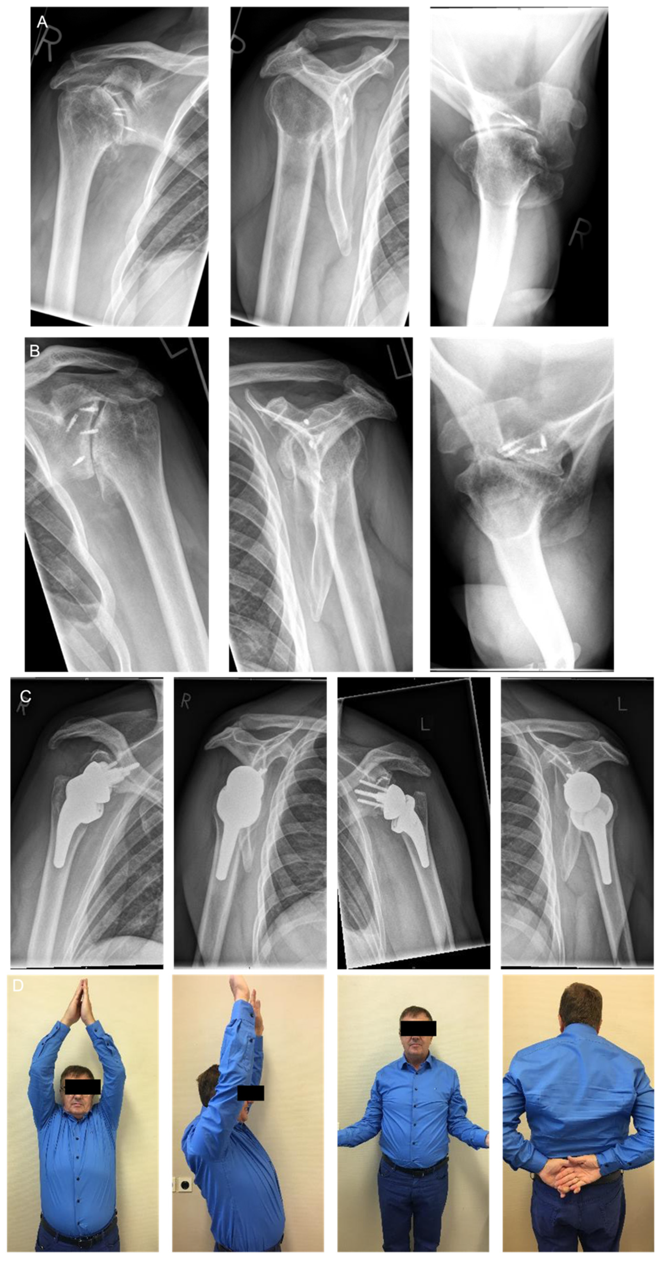
6.4. Arthroplasty
Results after Arthroplasty
7. Conclusions
Funding
Institutional Review Board Statement
Informed Consent Statement
Conflicts of Interest
References
- Neer, C.S.; Watson, K.C.; Stanton, F.J. Recent Experience in Total Shoulder Replacement. J. Bone Jt. Surg. Am. 1982, 64, 319–337. [Google Scholar] [CrossRef]
- Rosenberg, B.N.; Richmond, J.C.; Levine, W.N. Long-Term Followup of Bankart Reconstruction. Incidence of Late Degenerative Glenohumeral Arthrosis. Am. J. Sports Med. 1995, 23, 538–544. [Google Scholar] [CrossRef] [PubMed]
- Pelet, S.; Jolles, B.M.; Farron, A. Bankart Repair for Recurrent Anterior Glenohumeral Instability: Results at Twenty-Nine Years’ Follow-up. J. Shoulder Elb. Surg. 2006, 15, 203–207. [Google Scholar] [CrossRef] [PubMed]
- Oh, J.H.; Chung, S.W.; Oh, C.H.; Kim, S.H.; Park, S.J.; Kim, K.W.; Park, J.H.; Lee, S.B.; Lee, J.J. The Prevalence of Shoulder Osteoarthritis in the Elderly Korean Population: Association with Risk Factors and Function. J. Shoulder Elb. Surg. 2011, 20, 756–763. [Google Scholar] [CrossRef] [PubMed]
- Swanson, A.B.; de Groot Swanson, G.; Maupin, B.K.; Wei, J.N.; Khalil, M.A. Bipolar Implant Shoulder Arthroplasty. Orthopedics 1986, 9, 343–351. [Google Scholar] [CrossRef] [PubMed]
- Scheibel, M.; Habermeyer, P. Subscapularis Dysfunction Following Anterior Surgical Approaches to the Shoulder. J. Shoulder Elb. Surg. 2008, 17, 671–683. [Google Scholar] [CrossRef]
- Zacher, J.; Carl, H.D.; Swoboda, B.; Backhaus, M. Imaging of osteoarthritis of the peripheral joints. Z. Rheumatol. 2007, 66, 257–258; 260–264; 266. [Google Scholar] [CrossRef]
- Kerr, R.; Resnick, D.; Pineda, C.; Haghighi, P. Osteoarthritis of the Glenohumeral Joint: A Radiologic-Pathologic Study. AJR Am. J. Roentgenol. 1985, 144, 967–972. [Google Scholar] [CrossRef] [Green Version]
- Ogawa, K.; Yoshida, A.; Ikegami, H. Osteoarthritis in Shoulders with Traumatic Anterior Instability: Preoperative Survey Using Radiography and Computed Tomography. J. Shoulder Elb.Surg. 2006, 15, 23–29. [Google Scholar] [CrossRef]
- Ogawa, K.; Yoshida, A.; Matsumoto, H.; Takeda, T. Outcome of the Open Bankart Procedure for Shoulder Instability and Development of Osteoarthritis: A 5- to 20-Year Follow-up Study. Am. J. Sports Med. 2010, 38, 1549–1557. [Google Scholar] [CrossRef]
- Sabesan, V.J.; Callanan, M.; Youderian, A.; Iannotti, J.P. 3D CT Assessment of the Relationship Between Humeral Head Alignment and Glenoid Retroversion in Glenohumeral Osteoarthritis. J. Bone Jt. Surg. 2014, 96, e64. [Google Scholar] [CrossRef] [PubMed]
- Gates, S.; Sager, B.; Khazzam, M. Preoperative Glenoid Considerations for Shoulder Arthroplasty: A Review. EFORT Open Rev. 2020, 5, 126–137. [Google Scholar] [CrossRef] [PubMed]
- Schröder, R.-J.; Scheibel, M.; Tsynman, A.; Magosch, P.; Habermeyer, P. Magnetresonanztomographische Untersuchung des Musculus subscapularis nach offener vorderer Schulterstabilisierung. Fortschr. Röntgenstrahlen 2006, 178, 706–712. [Google Scholar] [CrossRef] [PubMed]
- Samilson, R.L.; Prieto, V. Dislocation Arthropathy of the Shoulder. J. Bone Jt. Surg. Am. 1983, 65, 456–460. [Google Scholar] [CrossRef]
- Buscayret, F.; Edwards, T.B.; Szabo, I.; Adeleine, P.; Coudane, H.; Walch, G. Glenohumeral Arthrosis in Anterior Instability before and after Surgical Treatment: Incidence and Contributing Factors. Am. J. Sports Med. 2004, 32, 1165–1172. [Google Scholar] [CrossRef]
- Kircher, J.; Morhard, M.; Magosch, P.; Ebinger, N.; Lichtenberg, S.; Habermeyer, P. How Much Are Radiological Parameters Related to Clinical Symptoms and Function in Osteoarthritis of the Shoulder? Int. Orthop. 2010, 34, 677–681. [Google Scholar] [CrossRef] [Green Version]
- Linke, P.M.; Zemke, K.; Ecker, N.U.; Neumann, J.; Werner, A.W. Standard Radiological Classification of Glenohumeral Osteoarthritis Does Not Correlate with the Complexity of the Arthritic Glenoid Deformity. Arch. Orthop. Trauma Surg. 2021. Online ahead of print. [Google Scholar] [CrossRef]
- Neer, C.S. Shoulder Reconstruction; WB Saunders: Philadelphia, PA, USA, 1990. [Google Scholar]
- Hovelius, L.K.; Sandström, B.C.; Rösmark, D.L.; Saebö, M.; Sundgren, K.H.; Malmqvist, B.G. Long-Term Results with the Bankart and Bristow-Latarjet Procedures: Recurrent Shoulder Instability and Arthropathy. J. Shoulder Elb. Surg. 2001, 10, 445–452. [Google Scholar] [CrossRef]
- Hovelius, L.; Augustini, B.G.; Fredin, H.; Johansson, O.; Norlin, R.; Thorling, J. Primary Anterior Dislocation of the Shoulder in Young Patients. A Ten-Year Prospective Study. J. Bone Jt. Surg. Am. 1996, 78, 1677–1684. [Google Scholar] [CrossRef]
- Singer, G.C.; Kirkland, P.M.; Emery, R.J. Coracoid Transposition for Recurrent Anterior Instability of the Shoulder. A 20-Year Follow-up Study. J. Bone Jt. Surg. Br. 1995, 77, 73–76. [Google Scholar] [CrossRef]
- Kraus, N.; Gerhardt, C.; Haas, N.; Scheibel, M. Conservative therapy of antero-inferior glenoid fractures. Unfallchirurg 2010, 113, 469–475. [Google Scholar] [CrossRef] [PubMed]
- Maquieira, G.J.; Espinosa, N.; Gerber, C.; Eid, K. Non-Operative Treatment of Large Anterior Glenoid Rim Fractures after Traumatic Anterior Dislocation of the Shoulder. J. Bone Jt. Surg. Br. 2007, 89, 1347–1351. [Google Scholar] [CrossRef] [PubMed]
- Wieser, K.; Waltenspül, M.; Ernstbrunner, L.; Ammann, E.; Nieuwland, A.; Eid, K.; Gerber, C. Nonoperative Treatment of Anterior Glenoid Rim Fractures after First-Time Traumatic Anterior Shoulder Dislocation: A Study with 9-Year Follow-up. JBJS Open Access 2020, 5, e20.00133. [Google Scholar] [CrossRef] [PubMed]
- Marx, R.G.; McCarty, E.C.; Montemurno, T.D.; Altchek, D.W.; Craig, E.V.; Warren, R.F. Development of Arthrosis Following Dislocation of the Shoulder: A Case-Control Study. J. Shoulder Elb. Surg. 2002, 11, 1–5. [Google Scholar] [CrossRef] [PubMed]
- Auffarth, A.; Schauer, J.; Matis, N.; Kofler, B.; Hitzl, W.; Resch, H. The J-Bone Graft for Anatomical Glenoid Reconstruction in Recurrent Posttraumatic Anterior Shoulder Dislocation. Am. J. Sports Med. 2008, 36, 638–647. [Google Scholar] [CrossRef] [PubMed]
- Cameron, M.L.; Kocher, M.S.; Briggs, K.K.; Horan, M.P.; Hawkins, R.J. The Prevalence of Glenohumeral Osteoarthrosis in Unstable Shoulders. Am. J. Sports Med. 2003, 31, 53–55. [Google Scholar] [CrossRef] [PubMed]
- Kruckeberg, B.M.; Leland, D.P.; Bernard, C.D.; Krych, A.J.; Dahm, D.L.; Sanchez-Sotelo, J.; Camp, C.L. Incidence of and Risk Factors for Glenohumeral Osteoarthritis after Anterior Shoulder Instability: A US Population–Based Study with Average 15-Year Follow-up. Orthop. J. Sports Med. 2020, 8, 232596712096251. [Google Scholar] [CrossRef] [PubMed]
- Allain, J.; Goutallier, D.; Glorion, C. Long-Term Results of the Latarjet Procedure for the Treatment of Anterior Instability of the Shoulder. J. Bone Jt. Surg. Am. 1998, 80, 841–852. [Google Scholar] [CrossRef] [Green Version]
- Chapnikoff, D.; Besson, A.; Chantelot, C.; Fontaine, C.; Migaud, H.; Duquennoy, A. Bankart procedure: Clinical and radiological long-term outcome. Rev. Chir. Orthop. Reparatrice Appar. Mot. 2000, 86, 558–565. [Google Scholar]
- Moroder, P.; Odorizzi, M.; Pizzinini, S.; Demetz, E.; Resch, H.; Moroder, P. Open Bankart Repair for the Treatment of Anterior Shoulder Instability without Substantial Osseous Glenoid Defects: Results After a Minimum Follow-up of Twenty Years. J. Bone Jt. Surg.-Am. Vol. 2015, 97, 1398–1405. [Google Scholar] [CrossRef]
- Mizuno, N.; Denard, P.J.; Raiss, P.; Melis, B.; Walch, G. Long-Term Results of the Latarjet Procedure for Anterior Instability of the Shoulder. J. Shoulder Elb. Surg. 2014, 23, 1691–1699. [Google Scholar] [CrossRef] [PubMed]
- Gordins, V.; Hovelius, L.; Sandström, B.; Rahme, H.; Bergström, U. Risk of Arthropathy after the Bristow-Latarjet Repair: A Radiologic and Clinical Thirty-Three to Thirty-Five Years of Follow-up of Thirty-One Shoulders. J. Shoulder Elb. Surg. 2015, 24, 691–699. [Google Scholar] [CrossRef]
- Patte, D.; Bernageau, J.; Rodineau, J.; Gardes, J.C. Epaules Douloureuses et Instables. Rev. Chirugie Orthopédique 1980, 60, 157–165. [Google Scholar]
- Verweij, L.P.E.; Pruijssen, E.C.; Kerkhoffs, G.M.M.J.; Blankevoort, L.; Sierevelt, I.N.; van Deurzen, D.F.P.; van den Bekerom, M.P.J. Treatment Type May Influence Degree of Post-Dislocation Shoulder Osteoarthritis: A Systematic Review and Meta-Analysis. Knee Surg. Sports Traumatol. Arthrosc. 2021, 29, 2312–2324. [Google Scholar] [CrossRef] [PubMed]
- Moroder, P.; Plachel, F.; Becker, J.; Schulz, E.; Abdic, S.; Haas, M.; Resch, H.; Auffarth, A. Clinical and Radiological Long-Term Results After Implant-Free, Autologous, Iliac Crest Bone Graft Procedure for the Treatment of Anterior Shoulder Instability. Am. J. Sports Med. 2018, 46, 2975–2980. [Google Scholar] [CrossRef] [PubMed]
- Flury, M.P.; Goldhahn, J.; Holzmann, P.; Simmen, B.R. Does Weber’s Rotation Osteotomy Induce Degenerative Joint Disease at the Shoulder in the Long Term? J. Shoulder Elb. Surg. 2007, 16, 735–741. [Google Scholar] [CrossRef] [PubMed]
- Hindmarsh, J.; Lindberg, A. Eden-Hybbinette’s Operation for Recurrent Dislocation of the Humero-Scapular Joint. Acta Orthop. Scand. 1967, 38, 459–478. [Google Scholar] [CrossRef]
- Rahme, H.; Wikblad, L.; Nowak, J.; Larsson, S. Long-Term Clinical and Radiologic Results after Eden-Hybbinette Operation for Anterior Instability of the Shoulder. J. Shoulder Elb. Surg. 2003, 12, 15–19. [Google Scholar] [CrossRef]
- Hovelius, L.; Sandström, B.; Saebö, M. One Hundred Eighteen Bristow-Latarjet Repairs for Recurrent Anterior Dislocation of the Shoulder Prospectively Followed for Fifteen Years: Study II-the Evolution of Dislocation Arthropathy. J. Shoulder Elb. Surg. 2006, 15, 279–289. [Google Scholar] [CrossRef]
- Boileau, P.; Fourati, E.; Bicknell, R. Neer Modification of Open Bankart Procedure: What Are the Rates of Recurrent Instability, Functional Outcome, and Arthritis? Clin. Orthop. Relat. Res. 2012, 470, 2554–2560. [Google Scholar] [CrossRef] [Green Version]
- Castagna, A.; Markopoulos, N.; Conti, M.; Delle Rose, G.; Papadakou, E.; Garofalo, R. Arthroscopic Bankart Suture-Anchor Repair: Radiological and Clinical Outcome at Minimum 10 Years of Follow-up. Am. J. Sports Med. 2010, 38, 2012–2016. [Google Scholar] [CrossRef] [PubMed]
- Kavaja, L.; Pajarinen, J.; Sinisaari, I.; Savolainen, V.; Björkenheim, J.-M.; Haapamäki, V.; Paavola, M. Arthrosis of Glenohumeral Joint after Arthroscopic Bankart Repair: A Long-Term Follow-up of 13 Years. J. Shoulder Elb. Surg. 2012, 21, 350–355. [Google Scholar] [CrossRef] [PubMed]
- Franceschi, F.; Papalia, R.; Del Buono, A.; Vasta, S.; Maffulli, N.; Denaro, V. Glenohumeral Osteoarthritis after Arthroscopic Bankart Repair for Anterior Instability. Am. J. Sports Med. 2011, 39, 1653–1659. [Google Scholar] [CrossRef] [PubMed]
- Plath, J.E.; Aboalata, M.; Seppel, G.; Juretzko, J.; Waldt, S.; Vogt, S.; Imhoff, A.B. Prevalence of and Risk Factors for Dislocation Arthropathy: Radiological Long-Term Outcome of Arthroscopic Bankart Repair in 100 Shoulders at an Average 13-Year Follow-Up. Am. J. Sports Med. 2015, 43, 1084–1090. [Google Scholar] [CrossRef] [PubMed]
- O’Driscoll, S.W.; Evans, D.C. Long-Term Results of Staple Capsulorrhaphy for Anterior Instability of the Shoulder. J. Bone Jt. Surg. Am. 1993, 75, 249–258. [Google Scholar] [CrossRef]
- Yeh, P.C.; Kharrazi, F.D. Postarthroscopic Glenohumeral Chondrolysis. J. Am. Acad. Orthop. Surg. 2012, 20, 102–112. [Google Scholar] [CrossRef]
- Tauber, M.; Moursy, M.; Eppel, M.; Koller, H.; Resch, H. Arthroscopic Screw Fixation of Large Anterior Glenoid Fractures. Knee Surg. Sports Traumatol. Arthrosc. 2008, 16, 326–332. [Google Scholar] [CrossRef]
- Greis, P.E.; Scuderi, M.G.; Mohr, A.; Bachus, K.N.; Burks, R.T. Glenohumeral Articular Contact Areas and Pressures Following Labral and Osseous Injury to the Anteroinferior Quadrant of the Glenoid. J. Shoulder Elb. Surg. 2002, 11, 442–451. [Google Scholar] [CrossRef]
- Matsen, F.; Rockwood, C. The Shoulder Matsen FA, Rockwood CA Wirth MA. Glenohumeral Arthritis and Its Management. In The Shoulder, 2nd ed.; WB Saunders: Philadelphia, PA, USA, 1998; pp. 870–872. [Google Scholar]
- Hawkins, R.J.; Angelo, R.L. Glenohumeral Osteoarthrosis. A Late Complication of the Putti-Platt Repair. J. Bone Jt. Surg. Am. 1990, 72, 1193–1197. [Google Scholar] [CrossRef]
- Ahmad, C.S.; Wang, V.M.; Sugalski, M.T.; Levine, W.N.; Bigliani, L.U. Biomechanics of Shoulder Capsulorrhaphy Procedures. J. Shoulder Elb. Surg. 2005, 14, 12S–18S. [Google Scholar] [CrossRef]
- Thomazeau, H.; Rolland, Y.; Lucas, C.; Duval, J.M.; Langlais, F. Atrophy of the Supraspinatus Belly. Assessment by MRI in 55 Patients with Rotator Cuff Pathology. Acta Orthop. Scand. 1996, 67, 264–268. [Google Scholar] [CrossRef] [PubMed]
- Gerber, C.; Werner, C.M.L.; Macy, J.C.; Jacob, H.A.C.; Nyffeler, R.W. Effect of Selective Capsulorrhaphy on the Passive Range of Motion of the Glenohumeral Joint. J. Bone Jt. Surg. Am. 2003, 85, 48–55. [Google Scholar] [CrossRef] [PubMed]
- Werner, C.M.L.; Nyffeler, R.W.; Jacob, H.A.C.; Gerber, C. The Effect of Capsular Tightening on Humeral Head Translations. J. Orthop. Res. 2004, 22, 194–201. [Google Scholar] [CrossRef]
- Ansok, C.B.; Muh, S.J. Optimal Management of Glenohumeral Osteoarthritis. Orthop. Res. Rev. 2018, 10, 9–18. [Google Scholar] [CrossRef] [Green Version]
- Waltz, R.A.; Wong, J.; Peebles, A.M.; Golijanin, P.; Ruzbarsky, J.J.; Arner, J.W.; Peebles, L.A.; Godin, J.A.; Millett, P.J.; Provencher, M.T. Postoperative Stiffness and Pain After Arthroscopic Labral Stabilization: Consider Anchor Arthropathy. Arthrosc. J. Arthrosc. Relat. Surg. 2021, 37, 3266–3274. [Google Scholar] [CrossRef]
- Ernat, J.J.; Wright, C.J.; Rakowski, D.R.; Millett, P.J. Comprehensive Arthroscopic Management for Severe Glenohumeral Arthritis in an Ultimate Fighting Championship Fighter: A Case Report. JBJS Case Connect. 2021, 11, e20. [Google Scholar] [CrossRef]
- Millett, P.J.; Horan, M.P.; Pennock, A.T.; Rios, D. Comprehensive Arthroscopic Management (CAM) Procedure: Clinical Results of a Joint-Preserving Arthroscopic Treatment for Young, Active Patients with Advanced Shoulder Osteoarthritis. Arthrosc. J. Arthrosc. Relat. Surg. 2013, 29, 440–448. [Google Scholar] [CrossRef]
- Arner, J.W.; Elrick, B.P.; Nolte, P.-C.; Haber, D.B.; Horan, M.P.; Millett, P.J. Survivorship and Patient-Reported Outcomes after Comprehensive Arthroscopic Management of Glenohumeral Osteoarthritis: Minimum 10-Year Follow-up. Am. J. Sports Med. 2021, 49, 130–136. [Google Scholar] [CrossRef]
- Nolte, P.-C.; Elrick, B.P.; Arner, J.W.; Ridley, T.J.; Woolson, T.E.; Tross, A.-K.; Midtgaard, K.S.; Millett, P.J. Total Shoulder Arthroplasty After Previous Arthroscopic Surgery for Glenohumeral Osteoarthritis: A Case-Control Matched Cohort Study. Am. J. Sports Med. 2021, 49, 1839–1846. [Google Scholar] [CrossRef]
- Green, A.; Norris, T.R. Shoulder Arthroplasty for Advanced Glenohumeral Arthritis after Anterior Instability Repair. J. Shoulder Elb. Surg. 2001, 10, 539–545. [Google Scholar] [CrossRef]
- Lehmann, L.; Magosch, P.; Mauermann, E.; Lichtenberg, S.; Habermeyer, P. Total Shoulder Arthroplasty in Dislocation Arthropathy. Int. Orthop. 2010, 34, 1219–1225. [Google Scholar] [CrossRef] [PubMed] [Green Version]
- Habermeyer, P.; Lichtenberg, S.; Magosch, P.; Baierle, T. (Eds.) Schulterchirurgie: Mit dem Plus im Web; Zugangscode im Buch; 4. Aufl.; Elsevier, Urban & Fischer: München, Germany, 2010; ISBN 978-3-437-22341-9. [Google Scholar]
- Pape, G.; Raiss, P.; Aldinger, P.R.; Loew, M. Comparison of short-term results after CUP prosthesis with cemented glenoid components and total shoulder arthroplasty: A matched-pair analysis. Z. Orthop. Unf. 2010, 148, 674–679. [Google Scholar] [CrossRef] [PubMed]
- Neer, C.S.; Morrison, D.S. Glenoid Bone-Grafting in Total Shoulder Arthroplasty. J. Bone Jt. Surg. Am. 1988, 70, 1154–1162. [Google Scholar] [CrossRef]
- Sperling, J.W.; Antuna, S.A.; Sanchez-Sotelo, J.; Schleck, C.; Cofield, R.H. Shoulder Arthroplasty for Arthritis after Instability Surgery. J. Bone Jt. Surg. Am. 2002, 84, 1775–1781. [Google Scholar] [CrossRef] [PubMed]
- Hill, J.M.; Norris, T.R. Long-Term Results of Total Shoulder Arthroplasty Following Bone-Grafting of the Glenoid. J. Bone Jt. Surg. Am. 2001, 83, 877–883. [Google Scholar] [CrossRef]
- Matsoukis, J.; Tabib, W.; Guiffault, P.; Mandelbaum, A.; Walch, G.; Némoz, C.; Edwards, T.B. Shoulder Arthroplasty in Patients with a Prior Anterior Shoulder Dislocation. Results of a Multicenter Study. J. Bone Jt. Surg. Am. 2003, 85, 1417–1424. [Google Scholar] [CrossRef] [Green Version]
- Matsoukis, J.; Tabib, W.; Mandelbaum, A.; Walch, G. Shoulder arthroplasty for non-operated anterior shoulder instability with secondary osteoarthritis. Rev. Chir. Orthop. Reparatrice Appar. Mot. 2003, 89, 7–18. [Google Scholar]
- Raiss, P.; Zeifang, F.; Pons-Villanueva, J.; Smithers, C.J.; Loew, M.; Walch, G. Reverse Arthroplasty for Osteoarthritis and Rotator Cuff Deficiency after Previous Surgery for Recurrent Anterior Shoulder Instability. Int. Orthop. (SICOT) 2014, 38, 1407–1413. [Google Scholar] [CrossRef] [Green Version]
- Clavert, P.; Kling, A.; Sirveaux, F.; Favard, L.; Mole, D.; Walch, G.; Boileau, P. Reverse Shoulder Arthroplasty for Instability Arthropathy. Int. Orthop. (SICOT) 2019, 43, 1653–1658. [Google Scholar] [CrossRef]






Publisher’s Note: MDPI stays neutral with regard to jurisdictional claims in published maps and institutional affiliations. |
© 2022 by the authors. Licensee MDPI, Basel, Switzerland. This article is an open access article distributed under the terms and conditions of the Creative Commons Attribution (CC BY) license (https://creativecommons.org/licenses/by/4.0/).
Share and Cite
Coifman, I.; Brunner, U.H.; Scheibel, M. Dislocation Arthropathy of the Shoulder. J. Clin. Med. 2022, 11, 2019. https://doi.org/10.3390/jcm11072019
Coifman I, Brunner UH, Scheibel M. Dislocation Arthropathy of the Shoulder. Journal of Clinical Medicine. 2022; 11(7):2019. https://doi.org/10.3390/jcm11072019
Chicago/Turabian StyleCoifman, Ismael, Ulrich H. Brunner, and Markus Scheibel. 2022. "Dislocation Arthropathy of the Shoulder" Journal of Clinical Medicine 11, no. 7: 2019. https://doi.org/10.3390/jcm11072019
APA StyleCoifman, I., Brunner, U. H., & Scheibel, M. (2022). Dislocation Arthropathy of the Shoulder. Journal of Clinical Medicine, 11(7), 2019. https://doi.org/10.3390/jcm11072019
