Expanding the Role of Ultrasound for the Characterization of Renal Masses
Abstract
1. Introduction
2. Evidence Acquisition
3. Results
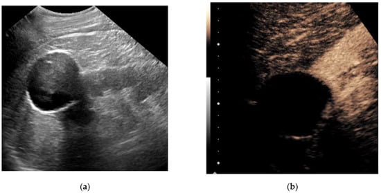
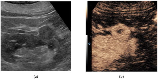
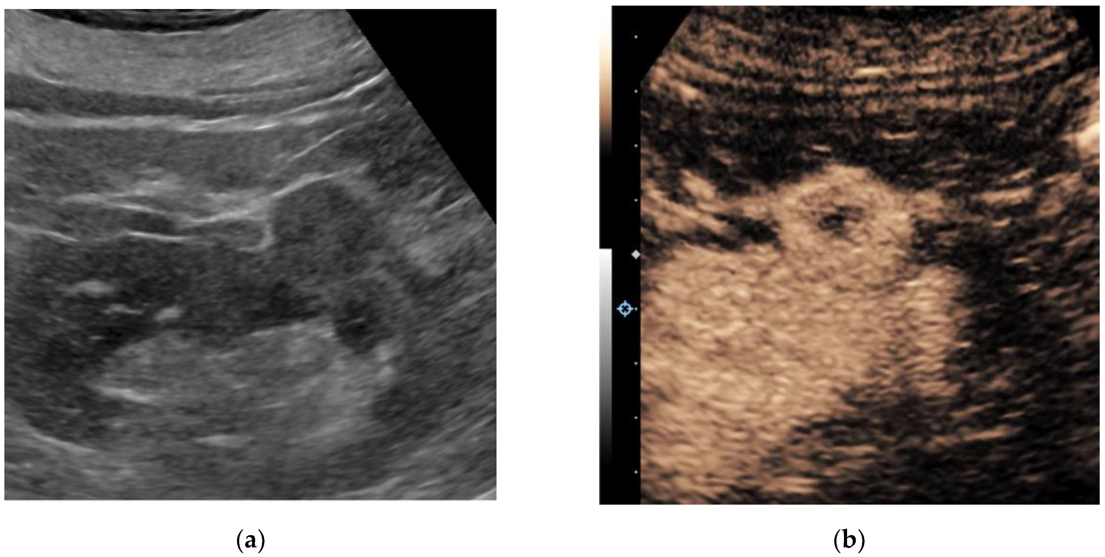
3.1. Contrast-Enhanced Ultrasound
3.2. Ultrasound Molecular Imaging
3.3. Elastography
3.4. Micro-Doppler Techniques
4. Conclusions
Author Contributions
Funding
Institutional Review Board Statement
Informed Consent Statement
Acknowledgments
Conflicts of Interest
References
- Capitanio, U.; Bensalah, K.; Bex, A.; Boorjian, S.A.; Bray, F.; Coleman, J.; Gore, J.L.; Sun, M.; Wood, C.; Russo, P. Epidemiology of Renal Cell Carcinoma. Eur. Urol. 2019, 75, 74–84. [Google Scholar] [CrossRef] [PubMed]
- Johnson, D.C.; Vukina, J.; Smith, A.B.; Meyer, A.-M.; Wheeler, S.B.; Kuo, T.-M.; Tan, H.-J.; Woods, M.E.; Raynor, M.C.; Wallen, E.M.; et al. Preoperatively Misclassified, Surgically Removed Benign Renal Masses: A Systematic Review of Surgical Series and United States Population Level Burden Estimate. J. Urol. 2015, 193, 30–35. [Google Scholar] [CrossRef] [PubMed]
- Marconi, L.; Dabestani, S.; Lam, T.B.; Hofmann, F.; Stewart, F.; Norrie, J.; Bex, A.; Bensalah, K.; Canfield, S.E.; Hora, M.; et al. Systematic Review and Meta-analysis of Diagnostic Accuracy of Percutaneous Renal Tumour Biopsy. Eur. Urol. 2016, 69, 660–673. Available online: http://www.sciencedirect.com/science/article/pii/S0302283815007411 (accessed on 23 December 2021). [CrossRef]
- Patel, H.D.; Johnson, M.H.; Pierorazio, P.M.; Sozio, S.; Sharma, R.; Iyoha, E.; Bass, E.; Allaf, M.E. Diagnostic Accuracy and Risks of Biopsy in the Diagnosis of a Renal Mass Suspicious for Localized Renal Cell Carcinoma: Systematic Review of the Literature. J. Urol. 2016, 195, 1340–1347. [Google Scholar] [CrossRef] [PubMed]
- Nientiedt, M.; Bertolo, R.; Campi, R.; Capitanio, U.; Erdem, S.; Kara, Ö.; Klatte, T.; Larcher, A.; Mir, M.C.; Ouzaid, I.; et al. Chronic Kidney Disease after Partial Nephrectomy in Patients with Preoperative Inconspicuous Renal Function—Curiosity or Relevant Issue? Clin. Genitourin. Cancer 2020, 18, e754–e761. [Google Scholar] [CrossRef] [PubMed]
- Campi, R.; Berni, A.; Amparore, D.; Bertolo, R.; Capitanio, U.; Carbonara, U.; Erdem, S.; Ingels, A.; Kara, O.; Klatte, T.; et al. Impact of frailty on perioperative and oncologic outcomes in patients undergoing surgery or ablation for renal cancer: A systematic review. Minerva Urol. Nephrol. 2021. Available online: https://www.minervamedica.it/index2.php?show=R19Y9999N00A21102902 (accessed on 23 December 2021).
- Bertolotto, M.; Cicero, C.; Perrone, R.; Degrassi, F.; Cacciato, F.; Cova, M.A. Renal Masses With Equivocal Enhancement at CT: Characterization With Contrast-Enhanced Ultrasound. Am. J. Roentgenol. 2015, 204, W557–W565. [Google Scholar] [CrossRef]
- Kim, J.K.; Kim, T.K.; Ahn, H.J.; Kim, C.S.; Kim, K.-R.; Cho, K.-S. Differentiation of Subtypes of Renal Cell Carcinoma on Helical CT Scans. Am. J. Roentgenol. 2002, 178, 1499–1506. [Google Scholar] [CrossRef]
- Rosenkrantz, A.B.; Hindman, N.; Fitzgerald, E.F.; Niver, B.E.; Melamed, J.; Babb, J.S. MRI Features of Renal Oncocytoma and Chromophobe Renal Cell Carcinoma. Am. J. Roentgenol. 2010, 195, W421–W427. [Google Scholar] [CrossRef]
- Egbert, N.D.; Caoili, E.M.; Cohan, R.H.; Davenport, M.S.; Francis, I.R.; Kunju, L.P.; Ellis, J.H. Differentiation of Papillary Renal Cell Carcinoma Subtypes on CT and MRI. Am. J. Roentgenol. 2013, 201, 347–355. [Google Scholar] [CrossRef]
- Yang, C.-W.; Shen, S.-H.; Chang, Y.-H.; Chung, H.-J.; Wang, J.-H.; Lin, A.T.; Chen, K.-K. Are There Useful CT Features to Differentiate Renal Cell Carcinoma From Lipid-Poor Renal Angiomyolipoma? Am. J. Roentgenol. 2013, 201, 1017–1028. [Google Scholar] [CrossRef]
- Kang, S.K.; Huang, W.C.; Pandharipande, P.V.; Chandarana, H. Solid Renal Masses: What the Numbers Tell Us. Am. J. Roentgenol. 2014, 202, 1196–1206. [Google Scholar] [CrossRef] [PubMed]
- Sevcenco, S.; Heinz-Peer, G.; Ponhold, L.; Javor, D.; Kuehhas, F.; Klingler, H.; Remzi, M.; Weibl, P.; Shariat, S.; Baltzer, P. Utility and limitations of 3-Tesla diffusion-weighted magnetic resonance imaging for differentiation of renal tumors. Eur. J. Radiol. 2014, 83, 909–913. Available online: https://www.sciencedirect.com/science/article/pii/S0720048X14001454 (accessed on 23 December 2021). [CrossRef] [PubMed]
- Harvey, C.J.; Alsafi, A.; Kuzmich, S.; Ngo, A.; Papadopoulou, I.; Lakhani, A.; Berkowitz, Y.; Moser, S.; Sidhu, P.; Cosgrove, D.O. Role of US Contrast Agents in the Assessment of Indeterminate Solid and Cystic Lesions in Native and Transplant Kidneys. RadioGraphics 2015, 35, 1419–1430. [Google Scholar] [CrossRef] [PubMed]
- Silverman, S.G.; Pedrosa, I.; Ellis, J.H.; Hindman, N.M.; Schieda, N.; Smith, A.D.; Remer, E.M.; Shinagare, A.B.; Curci, N.E.; Raman, S.S.; et al. Bosniak Classification of Cystic Renal Masses, Version 2019: An Update Proposal and Needs Assessment. Radiology 2019, 292, 475–488. [Google Scholar] [CrossRef] [PubMed]
- Krajewski, K.M.; Giardino, A.A.; Zukotynski, K.; Van den Abbeele, A.D.; Pedrosa, I. Imaging in renal cell carcinoma. Hematol. Oncol. Clin. N. Am. 2011, 25, 687–715. Available online: https://www.embase.com/search/results?subaction=viewrecord&id=L362145459&from=export (accessed on 23 December 2021). [CrossRef] [PubMed]
- Furrer, M.A.; Spycher, S.C.J.; Büttiker, S.M.; Gross, T.; Bosshard, P.; Thalmann, G.N.; Schneider, M.P.; Roth, B. Comparison of the Diagnostic Performance of Contrast-enhanced Ultrasound with That of Contrast-enhanced Computed Tomography and Contrast-enhanced Magnetic Resonance Imaging in the Evaluation of Renal Masses: A Systematic Review and Meta-analysis. Eur. Urol. Oncol. 2020, 3, 464–473. [Google Scholar] [CrossRef]
- Fetzer, D.T. Recent Advances in US Vascular Imaging: Highlighting an Important Use Case. Radiology 2020, 298, 91–92. [Google Scholar] [CrossRef]
- Yong, C.; Teo, Y.M.; Kapur, J. Diagnostic performance of contrast-enhanced ultrasound in the evaluation of renal masses in patients with renal impairment. Med. J. Malaysia 2016, 71, 193–198. [Google Scholar]
- Lu, Q.; Huang, B.J.; Xue, L.Y.; Fan, P.-L.; Wang, W.-P. Differentiation of renal tumor histotypes: Usefulness of quantitative analysis of contrast-enhanced ultrasound. Am. J. Roentgenol. 2015, 205, W335–W342. [Google Scholar] [CrossRef]
- Öztürk, H. Evaluation of Bosniak Type IIF and III Renal Cysts with Contrast-enhanced Ultrasound. J. Belgian. Soc. Radiol. 2016, 100, 12. Available online: http://jbsr.be/articles/10.5334/jbr-btr.843/ (accessed on 23 December 2021).
- Zhou, L.; Tang, L.; Yang, T.; Chen, W. Comparison of contrast-enhanced ultrasound with MRI in the diagnosis of complex cystic renal masses: A meta-analysis. Acta Radiol. 2018, 59, 1254–1263. [Google Scholar] [CrossRef]
- Rübenthaler, J.; Negrão de Figueiredo, G.; Mueller-Peltzer, K.; Clevert, D.A. Evaluation of renal lesions using contrast-enhanced ultrasound (CEUS); a 10-year retrospective European single-centre analysis. Eur. Radiol. 2018, 28, 4542–4549. [Google Scholar] [CrossRef]
- Lerchbaumer, M.H.; Putz, F.J.; Rübenthaler, J.; Rogasch, J.; Jung, E.-M.; Clevert, D.-A.; Hamm, B.; Makowski, M.; Fischer, T. Contrast-enhanced ultrasound (CEUS) of cystic renal lesions in comparison to CT and MRI in a multicenter setting. Clin. Hemorheol. Microcirc. 2020, 75, 419–429. [Google Scholar] [CrossRef]
- Sanz, E.; Hevia, V.; Gómez, V.; Álvarez, S.; Fabuel, J.-J.; Martínez, L.; Rodriguez-Patrón, R.; González-Gordaliza, C.; Burgos, F.-J. Renal Complex Cystic Masses: Usefulness of Contrast-Enhanced Ultrasound (CEUS) in Their Assessment and Its Agreement with Computed Tomography. Curr. Urol. Rep. 2016, 17, 89. [Google Scholar] [CrossRef] [PubMed]
- Ragel, M.; Nedumaran, A.; Makowska-Webb, J. Prospective comparison of use of contrast-enhanced ultrasound and contrast-enhanced computed tomography in the Bosniak classification of complex renal cysts. Ultrasound 2016, 24, 6–16. [Google Scholar] [CrossRef]
- Defortescu, G.; Cornu, J.-N.; Béjar, S.; Giwerc, A.; Gobet, F.; Werquin, C.; Pfister, C.; Nouhaud, F.-X. Diagnostic performance of contrast-enhanced ultrasonography and magnetic resonance imaging for the assessment of complex renal cysts: A prospective study. Int. J. Urol. Off J. Japanese Urol. Assoc. 2017, 24, 184–189. [Google Scholar] [CrossRef]
- Zhou, X.; Yan, F.; Luo, Y.; Peng, Y.-L.; Parajuly, S.S.; Wen, X.-R.; Cai, D.-M.; Li, Y.-Z. Characterization and diagnostic confidence of contrast-enhanced ultrasound for solid renal tumors. Ultrasound Med. Biol. 2011, 37, 845–853. [Google Scholar] [CrossRef] [PubMed]
- Rübenthaler, J.; Paprottka, K.; Marcon, J.; Hameister, E.; Hoffmann, K.; Joiko, N.; Reiser, M.; Clevert, D. Comparison of magnetic resonance imaging (MRI) and contrast-enhanced ultrasound (CEUS) in the evaluation of unclear solid renal lesions. Clin. Hemorheol. Microcirc. 2016, 64, 757–763. [Google Scholar] [CrossRef] [PubMed]
- Wei, S.-P.; Xu, C.-L.; Zhang, Q.; Zhang, Q.-R.; Zhao, Y.-E.; Huang, P.-F.; Xie, Y.-D.; Zhou, C.-S.; Tian, F.-L.; Yang, B. Contrast-enhanced ultrasound for differentiating benign from malignant solid small renal masses: Comparison with contrast-enhanced CT. Abdom. Radiol. 2017, 42, 2135–2145. [Google Scholar] [CrossRef]
- Zhang, F.; Li, R.; Li, G.; Jin, L.; Shi, Q.; Du, L. Value of Contrast-Enhanced Ultrasound in the Diagnosis of Renal Cancer and in Comparison With Contrast-Enhanced Computed Tomography: A Meta-analysis. J. Ultrasound. Med. 2019, 38, 903–914. [Google Scholar] [CrossRef]
- Xue, L.-Y.; Lu, Q.; Huang, B.-J.; Li, Z.; Li, C.-X.; Wen, J.-X.; Wang, W.-P. Papillary renal cell carcinoma and clear cell renal cell carcinoma: Differentiation of distinct histological types with contrast-enhanced ultrasonography. Eur. J. Radiol. 2015, 84, 1849–1856. [Google Scholar] [CrossRef] [PubMed]
- Li, C.-X.; Lu, Q.; Huang, B.-J.; Xue, L.-Y.; Yan, L.-X.; Zheng, F.-Y.; Wen, J.-X.; Wang, W.-P. Quantitative evaluation of contrast-enhanced ultrasound for differentiation of renal cell carcinoma subtypes and angiomyolipoma. Eur. J. Radiol. 2016, 85, 795–802. [Google Scholar] [CrossRef] [PubMed]
- Kasoji, S.K.; Chang, E.H.; Mullin, L.B.; Chong, W.K.; Rathmell, W.K.; Dayton, P.A. A Pilot Clinical Study in Characterization of Malignant Renal-cell Carcinoma Subtype with Contrast-enhanced Ultrasound. Ultrason. Imaging 2017, 39, 126–136. [Google Scholar] [CrossRef] [PubMed]
- Lu, Q.; Li, C.; Huang, B.; Xue, L.-Y.; Wang, W.-P. Triphasic and epithelioid minimal fat renal angiomyolipoma and clear cell renal cell carcinoma: Qualitative and quantitative CEUS characteristics and distinguishing features. Abdom. Imaging 2015, 40, 333–342. [Google Scholar] [CrossRef] [PubMed]
- Xue, L.-Y.; Lu, Q.; Huang, B.-J.; Li, C.-X.; Yan, L.-X.; Wang, W.-P. Differentiation of subtypes of renal cell carcinoma with contrast-enhanced ultrasonography. Clin. Hemorheol. Microcirc. 2016, 63, 361–371. [Google Scholar] [CrossRef] [PubMed]
- Schwarze, V.; Marschner, C.; Negrão de Figueiredo, G.; Knösel, T.; Rübenthaler, J.; Clevert, D.-A. Single-center study: The diagnostic performance of contrast-enhanced ultrasound (CEUS) for assessing renal oncocytoma. Scand. J. Urol. 2020, 54, 135–140. [Google Scholar] [CrossRef]
- Ingels, A.; Leguerney, I.; Cournède, P.-H.; Irani, J.; Ferlicot, S.; Sébrié, C.; Benatsou, B.; Jourdain, L.; Pitre-Champagnat, S.; Patard, J.-J.; et al. Ultrasound Molecular Imaging of Renal Cell Carcinoma: VEGFR targeted therapy monitored with VEGFR1 and FSHR targeted microbubbles. Sci. Rep. 2020, 10, 7308. [Google Scholar] [CrossRef]
- Rojas, J.D.; Lin, F.; Chiang, Y.-C.; Chytil, A.; Chong, D.C.; Bautch, V.L.; Rathmell, W.K.; Dayton, P.A. Ultrasound Molecular Imaging of VEGFR-2 in Clear-Cell Renal Cell Carcinoma Tracks Disease Response to Antiangiogenic and Notch-Inhibition Therapy. Theranostics 2018, 8, 141–155. Available online: https://www.thno.org/v08p0141.htm (accessed on 23 December 2021). [CrossRef]
- Roussel, E.; Verbiest, A.; Kinget, L.; Boeckx, B.; Zucman-Rossi, J.; Couchy, G.; Caruso, S.; Job, S.; de Reyniès, A.; De Wever, L.; et al. Molecular subtypes and gene expression signatures as prognostic features in fully resected clear cell renal cell carcinoma: A tailored approach to adjuvant trials. Clin. Genitourin. Cancer 2021, 19, e382–e394. [Google Scholar] [CrossRef]
- Roussel, E.; Kinget, L.; Verbiest, A.; Boeckx, B.; Zucman-Rossi, J.; Couchy, G.; Caruso, S.; Baldewijns, M.; Joniau, S.; Van Poppel, H.; et al. Molecular underpinnings of glandular tropism in metastatic clear cell renal cell carcinoma: Therapeutic implications. Acta Oncol. 2021, 60, 1499–1506. [Google Scholar] [CrossRef]
- Onur, M.R.; Poyraz, A.K.; Bozgeyik, Z.; Onur, A.R.; Orhan, I. Utility of semiquantitative strain elastography for differentiation between benign and malignant solid renal masses. J. Ultrasound. Med. 2015, 34, 639–647. Available online: https://www.embase.com/search/results?subaction=viewrecord&id=L607593853&from=export (accessed on 23 December 2021). [CrossRef] [PubMed]
- Guo, L.-H.; Liu, B.-J.; Xu, H.-X.; Liu, C.; Sun, L.-P.; Zhang, Y.-F.; Xu, J.-M.; Wu, J.; Xu, X.-H. Acoustic radiation force impulse elastography in differentiating renal solid masses: A preliminary experience. Int. J. Clin. Exp. Pathol. 2014, 7, 7469–7476. Available online: https://www.embase.com/search/results?subaction=viewrecord&id=L615392918&from=export (accessed on 23 December 2021). [PubMed]
- Keskin, S.; Güven, S.; Keskin, Z.; Özbiner, H.; Kerimoğlu, Ü.; Yeşildağ, A. Strain elastography in the characterization of renal cell carcinoma and angiomyolipoma. Can. Urol. Assoc. J. 2015, 9, e67–e71. [Google Scholar] [CrossRef][Green Version]
- Inci, M.F.; Kalayci, T.O.; Tan, S.; Karasu, S.; Albayrak, E.; Cakir, V.; Ocal, I.; Ozkan, F. Diagnostic value of strain elastography for differentiation between renal cell carcinoma and transitional cell carcinoma of kidney. Abdom. Radiol. 2016, 41, 1152–1159. Available online: https://www.embase.com/search/results?subaction=viewrecord&id=L610856254&from=export (accessed on 23 December 2021). [CrossRef] [PubMed]
- Thaiss, W.M.; Bedke, J.; Kruck, S.; Spira, D.; Stenzl, A.; Nikolaou, K.; Horger, M.; Kaufmann, S. Can contrast-enhanced ultrasound and acoustic radiation force impulse imaging characterize CT-indeterminate renal masses? A prospective evaluation with histological confirmation. World J. Urol. 2019, 37, 1339–1346. [Google Scholar] [CrossRef]
- Leong, J.Y.; Wessner, C.E.; Kramer, M.R.; Forsberg, F.; Halpern, E.J.; Lyshchik, A.; Torkzaban, M.; Morris, A.; Byrne, K.; VanMeter, M.; et al. Superb Microvascular Imaging Improves Detection of Vascularity in Indeterminate Renal Masses. J. Ultrasound. Med. Off. J. Am. Inst. Ultrasound. Med. 2020, 39, 1947–1955. [Google Scholar] [CrossRef]
- Mao, Y.; Mu, J.; Zhao, J.; Zhao, L.; Xin, X. The value of superb microvascular imaging in differentiating benign renal mass from malignant renal tumor: A retrospective study. Br. J. Radiol. 2018, 91, 20170601. Available online: https://pubmed.ncbi.nlm.nih.gov/29125337 (accessed on 23 December 2021). [CrossRef]


| Study (Year) | Study Type | Type of Renal Mass | Number of Patients (Tumors) | Imaging Type | Key Findings |
|---|---|---|---|---|---|
| Furrer et al. (2020) | Systematic review | Solid and cystic renal masses | 1290 (1342) | CEUS vs. CECT/CEMRI |
|
| Yong et al. (2016) | Retrospective cohort study | Indeterminate renal masses in patients with renal impairment | 63 (74) | CEUS |
|
| Zhou et al. (2011) | Retrospective cohort study | Solid renal masses with histopathology available or follow-up with MRI | 51 (51) | CEUS |
|
| Rübenthaler et al. (2018) | Retrospective cohort study | Indeterminate renal masses with histopathology available | 255 (255) | CEUS |
|
| Lerchbaumer et al. (2020) | Retrospective cohort study | Cystic renal masses | 173 (173) | CEUS vs. CECT/CEMRI |
|
| Sanz et al. (2016) | Prospective cohort study | Bosniak II–IV cystic renal masses | 67 (67) | CEUS vs. CECT |
|
| Ragel et al. (2016) | Prospective cohort study | Cystic renal masses | 46 (51) | CEUS vs. CECT |
|
| Defortescu et al. (2017) | Prospective cohort study | Bosniak IIF and III cystic renal masses | 47 (47) | CEUS vs. CECT |
|
| Rübenthaler et al. (2016) | Retrospective cohort study | Indeterminate renal masses | 36 (36) | CEUS vs. CEMRI |
|
| Wei et al. (2017) | Retrospective cohort study | Small (<4 cm) renal masses | 118 (118) | CEUS vs. CECT |
|
| Zhang et al. (2019) | Systematic review | Solid and cystic renal masses | NR (2260) | CEUS vs. CECT |
|
| Zhou et al. (2018) | Systematic review | Cystic renal masses | NR (1142) | CEUS vs. CEMRI |
|
| Study (Year) | Study Type | Type of Renal Mass | Number of Patients (Tumors) | Imaging Type | Key Findings |
|---|---|---|---|---|---|
| Onur et al. (2015) | Prospective cohort study | Solid renal masses | 71 (71) | Strain elastography |
|
| Guo et al. (2014) | Retrospective cohort study | Solid renal masses | 42 (42) | ARFI |
|
| Keskin et al. (2015) | Prospective cohort study | Renal masses with histopathology available | 65 (65) | Strain elastography |
|
| Inci et al. (2016) | Prospective cohort study | Solid renal masses, suspicious for malignancy | 99 (99) | Strain elastography |
|
| Thaiss et al. (2019) | Prospective cohort study | Small (<4 cm) CECT-indeterminate renal masses | 123 (123) | ARFI |
|
Publisher’s Note: MDPI stays neutral with regard to jurisdictional claims in published maps and institutional affiliations. |
© 2022 by the authors. Licensee MDPI, Basel, Switzerland. This article is an open access article distributed under the terms and conditions of the Creative Commons Attribution (CC BY) license (https://creativecommons.org/licenses/by/4.0/).
Share and Cite
Roussel, E.; Campi, R.; Amparore, D.; Bertolo, R.; Carbonara, U.; Erdem, S.; Ingels, A.; Kara, Ö.; Marandino, L.; Marchioni, M.; et al. Expanding the Role of Ultrasound for the Characterization of Renal Masses. J. Clin. Med. 2022, 11, 1112. https://doi.org/10.3390/jcm11041112
Roussel E, Campi R, Amparore D, Bertolo R, Carbonara U, Erdem S, Ingels A, Kara Ö, Marandino L, Marchioni M, et al. Expanding the Role of Ultrasound for the Characterization of Renal Masses. Journal of Clinical Medicine. 2022; 11(4):1112. https://doi.org/10.3390/jcm11041112
Chicago/Turabian StyleRoussel, Eduard, Riccardo Campi, Daniele Amparore, Riccardo Bertolo, Umberto Carbonara, Selcuk Erdem, Alexandre Ingels, Önder Kara, Laura Marandino, Michele Marchioni, and et al. 2022. "Expanding the Role of Ultrasound for the Characterization of Renal Masses" Journal of Clinical Medicine 11, no. 4: 1112. https://doi.org/10.3390/jcm11041112
APA StyleRoussel, E., Campi, R., Amparore, D., Bertolo, R., Carbonara, U., Erdem, S., Ingels, A., Kara, Ö., Marandino, L., Marchioni, M., Muselaers, S., Pavan, N., Pecoraro, A., Beuselinck, B., Pedrosa, I., Fetzer, D., Albersen, M., & on behalf of the European Association of Urology (EAU) Young Academic Urologists (YAU) Renal Cancer Working Group. (2022). Expanding the Role of Ultrasound for the Characterization of Renal Masses. Journal of Clinical Medicine, 11(4), 1112. https://doi.org/10.3390/jcm11041112

