Forced Diuresis with Matched Isotonic Intravenous Hydration Prevents Renal Contrast Media Accumulation
Abstract
:1. Introduction
2. Materials and Methods
2.1. Study Design
2.2. Study Protocol
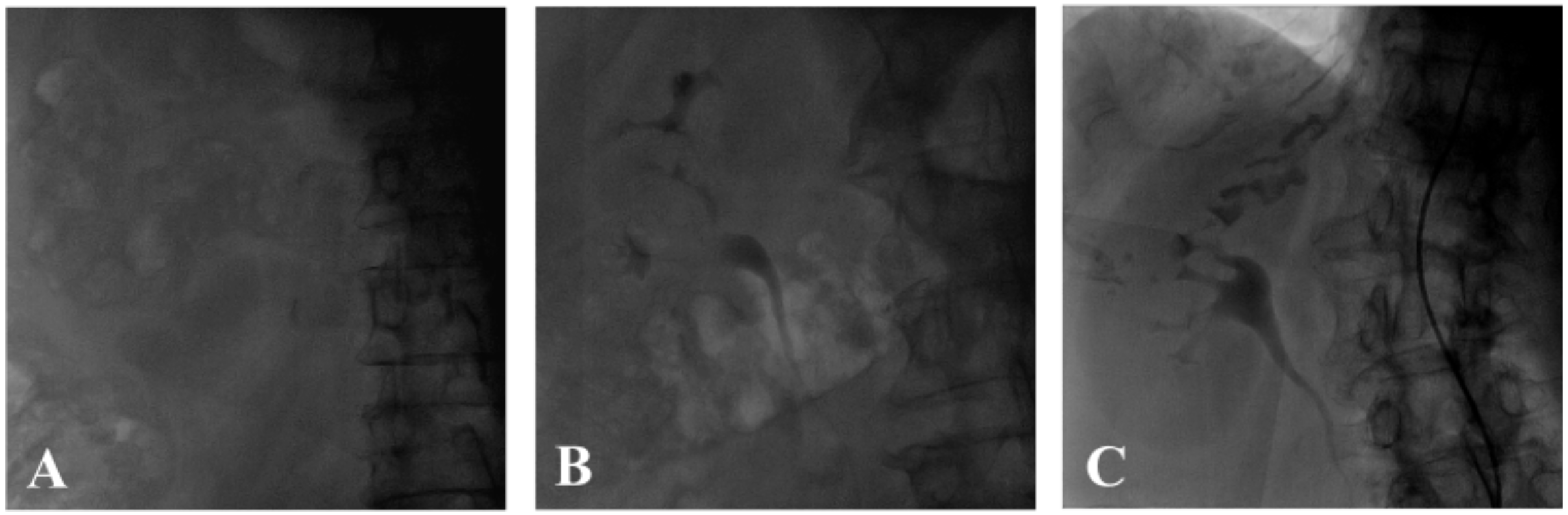
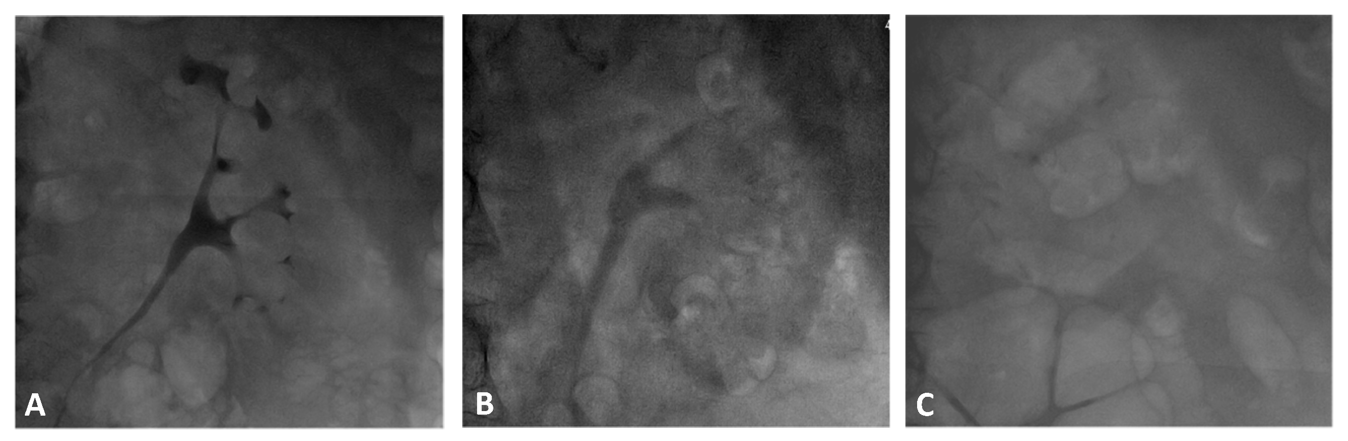
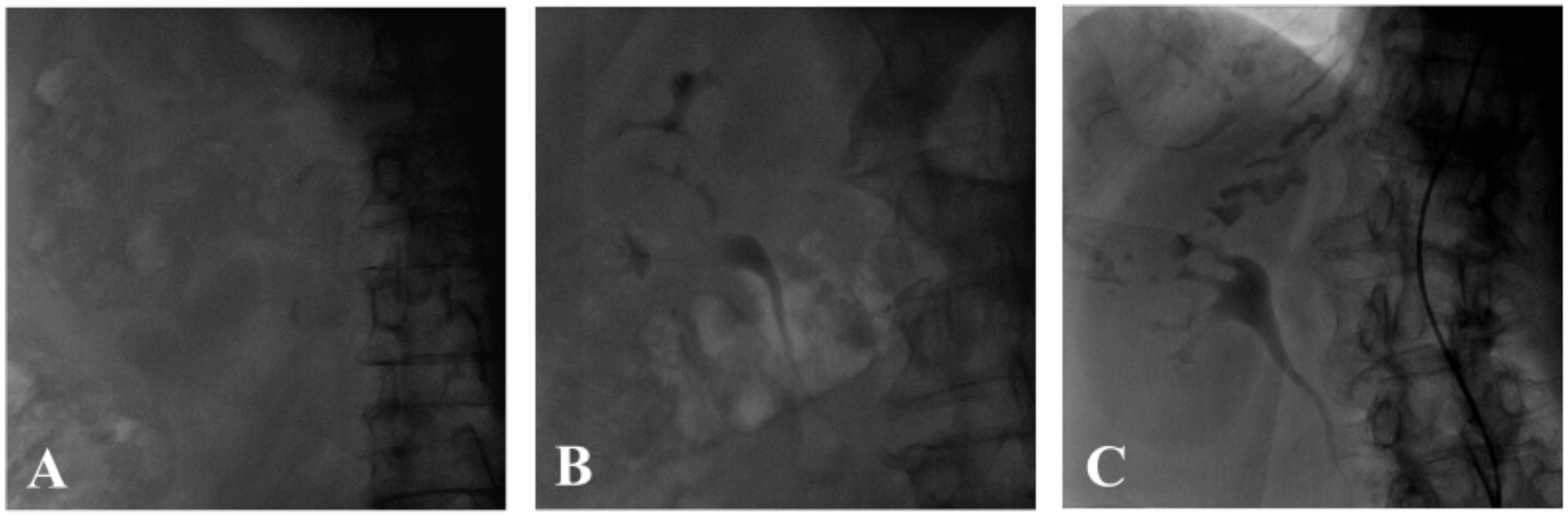
2.3. Renal Contrast Accumulation Analysis
2.4. Statistical Analysis
3. Results
3.1. Study Population and Procedure Data
3.2. Contrast Accumulation Score
3.3. Post Procedural Follow Up
4. Discussion
4.1. Pathophysiology of Contrast Induced Acute Kidney Injury
4.2. Prophylactic Strategies for CI-AKI
4.3. Forced Diuresis with Matched Hydration Decreases the Incidence of CI-AKI Regardless of the Amount of Contrast Media Used
4.4. Limitations
5. Conclusions
Supplementary Materials
Author Contributions
Funding
Institutional Review Board Statement
Informed Consent Statement
Data Availability Statement
Conflicts of Interest
References
- Rihal, C.S.; Textor, S.C.; Grill, D.E.; Berger, P.B.; Ting, H.H.; Best, P.J.; Singh, M.; Bell, M.R.; Barsness, G.W.; Mathew, V.; et al. Incidence and prognostic importance of acute renal failure after percutaneous coronary intervention. Circulation 2002, 105, 2259–2264. [Google Scholar] [CrossRef] [PubMed] [Green Version]
- Tsai, T.T.; Patel, U.D.; Chang, T.I.; Kennedy, K.F.; Masoudi, F.A.; Matheny, M.E.; Kosiborod, M.; Amin, A.P.; Messenger, J.C.; Rumsfeld, J.S.; et al. Contemporary incidence, predictors, and outcomes of acute kidney injury in patients undergoing percutaneous coronary interventions: Insights from the NCDR Cath-PCI registry. JACC Cardiovasc. Interv. 2014, 7, 1–9. [Google Scholar] [CrossRef] [Green Version]
- Marenzi, G.; Ferrari, C.; Marana, I.; Assanelli, E.; De Metrio, M.; Teruzzi, G.; Veglia, F.; Fabbiocchi, F.; Montorsi, P.; Bartorelli, A.L. Prevention of contrast nephropathy by furosemide with matched hydration: The MYTHOS (Induced Diuresis With Matched Hydration Compared to Standard Hydration for Contrast Induced Nephropathy Prevention) trial. JACC Cardiovasc. Interv. 2012, 5, 90–97. [Google Scholar] [CrossRef] [PubMed] [Green Version]
- Briguori, C.; Visconti, G.; Focaccio, A.; Airoldi, F.; Valgimigli, M.; Sangiorgi, G.M.; Golia, B.; Ricciardelli, B.; Condorelli, G.; Investigators, R.I. Renal Insufficiency After Contrast Media Administration Trial II (REMEDIAL II): RenalGuard System in high-risk patients for contrast-induced acute kidney injury. Circulation 2011, 124, 1260–1269. [Google Scholar] [CrossRef] [PubMed]
- Chorin, E.; Ben-Assa, E.; Konigstein, M.; Rofe, M.T.; Hochstadt, A.; Galli, N.; Schnapper, M.; Arbel, Y.; Rabey, I.; Shoshan, J.B.; et al. Prevention of post procedural acute kidney injury in the catheterization laboratory in a real-world population. Int. J. Cardiol. 2017, 226, 42–47. [Google Scholar] [CrossRef] [PubMed]
- Konigstein, M.; Ben-Assa, E.; Abramowitz, Y.; Steinvil, A.; Leshem Rubinow, E.; Havakuk, O.; Arbel, Y.; Halkin, A.; Keren, G.; Banai, S.; et al. Usefulness of updated valve academic research consortium-2 criteria for acute kidney injury following transcatheter aortic valve implantation. Am. J. Cardiol. 2013, 112, 1807–1811. [Google Scholar] [CrossRef] [PubMed]
- Wald, D.S.; Morris, J.K.; Wald, N.J.; Chase, A.J.; Edwards, R.J.; Hughes, L.O.; Berry, C.; Oldroyd, K.G.; Investigators, P. Randomized trial of preventive angioplasty in myocardial infarction. N. Engl. J. Med. 2013, 369, 1115–1123. [Google Scholar] [CrossRef] [PubMed] [Green Version]
- McDonald, J.S.; Steckler, E.M.; McDonald, R.J.; Katzberg, R.W.; Williamson, E.E.; Cernigliaro, J.G.; Hamadah, A.M.; Gharaibeh, K.; Kallmes, D.F.; Leung, N. Bilateral Sustained Nephrograms After Parenteral Administration of Iodinated Contrast Material: A Potential Biomarker for Acute Kidney Injury, Dialysis, and Mortality. Mayo Clin. Proc. 2018, 93, 867–876. [Google Scholar] [CrossRef] [PubMed]
- Rear, R.; Bell, R.M.; Hausenloy, D.J. Contrast-induced nephropathy following angiography and cardiac interventions. Heart 2016, 102, 638–648. [Google Scholar] [CrossRef] [PubMed] [Green Version]
- Seeliger, E.; Sendeski, M.; Rihal, C.S.; Persson, P.B. Contrast-induced kidney injury: Mechanisms, risk factors, and prevention. Eur. Heart J. 2012, 33, 2007–2015. [Google Scholar] [CrossRef] [PubMed]
- Jost, G.; Pietsch, H.; Sommer, J.; Sandner, P.; Lengsfeld, P.; Seidensticker, P.; Lehr, S.; Hütter, J.; Sieber, M.A. Retention of iodine and expression of biomarkers for renal damage in the kidney after application of iodinated contrast media in rats. Investig. Radiol. 2009, 44, 114–123. [Google Scholar] [CrossRef] [PubMed]
- McCullough, P.A.; Choi, J.P.; Feghali, G.A.; Schussler, J.M.; Stoler, R.M.; Vallabahn, R.C.; Mehta, A. Contrast-Induced Acute Kidney Injury. J. Am. Coll. Cardiol. 2016, 68, 1465–1473. [Google Scholar] [CrossRef] [PubMed] [Green Version]
- Trivedi, H.S.; Moore, H.; Nasr, S.; Aggarwal, K.; Agrawal, A.; Goel, P.; Hewett, J. A randomized prospective trial to assess the role of saline hydration on the development of contrast nephrotoxicity. Nephron Clin. Pract. 2003, 93, C29–C34. [Google Scholar] [CrossRef] [PubMed]
- Nijssen, E.C.; Rennenberg, R.J.; Nelemans, P.J.; Essers, B.A.; Janssen, M.M.; Vermeeren, M.A.; Ommen, V.V.; Wildberger, J.E. Prophylactic hydration to protect renal function from intravascular iodinated contrast material in patients at high risk of contrast-induced nephropathy (AMACING): A prospective, randomised, phase 3, controlled, open-label, non-inferiority trial. Lancet 2017, 389, 1312–1322. [Google Scholar] [CrossRef]
- Gupta, R.; Moza, A.; Cooper, C.J. Intravenous Hydration and Contrast-Induced Acute Kidney Injury: Too Much of a Good Thing? J. Am. Heart Assoc. 2016, 5, e003777. [Google Scholar] [CrossRef] [PubMed] [Green Version]
- Arbel, Y.; Ben-Assa, E.; Puzhevsky, D.; Litmanowicz, B.; Galli, N.; Chorin, E.; Halkin, A.; Sadeh, B.; Konigstein, M.; Bassat, O.K.; et al. Forced diuresis with matched hydration during transcatheter aortic valve implantation for Reducing Acute Kidney Injury: A randomized, sham-controlled study (REDUCE-AKI). Eur. Heart J. 2019, 40, 3169–3178. [Google Scholar] [CrossRef] [PubMed]



| RenalGuard (n = 25) | Control Normal RF (n = 25) | Control Impaired RF (n = 8) | p-Value (RG vs. Control Normal RF) | p-Value (RG vs. Control Impaired RF) | |
|---|---|---|---|---|---|
| Age (years ± SD) | 76.20 ± 8.48 | 71.48 ± 13.97 | 75.75 ± 10.73 | 0.21 | 0.90 |
| Female gender (%) | 28 | 28 | 12.5 | 1 | 0.68 |
| Creatinine (mg/dL ± SD) | 1.71 ± 0.50 | 0.95 ± 0.28 | 1.63 ± 0.13 | <0.001 | 0.66 |
| eGFR (mL/min/1.73 m2± SD) | 39.10 ± 13.91 | 76.04 ± 18.74 | 39.56 ± 6.61 | <0.001 | 0.93 |
| HTN (%) | 100 | 78 | 100 | 0.047 | NA |
| Hyperlipidemia (%) | 76 | 79 | 87 | 1 | 0.85 |
| DM (%) | 60 | 21 | 63 | 0.012 | 1 |
| TIA/CVA (%) | 16 | 24 | 0 | 0.73 | 0.56 |
| Tobacco use | 0.47 | 0.72 | |||
| Never (%) | 53 | 31 | 50 | ||
| Past-smoker (%) | 35 | 54 | 50 | ||
| Active smoker (%) | 12 | 15 | 0 | ||
| AF (%) | 20 | 30 | 13 | 0.62 | 1 |
| HF (%) | 36 | 13 | 50 | 0.13 | 0.77 |
| IHD | 0.06 | 0.21 | |||
| No (%) | 24 | 48 | 0.0 | ||
| s/p PCI (%) | 44 | 44 | 75 | ||
| s/p CABG (%) | 32 | 8 | 25 | ||
| Medications | |||||
| Beta Blockers (%) | 67 | 50 | 71 | 0.38 | 1 |
| CCB (%) | 29 | 33 | 43 | 1 | 0.82 |
| Statins (%) | 75 | 71 | 71 | 1 | 1 |
| ACE-I (%) | 42 | 50 | 29 | 0.77 | 0.85 |
| ARB (%) | 25 | 13 | 29 | 0.46 | 1 |
| PPI (%) | 33 | 42 | 100 | 0.77 | 0.007 |
| Aspirin (%) | 71 | 67 | 86 | 1 | 0.76 |
| Clopidogrel (%) | 17 | 25 | 14 | 0.72 | 1 |
| Ticagrelor (%) | 0 | 0 | 14 | NA | 0.51 |
| Prasugrel (%) | 0 | 4 | 0 | 1 | NA |
| Anticoagulation | 0.13 | ||||
| Warfarin (%) | 0 | 8 | 0 | ||
| Rivaroxaban (%) | 4 | 13 | 0 | ||
| Dabigatran (%) | 0 | 4 | 0 | ||
| Apixaban (%) | 13 | 0 | 14 |
| RenalGuard (n = 25) | Control Normal RF (n = 25) | Control Impaired RF (n = 8) | p-Value (RG vs. Control Normal RF) | p-Value (RG vs. Control Impaired RF) | |
|---|---|---|---|---|---|
| Procedure | 0.37 | 0.64 | |||
| Diagnostic (%) | 32 | 20 | 25 | ||
| PCI (%) | 44 | 64 | 62.5 | ||
| TAVR (%) | 24 | 16 | 12.5 | ||
| Total IV fluids (mL ± SD) * | 1279.58 ± 529.52 | ||||
| Total urine volume (mL ± SD) * | 1067.32 ± 512.05 | ||||
| Urine rate at end of procedure (mL/h ± SD) * | 596.00 ± 310.44 | ||||
| Total contrast volume (mL ± SD) | 134.80 ± 44.04 | 152.52 ± 54.18 | 152.86 ± 69.49 | 0.25 | 0.41 |
| Total procedure time (mins ± SD) | 43.00 ± 26.51 | 35.94 ± 21.35 | 32.75 ± 37.05 | 0.46 | 0.52 |
| Total procedure cine (s ± SD) | 769.47 ± 597.50 | 689.24 ± 480.50 | 870.88 ± 527.41 | 0.71 | 0.69 |
| Research cine (s ± SD) | 7.13 ± 2.50 | 5.94 ± 1.89 | 3.75 ± 0.71 | 0.23 | 0.001 |
Publisher’s Note: MDPI stays neutral with regard to jurisdictional claims in published maps and institutional affiliations. |
© 2022 by the authors. Licensee MDPI, Basel, Switzerland. This article is an open access article distributed under the terms and conditions of the Creative Commons Attribution (CC BY) license (https://creativecommons.org/licenses/by/4.0/).
Share and Cite
Ben-Haim, Y.; Chorin, E.; Hochstadt, A.; Ingbir, M.; Arbel, Y.; Khoury, S.; Halkin, A.; Finkelstein, A.; Banai, S.; Konigstein, M. Forced Diuresis with Matched Isotonic Intravenous Hydration Prevents Renal Contrast Media Accumulation. J. Clin. Med. 2022, 11, 885. https://doi.org/10.3390/jcm11030885
Ben-Haim Y, Chorin E, Hochstadt A, Ingbir M, Arbel Y, Khoury S, Halkin A, Finkelstein A, Banai S, Konigstein M. Forced Diuresis with Matched Isotonic Intravenous Hydration Prevents Renal Contrast Media Accumulation. Journal of Clinical Medicine. 2022; 11(3):885. https://doi.org/10.3390/jcm11030885
Chicago/Turabian StyleBen-Haim, Yael, Ehud Chorin, Aviram Hochstadt, Merav Ingbir, Yaron Arbel, Shafik Khoury, Amir Halkin, Ariel Finkelstein, Shmuel Banai, and Maayan Konigstein. 2022. "Forced Diuresis with Matched Isotonic Intravenous Hydration Prevents Renal Contrast Media Accumulation" Journal of Clinical Medicine 11, no. 3: 885. https://doi.org/10.3390/jcm11030885
APA StyleBen-Haim, Y., Chorin, E., Hochstadt, A., Ingbir, M., Arbel, Y., Khoury, S., Halkin, A., Finkelstein, A., Banai, S., & Konigstein, M. (2022). Forced Diuresis with Matched Isotonic Intravenous Hydration Prevents Renal Contrast Media Accumulation. Journal of Clinical Medicine, 11(3), 885. https://doi.org/10.3390/jcm11030885

