Prognostic Impact of CD36 Immunohistochemical Expression in Patients with Muscle-Invasive Bladder Cancer Treated with Cystectomy and Adjuvant Chemotherapy
Abstract
1. Introduction
2. Materials and Methods
2.1. Study Population
2.2. Tissue Specimens
2.3. CD36 Immunostaining
2.4. Ethical Issues
2.5. Statistical Analyses
3. Results
3.1. Patients
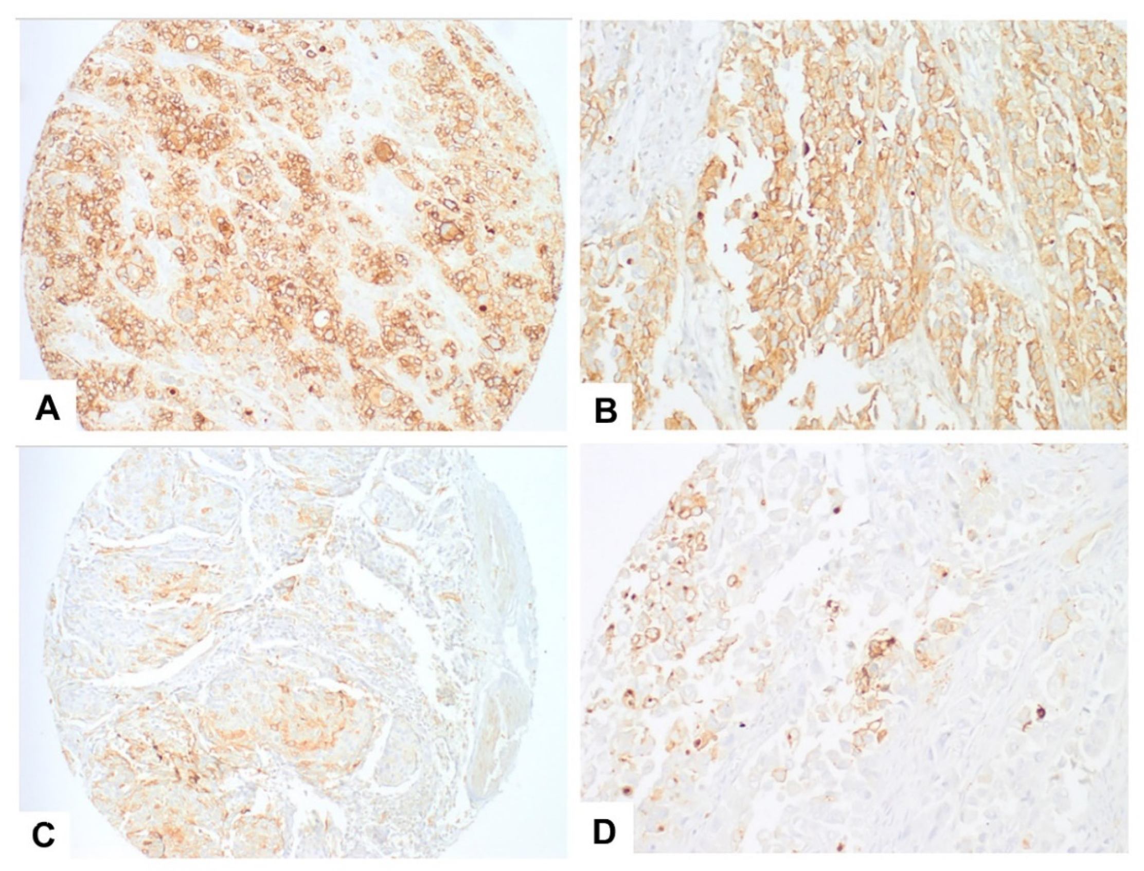
3.2. CD36 Immunostaining
3.3. Correlation of CD36 Expression and Pathological Staging
3.4. CD36 and Patient Outcomes
4. Discussion
Author Contributions
Funding
Institutional Review Board Statement
Informed Consent Statement
Data Availability Statement
Acknowledgments
Conflicts of Interest
References
- Bray, F.; Ferlay, J.; Soerjomataram, I.; Siegel, R.L.; Torre, L.A.; Jemal, A. Global cancer statistics 2018: GLOBOCAN estimates of incidence and mortality worldwide for 36 cancers in 185 countries. CA Cancer J. Clin. 2018, 68, 394–424. [Google Scholar] [CrossRef]
- Siegel, R.L.; Miller, K.D.; Jemal, A. Cancer statistics, 2019. CA Cancer J. Clin. 2019, 69, 7–34. [Google Scholar] [CrossRef]
- Saginala, K.; Barsouk, A.; Aluru, J.S.; Rawla, P.; Padala, S.A.; Barsouk, A. Epidemiology of Bladder Cancer. Med. Sci. 2020, 8, 15. [Google Scholar] [CrossRef]
- Sun, J.W.; Zhao, L.G.; Yang, Y.; Ma, X.; Wang, Y.Y.; Xiang, Y.B. Obesity and risk of bladder cancer: A dose-response meta-analysis of 15 cohort studies. PLoS ONE 2015, 10, e0119313. [Google Scholar] [CrossRef]
- Pollak, M. The insulin and insulin-like growth factor receptor family in neoplasia: An update. Nat. Rev. Cancer 2012, 12, 159–169. [Google Scholar] [CrossRef]
- Cheng, C.; Geng, F.; Cheng, X.; Guo, D. Lipid metabolism reprogramming and its potential targets in cancer. Cancer Commun. 2018, 38, 27. [Google Scholar] [CrossRef]
- Iyengar, N.M.; Gucalp, A.; Dannenberg, A.J.; Hudis, C.A. Obesity and Cancer Mechanisms: Tumor Microenvironment and Inflammation. J. Clin. Oncol. 2016, 34, 4270–4276. [Google Scholar] [CrossRef]
- Babjuk, M.; Burger, M.; Comperat, E.M.; Gontero, P.; Mostafid, A.H.; Palou, J.; van Rhijn, B.W.G.; Roupret, M.; Shariat, S.F.; Sylvester, R.; et al. European Association of Urology Guidelines on Non-muscle-invasive Bladder Cancer (TaT1 and Carcinoma In Situ)-2019 Update. Eur. Urol. 2019, 76, 639–657. [Google Scholar] [CrossRef]
- Stein, J.P.; Skinner, D.G. Radical cystectomy for invasive bladder cancer: Long-term results of a standard procedure. World J. Urol. 2006, 24, 296–304. [Google Scholar] [CrossRef]
- Stadler, W.M.; Lerner, S.P.; Groshen, S.; Stein, J.P.; Shi, S.R.; Raghavan, D.; Esrig, D.; Steinberg, G.; Wood, D.; Klotz, L.; et al. Phase III study of molecularly targeted adjuvant therapy in locally advanced urothelial cancer of the bladder based on p53 status. J. Clin. Oncol. 2011, 29, 3443–3449. [Google Scholar] [CrossRef]
- Cognetti, F.; Ruggeri, E.M.; Felici, A.; Gallucci, M.; Muto, G.; Pollera, C.F.; Massidda, B.; Rubagotti, A.; Giannarelli, D.; Boccardo, F.; et al. Adjuvant chemotherapy with cisplatin and gemcitabine versus chemotherapy at relapse in patients with muscle-invasive bladder cancer submitted to radical cystectomy: An Italian, multicenter, randomized phase III trial. Ann. Oncol. 2012, 23, 695–700. [Google Scholar] [CrossRef]
- Gonzalez Del Alba, A.; De Velasco, G.; Lainez, N.; Maroto, P.; Morales-Barrera, R.; Munoz-Langa, J.; Perez-Valderrama, B.; Basterretxea, L.; Caballero, C.; Vazquez, S. SEOM clinical guideline for treatment of muscle-invasive and metastatic urothelial bladder cancer (2018). Clin. Transl. Oncol. 2019, 21, 64–74. [Google Scholar] [CrossRef] [PubMed]
- Sternberg, C.N.; Skoneczna, I.; Kerst, J.M.; Albers, P.; Fossa, S.D.; Agerbaek, M.; Dumez, H.; de Santis, M.; Theodore, C.; Leahy, M.G.; et al. Immediate versus deferred chemotherapy after radical cystectomy in patients with pT3-pT4 or N+ M0 urothelial carcinoma of the bladder (EORTC 30994): An intergroup, open-label, randomised phase 3 trial. Lancet Oncol. 2015, 16, 76–86. [Google Scholar] [CrossRef]
- Leow, J.J.; Martin-Doyle, W.; Rajagopal, P.S.; Patel, C.G.; Anderson, E.M.; Rothman, A.T.; Cote, R.J.; Urun, Y.; Chang, S.L.; Choueiri, T.K.; et al. Adjuvant chemotherapy for invasive bladder cancer: A 2013 updated systematic review and meta-analysis of randomized trials. Eur. Urol. 2014, 66, 42–54. [Google Scholar] [CrossRef]
- Paz-Ares, L.G.; Solsona, E.; Esteban, E.; Saez, A.; Gonzalez-Larriba, J.; Anton, A.; Hevia, M.; Rosa, F.d.l.; Guillem, V.; Bellmunt, J. Randomized phase III trial comparing adjuvant paclitaxel/gemcitabine/cisplatin (PGC) to observation in patients with resected invasive bladder cancer: Results of the Spanish Oncology Genitourinary Group (SOGUG) 99/01 study. J. Clin. Oncol. 2010, 28, LBA4518. [Google Scholar] [CrossRef]
- Bellmunt, J.; Orsola, A.; Leow, J.J.; Wiegel, T.; De Santis, M.; Horwich, A.; Group, E.G.W. Bladder cancer: ESMO Practice Guidelines for diagnosis, treatment and follow-up. Ann. Oncol. 2014, 25 (Suppl. 3), iii40–iii48. [Google Scholar] [CrossRef]
- Stein, J.P.; Lieskovsky, G.; Cote, R.; Groshen, S.; Feng, A.C.; Boyd, S.; Skinner, E.; Bochner, B.; Thangathurai, D.; Mikhail, M.; et al. Radical cystectomy in the treatment of invasive bladder cancer: Long-term results in 1,054 patients. J. Clin. Oncol. 2001, 19, 666–675. [Google Scholar] [CrossRef] [PubMed]
- Pane, K.; Mirabelli, P.; Coppola, L.; Illiano, E.; Salvatore, M.; Franzese, M. New Roadmaps for Non-muscle-invasive Bladder Cancer With Unfavorable Prognosis. Front. Chem. 2020, 8, 600. [Google Scholar] [CrossRef] [PubMed]
- Sjodahl, G.; Lauss, M.; Lovgren, K.; Chebil, G.; Gudjonsson, S.; Veerla, S.; Patschan, O.; Aine, M.; Ferno, M.; Ringner, M.; et al. A molecular taxonomy for urothelial carcinoma. Clin. Cancer Res. 2012, 18, 3377–3386. [Google Scholar] [CrossRef] [PubMed]
- Damrauer, J.S.; Hoadley, K.A.; Chism, D.D.; Fan, C.; Tiganelli, C.J.; Wobker, S.E.; Yeh, J.J.; Milowsky, M.I.; Iyer, G.; Parker, J.S.; et al. Intrinsic subtypes of high-grade bladder cancer reflect the hallmarks of breast cancer biology. Proc. Natl. Acad. Sci. USA 2014, 111, 3110–3115. [Google Scholar] [CrossRef]
- Choi, W.; Porten, S.; Kim, S.; Willis, D.; Plimack, E.R.; Hoffman-Censits, J.; Roth, B.; Cheng, T.; Tran, M.; Lee, I.L.; et al. Identification of distinct basal and luminal subtypes of muscle-invasive bladder cancer with different sensitivities to frontline chemotherapy. Cancer Cell 2014, 25, 152–165. [Google Scholar] [CrossRef] [PubMed]
- Robertson, A.G.; Kim, J.; Al-Ahmadie, H.; Bellmunt, J.; Guo, G.; Cherniack, A.D.; Hinoue, T.; Laird, P.W.; Hoadley, K.A.; Akbani, R.; et al. Comprehensive Molecular Characterization of Muscle-Invasive Bladder Cancer. Cell 2018, 174, 1033. [Google Scholar] [CrossRef]
- Kamoun, A.; de Reynies, A.; Allory, Y.; Sjodahl, G.; Robertson, A.G.; Seiler, R.; Hoadley, K.A.; Groeneveld, C.S.; Al-Ahmadie, H.; Choi, W.; et al. A Consensus Molecular Classification of Muscle-invasive Bladder Cancer. Eur. Urol. 2020, 77, 420–433. [Google Scholar] [CrossRef]
- Cancer Genome Atlas Research Network. Comprehensive molecular characterization of urothelial bladder carcinoma. Nature 2014, 507, 315–322. [Google Scholar] [CrossRef] [PubMed]
- Luo, X.; Cheng, C.; Tan, Z.; Li, N.; Tang, M.; Yang, L.; Cao, Y. Emerging roles of lipid metabolism in cancer metastasis. Mol. Cancer 2017, 16, 76. [Google Scholar] [CrossRef]
- Pardo, J.C.; Ruiz de Porras, V.; Plaja, A.; Carrato, C.; Etxaniz, O.; Buisan, O.; Font, A. Moving towards Personalized Medicine in Muscle-Invasive Bladder Cancer: Where Are We Now and Where Are We Going? Int. J. Mol. Sci. 2020, 21, 6271. [Google Scholar] [CrossRef]
- Pascual, G.; Avgustinova, A.; Mejetta, S.; Martin, M.; Castellanos, A.; Attolini, C.S.; Berenguer, A.; Prats, N.; Toll, A.; Hueto, J.A.; et al. Targeting metastasis-initiating cells through the fatty acid receptor CD36. Nature 2017, 541, 41–45. [Google Scholar] [CrossRef] [PubMed]
- Nath, A.; Chan, C. Genetic alterations in fatty acid transport and metabolism genes are associated with metastatic progression and poor prognosis of human cancers. Sci. Rep. 2016, 6, 18669. [Google Scholar] [CrossRef]
- Ji, Z.; Shen, Y.; Feng, X.; Kong, Y.; Shao, Y.; Meng, J.; Zhang, X.; Yang, G. Deregulation of Lipid Metabolism: The Critical Factors in Ovarian Cancer. Front. Oncol. 2020, 10, 593017. [Google Scholar] [CrossRef] [PubMed]
- Wang, J.; Li, Y. CD36 tango in cancer: Signaling pathways and functions. Theranostics 2019, 9, 4893–4908. [Google Scholar] [CrossRef] [PubMed]
- Welty, C.J.; Sanford, T.H.; Wright, J.L.; Carroll, P.R.; Cooperberg, M.R.; Meng, M.V.; Porten, S.P. The Cancer of the Bladder Risk Assessment (COBRA) score: Estimating mortality after radical cystectomy. Cancer 2017, 123, 4574–4582. [Google Scholar] [CrossRef] [PubMed]
- De Santis, M.; Bellmunt, J.; Mead, G.; Kerst, J.M.; Leahy, M.; Maroto, P.; Gil, T.; Marreaud, S.; Daugaard, G.; Skoneczna, I.; et al. Randomized phase II/III trial assessing gemcitabine/carboplatin and methotrexate/carboplatin/vinblastine in patients with advanced urothelial cancer who are unfit for cisplatin-based chemotherapy: EORTC study 30986. J. Clin. Oncol. 2012, 30, 191–199. [Google Scholar] [CrossRef]
- Sternberg, C.N.; de Mulder, P.; Schornagel, J.H.; Theodore, C.; Fossa, S.D.; van Oosterom, A.T.; Witjes, J.A.; Spina, M.; van Groeningen, C.J.; Duclos, B.; et al. Seven year update of an EORTC phase III trial of high-dose intensity M-VAC chemotherapy and G-CSF versus classic M-VAC in advanced urothelial tract tumours. Eur. J. Cancer 2006, 42, 50–54. [Google Scholar] [CrossRef] [PubMed]
- Hanahan, D.; Weinberg, R.A. Hallmarks of cancer: The next generation. Cell 2011, 144, 646–674. [Google Scholar] [CrossRef] [PubMed]
- Currie, E.; Schulze, A.; Zechner, R.; Walther, T.C.; Farese, R.V., Jr. Cellular fatty acid metabolism and cancer. Cell Metab. 2013, 18, 153–161. [Google Scholar] [CrossRef]
- Enciu, A.M.; Radu, E.; Popescu, I.D.; Hinescu, M.E.; Ceafalan, L.C. Targeting CD36 as Biomarker for Metastasis Prognostic: How Far from Translation into Clinical Practice? Biomed. Res. Int. 2018, 2018, 7801202. [Google Scholar] [CrossRef]
- Chen, Y.J.; Liao, W.X.; Huang, S.Z.; Yu, Y.F.; Wen, J.Y.; Chen, J.; Lin, D.G.; Wu, X.Y.; Jiang, N.; Li, X. Prognostic and immunological role of CD36: A pan-cancer analysis. J. Cancer 2021, 12, 4762–4773. [Google Scholar] [CrossRef]
- Amin, M.B.; Greene, F.L.; Edge, S.B.; Compton, C.C.; Gershenwald, J.E.; Brookland, R.K.; Meyer, L.; Gress, D.M.; Byrd, D.R.; Winchester, D.P. The Eighth Edition AJCC Cancer Staging Manual: Continuing to build a bridge from a population-based to a more "personalized" approach to cancer staging. CA Cancer J. Clin. 2017, 67, 93–99. [Google Scholar] [CrossRef]
- Neuzillet, Y.; Lebret, T.; Molinie, V.; Yonneau, L.; Herve, J.M.; Theodore, C.; Botto, H. Perivesical fat invasion in bladder cancer: Implications for prognosis comparing pT2b, pT3a and pT3b stages and consequences for adjuvant chemotherapy indications. BJU Int. 2012, 110, 1736–1741. [Google Scholar] [CrossRef]
- Tabata, M.; Ikeda, M.; Urakami, S.; Takahashi, S.; Sakaguchi, K.; Kurosawa, K.; Okaneya, T. Impact of adjuvant chemotherapy on patients with pathological Stage T3b and/or lymph node metastatic bladder cancer after radical cystectomy. Jpn. J. Clin. Oncol. 2015, 45, 963–967. [Google Scholar] [CrossRef][Green Version]
- Bensaad, K.; Favaro, E.; Lewis, C.A.; Peck, B.; Lord, S.; Collins, J.M.; Pinnick, K.E.; Wigfield, S.; Buffa, F.M.; Li, J.L.; et al. Fatty acid uptake and lipid storage induced by HIF-1alpha contribute to cell growth and survival after hypoxia-reoxygenation. Cell Rep. 2014, 9, 349–365. [Google Scholar] [CrossRef]
- Jiang, L.; Xiao, L.; Sugiura, H.; Huang, X.; Ali, A.; Kuro-o, M.; Deberardinis, R.J.; Boothman, D.A. Metabolic reprogramming during TGFbeta1-induced epithelial-to-mesenchymal transition. Oncogene 2015, 34, 3908–3916. [Google Scholar] [CrossRef]
- Ladanyi, A.; Mukherjee, A.; Kenny, H.A.; Johnson, A.; Mitra, A.K.; Sundaresan, S.; Nieman, K.M.; Pascual, G.; Benitah, S.A.; Montag, A.; et al. Adipocyte-induced CD36 expression drives ovarian cancer progression and metastasis. Oncogene 2018, 37, 2285–2301. [Google Scholar] [CrossRef]
- Grossman, H.B.; Natale, R.B.; Tangen, C.M.; Speights, V.O.; Vogelzang, N.J.; Trump, D.L.; deVere White, R.W.; Sarosdy, M.F.; Wood, D.P., Jr.; Raghavan, D.; et al. Neoadjuvant chemotherapy plus cystectomy compared with cystectomy alone for locally advanced bladder cancer. N. Engl. J. Med. 2003, 349, 859–866. [Google Scholar] [CrossRef]
- International Collaboration of Trialists; Medical Research Council Advanced Bladder Cancer Working Party; European Organisation for Research and Treatment of Cancer Genito-Urinary Tract Cancer Group; Australian Bladder Cancer Study Group; National Cancer Institute of Canada Clinical Trials Group; Finnbladder; Norwegian Bladder Cancer Study Group; Club Urologico Espanol de Tratamiento Oncologico Group; Griffiths, G. International phase III trial assessing neoadjuvant cisplatin, methotrexate, and vinblastine chemotherapy for muscle-invasive bladder cancer: Long-term results of the BA06 30894 trial. J. Clin. Oncol. 2011, 29, 2171–2177. [Google Scholar] [CrossRef]
- Bajorin, D.F.; Witjes, J.A.; Gschwend, J.E.; Schenker, M.; Valderrama, B.P.; Tomita, Y.; Bamias, A.; Lebret, T.; Shariat, S.F.; Park, S.H.; et al. Adjuvant Nivolumab versus Placebo in Muscle-Invasive Urothelial Carcinoma. N. Engl. J. Med. 2021, 384, 2102–2114. [Google Scholar] [CrossRef]
- Sharma, P.; Retz, M.; Siefker-Radtke, A.; Baron, A.; Necchi, A.; Bedke, J.; Plimack, E.R.; Vaena, D.; Grimm, M.O.; Bracarda, S.; et al. Nivolumab in metastatic urothelial carcinoma after platinum therapy (CheckMate 275): A multicentre, single-arm, phase 2 trial. Lancet Oncol. 2017, 18, 312–322. [Google Scholar] [CrossRef]
- Powles, T.; Duran, I.; van der Heijden, M.S.; Loriot, Y.; Vogelzang, N.J.; De Giorgi, U.; Oudard, S.; Retz, M.M.; Castellano, D.; Bamias, A.; et al. Atezolizumab versus chemotherapy in patients with platinum-treated locally advanced or metastatic urothelial carcinoma (IMvigor211): A multicentre, open-label, phase 3 randomised controlled trial. Lancet 2018, 391, 748–757. [Google Scholar] [CrossRef]
- Bellmunt, J.; Bajorin, D.F. Pembrolizumab for Advanced Urothelial Carcinoma. N. Engl. J. Med. 2017, 376, 2304. [Google Scholar] [CrossRef]
- Bowden, M.; Nadal, R.; Zhou, C.W.; Werner, L.; Barletta, J.; Juanpere, N.; Lloreta, J.; Hernandez-Llodra, S.; Morote, J.; de Torres, I.; et al. Transcriptomic analysis of micropapillary high grade T1 urothelial bladder cancer. Sci. Rep. 2020, 10, 20135. [Google Scholar] [CrossRef]
- Jeong, H.; Oh, H.E.; Kim, H.; Lee, J.H.; Lee, E.S.; Kim, Y.S.; Choi, J.W. Upregulation of Fatty Acid Transporters is Associated With Tumor Progression in Non-Muscle-Invasive Bladder Cancer. Pathol. Oncol. Res. 2021, 27, 594705. [Google Scholar] [CrossRef]





| Characteristic | All Patients N = 198 N (%) | CD36 Immunostaining | ||
|---|---|---|---|---|
| CD36-Negative N = 168 N (%) | CD36-Positive N = 30 N (%) | p * | ||
| Sex | 0.1 | |||
| Male | 177 (90) | 153 (91) | 24 (80) | |
| Female | 21 (10) | 15 (9) | 6 (20) | |
| Age | 0.6 | |||
| <65 years | 92 (46) | 79 (47) | 13 (43) | |
| >65 years | 105 (53) | 88 (52) | 17 (57) | |
| NA | 1 (1) | 1 (1) | 0 (0) | |
| Histology | 0.4 | |||
| Pure urothelial | 167 (85) | 140 (83) | 27 (90) | |
| Others | 31 (15) | 28 (17) | 3 (10) | |
| Tumour invasion | 0.3 | |||
| pT1 | 1 (1) | 1 (1) | 0 (0) | |
| pT2 | 22 (11) | 19 (11) | 3 (10) | |
| pT3 | 122 (62) | 106 (63) | 16 (53) | |
| pT4 | 53 (27) | 42 (25) | 11(37) | |
| Nodal status (pN) | 0.7 | |||
| pN0 | 61 (31) | 55 (33) | 6 (20) | |
| pN1 | 47 (25) | 39 (23) | 8 (27) | |
| pN2 | 60 (31) | 51 (30) | 9 (30) | |
| pN3 | 14 (7) | 12 (7) | 2 (7) | |
| NX | 16 (8) | 11 (7) | 5 (16) | |
| AJCC Stage (8th edition) | 0.5 | |||
| II | 6 (3) | 6 (4) | 0 (0) | |
| IIIA | 99 (50) | 85 (51) | 14 (47) | |
| IIIB | 64 (32) | 55 (33) | 9 (30) | |
| IVA | 9 (5) | 7 (4) | 2 (7) | |
| IVB | 5 (3) | 4 (2) | 1 (3) | |
| NA | 15 (7) | 11 (6) | 4 (13) | |
| Adjuvant chemotherapy | 0.6 | |||
| Carboplatin-based | 64 (32) | 56 (33) | 8 (27) | |
| Cisplatin-based | 133 (67) | 111 (66) | 22 (73) | |
| Other | 1 (1) | 1 (1) | 0 (0) | |
| Progressive disease | 0.2 | |||
| Yes | 121 (61) | 106 (63) | 15 (50) | |
| No | 69 (35) | 56 (33) | 13 (43) | |
| NA | 8 (4) | 6 (4) | 2 (7) | |
| Disease Free Survival (DFS) | Overall Survival (OS) | |||
|---|---|---|---|---|
| Prognostic Factor | HR (CI 95%) | p Value | HR (CI 95%) | p Value |
| Sex | ||||
| Male vs. female | 0.77 | 0.355 | 0.88 | 0.647 |
| (0.44–1.34) | (0.50–1.53) | |||
| Age | ||||
| ≥65 vs. <65 years | 1.2 | 0.321 | 1.22 | 0.264 |
| (0.84–1.73) | (0.86–1.74) | |||
| Pathologic Stage: | ||||
| pT3b-T4 vs. pT1-T3a | 1.73 | 0.006 ** | 1.58 | 0.016 * |
| (1.17–2.56) | (1.09–2.30) | |||
| pN+ vs. pN− | 1.78 | 0.010 * | 1.74 | 0.009 ** |
| (1.15–2.76) | (1.14–2.63) | |||
| Lymph vessel invasion | ||||
| Present vs. absent | 2.58 | 0.001 ** | 2.33 | 0.001 ** |
| (1.50–4.45) | (1.40–3.88) | |||
| Histology | ||||
| Pure urothelial vs. others | 1.29 | 0.278 | 1.49 | 0.083 |
| (0.81–2.06) | (0.95–2.35) | |||
| COBRA score | ||||
| 4–7 vs. 0–3 | 1.43 | 0.061 | 1.43 | 0.048 * |
| (0.98–2.08) | (1.00–2.05) | |||
| Adjuvant chemotherapy: | ||||
| Cisplatin vs. carboplatin | 0.61 | 0.009 ** | 0.68 | 0.036 * |
| (0.42–0.88) | (0.48–0.98) | |||
| CD36 immunostaining | ||||
| CD36+ vs. CD36− | 0.78 | 0.357 | 0.88 | 0.62 |
| (0.45–1.33) | (0.54–1.44) | |||
| Progression ≤ 12 months | ||||
| Yes vs. No | NA | NA | 11.36 | <0.001 ** |
| (7.38–17.49) | ||||
Publisher’s Note: MDPI stays neutral with regard to jurisdictional claims in published maps and institutional affiliations. |
© 2022 by the authors. Licensee MDPI, Basel, Switzerland. This article is an open access article distributed under the terms and conditions of the Creative Commons Attribution (CC BY) license (https://creativecommons.org/licenses/by/4.0/).
Share and Cite
Pardo, J.C.; Sanhueza, T.; Ruiz de Porras, V.; Etxaniz, O.; Rodriguez, H.; Martinez-Cardús, A.; Grande, E.; Castellano, D.; Climent, M.A.; Lobato, T.; et al. Prognostic Impact of CD36 Immunohistochemical Expression in Patients with Muscle-Invasive Bladder Cancer Treated with Cystectomy and Adjuvant Chemotherapy. J. Clin. Med. 2022, 11, 497. https://doi.org/10.3390/jcm11030497
Pardo JC, Sanhueza T, Ruiz de Porras V, Etxaniz O, Rodriguez H, Martinez-Cardús A, Grande E, Castellano D, Climent MA, Lobato T, et al. Prognostic Impact of CD36 Immunohistochemical Expression in Patients with Muscle-Invasive Bladder Cancer Treated with Cystectomy and Adjuvant Chemotherapy. Journal of Clinical Medicine. 2022; 11(3):497. https://doi.org/10.3390/jcm11030497
Chicago/Turabian StylePardo, Juan Carlos, Tamara Sanhueza, Vicenç Ruiz de Porras, Olatz Etxaniz, Helena Rodriguez, Anna Martinez-Cardús, Enrique Grande, Daniel Castellano, Miquel A. Climent, Tania Lobato, and et al. 2022. "Prognostic Impact of CD36 Immunohistochemical Expression in Patients with Muscle-Invasive Bladder Cancer Treated with Cystectomy and Adjuvant Chemotherapy" Journal of Clinical Medicine 11, no. 3: 497. https://doi.org/10.3390/jcm11030497
APA StylePardo, J. C., Sanhueza, T., Ruiz de Porras, V., Etxaniz, O., Rodriguez, H., Martinez-Cardús, A., Grande, E., Castellano, D., Climent, M. A., Lobato, T., Estudillo, L., Jordà, M., Carrato, C., & Font, A. (2022). Prognostic Impact of CD36 Immunohistochemical Expression in Patients with Muscle-Invasive Bladder Cancer Treated with Cystectomy and Adjuvant Chemotherapy. Journal of Clinical Medicine, 11(3), 497. https://doi.org/10.3390/jcm11030497

