Multiple Cutaneous Manifestations in ANCA-Positive Eosinophilic Granulomatosis with Polyangiitis before and after Biologic Therapy: Clinical and Histopathologic Characterization of a Paradigmatic Case
Abstract
1. Introduction
2. Case Description
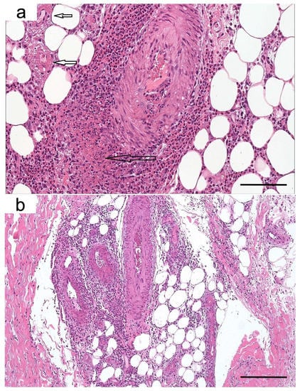
3. Diagnostic Assessment
4. Discussion
5. Take-Away Lessons from the Case
- Eosinophilic granulomatosis with polyangiitis (EGPA) is a rare ANCA-associated vasculitis with systemic involvement: dermatologic manifestations are heterogeneous, with no distinction available between seropositive and seronegative diseases.
- We describe a specific pattern of cutaneous manifestations observed in ANCA-positive EGPA, characterized by a sequence of hemorrhagic and bullous lesions, followed by livedo reticularis.
- We observed that the activity of cutaneous disease correlates directly with BVAS and reflects internal organ involvement.
- Cutaneous lesions should always be monitored, as possible early indicators of flares of disease.
Author Contributions
Funding
Institutional Review Board Statement
Informed Consent Statement
Data Availability Statement
Conflicts of Interest
References
- Chang, H.-C.; Chou, P.-C.; Lai, C.-Y.; Tsai, H.-H. Antineutrophil Cytoplasmic Antibodies and Organ-Specific Manifestations in Eosinophilic Granulomatosis with Polyangiitis: A Systematic Review and Meta-Analysis. J. Allergy Clin. Immunol. Pract. 2021, 9, 445–452. [Google Scholar] [CrossRef] [PubMed]
- The European Vasculitis Genetics Consortium; Lyons, P.A.; Peters, J.E.; Alberici, F.; Liley, J.; Coulson, R.M.R.; Astle, W.; Baldini, C.; Bonatti, F.; Cid, M.C.; et al. Genome-Wide Association Study of Eosinophilic Granulomatosis with Polyangiitis Reveals Genomic Loci Stratified by ANCA Status. Nat. Commun. 2019, 10, 5120. [Google Scholar] [CrossRef] [PubMed]
- Nishi, R.; Koike, H.; Ohyama, K.; Fukami, Y.; Ikeda, S.; Kawagashira, Y.; Iijima, M.; Katsuno, M.; Sobue, G. Differential Clinicopathologic Features of EGPA-Associated Neuropathy with and without ANCA. Neurology 2020, 94, e1726–e1737. [Google Scholar] [CrossRef] [PubMed]
- Koike, H.; Nishi, R.; Ohyama, K.; Morozumi, S.; Kawagashira, Y.; Furukawa, S.; Mouri, N.; Fukami, Y.; Iijima, M.; Sobue, G.; et al. ANCA-Associated Vasculitic Neuropathies: A Review. Neurol. Ther. 2022, 11, 21–38. [Google Scholar] [CrossRef] [PubMed]
- Marzano, A.V.; Raimondo, M.G.; Berti, E.; Meroni, P.L.; Ingegnoli, F. Cutaneous Manifestations of ANCA-Associated Small Vessels Vasculitis. Clin. Rev. Allergy Immunol. 2017, 53, 428–438. [Google Scholar] [CrossRef] [PubMed]
- Ishibashi, M.; Kawahara, Y.; Chen, K.-R. Spectrum of Cutaneous Vasculitis in Eosinophilic Granulomatosis with Polyangiitis (Churg–Strauss): A Case Series. Am. J. Dermatopathol. 2015, 37, 214–221. [Google Scholar] [CrossRef] [PubMed]
- Jennette, J.C.; Falk, R.J.; Bacon, P.A.; Basu, N.; Cid, M.C.; Ferrario, F.; Flores-Suarez, L.F.; Gross, W.L.; Guillevin, L.; Hagen, E.C.; et al. 2012 Revised International Chapel Hill Consensus Conference Nomenclature of Vasculitides. Arthritis Rheum. 2013, 65, 1–11. [Google Scholar] [CrossRef] [PubMed]
- Moiseev, S.; Bossuyt, X.; Arimura, Y.; Blockmans, D.; Csernok, E.; Damoiseaux, J.; Emmi, G.; Flores-Suárez, L.F.; Hellmich, B.; Jayne, D.; et al. International Consensus on Antineutrophil Cytoplasm Antibodies Testing in Eosinophilic Granulomatosis with Polyangiitis. Am. J. Respir. Crit. Care Med. 2020, 202, 1360–1372. [Google Scholar] [CrossRef] [PubMed]
- Guchelaar, N.A.D.; Waling, M.M.; Adhin, A.A.; van Daele, P.L.A.; Schreurs, M.W.J.; Rombach, S.M. The Value of Anti-Neutrophil Cytoplasmic Antibodies (ANCA) Testing for the Diagnosis of ANCA-Associated Vasculitis, a Systematic Review and Meta-Analysis. Autoimmun. Rev. 2021, 20, 102716. [Google Scholar] [CrossRef] [PubMed]
- Grayson, P.C.; Ponte, C.; Suppiah, R.; Robson, J.C.; Craven, A.; Judge, A.; Khalid, S.; Hutchings, A.; Luqmani, R.A.; Watts, R.A.; et al. 2022 American College of Rheumatology/European Alliance of Associations for Rheumatology Classification Criteria for Eosinophilic Granulomatosis with Polyangiitis. Ann. Rheum. Dis. 2022, 81, 309–314. [Google Scholar] [CrossRef] [PubMed]
- Robson, J.; Grayson, P.; Ponte, C.; Suppiah, R.; Craven, A.; Khalid, S.; Judge, A.; Hutchings, A.; Watts, R.; Merkel, P.; et al. 110. Classification Criteria for the ANCA-Associated Vasculitides. Rheumatology 2019, 58, kez058.050. [Google Scholar] [CrossRef]
- Furuta, S.; Iwamoto, T.; Nakajima, H. Update on Eosinophilic Granulomatosis with Polyangiitis. Allergol. Int. 2019, 68, 430–436. [Google Scholar] [CrossRef] [PubMed]
- Wu, E.Y.; Hernandez, M.L.; Jennette, J.C.; Falk, R.J. Eosinophilic Granulomatosis with Polyangiitis: Clinical Pathology Conference and Review. J. Allergy Clin. Immunol. Pract. 2018, 6, 1496–1504. [Google Scholar] [CrossRef] [PubMed]
- Akiyama, M.; Kaneko, Y.; Takeuchi, T. Rituximab for the treatment of eosinophilic granulomatosis with polyangiitis: A systematic literature review. Autoimmun. Rev. 2021, 20, 102737. [Google Scholar] [CrossRef] [PubMed]
- Teixeira, V.; Mohammad, A.J.; Jones, R.B.; Smith, R.; Jayne, D. Efficacy and safety of rituximab in the treatment of eosinophilic granulomatosis with polyangiitis. RMD Open 2019, 5, e000905. [Google Scholar] [CrossRef] [PubMed]
- Chung, S.A.; Langford, C.A.; Maz, M.; Abril, A.; Gorelik, M.; Guyatt, G.; Archer, A.M.; Conn, D.L.; Full, K.A.; Grayson, P.C.; et al. 2021 American College of Rheumatology/Vasculitis Foundation Guideline for the Management of Antineutrophil Cytoplasmic Antibody–Associated Vasculitis. Arthritis Rheumatol. 2021, 73, 1366–1383. [Google Scholar] [CrossRef] [PubMed]
- Marques, C.C.; Fernandes, E.L.; Miquelin, G.M.; Colferai, M.M.T. Cutaneous Manifestations of Churg-Strauss Syndrome: Key to Diagnosis. An. Bras. Dermatol. 2017, 92, 56–58. [Google Scholar] [CrossRef]
- Masi, A.T.; Hunder, G.G.; Lie, J.T.; Michel, B.A.; Bloch, D.A.; Arend, W.P.; Calabrese, L.H.; Edworthy, S.M.; Fauci, A.S.; Leavitt, R.Y.; et al. The American College of Rheumatology 1990 Criteria for the Classification of Churg-Strauss Syndrome (Allergic Granulomatosis and Angiitis). Arthritis Rheum. 2010, 33, 1094–1100. [Google Scholar] [CrossRef]
- Marvisi, C.; Galli, E.; Manzini, C.U.; Sandri, G.; Salvarani, C. EULAR Guidelines on ANCA-Associated Vasculitis in the Real Life. Beyond Rheumatol. 2021, 2, 74–78. [Google Scholar] [CrossRef]
- Kataoka, Y.; Andrews, J.; Puri, R.; Psaltis, P.; Nicholls, S.J. Lipid Lowering Therapy to Modify Plaque Microstructures:: Insights from Optical Coherence Tomography Imaging. J. Atheroscler. Thromb. 2017, 24, 360–372. [Google Scholar] [CrossRef] [PubMed]



| Timeline | Medical History and Past Interventions |
|---|---|
| 2019 | Diagnosis of asthma and chronic sinusitis Antibiotic treatment for recurrent respiratory infections |
| Diagnostic testing and interventions | |
| July 2020 | Onset of symptoms
|
| September 2020 | Diagnosis of EGPA
|
| September 2020 | Baseline assessment
|
| October 2020 | Start of treatment
|
| January 2021 | Remission (10-week follow-up)
|
Maintenance
|
Publisher’s Note: MDPI stays neutral with regard to jurisdictional claims in published maps and institutional affiliations. |
© 2022 by the authors. Licensee MDPI, Basel, Switzerland. This article is an open access article distributed under the terms and conditions of the Creative Commons Attribution (CC BY) license (https://creativecommons.org/licenses/by/4.0/).
Share and Cite
Carnicelli, G.; Sernicola, A.; Gomes, V.; Cundari, G.; Trasarti, S.; Priori, R.; Grieco, T. Multiple Cutaneous Manifestations in ANCA-Positive Eosinophilic Granulomatosis with Polyangiitis before and after Biologic Therapy: Clinical and Histopathologic Characterization of a Paradigmatic Case. J. Clin. Med. 2022, 11, 7429. https://doi.org/10.3390/jcm11247429
Carnicelli G, Sernicola A, Gomes V, Cundari G, Trasarti S, Priori R, Grieco T. Multiple Cutaneous Manifestations in ANCA-Positive Eosinophilic Granulomatosis with Polyangiitis before and after Biologic Therapy: Clinical and Histopathologic Characterization of a Paradigmatic Case. Journal of Clinical Medicine. 2022; 11(24):7429. https://doi.org/10.3390/jcm11247429
Chicago/Turabian StyleCarnicelli, Giorgia, Alvise Sernicola, Vito Gomes, Giulia Cundari, Stefania Trasarti, Roberta Priori, and Teresa Grieco. 2022. "Multiple Cutaneous Manifestations in ANCA-Positive Eosinophilic Granulomatosis with Polyangiitis before and after Biologic Therapy: Clinical and Histopathologic Characterization of a Paradigmatic Case" Journal of Clinical Medicine 11, no. 24: 7429. https://doi.org/10.3390/jcm11247429
APA StyleCarnicelli, G., Sernicola, A., Gomes, V., Cundari, G., Trasarti, S., Priori, R., & Grieco, T. (2022). Multiple Cutaneous Manifestations in ANCA-Positive Eosinophilic Granulomatosis with Polyangiitis before and after Biologic Therapy: Clinical and Histopathologic Characterization of a Paradigmatic Case. Journal of Clinical Medicine, 11(24), 7429. https://doi.org/10.3390/jcm11247429

