Immunohistochemical Algorithm for the Classification of Muscle-Invasive Urinary Bladder Carcinoma with Lymph Node Metastasis: An Institutional Study
Abstract
1. Introduction
2. Materials and Methods
2.1. Patients
2.2. Histopathological Study
2.3. Immunohistochemical Study
2.4. Semiquantitative Evaluation of Immunoreactivity
2.5. Statistical Analysis
3. Results
3.1. Clinical Findings
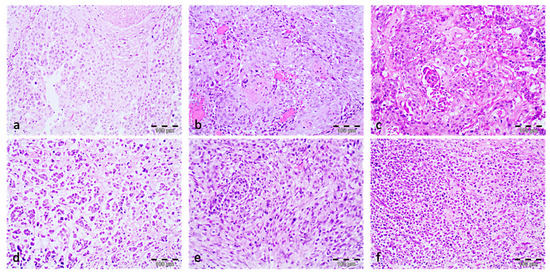
3.2. Histopathological Findings
3.3. Immunohistochemical Findings
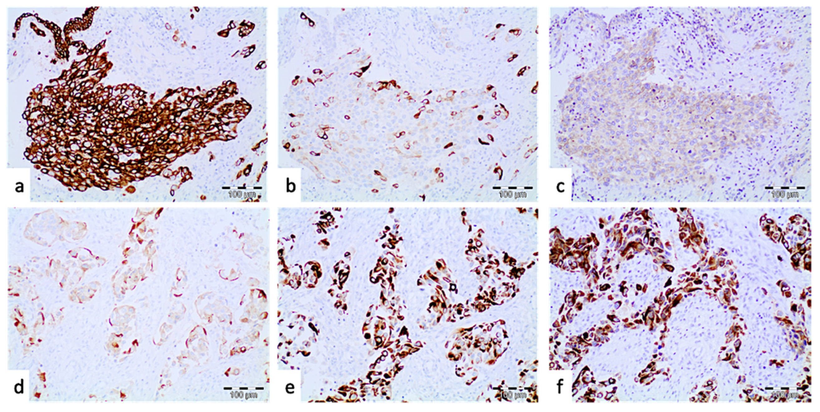
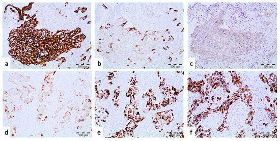
3.3.1. Muscle-Invasive Urothelial Carcinoma
3.3.2. Unilateral Pelvic Lymph Node Metastasis
3.3.3. Bilateral Pelvic Lymph Node Metastasis
3.3.4. Urothelial Carcinoma and Unilateral Pelvic Lymph Node Metastasis
3.3.5. Urothelial Carcinoma and Bilateral Pelvic Lymph Node Metastasis (Paired Cases)
4. Discussion
5. Conclusions
Author Contributions
Funding
Institutional Review Board Statement
Informed Consent Statement
Data Availability Statement
Conflicts of Interest
References
- Sung, H.; Ferlay, J.; Siegel, R.L.; Laversanne, M.; Soerjomataram, I.; Jemal, A.; Bray, F. Global Cancer Statistics 2020: GLOBOCAN Estimates of Incidence and Mortality Worldwide for 36 Cancers in 185 Countries. CA Cancer J. Clin. 2021, 71, 209–249. [Google Scholar] [CrossRef] [PubMed]
- Siegel, R.L.; Miller, K.D.; Fuchs, H.E.; Jemal, A. Cancer statistics, 2022. CA Cancer J. Clin. 2022, 72, 7–33. [Google Scholar] [CrossRef] [PubMed]
- Dinney, C.P.; McConkey, D.J.; Millikan, R.E.; Wu, X.; Bar-Eli, M.; Adam, L.; Kamat, A.M.; Siefker-Radtke, A.O.; Tuziak, T.; Sabichi, A.L.; et al. Focus on bladder cancer. Cancer Cell 2004, 6, 111–116. [Google Scholar] [CrossRef] [PubMed]
- Kamat, A.M.; Hahn, N.M.; Efstathiou, J.A.; Lerner, S.P.; Malmström, P.U.; Choi, W.; Guo, C.C.; Lotan, Y.; Kassouf, W. Bladder cancer. Lancet 2016, 3, 2796–2810. [Google Scholar] [CrossRef]
- Knowles, M.A.; Hurst, C.D. Molecular biology of bladder cancer: New insights into pathogenesis and clinical diversity. Nat. Rev. Cancer 2015, 15, 25–41. [Google Scholar] [CrossRef]
- Patel, V.G.; Oh, W.K.; Galsky, M.D. Treatment of muscle-invasive and advanced bladder cancer in 2020. CA Cancer J. Clin. 2020, 70, 404–423. [Google Scholar] [CrossRef]
- Guo, C.C.; Czerniak, B. Bladder Cancer in the Genomic Era. Arch. Pathol. Lab. Med. 2019, 143, 695–704. [Google Scholar] [CrossRef]
- Dadhania, V.; Zhang, M.; Zhang, L.; Bondaruk, J.; Majewski, T.; Siefker-Radtke, A.; Guo, C.C.; Dinney, C.; Cogdell, D.E.; Zhang, S.; et al. Meta-Analysis of the Luminal and Basal Subtypes of Bladder Cancer and the Identification of Signature Immunohistochemical Markers for Clinical Use. EBioMedicine 2016, 12, 105–117. [Google Scholar] [CrossRef]
- Kamoun, A.; de Reyniès, A.; Allory, Y.; Sjödahl, G.; Robertson, A.G.; Seiler, R.; Hoadley, K.A.; Groeneveld, C.S.; Al-Ahmadie, H.; Bladder Cancer Molecular Taxonomy Group; et al. A Consensus Molecular Classification of Muscle-invasive Bladder Cancer. Eur. Urol. 2020, 77, 420–433. [Google Scholar] [CrossRef]
- da Costa, J.B.; Gibb, E.A.; Nykopp, T.K.; Mannas, M.; Wyatt, A.W.; Black, P.C. Molecular tumor heterogeneity in muscle invasive bladder cancer: Biomarkers, subtypes, and implications for therapy. Urol. Oncol. 2022, 40, 287–294. [Google Scholar] [CrossRef]
- Warrick, J.I.; Sjödahl, G.; Kaag, M.; Raman, J.D.; Merrill, S.; Shuman, L.; Chen, G.; Walter, V.; DeGraff, D.J. Intratumoral Heterogeneity of Bladder Cancer by Molecular Subtypes and Histologic Variants. Eur. Urol. 2019, 75, 18–22. [Google Scholar] [CrossRef] [PubMed]
- WHO. Classification of Tumours of the Urinary System and Male Genital Organs, 5th ed.; International Agency for Research on Cancer: Lyon, France, 2022. [Google Scholar]
- Johnson, S.M.; Khararjian, A.; Legesse, T.B.; Khani, F.; Robinson, B.D.; Epstein, J.I.; Wobker, S.E. Nested Variant of Urothelial Carcinoma Is a Luminal Bladder Tumor with Distinct Coexpression of the Basal Marker Cytokeratin 5/6. Am. J. Clin. Pathol. 2021, 155, 588–596. [Google Scholar] [CrossRef] [PubMed]
- Weyerer, V.; Weisser, R.; Moskalev, E.A.; Haller, F.; Stoehr, R.; Eckstein, M.; Zinnall, U.; Gaisa, N.T.; Compérat, E.; Perren, A.; et al. Distinct genetic alterations and luminal molecular subtype in nested variant of urothelial carcinoma. Histopathology 2019, 75, 865–875. [Google Scholar] [CrossRef] [PubMed]
- Hodgson, A.; Liu, S.K.; Vesprini, D.; Xu, B.; Downes, M.R. Basal-subtype bladder tumours show a ‘hot’ immunophenotype. Histopathology 2018, 73, 748–757. [Google Scholar] [CrossRef]
- AZhaTi, B.; Wu, G.; Zhan, H.; Liang, W.; Song, Z.; Lu, L.; Xie, Q. Alternative splicing patterns reveal prognostic indicator in muscle-invasive bladder cancer. World J. Surg. Oncol. 2022, 20, 231. [Google Scholar] [CrossRef]
- Koppie, T.M.; Vickers, A.J.; Vora, K.; Dalbagni, G.; Bochner, B.H. Standardization of pelvic lymphadenectomy performed at radical cystectomy: Can we establish a minimum number of lymph nodes that should be removed? Cancer 2006, 107, 2368–2374. [Google Scholar] [CrossRef]
- Lopez-Beltran, A.; Henriques, V.; Montironi, R.; Cimadamore, A.; Raspollini, M.R.; Cheng, L. Variants and new entities of bladder cancer. Histopathology 2019, 74, 77–96. [Google Scholar] [CrossRef]
- Netto, G.J.; Amin, M.B.; Berney, D.M.; Compérat, E.M.; Gill, A.J.; Hartmann, A.; Menon, S.; Raspollini, M.R.; Rubin, M.A.; Srigley, J.R.; et al. The 2022 World Health Organization Classification of Tumors of the Urinary System and Male Genital Organs-Part B: Prostate and Urinary Tract Tumors. Eur. Urol. 2022, 82, 469–482. [Google Scholar] [CrossRef]
- Choi, W.; Porten, S.; Kim, S.; Willis, D.; Plimack, E.R.; Hoffman-Censits, J.; Roth, B.; Cheng, T.; Tran, M.; Lee, I.L.; et al. Identification of distinct basal and luminal subtypes of muscle-invasive bladder cancer with different sensitivities to frontline chemotherapy. Cancer Cell 2014, 25, 152–165. [Google Scholar] [CrossRef]
- Lindskrog, S.V.; Prip, F.; Lamy, P.; Taber, A.; Groeneveld, C.S.; Birkenkamp-Demtröder, K.; Jensen, J.B.; Strandgaard, T.; Nordentoft, I.; Christensen, E.; et al. An integrated multi-omics analysis identifies prognostic molecular subtypes of non-muscle-invasive bladder cancer. Nat. Commun. 2021, 12, 2301. [Google Scholar] [CrossRef]
- López-Cortés, R.; Vázquez-Estévez, S.; Fernández, J.Á.; Núñez, C. Proteomics as a Complementary Technique to Characterize Bladder Cancer. Cancers 2021, 13, 5537. [Google Scholar] [CrossRef] [PubMed]
- Guo, C.C.; Bondaruk, J.; Yao, H.; Wang, Z.; Zhang, L.; Lee, S.; Lee, J.G.; Cogdell, D.; Zhang, M.; Yang, G.; et al. Assessment of Luminal and Basal Phenotypes in Bladder Cancer. Sci. Rep. 2020, 10, 9743. [Google Scholar] [CrossRef] [PubMed]
- Rodriguez Pena, M.; Chaux, A.; Eich, M.L.; Tregnago, A.C.; Taheri, D.; Borhan, W.; Sharma, R.; Rezaei, M.K.; Netto, G.J. Immunohistochemical assessment of basal and luminal markers in non-muscle invasive urothelial carcinoma of bladder. Virch. Arch. 2019, 475, 349–356. [Google Scholar] [CrossRef]
- Weyerer, V.; Stoehr, R.; Bertz, S.; Lange, F.; Geppert, C.I.; Wach, S.; Taubert, H.; Sikic, D.; Wullich, B.; Hartmann, A.; et al. Prognostic impact of molecular muscle-invasive bladder cancer subtyping approaches and correlations with variant histology in a population-based mono-institutional cystectomy cohort. World J. Urol. 2021, 39, 4011–4019. [Google Scholar] [CrossRef] [PubMed]
- Tang, C.; Yu, M.; Ma, J.; Zhu, Y. Metabolic classification of bladder cancer based on multi-omics integrated analysis to predict patient prognosis and treatment response. J. Transl. Med. 2021, 19, 205. [Google Scholar] [CrossRef]
- Sjödahl, G.; Eriksson, P.; Lövgren, K.; Marzouka, N.A.; Bernardo, C.; Nordentoft, I.; Dyrskjøt, L.; Liedberg, F.; Höglund, M. Discordant molecular subtype classification in the basal-squamous subtype of bladder tumors and matched lymph-node metastases. Mod. Pathol. 2018, 31, 1869–1881. [Google Scholar] [CrossRef]







| Urothelial | Urothelial Combined | Others | All | |
|---|---|---|---|---|
| n = 14 | n = 14 | n = 10 | n = 38 | |
| Age | ||||
| Mean | 68.4 years | 68.2 years | 66.4 years | 67.8 years |
| Median (P25, P75) | 66.5 (63, 77) | 69.5 (63, 73) | 65.5 (59, 73) | 67.5 (62, 75) |
| Sex | ||||
| Men | 13 (93%) | 12 (86%) | 8 (80%) | 33 (87%) |
| Women | 1 (7%) | 2 (14%) | 2 (20%) | 5 (13%) |
| Stage | ||||
| pT2 | 1 (7%) | 2 (14%) | 1 (10%) | 4 (10%) |
| pT3 | 5 (36%) | 7 (50%) | 7 (70%) | 18 (50%) |
| pT4 | 8 (57%) | 5 (36%) | 2 (20%) | 15 (40%) |
| Unilateral or bilateral pelvic lymph node metastases | ||||
| Unilateral (NT1) | 10 (71%) | 9 (64%) | 4 (40%) | 23 (61%) |
| Bilateral (NT2) | 4 (29%) | 5 (36%) | 6 (60%) | 15 (39%) |
| Distant metastases | ||||
| M0 | 9 (64%) | 14 (100%) | 9 (90%) | 32 (84%) |
| M1 | 5 (36%) | 0 | 1 (10%) | 6 (16%) |
| Morphology | ||||
| Pure urothelial | 14 (100%) | 0 | 0 | 14 (37%) |
| Urothelial + squamous | 0 | 7 (50%) | 0 | 7 (18%) |
| Pure squamous | 0 | 0 | 5 (50%) | 5 (13%) |
| Others | 0 | 7 (50%) | 5 (50%) | 12 (32%) |
| Primary treatment | ||||
| Only cystectomy | 10 (71%) | 11 (79%) | 9 (90%) | 30 (79%) |
| Cystectomy + CT | 2 (14%) | 1 (7%) | 1 (10%) | 4 (11%) |
| Cystectomy + IT | 1 (7%) | 1 (7%) | 0 | 2 (5%) |
| Cystectomy + CT + IT | 1 (7%) | 0 | 0 | 1 (3%) |
| Cystectomy + RT | 0 | 1 (7%) | 0 | 1 (3%) |
| Adjuvant chemotherapy | ||||
| N (%) | 5 (36%) | 11 (79%) | 4 (40%) | 20 (53%) |
| Progression | ||||
| N (%) | 5 (36%) | 6 (43%) | 2 (20%) | 13 (34%) |
| Death | ||||
| N (%) | 9 (64%) | 8 (57%) | 6 (60%) | 23 (61%) |
Publisher’s Note: MDPI stays neutral with regard to jurisdictional claims in published maps and institutional affiliations. |
© 2022 by the authors. Licensee MDPI, Basel, Switzerland. This article is an open access article distributed under the terms and conditions of the Creative Commons Attribution (CC BY) license (https://creativecommons.org/licenses/by/4.0/).
Share and Cite
Peña, K.B.; Riu, F.; Gumà, J.; Martínez-Madueño, F.; Miranda, M.J.; Vidal, A.; Grifoll, M.; Badia, J.; Rodriguez-Balada, M.; Parada, D. Immunohistochemical Algorithm for the Classification of Muscle-Invasive Urinary Bladder Carcinoma with Lymph Node Metastasis: An Institutional Study. J. Clin. Med. 2022, 11, 7430. https://doi.org/10.3390/jcm11247430
Peña KB, Riu F, Gumà J, Martínez-Madueño F, Miranda MJ, Vidal A, Grifoll M, Badia J, Rodriguez-Balada M, Parada D. Immunohistochemical Algorithm for the Classification of Muscle-Invasive Urinary Bladder Carcinoma with Lymph Node Metastasis: An Institutional Study. Journal of Clinical Medicine. 2022; 11(24):7430. https://doi.org/10.3390/jcm11247430
Chicago/Turabian StylePeña, Karla Beatríz, Francesc Riu, Josep Gumà, Francisca Martínez-Madueño, Maria José Miranda, Anna Vidal, Marc Grifoll, Joan Badia, Marta Rodriguez-Balada, and David Parada. 2022. "Immunohistochemical Algorithm for the Classification of Muscle-Invasive Urinary Bladder Carcinoma with Lymph Node Metastasis: An Institutional Study" Journal of Clinical Medicine 11, no. 24: 7430. https://doi.org/10.3390/jcm11247430
APA StylePeña, K. B., Riu, F., Gumà, J., Martínez-Madueño, F., Miranda, M. J., Vidal, A., Grifoll, M., Badia, J., Rodriguez-Balada, M., & Parada, D. (2022). Immunohistochemical Algorithm for the Classification of Muscle-Invasive Urinary Bladder Carcinoma with Lymph Node Metastasis: An Institutional Study. Journal of Clinical Medicine, 11(24), 7430. https://doi.org/10.3390/jcm11247430

