Complex Regional Pain Syndrome after Spine Surgery: A Rare Complication in Mini-Invasive Lumbar Spine Surgery: An Updated Comprehensive Review
Abstract
1. Introduction
2. Materials and Methods
Selection Criteria
3. Results
3.1. Data Extraction
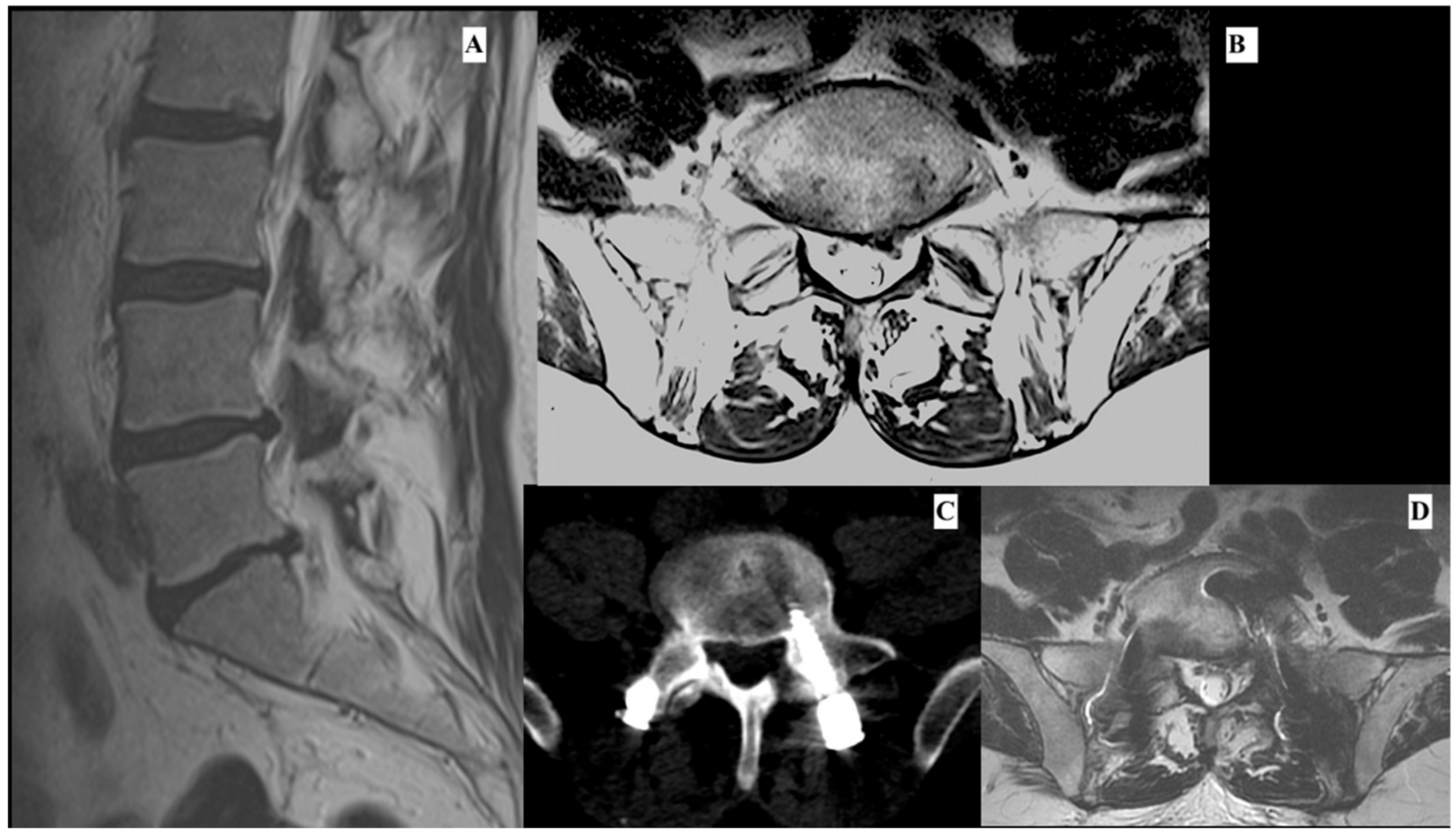
3.2. Representative Case
Postoperative Period
4. Discussion
Limitations and Further Study
5. Conclusions
Author Contributions
Funding
Institutional Review Board Statement
Informed Consent Statement
Data Availability Statement
Conflicts of Interest
References
- Waelkens, P.; Alsabbagh, E.; Sauter, A.; Joshi, G.P.; Beloeil, H. Pain management after complex spine surgery: A systematic review and procedure-specific postoperative pain management recommendations. Eur. J. Anaesthesiol. 2021, 38, 985–994. [Google Scholar] [CrossRef] [PubMed]
- McGirt, M.J.; Bydon, M.; Archer, K.R.; Devin, C.J.; Chotai, S.; Parker, S.L.; Nian, H.; Harrell, F.E., Jr.; Speroff, T.; Dittus, R.S.; et al. An analysis from the Quality Outcomes Database, Part 1. Disability, quality of life, and pain outcomes following lumbar spine surgery: Predicting likely individual patient outcomes for shared decision-making. J. Neurosurg. Spine 2017, 27, 357–369. [Google Scholar] [CrossRef]
- Jain, D.; Ray, W.Z.; Vaccaro, A.R. Advances in Techniques and Technology in Minimally Invasive Lumbar Interbody Spinal Fusion. JBJS Rev. 2020, 8, e0171. [Google Scholar] [CrossRef] [PubMed]
- Birklein, F.; Ajit, S.K.; Goebel, A.; Birklein, F. Complex regional pain syndrome: A focus on the autonomic nervous system. Br. J. Anaesth. 2019, 2020, 1377–1386. [Google Scholar]
- Harden, N.R.; Bruehl, S.; Perez, R.S.G.M.; Birklein, F.; Marinus, J.; Maihofner, C.; Lubenow, T.; Buvanendran, A.; Mackey, S.; Graciosa, J.; et al. Validation of proposed diagnostic criteria (the “Budapest Criteria”) for Complex Regional Pain Syndrome. Pain 2010, 150, 268–274. [Google Scholar] [CrossRef]
- Bharwani, K.D.; Dik, W.A.; Dirckx, M.; Huygen, F.J.P.M. Highlighting the Role of Biomarkers of Inflammation in the Diagnosis and Management of Complex Regional Pain Syndrome. Mol. Diagn. Ther. 2019, 23, 615–626. [Google Scholar] [CrossRef]
- Stanton-Hicks, M.; Jänig, W.; Hassenbusch, S.; Haddox, J.D.; Boas, R.; Wilson, P. Reflex sympathetic dystrophy: Changing concepts and taxonomy. Pain 1995, 63, 127–133. [Google Scholar] [CrossRef]
- Jamroz, A.; Berger, M.; Winston, P. Prednisone for Acute Complex Regional Pain Syndrome: A Retrospective Cohort Study. Pain Res. Manag. 2020, 2020, 8182569. [Google Scholar] [CrossRef]
- Sachs, B.L.; Zindrick, M.R.; Beasley, R.D. Reflex sympathetic dystrophy after operative procedures on the lumbar spine. J. Bone Jt. Surg. Am. 1993, 75, 721–725. [Google Scholar] [CrossRef]
- AbuRahma, A.F.; Thaxton, L.; Robinson, P.A. Lumbar sympathectomy for causalgia secondary to lumbar laminectomy. Am. J. Surg. 1996, 171, 423–426. [Google Scholar] [CrossRef]
- Plancarte, R.; Calvillo, O. Complex regional pain syndrome type 2 (causalgia) after automated laser discectomy. A case report. Spine 1997, 22, 459–462. [Google Scholar] [CrossRef]
- Fish, D.E. Post-Lumbar Surgery Complex Regional Pain Syndrome. Pain Physician 2005, 8, 319–322. [Google Scholar] [CrossRef] [PubMed]
- Lee, K.-S.; Su, Y.-F.; Lieu, A.-S.; Chuang, C.-L.; Hwang, S.-L.; Howng, S.-L.; Lin, C.-L. The outcome of percutaneous computed tomography-guided chemical lumbar sympathectomy for patients with causalgia after lumbar discectomy. Surg. Neurol. 2008, 69, 274–279. [Google Scholar] [CrossRef] [PubMed]
- Jung, J.-W.; Kim, Y.H.; Kim, H.; Kang, E.; Jo, H.; Ko, J. Sacral epiduroscopic laser decompression for complex regional pain syndrome after lumbar spinal surgery A case report. Medicine 2018, 97, e0694. [Google Scholar] [CrossRef] [PubMed]
- Kessler, A.; Yoo, M.; Calisoff, R. Complex regional pain syndrome: An updated comprehensive review. NeuroRehabilitation 2020, 47, 253–264. [Google Scholar] [CrossRef] [PubMed]
- Weisz, G.M.; Houang, M.; Bogduk, N.; Luke, S.; Hospitals, W.; South Wales, N. Case Report Complex Regional Pain Syndrome Associated with Cervical Disc Protrusion and Foraminotomy. Pain Med. 2010, 11, 1348–1351. [Google Scholar] [CrossRef][Green Version]
- Wolter, T.; Knöller, S.M.; Rommel, O. Complex regional pain syndrome following spine surgery: Clinical and prognostic implications. Eur. Neurol. 2012, 68, 52–58. [Google Scholar] [CrossRef]
- Patel, J.; Kundnani, V.; Raut, S.; Meena, M.; Ruparel, S. Perioperative Complications of Minimally Invasive Transforaminal Lumbar Interbody Fusion (MI-TLIF): 10 Years of Experience with MI-TLIF. Glob. Spine J. 2021, 11, 733–739. [Google Scholar] [CrossRef]
- Goldstein, C.L.; Macwan, K.; Sundararajan, K.; Rampersaud, Y.R. Perioperative outcomes and adverse events of minimally invasive versus open posterior lumbar fusion: Meta-analysis and systematic review. J. Neurosurg. Spine 2016, 24, 413–415. [Google Scholar] [CrossRef]
- Knoeller, S.M.; Ehmer, M.; Kleinmann, B.; Wolter, T. CRPS I following artificial disc surgery: Case report and review of the literature. Eur. Spine J. 2011, 20, 278–283. [Google Scholar] [CrossRef][Green Version]
- Kanter, A.S.; Morr, S. Response. J. Neurosurg. Spine 2014, 20, 473. [Google Scholar] [CrossRef] [PubMed]
- Kim, S.H.; Choi, S.S.; Lee, M.K.; Kin, J.E. Complex Regional Pain Syndrome Caused by Lumbar Herniated Intervertebral Disc Disease. Pain Physician 2016, 19, E901–E904. [Google Scholar] [PubMed]
- Edgar, M.A. The nerve supply of the lumbar intervertebral disc. J. Bone Jt. Surg. 2007, 89, 1135–1139. [Google Scholar] [CrossRef] [PubMed]
- Armocida, D.; Pesce, A.; Cimatti, M.; Proietti, L.; Santoro, A.; Frati, A. Minimally Invasive Transforaminal Lumbar Interbody Fusion Using Expandable Cages: Increased Risk of Late Postoperative Subsidence without a Real Improvement of Perioperative Outcomes: A Clinical Monocentric Study. World Neurosurg. 2021, 156, e57–e63. [Google Scholar] [CrossRef] [PubMed]
- Jung, Y.H.; Kim, H.; Jeon, S.Y.; Kwon, J.M.; Lee, W.J.; Kim, Y.C.; Jang, J.H.; Choi, S.; Lee, J.; Kang, D. Brain metabolites and peripheral biomarkers associated with neuroinflammation in complex regional pain syndrome using [11C]-(R)-PK11195 positron emission tomography and magnetic resonance spectroscopy: A pilot study. Pain Med. 2019, 20, 504–514. [Google Scholar] [CrossRef] [PubMed]
- Ji, R.R.; Nackley, A.; Huh, Y.; Terrando, N.; Maixner, W. Neuroinflammation and central sensitization in chronic and widespread pain. Anesthesiology 2018, 129, 343–366. [Google Scholar] [CrossRef] [PubMed]
- Di Pietro, F.; McAuley, J.H.; Parkitny, L.; Lotze, M.; Wand, B.M.; Moseley, G.L.; Stanton, T.R. Primary somatosensory cortex function in complex regional pain syndrome: A systematic review and meta-analysis. J. Pain 2013, 14, 1001–1018. [Google Scholar] [CrossRef]
- Carlson, D.H.; Simon, H.; Wegner, W. Bone scanning and diagnosis of reflex sympathetic dystrophy secondary to herniated lumbar disks. Neurology 1977, 27, 791–793. [Google Scholar] [CrossRef]
- Perrot, S.; Ziza, J.M.; Khalifa, P.; Chazerain, P.; Campagne, J.P.; Le Quintrec, J.L. Douleurs persistantes après sciatique discale: L’algodystrophie, une complication inhabituelle à rechercher. A propos de quatre cas [Persistent pain following discal sciatica: Reflex sympathetic dystrophy, an unusual complication to be examined. Apropos of 4 cases]. Rev. Rhum. Mal. Osteoartic. 1992, 59, 745–747. (In French) [Google Scholar]
- Peng, B.; Hao, J.; Hou, S.; Cheung, K.M.C.; Cao, X.; Iatridis, J.C.; Zheng, Z. Possible pathogenesis of painful intervertebral disc degeneration. Spine 2006, 31, 560–566. [Google Scholar] [CrossRef]
- Bernini, P.M.; Simeone, F.A. Reflex sympathetic dystrophy associated with low lumbar disc herniation. Spine 1981, 6, 180–184. [Google Scholar] [CrossRef] [PubMed]
- Chodoroff, B.; Ball, R.D. Lumbosacral radiculopathy, reflex sympathetic dystrophy and tarsal tunnel syndrome: An unusual presentation. Arch. Phys. Med. Rehabil. 1985, 66, 185–187. [Google Scholar]
- de Weerdt, C.J.; Journée, H.L.; Hogenesch, R.I.; Beks, J.W. Sympathetic dysfunction in patients with persistent pain after prolapsed disc surgery. A thermographic study. Acta Neurochir. 1987, 89, 34–36. [Google Scholar] [CrossRef]
- Mockus, M.B.; Rutherford, R.B.; Rosales, C.; Pearce, W.H. Sympathectomy for Causalgia: Patient Selection and Long-Term Results. Arch. Surg. 1987, 122, 668–672. [Google Scholar] [CrossRef] [PubMed]
- Ballard, E.M.; Ellenberg, M.; Chodoroff, G. Reflex sympathetic dystrophy syndrome secondary to L5 radiculopathy. Arch. Phys. Med. Rehabil. 1991, 72, 595–597. [Google Scholar] [PubMed]
- Adachi, M.; Tamaoka, A.; Harada, K.; Mizusawa, H.; Shoji, S. Reflex sympathetic dystrophy secondary to lumbar disk herniation. Clin. Neurol. 1994, 34, 61–64. [Google Scholar]
- Condon, F.; Kenny, P.J.; Griffin, J.G.; O’Rourke, K. Reflex sympathetic dystrophy associated with extraforaminal disc herniation at the L5-S1 level. J. Spinal Disord. 1998, 11, 448–451. [Google Scholar] [CrossRef] [PubMed]
- Chae, S.U.; Kim, T.K.; Shim, D.M.; Kim, Y.J.; Choi, D.H. Is complex regional pain syndrome a cause of post-operative syndrome in the lumbar spine?—A case report. Asian Spine J. 2009, 3, 101. [Google Scholar] [CrossRef][Green Version]
- Morr, S.; Kanter, A.S. Complex regional pain syndrome following lateral lumbar interbody fusion. J. Neurosurg. Spine 2013, 19, 502–506. [Google Scholar] [CrossRef]
- Winston, P. Early treatment of acute complex regional pain syndrome after fracture or injury with prednisone: Why is there a failure to treat? A case series. Pain Res. Manag. 2016, 2016, 7019196. [Google Scholar] [CrossRef]
- Rosado Caracena, R.; Mendiola de la Osa, A.; Rincón Higuera, A.; Abad Fau de Casajuana, E.; Ruiz Córdoba, G.; García de Lucas, F. Cervical dorsal root ganglion stimulation for complex regional pain syndrome: Technical description and results of seven cases. Pain Pract. 2022. [Google Scholar] [CrossRef] [PubMed]
- Ho, E.; Yazdanpanah, N.; Ho, J.; Drukman, B.; Chang, A.; Agarwal, S. Parameters of Spinal Cord Stimulation in Complex Regional Pain Syndrome: Systematic Review and Meta-analysis of Randomized Controlled Trials. Pain Physician 2022, 25, 521–530. [Google Scholar] [PubMed]



| Study | n. Patients | Level | Treatment | Probably Cause | Outcome |
|---|---|---|---|---|---|
| Carlson et al., 1977 [28] | 2 | L4-L5 | Not informed | CRPS due to nerve compression | |
| Bernini et al., 1981 [31] | 1 | L4-L5 | Sympathetic Block | CRPS due to nerve compression | |
| Chodoroff et al., 1985 [32] | 1 | L5-S1 | Surgical Decompression | CRPS due to nerve compression | |
| De Weerdt et al., 1987 [33] | 48 | (26) L4-L5 (25) L5-S1 | Not informed | CRPS due to nerve compression | |
| Mockus et al., 1987 [34] | 12 | Not specified | Surgical Sympathectomy | Onset not due surgery | 92% improvement after 1 month |
| Ballard et al., 1991 [35] | 1 | L4-L5 | Laminectomy and Discectomy | CRPS due to nerve compression | No detail on resolution |
| Perrot et al., 1992 [29] | 4 | L5-S1 | Nerve release (Neurolysis) | CRPS due to nerve compression | Improvement in 1–3 months |
| Adachi et al., 1994 [36] | 1 | L4-L5 | lumbar sympathetic block | CRPS due to nerve compression | |
| Condon et al., 1998 [37] | 1 | L5-S1 | Discectomy + Surgical Sympathectomy | CRPS due to nerve compression | |
| Se Hee Kim et al., 2016 [22] | 1 | L4-L5 | percutaneous nucleoplasty | CRPS due to nerve compression | Resolution after procedure |
| Our case | 1 | L5-S1 | Discectomy + Lumbar spine stabilization | Not known | Improvement after 2 months |
Publisher’s Note: MDPI stays neutral with regard to jurisdictional claims in published maps and institutional affiliations. |
© 2022 by the authors. Licensee MDPI, Basel, Switzerland. This article is an open access article distributed under the terms and conditions of the Creative Commons Attribution (CC BY) license (https://creativecommons.org/licenses/by/4.0/).
Share and Cite
Arcidiacono, U.A.; Armocida, D.; Pesce, A.; Maiotti, M.; Proietti, L.; D’Andrea, G.; Santoro, A.; Frati, A. Complex Regional Pain Syndrome after Spine Surgery: A Rare Complication in Mini-Invasive Lumbar Spine Surgery: An Updated Comprehensive Review. J. Clin. Med. 2022, 11, 7409. https://doi.org/10.3390/jcm11247409
Arcidiacono UA, Armocida D, Pesce A, Maiotti M, Proietti L, D’Andrea G, Santoro A, Frati A. Complex Regional Pain Syndrome after Spine Surgery: A Rare Complication in Mini-Invasive Lumbar Spine Surgery: An Updated Comprehensive Review. Journal of Clinical Medicine. 2022; 11(24):7409. https://doi.org/10.3390/jcm11247409
Chicago/Turabian StyleArcidiacono, Umberto Aldo, Daniele Armocida, Alessandro Pesce, Marco Maiotti, Luca Proietti, Giancarlo D’Andrea, Antonio Santoro, and Alessandro Frati. 2022. "Complex Regional Pain Syndrome after Spine Surgery: A Rare Complication in Mini-Invasive Lumbar Spine Surgery: An Updated Comprehensive Review" Journal of Clinical Medicine 11, no. 24: 7409. https://doi.org/10.3390/jcm11247409
APA StyleArcidiacono, U. A., Armocida, D., Pesce, A., Maiotti, M., Proietti, L., D’Andrea, G., Santoro, A., & Frati, A. (2022). Complex Regional Pain Syndrome after Spine Surgery: A Rare Complication in Mini-Invasive Lumbar Spine Surgery: An Updated Comprehensive Review. Journal of Clinical Medicine, 11(24), 7409. https://doi.org/10.3390/jcm11247409

