Conduction System Pacing Today and Tomorrow
Abstract
1. Introduction
2. Conduction System Pacing–Concept and Evidence
2.1. His Bundle Pacing
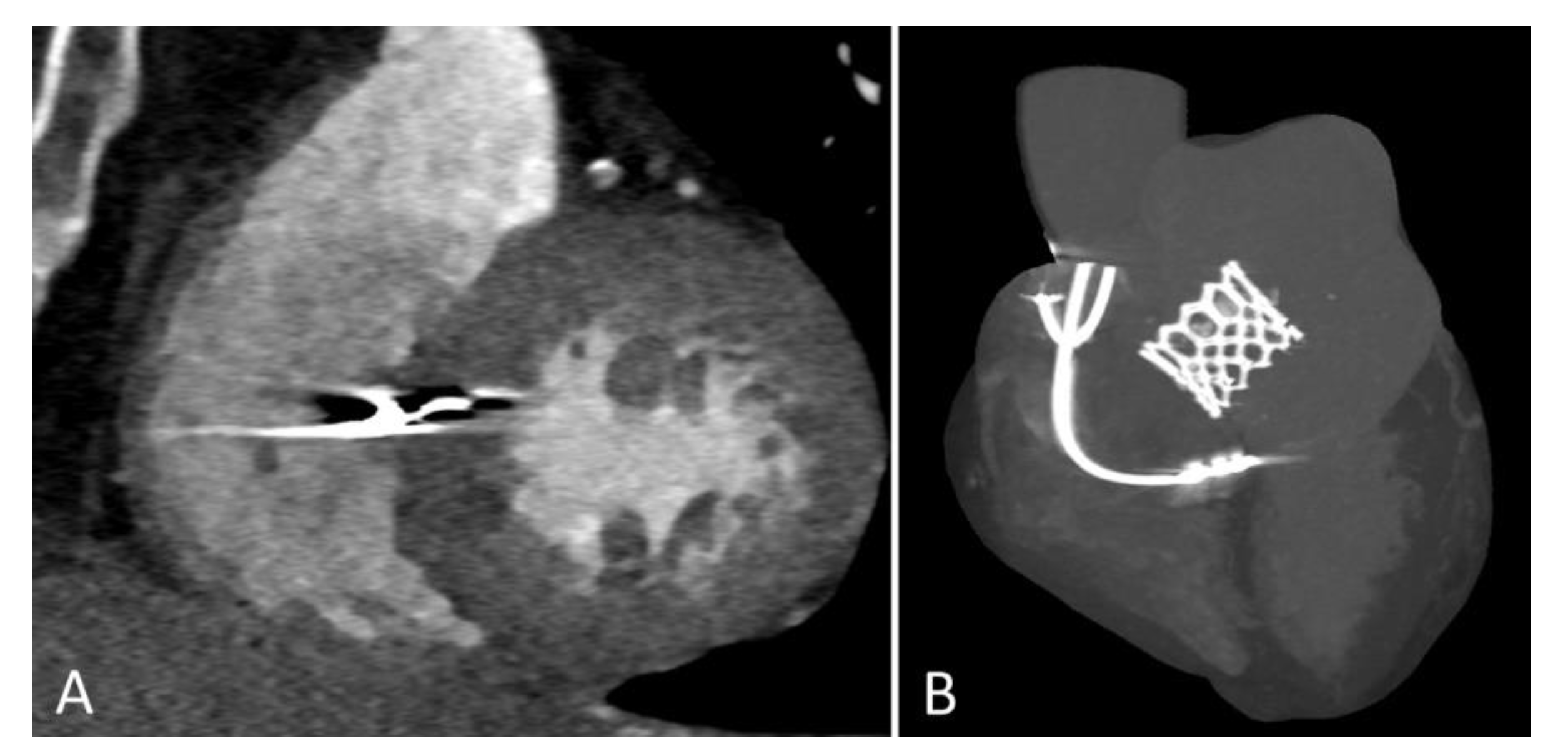
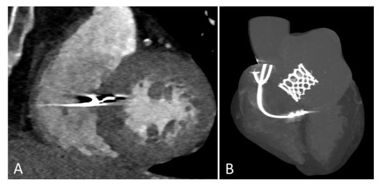
2.2. Left Bundle Branch Area Pacing
3. CSP Implantation Technique
3.1. Implantation Guiding Sheaths
3.2. CSP Leads
3.3. Additional Material
3.4. HBP Lead Implantation Technique
3.5. LBBAP Lead Implantation Technique
4. Considerations on Device Programming and Follow-Up
5. Future Perspectives
5.1. Clinical Evidence
5.2. Technical Improvements
6. Conclusions
Author Contributions
Funding
Institutional Review Board Statement
Informed Consent Statement
Data Availability Statement
Conflicts of Interest
References
- Deshmukh, P.; Casavant, D.A.; Romanyshyn, M.; Anderson, K. Permanent, direct His-bundle pacing: A novel approach to cardiac pacing in patients with normal His-Purkinje activation. Circulation 2000, 101, 869–877. [Google Scholar] [CrossRef] [PubMed]
- Grosfeld, M.J.W.; Res, J.C.J.; Vos, D.H.S.; De Boer, T.J.M.; Bos, H.J. Testing a new mechanism for left interventricular septal pacing: The transseptal route A feasibility and safety study. Europace 2002, 4, 439–444. [Google Scholar] [CrossRef] [PubMed]
- Huang, W.; Su, L.; Wu, S.; Xu, L.; Xiao, F.; Zhou, X.; Ellenbogen, K.A. A Novel Pacing Strategy With Low and Stable Output: Pacing the Left Bundle Branch Immediately Beyond the Conduction Block. Can. J. Cardiol. 2017, 33, 1736.e1–1736.e3. [Google Scholar] [CrossRef] [PubMed]
- Zhang, J.; Guo, J.; Hou, X.; Wang, Y.; Qian, Z.; Li, K.; Ge, P.; Zou, J. Comparison of the effects of selective and non-selective His bundle pacing on cardiac electrical and mechanical synchrony. Europace 2018, 20, 1010–1017. [Google Scholar] [CrossRef]
- Catanzariti, D.; Maines, M.; Cemin, C.; Broso, G.; Marotta, T.; Vergara, G. Permanent direct his bundle pacing does not induce ventricular dyssynchrony unlike conventional right ventricular apical pacing. An intrapatient acute comparison study. Journal of interventional cardiac electrophysiology: An international journal of arrhythmias and pacing. J. Interv. Card Electrophysiol. 2006, 16, 81–92. [Google Scholar]
- Zaidi, S.M.J.; Sohail, H.; Satti, D.I.; Sami, A.; Anwar, M.; Malik, J.; Mustafa, B.; Mustafa, M.; Mehmoodi, A. Tricuspid regurgitation in His bundle pacing: A systematic review. Ann. Noninvasive Electrocardiol. 2022, 27, e12986. [Google Scholar] [CrossRef]
- Vijayaraman, P.; Naperkowski, A.; Subzposh, F.A.; Abdelrahman, M.; Sharma, P.S.; Oren, J.W.; Dandamudi, G.; Ellenbogen, K.A. Permanent His-bundle pacing: Long-term lead performance and clinical outcomes. Heart Rhythm 2018, 15, 696–702. [Google Scholar] [CrossRef]
- Abdelrahman, M.; Subzposh, F.A.; Beer, D.; Durr, B.; Naperkowski, A.; Sun, H.; Oren, J.W.; Dandamudi, G.; Vijayaraman, P. Clinical Outcomes of His Bundle Pacing Compared to Right Ventricular Pacing. J. Am. Coll. Cardiol. 2018, 71, 2319–2330. [Google Scholar] [CrossRef]
- Sharma, P.S.; Dandamudi, G.; Herweg, B.; Wilson, D.; Singh, R.; Naperkowski, A.; Koneru, J.N.; Ellenbogen, K.A.; Vijayaraman, P. Permanent His-bundle pacing as an alternative to biventricular pacing for cardiac resynchronization therapy: A multicenter experience. Heart Rhythm 2018, 15, 413–420. [Google Scholar] [CrossRef] [PubMed]
- Upadhyay, G.A.; Vijayaraman, P.; Nayak, H.M.; Verma, N.; Dandamudi, G.; Sharma, P.S.; Saleem, M.; Mandrola, J.; Genovese, D.; Oren, J.W.; et al. On-treatment comparison between corrective His bundle pacing and biventricular pacing for cardiac resynchronization: A secondary analysis of the His-SYNC Pilot Trial. Heart Rhythm 2019, 16, 1797–1807. [Google Scholar] [CrossRef] [PubMed]
- Vinther, M.; Risum, N.; Svendsen, J.H.; Møgelvang, R.; Philbert, B.T. A Randomized Trial of His Pacing Versus Biventricular Pacing in Symptomatic HF Patients With Left Bundle Branch Block (His-Alternative). JACC Clin. Electrophysiol. 2021, 7, 1422–1432. [Google Scholar] [CrossRef] [PubMed]
- Huang, W.; Wang, S.; Su, L.; Fu, G.; Su, Y.; Chen, K.; Zou, J.; Han, H.; Wu, S.; Sheng, X.; et al. His-bundle pacing vs biventricular pacing following atrioventricular nodal ablation in patients with atrial fibrillation and reduced ejection fraction: A multicenter, randomized, crossover study—The Alternative-AF trial. Heart Rhythm 2022, 19, 1948–1955. [Google Scholar] [CrossRef] [PubMed]
- Glikson, M.; Nielsen, J.C.; Kronborg, M.B.; Michowitz, Y.; Auricchio, A.; Barbash, I.M.; Barrabés, J.A.; Boriani, G.; Braunschweig, F.; Brignole, M.; et al. 2021 ESC Guidelines on cardiac pacing and cardiac resynchronization therapy. Eur. Heart J. 2021, 42, 3427–3520. [Google Scholar] [CrossRef]
- Keene, D.; Arnold, A.D.; Jastrzębski, M.; Burri, H.; Zweibel, S.; Crespo, E.; Chandrasekaran, B.; Bassi, S.; Joghetaei, N.; Swift, M.; et al. His bundle pacing, learning curve, procedure characteristics, safety, and feasibility: Insights from a large international observational study. J. Cardiovasc. Electrophysiol. 2019, 30, 1984–1993. [Google Scholar] [CrossRef] [PubMed]
- Bhatt, A.G.; Musat, D.L.; Milstein, N.; Pimienta, J.; Flynn, L.; Sichrovsky, T.; Preminger, M.W.; Mittal, S. The Efficacy of His Bundle Pacing: Lessons Learned From Implementation for the First Time at an Experienced Electrophysiology Center. JACC Clin. Electrophysiol. 2018, 4, 1397–1406. [Google Scholar] [CrossRef]
- Su, L.; Wang, S.; Wu, S.; Xu, L.; Huang, Z.; Chen, X.; Zheng, R.; Jiang, L.; Ellenbogen, K.A.; Whinnett, Z.I.; et al. Long-Term Safety and Feasibility of Left Bundle Branch Pacing in a Large Single-Center Study. Circ. Arrhythm. Electrophysiol. 2021, 14, e009261. [Google Scholar] [CrossRef]
- Sharma, P.S.; Patel, N.R.; Ravi, V.; Zalavadia, D.V.; Dommaraju, S.; Garg, V.; Larsen, T.R.; Naperkowski, A.M.; Wasserlauf, J.; Krishnan, K.; et al. Clinical outcomes of left bundle branch area pacing compared to right ventricular pacing: Results from the Geisinger-Rush Conduction System Pacing Registry. Heart Rhythm 2022, 19, 3–11. [Google Scholar] [CrossRef]
- Vijayaraman, P.; Rajakumar, C.; Naperkowski, A.M.; Subzposh, F.A. Clinical outcomes of left bundle branch area pacing compared to His bundle pacing. J. Cardiovasc. Electrophysiol. 2022, 33, 1234–1243. [Google Scholar] [CrossRef]
- Vijayaraman, P.; Zalavadia, D.; Haseeb, A.; Dye, C.; Madan, N.; Skeete, J.R.; Vipparthy, S.C.; Young, W.; Ravi, V.; Rajakumar, C.; et al. Clinical outcomes of conduction system pacing compared to biventricular pacing in patients requiring cardiac resynchronization therapy. Heart Rhythm 2022, 19, 1263–1271. [Google Scholar] [CrossRef]
- Wang, Y.; Gu, K.; Qian, Z.; Hou, X.; Chen, X.; Qiu, Y.; Jiang, Z.; Zhang, X.; Wu, H.; Chen, M.; et al. The efficacy of left bundle branch area pacing compared with biventricular pacing in patients with heart failure: A matched case–control study. J. Cardiovasc. Electrophysiol. 2020, 31, 2068–2077. [Google Scholar] [CrossRef]
- Wang, Y.; Zhu, H.; Hou, X.; Wang, Z.; Zou, F.; Qian, Z.; Wei, Y.; Wang, X.; Zhang, L.; Li, X.; et al. Randomized Trial of Left Bundle Branch vs Biventricular Pacing for Cardiac Resynchronization Therapy. J. Am. Coll. Cardiol. 2022, 80, 1205–1216. [Google Scholar] [CrossRef] [PubMed]
- Vijayaraman, P.; Cano, O.; Ponnusamy, S.S.; Molina-Lerma, M.; Chan, J.Y.; Padala, S.K.; Sharma, P.S.; Whinnett, Z.I.; Herweg, B.; Upadhyay, G.A.; et al. Left bundle branch area pacing in patients with heart failure and right bundle branch block: Results from International LBBAP Collaborative-Study Group. Heart Rhythm O2 2022, 3, 358–367. [Google Scholar] [CrossRef] [PubMed]
- Vijayaraman, P.; Herweg, B.; Verma, A.; Sharma, P.S.; Batul, S.A.; Ponnusamy, S.S.; Schaller, R.D.; Cano, O.; Molina-Lerma, M.; Curila, K.; et al. Rescue left bundle branch area pacing in coronary venous lead failure or nonresponse to biventricular pacing: Results from International LBBAP Collaborative Study Group. Heart Rhythm 2022, 19, 1272–1280. [Google Scholar] [CrossRef] [PubMed]
- Clementy, N.; Bodin, A.; Ah-Fat, V.; Babuty, D.; Bisson, A. Dual-chamber ICD for left bundle branch area pacing: The cardiac resynchronization and arrhythmia sensing via the left bundle (cross-left) pilot study. Journal of interventional cardiac electrophysiology: An international journal of arrhythmias and pacing. J. Interv. Card Electrophysiol. 2022; online ahead of print. [Google Scholar] [CrossRef]
- Wang, Z.; Zhu, H.; Li, X.; Yao, Y.; Liu, Z.; Fan, X. Comparison of Procedure and Fluoroscopy Time Between Left Bundle Branch Area Pacing and Right Ventricular Pacing for Bradycardia: The Learning Curve for the Novel Pacing Strategy. Front. Cardiovasc. Med. 2021, 8, 695531. [Google Scholar] [CrossRef] [PubMed]
- Tan, E.S.J.; Lee, J.; Boey, E.; Soh, R.; Sim, M.G.; Yeo, W.; Seow, S.; Kojodjojo, P. Use of extendable helix leads for conduction system pacing: Differences in lead handling and performance lead design impacts conduction system pacing. J. Cardiovasc. Electrophysiol. 2022, 33, 1550–1557. [Google Scholar] [CrossRef]
- Jastrzębski, M.; Kiełbasa, G.; Cano, O.; Curila, K.; Heckman, L.; De Pooter, J.; Chovanec, M.; Rademakers, L.; Huybrechts, W.; Grieco, D.; et al. Left bundle branch area pacing outcomes: The multicentre European MELOS study. Eur. Heart J. 2022, 43, 4161–4173. [Google Scholar] [CrossRef]
- Shimeno, K.; Tamura, S.; Hayashi, Y.; Abe, Y.; Naruko, T.; Fukuda, D. Achievement rate and learning curve of left bundle branch capture in left bundle branch area pacing procedure performed to demonstrate output-dependent QRS transition. J. Cardiovasc. Electrophysiol. 2022, 33, 2183–2191. [Google Scholar] [CrossRef]
- De Pooter, J.; Wauters, A.; Van Heuverswyn, F.; Le Polain de Waroux, J.B. A Guide to Left Bundle Branch Area Pacing Using Stylet-Driven Pacing Leads. Front. Cardiovasc. Med. 2022, 9, 844152. [Google Scholar] [CrossRef]
- De Pooter, J.; Calle, S.; Timmermans, F.; Van Heuverswyn, F. Left bundle branch area pacing using stylet-driven pacing leads with a new delivery sheath: A comparison with lumen-less leads. J. Cardiovasc. Electrophysiol. 2021, 32, 439–448. [Google Scholar] [CrossRef]
- Burri, H.; Jastrzebski, M.; Vijayaraman, P. Electrocardiographic Analysis for His Bundle Pacing at Implantation and Follow-Up. JACC Clin. Electrophysiol. 2020, 6, 883–900. [Google Scholar] [CrossRef] [PubMed]
- Jastrzębski, M.; Moskal, P.; Bednarek, A.; Kiełbasa, G.; Vijayaraman, P.; Czarnecka, D. Programmed His Bundle Pacing. Circ. Arrhythmia Electrophysiol. 2019, 12, e007052. [Google Scholar] [CrossRef] [PubMed]
- Vijayaraman, P.; Dandamudi, G.; Zanon, F.; Sharma, P.S.; Tung, R.; Huang, W.; Koneru, J.; Tada, H.; Ellenbogen, K.A.; Lustgarten, D.L. Permanent His bundle pacing: Recommendations from a Multicenter His Bundle Pacing Collaborative Working Group for standardization of definitions, implant measurements, and follow-up. Heart Rhythm 2018, 15, 460–468. [Google Scholar] [CrossRef] [PubMed]
- Lu, W.; Lin, J.; Chen, K.; Dai, Y.; Chen, R.; Hu, Q.; Li, Y.; Cheng, C.; Zhou, Y.; Zhang, S. Quantitative distance and electrocardiographic parameters for lead-implanted site selection to enhance the success likelihood of left bundle branch pacing. Clin. Res. Cardiol. 2021, 111, 1219–1230. [Google Scholar] [CrossRef]
- Cabrera, J.-Á.; Porta-Sánchez, A.; Tung, R.; Sánchez-Quintana, D. Tracking Down the Anatomy of the Left Bundle Branch to Optimize Left Bundle Branch Pacing. JACC Case Rep. 2020, 2, 750–755. [Google Scholar] [CrossRef] [PubMed]
- Huang, W.; Chen, X.; Su, L.; Wu, S.; Xia, X.; Vijayaraman, P. A beginner’s guide to permanent left bundle branch pacing. Heart Rhythm 2019, 16, 1791–1796. [Google Scholar] [CrossRef] [PubMed]
- Liu, X.; Niu, H.-X.; Gu, M.; Chen, X.; Hu, Y.; Cai, M.; Zhang, N.; Zhao, J.; Zhou, X.; Gold, M.R.; et al. Contrast-enhanced image-guided lead deployment for left bundle branch pacing. Heart Rhythm 2021, 18, 1318–1325. [Google Scholar] [CrossRef] [PubMed]
- Shali, S.; Wu, W.; Bai, J.; Wang, W.; Qin, S.; Wang, J.; Liang, Y.; Chen, H.; Su, Y.; Chen, X.; et al. Current of injury is an indicator of lead depth and performance during left bundle branch pacing lead implantation. Heart Rhythm 2022, 19, 1281–1288. [Google Scholar] [CrossRef]
- Jastrzębski, M.; Kiełbasa, G.; Curila, K.; Moskal, P.; Bednarek, A.; Rajzer, M.; Vijayaraman, P. Physiology-based electrocardiographic criteria for left bundle branch capture. Heart Rhythm 2021, 18, 935–943. [Google Scholar] [CrossRef]
- Jastrzębski, M.; Burri, H.; Kiełbasa, G.; Curila, K.; Moskal, P.; Bednarek, A.; Rajzer, M.; Vijayaraman, P. The V6-V1 interpeak interval: A novel criterion for the diagnosis of left bundle branch capture. Europace 2022, 24, 40–47. [Google Scholar] [CrossRef]
- Bakelants, E.; Burri, H. Troubleshooting Programming of Conduction System Pacing. Arrhythmia Electrophysiol. Rev. 2021, 10, 85–90. [Google Scholar] [CrossRef]
- Burri, H.; Keene, D.; Whinnett, Z.; Zanon, F.; Vijayaraman, P. Device Programming for His Bundle Pacing. Circ. Arrhythmia Electrophysiol. 2019, 12, e006816. [Google Scholar] [CrossRef] [PubMed]
- Neugebauer, F.; Noti, F.; van Gool, S.; Roten, L.; Baldinger, S.H.; Seiler, J.; Madaffari, A.; Servatius, H.; Ryser, A.; Tanner, H.; et al. Leadless atrioventricular synchronous pacing in an outpatient setting: Early lessons learned on factors affecting atrioventricular synchrony. Heart Rhythm 2021, 19, 748–756. [Google Scholar] [CrossRef] [PubMed]
- Bereuter, L.; Gysin, M.; Kueffer, T.; Kucera, M.; Niederhauser, T.; Fuhrer, J.; Heinisch, P.; Zurbuchen, A.; Obrist, D.; Tanner, H.; et al. Leadless Dual-Chamber Pacing: A Novel Communication Method for Wireless Pacemaker Synchronization. JACC Basic Transl. Sci. 2018, 3, 813–823. [Google Scholar] [CrossRef] [PubMed]





| Parameter | Recommendation | Reasoning |
|---|---|---|
| Sensing vector | Bipolar | Bipolar sensing is preferred to avoid oversensing of pectoral myopotentials. |
| Sensitivity | As a conventional lead | Sensing values are usually excellent and rarely cause concerns. |
| Output polarity | Bipolar (extended bipolar/unipolar may be considered for better visibility of the PM stimulus) | Bipolar pacing is usually more power-efficient but simultaneous cathodal and anodal capture may mimic lead microdislocation. Be aware of undesired anodal RV capture in case of an extended bipolar configuration. |
| Output voltage | As a conventional lead (2× threshold, 0.4 ms pulse duration) | Capture thresholds are usually excellent and remain stable over time. |
| AV delay | LBBAP lead in RV port: subtraction of LBB-V interval from desired AV delay LBBAP lead in LV port: program VV delay first, adjust AV delay thereafter in a similar fashion | The resulting AV delay corresponds to the programmed AV delay plus the conduction time from the left bundle to the ventricle (LBB-V interval, ~15–25 ms). |
| VV delay | LBBAP lead in LV port: option 1: program LV first (~60–80 ms, in case of LV septal pacing, fusion may shorten QRS) option 2: deactivate RV pacing in non PM-dependent patients option 3: program subthreshold stimulation in the RV | Promote ventricular activation via the conduction system in case of proper left bundle activation. In case of deep septal lead position, LV-RV-fusion (similar to CRT) may further decrease QRS duration. Subthreshold stimulation may cause confusion and provides no ventricular backup. |
| Automatic capture control | Monitor | May be activated in the chronic stage when correct functioning has been verified. |
| Automatic sensing | On | Sensing values are usually excellent and rarely cause concerns. |
| Ventricular safety pacing | On | Turn off if CSP lead is connected to the atrial port (after crosstalk test). |
Publisher’s Note: MDPI stays neutral with regard to jurisdictional claims in published maps and institutional affiliations. |
© 2022 by the authors. Licensee MDPI, Basel, Switzerland. This article is an open access article distributed under the terms and conditions of the Creative Commons Attribution (CC BY) license (https://creativecommons.org/licenses/by/4.0/).
Share and Cite
Haeberlin, A.; Canello, S.; Kummer, A.; Seiler, J.; Baldinger, S.H.; Madaffari, A.; Thalmann, G.; Ryser, A.; Gräni, C.; Tanner, H.; et al. Conduction System Pacing Today and Tomorrow. J. Clin. Med. 2022, 11, 7258. https://doi.org/10.3390/jcm11247258
Haeberlin A, Canello S, Kummer A, Seiler J, Baldinger SH, Madaffari A, Thalmann G, Ryser A, Gräni C, Tanner H, et al. Conduction System Pacing Today and Tomorrow. Journal of Clinical Medicine. 2022; 11(24):7258. https://doi.org/10.3390/jcm11247258
Chicago/Turabian StyleHaeberlin, Andreas, Siro Canello, Andreas Kummer, Jens Seiler, Samuel H. Baldinger, Antonio Madaffari, Gregor Thalmann, Adrian Ryser, Christoph Gräni, Hildegard Tanner, and et al. 2022. "Conduction System Pacing Today and Tomorrow" Journal of Clinical Medicine 11, no. 24: 7258. https://doi.org/10.3390/jcm11247258
APA StyleHaeberlin, A., Canello, S., Kummer, A., Seiler, J., Baldinger, S. H., Madaffari, A., Thalmann, G., Ryser, A., Gräni, C., Tanner, H., Roten, L., Reichlin, T., & Noti, F. (2022). Conduction System Pacing Today and Tomorrow. Journal of Clinical Medicine, 11(24), 7258. https://doi.org/10.3390/jcm11247258

