Cerebral Venous-Associated Brain Damage May Lead to Anxiety and Depression
Abstract
1. Introduction
2. Methods
2.1. Study Population
2.2. Procedures
2.3. Statistical Analysis
3. Results
3.1. Demographic Analysis
3.2. Risk Factors of CVOD-Associated Anxiety and Depression
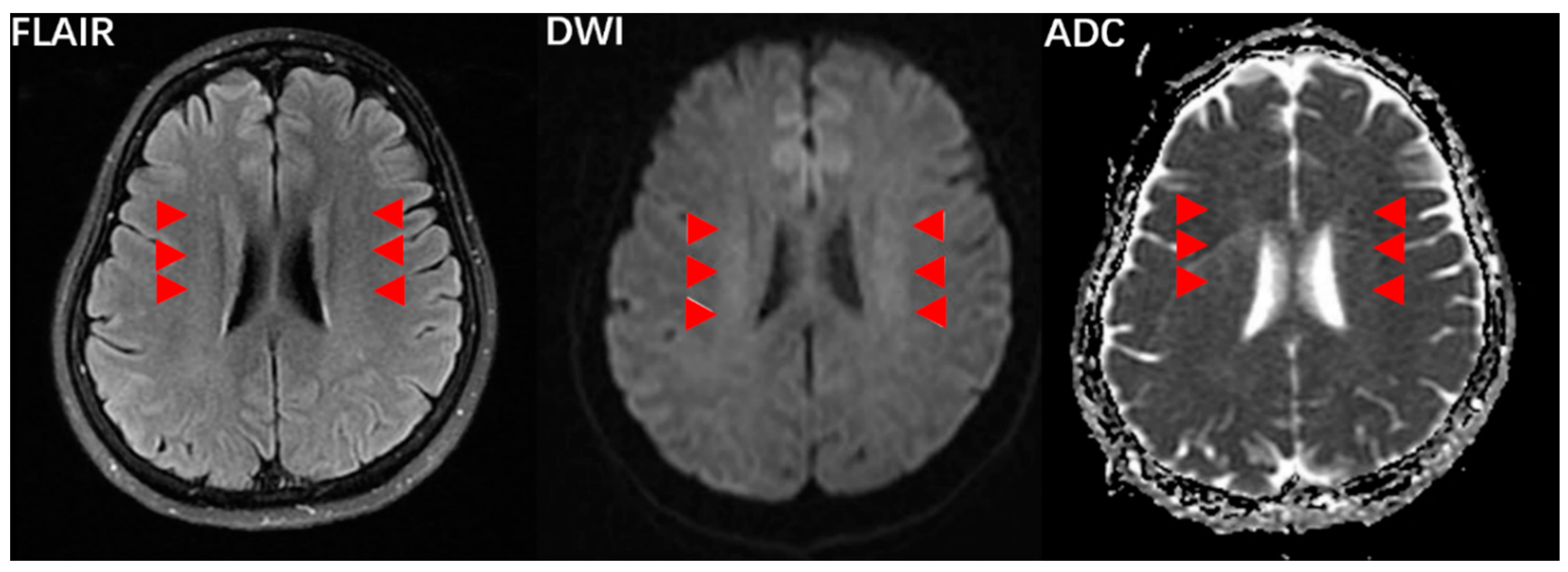
3.3. CVOD-Associated Anxiety and Depression and WMLs
3.4. CVOD-Associated Anxiety and Depression and Hypoperfusion
3.5. Severity of CVOD-Associated Anxiety and Depression Pre-Stenting vs. Post-Stenting
4. Discussion
4.1. Major Risk Factors Contributed to CVOD-Associated Anxiety/Depression
4.2. CVOD-Related WMLs
4.3. Cerebral Hypoperfusion and CVOD-Associated Anxiety and Depression
4.4. Hypoperfusion and CVOD
4.5. Hypoperfusion and WMLs
4.6. Hypoperfusion and Damage of Neural Networks
4.7. Hypoperfusion and Change in Cerebral Metabolism
4.8. Hypoperfusion and Abnormal EEG
4.9. Prospects for Future Insights
4.10. Limitations
5. Conclusions
Supplementary Materials
Author Contributions
Funding
Institutional Review Board Statement
Informed Consent Statement
Data Availability Statement
Acknowledgments
Conflicts of Interest
References
- Zhou, D.; Ding, J.; Asmaro, K.; Pan, L.; Ya, J.; Yang, Q.; Fan, C.; Ding, Y.; Ji, X.; Meng, R. Clinical Characteristics and Neuroimaging Findings in Internal Jugular Venous Outflow Disturbance. Thromb. Haemost. 2019, 119, 308–318. [Google Scholar] [CrossRef] [PubMed]
- Greenstein, A.S.; Paranthaman, R.; Burns, A.; Jackson, A.; Malik, R.A.; Baldwin, R.C.; Heagerty, A.M. Cerebrovascular damage in late-life depression is associated with structural and functional abnormalities of subcutaneous small arteries. Hypertension 2010, 56, 734–740. [Google Scholar] [CrossRef] [PubMed][Green Version]
- Jalbrzikowski, M.; Larsen, B.; Hallquist, M.N.; Foran, W.; Calabro, F.; Luna, B. Development of White Matter Microstructure and Intrinsic Functional Connectivity between the Amygdala and Ventromedial Prefrontal Cortex: Associations with Anxiety and Depression. Biol. Psychiatry 2017, 82, 511–521. [Google Scholar] [CrossRef] [PubMed]
- Roelofs, E.F.; Bas-Hoogendam, J.M.; van der Werff, S.J.A.; Valstar, S.D.; van der Wee, N.J.A.; Vermeiren, R. Exploring the course of adolescent anxiety and depression: Associations with white matter tract microstructure. Eur. Arch. Psychiatry Clin. Neurosci. 2022, 272, 849–858. [Google Scholar] [CrossRef]
- Moran, G.M.; Fletcher, B.; Feltham, M.G.; Calvert, M.; Sackley, C.; Marshall, T. Fatigue, psychological and cognitive impairment following transient ischaemic attack and minor stroke: A systematic review. Eur. J. Neurol. 2014, 21, 1258–1267. [Google Scholar] [CrossRef]
- Guo, J.; Wang, J.; Sun, W.; Liu, X. The advances of post-stroke depression: 2021 update. J. Neurol. 2022, 269, 1236–1249. [Google Scholar] [CrossRef]
- He, E.; Liu, M.; Gong, S.; Fu, X.; Han, Y.; Deng, F. White Matter Alterations in Depressive Disorder. Front. Immunol. 2022, 13, 826812. [Google Scholar] [CrossRef]
- Ding, J.; Guan, J.; Rajah, G.; Dornbos, D., III; Li, W.; Wang, Z.; Ding, Y.; Ji, X.; Meng, R. Clinical and neuroimaging correlates among cohorts of cerebral arteriostenosis, venostenosis and arterio-venous stenosis. Aging 2019, 11, 11073–11083. [Google Scholar] [CrossRef]
- Weber, J.H.; Jagsch, R.; Hallas, B. The relationship between tinnitus, personality, and depression. Z. Fur Psychosom. Med. Psychother. 2008, 54, 227–240. [Google Scholar]
- Xu, J.; Zheng, Y.; Meng, Z.; Li, M. The relationship between tinnitus severity and anxiety. J. Clin. Otorhinolaryngol. Head Neck Surg. 2012, 26, 729–732. [Google Scholar]
- Blaauw, B.A.; Dyb, G.; Hagen, K.; Holmen, T.L.; Linde, M.; Wentzel-Larsen, T.; Zwart, J.-A. Anxiety, depression and behavioral problems among adolescents with recurrent headache: The Young-HUNT study. J. Headache Pain 2014, 15, 38. [Google Scholar] [CrossRef] [PubMed]
- Rist, P.M.; Schürks, M.; Buring, J.E.; Kurth, T. Migraine, headache, and the risk of depression: Prospective cohort study. Cephalalgia Int. J. Headache 2013, 33, 1017–1025. [Google Scholar] [CrossRef] [PubMed]
- Le Grande, M.R.; Jackson, A.C.; Murphy, B.M.; Thomason, N. Relationship between sleep disturbance, depression and anxiety in the 12 months following a cardiac event. Psychol. Health Med. 2016, 21, 52–59. [Google Scholar] [CrossRef] [PubMed]
- Paunio, T.; Korhonen, T.; Hublin, C.; Partinen, M.; Koskenvuo, K.; Koskenvuo, M.; Kaprio, J. Poor sleep predicts symptoms of depression and disability retirement due to depression. J. Affect. Disord. 2015, 172, 381–389. [Google Scholar] [CrossRef] [PubMed]
- Yu, J.; Mahendran, R.; Rawtaer, I.; Kua, E.H.; Feng, L. Poor sleep quality is observed in mild cognitive impairment and is largely unrelated to depression and anxiety. Aging Ment. Health 2017, 21, 823–828. [Google Scholar] [CrossRef] [PubMed]
- Yang, Z.; Jian, L.; Qiu, H.; Zhang, C.; Cheng, S.; Ji, J.; Li, T.; Wang, Y.; Li, J.; Li, K. Understanding complex functional wiring patterns in major depressive disorder through brain functional connectome. Transl. Psychiatry 2021, 11, 526. [Google Scholar] [CrossRef]
- Zivadinov, R.; Bastianello, S.; Dake, M.D.; Ferral, H.; Haacke, E.M.; Haskal, Z.J.; Hubbard, D.; Liasis, N.; Mandato, K.; Sclafani, S.; et al. Recommendations for multimodal noninvasive and invasive screening for detection of extracranial venous abnormalities indicative of chronic cerebrospinal venous insufficiency: A position statement of the International Society for Neurovascular Disease. J. Vasc. Interv. Radiol. JVIR 2014, 25, 1785–1794.e17. [Google Scholar] [CrossRef]
- Zamboni, P.; Morovic, S.; Menegatti, E.; Viselner, G.; Nicolaides, A.N. Screening for chronic cerebrospinal venous insufficiency (CCSVI) using ultrasound—Recommendations for a protocol. Int. Angiol. A J. Int. Union Angiol. 2011, 30, 571–597. [Google Scholar]
- Ferro, J.M.; Bousser, M.G.; Canhão, P.; Coutinho, J.M.; Crassard, I.; Dentali, F.; di Minno, M.; Maino, A.; Martinelli, I.; Masuhr, F.; et al. European Stroke Organization guideline for the diagnosis and treatment of cerebral venous thrombosis—Endorsed by the European Academy of Neurology. Eur. J. Neurol. 2017, 24, 1203–1213. [Google Scholar] [CrossRef]
- Saposnik, G.; Barinagarrementeria, F.; Brown, R.D., Jr.; Bushnell, C.D.; Cucchiara, B.; Cushman, M.; deVeber, G.; Ferro, J.M.; Tsai, F.Y. American Heart Association Stroke Council and the Council on Epidemiology and Prevention. Diagnosis and management of cerebral venous thrombosis: A statement for healthcare professionals from the American Heart Association/American Stroke Association. Stroke 2011, 42, 1158–1192. [Google Scholar] [PubMed]
- Bai, C.; Ding, J.; Da, Z.; Sun, J.; Liu, C.; Pan, L.; Ya, J.; Wang, Z.; Guan, J.; Jin, K.; et al. Probable risk factors of internal jugular vein stenosis in Chinese patients-A real-world cohort study. Clin. Neurol. Neurosurg. 2020, 191, 105678. [Google Scholar] [CrossRef] [PubMed]
- Bai, C.; Wang, Z.; Stone, C.; Zhou, D.; Ding, J.; Ding, Y.; Ji, X.; Meng, R. Pathogenesis and Management in Cerebrovenous Outflow Disorders. Aging Dis. 2021, 12, 203–222. [Google Scholar] [CrossRef] [PubMed]
- Hamilton, M. The assessment of anxiety states by rating. Br. J. Med. Psychol. 1959, 32, 50–55. [Google Scholar] [CrossRef] [PubMed]
- Hamilton, M. A rating scale for depression. J. Neurol. Neurosurg. Psychiatry 1960, 23, 56–62. [Google Scholar] [CrossRef]
- Dworkin, R.H.; Turk, D.C.; Wyrwich, K.W.; Beaton, D.; Cleeland, C.S.; Farrar, J.T.; Haythornthwaite, J.A.; Jensen, M.P.; Kerns, R.D.; Ader, D.N.; et al. Interpreting the clinical importance of treatment outcomes in chronic pain clinical trials: IMMPACT recommendations. J. Pain 2008, 9, 105–121. [Google Scholar] [CrossRef]
- Scheltens, P.; Barkhof, F.; Leys, D.; Pruvo, J.P.; Nauta, J.J.; Vermersch, P.; Steinling, M.; Valk, J. A semiquantative rating scale for the assessment of signal hyperintensities on magnetic resonance imaging. J. Neurol. Sci. 1993, 114, 7–12. [Google Scholar] [CrossRef]
- Mirowsky, J.; Ross, C.E. Age and depression. J. Health Soc. Behav. 1992, 33, 187–205, discussion 206-12. [Google Scholar] [CrossRef]
- Brodaty, H.; Peters, K.; Boyce, P.; Hickie, I.; Parker, G.; Mitchell, P.; Kay, W. Age and depression. J. Affect. Disord. 1991, 23, 137–149. [Google Scholar] [CrossRef]
- Ojio, Y.; Nishida, A.; Shimodera, S.; Togo, F.; Sasaki, T. Sleep Duration Associated with the Lowest Risk of Depression/Anxiety in Adolescents. Sleep 2016, 39, 1555–1562. [Google Scholar] [CrossRef]
- Potvin, O.; Lorrain, D.; Belleville, G.; Grenier, S.; Préville, M. Subjective sleep characteristics associated with anxiety and depression in older adults: A population-based study. Int. J. Geriatr. Psychiatry 2014, 29, 1262–1270. [Google Scholar] [CrossRef]
- Teker, A.G.; Luleci, N.E. Sleep quality and anxiety level in employees. North. Clin. Istanb. 2018, 5, 31–36. [Google Scholar] [CrossRef]
- Yang, S.J.; Cha, H.S. Retrospective cohort study on Korean adolescents’ sleep, depression, school adjustment, and life satisfaction. Nurs. Health Sci. 2018, 20, 422–430. [Google Scholar] [CrossRef] [PubMed]
- Zhi, T.F.; Sun, X.M.; Li, S.J.; Wang, Q.S.; Cai, J.; Li, L.-Z.; Li, Y.-X.; Xu, M.-J.; Wang, Y.; Chu, X.-F.; et al. Associations of sleep duration and sleep quality with life satisfaction in elderly Chinese: The mediating role of depression. Arch. Gerontol. Geriatr. 2016, 65, 211–217. [Google Scholar] [CrossRef] [PubMed]
- Bhatt, J.M.; Bhattacharyya, N.; Lin, H.W. Relationships between tinnitus and the prevalence of anxiety and depression. Laryngoscope 2017, 127, 466–469. [Google Scholar] [CrossRef]
- Langguth, B.; Landgrebe, M.; Kleinjung, T.; Sand, G.P.; Hajak, G. Tinnitus and depression. World J. Biol. Psychiatry Off. J. World Fed. Soc. Biol. Psychiatry 2011, 12, 489–500. [Google Scholar] [CrossRef]
- Fujishima, M.; Maikusa, N.; Nakamura, K.; Nakatsuka, M.; Matsuda, H.; Meguro, K. Mild cognitive impairment, poor episodic memory, and late-life depression are associated with cerebral cortical thinning and increased white matter hyperintensities. Front. Aging Neurosci. 2014, 6, 306. [Google Scholar] [CrossRef]
- Papadaki, E.; Kavroulakis, E.; Bertsias, G.; Fanouriakis, A.; Karageorgou, D.; Sidiropoulos, P.; Papastefanakis, E.; Boumpas, D.T.; Simos, P. Regional cerebral perfusion correlates with anxiety in neuropsychiatric SLE: Evidence for a mechanism distinct from depression. Lupus 2019, 28, 1678–1689. [Google Scholar] [CrossRef] [PubMed]
- Puglisi, V.; Bramanti, A.; Lanza, G.; Cantone, M.; Vinciguerra, L.; Pennisi, M.; Bonanno, L.; Pennisi, G.; Bella, R. Impaired Cerebral Haemodynamics in Vascular Depression: Insights from Transcranial Doppler Ultrasonography. Front. Psychiatry 2018, 9, 316. [Google Scholar] [CrossRef]
- Zhou, D.; Meng, R.; Zhang, X.; Guo, L.; Li, S.; Wu, W.; Duan, J.; Song, H.; Ding, Y.; Ji, X. Intracranial hypertension induced by internal jugular vein stenosis can be resolved by stenting. Eur. J. Neurol. 2018, 25, 365-e13. [Google Scholar] [CrossRef]
- Ding, J.; Guan, J.; Ji, X.; Meng, R. Cerebral Venous Sinus Stenosis may cause intracranial arterial hypoperfusion. Clin. Neuroradiol. 2020, 30, 409–411. [Google Scholar] [CrossRef]
- Bai, C.; Wang, Z.; Guan, J.; Jin, K.; Sun, J.; Ding, Y.; Ji, X.; Meng, R. Probable factors affecting clinical outcomes of internal jugular vein stenosis. Ann. Transl. Med. 2019, 7, 621. [Google Scholar] [CrossRef] [PubMed]
- Li, M.; Gao, X.; Rajah, G.B.; Liang, J.; Chen, J.; Yan, F.; Bao, Y.; Jiao, L.; Zhang, H.; Ding, Y.; et al. Styloidectomy and Venous Stenting for Treatment of Styloid-Induced Internal Jugular Vein Stenosis: A Case Report and Literature Review. World Neurosurg. 2019, 130, 129–132. [Google Scholar] [CrossRef] [PubMed]
- Xu, Y.; Meng, R.; Rajah, G.B.; Ding, Y.; Wu, Y.; Wu, Y.; Ji, K.; Wu, C.; Zhao, W.; Ji, X. Long-term Outcomes of Cerebral Venous Sinus Stenosis Corrected by Stenting. Curr. Neurovasc. Res. 2019, 16, 77–81. [Google Scholar] [CrossRef]
- Price, J.L.; Drevets, W.C. Neurocircuitry of mood disorders. Neuropsychopharmacology 2010, 35, 192–216. [Google Scholar] [CrossRef] [PubMed]
- Cullen, K.R.; Westlund, M.K.; Klimes-Dougan, B.; Mueller, B.A.; Houri, A.; Eberly, L.; Lim, K. Abnormal amygdala resting-state functional connectivity in adolescent depression. JAMA Psychiatry 2014, 71, 1138–1147. [Google Scholar] [CrossRef] [PubMed]
- Buckner, R.L.; Andrews-Hanna, J.R.; Schacter, D.L. The brain’s default network: Anatomy, function, and relevance to disease. Ann. N. Y. Acad. Sci. 2008, 1124, 1–38. [Google Scholar] [CrossRef]
- Kaiser, R.H.; Andrews-Hanna, J.R.; Wager, T.D.; Pizzagalli, D.A. Large-Scale Network Dysfunction in Major Depressive Disorder: A Meta-analysis of Resting-State Functional Connectivity. JAMA Psychiatry 2015, 72, 603–611. [Google Scholar] [CrossRef]
- Wu, J.C.; Buchsbaum, M.S.; Hershey, T.G.; Hazlett, E.; Sicotte, N.; Johnson, J.C. PET in generalized anxiety disorder. Biol. Psychiatry 1991, 29, 1181–1199. [Google Scholar] [CrossRef]
- Bai, C.; Wang, Z.; Guan, J.; Jin, K.; Ding, Y.; Ji, X.; Meng, R. Clinical characteristics and neuroimaging findings in eagle syndrome induced internal jugular vein stenosis. Ann. Transl. Med. 2020, 8, 97. [Google Scholar] [CrossRef]
- Zhou, D.; Meng, R.; Li, S.J.; Ya, J.Y.; Ding, J.Y.; Shang, S.-L.; Ding, Y.-C.; Ji, X.-M. Advances in chronic cerebral circulation insufficiency. CNS Neurosci. Ther. 2018, 24, 5–17. [Google Scholar] [CrossRef]
- Liu, J.J.; Galfalvy, H.C.; Cooper, T.B.; Oquendo, M.A.; Grunebaum, M.F.; Mann, J.J.; Sublette, M.E. Omega-3 polyunsaturated fatty acid (PUFA) status in major depressive disorder with comorbid anxiety disorders. J. Clin. Psychiatry 2013, 74, 732–738. [Google Scholar] [CrossRef] [PubMed]
- Ding, J.Y.; Liu, Y.; Rajah, G.B.; Chen, Z.Y.; Zhang, S.Y.; Ding, Y.C.; Ji, X.; Meng, R. Normobaric oxygen may correct chronic cerebral ischemia-mediated EEG anomalies. CNS Neurosci. Ther. 2021, 27, 1214–1223. [Google Scholar] [CrossRef] [PubMed]
- Bai, C.; Xu, Y.; Zhou, D.; Ding, J.; Yang, Q.; Ding, Y.; Ji, X.; Meng, R. The comparative analysis of non-thrombotic internal jugular vein stenosis and cerebral venous sinus stenosis. J. Thromb. Thrombolysis 2019, 48, 61–67. [Google Scholar] [CrossRef] [PubMed]
- Song, S.Y.; Lan, D.; Jiao, B.L.; Liu, Y.H.; Ding, Y.C.; Ji, X.M.; Meng, R. The Negative Prognostic Role of Inflammatory Biomarkers in Patients with Chronic Cerebrospinal Venous Insufficiency. Neurologist, 2022; ahead of print. [Google Scholar]





| Variables | All (n = 61) |
|---|---|
| Personal data | |
| Age, mean ± SD, years | 47.95 ± 15.39 |
| Gender (M: F) | 25: 36 |
| Course of disease | |
| Subacute (within 1 month) | 4 (6.6%) |
| Chronic (more than 1 month) | 57 (93.4%) |
| Follow-up time, months ^ | 12.48 ± 7.77 |
| Type of disease | |
| CVSS | 14 (23.0%) |
| IJVS | 29 (47.5%) |
| CVSS and IJVS | 18 (29.5%) |
| Mist-like WMLs | 39(63.9%) |
| Symptoms and signs | |
| Sleep disturbances | 34 (55.7%) |
| Eye discomfort | 27 (44.3%) |
| Head noises | 27 (44.3%) |
| Tinnitus | 28 (45.9%) |
| Headache | 34 (55.7%) |
| Neck discomfort | 21 (34.4%) |
| Memory loss | 6 (9.8%) |
| Risk factors | |
| Overweight (BMI > 25) | 30(49.2%) |
| Hyperlipidemia | 17 (27.9%) |
| HBP | 15 (24.6%) |
| Abnormal thyroid function | 23 (37.7%) |
| CAD | 2 (3.3%) |
| Type 2 DM | 2 (3.3%) |
| IS history | 4 (6.6%) |
| ICH history | 2 (3.3%) |
| Treatment | |
| Antiplatelet | 30 (49.2%) |
| Anticoagulants | 31 (50.8%) |
| Stenting | 10 (16.4%) |
| Anxiety * | 44(72.1%) |
| Depression # | 46(75.4%) |
| Anxiety or depression | 46(75.4%) |
| Prognosis | |
| Good outcome | 28 (45.9%) |
| Poor outcome | 33 (55.1%) |
| Variables | Group I (n = 17) | Group II (n = 26) | Group III (n = 18) | p Value | Group i (n = 15) | Group ii (n = 46) | p Value |
|---|---|---|---|---|---|---|---|
| Personal data | |||||||
| Age, mean ± SD | 42.18 ± 17.69 | 47.08 ± 14.53 | 54.67 ± 12.18 | 0.046 | 42.27 ± 17.17 | 49.80 ± 14.49 | 0.100 |
| Gender (M: F) | 9: 8 | 10: 16 | 6: 12 | 0.470 | 8: 7 | 17: 29 | 0.263 |
| Course of disease | NA | 1.000 | |||||
| Subacute | 3 (17.6%) | 1(3.8%) | 0 (0%) | 1 (6.7%) | 3 (6.5%) | ||
| Chronic | 14 (82.4%) | 25 (96.2%) | 18 (100%) | 14 (93.3%) | 43 (93.5%) | ||
| Follow-up time ^ | 13.76 ± 8.00 | 10.81 ± 7.13 | 13.67 ± 8.60 | 0.364 | 13.33 ± 7.84 | 12.20 ± 7.90 | 0.629 |
| Type of disease | 0.201 | 0.391 | |||||
| CVSS | 5 (29.4%) | 8 (30.8%) | 1 (5.6%) | 5 (33.3%) | 9 (19.6%) | ||
| IJVS | 6 (35.3%) | 11 (42.3%) | 12 (66.7%) | 5 (33.3%) | 24 (52.2%) | ||
| CVSS and IJVS | 6 (35.3%) | 7 (26.9%) | 5 (27.8%) | 5 (33.3%) | 13 (28.3%) | ||
| Cloudy-like WMLs | 7 (41.2%) | 17 (65.4%) | 15 (83.3%) | 0.034 | 5 (33.3%) | 34 (73.9%) | 0.004 |
| Clinical symptoms | |||||||
| Sleep disturbance | 6 (35.3%) | 14 (53.8%) | 15 (83.3%) | 0.014 | 4 (26.7%) | 30 (65.2%) | 0.009 |
| Eye discomfort | 8 (47.1%) | 9 (34.6%) | 10 (55.6%) | 0.394 | 6 (40.0%) | 21 (45.7%) | 0.702 |
| Head noise | 3 (17.6%) | 13 (50%) | 10 (55.6%) | 0.046 | 2 (13.3%) | 25 (54.3%) | 0.005 |
| Tinnitus | 6 (35.3%) | 14 (53.8%) | 8 (44.4%) | 0.485 | 7 (46.7%) | 21 (45.7%) | 0.945 |
| Headache | 8 (47.1%) | 16 (61.5%) | 10 (55.6%) | 0.647 | 6 (40.0%) | 29 (63.0%) | 0.117 |
| Neck discomfort | 7 (41.2%) | 8 (30.8%) | 6 (33.3%) | 0.776 | 5 (33.3%) | 16 (34.8%) | 0.918 |
| Memory loss | 1 (5.9%) | 3 (11.5%) | 2 (11.1%) | 1.000 | 1 (6.7%) | 5 (10.9%) | 1.000 |
| Risk factors | |||||||
| Overweight | 8 (47.1%) | 12 (46.2%) | 9 (50%) | 1.000 | 7 (46.7%) | 21 (45.7%) | 0.945 |
| Hyperlipidemia | 4 (23.5%) | 3 (11.5%) | 10 (55.6%) | 0.005 | 2 (13.3%) | 15 (32.6%) | 0.196 |
| HBP | 3 (17.6%) | 6 (23.1%) | 6 (33.3%) | 0.564 | 3 (20.0%) | 12 (26.1%) | 0.634 |
| Abnormal thyroid | 6 (35.3%) | 10 (38.5%) | 7 (38.9%) | 0.971 | 5 (33.3%) | 18 (39.1%) | 0.687 |
| Treatment | |||||||
| Antiplatelet | 6 (35.3%) | 14 (53.8%) | 10 (55.6%) | 0.400 | 7 (46.7%) | 23 (50.0%) | 0.823 |
| Anticoagulant | 11 (64.7%) | 14 (53.8%) | 6 (33.3%) | 0.173 | 11 (73.3%) | 20 (43.5%) | 0.073 |
| Stenting | 4 (23.5%) | 4 (15.4%) | 2 (11.1%) | 0.682 | 4 (26.7%) | 6 (13.0%) | 0.216 |
| Score * (mean ± SD) | 3.18 ± 1.91 | 10.77 ± 1.95 | 20.61 ± 6.75 | <0.001 | 3.47 ± 2.23 | 16.11 ± 7.227 | <0.001 |
| Variable | Univariate # | p Value * | Multivariate # | p Value * |
|---|---|---|---|---|
| Depression | ||||
| Age | 1.03(0.99, 1.07) | 0.104 | - | - |
| Sleep disturbances | 0.19(0.05, 0.71) | 0.013 | 0.30(0.07, 1.23) | 0.095 |
| Head noises | 0.13(0.03, 0.64) | 0.012 | 0.24(0.04, 1.29) | 0.096 |
| White matter lesion | 0.18(0.05, 0.62) | 0.007 | 0.30(0.08,1.20) | 0.089 |
| Anxiety | ||||
| Age | 0.02(0.01, 0.07) | 0.015 | 1.02(0.98, 1.07) | 0.248 |
| Sleep disturbances | 0.31(0.10, 1.00) | 0.051 | 0.41(0.12, 1.43) | 0.162 |
| Head noises | 1.83(0.58, 5.83) | 0.305 | - | - |
| Hyperlipidemia | 0.73(0.20, 2.68) | 0.054 | - | - |
| White matter lesion | 0.26(0.08, 0.85) | 0.025 | 3.99(1.15, 13.8) | 0.029 |
| Scores (Mean ± SD) | MTT | p Value | TTP | p Value | ||
|---|---|---|---|---|---|---|
| A–D Group | Non-A–D Group | A–D Group | Non-A–D Group | |||
| Frontal lobe | 4.60 ± 1.52 | 5.50 ± 2.74 | 0.530 | 5.40 ± 1.67 | 4.00 ± 1.67 | 0.200 |
| Parietal lobe | 4.40 ± 0.89 | 4.00 ± 1.67 | 0.644 | 4.60 ± 1.67 | 4.00 ± 1.27 | 0.515 |
| Occipital lobe | 6.00 ± 2.00 | 5.50 ± 1.38 | 0.635 | 5.60 ± 1.82 | 5.33 ± 1.97 | 0.822 |
| Temporal lobe | 4.60 ± 1.52 | 3.83 ± 1.72 | 0.458 | 4.00 ± 0.71 | 3.83 ± 1.83 | 0.853 |
| Limbic lobe | 5.20 ± 0.84 | 3.33 ± 1.03 | 0.010 | 5.60 ± 1.14 | 3.67 ± 0.52 | 0.005 |
| Cerebellum | 4.00 ± 1.73 | 5.00 ± 1.67 | 0.357 | 3.60 ± 1.14 | 4.67 ± 2.34 | 0.378 |
| Basal ganglia | 3.40 ± 0.89 | 3.00 ± 1.27 | 0.568 | 3.80 ± 0.84 | 3.83 ± 0.75 | 0.946 |
| Scores (Mean ± SD) | Anxiety | Depression | ||||
|---|---|---|---|---|---|---|
| Group S | Group C | p | Group S | Group C | p | |
| At admission | 10.73 ± 10.15 | 9.50 ± 7.37 | 0.757 | 12.45 ± 10.27 | 8.40 ± 6.54 | 0.300 |
| Three months after treatment | 6.45 ± 5.65 | 9.00 ± 6.78 | 0.360 | 7.73 ± 6.47 | 7.70 ± 6.06 | 0.992 |
| Difference | 4.36 ± 4.88 | 0.50 ± 1.08 | 0.027 | 4.73 ± 4.56 | 0.70 ± 1.49 | 0.017 |
Publisher’s Note: MDPI stays neutral with regard to jurisdictional claims in published maps and institutional affiliations. |
© 2022 by the authors. Licensee MDPI, Basel, Switzerland. This article is an open access article distributed under the terms and conditions of the Creative Commons Attribution (CC BY) license (https://creativecommons.org/licenses/by/4.0/).
Share and Cite
Lan, D.; Song, S.; Jia, M.; Wang, M.; Jiao, B.; Liu, Y.; Ding, Y.; Ji, X.; Meng, R. Cerebral Venous-Associated Brain Damage May Lead to Anxiety and Depression. J. Clin. Med. 2022, 11, 6927. https://doi.org/10.3390/jcm11236927
Lan D, Song S, Jia M, Wang M, Jiao B, Liu Y, Ding Y, Ji X, Meng R. Cerebral Venous-Associated Brain Damage May Lead to Anxiety and Depression. Journal of Clinical Medicine. 2022; 11(23):6927. https://doi.org/10.3390/jcm11236927
Chicago/Turabian StyleLan, Duo, Siying Song, Milan Jia, Mengqi Wang, Baolian Jiao, Yunhuan Liu, Yuchuan Ding, Xunming Ji, and Ran Meng. 2022. "Cerebral Venous-Associated Brain Damage May Lead to Anxiety and Depression" Journal of Clinical Medicine 11, no. 23: 6927. https://doi.org/10.3390/jcm11236927
APA StyleLan, D., Song, S., Jia, M., Wang, M., Jiao, B., Liu, Y., Ding, Y., Ji, X., & Meng, R. (2022). Cerebral Venous-Associated Brain Damage May Lead to Anxiety and Depression. Journal of Clinical Medicine, 11(23), 6927. https://doi.org/10.3390/jcm11236927
