Legionella pneumophila: The Journey from the Environment to the Blood
Abstract
1. Introduction
2. Epidemiology
3. The Mechanism of LD
3.1. Virulence Factors
3.1.1. Structure of Bacterial Cells as Source of Surface Virulence Factors
3.1.2. Secreted Virulence Factors
3.2. Macrophages
3.3. Lung Epithelium
3.4. Endothelial Cells
3.5. Humoral Immune Response
4. Clinical Manifestation
5. Bacteriemia
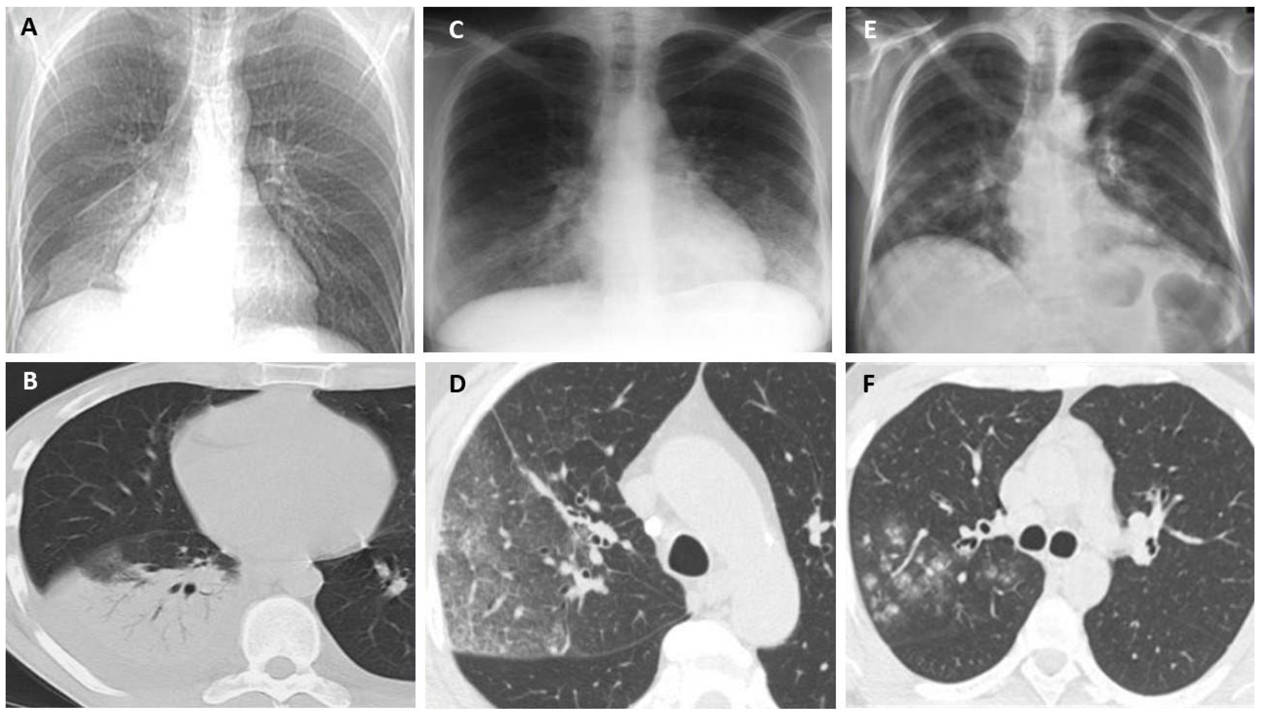
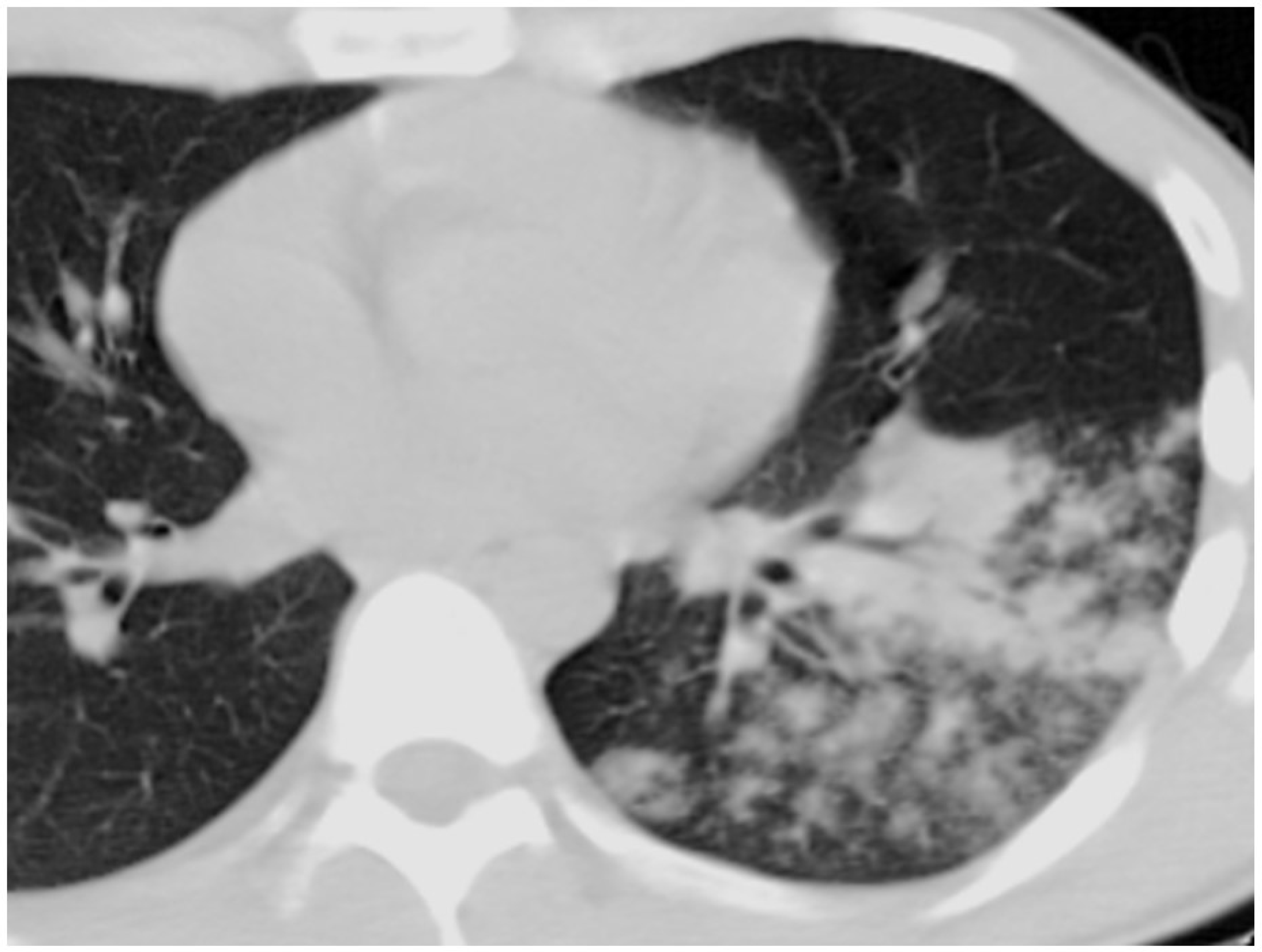
6. Diagnosis of Legionella Diseases
7. Conclusions
Author Contributions
Funding
Institutional Review Board Statement
Informed Consent Statement
Data Availability Statement
Conflicts of Interest
References
- McDade, J.E.; Shepard, C.C.; Fraser, D.W.; Tsai, T.R.; Redus, M.A.; Dowdle, W.R. Legionnaires’ Disease: Isolation of a Bacterium and Demonstration of Its Role in Other Respiratory Disease. N. Engl. J. Med. 1977, 297, 1197–1203. [Google Scholar] [CrossRef]
- Jackson, E.; Crocker, T.; Smadel, J. Studies on Two Rickettsia-like Agents Probably Isolated from Guinea Pigs. Bacteriol. Proc. 1952, 52, 119. [Google Scholar]
- Fraser, D.W.; Tsai, T.R.; Orenstein, W.; Parkin, W.E.; Beecham, H.J.; Sharrar, R.G.; Harris, J.; Mallison, G.F.; Martin, S.M.; McDade, J.E.; et al. Legionnaires’ Disease: Description of an Epidemic of Pneumonia. N. Engl. J. Med. 1977, 297, 1189–1197. [Google Scholar] [CrossRef]
- Del Piano, M.; La Palombara, P.; Nicosia, R.; Picchiotti, R. The Legionellosis. Boll. Dell’istituto Sieroter. Milan. 1984, 63, 87–99. [Google Scholar]
- Sanford, J.P. Legionnaires’ Disease—The First Thousand Days. N. Engl. J. Med. 1979, 300, 654–656. [Google Scholar] [CrossRef]
- Brady, M.F.; Sundareshan, V. Legionnaires’ Disease. In StatPearls; StatPearls Publishing: Treasure Island, FL, USA, 2022. [Google Scholar]
- Buse, H.Y.; Hoelle, J.M.; Muhlen, C.; Lytle, D. Electrophoretic Mobility of Legionella pneumophila Serogroups 1 to 14. FEMS Microbiol. Lett. 2018, 365, fny067. [Google Scholar] [CrossRef]
- Konishi, T.; Yamashiro, T.; Koide, M.; Nishizono, A. Influence of Temperature on Growth of Legionella pneumophila Biofilm Determined by Precise Temperature Gradient Incubator. J. Biosci. Bioeng. 2006, 101, 478–484. [Google Scholar] [CrossRef]
- Marin, C.; Kumova, O.K.; Ninio, S. Characterization of a Novel Regulator of Biofilm Formation in the Pathogen Legionella pneumophila. Biomolecules 2022, 12, 225. [Google Scholar] [CrossRef]
- O’Toole, G.; Kaplan, H.B.; Kolter, R. Biofilm Formation as Microbial Development. Annu. Rev. Microbiol. 2000, 54, 49–79. [Google Scholar] [CrossRef]
- Borges, V.; Nunes, A.; Sampaio, D.A.; Vieira, L.; Machado, J.; Simões, M.J.; Gonçalves, P.; Gomes, J.P. Legionella pneumophila Strain Associated with the First Evidence of Person-to-Person Transmission of Legionnaires’ Disease: A Unique Mosaic Genetic Backbone. Sci. Rep. 2016, 6, 26261. [Google Scholar] [CrossRef]
- Legionnaires’ Disease—Annual Epidemiological Report for 2019. Available online: https://www.ecdc.europa.eu/en/publications-data/legionnaires-disease-annual-epidemiological-report-2019 (accessed on 2 June 2022).
- Moosavian, M.; Moradzadeh, M.; Ghadiri, A.; Saki, M. Isolation and Identification of Legionella spp. in Environmental Water Sources Based on Macrophage Infectivity Potentiator (Mip) Gene Sequencing in Southwest Iran. AIMS Microbiol. 2019, 5, 223–231. [Google Scholar] [CrossRef]
- Cunha, B.A.; Burillo, A.; Bouza, E. Legionnaires’ Disease. Lancet 2016, 387, 376–385. [Google Scholar] [CrossRef]
- Alexandropoulou, I.G.; Konstantinidis, T.G.; Parasidis, T.A.; Nikolaidis, C.; Panopoulou, M.; Constantinidis, T.C. First Report of Legionella pneumophila in Car Cabin Air Filters. Are These a Potential Exposure Pathway for Professional Drivers? Scand. J. Infect. Dis. 2013, 45, 948–952. [Google Scholar] [CrossRef]
- Velonakis, E.N.; Kiousi, I.M.; Koutis, C.; Papadogiannakis, E.; Babatsikou, F.; Vatopoulos, A. First Isolation of Legionella Species, Including L. Pneumophila Serogroup 1, in Greek Potting Soils: Possible Importance for Public Health. Clin. Microbiol. Infect. 2010, 16, 763–766. [Google Scholar] [CrossRef]
- Oda, N.; Hirahara, T.; Fujioka, Y.; Mitani, R.; Takata, I. Legionella Pneumonia Following the Heavy Rain Event of July 2018 in Japan. Intern. Med. 2019, 58, 2831–2834. [Google Scholar] [CrossRef]
- Papadakis, A.; Chochlakis, D.; Sandalakis, V.; Keramarou, M.; Tselentis, Y.; Psaroulaki, A. Legionella spp. Risk Assessment in Recreational and Garden Areas of Hotels. Int. J. Environ. Res. Public Health 2018, 15, 598. [Google Scholar] [CrossRef]
- Kozak-Muiznieks, N.A.; Morrison, S.S.; Mercante, J.W.; Ishaq, M.K.; Johnson, T.; Caravas, J.; Lucas, C.E.; Brown, E.; Raphael, B.H.; Winchell, J.M. Comparative Genome Analysis Reveals a Complex Population Structure of Legionella pneumophila Subspecies. Infect. Genet. Evol. 2018, 59, 172–185. [Google Scholar] [CrossRef]
- Gomez-Valero, L.; Rusniok, C.; Buchrieser, C. Legionella pneumophila: Population Genetics, Phylogeny and Genomics. Infect. Genet. Evol. 2009, 9, 727–739. [Google Scholar] [CrossRef]
- Ricci, M.L.; Fillo, S.; Ciammaruconi, A.; Lista, F.; Ginevra, C.; Jarraud, S.; Girolamo, A.; Barbanti, F.; Rota, M.C.; Lindsay, D.; et al. Genome Analysis of Legionella pneumophila ST23 from Various Countries Reveals Highly Similar Strains. Life Sci. Alliance 2022, 5, e202101117. [Google Scholar] [CrossRef]
- Brenner, D.J.; Steigerwalt, A.G.; Epple, P.; Bibb, W.F.; McKinney, R.M.; Starnes, R.W.; Colville, J.M.; Selander, R.K.; Edelstein, P.H.; Moss, C.W. Legionella pneumophila Serogroup Lansing 3 Isolated from a Patient with Fatal Pneumonia, and Descriptions of L. Pneumophila subsp. Pneumophila subsp. Nov., L. Pneumophila subsp. Fraseri Subsp. Nov., and L. Pneumophila subsp. Pascullei subsp. Nov. J. Clin. Microbiol. 1988, 26, 1695–1703. [Google Scholar] [CrossRef]
- Wang, X.; Guo, Y.; Zhang, Y.; Wang, Q.; Yang, S.; Yang, H.; Wang, T.; Wang, H. Legionella pneumophila Subspecies Fraseri Infection after Allogeneic Hematopoietic Stem Cell Transplant, China. Emerg. Infect. Dis. 2022, 28, 903–905. [Google Scholar] [CrossRef]
- Chambers, S.T.; Slow, S.; Scott-Thomas, A.; Murdoch, D.R. Legionellosis Caused by Non-Legionella pneumophila Species, with a Focus on Legionella longbeachae. Microorganisms 2021, 9, 291. [Google Scholar] [CrossRef]
- Mouchtouri, V.A.; Rudge, J.W. Legionnaires’ Disease in Hotels and Passenger Ships: A Systematic Review of Evidence, Sources, and Contributing Factors. J. Travel Med. 2015, 22, 325–337. [Google Scholar] [CrossRef]
- Greenberg, D.; Chiou, C.C.; Famigilleti, R.; Lee, T.C.; Yu, V.L. Problem Pathogens: Paediatric Legionellosis—Implications for Improved Diagnosis. Lancet Infect. Dis. 2006, 6, 529–535. [Google Scholar] [CrossRef]
- Alexandropoulou, I.; Parasidis, T.; Konstantinidis, T.; Panopoulou, M.; Constantinidis, T.C. A Proactive Environmental Approach for Preventing Legionellosis in Infants: Water Sampling and Antibiotic Resistance Monitoring, a 3-Years Survey Program. Healthcare 2019, 7, 39. [Google Scholar] [CrossRef]
- Perez Ortiz, A.; Hahn, C.; Schaible, T.; Rafat, N.; Lange, B. Severe Pneumonia in Neonates Associated with Legionella pneumophila: Case Report and Review of the Literature. Pathogens 2021, 10, 1031. [Google Scholar] [CrossRef]
- Principe, L.; Tomao, P.; Visca, P. Legionellosis in the Occupational Setting. Environ. Res. 2017, 152, 485–495. [Google Scholar] [CrossRef]
- Sakamoto, R.; Ohno, A.; Nakahara, T.; Satomura, K.; Iwanaga, S.; Kouyama, Y.; Kura, F.; Noami, M.; Kusaka, K.; Funato, T.; et al. Is Driving a Car a Risk for Legionnaires’ Disease? Epidemiol. Infect. 2009, 137, 1615–1622. [Google Scholar] [CrossRef]
- Polat, Y.; Ergin, C.; Kaleli, I.; Pinar, A. Investigation of Legionella pneumophila seropositivity in the professional long distance drivers as a risky occupation. Mikrobiyol. Bul. 2007, 41, 211–217. [Google Scholar]
- Graham, F.F.; Hales, S.; White, P.S.; Baker, M.G. Review Global Seroprevalence of Legionellosis—A Systematic Review and Meta-Analysis. Sci. Rep. 2020, 10, 7337. [Google Scholar] [CrossRef]
- Szymanska, J. Risk of Exposure to Legionella in Dental Practice. Ann. Agric. Environ. Med. 2004, 11, 9–12. [Google Scholar]
- Rudbeck, M.; Viskum, S.; Mølbak, K.; Uldum, S.A. Legionella Antibodies in a Danish Hospital Staff with Known Occupational Exposure. J. Environ. Public Health 2009, 2009, 812829. [Google Scholar] [CrossRef]
- Sawano, T.; Tsubokura, M.; Ozaki, A.; Leppold, C.; Kato, S.; Kambe, T. Legionnaires’ Disease as an Occupational Risk Related to Decontamination Work after the Fukushima Nuclear Disaster: A Case Report. J. Occup. Health 2018, 60, 271–274. [Google Scholar] [CrossRef]
- Zhu, N.; Zhang, D.; Wang, W.; Li, X.; Yang, B.; Song, J.; Zhao, X.; Huang, B.; Shi, W.; Lu, R.; et al. A Novel Coronavirus from Patients with Pneumonia in China. N. Engl. J. Med. 2020, 382, 727–733. [Google Scholar] [CrossRef]
- Gkirtsou, C.; Konstantinidis, T.; Cassimos, D.; Konstantinidou, E.I.; Kontekaki, E.G.; Rekari, V.; Bezirtzoglou, E.; Martinis, G.; Stergiannis, P. For Thrace Study Group On Blood Donors’ Attitude During The Covid-Pandemic, null Views and Attitudes of Blood Donors toward Blood Donation during the COVID-19 Pandemic in Thrace Region, Greece. Int. J. Environ. Res. Public Health 2022, 19, 4963. [Google Scholar] [CrossRef]
- Porteny, T.; Gonzales, K.M.; Aufort, K.E.; Levine, S.; Wong, J.B.; Isakova, T.; Rifkin, D.E.; Gordon, E.J.; Rossi, A.; Di Perna, G.; et al. Treatment Decision Making for Older Kidney Patients during COVID-19. Clin. J. Am. Soc. Nephrol. 2022, 17, 957–965. [Google Scholar] [CrossRef]
- Sanchez, A.; Elliott, E.I.; Wang, P.; Spichler-Moffarah, A. Legionella pneumophila and Staphylococcus Aureus Co-Infections in a Patient with SARS-CoV-2. BMJ Case Rep. 2022, 15, e248536. [Google Scholar] [CrossRef]
- Shimizu, M.; Chihara, Y.; Satake, S.; Yone, A.; Makio, M.; Kitou, H.; Takeda, T. Co-Infection with Legionella and SARS-CoV-2: A Case Report. JA Clin. Rep. 2021, 7, 62. [Google Scholar] [CrossRef]
- Fischer, F.B.; Mäusezahl, D.; Wymann, M.N. Temporal Trends in Legionellosis National Notification Data and the Effect of COVID-19, Switzerland, 2000–2020. Int. J. Hyg. Environ. Health 2022, 113970. [Google Scholar] [CrossRef]
- Tang, H.-J.; Lai, C.-C.; Chao, C.-M. The Collateral Effect of COVID-19 on the Epidemiology of Airborne/Droplet-Transmitted Notifiable Infectious Diseases in Taiwan. Antibiotics 2022, 11, 478. [Google Scholar] [CrossRef]
- Chao, C.-M.; Lai, C.-C. Increasing Legionella in Taiwan during COVID-19 Pandemic. Am. J. Infect. Control 2022, 50, 237–238. [Google Scholar] [CrossRef] [PubMed]
- Kellermann, M.; Scharte, F.; Hensel, M. Manipulation of Host Cell Organelles by Intracellular Pathogens. Int. J. Mol. Sci. 2021, 22, 6484. [Google Scholar] [CrossRef] [PubMed]
- Kwon, D.H.; Kim, S.; Jung, Y.O.; Roh, K.-H.; Kim, L.; Kim, B.-W.; Hong, S.B.; Lee, I.Y.; Song, J.H.; Lee, W.C.; et al. The 1:2 Complex between RavZ and LC3 Reveals a Mechanism for Deconjugation of LC3 on the Phagophore Membrane. Autophagy 2017, 13, 70–81. [Google Scholar] [CrossRef] [PubMed]
- Lammertyn, E.; Anné, J. Protein Secretion in Legionella pneumophila and Its Relation to Virulence. FEMS Microbiol. Lett. 2004, 238, 273–279. [Google Scholar] [CrossRef]
- Belyi, Y. Targeting Eukaryotic MRNA Translation by Legionella pneumophila. Front. Mol. Biosci. 2020, 7, 80. [Google Scholar] [CrossRef]
- Gomez-Valero, L.; Rusniok, C.; Jarraud, S.; Vacherie, B.; Rouy, Z.; Barbe, V.; Medigue, C.; Etienne, J.; Buchrieser, C. Extensive Recombination Events and Horizontal Gene Transfer Shaped the Legionella pneumophila Genomes. BMC Genom. 2011, 12, 536. [Google Scholar] [CrossRef]
- Herkt, C.E.; Caffrey, B.E.; Surmann, K.; Blankenburg, S.; Gesell Salazar, M.; Jung, A.L.; Herbel, S.M.; Hoffmann, K.; Schulte, L.N.; Chen, W.; et al. A MicroRNA Network Controls Legionella pneumophila Replication in Human Macrophages via LGALS8 and MX1. mBio 2020, 11, e03155-19. [Google Scholar] [CrossRef]
- Jeng, E.E.; Bhadkamkar, V.; Ibe, N.U.; Gause, H.; Jiang, L.; Chan, J.; Jian, R.; Jimenez-Morales, D.; Stevenson, E.; Krogan, N.J.; et al. Systematic Identification of Host Cell Regulators of Legionella pneumophila Pathogenesis Using a Genome-Wide CRISPR Screen. Cell Host Microbe 2019, 26, 551–563.e6. [Google Scholar] [CrossRef]
- Leiva-Juárez, M.M.; Kolls, J.K.; Evans, S.E. Lung Epithelial Cells: Therapeutically Inducible Effectors of Antimicrobial Defense. Mucosal. Immunol. 2018, 11, 21–34. [Google Scholar] [CrossRef]
- Kowalczyk, B.; Chmiel, E.; Palusinska-Szysz, M. The Role of Lipids in Legionella-Host Interaction. Int. J. Mol. Sci. 2021, 22, 1487. [Google Scholar] [CrossRef]
- Shevchuk, O.; Jäger, J.; Steinert, M. Virulence Properties of the Legionella pneumophila Cell Envelope. Front. Microbiol. 2011, 2, 74. [Google Scholar] [CrossRef] [PubMed]
- Hindahl, M.S.; Iglewski, B.H. Isolation and Characterization of the Legionella pneumophila Outer Membrane. J. Bacteriol. 1984, 159, 107–113. [Google Scholar] [CrossRef] [PubMed]
- Petermann, N.; Hansen, G.; Schmidt, C.L.; Hilgenfeld, R. Structure of the GTPase and GDI Domains of FeoB, the Ferrous Iron Transporter of Legionella pneumophila. FEBS Lett. 2010, 584, 733–738. [Google Scholar] [CrossRef] [PubMed]
- de Duve, C.; Wattiaux, R. Functions of Lysosomes. Annu. Rev. Physiol. 1966, 28, 435–492. [Google Scholar] [CrossRef] [PubMed]
- Gholipour, A.; Moosavian, M.; Galehdari, H.; Makvandi, M.; Memari, H.R.; Alvandi, A. Cloning and Periplasmic Expression of Peptidoglycan-Associated Lipoprotein (PAL) Protein of Legionella pneumophila in Escherichia Coli. Jundishapur. J. Microbiol. 2010, 3, 1–9. [Google Scholar]
- Kuhle, K.; Flieger, A. Legionella Phospholipases Implicated in Virulence. Curr. Top. Microbiol. Immunol. 2013, 376, 175–209. [Google Scholar] [CrossRef]
- Yang, Z.; Chen, Y.; Zhang, Q.; Chen, X.; Deng, Z. Major Outer Membrane Protein from Legionella pneumophila Inhibits Phagocytosis but Enhances Chemotaxis of RAW 264.7 Macrophages by Regulating the FOXO1/Coronin-1 Axis. J. Immunol. Res. 2021, 2021, 9409777. [Google Scholar] [CrossRef]
- Palusinska-Szysz, M.; Luchowski, R.; Gruszecki, W.I.; Choma, A.; Szuster-Ciesielska, A.; Lück, C.; Petzold, M.; Sroka-Bartnicka, A.; Kowalczyk, B. The Role of Legionella pneumophila Serogroup 1 Lipopolysaccharide in Host-Pathogen Interaction. Front. Microbiol. 2019, 10, 2890. [Google Scholar] [CrossRef]
- Shen, Y.; Xu, J.; Zhi, S.; Wu, W.; Chen, Y.; Zhang, Q.; Zhou, Y.; Deng, Z.; Li, W. MIP From Legionella pneumophila Influences the Phagocytosis and Chemotaxis of RAW264.7 Macrophages by Regulating the LncRNA GAS5/MiR-21/SOCS6 Axis. Front. Cell. Infect. Microbiol. 2022, 12, 810865. [Google Scholar] [CrossRef]
- Hoppe, J.; Ünal, C.M.; Thiem, S.; Grimpe, L.; Goldmann, T.; Gaßler, N.; Richter, M.; Shevchuk, O.; Steinert, M. PilY1 Promotes Legionella pneumophila Infection of Human Lung Tissue Explants and Contributes to Bacterial Adhesion, Host Cell Invasion, and Twitching Motility. Front. Cell. Infect. Microbiol. 2017, 7, 63. [Google Scholar] [CrossRef]
- Garduño, R.A.; Garduño, E.; Hoffman, P.S. Surface-Associated Hsp60 Chaperonin of Legionella pneumophila Mediates Invasion in a HeLa Cell Model. Infect. Immun. 1998, 66, 4602–4610. [Google Scholar] [CrossRef] [PubMed]
- Qin, T.; Zhou, H.; Ren, H.; Liu, W. Distribution of Secretion Systems in the Genus Legionella and Its Correlation with Pathogenicity. Front. Microbiol. 2017, 8, 388. [Google Scholar] [CrossRef] [PubMed][Green Version]
- Tyson, J.Y.; Vargas, P.; Cianciotto, N.P. The Novel Legionella pneumophila Type II Secretion Substrate NttC Contributes to Infection of Amoebae Hartmannella Vermiformis and Willaertia Magna. Microbiology 2014, 160, 2732–2744. [Google Scholar] [CrossRef]
- Nakano, N.; Kubori, T.; Kinoshita, M.; Imada, K.; Nagai, H. Crystal Structure of Legionella DotD: Insights into the Relationship between Type IVB and Type II/III Secretion Systems. PLoS Pathog. 2010, 6, e1001129. [Google Scholar] [CrossRef] [PubMed]
- Lockwood, D.C.; Amin, H.; Costa, T.R.D.; Schroeder, G.N. The Legionella pneumophila Dot/Icm Type IV Secretion System and Its Effectors. Microbiology 2022, 168, 001187. [Google Scholar] [CrossRef] [PubMed]
- High, A.S.; Torosian, S.D.; Rodgers, F.G. Cloning, Nucleotide Sequence and Expression in Escherichia Coli of a Gene (OmpM) Encoding a 25 KDa Major Outer-Membrane Protein (MOMP) of Legionella pneumophila. J. Gen. Microbiol. 1993, 139, 1715–1721. [Google Scholar] [CrossRef] [PubMed][Green Version]
- Nintasen, R.; Utrarachkij, F.; Siripanichgon, K.; Bhumiratana, A.; Suzuki, Y.; Suthienkul, O. Enhancement of Legionella pneumophila Culture Isolation from Microenvironments by Macrophage Infectivity Potentiator (Mip) Gene-Specific Nested Polymerase Chain Reaction. Microbiol. Immunol. 2007, 51, 777–785. [Google Scholar] [CrossRef]
- Pascale, M.R.; Salaris, S.; Mazzotta, M.; Girolamini, L.; Fregni Serpini, G.; Manni, L.; Grottola, A.; Cristino, S. New Insight Regarding Legionella Non-Pneumophila Species Identification: Comparison between the Traditional Mip Gene Classification Scheme and a Newly Proposed Scheme Targeting the RpoB Gene. Microbiol. Spectr. 2021, 9, e0116121. [Google Scholar] [CrossRef]
- He, J.; Huang, F.; Chen, H.; Chen, Q.; Zhang, J.; Li, J.; Chen, D.; Chen, J. Recombinant Mip-PilE-FlaA Dominant Epitopes Vaccine Candidate against Legionella pneumophila. Immunol. Lett. 2017, 186, 33–40. [Google Scholar] [CrossRef]
- Papian, S.; Mohabati Mobarez, A.; Khoramabadi, N.; Mehdi Abdol, M.; Talebi Bezmin Abadi, A. Investigating the Role of L. Pnuemophila LPS Derivatives in Formation of Specific Cell-Mediated Immune Responses against the Pathogen. Microb. Pathog. 2020, 147, 104396. [Google Scholar] [CrossRef]
- Rodgers, F.G.; Greaves, P.W.; Macrae, A.D.; Lewis, M.J. Electron Microscopic Evidence of Flagella and Pili on Legionella pneumophila. J. Clin. Pathol. 1980, 33, 1184–1188. [Google Scholar] [CrossRef] [PubMed]
- Molofsky, A.B.; Shetron-Rama, L.M.; Swanson, M.S. Components of the Legionella pneumophila Flagellar Regulon Contribute to Multiple Virulence Traits, Including Lysosome Avoidance and Macrophage Death. Infect. Immun. 2005, 73, 5720–5734. [Google Scholar] [CrossRef]
- Gomez-Valero, L.; Rusniok, C.; Carson, D.; Mondino, S.; Pérez-Cobas, A.E.; Rolando, M.; Pasricha, S.; Reuter, S.; Demirtas, J.; Crumbach, J.; et al. More than 18,000 Effectors in the Legionella Genus Genome Provide Multiple, Independent Combinations for Replication in Human Cells. Proc. Natl. Acad. Sci. USA 2019, 116, 2265–2273. [Google Scholar] [CrossRef]
- Lorquin, F.; Piccerelle, P.; Orneto, C.; Robin, M.; Lorquin, J. New Insights and Advances on Pyomelanin Production: From Microbial Synthesis to Applications. J. Ind. Microbiol. Biotechnol. 2022, 49, kuac013. [Google Scholar] [CrossRef]
- Levin, T.C.; Goldspiel, B.P.; Malik, H.S. Density-Dependent Resistance Protects Legionella pneumophila from Its Own Antimicrobial Metabolite, HGA. Elife 2019, 8, e46086. [Google Scholar] [CrossRef] [PubMed]
- Spitz, O.; Erenburg, I.N.; Beer, T.; Kanonenberg, K.; Holland, I.B.; Schmitt, L. Type I Secretion Systems-One Mechanism for All? Microbiol. Spectr. 2019, 7, 81–102. [Google Scholar] [CrossRef] [PubMed]
- Cianciotto, N.P. Type II Secretion and Legionella Virulence. Curr. Top. Microbiol. Immunol. 2013, 376, 81–102. [Google Scholar] [CrossRef]
- Ge, Z.; Yuan, P.; Chen, L.; Chen, J.; Shen, D.; She, Z.; Lu, Y. New Global Insights on the Regulation of the Biphasic Life Cycle and Virulence Via ClpP-Dependent Proteolysis in Legionella pneumophila. Mol. Cell. Proteom. 2022, 21, 100233. [Google Scholar] [CrossRef]
- Cheng, E.; Dorjsuren, D.; Lehman, S.; Larson, C.L.; Titus, S.A.; Sun, H.; Zakharov, A.; Rai, G.; Heinzen, R.A.; Simeonov, A.; et al. A Comprehensive Phenotypic Screening Strategy to Identify Modulators of Cargo Translocation by the Bacterial Type IVB Secretion System. mBio 2022, 13, e0024022. [Google Scholar] [CrossRef]
- Fuse, E.T.; Tateda, K.; Kikuchi, Y.; Matsumoto, T.; Gondaira, F.; Azuma, A.; Kudoh, S.; Standiford, T.J.; Yamaguchi, K. 2007 Role of Toll-like Receptor 2 in Recognition of Legionella pneumophila in a Murine Pneumonia Model. J. Med. Microbiol. 2007, 56, 305–312. [Google Scholar] [CrossRef]
- Grigoryeva, L.S.; Cianciotto, N.P. Human Macrophages Utilize a Wide Range of Pathogen Recognition Receptors to Recognize Legionella pneumophila, Including Toll-Like Receptor 4 Engaging Legionella Lipopolysaccharide and the Toll-like Receptor 3 Nucleic-Acid Sensor. PLoS Pathog. 2021, 17, e1009781. [Google Scholar] [CrossRef] [PubMed]
- Chauhan, D.; Shames, S.R. Pathogenicity and Virulence of Legionella: Intracellular Replication and Host Response. Virulence 2021, 12, 1122–1144. [Google Scholar] [CrossRef]
- Choy, A.; Dancourt, J.; Mugo, B.; O’Connor, T.; Isberg, R.; Melia, T.; Roy, C. The Legionella Effector RavZ Inhibits Host Autophagy through Irreversible Atg8 Deconjugation. Science 2012, 338, 1072–1076. [Google Scholar] [CrossRef] [PubMed]
- Wagner, C.; Khan, A.S.; Kamphausen, T.; Schmausser, B.; Unal, C.; Lorenz, U.; Fischer, G.; Hacker, J.; Steinert, M. Collagen Binding Protein Mip Enables Legionella pneumophila to Transmigrate through a Barrier of NCI-H292 Lung Epithelial Cells and Extracellular Matrix. Cell. Microbiol. 2007, 9, 450–462. [Google Scholar] [CrossRef] [PubMed]
- Chiaraviglio, L.; Brown, D.A.; Kirby, J.E. Infection of Cultured Human Endothelial Cells by Legionella pneumophila. PLoS ONE 2008, 3, e2012. [Google Scholar] [CrossRef]
- Banchereau, J.; Briere, F.; Caux, C.; Davoust, J.; Lebecque, S.; Liu, Y.J.; Pulendran, B.; Palucka, K. Immunobiology of Dendritic Cells. Annu. Rev. Immunol. 2000, 18, 767–811. [Google Scholar] [CrossRef]
- Kikuchi, T.; Kobayashi, T.; Gomi, K.; Suzuki, T.; Tokue, Y.; Watanabe, A.; Nukiwa, T. Dendritic Cells Pulsed with Live and Dead Legionella pneumophila Elicit Distinct Immune Responses. J. Immunol. 2004, 172, 1727–1734. [Google Scholar] [CrossRef]
- Rogers, J.; Hakki, A.; Perkins, I.; Newton, C.; Widen, R.; Burdash, N.; Klein, T.; Friedman, H. Legionella pneumophila Infection Up-Regulates Dendritic Cell Toll-Like Receptor 2 (TLR2)/TLR4 Expression and Key Maturation Markers. Infect. Immun. 2007, 75, 3205–3208. [Google Scholar] [CrossRef]
- Mellman, I.; Steinman, R.M. Dendritic Cells: Specialized and Regulated Antigen Processing Machines. Cell 2001, 106, 255–258. [Google Scholar] [CrossRef]
- Friedman, H.; Yamamoto, Y.; Klein, T.W. Legionella pneumophila Pathogenesis and Immunity. Semin. Pediatr. Infect. Dis. 2002, 13, 273–279. [Google Scholar] [CrossRef]
- Neild, A.L.; Roy, C.R. Legionella Reveal Dendritic Cell Functions That Facilitate Selection of Antigens for MHC Class II Presentation. Immunity 2003, 18, 813–823. [Google Scholar] [CrossRef]
- Guillemot, J.; Ginevra, C.; Allam, C.; Kay, E.; Gilbert, C.; Doublet, P.; Jarraud, S.; Chapalain, A. TNF-α Response in Macrophages Depends on Clinical Legionella pneumophila Isolates Genotypes. Virulence 2022, 13, 160–173. [Google Scholar] [CrossRef] [PubMed]
- Hamilton, K.A.; Prussin, A.J.; Ahmed, W.; Haas, C.N. Outbreaks of Legionnaires’ Disease and Pontiac Fever 2006–2017. Curr. Environ. Health Rep. 2018, 5, 263–271. [Google Scholar] [CrossRef] [PubMed]
- Orsini, J.; Frawley, B.J.; Gawlak, H.; Gooch, R.; Escovar, J. Severe Sepsis With Septic Shock as a Consequence of a Severe Community-Acquired Pneumonia Resulting From a Combined Legionella pneumophila and Streptococcus Pneumoniae Infection. Cureus 2020, 12, e10966. [Google Scholar] [CrossRef]
- Nagase, T.; Wada, S.; Yokozawa, T.; Fujita, A.; Oda, T. Bacteremia Caused by Both Legionella pneumophila Serogroup 2 and Helicobacter Cinaedi. JMA J. 2021, 4, 297–301. [Google Scholar] [CrossRef] [PubMed]
- Elikowski, W.; Małek-Elikowska, M.; Ganowicz-Kaatz, T.; Fertała, N.; Zawodna, M.; Pyda, M. Asymptomatic Cardiac and Gallbladder Involvement at Initial Presentation of Legionnaires’ Disease. Pol. Merkur. Lekarski. 2020, 48, 60–64. [Google Scholar]
- Carter, C.J.; Corley, E.M.; Canepa, H.; Schmalzle, S.A. Legionnaires’ Disease Presenting with Exanthem; Case and Review of Previously Published Cases. IDCases 2022, 27, e01376. [Google Scholar] [CrossRef]
- Kaufmann, A.F.; McDade, J.E.; Patton, C.M.; Bennett, J.V.; Skaliy, P.; Feeley, J.C.; Anderson, D.C.; Potter, M.E.; Newhouse, V.F.; Gregg, M.B.; et al. Pontiac Fever: Isolation of the Etiologic Agent (Legionella Pneumophilia) and Demonstration of Its Mode of Transmission. Am. J. Epidemiol. 1981, 114, 337–347. [Google Scholar] [CrossRef]
- Glick, T.H.; Gregg, M.B.; Berman, B.; Mallison, G.; Rhodes, W.W.; Kassanoff, I. Pontiac Fever. An Epidemic of Unknown Etiology in a Health Department: I. Clinical and Epidemiologic Aspects. Am. J. Epidemiol. 1978, 107, 149–160. [Google Scholar] [CrossRef]
- Edelstein, P.H.; Roy, C.R. 234—Legionnaires’ Disease and Pontiac Fever. In Mandell, Douglas, and Bennett’s Principles and Practice of Infectious Diseases, 8th ed.; Bennett, J.E., Dolin, R., Blaser, M.J., Eds.; W.B. Saunders: Philadelphia, PA, USA, 2015; pp. 2633–2644.e6. ISBN 978-1-4557-4801-3. [Google Scholar]
- Zarogoulidis, P.; Alexandropoulou, I.; Romanidou, G.; Konstasntinidis, T.G.; Terzi, E.; Saridou, S.; Stefanis, A.; Zarogoulidis, K.; Constantinidis, T.C. Community-Acquired Pneumonia Due to Legionella pneumophila, the Utility of PCR, and a Review of the Antibiotics Used. Int. J. Gen. Med. 2011, 4, 15–19. [Google Scholar] [CrossRef]
- Patel, H.; Shelley, P.; Hatoum, H. Hypertriglyceridemia and Massive Rhabdomyolysis in a Patient with Disseminated Legionella. Respir. Med. Case Rep. 2021, 32, 101321. [Google Scholar] [CrossRef] [PubMed]
- Gómez, J.; Cuesta, F.; Zamorano, C.; García Lax, F. Pleural empyema in Legionella pneumophila nosocomial pneumonia in a patient with systemic lupus erythematosus. Med. Clin. 1992, 99, 358–359. [Google Scholar]
- Guy, S.D.; Worth, L.J.; Thursky, K.A.; Francis, P.A.; Slavin, M.A. Legionella pneumophila Lung Abscess Associated with Immune Suppression. Intern. Med. J. 2011, 41, 715–721. [Google Scholar] [CrossRef] [PubMed]
- Dalal, N.; Athwal, P.S.S.; Tharu, B.; Shah, P.; Shah, L. Legionnaires Disease Presenting as Diarrhea: A Case Report. Cureus 2020, 12, e10593. [Google Scholar] [CrossRef] [PubMed]
- Legionnaires’ Disease Deaths Confirmed in Europe. 2020. Available online: https://www.statista.com/statistics/632262/deaths-caused-by-legionnaires-disease-confirmed-europe/ (accessed on 11 September 2022).
- Chidiac, C.; Che, D.; Pires-Cronenberger, S.; Jarraud, S.; Campèse, C.; Bissery, A.; Weinbreck, P.; Brun-Buisson, C.; Sollet, J.-P.; Ecochard, R.; et al. Factors Associated with Hospital Mortality in Community-Acquired Legionellosis in France. Eur. Respir. J. 2012, 39, 963–970. [Google Scholar] [CrossRef]
- Moretti, M.; Allard, S.D.; Dauby, N.; De Geyter, D.; Mahadeb, B.; Miendje, V.Y.; Balti, E.V.; Clevenbergh, P. Clinical Features of Legionnaires’ Disease at Three Belgian University Hospitals, a Retrospective Study. Acta Clin. Belg. 2021, 77, 753–759. [Google Scholar] [CrossRef]
- Morimoto, Y.; Ishiguro, T.; Uozumi, R.; Takano, K.; Kobayashi, Y.; Kobayashi, Y.; Shimizu, Y.; Takayanagi, N. Significance of Hypophosphatemia in Patients with Pneumonia. Intern. Med. 2022, 61, 979–988. [Google Scholar] [CrossRef]
- Mercante, J.W.; Winchell, J.M. Current and Emerging Legionella Diagnostics for Laboratory and Outbreak Investigations. Clin. Microbiol. Rev. 2015, 28, 95–133. [Google Scholar] [CrossRef]
- Reller, L.B.; Weinstein, M.P.; Murdoch, D.R. Diagnosis of Legionella Infection. Clin. Infect. Dis. 2003, 36, 64–69. [Google Scholar] [CrossRef]
- Beekman, R.R.A.L.; Duijkers, R.R.; Snijders, D.D.; van der Eerden, M.M.; Kross, M.M.; Boersma, W.W.G. Validating a Clinical Prediction Score for Legionella-Related Community Acquired Pneumonia. BMC Infect. Dis. 2022, 22, 442. [Google Scholar] [CrossRef]
- Lai, C.-C.; Tan, C.-K.; Chou, C.-H.; Hsu, H.-L.; Huang, Y.-T.; Liao, C.-H.; Hsueh, P.-R. Hospital-Acquired Pneumonia and Bacteremia Caused by Legionella pneumophila in an Immunocompromised Patient. Infection 2010, 38, 135–137. [Google Scholar] [CrossRef] [PubMed]
- Chowdhury, A.; Khan, S.A.; Haugh, S. Diffuse Alveolar Hemorrhage Due to Legionella pneumophila Serogroup. J. Community Hosp. Intern. Med. Perspect. 2020, 10, 262–264. [Google Scholar] [CrossRef] [PubMed]
- Brusch, J.L. Legionnaire’s Disease: Cardiac Manifestations. Infect. Dis. Clin. N. Am. 2017, 31, 69–80. [Google Scholar] [CrossRef]
- Spighi, L.; Coiro, S.; Morroni, S.; Benedetti, M.; Savino, K.; Ambrosio, G.; Cavallini, C. Acute Myocarditis Associated with Legionella Infection: Usefulness of Layer-Specific Two-Dimensional Longitudinal Speckle-Tracking Analysis. J. Cardiovasc. Echogr. 2021, 31, 98–101. [Google Scholar] [CrossRef]
- Nishino, T. Clinically Mild Encephalitis/Encephalopathy with a Reversible Splenial Lesion Due to Legionella Pneumonia. Intern. Med. 2018, 57, 2911–2912. [Google Scholar] [CrossRef]
- Diallo, K.; Rivière, M.; Gutierrez, B.; Andry, F.; Bertolotti, A.; Zemali, N.; Saint-Pastou Terrier, C.; Manaquin, R.; Koumar, Y.; Poubeau, P. Cerebellar Syndrome Associated with Legionellosis: A Case Report and Literature Review. Rev. Med. Interne 2022, 43, 440–443. [Google Scholar] [CrossRef] [PubMed]
- Hibino, M.; Hibi, M.; Akazawa, K.; Hikino, K.; Oe, M. A case of Legionnaires’ pneumonia accompanied by clinically mild encephalitis/encephalopathy with a reversible splenial lesion (MERS) with transient altered mental status and cerebellar symptoms, which responded to treatment by antibiotics and corticosteroid. Nihon Kokyuki Gakkai Zasshi 2011, 49, 651–657. [Google Scholar]
- Riggs, S.A.; Wray, N.P.; Waddell, C.C.; Rossen, R.D.; Gyorkey, F. Thrombotic Thrombocytopenic Purpura Complicating Legionnaires’ Disease. Arch. Intern. Med. 1982, 142, 2275–2280. [Google Scholar] [CrossRef]
- Javed, A.; Alvi, M.J.; Sahra, S.; DeChavez, V. Immune Thrombocytopenic Purpura and Legionella Infection: A Case Report Highlighting the Association. IDCases 2022, 27, e01439. [Google Scholar] [CrossRef]
- Wong, A.Y.W.; Johnsson, A.T.A.; Iversen, A.; Athlin, S.; Özenci, V. Evaluation of Four Lateral Flow Assays for the Detection of Legionella Urinary Antigen. Microorganisms 2021, 9, 493. [Google Scholar] [CrossRef] [PubMed]
- Pierre, D.M.; Baron, J.; Yu, V.L.; Stout, J.E. Diagnostic Testing for Legionnaires’ Disease. Ann. Clin. Microbiol. Antimicrob. 2017, 16, 59. [Google Scholar] [CrossRef] [PubMed]
- Centers for Disease Control and Prevention (CDC) Legionellosis—United States, 2000–2009. MMWR Morb. Mortal. Wkly. Rep. 2011, 60, 1083–1086.
- Ito, A.; Yamamoto, Y.; Ishii, Y.; Okazaki, A.; Ishiura, Y.; Kawagishi, Y.; Takiguchi, Y.; Kishi, K.; Taguchi, Y.; Shinzato, T.; et al. Evaluation of a Novel Urinary Antigen Test Kit for Diagnosing Legionella Pneumonia. Int. J. Infect. Dis. 2021, 103, 42–47. [Google Scholar] [CrossRef]
- Nakamura, A.; Fukuda, S.; Kusuki, M.; Watari, H.; Shimura, S.; Kimura, K.; Nishi, I.; Komatsu, M.; Study of Bacterial Resistance in the Kinki region of japan (SBRK) group. Evaluation of Five Legionella Urinary Antigen Detection Kits Including New Ribotest Legionella for Simultaneous Detection of Ribosomal Protein L7/L12. J. Infect. Chemother. 2021, 27, 1533–1535. [Google Scholar] [CrossRef] [PubMed]
- Jarraud, S.; Descours, G.; Ginevra, C.; Lina, G.; Etienne, J. Identification of Legionella in Clinical Samples. Methods Mol. Biol. 2013, 954, 27–56. [Google Scholar] [CrossRef] [PubMed]
- Hurst, G.B.; Doktycz, M.J.; Vass, A.A.; Buchanan, M.V. Detection of Bacterial DNA Polymerase Chain Reaction Products by Matrix-Assisted Laser Desorption/Ionization Mass Spectrometry. Rapid Commun. Mass. Spectrom. 1996, 10, 377–382. [Google Scholar] [CrossRef]
- Moliner, C.; Ginevra, C.; Jarraud, S.; Flaudrops, C.; Bedotto, M.; Couderc, C.; Etienne, J.; Fournier, P.-E. Rapid Identification of Legionella Species by Mass Spectrometry. J. Med. Microbiol. 2010, 59, 273–284. [Google Scholar] [CrossRef]
- He, Y.; Chang, T.C.; Li, H.; Shi, G.; Tang, Y.-W. Matrix-Assisted Laser Desorption Ionization Time-of-Flight Mass Spectrometry and Database for Identification of Legionella Species. Can. J. Microbiol. 2011, 57, 533–538. [Google Scholar] [CrossRef]
- Edouard, S.; Million, M.; Casalta, J.-P.; Collart, F.; Amphoux, B.; Raoult, D. Low Antibodies Titer and Serological Cross-Reaction between Coxiella Burnetii and Legionella pneumophila Challenge the Diagnosis of Mediastinitis, an Emerging Q Fever Clinical Entity. Infection 2017, 45, 911–915. [Google Scholar] [CrossRef]
- Pancer, K. Cross-Reactions in IgM ELISA Tests to Legionella pneumophila Sg1 and Bordetella Pertussis among Children Suspected of Legionellosis; Potential Impact of Vaccination against Pertussis? Cent.-Eur. J. Immunol. 2015, 40, 180–187. [Google Scholar] [CrossRef]
- Sun, H.; Ma, H.; Liu, L.; Cao, X.; Yang, Z. A New ELISA Method for Serological Diagnosis of Legionella pneumophila: Use of Five Purified Proteins, FLA, MOMP, MIP, IP, and PILE, as Diagnostic Antigen. Clin. Lab. 2015, 61, 275–282. [Google Scholar] [CrossRef] [PubMed]
- Borella, P.; Bargellini, A.; Marchesi, I.; Rovesti, S.; Stancanelli, G.; Scaltriti, S.; Moro, M.; Montagna, M.T.; Tatò, D.; Napoli, C.; et al. Prevalence of Anti-Legionella Antibodies among Italian Hospital Workers. J. Hosp. Infect. 2008, 69, 148–155. [Google Scholar] [CrossRef] [PubMed]
- Yue, R.; Wu, X.; Li, T.; Chang, L.; Huang, X.; Pan, L. Early Detection of Legionella pneumophila and Aspergillus by MNGS in a Critically Ill Patient With Legionella Pneumonia After Extracorporeal Membrane Oxygenation Treatment: Case Report and Literature Review. Front. Med. 2021, 8, 686512. [Google Scholar] [CrossRef] [PubMed]
- D’Angelo, A.; De Simone, C.; Pagnottella, M.; Rossi, S.; Pepe, R.; Ruggieri, G.; Cocco, G.; Schiavone, C. A Case of Legionella pneumophila Evaluated with CT and Ultrasound. J. Ultrasound 2017, 20, 243–245. [Google Scholar] [CrossRef] [PubMed]
- Nakanishi, M.; Shiroshita, A.; Nakashima, K.; Takeshita, M.; Kiguchi, T.; Yamada, H. Clinical and Computed Tomographic Features of Legionella Pneumonia with Negative Urine Antigen Test Results. Respir. Investig. 2021, 59, 204–211. [Google Scholar] [CrossRef] [PubMed]
- Kim, K.W.; Goo, J.M.; Lee, H.J.; Lee, H.Y.; Park, C.M.; Lee, C.H.; Im, J.-G. Chest Computed Tomographic Findings and Clinical Features of Legionella Pneumonia. J. Comput. Assist. Tomogr. 2007, 31, 950–955. [Google Scholar] [CrossRef]
- Riccò, M.; Peruzzi, S.; Ranzieri, S.; Giuri, P.G. Epidemiology of Legionnaires’ Disease in Italy, 2004-2019: A Summary of Available Evidence. Microorganisms 2021, 9, 2180. [Google Scholar] [CrossRef]




| Virulence Factors | Role | References | |
|---|---|---|---|
| Cells’ envelope proteins | FeoB | Attachment to host cells. Iron metabolism | Petermann et al. [55] |
| PAL | Activates macrophages Induces cytokine production | Gholipour et al. [57] Shevchuk et al. [53] | |
| MOMP | Attachment to host cells Inhibits chemotactic activity Modulation of cytokines production | Yang et al. [59] | |
| LPS | Adhesion to the host cell | Palusinska-Szysz et al. [60] | |
| Mip | Necessary for intracellular survival | Shen et al. [61] | |
| Other proteins | PilY1 | Invasion into non-phagocytic cells Promotes cells’ motility | Hope et al. [62] |
| HSP 60 | Attachment to host cells Modulation of cytokine expression | Garduño et al. [63] | |
| Secretion systems | T1SS | Secret adhesins, proteins, and enzymes | Qin et al. [64] |
| T2SS | Surveillance in lung epithelium cells and macrophage | Tyson et al. [65] | |
| T3SS | Protein transport mechanism from flagella | Nakono et al. [66] | |
| T4SS | Organelle trafficking/intracellular growth | Lockwood et al. [67] |
Publisher’s Note: MDPI stays neutral with regard to jurisdictional claims in published maps and institutional affiliations. |
© 2022 by the authors. Licensee MDPI, Basel, Switzerland. This article is an open access article distributed under the terms and conditions of the Creative Commons Attribution (CC BY) license (https://creativecommons.org/licenses/by/4.0/).
Share and Cite
Iliadi, V.; Staykova, J.; Iliadis, S.; Konstantinidou, I.; Sivykh, P.; Romanidou, G.; Vardikov, D.F.; Cassimos, D.; Konstantinidis, T.G. Legionella pneumophila: The Journey from the Environment to the Blood. J. Clin. Med. 2022, 11, 6126. https://doi.org/10.3390/jcm11206126
Iliadi V, Staykova J, Iliadis S, Konstantinidou I, Sivykh P, Romanidou G, Vardikov DF, Cassimos D, Konstantinidis TG. Legionella pneumophila: The Journey from the Environment to the Blood. Journal of Clinical Medicine. 2022; 11(20):6126. https://doi.org/10.3390/jcm11206126
Chicago/Turabian StyleIliadi, Valeria, Jeni Staykova, Sergios Iliadis, Ina Konstantinidou, Polina Sivykh, Gioulia Romanidou, Daniil F. Vardikov, Dimitrios Cassimos, and Theocharis G. Konstantinidis. 2022. "Legionella pneumophila: The Journey from the Environment to the Blood" Journal of Clinical Medicine 11, no. 20: 6126. https://doi.org/10.3390/jcm11206126
APA StyleIliadi, V., Staykova, J., Iliadis, S., Konstantinidou, I., Sivykh, P., Romanidou, G., Vardikov, D. F., Cassimos, D., & Konstantinidis, T. G. (2022). Legionella pneumophila: The Journey from the Environment to the Blood. Journal of Clinical Medicine, 11(20), 6126. https://doi.org/10.3390/jcm11206126

