Evaluation of the Effects of Pterygium and Aging on Limbal Structure Using Optical Coherence Tomography
Abstract
1. Introduction
2. Methods
2.1. Subjects
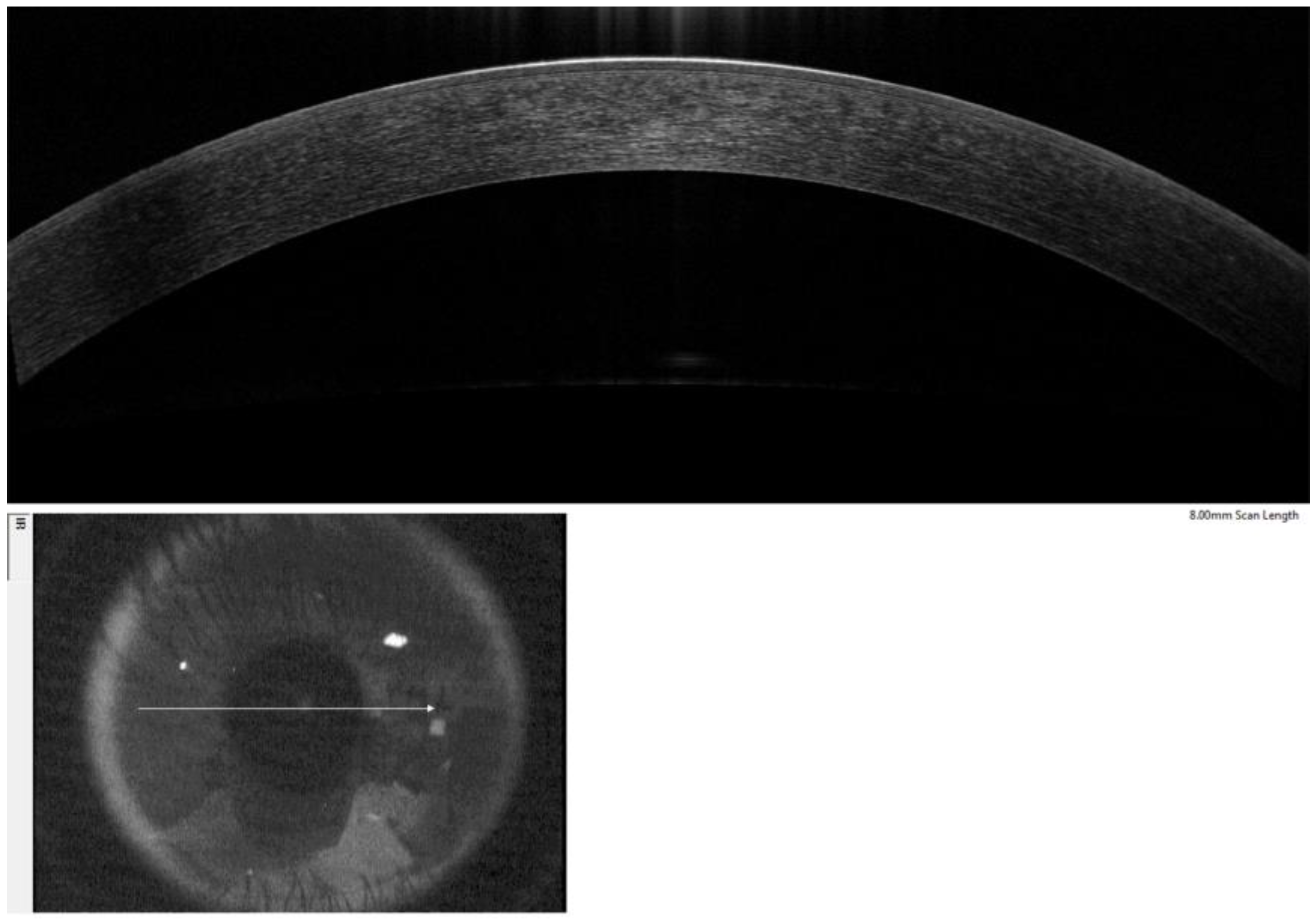
2.2. OCT Imaging and Epithelial Thickness Measurement
2.3. Statistical Analysis
3. Results
3.1. POV-ET/BM-ET
3.2. Within-Group POV-ET/BM-ET Value Correlations
3.3. Between-Group Differences in POV-ET/BM-ET
4. Discussion
Author Contributions
Funding
Institutional Review Board Statement
Informed Consent Statement
Data Availability Statement
Conflicts of Interest
References
- Hashemi, H.; Khabazkhoob, M.; Yekta, A.; Jafarzadehpour, E.; Ostadimoghaddam, H.; Kangari, H. The prevalence and determinants of pterygium in rural areas. J. Curr. Ophthalmol. 2017, 29, 194–198. [Google Scholar] [CrossRef] [PubMed]
- Shahraki, T.; Arabi, A.; Feizi, S. Pterygium: An update on pathophysiology, clinical features, and management. Adv. Ophthalmol. 2021, 13, 25158414211020152. [Google Scholar] [CrossRef] [PubMed]
- Pan, Z.; Cui, J.; Shan, G.; Chou, Y.; Pan, L.; Sun, Z.; Cui, Z.; Sun, J.; Cao, Y.; Zhao, J.; et al. Prevalence and risk factors for pterygium: A cross-sectional study in Han and Manchu ethnic populations in Hebei, China. BMJ Open 2019, 9, e025725. [Google Scholar] [CrossRef] [PubMed]
- Notara, M.; Lentzsch, A.; Coroneo, M.; Cursiefen, C. The Role of Limbal Epithelial Stem Cells in Regulating Corneal (Lymph)angiogenic Privilege and the Micromilieu of the Limbal Niche following UV Exposure. Stem Cells Int. 2018, 2018, 8620172. [Google Scholar] [CrossRef]
- Buskirk, V.; Michael, E. The anatomy of the limbus. Eye 1989, 3 Pt 2, 101–108. [Google Scholar] [CrossRef]
- Lehrer, M.S.; Sun, T.-T.; Lavker, R.M. Strategies of epithelial repair: Modulation of stem cell and transit amplifying cell proliferation. J. Cell Sci. 1998, 111, 2867–2875. [Google Scholar] [CrossRef]
- Binotti, W.W.; Nose, R.M.; Koseoglu, N.D.; Dieckmann, G.M.; Kenyon, K.; Hamrah, P. The utility of anterior segment optical coherence tomography angiography for the assessment of limbal stem cell deficiency. Ocul. Surf. 2021, 19, 94–103. [Google Scholar] [CrossRef]
- Yoon, J.J.; Ismail, S.; Sherwin, T. Limbal stem cells: Central concepts of corneal epithelial homeostasis. World J. Stem Cells 2014, 6, 391–403. [Google Scholar] [CrossRef]
- Li, Y.; Tan, O.; Brass, R.; Weiss, J.L.; Huang, D. Corneal epithelial thickness mapping by Fourier-domain optical coherence tomography in normal and keratoconic eyes. Ophthalmology 2012, 119, 2425–2433. [Google Scholar] [CrossRef]
- Ubels, J.L.; Glupker, C.D.; Schotanus, M.P.; Haarsma, L.D. Involvement of the extrinsic and intrinsic pathways in ultraviolet B-induced apoptosis of corneal epithelial cells. Exp Eye Res. 2016, 145, 26–35. [Google Scholar] [CrossRef]
- Wu, J.; Wu, T.; Zheng, S.; Huang, Y.; Wang, L. Low-dose repeated exposure to chemical surfactant impairs corneal epithelium: When personal cleaning products entering the eye. Exp Eye Res. 2021, 210, 108696. [Google Scholar] [CrossRef] [PubMed]
- Yang, Y.; Hong, J.; Deng, S.X.; Xu, J. Age-related changes in human corneal epithelial thickness measured with anterior segment optical coherence tomography. Investig. Ophthalmol. Vis. Sci. 2014, 55, 5032–5038. [Google Scholar] [CrossRef] [PubMed]
- Le, Q.; Cordova, D.; Xu, J.; Deng, S.X. In Vivo Evaluation of the Limbus Using Anterior Segment Optical Coherence Tomography. Transl. Vis. Sci. Technol. 2018, 7, 12. [Google Scholar] [CrossRef] [PubMed]
- Mehtani, A.; Agarwal, M.C.; Sharma, S.; Chaudhary, S. Diagnosis of limbal stem cell deficiency based on corneal epithelial thickness measured on anterior segment optical coherence tomography. Indian J. Ophthalmol. 2017, 65, 1120–1126. [Google Scholar] [CrossRef] [PubMed]
- Grieve, K.; Ghoubay, D.; Georgeon, C.; Thouvenin, O.; Bouheraoua, N.; Paques, M.; Borderie, V.M. Three-dimensional structure of the mammalian limbal stem cell niche. Exp Eye Res. 2015, 140, 75–84. [Google Scholar] [CrossRef]
- Ghouali, W.; Tahiri Joutei Hassani, R.; Djerada, Z.; Liang, H.; El Sanharawi, M.; Labbe, A.; Baudouin, C. In vivo imaging of palisades of Vogt in dry eye versus normal subjects using en-face spectral-domain optical coherence tomography. PLoS ONE 2017, 12, e0187864. [Google Scholar] [CrossRef]
- Lin, H.C.; Tew, T.B.; Hsieh, Y.T.; Lin, S.Y.; Chang, H.W.; Hu, F.R.; Chen, W.L. Using optical coherence tomography to assess the role of age and region in corneal epithelium and palisades of vogt. Medicine (Baltimore) 2016, 95, e4234. [Google Scholar] [CrossRef]
- Le, Q.; Yang, Y.; Deng, S.X.; Xu, J. Correlation between the existence of the palisades of Vogt and limbal epithelial thickness in limbal stem cell deficiency. Clin. Exp. Ophthalmol. 2017, 45, 224–231. [Google Scholar] [CrossRef]
- Miri, A.; Al-Aqaba, M.; Otri, A.M.; Fares, U.; Said, D.G.; Faraj, L.A.; Dua, H.S. In vivo confocal microscopic features of normal limbus. Br. J. Ophthalmol. 2012, 96, 530–536. [Google Scholar] [CrossRef]
- Ghareeb, A.E.; Lako, M.; Figueiredo, F.C. Recent Advances in Stem Cell Therapy for Limbal Stem Cell Deficiency: A Narrative Review. Ophthalmol. Ther. 2020, 9, 809–831. [Google Scholar] [CrossRef]
- Reid, T.W.; Dushku, N. What a study of pterygia teaches us about the cornea? Molecular mechanisms of formation. Eye Contact Lens 2010, 36, 290–295. [Google Scholar] [CrossRef] [PubMed]
- King-Smith, P.E.; Mauger, T.F.; Begley, C.G.; Tankam, P. Optical Analysis and Reappraisal of the Peripheral Light Focusing Theory of Nasal Pterygia Formation. Investig. Opthalmol. Vis. Sci. 2020, 61, 42. [Google Scholar] [CrossRef] [PubMed]
- Kositphipat, K.; Tananuvat, N.; Choovuthayakorn, J. Results of pterygium excision adjunct with conjunctival autograft transplantation for primary pterygium by ophthalmology trainees. Int. Ophthalmol. 2016, 36, 615–621. [Google Scholar] [CrossRef]
- Lee, J.S.; Ha, S.W.; Yu, S.; Lee, G.J.; Park, Y.J. Efficacy and Safety of a Large Conjunctival Autograft for Recurrent Pterygium. Korean J. Ophthalmol. 2017, 31, 469–478. [Google Scholar] [CrossRef] [PubMed][Green Version]
- Sakarya, Y.; Sakarya, R.; Kara, S. Reversal of sensation of conjunctival autograft after pterygium surgery. Eur. J. Ophthalmol. 2012, 22 (Suppl. 7), S11–S16. [Google Scholar] [CrossRef]
- Zhao, Z.; Zhang, J.; Liang, H.; Zhang, S.; Shao, C.; Fan, X.; Fu, Y. Corneal Reinnervation and Sensitivity Recovery after Pterygium Excision. J. Ophthalmol. 2020, 2020, 1349072. [Google Scholar] [CrossRef]
- Levy, A.; Georgeon, C.; Knoeri, J.; Tourabaly, M.; Leveziel, L.; Bouheraoua, N.; Borderie, V.M. Corneal Epithelial Thickness Mapping in the Diagnosis of Ocular Surface Disorders Involving the Corneal Epithelium: A Comparative Study. Cornea 2022. [Google Scholar] [CrossRef]
- Kieval, J.Z.; Karp, C.L.; Abou Shousha, M.; Galor, A.; Hoffman, R.A.; Dubovy, S.R.; Wang, J. Ultra-high resolution optical coherence tomography for differentiation of ocular surface squamous neoplasia and pterygia. Ophthalmology 2012, 119, 481–486. [Google Scholar] [CrossRef]
- Nanji, A.A.; Sayyad, F.E.; Galor, A.; Dubovy, S.; Karp, C.L. High-Resolution Optical Coherence Tomography as an Adjunctive Tool in the Diagnosis of Corneal and Conjunctival Pathology. Ocul. Surf. 2015, 13, 226–235. [Google Scholar] [CrossRef]
- Zhou, W.P.; Zhu, Y.F.; Zhang, B.; Qiu, W.Y.; Yao, Y.F. The role of ultraviolet radiation in the pathogenesis of pterygia (Review). Mol. Med. Rep. 2016, 14, 3–15. [Google Scholar] [CrossRef]
- Chui, J.; Coroneo, M.T.; Tat, L.T.; Crouch, R.; Wakefield, D.; Di Girolamo, N. Ophthalmic pterygium: A stem cell disorder with premalignant features. Am. J. Pathol. 2011, 178, 817–827. [Google Scholar] [CrossRef] [PubMed]





| Group | Eyes (n) | M/F | Age |
|---|---|---|---|
| Group I | 29 | 10/19 | 28.66 ± 9.36 |
| Group II | 16 | 8/8 | 68.37 ± 7.20 |
| Group III | 22 | 6/16 | 52.09 ± 7.57 |
| Group IV | 13 | 6/7 | 68.08 ± 6.99 |
| Quadrant | Group I | Group II | Group III | Group IV | Total |
|---|---|---|---|---|---|
| Nasal | 1.36 ± 0.27 | 1.08 ± 0.17 | - | - | - |
| Temporal | 1.36 ± 0.19 | 1.11 ± 0.15 | 1.16 ± 0.16 | 1.22 ± 0.13 | 1.23 ± 0.19 |
| Superior | 2.45 ± 0.51 | 2.41 ± 0.41 | 2.18 ± 0.33 | 2.07 ± 0.43 | 2.31 ± 0.45 |
| Inferior | 1.87 ± 0.37 | 1.58 ± 0.37 | 1.90 ± 0.43 | 1.90 ± 0.56 | 1.83 ± 0.43 |
Publisher’s Note: MDPI stays neutral with regard to jurisdictional claims in published maps and institutional affiliations. |
© 2022 by the authors. Licensee MDPI, Basel, Switzerland. This article is an open access article distributed under the terms and conditions of the Creative Commons Attribution (CC BY) license (https://creativecommons.org/licenses/by/4.0/).
Share and Cite
Li, S.; Yu, H.; Wang, P.; Feng, Y. Evaluation of the Effects of Pterygium and Aging on Limbal Structure Using Optical Coherence Tomography. J. Clin. Med. 2022, 11, 5879. https://doi.org/10.3390/jcm11195879
Li S, Yu H, Wang P, Feng Y. Evaluation of the Effects of Pterygium and Aging on Limbal Structure Using Optical Coherence Tomography. Journal of Clinical Medicine. 2022; 11(19):5879. https://doi.org/10.3390/jcm11195879
Chicago/Turabian StyleLi, Shengwei, Haozhe Yu, Pu Wang, and Yun Feng. 2022. "Evaluation of the Effects of Pterygium and Aging on Limbal Structure Using Optical Coherence Tomography" Journal of Clinical Medicine 11, no. 19: 5879. https://doi.org/10.3390/jcm11195879
APA StyleLi, S., Yu, H., Wang, P., & Feng, Y. (2022). Evaluation of the Effects of Pterygium and Aging on Limbal Structure Using Optical Coherence Tomography. Journal of Clinical Medicine, 11(19), 5879. https://doi.org/10.3390/jcm11195879

