Downregulation of Mannose-6-Phosphate Receptors in Fabry Disease Cardiomyopathy: A Potential Target for Enzyme Therapy Enhancement
Abstract
:1. Introduction
Patient Population
2. Materials and Methods
2.1. Cardiac Magnetic Resonance (CMR)
2.2. Invasive and Endomyocardial Biopsy Studies
2.3. Histology and Electron Microscopy
2.4. Morphometric Studies
2.5. Assessment of Mannose-6-Phosphate Receptors and Ubiquitin in the Myocardial Tissue of Fabry Disease Patients
2.6. Protein Isolation and Western Blot
2.7. Gene Expression Study
2.8. Statistical Analysis
3. Results
3.1. Cardiac Studies
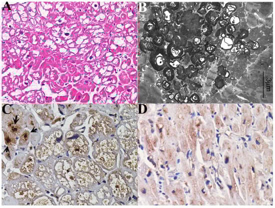
3.2. Immuno-Histochemistry Study
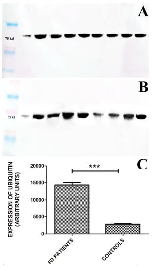
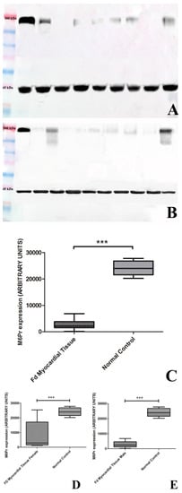
3.3. Western Blot Analysis
3.4. M6PR m-RNA Expression
4. Discussion
4.1. Clinical Implications
4.2. Limitations
4.3. Translation Perspective
5. Conclusions
Abbreviation
| ERT | Enzyme replacement therapy |
| FD | Fabry disease |
| CMR | Cardiac magnetic resonance |
| LV | Left ventricular |
| FDCM | Fabry Disease Cardiomyopathy |
| GB-3 | Globotriaosylceramide |
| MWT | Maximal wall thickness |
| M6Pr | Mannose-6-phosphate receptors |
Author Contributions
Funding
Institutional Review Board Statement
Informed Consent Statement
Data Availability Statement
Conflicts of Interest
References
- Desnick, R.J.; Ioannou, Y.A.; Eng, C.M. Alpha-Galactosidase A Deficiency: Fabry Disease; Scriver, C.R., Beaudet Al Sly, W.S., Valle, D., Eds.; McGraw-Hall: New York, NY, USA, 2001; pp. 3733–3774. [Google Scholar]
- Desnick, R.J. Fabry Disease (α-Galactosidase A Deficiency). In Genetic Diseases of the Kidney; Elsevier: Amsterdam, The Netherlands, 2009; pp. 597–616. [Google Scholar]
- Germain, D.P. Fabry disease. Orphanet J. Rare Dis. 2010, 5, 1–49. [Google Scholar] [CrossRef] [PubMed]
- Thurberg, B.L.; Fallen, J.T.; Mitchell, R.; Aretz, T.; Gordon, R.E.; O’Callaghan, M.W. Cardiac microvascular pathology in fabry disease evaluation of endomyocardial biopsies before and after enzyme replacement therapy. Circulation 2009, 119, 2561–2567. [Google Scholar] [CrossRef] [PubMed]
- Najafian, B.; Svarstad, E.; Bostad, L.; Gubler, M.C.; Tøndel, C.; Whitley, C.; Mauer, M. Progressive podocyte injury and globotriaosylceramide (GB-3) accumulation in young patients with Fabry disease. Kidney Int. 2011, 79, 663–670. [Google Scholar] [CrossRef] [PubMed]
- Chimenti, C.; Morgante, E.; Tanzilli, G.; Mangieri, E.; Critelli, G.; Gaudio, C.; Russo, M.A.; Frustaci, A. Angina in fabry disease reflects coronary small vessel disease. Circ. Heart Fail. 2008, 1, 161–169. [Google Scholar] [CrossRef]
- Scheidt, W.; von Eng, C.M.; Fitzmaurice, T.F.; Erdmann, E.; Hübner, G.; Olsen, E.G.J.; Christomanou, H.; Kandolf, R.; Bishop, D.F.; Desnick, R.J. An Atypical Variant of Fabry’s Disease with Manifestations Confined to the Myocardium. N. Engl. J. Med. 2010, 324, 395–399. [Google Scholar] [CrossRef] [PubMed]
- Eng, C.M.; Guffon, N.; Wilcox, W.R.; Germain, D.P.; Lee, P.; Waldek, S.; Caplan, L.; Linthorst, G.E.; Desnick, R.J. Safety and efficacy of recombinant human alpha-galactosidase A replacement therapy in Fabry’s disease. N. Engl. J. Med. 2001, 345, 9–16. [Google Scholar] [CrossRef]
- Germain, D.P.; Waldek, S.; Banikazemi, M.; Bushinsky, D.A.; Charrow, J.; Desnick, R.J.; Lee, P.; Loew, T.; Vedder, A.C.; Abichandani, R.; et al. Sustained, Long-Term Renal Stabilization After 54 Months of Agalsidase Therapy in Patients with Fabry Disease. J. Am. Soc. Nephrol. 2007, 18, 1547–1557. [Google Scholar] [CrossRef]
- Frustaci, A.; Chimenti, C.; Ricci, R.; Natale, L.; Russo, M.A.; Pieroni, M.; Eng, C.M.; Desnick, R.J. Improvement in cardiac function in the cardiac variant of fabry’s disease with galactose-infusion therapy. N. Engl. J. Med. 2001, 345, 25–32. [Google Scholar] [CrossRef]
- Markham, A. Migalastat: First Global Approval. Drugs 2016, 76, 1147–1152. [Google Scholar] [CrossRef]
- Ramaswami, U.; Bichet, D.G.; Clarke, L.A.; Dostalova, G.; Fainboim, A.; Fellgiebel, A.; Forcelini, C.M.; Haack, K.A.; Hopkin, R.J.; Mauer, M.; et al. Low-dose agalsidase beta treatment in male pediatric patients with Fabry disease: A 5-year randomized controlled trial. Mol. Genet. Metab. 2019, 127, 86–94. [Google Scholar] [CrossRef]
- Najafian, B.; Tøndel, C.; Svarstad, E.; Sokolovkiy, A.; Smith, K.; Mauer, M. One Year of Enzyme Replacement Therapy Reduces Globotriaosylceramide Inclusions in Podocytes in Male Adult Patients with Fabry Disease. PLoS ONE 2016, 11, e0152812. [Google Scholar] [CrossRef] [PubMed]
- Thurberg, B.L.; Byers, H.R.; Granter, S.R.; Phelps, R.G.; Gordon, R.E.; O’Callaghan, M. Monitoring the 3-year efficacy of enzyme replacement therapy in fabry disease by repeated skin biopsies. J. Investig. Dermatol. 2004, 122, 900–908. [Google Scholar] [CrossRef] [PubMed]
- Thurberg, B.L.; Rennke, H.; Colvin, R.B.; Dikman, S.; Gordon, R.E.; Collins, A.B.; Desnick, R.J.; O’Callaghan, M. Globotriaosylceramide accumulation in the Fabry kidney is cleared from multiple cell types after enzyme replacement therapy. Kidney Int. 2002, 62, 1933–1946. [Google Scholar] [CrossRef]
- Skrunes, R.; Tøndel, C.; Leh, S.; Larsen, K.K.; Houge, G.; Davidsen, E.S.; Hollak, C.; van Kuilenburg, A.B.; Vaz, F.M.; Svarstad, E. Long-Term Dose-Dependent Agalsidase Effects on Kidney Histology in Fabry Disease. Clin. J. Am. Soc. Nephrol. 2017, 12, 1470–1479. [Google Scholar] [CrossRef] [PubMed]
- Frustaci, A.; Najafian, B.; Donato, G.; Verardo, R.; Chimenti, C.; Sansone, L.; Belli, M.; Vernucci, E.; Russo, M.A. Divergent Impact of Enzyme Replacement Therapy on Human Cardiomyocytes and Enterocytes Affected by Fabry Disease: Correlation with Mannose-6-phosphate Receptor Expression. J. Clin. Med. 2022, 11, 1344. [Google Scholar] [CrossRef]
- Chimenti, C.; Verardo, R.; Scopelliti, F.; Grande, C.; Petrosillo, N.; Piselli, P.; De Paulis, R.; Frustaci, A. Myocardial expression of Toll-like receptor 4 predicts the response to immunosuppressive therapy in patients with virus-negative chronic inflammatory cardiomyopathy. Eur. J. Heart Fail. 2017, 19, 915–925. [Google Scholar] [CrossRef]
- Bustin, S.A.; Benes, V.; Garson, J.A.; Hellemans, J.; Huggett, J.; Kubista, M.; Mueller, R.; Nolan, T.; Pfaffl, M.W.; Shipley, G.L.; et al. The MIQE Guidelines: Minimum Information for Publication of Quantitative Real-Time PCR Experiments. Clin. Chem. 2009, 55, 611–622. [Google Scholar] [CrossRef]
- Pfaffl, M.W. A new mathematical model for relative quantification in real-time RT-PCR. Nucleic Acids Res. 2001, 29, e45. [Google Scholar] [CrossRef]
- Keslová-Veselíková, J.; Hůlková, H.; Dobrovolný, R.; Asfaw, B.; Poupětová, H.; Berná, L.; Sikora, J.; Goláň, L.; Ledvinová, J.; Elleder, M. Replacement of α-galactosidase A in Fabry disease: Effect on fibroblast cultures compared with biopsied tissues of treated patients. Virchows Arch. 2008, 452, 651–665. [Google Scholar] [CrossRef]
- Weidemann, F.; Niemann, M.; Störk, S.; Breunig, F.; Beer, M.; Sommer, C.; Herrmann, S.; Ertl, G.; Wanner, C. Long-term outcome of enzyme-replacement therapy in advanced Fabry disease: Evidence for disease progression towards serious complications. J. Intern. Med. 2013, 274, 331–341. [Google Scholar] [CrossRef]
- Hasegawa, H.; Takano, H.; Shindo, S.; Takeda, S.; Funabashi, N.; Nakagawa, K.; Toyozaki, T.; Kuwabara, Y.; Komuro, I. Transition from Left Ventricular Hypertrophy to Massive Fibrosis in the Cardiac Variant of Fabry Disease Images in Cardiovascular Medicine. Circulation 2006, 113, 720–721. [Google Scholar] [CrossRef] [PubMed]
- Weidemann, F.; Breunig, F.; Beer, M.; Sandstede, J.; Störk, S.; Voelker, W.; Ertl, G.; Knoll, A.; Wanner, C.; Strotmann, J.M. The variation of morphological and functional cardiac manifestation in Fabry disease: Potential implications for the time course of the disease. Eur. Heart J. 2005, 26, 1221–1227. [Google Scholar] [CrossRef] [PubMed]
- Moon, J.C.; Sachdev, B.; Elkington, A.G.; McKenna, W.J.; Mehta, A.; Pennell, D.J.; Leed, P.J.; Elliott, P.M. Gadolinium enhanced cardiovascular magnetic resonance in Anderson-Fabry disease 1 Evidence for a disease specific abnormality of the myocardial interstitium. Eur. Heart J. 2003, 24, 2151–2155. [Google Scholar] [CrossRef] [PubMed]
- Nagano, T.; Nakatsuka, S.I.; Fujita, S.; Kanda, T.; Uematsu, M.; Ikeda, Y.; Ishibashi-Ueda, H.; Yutani, C. Myocardial fibrosis pathology in Anderson-Fabry disease: Evaluation of autopsy cases in the long- and short-term enzyme replacement therapy, and non-therapy case. IJC Metab. Endocr. 2016, 12, 46–51. [Google Scholar] [CrossRef]
- Frustaci, A.; Verardo, R.; Grande, C.; Galea, N.; Piselli, P.; Carbone, I.; Alfarano, M.; Russo, M.A.; Chimenti, C. Immune-mediated myocarditis in fabry disease cardiomyopathy. J. Am. Heart Assoc. 2018, 7, e009052. [Google Scholar] [CrossRef]
- Germain, D.P.; Elliott, P.M.; Falissard, B.; Fomin, V.V.; Hilz, M.J.; Jovanovic, A.; Kantola, I.; Linhart, A.; Mignani, R.; Namdar, M.; et al. The effect of enzyme replacement therapy on clinical outcomes in male patients with Fabry disease: A systematic literature review by a European panel of experts. In Molecular Genetics and Metabolism Reports; Elsevier: Amsterdam, The Netherlands, 2019; Volume 19. [Google Scholar]
- Gary-Bobo, M.; Nirdé, P.; Jeanjean, A.; Morère, A.; Garcia, M. Mannose 6-phosphate receptor targeting and its applications in human diseases. Curr. Med. Chem. 2007, 14, 2945. [Google Scholar] [CrossRef]
- Bannoud, N.; Carvelli, F.L.; Troncoso, M.; Sartor, T.; Vargas-Roig, L.M.; Sosa, M. Cation-Dependent Mannose-6-Phosphate Receptor Expression and Distribution Are Influenced by Estradiol in MCF-7 Breast Cancer Cells. PLoS ONE 2018, 13, e0201844. [Google Scholar] [CrossRef]
- Mitchell, B.S. The proteasome--an emerging therapeutic target in cancer. N. Engl. J. Med. 2003, 348, 2597–2598. [Google Scholar] [CrossRef]
- Briasoulis, A.; Chasouraki, A.; Sianis, A.; Panagiotou, N.; Kourek, C.; Ntalianis, A.; Paraskevaidis, I. Cardiotoxicity of Non-Anthracycline Cancer Chemotherapy Agents. J. Cardiovasc. Dev. Dis. 2022, 9, 66. [Google Scholar] [CrossRef]




| Age/ Sex | GLA Mutation | αGAL- A Enzymatic Activity nmol/h/mL | Extra-Cardiac Features | Cardiac Symptoms | Enzymatic Replacement Therapy | ERT Duration (Months) at Enrollment | |
|---|---|---|---|---|---|---|---|
| Pt 1 | 42/M | c.666delC | 0 | cornea verticillata, gastrointestinal disorders, weight loss, proteinuria, hypo-anhidrosis | dyspnea, palpitations | agalsidase alpha | 36 |
| Pt 2 | 27/M | c.666delC | 0 | gastrointestinal disorderders, weight loss | palpitations | agalsidase alpha | 36 |
| Pt 3 | 22/F | c.666delC | 9.2 | gastrointestinal disorderders, weight loss, cornea verticillata | palpitations | agalsidase alpha | 36 |
| Pt 4 | 58/F | c.668G > A p.C223Y | 3.3 | cornea verticillata, angiokeratomas, hypo-anhidrosis, acroparesthesias | dyspnea, palpitations | agalsidase alpha | 40 |
| Pt 5 | 52/F | c.547+ 1G > A | 3.4 | proteinuria, cornea verticillata | dyspnea, palpitations | agalsidase alpha | 38 |
| Pt 6 | 27/M | deletion exons 3 and 4 | 0 | cornea verticillata, angiokeratomas, hypo-anhidrosis, acroparesthesias | palpitations | agalsidase alpha | 42 |
| Pt 7 | 52/F | deletion exons 3 and 4 | 3.5 | acroparesthesias, sicca syndrome, arthritis, proteinuria | dyspnea, palpitations | agalsidase alpha | 39 |
| Pt 8 | 22/M | c.644A > G | 0.3 | none | palpitations | agalsidase alpha | 36 |
| Pt 9 | 62/M | c.644A > G | 0 | cornea verticillata, microalbuminuria | dyspnea | agalsidase alpha | 36 |
| Pt 10 | 66/M | c.644A > G | 0 | cornea verticillata, proteinuria | dyspnea, palpitations | agalsidase alpha | 40 |
| Pt 11 | 36/F | C.548 > G | 3.8 | cornea verticillata, proteinuria | dyspnea, palpitations | agalsidase alpha | 39 |
| Pt 12 | 54/M | c.644A > G | 0 | cornea verticillata | dyspnea, palpitations | agalsidase alpha | 36 |
| Pt 13 | 30/M | deletion exons 3 and 4 | 0 | cornea verticillata, angiokeratomas, hypo-anhidrosis, acroparesthesias, proteinuria | dyspnea, palpitations | agalsidase beta | 36 |
| Pt 14 | 55/F | deletion exons 3 and 4 | 3.1 | acroparesthesias, cornea verticillata, proteinuria | dyspnea | agalsidase beta | 38 |
| Pt 15 | 37/F | C.548 > G | 4.0 | cornea verticillata, proteinuria | dyspnea | agalsidase alpha | 36 |
| Pt 16 | 59/M | c.644A > G | 0 | cornea verticillata | dyspnea, angor | agalsidase alpha | 40 |
| Pt 17 | 66/M | c.644A > G | 0.4 | acroparesthesias, cornea verticillata | dyspnea, palpitations | agalsidase alpha | 39 |
| Age/ Sex | ECG | Diastolic Function 2d-Echo | LV Mass/BSA g/m2 (CMR) | MWT mm (CMR) | LV EDV/BSA mL/m2 (CMR) | LV ESV/BSA (mL/m2) (CMR) | LVEF (%) (CMR) | T1 Mapping ms (CMR) | |
|---|---|---|---|---|---|---|---|---|---|
| Pt 1 | 42/M | short PR, LVH | grade I | 112.0 | 14 | 106.3 | 33.9 | 68.1 | 874 |
| Pt 2 | 27/M | short PR | grade I | 28.1 | 10 | 82.7 | 31.8 | 61.4 | 860 |
| Pt 3 | 22/F | PSVC | normal | 26.7 | 9 | 50.1 | 20.3 | 59.4 | 980 |
| Pt 4 | 58/F | PSVC, PVC, PAF | grade I | 63.6 | 16 | 66.5 | 27.7 | 59.7 | Not detected |
| Pt 5 | 52/F | short PR, LVH | grade II | 99.1 | 15 | 86.9 | 23.8 | 68.0 | Not detected |
| Pt 6 | 27/M | short PR | grade I | 58.4 | 11.5 | 72.1 | 26.1 | 63.9 | 860 |
| Pt 7 | 52/F | 1st degree AV block | grade I | 53.1 | 10 | 78.1 | 21.1 | 72.9 | 940 |
| Pt 8 | 22/M | short PR | grade I | 60.7 | 10 | 100 | 43.2 | 57 | 930 |
| Pt 9 | 62/M | bifascicular block | grade II | 146.9 | 25 | 108 | 54.4 | 49.7 | 860 |
| Pt 10 | 66/M | LBBB | grade II | 190.6 | 20 | 142.8 | 79.8 | 44.1 | 870 |
| Pt 11 | 36/F | short PR | grade I | 61.1 | 11 | 85.4 | 27.8 | 67.0 | 990 |
| Pt 12 | 54/M | LVH | grade I | 142.6 | 26 | 79.7 | 31.7 | 60.1 | 912 |
| Pt 13 | 30/M | short PR, PSVC | grade I | 62.3 | 12 | 58.3 | 22.3 | 61.7 | 910 |
| Pt 14 | 53/F | 1st degree AV block | grade I | 58.0 | 11 | 74.0 | 23.0 | 69.0 | 940 |
| Pt 15 | 37/F | short PR, PSVC | grade I | 50.5 | 11 | 97.1 | 35.1 | 63.0 | 990 |
| Pt 16 | 59/M | LBBB | grade II | 165.5 | 28 | 81.6 | 31.3 | 61.5 | 930 |
| Pt 17 | 66/M | LBBB | grade III | 168.9 | 28 | 102.7 | 54.7 | 47 | 850 |
| Group A | Group B | p Value | |
|---|---|---|---|
| Cardiomyocytes diameter (µm) | 28.3 ± 1.19 | 10.6 ± 1.8 | p < 0.001 |
| Extent of myocardial fibrosis (%) | 4.5 ± 1 | 2.2± 0.4 | p < 0.001 |
| Mannose expression (IHC grading) | 1.1 ± 1.27 | 3.4 ± 0.38 | p < 0.001 |
| Mannose 6-phosphate Receptor Western Blot (Arbitrary Units) | 4289 ± 6595 | 23,581 ± 4074 | p < 0.001 |
| Protein degradation pathway_ Ubiquitin (Arbitrary Units) | 13,284 ± 1723 | 2870 ± 690 | p < 0.001 |
| Mannose 6-phosphate Receptor m-RNA expression | 1.13 ± 0.43 | 1.01 ± 0.12 | p = 0.4752 (ns) |
Publisher’s Note: MDPI stays neutral with regard to jurisdictional claims in published maps and institutional affiliations. |
© 2022 by the authors. Licensee MDPI, Basel, Switzerland. This article is an open access article distributed under the terms and conditions of the Creative Commons Attribution (CC BY) license (https://creativecommons.org/licenses/by/4.0/).
Share and Cite
Frustaci, A.; Verardo, R.; Scialla, R.; Bagnato, G.; Verardo, M.; Alfarano, M.; Russo, M.A. Downregulation of Mannose-6-Phosphate Receptors in Fabry Disease Cardiomyopathy: A Potential Target for Enzyme Therapy Enhancement. J. Clin. Med. 2022, 11, 5440. https://doi.org/10.3390/jcm11185440
Frustaci A, Verardo R, Scialla R, Bagnato G, Verardo M, Alfarano M, Russo MA. Downregulation of Mannose-6-Phosphate Receptors in Fabry Disease Cardiomyopathy: A Potential Target for Enzyme Therapy Enhancement. Journal of Clinical Medicine. 2022; 11(18):5440. https://doi.org/10.3390/jcm11185440
Chicago/Turabian StyleFrustaci, Andrea, Romina Verardo, Rossella Scialla, Giulia Bagnato, Margherita Verardo, Maria Alfarano, and Matteo A. Russo. 2022. "Downregulation of Mannose-6-Phosphate Receptors in Fabry Disease Cardiomyopathy: A Potential Target for Enzyme Therapy Enhancement" Journal of Clinical Medicine 11, no. 18: 5440. https://doi.org/10.3390/jcm11185440
APA StyleFrustaci, A., Verardo, R., Scialla, R., Bagnato, G., Verardo, M., Alfarano, M., & Russo, M. A. (2022). Downregulation of Mannose-6-Phosphate Receptors in Fabry Disease Cardiomyopathy: A Potential Target for Enzyme Therapy Enhancement. Journal of Clinical Medicine, 11(18), 5440. https://doi.org/10.3390/jcm11185440

